JavaScript is disabled in your browser. Please enable JavaScript to view this website.
AB245201

Anti-15 Lipoxygenase 1 antibody [EPR22138] - BSA and Azide free

  • BOND RX™ Validated
  • RabMAb
  • Recombinant
  • KO Validated
  • What is this?

Be the first to review this product! Submit a review

|

(0 Publication)

Rabbit Recombinant Monoclonal 15 Lipoxygenase 1 antibody. Carrier free. Suitable for IHC-P, ICC/IF, IHC-Fr, WB and reacts with Rat, Human, Mouse, Transfected cell line - Human samples.

View Alternative Names

LOG15, ALOX15, Polyunsaturated fatty acid lipoxygenase ALOX15, 12/15-lipoxygenase, Arachidonate 15-lipoxygenase, Arachidonate omega-6 lipoxygenase, Hepoxilin A3 synthase Alox15, Linoleate 13S-lipoxygenase, 12-LOX, 15-LOX, 15-LOX-1

9 Images
Immunocytochemistry/ Immunofluorescence - Anti-15 Lipoxygenase 1 antibody [EPR22138] - BSA and Azide free (AB245201)
  • ICC/IF

Lab

Immunocytochemistry/ Immunofluorescence - Anti-15 Lipoxygenase 1 antibody [EPR22138] - BSA and Azide free (AB245201)

Immunofluorescent analysis of 4% paraformaldehyde-fixed, 0.1% Triton X-100 permeabilized MCF7 (human breast adenocarcinoma epithelial cell) cells labelling 15 Lipoxygenase 1 with primary antibody anti-15 Lipoxygenase 1 (ab244205) at 1/50 dilution, followed by Goat Anti-Rabbit IgG H&L (Alexa Fluor® 488) preadsorbed (ab150081) secondary antibody at 1/1000 dilution. Confocal image showing cytoplasmic staining in MCF7 cells. Anti-alpha Tubulin antibody (DM1A) - Microtubule Marker (Alexa Fluor® 594) (ab195889) was used to counterstain tubulin at 1/200 dilution. The nuclear counter stain is DAPI (blue). This data was developed using the same antibody clone in a different buffer formulation containing PBS, BSA, glycerol, and sodium azide (ab244205).

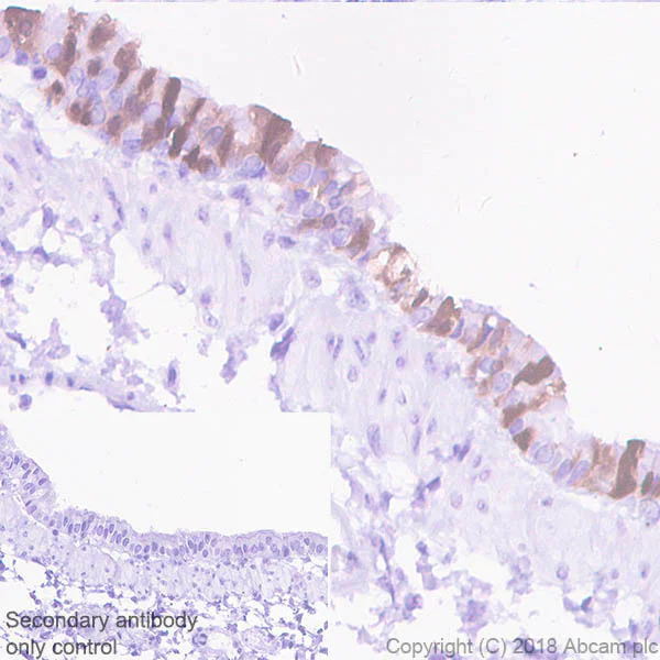
Immunohistochemistry (Formalin/PFA-fixed paraffin-embedded sections) - Anti-15 Lipoxygenase 1 antibody [EPR22138] - BSA and Azide free (AB245201)
  • IHC-P

Unknown

Immunohistochemistry (Formalin/PFA-fixed paraffin-embedded sections) - Anti-15 Lipoxygenase 1 antibody [EPR22138] - BSA and Azide free (AB245201)

Immunohistochemical analysis of paraffin-embedded human bronchus tissue labeling 15 Lipoxygenase 1 with ab244205 at 1/4000 dilution, followed by Goat Anti-Rabbit IgG H&L (HRP) Ready to use. Positive staining in epithelial cells of human bronchus (PMID : 24036245; PMID : 21831839). Counter stained with hematoxylin.

Secondary antibody only control : Used PBS instead of primary antibody, secondary antibody is Goat Anti-Rabbit IgG H&L (HRP) Ready to use.

This data was developed using the same antibody clone in a different buffer formulation containing PBS, BSA, glycerol, and sodium azide (ab244205).

Immunohistochemistry (Formalin/PFA-fixed paraffin-embedded sections) - Anti-15 Lipoxygenase 1 antibody [EPR22138] - BSA and Azide free (AB245201)
  • IHC-P

Unknown

Immunohistochemistry (Formalin/PFA-fixed paraffin-embedded sections) - Anti-15 Lipoxygenase 1 antibody [EPR22138] - BSA and Azide free (AB245201)

Immunohistochemical analysis of paraffin-embedded human colon tissue labeling 15 Lipoxygenase 1 with ab244205 at 1/4000 dilution, followed by Goat Anti-Rabbit IgG H&L (HRP) Ready to use. Positive staining in eosinophils of human colon (PMID : 30118527; PMID : 23503644). Counter stained with hematoxylin.

Secondary antibody only control : Used PBS instead of primary antibody, secondary antibody is Goat Anti-Rabbit IgG H&L (HRP) Ready to use.

This data was developed using the same antibody clone in a different buffer formulation containing PBS, BSA, glycerol, and sodium azide (ab244205).

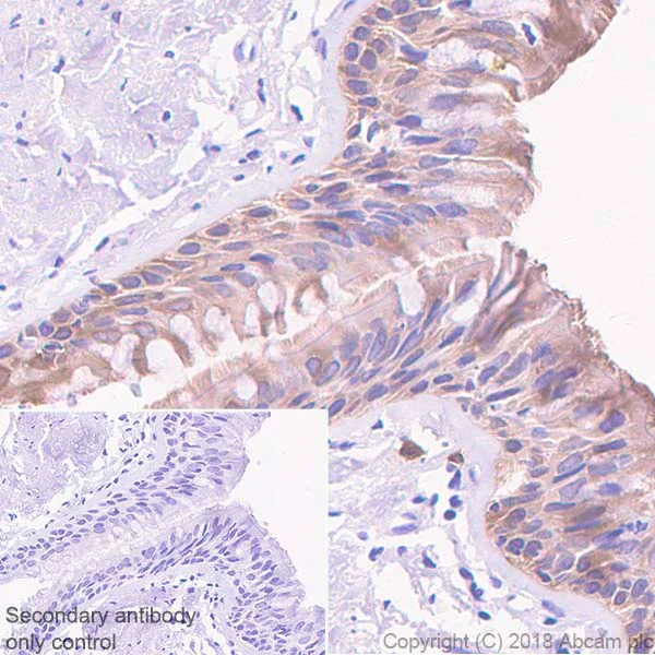
Immunohistochemistry (Formalin/PFA-fixed paraffin-embedded sections) - Anti-15 Lipoxygenase 1 antibody [EPR22138] - BSA and Azide free (AB245201)
  • IHC-P

Unknown

Immunohistochemistry (Formalin/PFA-fixed paraffin-embedded sections) - Anti-15 Lipoxygenase 1 antibody [EPR22138] - BSA and Azide free (AB245201)

Immunohistochemical analysis of paraffin-embedded rat bronchus tissue labeling 15 Lipoxygenase 1 with ab244205 at 1/4000 dilution, followed by Goat Anti-Rabbit IgG H&L (HRP) Ready to use. Positive staining in epithelial cells of rat bronchus (PMID : 24036245; PMID : 21831839). Counter stained with hematoxylin.

Secondary antibody only control : Used PBS instead of primary antibody, secondary antibody is Goat Anti-Rabbit IgG H&L (HRP) Ready to use.

This data was developed using the same antibody clone in a different buffer formulation containing PBS, BSA, glycerol, and sodium azide (ab244205).

Immunocytochemistry/ Immunofluorescence - Anti-15 Lipoxygenase 1 antibody [EPR22138] - BSA and Azide free (AB245201)
  • ICC/IF

Lab

Immunocytochemistry/ Immunofluorescence - Anti-15 Lipoxygenase 1 antibody [EPR22138] - BSA and Azide free (AB245201)

Immunofluorescent analysis of 4% paraformaldehyde-fixed, 0.1% Triton X-100 permeabilized PC-12 (rat adrenal gland pheochromocytoma small irregularly shaped cells) cells labelling 15 Lipoxygenase 1 with primary antibody anti-15 Lipoxygenase 1 (ab244205) at 1/50 dilution, followed by Goat Anti-Rabbit IgG H&L (Alexa Fluor® 488) preadsorbed (ab150081) secondary antibody at 1/1000 dilution. Confocal image showing cytoplasmic staining in PC-12 cells. Anti-alpha Tubulin antibody (DM1A) - Microtubule Marker (Alexa Fluor® 594) (ab195889) was used to counterstain tubulin at 1/200 dilution. The nuclear counter stain is DAPI (blue). This data was developed using the same antibody clone in a different buffer formulation containing PBS, BSA, glycerol, and sodium azide (ab244205).

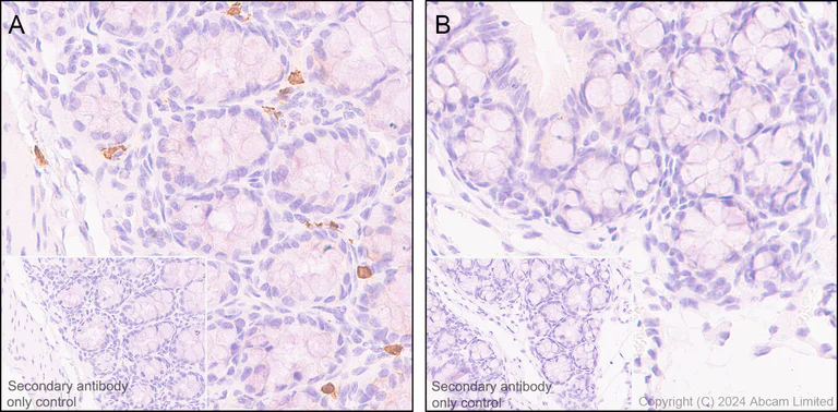
Immunohistochemistry (Formalin/PFA-fixed paraffin-embedded sections) - Anti-15 Lipoxygenase 1 antibody [EPR22138] - BSA and Azide free (AB245201)
  • IHC-P

Lab

Immunohistochemistry (Formalin/PFA-fixed paraffin-embedded sections) - Anti-15 Lipoxygenase 1 antibody [EPR22138] - BSA and Azide free (AB245201)

This data was developed using ab244205, the same antibody clone in a different buffer formulation.

Immunohistochemical analysis of paraffin-embedded (A) Colon tissue from wild-type C57BL/6JGpt mice and (B) Colon tissue from Alox15 knockout mice tissue labeling 15 Lipoxygenase 1 with ab244205 at 1/1000 dilution, followed by a ready to use LeicaDS9800 (Bond Polymer Refine Detection).

Positive staining on (A) Colon tissue from wild-type C57BL/6JGpt mice and no staining on (B) Colon tissue from Alox15 knockout mice.
The section was incubated with ab244205 for 30 mins at room temperature.
The immunostaining was performed on a Leica Biosystems BOND® RX instrument.
The tissue samples were kindly provided by GemPharmatech. C57BL/6JGpt wildtype mice and Alox15-KO homozygous mice (Strain ID : T027316).

Counterstained with Hematoxylin.

Secondary antibody only control : Secondary antibody is a ready to use LeicaDS9800 (Bond Polymer Refine Detection).

Heat mediated antigen retrieval was performed with Tris-EDTA buffer (pH 9.0, Epitope Retrieval Solution2) for 20 mins.

Immunohistochemistry (Formalin/PFA-fixed paraffin-embedded sections) - Anti-15 Lipoxygenase 1 antibody [EPR22138] - BSA and Azide free (AB245201)
  • IHC-P

Unknown

Immunohistochemistry (Formalin/PFA-fixed paraffin-embedded sections) - Anti-15 Lipoxygenase 1 antibody [EPR22138] - BSA and Azide free (AB245201)

Immunohistochemical analysis of paraffin-embedded mouse colon tissue labeling 15 Lipoxygenase 1 with ab244205 at 1/4000 dilution, followed by Goat Anti-Rabbit IgG H&L (HRP) Ready to use. Positive staining in eosinophils of mouse colon (PMID : 30118527; PMID : 23503644). Counter stained with hematoxylin.

Secondary antibody only control : Used PBS instead of primary antibody, secondary antibody is Goat Anti-Rabbit IgG H&L (HRP) Ready to use.

This data was developed using the same antibody clone in a different buffer formulation containing PBS, BSA, glycerol, and sodium azide (ab244205).

Immunohistochemistry (Frozen sections) - Anti-15 Lipoxygenase 1 antibody [EPR22138] - BSA and Azide free (AB245201)
  • IHC-Fr

Unknown

Immunohistochemistry (Frozen sections) - Anti-15 Lipoxygenase 1 antibody [EPR22138] - BSA and Azide free (AB245201)

Immunohistochemical analysis of 4% paraformaldehyde-fixed, 0.2% Triton X-100 permeabilized frozen mouse colon tissue labeling 15 Lipoxygenase 1 with ab244205 at 1/500 dilution, followed by Goat Anti-Rabbit IgG H&L (Alexa Fluor® 488) (ab150077) secondary antibody at 1/1000 dilution (green). Positive staining in eosinophils of mouse colon (PMID : 23503644).

The nuclear counter stain is DAPI (blue).

Secondary antibody only control : Used PBS instead of primary antibody, secondary antibody is Goat Anti-Rabbit IgG H&L (Alexa Fluor® 488) (ab150077) secondary antibody at 1/1000 dilution.

This data was developed using the same antibody clone in a different buffer formulation containing PBS, BSA, glycerol, and sodium azide (ab244205).

Western blot - Anti-15 Lipoxygenase 1 antibody [EPR22138] - BSA and Azide free (AB245201)
  • WB

Lab

Western blot - Anti-15 Lipoxygenase 1 antibody [EPR22138] - BSA and Azide free (AB245201)

This data was developed using ab244205, the same antibody clone in a different buffer formulation.

The tissue samples were kindly provided by GemPharmatech. C57BL/6JGpt wildtype mice and Alox15-KO homozygous mice (Strain ID : T027316).

In Western blot, Anti-GAPDH antibody [EPR16891] - Loading Control (ab181602) staining at 1/200000 dilution.

Blocking and diluting buffer and concentration : 5% NFDM/TBST.

All lanes:

Western blot - Anti-15 Lipoxygenase 1 antibody [EPR22138] (<a href='/en-us/products/primary-antibodies/15-lipoxygenase-1-antibody-epr22138-ab244205'>ab244205</a>) at 1/1000 dilution

Lane 1:

Wild-type mouse colon tissue lysate (male)

Lane 2:

Alox15 knockout colon tissue lysate (male)

Lane 3:

Wild-type mouse colon tissue lysate (female)

Lane 4:

Alox15 knockout colon tissue lysate (female)

Secondary

All lanes:

Western blot - Goat Anti-Rabbit IgG H&L (HRP) (<a href='/en-us/products/secondary-antibodies/goat-rabbit-igg-h-l-hrp-ab97051'>ab97051</a>) at 1/20000 dilution

Observed band size: 75 kDa

false

Exposure time: 38s

Key facts

Host species

Rabbit

Clonality

Monoclonal

Clone number

EPR22138

Isotype

IgG

Carrier free

Yes

Reacts with

Mouse, Rat, Human

Applications

WB, ICC/IF, IHC-Fr, IHC-P

applications

Immunogen

The exact immunogen used to generate this antibody is proprietary information.

Reactivity data

{ "title": "Reactivity Data", "filters": { "stats": ["", "Species", "Dilution Info", "Notes"], "tabs": { "all-applications": {"fullname" : "All Applications", "shortname": "All Applications"}, "IHCP" : {"fullname" : "Immunohistochemistry (Formalin/PFA-fixed paraffin-embedded sections)", "shortname":"IHC-P"}, "ICCIF" : {"fullname" : "Immunocytochemistry/ Immunofluorescence", "shortname":"ICC/IF"}, "IHCFr" : {"fullname" : "Immunohistochemistry (Frozen sections)", "shortname":"IHC-Fr"}, "WB" : {"fullname" : "Western blot", "shortname":"WB"}, "IP" : {"fullname" : "Immunoprecipitation", "shortname":"IP"} }, "product-promise": { "all": "all", "testedAndGuaranteed": "tested", "guaranteed": "expected", "predicted": "predicted", "notRecommended": "not-recommended" } }, "values": { "Human": { "IHCP-species-checked": "testedAndGuaranteed", "IHCP-species-dilution-info": "", "IHCP-species-notes": "<p></p>", "ICCIF-species-checked": "testedAndGuaranteed", "ICCIF-species-dilution-info": "", "ICCIF-species-notes": "<p></p>", "IHCFr-species-checked": "guaranteed", "IHCFr-species-dilution-info": "", "IHCFr-species-notes": "", "WB-species-checked": "testedAndGuaranteed", "WB-species-dilution-info": "", "WB-species-notes": "<p></p>", "IP-species-checked": "notRecommended", "IP-species-dilution-info": "", "IP-species-notes": "<p></p>" }, "Mouse": { "IHCP-species-checked": "testedAndGuaranteed", "IHCP-species-dilution-info": "", "IHCP-species-notes": "<p></p>", "ICCIF-species-checked": "notRecommended", "ICCIF-species-dilution-info": "", "ICCIF-species-notes": "<p></p>", "IHCFr-species-checked": "testedAndGuaranteed", "IHCFr-species-dilution-info": "", "IHCFr-species-notes": "<p>Perform heat mediated antigen retrieval using sodium citrate buffer (10mM citrate pH 6.0 + 0.05% Tween-20).</p>", "WB-species-checked": "testedAndGuaranteed", "WB-species-dilution-info": "", "WB-species-notes": "<p></p>", "IP-species-checked": "notRecommended", "IP-species-dilution-info": "", "IP-species-notes": "<p></p>" }, "Rat": { "IHCP-species-checked": "testedAndGuaranteed", "IHCP-species-dilution-info": "", "IHCP-species-notes": "<p></p>", "ICCIF-species-checked": "testedAndGuaranteed", "ICCIF-species-dilution-info": "", "ICCIF-species-notes": "<p></p>", "IHCFr-species-checked": "notRecommended", "IHCFr-species-dilution-info": "", "IHCFr-species-notes": "<p></p>", "WB-species-checked": "testedAndGuaranteed", "WB-species-dilution-info": "", "WB-species-notes": "<p></p>", "IP-species-checked": "notRecommended", "IP-species-dilution-info": "", "IP-species-notes": "<p></p>" }, "Transfected cell line - Human": { "IHCP-species-checked": "notRecommended", "IHCP-species-dilution-info": "", "IHCP-species-notes": "", "ICCIF-species-checked": "notRecommended", "ICCIF-species-dilution-info": "", "ICCIF-species-notes": "", "IHCFr-species-checked": "notRecommended", "IHCFr-species-dilution-info": "", "IHCFr-species-notes": "", "WB-species-checked": "testedAndGuaranteed", "WB-species-dilution-info": "", "WB-species-notes": "<p></p>", "IP-species-checked": "notRecommended", "IP-species-dilution-info": "", "IP-species-notes": "" } } }

Product details

ab245201 is the carrier-free version of ab244205.

Patented technology
Our RabMAb® technology is a patented hybridoma-based technology for making rabbit monoclonal antibodies. For details on our patents, please refer to RabMAb® patents.

What are the advantages of a recombinant monoclonal antibody?
This product is a recombinant monoclonal antibody, which offers several advantages including:

  • - High batch-to-batch consistency and reproducibility
  • - Improved sensitivity and specificity
  • - Long-term security of supply
  • - Animal-free batch production

For more information, read more on recombinant antibodies.

Conjugation ready
Our carrier-free antibodies are typically supplied in a PBS-only formulation, purified and free of BSA, sodium azide and glycerol. This conjugation-ready format is designed for use with fluorochromes, metal isotopes, oligonucleotides, and enzymes, which makes them ideal for antibody labelling, functional and cell-based assays, flow-based assays (e.g. mass cytometry) and Multiplex Imaging applications.

Use our conjugation kits for antibody conjugates that are ready-to-use in as little as 20 minutes with 1 minute hands-on-time and 100% antibody recovery: available for fluorescent dyes, HRP, biotin and gold.

Compatibility
This product is compatible with the Maxpar® Antibody Labeling Kit from Fluidigm, without the need for antibody preparation. Maxpar® is a trademark of Fluidigm Canada Inc.

Properties and storage information

Form
Liquid
Purification technique
Affinity purification Protein A
Storage buffer
pH: 7.2 - 7.4 Constituents: PBS
Shipped at conditions
Blue Ice
Appropriate short-term storage conditions
+4°C
Appropriate long-term storage conditions
+4°C
Storage information
Do Not Freeze

Supplementary information

This supplementary information is collated from multiple sources and compiled automatically.

15-Lipoxygenase 1 also known as 15-LOX-1 is an enzyme with significant mechanical roles in the human body. Its main function is to catalyze the oxidation of fatty acids especially converting arachidonic acid to 15-hydroperoxyeicosatetraenoic acid (15-HPETE). The protein has other names like arachidonate 15-lipoxygenase or 15-LO. The molecular weight of 15-LOX-1 is approximately 75 kDa. It is mainly expressed in cells of the reticulocyte and tracheobronchial epithelium as well as in macrophages and eosinophils.
Biological function summary

15-Lipoxygenase 1 plays a role in the immune and inflammatory responses. It is involved in lipid mediator biosynthesis producing reactive lipids that influence cell signaling and modulate reactions to inflammation. 15-LOX-1 acts as part of a complex with other enzymes within the lipoxygenase family which includes 5-lipoxygenase and 12-lipoxygenase. This enzyme can also be important for cell maturity and has roles in cell differentiation and maturation particularly in inflamed tissues.

Pathways

Several significant processes involve 15-Lipoxygenase 1 especially its part in the arachidonic acid metabolism and the linoleic acid pathway. In these pathways 15-LOX-1 transforms substances into various lipid signaling molecules like lipoxins and resolvins. These molecules have connections with other proteins like cyclooxygenase-2 (COX-2) and 5-LO which participate in the synthesis of other eicosanoids. The interplay of these pathways and proteins helps in regulating inflammation and resolving it ensuring a balanced biological response to stimuli.

15-Lipoxygenase 1 has associations with conditions including asthma and atherosclerosis. In asthma the enzyme contributes to the inflammatory changes observed in affected airways. Its involvement in this respiratory disorder links it with proteins such as LTC4 synthase that generate pro-inflammatory leukotrienes. In atherosclerosis 15-LOX-1 interacts with oxidized low-density lipoprotein (LDL) in arterial walls which contributes to plaque formation and the associated chronic inflammation. These roles reveal the enzyme's significance in both chronic inflammation and cardiovascular disease settings.

Product protocols

For this product, it's our understanding that no specific protocols are required. You can visit:

Target data

Non-heme iron-containing dioxygenase that catalyzes the stereo-specific peroxidation of free and esterified polyunsaturated fatty acids generating a spectrum of bioactive lipid mediators (PubMed : 17052953, PubMed : 1944593, PubMed : 24282679, PubMed : 25293588, PubMed : 32404334, PubMed : 8334154). It inserts peroxyl groups at C12 or C15 of arachidonate ((5Z,8Z,11Z,14Z)-eicosatetraenoate) producing both 12-hydroperoxyeicosatetraenoate/12-HPETE and 15-hydroperoxyeicosatetraenoate/15-HPETE (PubMed : 17052953, PubMed : 1944593, PubMed : 24282679, PubMed : 8334154). It may then act on 12-HPETE to produce hepoxilins, which may show pro-inflammatory properties (By similarity). Can also peroxidize linoleate ((9Z,12Z)-octadecadienoate) to 13-hydroperoxyoctadecadienoate/13-HPODE (PubMed : 8334154). May participate in the sequential oxidations of DHA ((4Z,7Z,10Z,13Z,16Z,19Z)-docosahexaenoate) to generate specialized pro-resolving mediators (SPMs)like resolvin D5 ((7S,17S)-diHPDHA) and (7S,14S)-diHPDHA, that actively down-regulate the immune response and have anti-aggregation properties with platelets (PubMed : 32404334). Can convert epoxy fatty acids to hydroperoxy-epoxides derivatives followed by an intramolecular nucleophilic substitution leading to the formation of monocyclic endoperoxides (PubMed : 25293588). Plays an important role during the maintenance of self-tolerance by peroxidizing membrane-bound phosphatidylethanolamine which can then signal the sorting process for clearance of apoptotic cells during inflammation and prevent an autoimmune response. In addition to its role in the immune and inflammatory responses, this enzyme may play a role in epithelial wound healing in the cornea through production of lipoxin A4 (LXA(4)) and docosahexaenoic acid-derived neuroprotectin D1 (NPD1; 10R,17S-HDHA), both lipid autacoids exhibit anti-inflammatory and neuroprotective properties. Furthermore, it may regulate actin polymerization which is crucial for several biological processes such as the phagocytosis of apoptotic cells. It is also implicated in the generation of endogenous ligands for peroxisome proliferator activated receptor (PPAR-gamma), hence modulating macrophage development and function. It may also exert a negative effect on skeletal development by regulating bone mass through this pathway. As well as participates in ER stress and downstream inflammation in adipocytes, pancreatic islets, and liver (By similarity). Finally, it is also involved in the cellular response to IL13/interleukin-13 (PubMed : 21831839).
See full target information ALOX15

Product promise

We are committed to supporting your work with high-quality reagents, and we're here for you every step of the way. In the unlikely event that one of our products does not perform as expected, you're protected by our Product Promise.
For full details, please see our Terms & Conditions

Please note: All products are 'FOR RESEARCH USE ONLY. NOT FOR USE IN DIAGNOSTIC OR THERAPEUTIC PROCEDURES'.

For licensing inquiries, please contact partnerships@abcam.com