JavaScript is disabled in your browser. Please enable JavaScript to view this website.
AB92539

Anti-160 kD Neurofilament Medium antibody [EP2460] - Neuronal Marker

  • BOND RX™ Validated
  • 20ul selling size
  • Recombinant
  • RabMAb
  • KO Validated
  • What is this?

Be the first to review this product! Submit a review

|

(4 Publications)

Knockout Tested Rabbit Recombinant Monoclonal NFM antibody. Suitable for WB, IHC-P, IHC-Fr, ICC/IF, Flow Cyt (Intra) and reacts with Human samples. Cited in 4 publications.

View Alternative Names

NEF3, NFM, NEFM, Neurofilament medium polypeptide, NF-M, 160 kDa neurofilament protein, Neurofilament 3, Neurofilament triplet M protein

9 Images
Immunohistochemistry (Formalin/PFA-fixed paraffin-embedded sections) - Anti-160 kD Neurofilament Medium antibody [EP2460] - Neuronal Marker (AB92539)
  • IHC-P

Supplier Data

Immunohistochemistry (Formalin/PFA-fixed paraffin-embedded sections) - Anti-160 kD Neurofilament Medium antibody [EP2460] - Neuronal Marker (AB92539)

Immunohistochemical analysis of paraffin-embedded Human liver sections labelling 160 kD Neurofilament Medium with ab92539 at 0.105μg/ml, followed by ready to use LeicaDS9800 (Bond™ Polymer Refine Detection) system. Counterstained with Hematoxylin.

Negative control : no staining on human liver. The section was incubated with ab92539 for 30 mins at room temperature.

The immunostaining was performed on a Leica Biosystems BOND® RX instrument. Heat mediated antigen retrieval was performed with Tris-EDTA buffer (pH 9.0, Epitope Retrieval Solution2) for 20 mins.

Flow Cytometry (Intracellular) - Anti-160 kD Neurofilament Medium antibody [EP2460] - Neuronal Marker (AB92539)
  • Flow Cyt (Intra)

Supplier Data

Flow Cytometry (Intracellular) - Anti-160 kD Neurofilament Medium antibody [EP2460] - Neuronal Marker (AB92539)

Intracellular flow cytometric analysis of 4% paraformaldehyde fixed and 90% methanol permeabilized SH-SY5Y (human neuroblastoma epithelial cell) cells labelling Neurofilament with ab92539 at 1/20 dilution followed by ab150081 Goat Anti-Rabbit IgG H&L (Alexa Fluor® 488) (Red).

Immunohistochemistry (Formalin/PFA-fixed paraffin-embedded sections) - Anti-160 kD Neurofilament Medium antibody [EP2460] - Neuronal Marker (AB92539)
  • IHC-P

Supplier Data

Immunohistochemistry (Formalin/PFA-fixed paraffin-embedded sections) - Anti-160 kD Neurofilament Medium antibody [EP2460] - Neuronal Marker (AB92539)

Immunohistochemical analysis of paraffin-embedded Human astrocytoma sections labelling 160 kD Neurofilament Medium with ab92539 at 0.105μg/ml, followed by ready to use LeicaDS9800 (Bond™ Polymer Refine Detection) system. Counterstained with Hematoxylin.

Positive staining on human astrocytoma. The section was incubated with ab92539 for 30 mins at room temperature.

The immunostaining was performed on a Leica Biosystems BOND® RX instrument. Heat mediated antigen retrieval was performed with Tris-EDTA buffer (pH 9.0, Epitope Retrieval Solution2) for 20 mins.

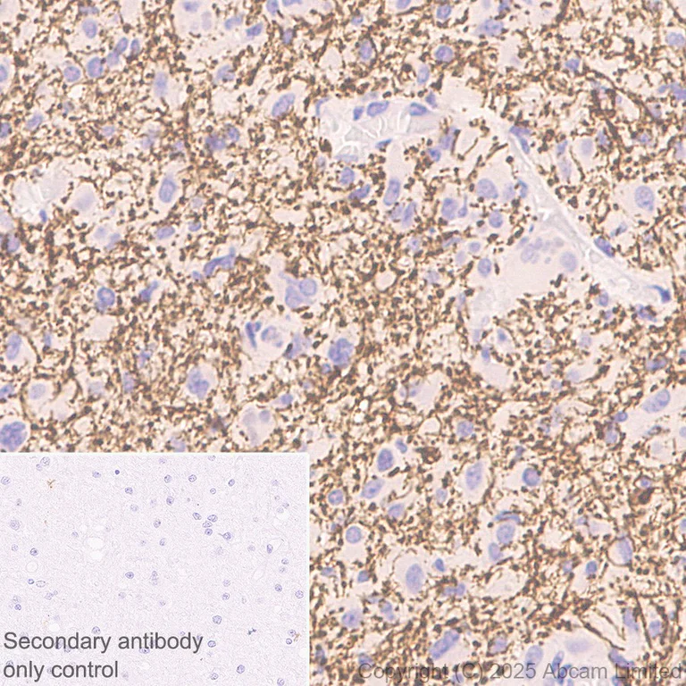
Immunohistochemistry (Formalin/PFA-fixed paraffin-embedded sections) - Anti-160 kD Neurofilament Medium antibody [EP2460] - Neuronal Marker (AB92539)
  • IHC-P

Supplier Data

Immunohistochemistry (Formalin/PFA-fixed paraffin-embedded sections) - Anti-160 kD Neurofilament Medium antibody [EP2460] - Neuronal Marker (AB92539)

Immunohistochemical analysis of paraffin-embedded Human cerebrum tissue labeling 160 kD Neurofilament Medium with ab92539 at 1/1000 dilution, followed by a ready to use LeicaDS9800 (Bond™ Polymer Refine Detection).

Positive staining on human cerebrum. The primary antibody was incubated for 30 mins at room temperature.
The immunostaining was performed on a Leica Biosystems BOND® RX instrument

Counterstained with Hematoxylin.

Secondary antibody only control : Secondary antibody is a ready to use LeicaDS9800 (Bond™ Polymer Refine Detection).

Heat mediated antigen retrieval was performed with Tris-EDTA buffer (pH 9.0, Epitope Retrieval Solution2) for 20 mins

Immunohistochemistry (Formalin/PFA-fixed paraffin-embedded sections) - Anti-160 kD Neurofilament Medium antibody [EP2460] - Neuronal Marker (AB92539)
  • IHC-P

Supplier Data

Immunohistochemistry (Formalin/PFA-fixed paraffin-embedded sections) - Anti-160 kD Neurofilament Medium antibody [EP2460] - Neuronal Marker (AB92539)

Immunohistochemical analysis of paraffin-embedded Human glioblastoma multiforme tissue labeling 160 kD Neurofilament Medium with ab92539 at 1/1000 dilution, followed by a ready to use LeicaDS9800 (Bond™ Polymer Refine Detection).

Positive staining on human glioblastoma multiforme. The primary antibody was incubated for 30 mins at room temperature.
The immunostaining was performed on a Leica Biosystems BOND® RX instrument

Counterstained with Hematoxylin.

Secondary antibody only control : Secondary antibody is a ready to use LeicaDS9800 (Bond™ Polymer Refine Detection).

Heat mediated antigen retrieval was performed with Tris-EDTA buffer (pH 9.0, Epitope Retrieval Solution2) for 20 mins

Immunocytochemistry/ Immunofluorescence - Anti-160 kD Neurofilament Medium antibody [EP2460] - Neuronal Marker (AB92539)
  • ICC/IF

Supplier Data

Immunocytochemistry/ Immunofluorescence - Anti-160 kD Neurofilament Medium antibody [EP2460] - Neuronal Marker (AB92539)

Immunofluorescent analysis of 100% Methanol-fixed, 0.1% TritonX-100 permeabilized SH-SY5Y cells labelling Neurofilament with ab92539 at 1/200 dilution, followed by ab150081 Goat Anti-Rabbit IgG H&L (Alexa Fluor® 488) preadsorbed antibody at 1/1000 dilution (Green).

ab7291 Anti-alpha Tubulin mouse monoclonal antibody at 1/1000 dilution, was co-incubated with ab92539 overnight at 4° C, followed by ab150120 Goat Anti-Mouse IgG H&L (Alexa Fluor® 594) at 1/1000 dilution at RT for 45 min (Magenta).

Confocal image showing cytoplasmic staining in SH-SY5Y cells (shown in green). Nuclear DNA was labelled with DAPI (shown in blue). Image was taken with a confocal microscope (Leica-Microsystems, TCS SP8).

Secondary antibody only control : Secondary antibody is ab150081 Goat Anti-Rabbit IgG H&L (Alexa Fluor® 488) preadsorbed at 1/1000 dilution.

Immunohistochemistry (Frozen sections) - Anti-160 kD Neurofilament Medium antibody [EP2460] - Neuronal Marker (AB92539)
  • IHC-Fr

Lab

Immunohistochemistry (Frozen sections) - Anti-160 kD Neurofilament Medium antibody [EP2460] - Neuronal Marker (AB92539)

Immunohistochemistry image of Neurofilament 160 kDa staining in a section of frozen normal human cerebral cortex*.

The section was fixed using 10% formaldehyde in 1XPBS for 10 minutes. No antigen retrieval step was performed prior to staining. Non-specific protein-protein interactions were then blocked in TBS containing 0.025% (v/v) Triton X-100, 0.3M (w/v) glycine and 1% (w/v) BSA for 1h at room temperature. The section was then incubated overnight at +4°C in TBS containing 0.025% (v/v) Triton X-100 and 1% (w/v) BSA with ab92539 at 1/500 dilution. The secondary antibody was ab150081 (colored green) used at 1 ug/ml for 1hour at room temperature. DAPI was used to stain the cell nuclei (colored blue) at a concentration of 1.43µM for 1hour at room temperature.The section was then mounted using Fluoromount®.

Image was taken with a confocal microscope (Leica-Microsystems, TCS SP8).

For other IHC staining systems (automated and non-automated), customers should optimize variable parameters such as antigen retrieval conditions, antibody concentrations and incubation times.

*Tissue obtained from the Human Research Tissue Bank, supported by the NIHR Cambridge Biomedical Research Centre.

Western blot - Anti-160 kD Neurofilament Medium antibody [EP2460] - Neuronal Marker (AB92539)
  • WB

Supplier Data

Western blot - Anti-160 kD Neurofilament Medium antibody [EP2460] - Neuronal Marker (AB92539)

Blocking and diluting buffer and concentration : 5% NFDM/TBST.

All lanes:

Western blot - Anti-160 kD Neurofilament Medium antibody [EP2460] - Neuronal Marker (ab92539) at 1/10000 dilution

All lanes:

293T (Human embryonic kidney epithelial cell) whole cell lysate at 15 µg

Secondary

All lanes:

Western blot - Goat Anti-Rabbit IgG H&L (HRP) (<a href='/en-us/products/secondary-antibodies/goat-rabbit-igg-h-l-hrp-ab97051'>ab97051</a>) at 1/20000 dilution

Predicted band size: 160 kDa

true

Exposure time: 3s

Western blot - Anti-160 kD Neurofilament Medium antibody [EP2460] - Neuronal Marker (AB92539)
  • WB

Supplier Data

Western blot - Anti-160 kD Neurofilament Medium antibody [EP2460] - Neuronal Marker (AB92539)

Anti-NEFM antibody [EP2460] (ab92539) staining at 0.01μg/ml, shown in green; Mouse anti-CANX [CANX/1543] (ab238078) loading control staining at 1/20000 dilution, shown in magenta. In Western blot, ab92539 was shown to bind specifically to NEFM. A band was observed at 140-160 kDa in wild-type HEK-293T cell lysates with no signal observed at this size in NEFM knockout cell line. To generate this image, wild-type and NEFM knockout HEK-293T cell lysates were analysed. First, samples were run on an SDS-PAGE gel then transferred onto a nitrocellulose membrane. Membranes were blocked in 5% milk in TBS-0.1 % Tween® 20 (TBS-T) before incubation with primary antibodies overnight at 4 °C. Blots were washed four times in TBS-T, incubated with secondary antibodies for 1 h at room temperature, washed again four times then imaged. Secondary antibodies used were Goat anti-Rabbit IgG H&L 800CW and Goat anti-Mouse IgG H&L 680RD at 1/20000 dilution.

All lanes:

Western blot - Anti-160 kD Neurofilament Medium antibody [EP2460] - Neuronal Marker (ab92539) at 0.01 µg/mL

Lane 1:

Wild-type HEK-293T cell lysate at 20 µg

Lane 2:

NEFM knockout HEK-293T cell lysate at 20 µg

Lane 3:

SK-N-BE cell lysate at 20 µg

Lane 4:

A549 cell lysate at 20 µg

Lane 5:

SH-SY5Y cell lysate at 20 µg

Secondary

Lanes 1 - 5:

Goat anti-Rabbit IgG H&L 800CW at 1/20000 dilution

Lanes 1 - 5:

Goat anti-Mouse IgG H&L 680RD at 1/20000 dilution

Predicted band size: 102 kDa

Observed band size: 140-160 kDa

false

  • Carrier free

    Anti-160 kD Neurofilament Medium antibody [EP2460] - BSA and Azide free

Key facts

Host species

Rabbit

Clonality

Monoclonal

Clone number

EP2460

Isotype

IgG

Carrier free

No

Reacts with

Human

Applications

IHC-P, IHC-Fr, ICC/IF, WB, Flow Cyt (Intra)

applications

Immunogen

The exact immunogen used to generate this antibody is proprietary information.

Reactivity data

{ "title": "Reactivity Data", "filters": { "stats": ["", "Species", "Dilution Info", "Notes"], "tabs": { "all-applications": {"fullname" : "All Applications", "shortname": "All Applications"}, "WB" : {"fullname" : "Western blot", "shortname":"WB"}, "IHCP" : {"fullname" : "Immunohistochemistry (Formalin/PFA-fixed paraffin-embedded sections)", "shortname":"IHC-P"}, "IHCFr" : {"fullname" : "Immunohistochemistry (Frozen sections)", "shortname":"IHC-Fr"}, "ICCIF" : {"fullname" : "Immunocytochemistry/ Immunofluorescence", "shortname":"ICC/IF"}, "FlowCytIntra" : {"fullname" : "Flow Cytometry (Intracellular)", "shortname":"Flow Cyt (Intra)"} }, "product-promise": { "all": "all", "testedAndGuaranteed": "tested", "guaranteed": "expected", "predicted": "predicted", "notRecommended": "not-recommended" } }, "values": { "Human": { "WB-species-checked": "testedAndGuaranteed", "WB-species-dilution-info": "1/10000", "WB-species-notes": "<p></p>", "IHCP-species-checked": "testedAndGuaranteed", "IHCP-species-dilution-info": "1/1000", "IHCP-species-notes": "<p></p>", "IHCFr-species-checked": "testedAndGuaranteed", "IHCFr-species-dilution-info": "", "IHCFr-species-notes": "<p></p>", "ICCIF-species-checked": "testedAndGuaranteed", "ICCIF-species-dilution-info": "1/200", "ICCIF-species-notes": "<p></p>", "FlowCytIntra-species-checked": "testedAndGuaranteed", "FlowCytIntra-species-dilution-info": "1/20", "FlowCytIntra-species-notes": "<p></p>" } } }

Product details

The production medthod for this product has been changed from hybridoma to recombinant on 1st Sept 2025

Patented technology
Our RabMAb® technology is a patented hybridoma-based technology for making rabbit monoclonal antibodies. For details on our patents, please refer to RabMAb® patents.

What are the advantages of a recombinant monoclonal antibody?
This product is a recombinant monoclonal antibody, which offers several advantages including:

  • - High batch-to-batch consistency and reproducibility
  • - Improved sensitivity and specificity
  • - Long-term security of supply
  • - Animal-free batch production

For more information, read more on recombinant antibodies.

Properties and storage information

Form
Liquid
Purification technique
Affinity purification Protein A
Storage buffer
pH: 7.2 - 7.4 Preservative: 0.01% Sodium azide Constituents: PBS, 40% Glycerol (glycerin, glycerine), 0.05% BSA
Shipped at conditions
Blue Ice
Appropriate short-term storage duration
1-2 weeks
Appropriate short-term storage conditions
+4°C
Appropriate long-term storage conditions
-20°C
Aliquoting information
Upon delivery aliquot
Storage information
Avoid freeze / thaw cycle

Supplementary information

This supplementary information is collated from multiple sources and compiled automatically.

The 160 kD Neurofilament Medium also known as NEFM NF-M or NEF-M belongs to the family of neurofilament proteins. This protein is an important structural component of neurons particularly in the axonal cytoskeleton. Neurofilament Medium has a molecular mass of around 160 kilodaltons (kD). It shows high levels of expression in neuronal tissues contributing to the maintenance of axonal caliber. Commonly research recognizes it alongside other neurofilament proteins emphasizing its role in providing structural integrity to neurons.
Biological function summary

Neurofilament Medium participates in the formation of a stable network of neurofilaments within neurons. Acting as a part of the intermediate filament protein family it forms a complex with other neurofilaments such as NF-L and NF-H. This complex supports neuron structure and plays an important role in axonal transport. The heteropolymeric nature of neurofilaments contributes to their mechanical stability facilitating essential neuronal functions by aligning neurofilaments along the axon.

Pathways

Neurofilament Medium integrates into the cytoskeletal arrangement pathways that govern axonal transport and stability. It plays a significant role in the neuronal transport pathway associating with other proteins such as dynein and kinesin responsible for the motor functions along axons. Also it relates to the MAP kinase pathway where phosphorylation events modulate its assembly and disassembly dynamics in response to cellular signals.

Neurofilament Medium closely relates to neurodegenerative conditions such as amyotrophic lateral sclerosis (ALS) and Alzheimer's disease. Aberrant phosphorylation or aggregation of NEFM can disrupt neuronal function leading to pathology. In ALS the abnormal accumulation of neurofilaments correlates with motor neuron degeneration. In Alzheimer's its interaction with tau protein poses significant interest as altered states of either could exacerbate neurofibrillary tangles worsening cognitive decline.

Product protocols

For this product, it's our understanding that no specific protocols are required. You can visit:

Target data

Neurofilaments usually contain three intermediate filament proteins : NEFL, NEFM, and NEFH which are involved in the maintenance of neuronal caliber. May additionally cooperate with the neuronal intermediate filament proteins PRPH and INA to form neuronal filamentous networks (By similarity).
See full target information NEFM

Publications (4)

Recent publications for all applications. Explore the full list and refine your search

Cell stem cell 26:579-592.e6 PubMed32142683

2020

Formation of Human Neuroblastoma in Mouse-Human Neural Crest Chimeras.

Applications

Unspecified application

Species

Unspecified reactive species

Malkiel A Cohen,Shupei Zhang,Satyaki Sengupta,Haiting Ma,George W Bell,Brendan Horton,Bandana Sharma,Rani E George,Stefani Spranger,Rudolf Jaenisch

Frontiers in neuroinformatics 12:31 PubMed29896095

2018

Application of Ferulic Acid for Alzheimer's Disease: Combination of Text Mining and Experimental Validation.

Applications

Unspecified application

Species

Unspecified reactive species

Guilin Meng,Xiulin Meng,Xiaoye Ma,Gengping Zhang,Xiaolin Hu,Aiping Jin,Yanxin Zhao,Xueyuan Liu

Scientific reports 5:10839 PubMed26039975

2015

Low-glucose enhances keratocyte-characteristic phenotype from corneal stromal cells in serum-free conditions.

Applications

Unspecified application

Species

Unspecified reactive species

James W Foster,Ricardo M Gouveia,Che J Connon

Cell death & disease 6:e1657 PubMed25695609

2015

Selective inhibition of HDAC8 decreases neuroblastoma growth in vitro and in vivo and enhances retinoic acid-mediated differentiation.

Applications

Unspecified application

Species

Unspecified reactive species

I Rettig,E Koeneke,F Trippel,W C Mueller,J Burhenne,A Kopp-Schneider,J Fabian,A Schober,U Fernekorn,A von Deimling,H E Deubzer,T Milde,O Witt,I Oehme
View all publications

Product promise

We are committed to supporting your work with high-quality reagents, and we're here for you every step of the way. In the unlikely event that one of our products does not perform as expected, you're protected by our Product Promise.
For full details, please see our Terms & Conditions

Please note: All products are 'FOR RESEARCH USE ONLY. NOT FOR USE IN DIAGNOSTIC OR THERAPEUTIC PROCEDURES'.

For licensing inquiries, please contact partnerships@abcam.com