JavaScript is disabled in your browser. Please enable JavaScript to view this website.
AB197025

Anti-2 Hydroxy phytanoyl CoA lyase/HACL1 antibody [EPR16812]

5

(1 Review)

|

(3 Publications)

Rabbit Recombinant Monoclonal 2 Hydroxy phytanoyl CoA lyase/HACL1 antibody. Suitable for IP, WB and reacts with Human, Mouse, Rat samples. Cited in 3 publications.

View Alternative Names

HPCL, HPCL2, PHYH2, HSPC279, HACL1, 2-hydroxyacyl-CoA lyase 1, 2-hydroxyphytanoyl-CoA lyase, Phytanoyl-CoA 2-hydroxylase 2, 2-HPCL

3 Images
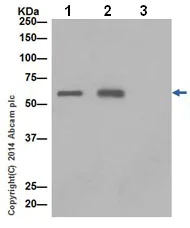
Immunoprecipitation - Anti-2 Hydroxy phytanoyl CoA lyase/HACL1 antibody [EPR16812] (AB197025)
  • IP

Supplier Data

Immunoprecipitation - Anti-2 Hydroxy phytanoyl CoA lyase/HACL1 antibody [EPR16812] (AB197025)

2 Hydroxy phytanoyl CoA lyase/HACL1 was immunoprecipitated from HeLa (Human epithelial cells from cervix adenocarcinoma) whole cell extract with ab197025 at 1/50 dilution. Western blot was performed from the immunoprecipitate using ab197025 at 1/1000 dilution. Anti-Rabbit IgG (HRP), specific to the non-reduced form of IgG, was used as secondary antibody at 1/1500 dilution. Lane 1 : HeLa whole cell extract (Input) 10 μg. Lane 2 : ab197025 IP in HeLa whole cell extract. Lane 3 : Rabbit monoclonal IgG (ab172730) instead of ab197025 in HeLa whole cell extract.
Blocking and dilution buffer and concentration : 5% NFDM/TBST.

All lanes:

Immunoprecipitation - Anti-2 Hydroxy phytanoyl CoA lyase/HACL1 antibody [EPR16812] (ab197025)

Predicted band size: 64 kDa

false

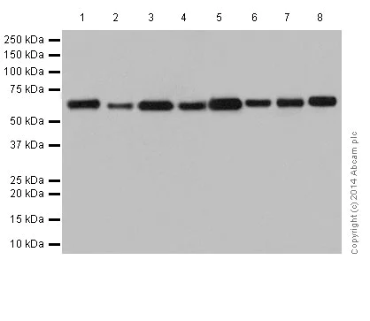
Western blot - Anti-2 Hydroxy phytanoyl CoA lyase/HACL1 antibody [EPR16812] (AB197025)
  • WB

Supplier Data

Western blot - Anti-2 Hydroxy phytanoyl CoA lyase/HACL1 antibody [EPR16812] (AB197025)

Blocking/Dilution buffer : 5% NFDM/TBST.

All lanes:

Western blot - Anti-2 Hydroxy phytanoyl CoA lyase/HACL1 antibody [EPR16812] (ab197025) at 1/1000 dilution

Lane 1:

Mouse brain tissue lysate at 10 µg

Lane 2:

Mouse heart tissue lysate at 10 µg

Lane 3:

Rat brain tissue lysate at 10 µg

Lane 4:

Rat heart tissue lysate at 10 µg

Lane 5:

C6 (Rat glial tumor cell line) whole cell lysate at 10 µg

Lane 6:

RAW 264.7 (Mouse macrophage cells transformed with Abelson murine leukemia virus) whole cell lysate at 10 µg

Lane 7:

PC-12 (Rat adrenal gland pheochromocytoma cell line) whole cell lysate at 10 µg

Lane 8:

NIH/3T3 (Mouse embryonic fibroblast cell line) whole cell lysate at 10 µg

Secondary

All lanes:

Goat Anti-Rabbit IgG, (H+L), Peroxidase conjugated at 1/1000 dilution

Predicted band size: 64 kDa

Observed band size: 64 kDa

false

Western blot - Anti-2 Hydroxy phytanoyl CoA lyase/HACL1 antibody [EPR16812] (AB197025)
  • WB

Supplier Data

Western blot - Anti-2 Hydroxy phytanoyl CoA lyase/HACL1 antibody [EPR16812] (AB197025)

Blocking/Dilution buffer : 5% NFDM/TBST.

All lanes:

Western blot - Anti-2 Hydroxy phytanoyl CoA lyase/HACL1 antibody [EPR16812] (ab197025) at 1/1000 dilution

Lane 1:

HeLa (Human epithelial cells from cervix adenocarcinoma) whole cell lysate at 20 µg

Lane 2:

293T (Human epithelial cells from embryonic kidney) whole cell lysate at 20 µg

Secondary

All lanes:

Goat Anti-Rabbit IgG, (H+L), Peroxidase conjugated at 1/1000 dilution

Predicted band size: 64 kDa

Observed band size: 64 kDa

false

Key facts

Host species

Rabbit

Clonality

Monoclonal

Clone number

EPR16812

Isotype

IgG

Carrier free

No

Reacts with

Mouse, Rat, Human

Applications

WB, IP

applications

Immunogen

The exact immunogen used to generate this antibody is proprietary information.

Reactivity data

{ "title": "Reactivity Data", "filters": { "stats": ["", "Species", "Dilution Info", "Notes"], "tabs": { "all-applications": {"fullname" : "All Applications", "shortname": "All Applications"}, "IP" : {"fullname" : "Immunoprecipitation", "shortname":"IP"}, "WB" : {"fullname" : "Western blot", "shortname":"WB"} }, "product-promise": { "all": "all", "testedAndGuaranteed": "tested", "guaranteed": "expected", "predicted": "predicted", "notRecommended": "not-recommended" } }, "values": { "Human": { "IP-species-checked": "testedAndGuaranteed", "IP-species-dilution-info": "1/50", "IP-species-notes": "<p></p>", "WB-species-checked": "testedAndGuaranteed", "WB-species-dilution-info": "1/1000", "WB-species-notes": "<p></p>" }, "Mouse": { "IP-species-checked": "guaranteed", "IP-species-dilution-info": "", "IP-species-notes": "", "WB-species-checked": "testedAndGuaranteed", "WB-species-dilution-info": "1/1000", "WB-species-notes": "<p></p>" }, "Rat": { "IP-species-checked": "guaranteed", "IP-species-dilution-info": "", "IP-species-notes": "", "WB-species-checked": "testedAndGuaranteed", "WB-species-dilution-info": "1/1000", "WB-species-notes": "<p></p>" } } }

Product details

Patented technology
Our RabMAb® technology is a patented hybridoma-based technology for making rabbit monoclonal antibodies. For details on our patents, please refer to RabMAb® patents.

What are the advantages of a recombinant monoclonal antibody?
This product is a recombinant monoclonal antibody, which offers several advantages including:

  • - High batch-to-batch consistency and reproducibility
  • - Improved sensitivity and specificity
  • - Long-term security of supply
  • - Animal-free batch production

For more information, read more on recombinant antibodies.

Properties and storage information

Form
Liquid
Purification technique
Affinity purification Protein A
Storage buffer
pH: 7.2 - 7.4 Preservative: 0.01% Sodium azide Constituents: PBS, 50% Glycerol (glycerin, glycerine), 0.05% BSA
Shipped at conditions
Blue Ice
Appropriate short-term storage duration
1-2 weeks
Appropriate short-term storage conditions
+4°C
Appropriate long-term storage conditions
-20°C
Aliquoting information
Upon delivery aliquot
Storage information
Avoid freeze / thaw cycle

Supplementary information

This supplementary information is collated from multiple sources and compiled automatically.

2-Hydroxyphytanoyl-CoA lyase (HACL1) also known as phytanoyl-CoA hydroxylase is an enzyme that plays a mechanical role in breaking down branched-chain fatty acids specifically phytanic acid. HACL1 catalyzes the cleavage of 2-hydroxyphytanoyl-CoA to pristanal producing formyl-CoA in the process. This enzyme has a molecular mass of approximately 50 kDa. HACL1 is mainly expressed in peroxisomes which are subcellular compartments involved in lipid metabolism.
Biological function summary

2-Hydroxyphytanoyl-CoA lyase serves a critical function in the metabolism of fatty acids derived from dietary sources especially chlorophyll-rich plant materials. It operates as part of the α-oxidation pathway a unique metabolic route for the degradation of phytanic acid which is a type of branched-chain fatty acid that cannot be processed by β-oxidation. HACL1 is not known to be part of a larger enzyme complex unlike some other enzymes involved in fatty acid metabolism.

Pathways

The α-oxidation pathway is where HACL1 plays its significant role. This pathway starts with the conversion of phytanic acid into 2-hydroxyphytanoyl-CoA which HACL1 then cleaves. The α-oxidation pathway connects to the broader lipid metabolism processes in the body. Related proteins involved in these pathways include fatty aldehyde dehydrogenase (FALDH) which further processes the metabolic products of HACL1 activity.

Disruptions in the function of HACL1 can lead to Refsum disease which is characterized by the accumulation of phytanic acid in the body resulting in neurological symptoms. HACL1's role can be connected to proteins involved in peroxisomal functions like peroxisome biogenesis factor proteins whose dysfunction might also contribute to metabolic disorders similar to Refsum disease such as Zellweger spectrum disorders.

Product protocols

For this product, it's our understanding that no specific protocols are required. You can visit:

Target data

Peroxisomal 2-OH acyl-CoA lyase involved in the cleavage (C1 removal) reaction in the fatty acid alpha-oxydation in a thiamine pyrophosphate (TPP)-dependent manner (PubMed : 10468558, PubMed : 21708296, PubMed : 28289220). Involved in the degradation of 3-methyl-branched fatty acids like phytanic acid and the shortening of 2-hydroxy long-chain fatty acids (PubMed : 10468558, PubMed : 21708296, PubMed : 28289220). Plays a significant role in the biosynthesis of heptadecanal in the liver (By similarity).
See full target information HACL1

Publications (3)

Recent publications for all applications. Explore the full list and refine your search

Glia 73:822-839 PubMed39873321

2025

Glia Modulates Immune Responses in the Retina Through Distinct MHC Pathways.

Applications

Unspecified application

Species

Unspecified reactive species

Simona Intonti,Despina Kokona,Martin S Zinkernagel,Volker Enzmann,Jens V Stein,Federica M Conedera

Molecular and cellular biochemistry 456:53-62 PubMed30604065

2019

Differential distribution of peroxisomal proteins points to specific roles of peroxisomes in the murine retina.

Applications

Unspecified application

Species

Unspecified reactive species

Yannick Das,Nele Roose,Lies De Groef,Marc Fransen,Lieve Moons,Paul P Van Veldhoven,Myriam Baes

Cell biochemistry and function 35:144-155 PubMed28370438

2017

Differential activities of peroxisomes along the mouse intestinal epithelium.

Applications

Unspecified application

Species

Unspecified reactive species

Petruta L Morvay,Myriam Baes,Paul P Van Veldhoven
View all publications

Product promise

We are committed to supporting your work with high-quality reagents, and we're here for you every step of the way. In the unlikely event that one of our products does not perform as expected, you're protected by our Product Promise.
For full details, please see our Terms & Conditions

Please note: All products are 'FOR RESEARCH USE ONLY. NOT FOR USE IN DIAGNOSTIC OR THERAPEUTIC PROCEDURES'.

For licensing inquiries, please contact partnerships@abcam.com