JavaScript is disabled in your browser. Please enable JavaScript to view this website.
AB187160

Anti-15-PGDH antibody [EPR14332]

3

(2 Reviews)

|

(4 Publications)

Rabbit Recombinant Monoclonal 15-PGDH antibody. Suitable for WB, ICC/IF, Flow Cyt (Intra), IHC-P and reacts with Human samples. Cited in 4 publications.

View Alternative Names

PGDH1, SDR36C1, HPGD, 15-hydroxyprostaglandin dehydrogenase [NAD(+)], 15-PGDH, Eicosanoid/docosanoid dehydrogenase [NAD(+)], Prostaglandin dehydrogenase 1, Short chain dehydrogenase/reductase family 36C member 1

7 Images
Immunocytochemistry/ Immunofluorescence - Anti-15-PGDH antibody [EPR14332] (AB187160)
  • ICC/IF

Supplier Data

Immunocytochemistry/ Immunofluorescence - Anti-15-PGDH antibody [EPR14332] (AB187160)

Immunofluorescent analysis of 4% paraformaldehyde-fixed, 0.1% Triton X-100 permeabilized MCF-7 (human breast adenocarcinoma epithelial cell) labeling 15-PGDH with ab187160 at 1/100 dilution, followed by Goat Anti-Rabbit IgG H&L (Alexa Fluor® 488) (ab150077) secondary antibody at 1/1000 dilution (green).

Anti-alpha Tubulin antibody [DM1A] - Microtubule Marker (Alexa Fluor® 594) (ab195889) at 1/200 was used as a counterstain (red).

The nuclear counterstain is DAPI (blue).

Confocal image showing mainly cytoplasmic staining in MCF-7 cell line.

Immunocytochemistry/ Immunofluorescence - Anti-15-PGDH antibody [EPR14332] (AB187160)
  • ICC/IF

Supplier Data

Immunocytochemistry/ Immunofluorescence - Anti-15-PGDH antibody [EPR14332] (AB187160)

Immunofluorescent analysis of 4% paraformaldehyde-fixed, 0.1% Triton X-100 permeabilized SW480 (Human colorectal adenocarcinoma epithelial cell) labeling 15-PGDH with ab187160 at 1/100 dilution, followed by Goat Anti-Rabbit IgG H&L (Alexa Fluor® 488) (ab150077) secondary antibody at 1/1000 dilution (green).

Anti-alpha Tubulin antibody [DM1A] - Microtubule Marker (Alexa Fluor® 594) (ab195889) at 1/200 was used as a counterstain (red).

The nuclear counterstain is DAPI (blue).

Confocal image showing mainly cytoplasmic staining in SW480 cell line.

Western blot - Anti-15-PGDH antibody [EPR14332] (AB187160)
  • WB

Supplier Data

Western blot - Anti-15-PGDH antibody [EPR14332] (AB187160)

Blocking and Diluting Buffer : 5% NFDM/TBST The expression profile observed in HCT-116, PANC-1 and human heart are consistent with the literatures (PMID : 15542609, PMID : 30250298). Negative control : HCT-116, PANC-1 and human heart (PMID : 15542609, PMID : 30250298).

All lanes:

Western blot - Anti-15-PGDH antibody [EPR14332] (ab187160) at 1/1000 dilution

Lane 1:

HCT-15 (human colorectal carcinoma epithelial cell) whole cell lysate at 20 µg

Lane 2:

HCT116 (human colorectal carcinoma epithelial cell) whole cell lysate at 20 µg

Lane 3:

PANC-1 (human pancreatic epithelioid carcinoma epithelial cell) whole cell lysate at 20 µg

Lane 4:

HEK-293 (human embryonic kidney epithelial cell) whole cell lysate at 20 µg

Lane 5:

Human colon tissue lysate at 20 µg

Lane 6:

Human heart tissue lysate at 20 µg

Secondary

All lanes:

Western blot - Goat Anti-Rabbit IgG H&L (HRP) (<a href='/en-us/products/secondary-antibodies/goat-rabbit-igg-h-l-hrp-ab97051'>ab97051</a>) at 1/20000 dilution

Predicted band size: 29 kDa

Observed band size: 29 kDa

false

Exposure time: 80s

Western blot - Anti-15-PGDH antibody [EPR14332] (AB187160)
  • WB

Supplier Data

Western blot - Anti-15-PGDH antibody [EPR14332] (AB187160)

All lanes:

Western blot - Anti-15-PGDH antibody [EPR14332] (ab187160) at 1/10000 dilution

Lane 1:

caco-2 cell lysate at 20 µg

Lane 2:

SW480 cell lysate at 20 µg

Lane 3:

LoVo cell lysate at 20 µg

Lane 4:

Human placenta lysate at 20 µg

Secondary

All lanes:

Goat Anti-Rabbit IgG, (H+L), Peroxidase conjugated at 1/1000 dilution

Predicted band size: 29 kDa

Observed band size: 25 kDa

false

Flow Cytometry (Intracellular) - Anti-15-PGDH antibody [EPR14332] (AB187160)
  • Flow Cyt (Intra)

Supplier Data

Flow Cytometry (Intracellular) - Anti-15-PGDH antibody [EPR14332] (AB187160)

Intracellular flow cytometrical analysis of Caco-2 cells labeling 15-PGDH with ab187160 at 1/90 compared to a Isotype control. FITC-conjugated goat-anti-rabbit secondary antibody at 1/150 used for the analysis.

Immunohistochemistry (Formalin/PFA-fixed paraffin-embedded sections) - Anti-15-PGDH antibody [EPR14332] (AB187160)
  • IHC-P

Supplier Data

Immunohistochemistry (Formalin/PFA-fixed paraffin-embedded sections) - Anti-15-PGDH antibody [EPR14332] (AB187160)

Immunohistochemical analysis of paraffin embedded Human colon tissue labeling 15-PGDH with ab187160 at 1/4000 with a prediluted HRP Polymer for Rabbit IgG as secondary antibody.

Perform heat mediated antigen retrieval with EDTA buffer pH 9 before commencing with IHC staining protocol.

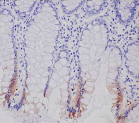
Immunohistochemistry (Formalin/PFA-fixed paraffin-embedded sections) - Anti-15-PGDH antibody [EPR14332] (AB187160)
  • IHC-P

Supplier Data

Immunohistochemistry (Formalin/PFA-fixed paraffin-embedded sections) - Anti-15-PGDH antibody [EPR14332] (AB187160)

Immunohistochemical analysis of paraffin embedded Human stomach tissue labeling 15-PGDH with ab187160 at 1/4000 with a prediluted HRP Polymer for Rabbit IgG as secondary antibody.

Perform heat mediated antigen retrieval with EDTA buffer pH 9 before commencing with IHC staining protocol.

  • Carrier free

    Anti-15-PGDH antibody [EPR14332] - BSA and Azide free

Key facts

Host species

Rabbit

Clonality

Monoclonal

Clone number

EPR14332

Isotype

IgG

Carrier free

No

Reacts with

Human

Applications

Flow Cyt (Intra), ICC/IF, WB, IHC-P

applications

Immunogen

The exact immunogen used to generate this antibody is proprietary information.

Reactivity data

{ "title": "Reactivity Data", "filters": { "stats": ["", "Species", "Dilution Info", "Notes"], "tabs": { "all-applications": {"fullname" : "All Applications", "shortname": "All Applications"}, "WB" : {"fullname" : "Western blot", "shortname":"WB"}, "ICCIF" : {"fullname" : "Immunocytochemistry/ Immunofluorescence", "shortname":"ICC/IF"}, "FlowCytIntra" : {"fullname" : "Flow Cytometry (Intracellular)", "shortname":"Flow Cyt (Intra)"}, "IHCP" : {"fullname" : "Immunohistochemistry (Formalin/PFA-fixed paraffin-embedded sections)", "shortname":"IHC-P"} }, "product-promise": { "all": "all", "testedAndGuaranteed": "tested", "guaranteed": "expected", "predicted": "predicted", "notRecommended": "not-recommended" } }, "values": { "Human": { "WB-species-checked": "testedAndGuaranteed", "WB-species-dilution-info": "1/1000 - 1/10000", "WB-species-notes": "<p></p> Perform heat-mediated antigen retrieval with Tris/EDTA buffer pH 9.0 before commencing with IHC staining protocol.", "ICCIF-species-checked": "testedAndGuaranteed", "ICCIF-species-dilution-info": "1/250", "ICCIF-species-notes": "<p></p>", "FlowCytIntra-species-checked": "testedAndGuaranteed", "FlowCytIntra-species-dilution-info": "1/90", "FlowCytIntra-species-notes": "<p><a href='/en-us/products/primary-antibodies/rabbit-igg-monoclonal-epr25a-isotype-control-ab172730'>ab172730</a> - Rabbit monoclonal IgG, is suitable for use as an isotype control with this antibody.</p>", "IHCP-species-checked": "testedAndGuaranteed", "IHCP-species-dilution-info": "1/4000", "IHCP-species-notes": "<p></p> Perform heat-mediated antigen retrieval with Tris/EDTA buffer pH 9.0 before commencing with IHC staining protocol." } } }

You may be interested in:

AB102533

Alcohol Dehydrogenase Assay Kit

5

1 Reviews

View product

We recommend this product because it’s often used in the same experiment or related research.

We advise that you always check the datasheet to ensure it fits your experiments, or contact ourtechnical teamfor help.

Product details

Patented technology
Our RabMAb® technology is a patented hybridoma-based technology for making rabbit monoclonal antibodies. For details on our patents, please refer to RabMAb® patents.

What are the advantages of a recombinant monoclonal antibody?
This product is a recombinant monoclonal antibody, which offers several advantages including:

  • - High batch-to-batch consistency and reproducibility
  • - Improved sensitivity and specificity
  • - Long-term security of supply
  • - Animal-free batch production

For more information, read more on recombinant antibodies.

Properties and storage information

Form
Liquid
Purification technique
Affinity purification Protein A
Storage buffer
pH: 7.2 - 7.4 Preservative: 0.01% Sodium azide Constituents: 59% PBS, 40% Glycerol (glycerin, glycerine), 0.05% BSA
Shipped at conditions
Blue Ice
Appropriate short-term storage duration
1-2 weeks
Appropriate short-term storage conditions
+4°C
Appropriate long-term storage conditions
-20°C
Aliquoting information
Upon delivery aliquot
Storage information
Avoid freeze / thaw cycle

Supplementary information

This supplementary information is collated from multiple sources and compiled automatically.

15-PGDH also known as 15-hydroxyprostaglandin dehydrogenase PGDH or 15-PGDH protein is an enzyme with a molecular mass of approximately 29 kDa. This enzyme catalyzes the oxidation of the 15-hydroxyl group in prostaglandins specifically converting Prostaglandin E2 (PGE2) into its inactive form. Expression occurs in various tissues including the lung placenta and colonic epithelium. Its activity levels can vary depending on the tissue context and physiological conditions marking its importance in local regulation.
Biological function summary

15-PGDH regulates prostaglandin levels which are lipid compounds playing roles in inflammation and homeostasis. This enzyme does not associate with protein complexes but serves a standalone function in metabolic pathways. It maintains a balance between prostaglandin synthesis and degradation ensuring that inflammatory responses do not exceed what is necessary. The enzyme's activity directly reduces available prostaglandins which in turn dampens related signaling pathways.

Pathways

Prostaglandins and this enzyme are part of arachidonic acid metabolism and the Cyclooxygenase (COX) pathway. These pathways play key roles in inflammation and tissue homeostasis. 15-PGDH interacts with other enzymes like COX-2 as it acts downstream to mitigate PGE2 levels generated by COX enzymes. This diminishes the signaling of other elements such as the AMPA receptors involved in neuronal plasticity and pain perception showcasing the enzyme's regulatory scope within biological systems.

15-PGDH plays a role in colon cancer and pulmonary inflammation. Low expression or activity of this enzyme is associated with increased PGE2 levels contributing to cancer progression and chronic inflammation. This dysregulation may involve proteins like COX-2 where the imbalance between synthesis and degradation leads to elevated prostaglandin signaling. Understanding 15-PGDH functions offers insights into therapeutic potentials making inhibitors and potentiators of interest for treatment of these conditions.

Product protocols

For this product, it's our understanding that no specific protocols are required. You can visit:

Target data

Catalyzes the NAD-dependent dehydrogenation (oxidation) of a broad array of hydroxylated polyunsaturated fatty acids (mainly eicosanoids and docosanoids, including prostaglandins, lipoxins and resolvins), yielding their corresponding keto (oxo) metabolites (PubMed : 10837478, PubMed : 16757471, PubMed : 16828555, PubMed : 21916491, PubMed : 25586183, PubMed : 8086429). Decreases the levels of the pro-proliferative prostaglandins such as prostaglandin E2 (whose activity is increased in cancer because of an increase in the expression of cyclooxygenase 2) and generates oxo-fatty acid products that can profoundly influence cell function by abrogating pro-inflammatory cytokine expression (PubMed : 15574495, PubMed : 25586183). Converts resolvins E1, D1 and D2 to their oxo products, which represents a mode of resolvin inactivation. Resolvin E1 plays important roles during the resolution phase of acute inflammation, while resolvins D1 and D2 have a unique role in obesity-induced adipose inflammation (PubMed : 16757471, PubMed : 22844113).
See full target information HPGD

Publications (4)

Recent publications for all applications. Explore the full list and refine your search

BMC pulmonary medicine 23:116 PubMed37055764

2023

Hpgd affects the progression of hypoxic pulmonary hypertension by regulating vascular remodeling.

Applications

Unspecified application

Species

Unspecified reactive species

Meng He,Kelong Tao,Min Xiang,Jian Sun

BMC cancer 22:308 PubMed35317779

2022

MiR-106b-5p regulates esophageal squamous cell carcinoma progression by binding to HPGD.

Applications

Unspecified application

Species

Unspecified reactive species

Fan Yang,Zhanwen Sun,Dengyun Wang,Tian Du

International journal of gynaecology and obstetrics: the official organ of the International Federation of Gynaecology and Obstetrics 146:223-230 PubMed31004354

2019

Changes in fetal membrane histology with cervical insufficiency and transabdominal cerclage.

Applications

Unspecified application

Species

Unspecified reactive species

Patricia Steenhaut,Christophe Depoix,Corinne Hubinont,Frédéric Debiève

Cell chemical biology 25:255-261.e4 PubMed29307841

2018

ROS-Mediated 15-Hydroxyprostaglandin Dehydrogenase Degradation via Cysteine Oxidation Promotes NAD-Mediated Epithelial-Mesenchymal Transition.

Applications

Unspecified application

Species

Unspecified reactive species

Weixuan Wang,Yadong Hu,Xiaofei Wang,Qingtao Wang,Haiteng Deng
View all publications

Product promise

We are committed to supporting your work with high-quality reagents, and we're here for you every step of the way. In the unlikely event that one of our products does not perform as expected, you're protected by our Product Promise.
For full details, please see our Terms & Conditions

Associated Products

Select an associated product type
Alternative Product
Primary Antibodies

AB217848

Anti-15-PGDH antibody

primary-antibodies

15-pgdh-antibody-ab217848

0

(0 reviews)

Alternative Product
Primary Antibodies

AB187161

Anti-15-PGDH antibody [EPR14332-19]

primary-antibodies

15-pgdh-antibody-epr14332-19-ab187161

0

(0 reviews)

Alternative Product
Primary Antibodies

AB232625

Anti-15-PGDH antibody [EPR14332-19] - BSA and Azide free

primary-antibodies

15-pgdh-antibody-epr14332-19-bsa-and-azide-free-ab232625

0

(0 reviews)

Please note: All products are 'FOR RESEARCH USE ONLY. NOT FOR USE IN DIAGNOSTIC OR THERAPEUTIC PROCEDURES'.

For licensing inquiries, please contact partnerships@abcam.com