JavaScript is disabled in your browser. Please enable JavaScript to view this website.
AB217335

Anti-2B4 antibody

Be the first to review this product! Submit a review

|

(1 Publication)

Rabbit Polyclonal 2B4 antibody. Suitable for IHC-P and reacts with Human samples. Cited in 1 publication. Immunogen corresponding to Synthetic Peptide within Human CD244 aa 150-200 conjugated to Keyhole Limpet Haemocyanin.

View Alternative Names

CD244, 2B4, Natural killer cell receptor 2B4, NK cell activation-inducing ligand, NK cell type I receptor protein 2B4, SLAM family member 4, Signaling lymphocytic activation molecule 4, NAIL, NKR2B4, h2B4, SLAMF4

1 Images
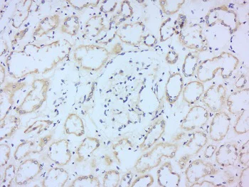
Immunohistochemistry (Formalin/PFA-fixed paraffin-embedded sections) - Anti-2B4 antibody (AB217335)
  • IHC-P

Supplier Data

Immunohistochemistry (Formalin/PFA-fixed paraffin-embedded sections) - Anti-2B4 antibody (AB217335)

Immunohistochemical analysis of paraformaldehyde-fixed and paraffin-embedded Human kidney tissue labeling 2B4 with ab217335 at 1/200 dilution, followed by conjugation to the secondary antibody and DAB staining.

Key facts

Host species

Rabbit

Clonality

Polyclonal

Isotype

IgG

Carrier free

No

Reacts with

Human

Applications

IHC-P

applications

Immunogen

Synthetic Peptide within Human CD244 aa 150-200 conjugated to Keyhole Limpet Haemocyanin. The exact immunogen used to generate this antibody is proprietary information.

Q9BZW8

Reactivity data

{ "title": "Reactivity Data", "filters": { "stats": ["", "Species", "Dilution Info", "Notes"], "tabs": { "all-applications": {"fullname" : "All Applications", "shortname": "All Applications"}, "IHCP" : {"fullname" : "Immunohistochemistry (Formalin/PFA-fixed paraffin-embedded sections)", "shortname":"IHC-P"} }, "product-promise": { "all": "all", "testedAndGuaranteed": "tested", "guaranteed": "expected", "predicted": "predicted", "notRecommended": "not-recommended" } }, "values": { "Human": { "IHCP-species-checked": "testedAndGuaranteed", "IHCP-species-dilution-info": "1/100 - 1/500", "IHCP-species-notes": "<p></p> Perform heat-mediated antigen retrieval with citrate buffer pH 6 before commencing with IHC staining protocol." }, "Mouse": { "IHCP-species-checked": "predicted", "IHCP-species-dilution-info": "", "IHCP-species-notes": "" }, "Rat": { "IHCP-species-checked": "predicted", "IHCP-species-dilution-info": "", "IHCP-species-notes": "" } } }

Properties and storage information

Form
Liquid
Purification technique
Affinity purification Protein A
Storage buffer
pH: 7.4 Preservative: 0.02% Proclin 300 Constituents: 50% Glycerol (glycerin, glycerine), 48.98% TBS, 1X, 1% BSA
Shipped at conditions
Blue Ice
Appropriate short-term storage duration
1-2 weeks
Appropriate short-term storage conditions
+4°C
Appropriate long-term storage conditions
-20°C
Aliquoting information
Upon delivery aliquot
Storage information
Avoid freeze / thaw cycle

Supplementary information

This supplementary information is collated from multiple sources and compiled automatically.

2B4 also known as CD244 or SLAMF4 is a cell surface receptor with a molecular mass of approximately 52-70 kDa. It exists predominantly on various immune cells like natural killer (NK) cells T cells basophils and monocytes. This receptor belongs to the signaling lymphocytic activation molecule (SLAM) family. 2B4's primary role is contributive during cell communication. It specifically recognizes CD48 on neighboring cells and modulates immune responses based on target cell recognition. This function empowers NK cells to maintain immune surveillance and cytotoxicity.
Biological function summary

2B4 plays an integrative role within cellular immune response. When engaged by its ligand CD48 it regulates activation signals in NK cells and T cells. 2B4 is not a standalone entity but functions as a part of a larger cluster of differentiation molecules. This cluster including CD244.1 and CD244.2 facilitates signal transduction leading to immune modulation. The receptor acts as either an activating or inhibitory agent depending on the expression levels of its associated signaling proteins like SAP (SLAM-associated protein).

Pathways

Cross-linking of 2B4 forms a critical axis in multiple immune pathways such as the NK cell-mediated cytotoxicity and adaptive immune response pathway. It interacts closely with SAP a protein that modulates downstream signaling events leading to immune cell activation or suppression. Besides SAP 2B4 collaboratively participates with other SLAM family receptors. These interactions optimize the balance between immune activation and tolerance ensuring appropriate immune responses.

2B4 has a significant involvement. Aberrant 2B4 signaling can lead to immune dysregulation linked to diseases like hemophagocytic lymphohistiocytosis (HLH) and certain autoimmune diseases. In HLH defective interactions between 2B4 and SAP contribute to impaired apoptosis of target cells leading to excessive immune proliferation. This dysfunctionality often features alongside compromised activity of related proteins such as perforin which is essential for target cell lysis. Consequently understanding 2B4's function and interaction helps in exploring targeted therapies for immune-associated disorders.

Product protocols

For this product, it's our understanding that no specific protocols are required. You can visit:

Target data

Heterophilic receptor of the signaling lymphocytic activation molecule (SLAM) family; its ligand is CD48. SLAM receptors triggered by homo- or heterotypic cell-cell interactions are modulating the activation and differentiation of a wide variety of immune cells and thus are involved in the regulation and interconnection of both innate and adaptive immune response. Activities are controlled by presence or absence of small cytoplasmic adapter proteins, SH2D1A/SAP and/or SH2D1B/EAT-2. Acts as activating natural killer (NK) cell receptor (PubMed : 10359122, PubMed : 11714776, PubMed : 8376943). Activating function implicates association with SH2D1A and FYN (PubMed : 15713798). Downstreaming signaling involves predominantly VAV1, and, to a lesser degree, INPP5D/SHIP1 and CBL. Signal attenuation in the absence of SH2D1A is proposed to be dependent on INPP5D and to a lesser extent PTPN6/SHP-1 and PTPN11/SHP-2 (PubMed : 10934222, PubMed : 15713798). Stimulates NK cell cytotoxicity, production of IFN-gamma and granule exocytosis (PubMed : 11714776, PubMed : 8376943). Optimal expansion and activation of NK cells seems to be dependent on the engagement of CD244 with CD48 expressed on neighboring NK cells (By similarity). Acts as costimulator in NK activation by enhancing signals by other NK receptors such as NCR3 and NCR1 (PubMed : 10741393). At early stages of NK cell differentiation may function as an inhibitory receptor possibly ensuring the self-tolerance of developing NK cells (PubMed : 11917118). Involved in the regulation of CD8(+) T-cell proliferation; expression on activated T-cells and binding to CD48 provides costimulatory-like function for neighboring T-cells (By similarity). Inhibits inflammatory responses in dendritic cells (DCs) (By similarity).
See full target information CD244

Publications (1)

Recent publications for all applications. Explore the full list and refine your search

Frontiers in oncology 15:1645671 PubMed40919158

2025

Role of Meox1 in promoting lung tumor vascularization and impairing CD8 T cell mediated immunity.

Applications

Unspecified application

Species

Unspecified reactive species

Dacheng Yang,Qian Li,Zisheng Chen,Wei Kevin Zhang
View all publications

Product promise

We are committed to supporting your work with high-quality reagents, and we're here for you every step of the way. In the unlikely event that one of our products does not perform as expected, you're protected by our Product Promise.
For full details, please see our Terms & Conditions

Please note: All products are 'FOR RESEARCH USE ONLY. NOT FOR USE IN DIAGNOSTIC OR THERAPEUTIC PROCEDURES'.

For licensing inquiries, please contact partnerships@abcam.com