JavaScript is disabled in your browser. Please enable JavaScript to view this website.
AB314438

Anti-3-Nitrotyrosine antibody [EPR27217-88]

Be the first to review this product! Submit a review

|

(1 Publication)

Rabbit Recombinant Monoclonal 3-Nitrotyrosine antibody. Suitable for WB, Dot, IP, I-ELISA and reacts with Modified Amino Acid samples. Cited in 1 publication.
4 Images
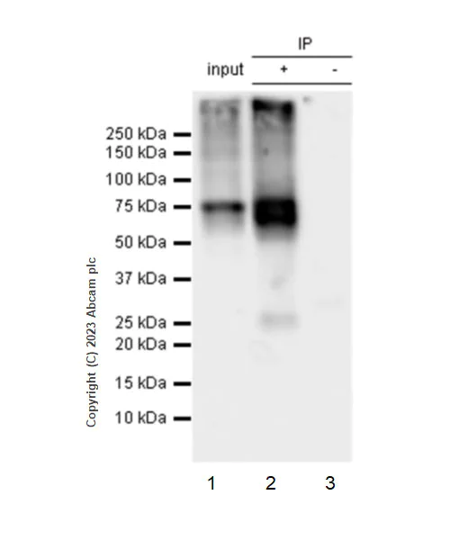
Immunoprecipitation - Anti-3-Nitrotyrosine antibody [EPR27217-88] (AB314438)
  • IP

Supplier Data

Immunoprecipitation - Anti-3-Nitrotyrosine antibody [EPR27217-88] (AB314438)

3-Nitrotyrosine was immunoprecipitated from 0.35 mg HeLa (human cervix adenocarcinoma epithelial cell) treated with 3 mM peroxynitrite for 30 minutes whole cell lysate with ab314438 at 1/30 dilution (2ug in 0.35mg lysates). Western blot was performed on the immunoprecipitate using ab314438 at 1/1000 dilution. VeriBlot for IP secondary antibody(HRP)(ab131366) was used at 1/5000 dilution. Lane 1 : HeLa (human cervix adenocarcinoma epithelial cell) treated with 3 mM peroxynitrite for 30 minutes whole cell lysate Lane 2 : ab314438 IP in HeLa (human cervix adenocarcinoma epithelial cell) treated with 3 mM peroxynitrite for 30 minutes whole cell lysate Lane 3 : Rabbit monoclonal IgG (ab172730) instead of ab314438 in HeLa treated with 3 mM peroxynitrite for 30 minutes whole cell lysate Blocking and dilution buffer and concentration : 5% NFDM/TBST.

All lanes:

Immunoprecipitation - Anti-3-Nitrotyrosine antibody [EPR27217-88] (ab314438) at 1/30 dilution

All lanes:

HeLa (human cervix adenocarcinoma epithelial cell) treated with 3 mM peroxynitrite for 30 minutes whole cell lysate

Secondary

All lanes:

Immunoprecipitation - VeriBlot for IP Detection Reagent (HRP) (<a href='/en-us/products/reagents/veriblot-for-ip-detection-reagent-hrp-ab131366'>ab131366</a>) at 1/5000 dilution

false

Exposure time: 15s

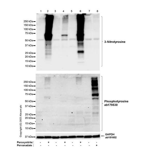
Western blot - Anti-3-Nitrotyrosine antibody [EPR27217-88] (AB314438)
  • WB

Supplier Data

Western blot - Anti-3-Nitrotyrosine antibody [EPR27217-88] (AB314438)

Blocking and diluting buffer and concentration : 5% NFDM/TBST The identity of the bands around 50 kDa are unknown. In Western blot, Anti-GAPDH antibody [EPR16891] - Loading Control (ab181602) staining at 1/200000 dilution. In Western blot, Anti-phosphotyrosine antibody [EPR16871] (ab179530) staining at 1/1000 dilution

All lanes:

Western blot - Anti-3-Nitrotyrosine antibody [EPR27217-88] (ab314438) at 1/1000 dilution

Lanes 1 and 7:

Untreated HeLa (human cervix adenocarcinoma epithelial cell) whole cell lysate at 20 µg

Lane 2:

HeLa treated with 3 mM peroxynitrite for 30 minutes whole cell lysate at 20 µg

Lane 3:

Untreated NIH/3T3 (mouse embryonic fibroblast) whole cell lysate at 20 µg

Lane 4:

NIH/3T3 treated with 3 mM peroxynitrite for 30 minutes whole cell lysate at 20 µg

Lane 5:

Untreated PC-12 (rat adrenal gland pheochromocytoma cell) whole cell lysate at 20 µg

Lane 6:

PC-12 treated with 3 mM peroxynitrite for 30 minutes whole cell lysate at 20 µg

Lane 8:

HeLa treated with 1 mM pervanadate for 30 minutes whole cell lysate at 20 µg

Secondary

All lanes:

Western blot - Goat Anti-Rabbit IgG H&L (HRP) (<a href='/en-us/products/secondary-antibodies/goat-rabbit-igg-h-l-hrp-ab97051'>ab97051</a>) at 1/100000 dilution

Observed band size: 1-250 kDa

false

Exposure time: 37s

Indirect ELISA - Anti-3-Nitrotyrosine antibody [EPR27217-88] (AB314438)
  • I-ELISA

Supplier Data

Indirect ELISA - Anti-3-Nitrotyrosine antibody [EPR27217-88] (AB314438)

Indirect ELISA analysis of ab314438 at 1000-0 ng/ml. The Secondary antibody used was Alkaline Phosphatase-conjugated AffiniPure Goat Anti-Rabbit IgG (H+L) at 1 : 2500 dilution.
Antigen : 3-Nitrotyrosine peptide,BSA-crosslinked single 3-Nitrotyrosine amino acid.
Antigen concentration : 1000 ng/ml

Dot Blot - Anti-3-Nitrotyrosine antibody [EPR27217-88] (AB314438)
  • Dot

Supplier Data

Dot Blot - Anti-3-Nitrotyrosine antibody [EPR27217-88] (AB314438)

Dot blot analysis of 3-Nitrotyrosine using ab314438 at 1 : 1000 (0.497 ug/ml) followed by a Goat Anti-Rabbit IgG, (H+L), Peroxidase conjugated (ab97051) at 1 : 100,000 dilution. Exposure time : 10 seconds Blocking and diluting buffer and concentration : 5% NFDM/TBST

  • Carrier free

    Anti-3-Nitrotyrosine antibody [EPR27217-88] - BSA and Azide free

Key facts

Host species

Rabbit

Clonality

Monoclonal

Clone number

EPR27217-88

Isotype

IgG

Carrier free

No

Applications

WB, Dot, I-ELISA, IP

applications

Immunogen

The exact immunogen used to generate this antibody is proprietary information.

Reactivity data

{ "title": "Reactivity Data", "filters": { "stats": ["", "Species", "Dilution Info", "Notes"], "tabs": { "all-applications": {"fullname" : "All Applications", "shortname": "All Applications"}, "WB" : {"fullname" : "Western blot", "shortname":"WB"}, "Dot" : {"fullname" : "Dot Blot", "shortname":"Dot"}, "IP" : {"fullname" : "Immunoprecipitation", "shortname":"IP"}, "IELISA" : {"fullname" : "Indirect ELISA", "shortname":"I-ELISA"}, "IHCP" : {"fullname" : "Immunohistochemistry (Formalin/PFA-fixed paraffin-embedded sections)", "shortname":"IHC-P"}, "ICCIF" : {"fullname" : "Immunocytochemistry/ Immunofluorescence", "shortname":"ICC/IF"}, "FlowCytIntra" : {"fullname" : "Flow Cytometry (Intracellular)", "shortname":"Flow Cyt (Intra)"} }, "product-promise": { "all": "all", "testedAndGuaranteed": "tested", "guaranteed": "expected", "predicted": "predicted", "notRecommended": "not-recommended" } }, "values": { "Modified Amino Acid": { "WB-species-checked": "testedAndGuaranteed", "WB-species-dilution-info": "1/1000", "WB-species-notes": "<p></p>", "Dot-species-checked": "testedAndGuaranteed", "Dot-species-dilution-info": "1/1000", "Dot-species-notes": "<p></p>", "IP-species-checked": "testedAndGuaranteed", "IP-species-dilution-info": "1/30", "IP-species-notes": "<p></p>", "IELISA-species-checked": "testedAndGuaranteed", "IELISA-species-dilution-info": "1000 ng/mL", "IELISA-species-notes": "<p></p>", "IHCP-species-checked": "notRecommended", "IHCP-species-dilution-info": "", "IHCP-species-notes": "<p></p>", "ICCIF-species-checked": "notRecommended", "ICCIF-species-dilution-info": "", "ICCIF-species-notes": "<p></p>", "FlowCytIntra-species-checked": "notRecommended", "FlowCytIntra-species-dilution-info": "", "FlowCytIntra-species-notes": "<p></p>" } } }

Product details

Patented technology
Our RabMAb® technology is a patented hybridoma-based technology for making rabbit monoclonal antibodies. For details on our patents, please refer to RabMAb® patents.

What are the advantages of a recombinant monoclonal antibody?
This product is a recombinant monoclonal antibody, which offers several advantages including:

  • - High batch-to-batch consistency and reproducibility
  • - Improved sensitivity and specificity
  • - Long-term security of supply
  • - Animal-free batch production

For more information, read more on recombinant antibodies.

Properties and storage information

Form
Liquid
Purification technique
Affinity purification Protein A
Storage buffer
pH: 7.2 - 7.4 Preservative: 0.01% Sodium azide Constituents: PBS, 40% Glycerol (glycerin, glycerine), 0.05% BSA
Shipped at conditions
Blue Ice
Appropriate short-term storage duration
1-2 weeks
Appropriate short-term storage conditions
+4°C
Appropriate long-term storage conditions
-20°C
Aliquoting information
Upon delivery aliquot
Storage information
Avoid freeze / thaw cycle

Supplementary information

This supplementary information is collated from multiple sources and compiled automatically.

3-Nitrotyrosine forms when peroxynitrite interacts with tyrosine residues in proteins. It is a marker of nitrosative stress and oxidative damage with the molecular mass of the modified residue remaining similar to that of tyrosine. This molecule is commonly found in conditions with high oxidative stress such as inflammation and is present in tissues with significant reactive nitrogen species. 3-Nitrotyrosine detection is facilitated by various techniques including nitrotyrosine staining and plays a notable role in the study of oxidative stress markers.
Biological function summary

Modification of tyrosine can affect protein function and cell signaling. This post-translational modification can hinder protein function or disrupt protein-protein interactions altering cellular processes. Nitrotyrosine often forms part of the cellular response to oxidative damage contributing to complex antioxidant defenses. The presence of nitrotyrosine indicates a cellular environment stressed by reactive nitrogen species linking it to pathophysiological processes in cells undergoing such stress.

Pathways

3-nitrotyrosine acts in oxidative stress and cell signaling routes. It integrates into pathways related to the cellular stress response particularly the antioxidant defense mechanisms. Proteins such as superoxide dismutase (SOD) may indirectly relate to nitrotyrosine since they mitigate reactive species trying to maintain redox balance. The presence of nitrotyrosine can indicate excess stress on these systems reflecting shifts in signaling that affect cell survival.

High levels of 3-nitrotyrosine associate with cardiovascular diseases and neurodegenerative disorders. In diseases such as atherosclerosis and Alzheimer's 3-nitrotyrosine presence indicates elevated oxidative stress. Through these conditions it relates to proteins like amyloid-beta in Alzheimer's disease or low-density lipoprotein (LDL) in cardiovascular disease. These associations emphasize the potential of 3-nitrotyrosine as a biomarker for oxidative damage in stress-related diseases.

Product protocols

For this product, it's our understanding that no specific protocols are required. You can visit:

Publications (1)

Recent publications for all applications. Explore the full list and refine your search

Clinical and translational medicine 15:e70221 PubMed39902679

2025

Sodium pump subunit NKAα1 protects against diabetic endothelial dysfunction by inhibiting ferroptosis through the autophagy-lysosome degradation of ACSL4.

Applications

Unspecified application

Species

Unspecified reactive species

Xue-Xue Zhu,Jia-Bao Su,Fang-Ming Wang,Xiao-Ying Chai,Guo Chen,An-Jing Xu,Xin-Yu Meng,Hong-Bo Qiu,Qing-Yi Sun,Yao Wang,Zhuo-Lin Lv,Yuan Zhang,Yao Liu,Zhi-Jun Han,Na Li,Hai-Jian Sun,Qing-Bo Lu
View all publications

Product promise

We are committed to supporting your work with high-quality reagents, and we're here for you every step of the way. In the unlikely event that one of our products does not perform as expected, you're protected by our Product Promise.
For full details, please see our Terms & Conditions

Please note: All products are 'FOR RESEARCH USE ONLY. NOT FOR USE IN DIAGNOSTIC OR THERAPEUTIC PROCEDURES'.

For licensing inquiries, please contact partnerships@abcam.com