JavaScript is disabled in your browser. Please enable JavaScript to view this website.
AB61392

Anti-3-Nitrotyrosine antibody [39B6]

4

(9 Reviews)

|

(180 Publications)

Anti-3-Nitrotyrosine antibody [39B6] (ab61392) is a mouse monoclonal antibody detecting 3-Nitrotyrosine in Western Blot, IHC-P.

- Over 150 publications
- Trusted since 2007
6 Images
Immunohistochemistry (Formalin/PFA-fixed paraffin-embedded sections) - Anti-3-Nitrotyrosine antibody [39B6] (AB61392)
  • IHC-P

Unknown

Immunohistochemistry (Formalin/PFA-fixed paraffin-embedded sections) - Anti-3-Nitrotyrosine antibody [39B6] (AB61392)

ab61392 staining 3-nitrotyrosine in Bouin's fixed paraffin-embedded Rat liver tissue at 1/1000 dilution. FITC-conjugated goat anti-mouse IgG(green) was used as a secondary antibody.

Immunohistochemistry (Formalin/PFA-fixed paraffin-embedded sections) - Anti-3-Nitrotyrosine antibody [39B6] (AB61392)
  • IHC-P

Supplier Data

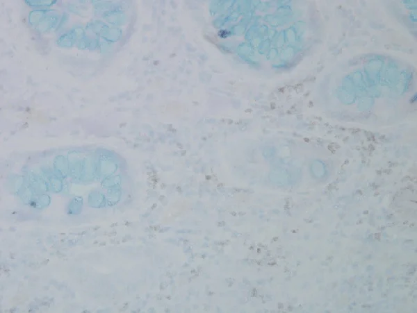
Immunohistochemistry (Formalin/PFA-fixed paraffin-embedded sections) - Anti-3-Nitrotyrosine antibody [39B6] (AB61392)

Formalin-fixed, paraffin-embedded human colon carcinoma tissue stained for Nitrotyrosine using ab61392 at 1/25000 dilution in immunohistochemical analysis.

Secondary Antibody : Biotin Goat Anti-Mouse at 1/2000 for 1 hour at RT. Counterstain : Mayer Hematoxylin (purple/blue) nuclear stain at 200 μl for 2 minutes at RT.

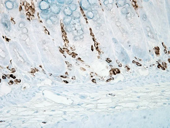
Immunohistochemistry (Formalin/PFA-fixed paraffin-embedded sections) - Anti-3-Nitrotyrosine antibody [39B6] (AB61392)
  • IHC-P

Supplier Data

Immunohistochemistry (Formalin/PFA-fixed paraffin-embedded sections) - Anti-3-Nitrotyrosine antibody [39B6] (AB61392)

Formalin-fixed, paraffin-embedded mouse inflammed colon tissue stained for Nitrotyrosine using ab61392 at 1/1000000 dilution in immunohistochemical analysis.

Secondary Antibody : Biotin Goat Anti-Mouse at 1/2000 for 1 hour at RT. Counterstain : Mayer Hematoxylin (purple/blue) nuclear stain at 200 μl for 2 minutes at RT.

Western blot - Anti-3-Nitrotyrosine antibody [39B6] (AB61392)
  • WB

Supplier Data

Western blot - Anti-3-Nitrotyrosine antibody [39B6] (AB61392)

Block : 5% Skim milk powder in TBST.

Color Development : Chemiluminescent for HRP for 5 mins at RT.

All lanes:

Western blot - Anti-3-Nitrotyrosine antibody [39B6] (ab61392) at 1/1000 dilution

All lanes:

A549 (Human lung carcinoma cell line) cell lysate at 15 µg

Secondary

All lanes:

Goat anti-mouse IgG HRP, 1 hour at RT with shaking at 1/1000 dilution

false

Western blot - Anti-3-Nitrotyrosine antibody [39B6] (AB61392)
  • WB

AbReview53161****

Western blot - Anti-3-Nitrotyrosine antibody [39B6] (AB61392)

Blocked with 5% milk for 2 hours.

All lanes:

Western blot - Anti-3-Nitrotyrosine antibody [39B6] (ab61392) at 1/3000 dilution

All lanes:

Mouse skeletal muscle at 20 µg

Secondary

All lanes:

Goat anti-Mouse HRP conjugated at 1/6000 dilution

true

Exposure time: 4s

This image is courtesy of an anonymous Abreview

Western blot - Anti-3-Nitrotyrosine antibody [39B6] (AB61392)
  • WB

Supplier Data

Western blot - Anti-3-Nitrotyrosine antibody [39B6] (AB61392)

Block : 5% Skim Milk Powder in TBST.

Primary Antibody diluted in 1.5% BSA and TBST for 1 hours at RT with shaking.

Predicted/Observed Size : Multiple Bands.

All lanes:

Western blot - Anti-3-Nitrotyrosine antibody [39B6] (ab61392) at 1/1400 dilution

Lane 1:

Nitrosylated-HEK293 at 15 µL

Lane 2:

HEK293 at 15 µg

Secondary

All lanes:

Goat anti-mouse IgG: HRP at 1/4000 dilution

false

  • HRP

    HRP Anti-Nitrotyrosine antibody [39B6]

  • Biotin

    Biotin Anti-Nitrotyrosine antibody [39B6]

  • 519 FITC

    FITC Anti-Nitrotyrosine antibody [39B6]

Key facts

Host species

Mouse

Clonality

Monoclonal

Clone number

39B6

Isotype

IgG2a

Light chain type

kappa

Carrier free

No

Applications

WB, IHC-P

applications

Specificity

No detectable crossreactivity with non-nitrated tyrosine. Not species specific.

Reactivity data

{ "title": "Reactivity Data", "filters": { "stats": ["", "Species", "Dilution Info", "Notes"], "tabs": { "all-applications": {"fullname" : "All Applications", "shortname": "All Applications"}, "WB" : {"fullname" : "Western blot", "shortname":"WB"}, "IHCP" : {"fullname" : "Immunohistochemistry (Formalin/PFA-fixed paraffin-embedded sections)", "shortname":"IHC-P"} }, "product-promise": { "all": "all", "testedAndGuaranteed": "tested", "guaranteed": "expected", "predicted": "predicted", "notRecommended": "not-recommended" } }, "values": { "Modified Amino Acid": { "WB-species-checked": "testedAndGuaranteed", "WB-species-dilution-info": "1/1000", "WB-species-notes": "<p>We would recommend a 1:1000 dilution for the antibody, for 2 hours at RT. For blocking, use milk.</p>", "IHCP-species-checked": "testedAndGuaranteed", "IHCP-species-dilution-info": "1/100", "IHCP-species-notes": "<p></p>" } } }

Product details

What is this antibody validated in?
Anti-3-Nitrotyrosine antibody [39B6] (ab61392) is a mouse monoclonal antibody and is validated for use in Western Blot (WB), Immunohistochemistry (IHC-P). Trusted by the scientific community
Anti-3-Nitrotyrosine [39B6] (ab61392) was first used in a scientific publication in 2007 and has been cited over 150 times in peer-reviewed journals.

Reviewed by scientists
Anti-3-Nitrotyrosine [39B6] (ab61392) has over 5 independent reviews from customers.

Properties and storage information

Form
Liquid
Purification technique
Affinity purification Protein G
Storage buffer
Preservative: 0.09% Sodium azide Constituents: PBS, 50% Glycerol (glycerin, glycerine)
Shipped at conditions
Blue Ice
Appropriate short-term storage duration
1-2 weeks
Appropriate short-term storage conditions
+4°C
Appropriate long-term storage conditions
-20°C
Aliquoting information
Upon delivery aliquot
Storage information
Avoid freeze / thaw cycle

Supplementary information

This supplementary information is collated from multiple sources and compiled automatically.

3-Nitrotyrosine forms when peroxynitrite interacts with tyrosine residues in proteins. It is a marker of nitrosative stress and oxidative damage with the molecular mass of the modified residue remaining similar to that of tyrosine. This molecule is commonly found in conditions with high oxidative stress such as inflammation and is present in tissues with significant reactive nitrogen species. 3-Nitrotyrosine detection is facilitated by various techniques including nitrotyrosine staining and plays a notable role in the study of oxidative stress markers.
Biological function summary

Modification of tyrosine can affect protein function and cell signaling. This post-translational modification can hinder protein function or disrupt protein-protein interactions altering cellular processes. Nitrotyrosine often forms part of the cellular response to oxidative damage contributing to complex antioxidant defenses. The presence of nitrotyrosine indicates a cellular environment stressed by reactive nitrogen species linking it to pathophysiological processes in cells undergoing such stress.

Pathways

3-nitrotyrosine acts in oxidative stress and cell signaling routes. It integrates into pathways related to the cellular stress response particularly the antioxidant defense mechanisms. Proteins such as superoxide dismutase (SOD) may indirectly relate to nitrotyrosine since they mitigate reactive species trying to maintain redox balance. The presence of nitrotyrosine can indicate excess stress on these systems reflecting shifts in signaling that affect cell survival.

High levels of 3-nitrotyrosine associate with cardiovascular diseases and neurodegenerative disorders. In diseases such as atherosclerosis and Alzheimer's 3-nitrotyrosine presence indicates elevated oxidative stress. Through these conditions it relates to proteins like amyloid-beta in Alzheimer's disease or low-density lipoprotein (LDL) in cardiovascular disease. These associations emphasize the potential of 3-nitrotyrosine as a biomarker for oxidative damage in stress-related diseases.

Product protocols

For this product, it's our understanding that no specific protocols are required. You can visit:

Publications (180)

Recent publications for all applications. Explore the full list and refine your search

Wound repair and regeneration : official publication of the Wound Healing Society [and] the European Tissue Repair Society 33:e70082 PubMed40880422

2025

Re-Epithelialisation in a Yorkshire Pig Full-Thickness Excisional Wound Model Is Associated With Keratinocyte Activation, Oxidative Stress, and Biomacromolecule Oxidation.

Applications

Unspecified application

Species

Unspecified reactive species

Dylan Tinney,John T Walker,Emily Truscott,Douglas W Hamilton

Journal of cellular and molecular medicine 29:e70739 PubMed40771071

2025

Ischemia-Reperfusion Injury in Free Flaps: Molecular Mechanisms and Protective Effects of Remote Ischemic Preconditioning.

Applications

Unspecified application

Species

Unspecified reactive species

Marius Drysch,Alexander Fiedler,Tabea Kurbacher,Sonja Verena Schmidt,Felix Reinkemeier,Flemming Puscz,Mustafa Becerikli,Maria Fueth,Pia Weskamp,Marcus Lehnhardt,Christoph Wallner,Alexander Sogorski

Arteriosclerosis, thrombosis, and vascular biology 45:1574-1592 PubMed40703064

2025

Chronic Pod-Mod E-Cigarette Aerosol Exposure Induces Aortic Dysfunction in Hypercholesterolemic Mice: Role of Oxidative Stress and Inflammation.

Applications

Unspecified application

Species

Unspecified reactive species

Yasmeen M Farra,Simone Sabnis,Jacqueline Matz,Hannah I B Wilker,Victoria A Williams,Oliver Trejo,Hannah Kim,Cristobal F Rivera,John Vlahos,Bhama Ramkhelawon,Jessica M Oakes,Chiara Bellini

Redox biology 84:103669 PubMed40435557

2025

Dysregulation of sphingolipid and cholesterol homeostasis imposes oxidative stress in human spermatozoa.

Applications

Unspecified application

Species

Unspecified reactive species

Steven Serafini,Cristian O'Flaherty

Cellular and molecular gastroenterology and hepatology 19:101473 PubMed39954728

2025

Cytomegalovirus Worsens Necrotizing Enterocolitis Severity in Mice via Increased Toll-Like Receptor 4 Signaling.

Applications

Unspecified application

Species

Unspecified reactive species

Daniel Scheese,Peng Lu,Hannah Moore,Koichi Tsuboi,Cody Tragesser,Johannes Duess,Zachariah Raouf,Maame F Sampah,Daphne Klerk,Mahmoud El Baassiri,Hee-Seong Jang,Sierra Williams-McLeod,Asuka Ishiyama,Steve N Steinway,Sanxia Wang,Menghan Wang,Thomas Prindle,William B Fulton,Chhinder P Sodhi,David J Hackam

PloS one 20:e0316033 PubMed39908276

2025

Trichostatin A suppresses hearing loss by reducing oxidative stress and inflammation in an Alport syndrome model.

Applications

Unspecified application

Species

Unspecified reactive species

Yoon Seok Nam,Eun-Ji Gi,Yoo-Seung Ko,Sungsu Lee,Hyong-Ho Cho

Frontiers in bioengineering and biotechnology 12:1506909 PubMed39877267

2025

Ultra-small curcumin-ruthenium coordination polymer nanodots prevent renal ischemia-reperfusion injury and the progression to chronic kidney disease.

Applications

Unspecified application

Species

Unspecified reactive species

Xian Liu,Qin Yu,Hai-Bo Mao,Jing-Bo Hu,Wei-Hua Liu

International journal of ophthalmology 17:2158-2166 PubMed39697880

2024

Alkali burn injury model of meibomian gland dysfunction in mice.

Applications

Unspecified application

Species

Unspecified reactive species

Yong Li,Ya-Qiong Yang,Yong Lin,Ke Yan,Yu-Fei Lyu,Zhao-Qiang Zhang,Cai-Hong Huang,Jiao-Yue Hu,Zu-Guo Liu

Free radical biology & medicine 224:457-469 PubMed39245354

2024

Lifelong dietary protein restriction induces denervation and skeletal muscle atrophy in mice.

Applications

Unspecified application

Species

Unspecified reactive species

Ufuk Ersoy,Atilla Emre Altinpinar,Ioannis Kanakis,Moussira Alameddine,Anna Gioran,Niki Chondrogianni,Susan E Ozanne,Mandy Jayne Peffers,Malcolm J Jackson,Katarzyna Goljanek-Whysall,Aphrodite Vasilaki

Antioxidants (Basel, Switzerland) 13: PubMed39061830

2024

Efficacy and Mechanisms of Antioxidant Compounds and Combinations Thereof against Cisplatin-Induced Hearing Loss in a Rat Model.

Applications

Unspecified application

Species

Unspecified reactive species

Liliana Carles,Alejandro Gibaja,Verena Scheper,Juan C Alvarado,Carlos Almodovar,Thomas Lenarz,José M Juiz
View all publications

Product promise

We are committed to supporting your work with high-quality reagents, and we're here for you every step of the way. In the unlikely event that one of our products does not perform as expected, you're protected by our Product Promise.
For full details, please see our Terms & Conditions

Please note: All products are 'FOR RESEARCH USE ONLY. NOT FOR USE IN DIAGNOSTIC OR THERAPEUTIC PROCEDURES'.

For licensing inquiries, please contact partnerships@abcam.com