JavaScript is disabled in your browser. Please enable JavaScript to view this website.
AB275892

Anti-2B4 antibody [EPR23692-33] - BSA and Azide free

4

(1 Review)

|

(0 Publication)

Rabbit Recombinant Monoclonal 2B4 antibody. Carrier free. Suitable for WB, IHC-P and reacts with Human samples.

View Alternative Names

CD244, 2B4, Natural killer cell receptor 2B4, NK cell activation-inducing ligand, NK cell type I receptor protein 2B4, SLAM family member 4, Signaling lymphocytic activation molecule 4, NAIL, NKR2B4, h2B4, SLAMF4

4 Images
Immunohistochemistry (Formalin/PFA-fixed paraffin-embedded sections) - Anti-2B4 antibody [EPR23692-33] - BSA and Azide free (AB275892)
  • IHC-P

Unknown

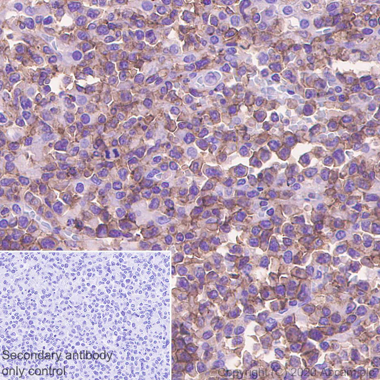
Immunohistochemistry (Formalin/PFA-fixed paraffin-embedded sections) - Anti-2B4 antibody [EPR23692-33] - BSA and Azide free (AB275892)

This data was developed using ab256370, the same antibody clone in a different buffer formulation.

Immunohistochemical analysis of paraffin-embedded Human non-Hodgkin's lymphoma tissue labeling 2B4 with ab256370 at 1/50 (12.04 ug/ml) dilution followed by a ready to use LeicaDS9800 (Bond™ Polymer Refine Detection). Positive staining in human non-Hodgkin's lymphoma (PMID : 19499526). The section was incubated with ab256370 for 30 mins at room temperature. The immunostaining was performed on a Leica Biosystems BOND® RX instrument. Counterstained with Hematoxylin.

Secondary antibody only control : Secondary antibody is a ready to use LeicaDS9800 (Bond™ Polymer Refine Detection).

Heat mediated antigen retrieval with Tris-EDTA buffer (pH 9.0, epitope retrieval solution2) for 20 mins.

Immunohistochemistry (Formalin/PFA-fixed paraffin-embedded sections) - Anti-2B4 antibody [EPR23692-33] - BSA and Azide free (AB275892)
  • IHC-P

Unknown

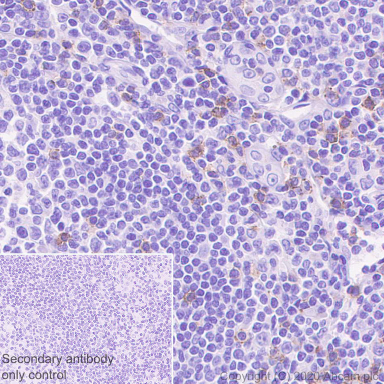
Immunohistochemistry (Formalin/PFA-fixed paraffin-embedded sections) - Anti-2B4 antibody [EPR23692-33] - BSA and Azide free (AB275892)

This data was developed using ab256370, the same antibody clone in a different buffer formulation.

Immunohistochemical analysis of paraffin-embedded Human tonsil tissue labeling 2B4 with ab256370 at 1/50 (12.04 ug/ml) dilution followed by a ready to use LeicaDS9800 (Bond™ Polymer Refine Detection). Positive staining in human tonsil (PMID : 19499526). The section was incubated with ab256370 for 30 mins at room temperature. The immunostaining was performed on a Leica Biosystems BOND® RX instrument. Counterstained with Hematoxylin.

Secondary antibody only control : Secondary antibody is a ready to use LeicaDS9800 (Bond™ Polymer Refine Detection).

Heat mediated antigen retrieval with Tris-EDTA buffer (pH 9.0, epitope retrieval solution2) for 20 mins.

Western blot - Anti-2B4 antibody [EPR23692-33] - BSA and Azide free (AB275892)
  • WB

Lab

Western blot - Anti-2B4 antibody [EPR23692-33] - BSA and Azide free (AB275892)

This data was developed using ab256370, the same antibody clone in a different buffer formulation.

Blocking and diluting buffer and concentration : 5% NFDM/TBST.

This blot was developed using a higher sensitivity ECL substrate.

Exposure time : 24 seconds.

All lanes:

Western blot - Anti-2B4 antibody [EPR23692-33] (<a href='/en-us/products/primary-antibodies/2b4-antibody-epr23692-33-ab256370'>ab256370</a>) at 1/1000 dilution

All lanes:

KG-1a (human bone marrow myeloblast) whole cell lysate at 10 µg

Secondary

All lanes:

VeriBlot for IP secondary antibody(HRP)(<a href='/en-us/products/reagents/veriblot-for-ip-detection-reagent-hrp-ab131366'>ab131366</a>) at 1/5000 dilution

Predicted band size: 42 kDa

Observed band size: 70 kDa

false

Western blot - Anti-2B4 antibody [EPR23692-33] - BSA and Azide free (AB275892)
  • WB

Lab

Western blot - Anti-2B4 antibody [EPR23692-33] - BSA and Azide free (AB275892)

This data was developed using ab256370, the same antibody clone in a different buffer formulation.

Blocking and diluting buffer and concentration : 5% NFDM/TBST.

This blot was developed using a higher sensitivity ECL substrate.

Exposure time : 48 seconds.

All lanes:

Western blot - Anti-2B4 antibody [EPR23692-33] (<a href='/en-us/products/primary-antibodies/2b4-antibody-epr23692-33-ab256370'>ab256370</a>) at 1/1000 dilution

All lanes:

Human spleen tissue lysate at 20 µg

Secondary

All lanes:

VeriBlot for IP secondary antibody(HRP)(<a href='/en-us/products/reagents/veriblot-for-ip-detection-reagent-hrp-ab131366'>ab131366</a>) at 1/1000 dilution

Predicted band size: 42 kDa

Observed band size: 70 kDa

false

Key facts

Host species

Rabbit

Clonality

Monoclonal

Clone number

EPR23692-33

Isotype

IgG

Carrier free

Yes

Reacts with

Human

Applications

WB, IHC-P

applications

Immunogen

The exact immunogen used to generate this antibody is proprietary information.

Reactivity data

{ "title": "Reactivity Data", "filters": { "stats": ["", "Species", "Dilution Info", "Notes"], "tabs": { "all-applications": {"fullname" : "All Applications", "shortname": "All Applications"}, "ICCIF" : {"fullname" : "Immunocytochemistry/ Immunofluorescence", "shortname":"ICC/IF"}, "IP" : {"fullname" : "Immunoprecipitation", "shortname":"IP"}, "FlowCyt" : {"fullname" : "Flow Cytometry", "shortname":"Flow Cyt"}, "WB" : {"fullname" : "Western blot", "shortname":"WB"}, "IHCP" : {"fullname" : "Immunohistochemistry (Formalin/PFA-fixed paraffin-embedded sections)", "shortname":"IHC-P"} }, "product-promise": { "all": "all", "testedAndGuaranteed": "tested", "guaranteed": "expected", "predicted": "predicted", "notRecommended": "not-recommended" } }, "values": { "Human": { "ICCIF-species-checked": "notRecommended", "ICCIF-species-dilution-info": "", "ICCIF-species-notes": "<p></p>", "IP-species-checked": "notRecommended", "IP-species-dilution-info": "", "IP-species-notes": "<p></p>", "FlowCyt-species-checked": "notRecommended", "FlowCyt-species-dilution-info": "", "FlowCyt-species-notes": "<p></p>", "WB-species-checked": "testedAndGuaranteed", "WB-species-dilution-info": "", "WB-species-notes": "<p></p>", "IHCP-species-checked": "testedAndGuaranteed", "IHCP-species-dilution-info": "", "IHCP-species-notes": "<p></p>" }, "Mouse": { "ICCIF-species-checked": "notRecommended", "ICCIF-species-dilution-info": "", "ICCIF-species-notes": "<p></p>", "IP-species-checked": "notRecommended", "IP-species-dilution-info": "", "IP-species-notes": "", "FlowCyt-species-checked": "notRecommended", "FlowCyt-species-dilution-info": "", "FlowCyt-species-notes": "<p></p>", "WB-species-checked": "notRecommended", "WB-species-dilution-info": "", "WB-species-notes": "<p></p>", "IHCP-species-checked": "notRecommended", "IHCP-species-dilution-info": "", "IHCP-species-notes": "<p></p>" }, "Rat": { "ICCIF-species-checked": "notRecommended", "ICCIF-species-dilution-info": "", "ICCIF-species-notes": "", "IP-species-checked": "notRecommended", "IP-species-dilution-info": "", "IP-species-notes": "", "FlowCyt-species-checked": "notRecommended", "FlowCyt-species-dilution-info": "", "FlowCyt-species-notes": "", "WB-species-checked": "notRecommended", "WB-species-dilution-info": "", "WB-species-notes": "<p></p>", "IHCP-species-checked": "notRecommended", "IHCP-species-dilution-info": "", "IHCP-species-notes": "<p></p>" } } }

Product details

ab275892 is the carrier-free version of ab256370.

Patented technology
Our RabMAb® technology is a patented hybridoma-based technology for making rabbit monoclonal antibodies. For details on our patents, please refer to RabMAb® patents.

What are the advantages of a recombinant monoclonal antibody?
This product is a recombinant monoclonal antibody, which offers several advantages including:

  • - High batch-to-batch consistency and reproducibility
  • - Improved sensitivity and specificity
  • - Long-term security of supply
  • - Animal-free batch production

For more information, read more on recombinant antibodies.

Conjugation ready
Our carrier-free antibodies are typically supplied in a PBS-only formulation, purified and free of BSA, sodium azide and glycerol. This conjugation-ready format is designed for use with fluorochromes, metal isotopes, oligonucleotides, and enzymes, which makes them ideal for antibody labelling, functional and cell-based assays, flow-based assays (e.g. mass cytometry) and Multiplex Imaging applications.

Use our conjugation kits for antibody conjugates that are ready-to-use in as little as 20 minutes with 1 minute hands-on-time and 100% antibody recovery: available for fluorescent dyes, HRP, biotin and gold.

Compatibility
This product is compatible with the Maxpar® Antibody Labeling Kit from Fluidigm, without the need for antibody preparation. Maxpar® is a trademark of Fluidigm Canada Inc.

Properties and storage information

Form
Liquid
Purification technique
Affinity purification Protein A
Storage buffer
Constituents: PBS
Shipped at conditions
Blue Ice
Appropriate short-term storage conditions
+4°C
Appropriate long-term storage conditions
+4°C

Supplementary information

This supplementary information is collated from multiple sources and compiled automatically.

2B4 also known as CD244 or SLAMF4 is a cell surface receptor with a molecular mass of approximately 52-70 kDa. It exists predominantly on various immune cells like natural killer (NK) cells T cells basophils and monocytes. This receptor belongs to the signaling lymphocytic activation molecule (SLAM) family. 2B4's primary role is contributive during cell communication. It specifically recognizes CD48 on neighboring cells and modulates immune responses based on target cell recognition. This function empowers NK cells to maintain immune surveillance and cytotoxicity.
Biological function summary

2B4 plays an integrative role within cellular immune response. When engaged by its ligand CD48 it regulates activation signals in NK cells and T cells. 2B4 is not a standalone entity but functions as a part of a larger cluster of differentiation molecules. This cluster including CD244.1 and CD244.2 facilitates signal transduction leading to immune modulation. The receptor acts as either an activating or inhibitory agent depending on the expression levels of its associated signaling proteins like SAP (SLAM-associated protein).

Pathways

Cross-linking of 2B4 forms a critical axis in multiple immune pathways such as the NK cell-mediated cytotoxicity and adaptive immune response pathway. It interacts closely with SAP a protein that modulates downstream signaling events leading to immune cell activation or suppression. Besides SAP 2B4 collaboratively participates with other SLAM family receptors. These interactions optimize the balance between immune activation and tolerance ensuring appropriate immune responses.

2B4 has a significant involvement. Aberrant 2B4 signaling can lead to immune dysregulation linked to diseases like hemophagocytic lymphohistiocytosis (HLH) and certain autoimmune diseases. In HLH defective interactions between 2B4 and SAP contribute to impaired apoptosis of target cells leading to excessive immune proliferation. This dysfunctionality often features alongside compromised activity of related proteins such as perforin which is essential for target cell lysis. Consequently understanding 2B4's function and interaction helps in exploring targeted therapies for immune-associated disorders.

Product protocols

For this product, it's our understanding that no specific protocols are required. You can visit:

Target data

Heterophilic receptor of the signaling lymphocytic activation molecule (SLAM) family; its ligand is CD48. SLAM receptors triggered by homo- or heterotypic cell-cell interactions are modulating the activation and differentiation of a wide variety of immune cells and thus are involved in the regulation and interconnection of both innate and adaptive immune response. Activities are controlled by presence or absence of small cytoplasmic adapter proteins, SH2D1A/SAP and/or SH2D1B/EAT-2. Acts as activating natural killer (NK) cell receptor (PubMed : 10359122, PubMed : 11714776, PubMed : 8376943). Activating function implicates association with SH2D1A and FYN (PubMed : 15713798). Downstreaming signaling involves predominantly VAV1, and, to a lesser degree, INPP5D/SHIP1 and CBL. Signal attenuation in the absence of SH2D1A is proposed to be dependent on INPP5D and to a lesser extent PTPN6/SHP-1 and PTPN11/SHP-2 (PubMed : 10934222, PubMed : 15713798). Stimulates NK cell cytotoxicity, production of IFN-gamma and granule exocytosis (PubMed : 11714776, PubMed : 8376943). Optimal expansion and activation of NK cells seems to be dependent on the engagement of CD244 with CD48 expressed on neighboring NK cells (By similarity). Acts as costimulator in NK activation by enhancing signals by other NK receptors such as NCR3 and NCR1 (PubMed : 10741393). At early stages of NK cell differentiation may function as an inhibitory receptor possibly ensuring the self-tolerance of developing NK cells (PubMed : 11917118). Involved in the regulation of CD8(+) T-cell proliferation; expression on activated T-cells and binding to CD48 provides costimulatory-like function for neighboring T-cells (By similarity). Inhibits inflammatory responses in dendritic cells (DCs) (By similarity).
See full target information CD244

Product promise

We are committed to supporting your work with high-quality reagents, and we're here for you every step of the way. In the unlikely event that one of our products does not perform as expected, you're protected by our Product Promise.
For full details, please see our Terms & Conditions

Please note: All products are 'FOR RESEARCH USE ONLY. NOT FOR USE IN DIAGNOSTIC OR THERAPEUTIC PROCEDURES'.

For licensing inquiries, please contact partnerships@abcam.com