JavaScript is disabled in your browser. Please enable JavaScript to view this website.
AB218316

Anti-2N Tau antibody [EPR21723]

Be the first to review this product! Submit a review

|

(2 Publications)

Rabbit Recombinant Monoclonal TAU antibody. Suitable for WB and reacts with Recombinant fragment - Human, Mouse, Rat, Human samples. Cited in 2 publications.

View Alternative Names

TAU, MAPT, MSTD, PPND, pTau, DDPAC, MAPTL, MTBT1, MTBT2, Mtapt, Tau-C, FTDP17, RNPTAU, FTDP 17, PHF tau, PHF-tau, 2N3R Tau, 2N4R Tau, AI413597, AW045860, FLJ31424, PPP1R103, MGC134287, MGC138549, MGC156663, TAU_HUMAN, Paired helical filament tau, Paired helical filament-tau, Neurofibrillary tangle protein, Tauopathy and respiratory failure, Microtubule associated protein tau, Microtubule-associated protein tau, Tauopathy and respiratory failure, included, Microtubule associated protein tau isoform 4, Protein phosphatase 1, regulatory subunit 103, G protein beta1/gamma2 subunit interacting factor 1

2 Images
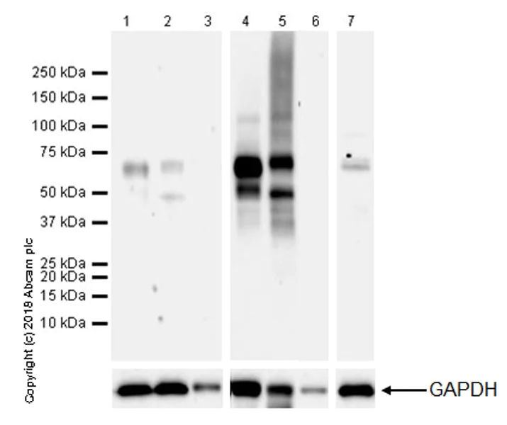
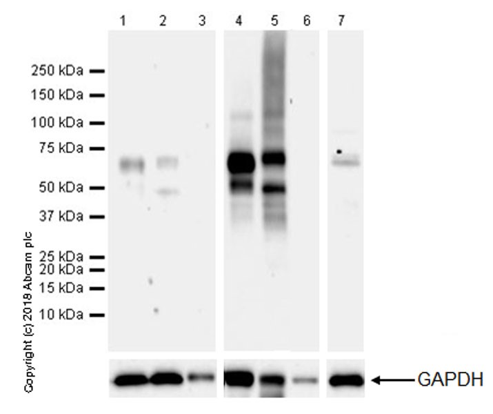
Western blot - Anti-2N Tau antibody [EPR21723] (AB218316)
  • WB

Supplier Data

Western blot - Anti-2N Tau antibody [EPR21723] (AB218316)

Exposure time : Lanes 1-3 : 3 minutes; Lanes 4-6 : 59 seconds; Lane 7 : 3 minutes.

Blocking/Dilution buffer : 5% NFDM/TBST.

This blot was developed using a higher sensitivity ECL substrate.

Negative control : Mouse stomach, human stomach. PMID : 8752131; PMID : 11727254.

All lanes:

Western blot - Anti-2N Tau antibody [EPR21723] (ab218316) at 1/1000 dilution

Lane 1:

Human hippocampus lysate at 20 µg

Lane 2:

Human brain lysate at 20 µg

Lane 3:

Human stomach lysate at 20 µg

Lane 4:

Mouse hippocampus lysate at 20 µg

Lane 5:

Mouse brain lysate at 20 µg

Lane 6:

Mouse stomach lysate at 20 µg

Lane 7:

Rat hippocampus lysate at 20 µg

Secondary

Lanes 1 - 3:

Western blot - VeriBlot for IP Detection Reagent (HRP) (<a href='/en-us/products/reagents/veriblot-for-ip-detection-reagent-hrp-ab131366'>ab131366</a>) at 1/1000 dilution

Lanes 4 - 7:

Western blot - Goat Anti-Rabbit IgG H&L (HRP) (<a href='/en-us/products/secondary-antibodies/goat-rabbit-igg-h-l-hrp-ab97051'>ab97051</a>) at 1/100000 dilution

Predicted band size: 78 kDa

Observed band size: 36-75 kDa

false

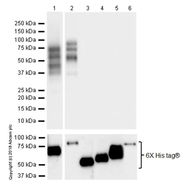
Western blot - Anti-2N Tau antibody [EPR21723] (AB218316)
  • WB

Supplier Data

Western blot - Anti-2N Tau antibody [EPR21723] (AB218316)

Exposure time : Lane 1 : 1 second; Lanes 2-8 : 3 seconds.

Blocking/Dilution buffer : 5% NFDM/TBST.

This antibody specifically recognizes 2N3R and 2N4R tau recombinant proteins. The lower bands maybe degraded tau fragments (PMID : 28045602).

All lanes:

Western blot - Anti-2N Tau antibody [EPR21723] (ab218316) at 1/1000 dilution

Lane 1:

His-tagged human 2N3R Tau recombinant protein (aa1-410), 10 ng

Lane 2:

His-tagged human 2N4R Tau recombinant protein (aa1-441), 10 ng

Lane 3:

His-tagged human 0N3R Tau recombinant protein (aa1-352), 10 ng

Lane 4:

His-tagged human 0N4R Tau recombinant protein (aa1-383), 10 ng

Lane 5:

His-tagged human 1N3R Tau recombinant protein (aa1-381), 10 ng

Lane 6:

His-tagged human 1N4R Tau recombinant protein (aa1-412), 10 ng

Secondary

All lanes:

Western blot - Goat Anti-Rabbit IgG H&L (HRP) (<a href='/en-us/products/secondary-antibodies/goat-rabbit-igg-h-l-hrp-ab97051'>ab97051</a>) at 1/100000 dilution

Predicted band size: 78 kDa

false

  • Carrier free

    Anti-2N Tau antibody [EPR21723] - BSA and Azide free

Key facts

Host species

Rabbit

Clonality

Monoclonal

Clone number

EPR21723

Isotype

IgG

Carrier free

No

Reacts with

Mouse, Rat, Human

Applications

WB

applications

Immunogen

The exact immunogen used to generate this antibody is proprietary information.

Specificity

The specificity of this antibody refers to P10636-8.

Reactivity data

{ "title": "Reactivity Data", "filters": { "stats": ["", "Species", "Dilution Info", "Notes"], "tabs": { "all-applications": {"fullname" : "All Applications", "shortname": "All Applications"}, "IHCFr" : {"fullname" : "Immunohistochemistry (Frozen sections)", "shortname":"IHC-Fr"}, "IHCP" : {"fullname" : "Immunohistochemistry (Formalin/PFA-fixed paraffin-embedded sections)", "shortname":"IHC-P"}, "WB" : {"fullname" : "Western blot", "shortname":"WB"} }, "product-promise": { "all": "all", "testedAndGuaranteed": "tested", "guaranteed": "expected", "predicted": "predicted", "notRecommended": "not-recommended" } }, "values": { "Human": { "IHCFr-species-checked": "notRecommended", "IHCFr-species-dilution-info": "", "IHCFr-species-notes": "<p></p>", "IHCP-species-checked": "notRecommended", "IHCP-species-dilution-info": "", "IHCP-species-notes": "<p></p>", "WB-species-checked": "testedAndGuaranteed", "WB-species-dilution-info": "1/1000", "WB-species-notes": "<p></p>" }, "Mouse": { "IHCFr-species-checked": "notRecommended", "IHCFr-species-dilution-info": "", "IHCFr-species-notes": "<p></p>", "IHCP-species-checked": "notRecommended", "IHCP-species-dilution-info": "", "IHCP-species-notes": "<p></p>", "WB-species-checked": "testedAndGuaranteed", "WB-species-dilution-info": "1/1000", "WB-species-notes": "<p></p>" }, "Rat": { "IHCFr-species-checked": "notRecommended", "IHCFr-species-dilution-info": "", "IHCFr-species-notes": "<p></p>", "IHCP-species-checked": "notRecommended", "IHCP-species-dilution-info": "", "IHCP-species-notes": "<p></p>", "WB-species-checked": "testedAndGuaranteed", "WB-species-dilution-info": "1/1000", "WB-species-notes": "<p></p>" }, "Recombinant fragment - Human": { "IHCFr-species-checked": "notRecommended", "IHCFr-species-dilution-info": "", "IHCFr-species-notes": "", "IHCP-species-checked": "notRecommended", "IHCP-species-dilution-info": "", "IHCP-species-notes": "", "WB-species-checked": "testedAndGuaranteed", "WB-species-dilution-info": "1/1000", "WB-species-notes": "<p></p>" } } }

Product details

Patented technology
Our RabMAb® technology is a patented hybridoma-based technology for making rabbit monoclonal antibodies. For details on our patents, please refer to RabMAb® patents.

What are the advantages of a recombinant monoclonal antibody?
This product is a recombinant monoclonal antibody, which offers several advantages including:

  • - High batch-to-batch consistency and reproducibility
  • - Improved sensitivity and specificity
  • - Long-term security of supply
  • - Animal-free batch production

For more information, read more on recombinant antibodies.

Properties and storage information

Form
Liquid
Purification technique
Affinity purification Protein A
Storage buffer
pH: 7.2 - 7.4 Preservative: 0.01% Sodium azide Constituents: PBS, 40% Glycerol (glycerin, glycerine), 0.05% BSA
Shipped at conditions
Blue Ice
Appropriate short-term storage duration
1-2 weeks
Appropriate short-term storage conditions
+4°C
Appropriate long-term storage conditions
-20°C
Aliquoting information
Upon delivery aliquot
Storage information
Avoid freeze / thaw cycle

Supplementary information

This supplementary information is collated from multiple sources and compiled automatically.

The 2N Tau protein also known as tau or tau protein is a microtubule-associated protein with a mass of approximately 78 kDa. It stabilizes microtubules and is critical for maintaining the axonal transport in neurons. It is highly expressed in the central nervous system particularly in the neurons and becomes hyperphosphorylated under certain conditions. Tau belongs to the family of microtubule-associated proteins and has six isoforms generated through alternative splicing.
Biological function summary

The microtubule-associated protein tau plays a significant role in neuron stability and function by promoting the assembly and stabilization of microtubules. It achieves this through its binding affinity for tubulin which is necessary for the proper functioning of the neuronal cytoskeleton. Tau does not function as part of a complex but its interaction with microtubules is critical for cellular operations including intracellular transport and signaling.

Pathways

Tau functions in processes essential for cellular transport and microtubule dynamics regulation. It is involved in the MAPK/ERK pathway impacting cellular signaling and stress responses. Tau's regulatory role in microtubule stability connects it with proteins such as tubulin and other microtubule-associated proteins. This interaction ensures proper transmission of signals within neurons and affects cell cycle regulation.

Tau dysregulation and hyperphosphorylation relate closely to Alzheimer's disease leading to neurofibrillary tangles that disrupt neuron function. In Alzheimer's tau's interaction with proteins like beta-amyloid is critical for disease progression. Additionally tau is implicated in frontotemporal dementia where its misfolding and aggregation significantly impact neuronal survival and function disrupting communication with proteins important for brain function.

Product protocols

For this product, it's our understanding that no specific protocols are required. You can visit:

Target data

Promotes microtubule assembly and stability, and might be involved in the establishment and maintenance of neuronal polarity (PubMed : 21985311). The C-terminus binds axonal microtubules while the N-terminus binds neural plasma membrane components, suggesting that tau functions as a linker protein between both (PubMed : 21985311, PubMed : 32961270). Axonal polarity is predetermined by TAU/MAPT localization (in the neuronal cell) in the domain of the cell body defined by the centrosome. The short isoforms allow plasticity of the cytoskeleton whereas the longer isoforms may preferentially play a role in its stabilization.
See full target information TAU_HUMAN

Publications (2)

Recent publications for all applications. Explore the full list and refine your search

Neuron 113:3601-3615.e7 PubMed40902597

2025

Polyserine-mediated targeting of FAF2/UBXD8 ameliorates tau aggregation.

Applications

Unspecified application

Species

Unspecified reactive species

Meaghan Van Alstyne,Georgia Brown,Vanessa L Nguyen,Mani Ramaswami,Charles A Hoeffer,Roy Parker

Cell reports methods 4:100858 PubMed39255791

2024

Fully defined NGN2 neuron protocol reveals diverse signatures of neuronal maturation.

Applications

Unspecified application

Species

Unspecified reactive species

Xiwei Shan,Ai Zhang,Mitchell G Rezzonico,Ming-Chi Tsai,Carlos Sanchez-Priego,Yingjie Zhang,Michelle B Chen,Meena Choi,José Miguel Andrade López,Lilian Phu,Amber L Cramer,Qiao Zhang,Jillian M Pattison,Christopher M Rose,Casper C Hoogenraad,Claire G Jeong
View all publications

Product promise

We are committed to supporting your work with high-quality reagents, and we're here for you every step of the way. In the unlikely event that one of our products does not perform as expected, you're protected by our Product Promise.
For full details, please see our Terms & Conditions

Please note: All products are 'FOR RESEARCH USE ONLY. NOT FOR USE IN DIAGNOSTIC OR THERAPEUTIC PROCEDURES'.

For licensing inquiries, please contact partnerships@abcam.com