JavaScript is disabled in your browser. Please enable JavaScript to view this website.
AB314890

Anti-1N Tau antibody [EPR25206-82] - BSA and Azide free

Be the first to review this product! Submit a review

|

(0 Publication)

Rabbit Recombinant Monoclonal TAU antibody. Carrier free. Suitable for IHC-P, WB, ICC/IF and reacts with Human, Transfected cell line - Human, Rat, Transfected cell lysate - Human, Recombinant fragment - Human samples.

View Alternative Names

MAPTL, MTBT1, TAU, MAPT, Microtubule-associated protein tau, Neurofibrillary tangle protein, Paired helical filament-tau, PHF-tau

9 Images
Immunohistochemistry (Formalin/PFA-fixed paraffin-embedded sections) - Anti-1N Tau antibody [EPR25206-82] - BSA and Azide free (AB314890)
  • IHC-P

Supplier Data

Immunohistochemistry (Formalin/PFA-fixed paraffin-embedded sections) - Anti-1N Tau antibody [EPR25206-82] - BSA and Azide free (AB314890)

This data was developed using ab314889, the same antibody clone in a different buffer formulation.

Immunohistochemical analysis of paraffin-embedded Human hippocampus tissue labeling 1N Tau with ab314889 at 1/2000 (0.255 ug/ml) dilution, followed by a ready to use LeicaDS9800 (Bond™ Polymer Refine Detection).

Positive staining on human hippocampus.The section was incubated with ab314889 for 30 mins at room temperature.The immunostaining was performed on a Leica Biosystems BOND® RX instrument Counterstained with Hematoxylin.

Secondary antibody only control : Secondary antibody is a ready to use LeicaDS9800 (Bond™ Polymer Refine Detection).

Heat mediated antigen retrieval was performed with Tris-EDTA buffer (pH 9.0, Epitope Retrieval Solution2) for 20 mins

Immunohistochemistry (Formalin/PFA-fixed paraffin-embedded sections) - Anti-1N Tau antibody [EPR25206-82] - BSA and Azide free (AB314890)
  • IHC-P

Supplier Data

Immunohistochemistry (Formalin/PFA-fixed paraffin-embedded sections) - Anti-1N Tau antibody [EPR25206-82] - BSA and Azide free (AB314890)

This data was developed using ab314889, the same antibody clone in a different buffer formulation.

Immunohistochemical analysis of paraffin-embedded (A) HEK-293T (human embryonic kidney epithelial cell) transfected with a human Tau 1N3R expression vector containing a his tag. (B) HEK-293T transfected with a human Tau 1N4R expression vector containing a his tag. (C) HEK-293T transfected with a human Tau 0N3R expression vector containing a his tag. (D) HEK-293T transfected with a human Tau 2N3R expression vector containing a his tag. (E) HEK-293T transfected with a human Tau 0N4R expression vector containing a his tag. (F) HEK-293T transfected with a human Tau 2N4R expression vector containing a his tag. (G) HEK-293T cells transfected with empty vector containing a his tag. tissue labeling 1N Tau with ab314889 at 1/20000 (0.026 ug/ml) dilution, followed by a ready to use LeicaDS9800 (Bond™ Polymer Refine Detection).

Positive staining on (A) HEK-293T transfected with a human Tau 1N3R expression vector containing a his tag and (B) HEK-293T transfected with a human Tau 1N4R expression vector containing a his tag. No staining on (C) HEK-293T transfected with a human Tau 0N3R expression vector containing a his tag, (D) HEK-293T transfected with a human Tau 2N3R expression vector containing a his tag, (E) HEK-293T transfected with a human Tau 0N4R expression vector containing a his tag, (F) HEK-293T transfected with a human Tau 2N4R expression vector containing a his tag, and (G) HEK-293T cells transfected with empty vector containing a his tag. The section was incubated with ab314889 for 30 mins at room temperature.The immunostaining was performed on a Leica Biosystems BOND® RX instrument Counterstained with Hematoxylin.

Secondary antibody only control : Secondary antibody is a ready to use LeicaDS9800 (Bond™ Polymer Refine Detection).

Heat mediated antigen retrieval was performed with Tris-EDTA buffer (pH 9.0, Epitope Retrieval Solution2) for 20 mins

Immunohistochemistry (Formalin/PFA-fixed paraffin-embedded sections) - Anti-1N Tau antibody [EPR25206-82] - BSA and Azide free (AB314890)
  • IHC-P

Supplier Data

Immunohistochemistry (Formalin/PFA-fixed paraffin-embedded sections) - Anti-1N Tau antibody [EPR25206-82] - BSA and Azide free (AB314890)

This data was developed using ab314889, the same antibody clone in a different buffer formulation.

Immunohistochemical analysis of paraffin-embedded Human spleen tissue labeling 1N Tau with ab314889 at 1/2000 (0.255 ug/ml) dilution, followed by a ready to use LeicaDS9800 (Bond™ Polymer Refine Detection).

Negative control : no staining on human spleen. The section was incubated with ab314889 for 30 mins at room temperature.The immunostaining was performed on a Leica Biosystems BOND® RX instrument Counterstained with Hematoxylin.

Secondary antibody only control : Secondary antibody is a ready to use LeicaDS9800 (Bond™ Polymer Refine Detection).

Heat mediated antigen retrieval was performed with Tris-EDTA buffer (pH 9.0, Epitope Retrieval Solution2) for 20 mins

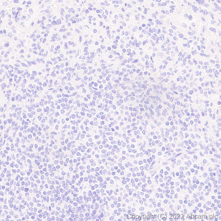
Immunohistochemistry (Formalin/PFA-fixed paraffin-embedded sections) - Anti-1N Tau antibody [EPR25206-82] - BSA and Azide free (AB314890)
  • IHC-P

Supplier Data

Immunohistochemistry (Formalin/PFA-fixed paraffin-embedded sections) - Anti-1N Tau antibody [EPR25206-82] - BSA and Azide free (AB314890)

This data was developed using ab314889, the same antibody clone in a different buffer formulation.

Immunohistochemical analysis of paraffin-embedded Human cerebrum tissue labeling 1N Tau with ab314889 at 1/2000 (0.255 ug/ml) dilution, followed by a ready to use LeicaDS9800 (Bond™ Polymer Refine Detection).

Positive staining on human cerebrum.The section was incubated with ab314889 for 30 mins at room temperature.The immunostaining was performed on a Leica Biosystems BOND® RX instrument Counterstained with Hematoxylin.

Secondary antibody only control : Secondary antibody is a ready to use LeicaDS9800 (Bond™ Polymer Refine Detection).

Heat mediated antigen retrieval was performed with Tris-EDTA buffer (pH 9.0, Epitope Retrieval Solution2) for 20 mins

Immunocytochemistry/ Immunofluorescence - Anti-1N Tau antibody [EPR25206-82] - BSA and Azide free (AB314890)
  • ICC/IF

Supplier Data

Immunocytochemistry/ Immunofluorescence - Anti-1N Tau antibody [EPR25206-82] - BSA and Azide free (AB314890)

This data was developed using ab314889, the same antibody clone in a different buffer formulation.

Immunofluorescent analysis of 4% Paraformaldehyde-fixed, 0.1% TritonX-100 permeabilized 293T (human embryonic kidney epithelial cell) cells labelling 1N Tau with ab314889 at 1/50 (10.2 ug/ml) dilution, followed by ab150081 Goat Anti-Rabbit IgG H&L (Alexa Fluor® 488) preadsorbed antibody at 1/1000 (2 ug/ml) dilution (Green).

Confocal image showing positive staining in 293T cells transfected with a human Tau 1N3R and Tau 1N4R expression vector containing a myc-tag, showing no staining in Tau 0N4R/0N3R/2N3R/2N4R(WT) and empty expression vector containing a myc-tag. Image was taken with a confocal microscope(Leica-Microsystems, TCS SP8).

ab223894 Anti-Myc tag mouse monoclonal antibody (Alexa Fluor® 594) was used to counterstain at 1/100 (5ug/ml) dilution (Red). The Nuclear counterstain was DAPI (Blue).

Secondary antibody only control : Secondary antibody is ab150081 Goat Anti-Rabbit IgG H&L (Alexa Fluor® 488) preadsorbed at 1/1000 (2 ug/ml) dilution.

Western blot - Anti-1N Tau antibody [EPR25206-82] - BSA and Azide free (AB314890)
  • WB

Supplier Data

Western blot - Anti-1N Tau antibody [EPR25206-82] - BSA and Azide free (AB314890)

This data was developed using ab314889, the same antibody clone in a different buffer formulation.

Blocking and diluting buffer and concentration : 5% NFDM/TBST.

Negative control : spleen (PMID : 24386422).

In Western blot, Anti-GAPDH antibody [EPR16891] - Loading Control (ab181602) staining at 1/200000 dilution.

All lanes:

Western blot - Anti-1N Tau antibody [EPR25206-82] (<a href='/en-us/products/primary-antibodies/1n-tau-antibody-epr25206-82-ab314889'>ab314889</a>) at 1/1000 dilution

Lane 1:

Human hippocampus tissue lysate at 80 µg

Lane 2:

Human spleen tissue lysate at 80 µg

Secondary

All lanes:

Western blot - VeriBlot for IP Detection Reagent (HRP) (<a href='/en-us/products/reagents/veriblot-for-ip-detection-reagent-hrp-ab131366'>ab131366</a>) at 1/1000 dilution

Observed band size: 55 kDa,36 kDa

true

Exposure time: 15s

Western blot - Anti-1N Tau antibody [EPR25206-82] - BSA and Azide free (AB314890)
  • WB

Supplier Data

Western blot - Anti-1N Tau antibody [EPR25206-82] - BSA and Azide free (AB314890)

This data was developed using ab314889, the same antibody clone in a different buffer formulation.

Blocking and diluting buffer and concentration : 5% NFDM/TBST.

Negative control : spleen (PMID : 24386422).

In Western blot, Anti-Histone H3 antibody [EPR16987] - Nuclear Marker and ChIP Grade (ab176842) staining at 1/100000 dilution.

All lanes:

Western blot - Anti-1N Tau antibody [EPR25206-82] (<a href='/en-us/products/primary-antibodies/1n-tau-antibody-epr25206-82-ab314889'>ab314889</a>) at 1/1000 dilution

Lane 1:

Rat hippocampus tissue lysate at 80 µg

Lane 2:

Rat spleen tissue lysate at 80 µg

Secondary

All lanes:

Western blot - Goat Anti-Rabbit IgG H&L (HRP) (<a href='/en-us/products/secondary-antibodies/goat-rabbit-igg-h-l-hrp-ab97051'>ab97051</a>) at 1/10000 dilution

Observed band size: 55 kDa,15 kDa

false

Exposure time: 59s

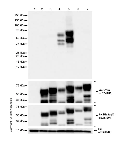
Western blot - Anti-1N Tau antibody [EPR25206-82] - BSA and Azide free (AB314890)
  • WB

Supplier Data

Western blot - Anti-1N Tau antibody [EPR25206-82] - BSA and Azide free (AB314890)

This data was developed using ab314889, the same antibody clone in a different buffer formulation.

Blocking and diluting buffer and concentration : 5% NFDM/TBST.

In Western blot, Anti-Histone H3 antibody [EPR16987] - Nuclear Marker and ChIP Grade (ab176842) staining at 1/100000 dilution.

In Western blot, Anti-6X His tag antibody [EPR20547]-CHIP Grade (ab213204) staining at 1/5000 dilution, Anti-Tau antibody [EPR22524-95] (ab254256) staining at 1/1000 dilution.

All lanes:

Western blot - Anti-1N Tau antibody [EPR25206-82] (<a href='/en-us/products/primary-antibodies/1n-tau-antibody-epr25206-82-ab314889'>ab314889</a>) at 1/1000 dilution

Lane 1:

293T cells transfected with an empty vector containing a His-tag, whole cell lysate at 20 µg

Lane 2:

293T cells transfected with a human Tau 0N3R expression vector containing a His-tag, whole cell lysate at 20 µg

Lane 3:

293T cells transfected with a human Tau 0N4R expression vector containing a His-tag, whole cell lysate at 20 µg

Lane 4:

293T cells transfected with a human Tau 1N3R expression vector containing a His-tag, whole cell lysate at 20 µg

Lane 5:

293T cells transfected with a human Tau 1N4R expression vector containing a His-tag, whole cell lysate at 20 µg

Lane 6:

293T cells transfected with a human Tau 2N3R expression vector containing a His-tag, whole cell lysate at 20 µg

Lane 7:

293T cells transfected with a human Tau 2N4R expression vector containing a His-tag, whole cell lysate at 20 µg

Secondary

All lanes:

Western blot - Goat Anti-Rabbit IgG H&L (HRP) (<a href='/en-us/products/secondary-antibodies/goat-rabbit-igg-h-l-hrp-ab97051'>ab97051</a>) at 1/100000 dilution

Observed band size: 37-75 kDa,15 kDa

false

Exposure time: 6s

Western blot - Anti-1N Tau antibody [EPR25206-82] - BSA and Azide free (AB314890)
  • WB

Supplier Data

Western blot - Anti-1N Tau antibody [EPR25206-82] - BSA and Azide free (AB314890)

This data was developed using ab314889, the same antibody clone in a different buffer formulation.

Blocking and diluting buffer and concentration : 5% NFDM/TBST.

In Western blot, Anti-Tau antibody [EPR22524-95] (ab254256) staining at 1/1000 dilution.

All lanes:

Western blot - Anti-1N Tau antibody [EPR25206-82] (<a href='/en-us/products/primary-antibodies/1n-tau-antibody-epr25206-82-ab314889'>ab314889</a>) at 1/1000 dilution

Lane 1:

His-tagged Tau 0N3R human recombinant protein at 50 ng

Lane 2:

His-tagged Tau 0N4R human recombinant protein at 50 ng

Lane 3:

His-tagged Tau 1N3R human recombinant protein at 10 ng

Lane 4:

His-tagged Tau 1N4R human recombinant protein at 10 ng

Lane 5:

His-tagged Tau 2N3R human recombinant protein at 50 ng

Lane 6:

His-tagged Tau 2N4R human recombinant protein at 50 ng

Secondary

All lanes:

Western blot - Goat Anti-Rabbit IgG H&L (HRP) (<a href='/en-us/products/secondary-antibodies/goat-rabbit-igg-h-l-hrp-ab97051'>ab97051</a>) at 1/100000 dilution

Observed band size: 75 kDa

false

Exposure time: 180s

Key facts

Host species

Rabbit

Clonality

Monoclonal

Clone number

EPR25206-82

Isotype

IgG

Carrier free

Yes

Reacts with

Human, Rat

Applications

IHC-P, WB, ICC/IF

applications

Immunogen

The exact immunogen used to generate this antibody is proprietary information.

Reactivity data

{ "title": "Reactivity Data", "filters": { "stats": ["", "Species", "Dilution Info", "Notes"], "tabs": { "all-applications": {"fullname" : "All Applications", "shortname": "All Applications"}, "IHCP" : {"fullname" : "Immunohistochemistry (Formalin/PFA-fixed paraffin-embedded sections)", "shortname":"IHC-P"}, "WB" : {"fullname" : "Western blot", "shortname":"WB"}, "ICCIF" : {"fullname" : "Immunocytochemistry/ Immunofluorescence", "shortname":"ICC/IF"}, "IP" : {"fullname" : "Immunoprecipitation", "shortname":"IP"} }, "product-promise": { "all": "all", "testedAndGuaranteed": "tested", "guaranteed": "expected", "predicted": "predicted", "notRecommended": "not-recommended" } }, "values": { "Human": { "IHCP-species-checked": "testedAndGuaranteed", "IHCP-species-dilution-info": "", "IHCP-species-notes": "<p></p>", "WB-species-checked": "testedAndGuaranteed", "WB-species-dilution-info": "", "WB-species-notes": "<p></p>", "ICCIF-species-checked": "guaranteed", "ICCIF-species-dilution-info": "", "ICCIF-species-notes": "", "IP-species-checked": "notRecommended", "IP-species-dilution-info": "", "IP-species-notes": "<p></p>" }, "Mouse": { "IHCP-species-checked": "notRecommended", "IHCP-species-dilution-info": "", "IHCP-species-notes": "<p></p>", "WB-species-checked": "notRecommended", "WB-species-dilution-info": "", "WB-species-notes": "", "ICCIF-species-checked": "notRecommended", "ICCIF-species-dilution-info": "", "ICCIF-species-notes": "", "IP-species-checked": "notRecommended", "IP-species-dilution-info": "", "IP-species-notes": "" }, "Rat": { "IHCP-species-checked": "notRecommended", "IHCP-species-dilution-info": "", "IHCP-species-notes": "<p></p>", "WB-species-checked": "testedAndGuaranteed", "WB-species-dilution-info": "", "WB-species-notes": "<p></p>", "ICCIF-species-checked": "notRecommended", "ICCIF-species-dilution-info": "", "ICCIF-species-notes": "<p></p>", "IP-species-checked": "notRecommended", "IP-species-dilution-info": "", "IP-species-notes": "" }, "Recombinant fragment - Human": { "IHCP-species-checked": "notRecommended", "IHCP-species-dilution-info": "", "IHCP-species-notes": "", "WB-species-checked": "testedAndGuaranteed", "WB-species-dilution-info": "", "WB-species-notes": "<p></p>", "ICCIF-species-checked": "notRecommended", "ICCIF-species-dilution-info": "", "ICCIF-species-notes": "", "IP-species-checked": "notRecommended", "IP-species-dilution-info": "", "IP-species-notes": "" }, "Transfected cell line - Human": { "IHCP-species-checked": "testedAndGuaranteed", "IHCP-species-dilution-info": "", "IHCP-species-notes": "<p></p>", "WB-species-checked": "notRecommended", "WB-species-dilution-info": "", "WB-species-notes": "", "ICCIF-species-checked": "testedAndGuaranteed", "ICCIF-species-dilution-info": "", "ICCIF-species-notes": "<p></p>", "IP-species-checked": "notRecommended", "IP-species-dilution-info": "", "IP-species-notes": "" }, "Transfected cell lysate - Human": { "IHCP-species-checked": "notRecommended", "IHCP-species-dilution-info": "", "IHCP-species-notes": "", "WB-species-checked": "testedAndGuaranteed", "WB-species-dilution-info": "", "WB-species-notes": "<p></p>", "ICCIF-species-checked": "notRecommended", "ICCIF-species-dilution-info": "", "ICCIF-species-notes": "", "IP-species-checked": "notRecommended", "IP-species-dilution-info": "", "IP-species-notes": "" } } }

Product details

ab314890 is the carrier-free version of ab314889.

Patented technology
Our RabMAb® technology is a patented hybridoma-based technology for making rabbit monoclonal antibodies. For details on our patents, please refer to RabMAb® patents.

What are the advantages of a recombinant monoclonal antibody?
This product is a recombinant monoclonal antibody, which offers several advantages including:

  • - High batch-to-batch consistency and reproducibility
  • - Improved sensitivity and specificity
  • - Long-term security of supply
  • - Animal-free batch production

For more information, read more on recombinant antibodies.

Conjugation ready
Our carrier-free antibodies are typically supplied in a PBS-only formulation, purified and free of BSA, sodium azide and glycerol. This conjugation-ready format is designed for use with fluorochromes, metal isotopes, oligonucleotides, and enzymes, which makes them ideal for antibody labelling, functional and cell-based assays, flow-based assays (e.g. mass cytometry) and Multiplex Imaging applications.

Use our conjugation kits for antibody conjugates that are ready-to-use in as little as 20 minutes with 1 minute hands-on-time and 100% antibody recovery: available for fluorescent dyes, HRP, biotin and gold.

Compatibility
This product is compatible with the Maxpar® Antibody Labeling Kit from Fluidigm, without the need for antibody preparation. Maxpar® is a trademark of Fluidigm Canada Inc.

Properties and storage information

Form
Liquid
Purification technique
Affinity purification Protein A
Storage buffer
pH: 7.2 - 7.4 Constituents: PBS
Shipped at conditions
Blue Ice
Appropriate short-term storage conditions
+4°C
Appropriate long-term storage conditions
+4°C

Supplementary information

This supplementary information is collated from multiple sources and compiled automatically.

1N Tau also known as human Tau protein plays a role in stabilizing microtubules in neurons. It is a low molecular weight protein with a mass of around 45 kDa. The expression of 1N Tau occurs mostly in the central nervous system but is also present in smaller quantities in peripheral nervous tissues. This protein binds directly to microtubules through its repeat domains which forms a tight and stable structure necessary for proper neuronal function.
Biological function summary

1N Tau is critical in the assembly and stabilization of the neuronal cytoskeleton. It normally functions as part of a larger microtubule-associated protein complex. By promoting microtubule polymerization it helps maintain the axonal transport system necessary for neuronal communication. The functional activity of 1N Tau can be controlled by phosphorylation a process that can modulate its binding affinity to microtubules.

Pathways

The cellular processes involving 1N Tau often intersect with important signaling cascades such as the MAPK/ERK and PI3K/Akt pathways. The alterations in phosphorylation states regulate its interaction with other microtubule-associated proteins like MAP2 and MAP4. This regulation ensures the stability of the neuronal cytoskeleton and influences processes like cell growth and survival impacting overall neuronal health and function.

Abnormal 1N Tau phosphorylation and aggregation are closely associated with neurodegenerative diseases such as Alzheimer's disease and frontotemporal dementia. These conditions often show the presence of paired helical filaments formed by hyperphosphorylated 1N Tau. Interaction with amyloid precursor protein (APP) in Alzheimer's disease suggests a link between Tau aggregation and amyloid beta pathology which contributes to neuronal dysfunction and cognitive decline.

Product protocols

For this product, it's our understanding that no specific protocols are required. You can visit:

Target data

The protein expressed by the MAPT gene promotes microtubule assembly and stability and might be involved in establishing and maintaining neuronal polarity. Its C-terminus binds axonal microtubules, and the N-terminus binds neural plasma membrane components, suggesting that tau functions as a linker protein between the two. Axonal polarity is predetermined by MAPT localization within the neuronal cell's domain defined by the centrosome. The short isoforms allow cytoskeleton plasticity, whereas the longer isoforms may preferentially play a role in its stabilization. This supplementary information is collated from multiple sources and compiled automatically.
See full target information MAPT

Product promise

We are committed to supporting your work with high-quality reagents, and we're here for you every step of the way. In the unlikely event that one of our products does not perform as expected, you're protected by our Product Promise.
For full details, please see our Terms & Conditions

Please note: All products are 'FOR RESEARCH USE ONLY. NOT FOR USE IN DIAGNOSTIC OR THERAPEUTIC PROCEDURES'.

For licensing inquiries, please contact partnerships@abcam.com