JavaScript is disabled in your browser. Please enable JavaScript to view this website.
AB119774

Anti-15 Lipoxygenase 1 antibody [OTI3G8]

4

(1 Review)

|

(31 Publications)

Mouse Monoclonal 15 Lipoxygenase 1 antibody. Suitable for IHC-P, ICC/IF and reacts with Human, African green monkey samples. Cited in 31 publications. Immunogen corresponding to Recombinant Full Length Protein corresponding to Human ALOX15.

View Alternative Names

LOG15, ALOX15, Polyunsaturated fatty acid lipoxygenase ALOX15, 12/15-lipoxygenase, Arachidonate 15-lipoxygenase, Arachidonate omega-6 lipoxygenase, Hepoxilin A3 synthase Alox15, Linoleate 13S-lipoxygenase, 12-LOX, 15-LOX, 15-LOX-1

8 Images
Immunohistochemistry (Formalin/PFA-fixed paraffin-embedded sections) - Anti-15 Lipoxygenase 1 antibody [OTI3G8] (AB119774)
  • IHC-P

Unknown

Immunohistochemistry (Formalin/PFA-fixed paraffin-embedded sections) - Anti-15 Lipoxygenase 1 antibody [OTI3G8] (AB119774)

ab119774 at 1/150 dilution, staining 15 Lipoxygenase 1 in formalin-fixed, paraffin-embedded Human pancreas carcinoma tissue by Immunohistochemistry.

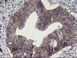
Immunohistochemistry (Formalin/PFA-fixed paraffin-embedded sections) - Anti-15 Lipoxygenase 1 antibody [OTI3G8] (AB119774)
  • IHC-P

Unknown

Immunohistochemistry (Formalin/PFA-fixed paraffin-embedded sections) - Anti-15 Lipoxygenase 1 antibody [OTI3G8] (AB119774)

ab119774 at 1/150 dilution, staining 15 Lipoxygenase 1 in formalin-fixed, paraffin-embedded Human bladder carcinoma tissue by Immunohistochemistry.

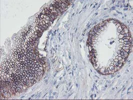
Immunohistochemistry (Formalin/PFA-fixed paraffin-embedded sections) - Anti-15 Lipoxygenase 1 antibody [OTI3G8] (AB119774)
  • IHC-P

Unknown

Immunohistochemistry (Formalin/PFA-fixed paraffin-embedded sections) - Anti-15 Lipoxygenase 1 antibody [OTI3G8] (AB119774)

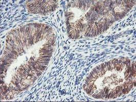
ab119774 at 1/150 dilution, staining 15 Lipoxygenase 1 in formalin-fixed, paraffin-embedded Human endometrium adenocarcinoma tissue by Immunohistochemistry.

Immunohistochemistry (Formalin/PFA-fixed paraffin-embedded sections) - Anti-15 Lipoxygenase 1 antibody [OTI3G8] (AB119774)
  • IHC-P

Unknown

Immunohistochemistry (Formalin/PFA-fixed paraffin-embedded sections) - Anti-15 Lipoxygenase 1 antibody [OTI3G8] (AB119774)

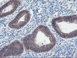
ab119774 at 1/150 dilution, staining 15 Lipoxygenase 1 in formalin-fixed, paraffin-embedded Human endometrium tissue by Immunohistochemistry.

Immunohistochemistry (Formalin/PFA-fixed paraffin-embedded sections) - Anti-15 Lipoxygenase 1 antibody [OTI3G8] (AB119774)
  • IHC-P

Unknown

Immunohistochemistry (Formalin/PFA-fixed paraffin-embedded sections) - Anti-15 Lipoxygenase 1 antibody [OTI3G8] (AB119774)

ab119774 at 1/150 dilution, staining 15 Lipoxygenase 1 in formalin-fixed, paraffin-embedded Human thyroid carcinoma tissue by Immunohistochemistry.

Immunohistochemistry (Formalin/PFA-fixed paraffin-embedded sections) - Anti-15 Lipoxygenase 1 antibody [OTI3G8] (AB119774)
  • IHC-P

Unknown

Immunohistochemistry (Formalin/PFA-fixed paraffin-embedded sections) - Anti-15 Lipoxygenase 1 antibody [OTI3G8] (AB119774)

ab119774 at 1/150 dilution, staining 15 Lipoxygenase 1 in formalin-fixed, paraffin-embedded Human breast tissue by Immunohistochemistry.

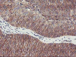
Immunohistochemistry (Formalin/PFA-fixed paraffin-embedded sections) - Anti-15 Lipoxygenase 1 antibody [OTI3G8] (AB119774)
  • IHC-P

Unknown

Immunohistochemistry (Formalin/PFA-fixed paraffin-embedded sections) - Anti-15 Lipoxygenase 1 antibody [OTI3G8] (AB119774)

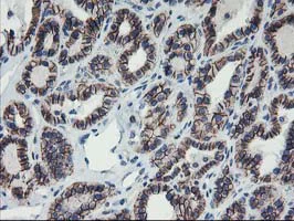
ab119774 at 1/150 dilution, staining 15 Lipoxygenase 1 in formalin-fixed, paraffin-embedded Human prostate carcinoma tissue by Immunohistochemistry.

Immunocytochemistry/ Immunofluorescence - Anti-15 Lipoxygenase 1 antibody [OTI3G8] (AB119774)
  • ICC/IF

Supplier Data

Immunocytochemistry/ Immunofluorescence - Anti-15 Lipoxygenase 1 antibody [OTI3G8] (AB119774)

ab119774 at 1/100, staining 15 Lipoxygenase 1 in COS7 cells transiently transfected with pCMV6-ENTRY 15 Lipoxygenase 1, by immunofluorescence.

Key facts

Host species

Mouse

Clonality

Monoclonal

Clone number

OTI3G8

Isotype

IgG2b

Carrier free

No

Reacts with

Human, African green monkey

Applications

IHC-P, ICC/IF

applications

Immunogen

Recombinant Full Length Protein corresponding to Human ALOX15.

P16050

Reactivity data

{ "title": "Reactivity Data", "filters": { "stats": ["", "Species", "Dilution Info", "Notes"], "tabs": { "all-applications": {"fullname" : "All Applications", "shortname": "All Applications"}, "IHCP" : {"fullname" : "Immunohistochemistry (Formalin/PFA-fixed paraffin-embedded sections)", "shortname":"IHC-P"}, "ICCIF" : {"fullname" : "Immunocytochemistry/ Immunofluorescence", "shortname":"ICC/IF"} }, "product-promise": { "all": "all", "testedAndGuaranteed": "tested", "guaranteed": "expected", "predicted": "predicted", "notRecommended": "not-recommended" } }, "values": { "Human": { "IHCP-species-checked": "testedAndGuaranteed", "IHCP-species-dilution-info": "1/150", "IHCP-species-notes": "<p></p>", "ICCIF-species-checked": "guaranteed", "ICCIF-species-dilution-info": "", "ICCIF-species-notes": "" }, "African green monkey": { "IHCP-species-checked": "guaranteed", "IHCP-species-dilution-info": "", "IHCP-species-notes": "", "ICCIF-species-checked": "testedAndGuaranteed", "ICCIF-species-dilution-info": "1/100", "ICCIF-species-notes": "<p></p>" } } }

Product details

The clone number has been updated from 3G8 to OTI3G8, both clone numbers name the same clone.

Properties and storage information

Form
Liquid
Purification technique
Affinity purification Protein A
Purification notes
Purified from TCS
Storage buffer
pH: 7.3 Preservative: 0.02% Sodium azide Constituents: PBS, 50% Glycerol (glycerin, glycerine), 1% BSA
Shipped at conditions
Blue Ice
Appropriate short-term storage conditions
+4°C
Appropriate long-term storage conditions
-20°C
Aliquoting information
Upon delivery aliquot
Storage information
Avoid freeze / thaw cycle

Supplementary information

This supplementary information is collated from multiple sources and compiled automatically.

15-Lipoxygenase 1 also known as 15-LOX-1 is an enzyme with significant mechanical roles in the human body. Its main function is to catalyze the oxidation of fatty acids especially converting arachidonic acid to 15-hydroperoxyeicosatetraenoic acid (15-HPETE). The protein has other names like arachidonate 15-lipoxygenase or 15-LO. The molecular weight of 15-LOX-1 is approximately 75 kDa. It is mainly expressed in cells of the reticulocyte and tracheobronchial epithelium as well as in macrophages and eosinophils.
Biological function summary

15-Lipoxygenase 1 plays a role in the immune and inflammatory responses. It is involved in lipid mediator biosynthesis producing reactive lipids that influence cell signaling and modulate reactions to inflammation. 15-LOX-1 acts as part of a complex with other enzymes within the lipoxygenase family which includes 5-lipoxygenase and 12-lipoxygenase. This enzyme can also be important for cell maturity and has roles in cell differentiation and maturation particularly in inflamed tissues.

Pathways

Several significant processes involve 15-Lipoxygenase 1 especially its part in the arachidonic acid metabolism and the linoleic acid pathway. In these pathways 15-LOX-1 transforms substances into various lipid signaling molecules like lipoxins and resolvins. These molecules have connections with other proteins like cyclooxygenase-2 (COX-2) and 5-LO which participate in the synthesis of other eicosanoids. The interplay of these pathways and proteins helps in regulating inflammation and resolving it ensuring a balanced biological response to stimuli.

15-Lipoxygenase 1 has associations with conditions including asthma and atherosclerosis. In asthma the enzyme contributes to the inflammatory changes observed in affected airways. Its involvement in this respiratory disorder links it with proteins such as LTC4 synthase that generate pro-inflammatory leukotrienes. In atherosclerosis 15-LOX-1 interacts with oxidized low-density lipoprotein (LDL) in arterial walls which contributes to plaque formation and the associated chronic inflammation. These roles reveal the enzyme's significance in both chronic inflammation and cardiovascular disease settings.

Product protocols

For this product, it's our understanding that no specific protocols are required. You can visit:

Target data

Non-heme iron-containing dioxygenase that catalyzes the stereo-specific peroxidation of free and esterified polyunsaturated fatty acids generating a spectrum of bioactive lipid mediators (PubMed : 17052953, PubMed : 1944593, PubMed : 24282679, PubMed : 25293588, PubMed : 32404334, PubMed : 8334154). It inserts peroxyl groups at C12 or C15 of arachidonate ((5Z,8Z,11Z,14Z)-eicosatetraenoate) producing both 12-hydroperoxyeicosatetraenoate/12-HPETE and 15-hydroperoxyeicosatetraenoate/15-HPETE (PubMed : 17052953, PubMed : 1944593, PubMed : 24282679, PubMed : 8334154). It may then act on 12-HPETE to produce hepoxilins, which may show pro-inflammatory properties (By similarity). Can also peroxidize linoleate ((9Z,12Z)-octadecadienoate) to 13-hydroperoxyoctadecadienoate/13-HPODE (PubMed : 8334154). May participate in the sequential oxidations of DHA ((4Z,7Z,10Z,13Z,16Z,19Z)-docosahexaenoate) to generate specialized pro-resolving mediators (SPMs)like resolvin D5 ((7S,17S)-diHPDHA) and (7S,14S)-diHPDHA, that actively down-regulate the immune response and have anti-aggregation properties with platelets (PubMed : 32404334). Can convert epoxy fatty acids to hydroperoxy-epoxides derivatives followed by an intramolecular nucleophilic substitution leading to the formation of monocyclic endoperoxides (PubMed : 25293588). Plays an important role during the maintenance of self-tolerance by peroxidizing membrane-bound phosphatidylethanolamine which can then signal the sorting process for clearance of apoptotic cells during inflammation and prevent an autoimmune response. In addition to its role in the immune and inflammatory responses, this enzyme may play a role in epithelial wound healing in the cornea through production of lipoxin A4 (LXA(4)) and docosahexaenoic acid-derived neuroprotectin D1 (NPD1; 10R,17S-HDHA), both lipid autacoids exhibit anti-inflammatory and neuroprotective properties. Furthermore, it may regulate actin polymerization which is crucial for several biological processes such as the phagocytosis of apoptotic cells. It is also implicated in the generation of endogenous ligands for peroxisome proliferator activated receptor (PPAR-gamma), hence modulating macrophage development and function. It may also exert a negative effect on skeletal development by regulating bone mass through this pathway. As well as participates in ER stress and downstream inflammation in adipocytes, pancreatic islets, and liver (By similarity). Finally, it is also involved in the cellular response to IL13/interleukin-13 (PubMed : 21831839).
See full target information ALOX15

Publications (31)

Recent publications for all applications. Explore the full list and refine your search

Redox biology 72:103149 PubMed38581859

2024

ALOX15B controls macrophage cholesterol homeostasis via lipid peroxidation, ERK1/2 and SREBP2.

Applications

Unspecified application

Species

Unspecified reactive species

Yvonne Benatzy,Megan A Palmer,Dieter Lütjohann,Rei-Ichi Ohno,Nadja Kampschulte,Nils Helge Schebb,Dominik C Fuhrmann,Ryan G Snodgrass,Bernhard Brüne

Frontiers in pharmacology 14:1219160 PubMed37680719

2023

Differential impact of 5-lipoxygenase-activating protein antagonists on the biosynthesis of leukotrienes and of specialized pro-resolving mediators.

Applications

Unspecified application

Species

Unspecified reactive species

Philipp Dahlke,Lukas K Peltner,Paul M Jordan,Oliver Werz

Methods in molecular biology (Clifton, N.J.) 2712:211-222 PubMed37578709

2023

Detection of Ferroptosis by Immunohistochemistry and Immunofluorescence.

Applications

Unspecified application

Species

Unspecified reactive species

Xiao Zhong,Ruochan Chen

Acta pharmaceutica Sinica. B 13:2645-2662 PubMed37425043

2023

The suppression of cervical cancer ferroptosis by macrophages: The attenuation of ALOX15 in cancer cells by macrophages-derived exosomes.

Applications

Unspecified application

Species

Unspecified reactive species

Yanlin Luo,Yibing Chen,Huan Jin,Benxin Hou,Hongsheng Li,Xiang Li,Lingfeng Liu,Yuan Zhou,Yonghua Li,Yong Sang Song,Quentin Liu,Zhengzhi Zou

Advanced science (Weinheim, Baden-Wurttemberg, Germany) 10:e2205604 PubMed36567268

2022

Allosteric Activation of 15-Lipoxygenase-1 by Boswellic Acid Induces the Lipid Mediator Class Switch to Promote Resolution of Inflammation.

Applications

Unspecified application

Species

Unspecified reactive species

Friedemann Börner,Simona Pace,Paul M Jordan,Jana Gerstmeier,Mario Gomez,Antonietta Rossi,Nathaniel C Gilbert,Marcia E Newcomer,Oliver Werz

Journal of inflammation research 15:3285-3304 PubMed35676971

2022

Modulation of Inflammation-Related Lipid Mediator Pathways by Celastrol During Human Macrophage Polarization.

Applications

Unspecified application

Species

Unspecified reactive species

Kehong Zhang,Paul Mike Jordan,Simona Pace,Robert K Hofstetter,Markus Werner,Xinchun Chen,Oliver Werz

Immunology 166:47-67 PubMed35143048

2022

Staphylococcus aureus controls eicosanoid and specialized pro-resolving mediator production via lipoteichoic acid.

Applications

Unspecified application

Species

Unspecified reactive species

Laura Miek,Paul M Jordan,Kerstin Günther,Simona Pace,Timo Beyer,David Kowalak,Verena Hoerr,Bettina Löffler,Lorena Tuchscherr,Charles N Serhan,Jana Gerstmeier,Oliver Werz

Journal of inflammation research 15:911-925 PubMed35173459

2022

Shifting the Biosynthesis of Leukotrienes Toward Specialized Pro-Resolving Mediators by the 5-Lipoxygenase-Activating Protein (FLAP) Antagonist BRP-201.

Applications

Unspecified application

Species

Unspecified reactive species

Christian Kretzer,Paul M Jordan,Rossella Bilancia,Antonietta Rossi,Tuğçe Gür Maz,Erden Banoglu,Ulrich S Schubert,Oliver Werz

Biochemical pharmacology 195:114825 PubMed34762841

2021

Natural chalcones elicit formation of specialized pro-resolving mediators and related 15-lipoxygenase products in human macrophages.

Applications

Unspecified application

Species

Unspecified reactive species

Christian Kretzer,Paul M Jordan,Katharina P L Meyer,Daniel Hoff,Markus Werner,Robert Klaus Hofstetter,Andreas Koeberle,Antonio Cala Peralta,Guillaume Viault,Denis Seraphin,Pascal Richomme,Jean-Jacques Helesbeux,Hermann Stuppner,Veronika Temml,Daniela Schuster,Oliver Werz

Biomolecules 11: PubMed34067705

2021

Beneficial Modulation of Lipid Mediator Biosynthesis in Innate Immune Cells by Antirheumatic Glycosides.

Applications

Unspecified application

Species

Unspecified reactive species

Kehong Zhang,Simona Pace,Paul M Jordan,Lukas K Peltner,Alexander Weber,Dagmar Fischer,Robert K Hofstetter,Xinchun Chen,Oliver Werz
View all publications

Product promise

We are committed to supporting your work with high-quality reagents, and we're here for you every step of the way. In the unlikely event that one of our products does not perform as expected, you're protected by our Product Promise.
For full details, please see our Terms & Conditions

Please note: All products are 'FOR RESEARCH USE ONLY. NOT FOR USE IN DIAGNOSTIC OR THERAPEUTIC PROCEDURES'.

For licensing inquiries, please contact partnerships@abcam.com