JavaScript is disabled in your browser. Please enable JavaScript to view this website.
AB48506

Anti-4 Hydroxynonenal antibody [HNEJ-2]

4

(10 Reviews)

|

(321 Publications)

Anti-4 Hydroxynonenal antibody [HNEJ-2] (ab48506) is a mouse monoclonal antibody detecting 4 Hydroxynonenal in Western Blot, IHC-P.

- Over 200 publications
- Trusted since 2007
5 Images
Immunohistochemistry (Formalin/PFA-fixed paraffin-embedded sections) - Anti-4 Hydroxynonenal antibody [HNEJ-2] (AB48506)
  • IHC-P

PubMed

Immunohistochemistry (Formalin/PFA-fixed paraffin-embedded sections) - Anti-4 Hydroxynonenal antibody [HNEJ-2] (AB48506)

Elevated brain oxidative damage in ischemic 5xFAD mice

Formalin-fixed, paraffin-embedded mouse brain tissue (from non-trasngenic or 5xFAD transgenic animals) stained for 4 Hydroxynonenal using ab48506 at in immunohistochemical analysis.

Scale bar = 20μm. (A2) and (B2) are representative images of 4-HNE staining (Red) in brain cortex and CA1 region, respectively.

Lu, L. et al PLoS One. 2015 Dec 3;10(12):e0144068. doi: 10.1371/journal.pone.0144068. eCollection 2015. Reproduced under the Creative Commons license http://creativecommons.org/licenses/by/4.0/

Immunohistochemistry (Formalin/PFA-fixed paraffin-embedded sections) - Anti-4 Hydroxynonenal antibody [HNEJ-2] (AB48506)
  • IHC-P

AbReview16917****

Immunohistochemistry (Formalin/PFA-fixed paraffin-embedded sections) - Anti-4 Hydroxynonenal antibody [HNEJ-2] (AB48506)

ab48506 at a 1/25 dilution staining 4-Hydroxy-2-Nonenal in mouse heart tissue sections by Immunohistochemistry (paraffin embedded) incubated for 15 hours at +4°C. Fixed with formaldehyde, heat mediated antigen retrieval step performed using citrate buffer. Blocked using 5% serum for 20 minutes at 20°C. Secondary used undiluted polyclonal Goat anti-mouse IgG conjugated to Alexa Fluor 594.

This image was kindly supplied by Dr Jinqing Li by Abreview

Immunohistochemistry (PFA perfusion fixed frozen sections) - Anti-4 Hydroxynonenal antibody [HNEJ-2] (AB48506)
  • IHC-FoFr

AbReview33645****

Immunohistochemistry (PFA perfusion fixed frozen sections) - Anti-4 Hydroxynonenal antibody [HNEJ-2] (AB48506)

ab15463 staining 4-Hydroxynonenal in the Mouse melanoma cancer tissue sections by IHC-FoFr (PFA perfusion fixed frozen Sections). Tissue samples were fixed with 4% Formalin, Antigen retrieval carried out heat mediation using anautoclave for 10 minutes, permeabilized using 0.1% SDS and blocked with 1% BSAfor 15 minutes at 25°C. The sample was incubated with primary antibody (1/25 in PBS + 1% BSA) at 4°C for 12 hours.An Alexa Fluor®488-conjugated Goat anti-mouse IgG(H+L) monoclonal(1/100) was used as the secondary antibody.

This image is courtesy of an Abreview submitted by Seontae Kim

Western blot - Anti-4 Hydroxynonenal antibody [HNEJ-2] (AB48506)
  • WB

Lab

Western blot - Anti-4 Hydroxynonenal antibody [HNEJ-2] (AB48506)

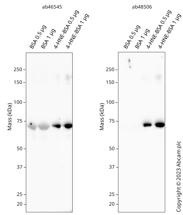
Western blot : Anti-4-HNE antibody [HNEJ-2] (ab48506) staining at 1/1000 dilution, shown in black. In Western blot, ab48506 was shown to bind specifically to 4-HNE. First, samples were run on an SDS-PAGE gel then transferred onto a nitrocellulose membrane. Membranes were blocked in 3% milk in TBS-0.1% Tween® 20 (TBS-T) before incubation with primary antibodies overnight at 4°C. Blots were washed four times in TBS-T, incubated with secondary antibodies for 1 h at room temperature, washed again four times before development with a high-sensitivity ECL substrate kit and imaged with 3 minutes exposure time. Secondary antibodies used were HRP conjugated Goat anti-Mouse (H+L) 5000 dilution.

All lanes:

Western blot - Anti-4 Hydroxynonenal antibody [HNEJ-2] (ab48506) at 1/1000 dilution

Lane 1:

BSA cell lysate at 0.5 µg

Lane 2:

BSA cell lysate at 1 µg

Lane 3:

4-Hydroxynonenal (BSA) cell lysate at 0.5 µg

Lane 4:

4-Hydroxynonenal (BSA) cell lysate at 1 µg

Observed band size: 66 kDa

true

Western blot - Anti-4 Hydroxynonenal antibody [HNEJ-2] (AB48506)
  • WB

Lab

Western blot - Anti-4 Hydroxynonenal antibody [HNEJ-2] (AB48506)

Western blot : Anti-4-HNE antibody (ab46545) staining at 1/1000 dilution, shown in black. In Western blot, ab46545 binds to 4-HNE but shows some non-specific binding to BSA. We recommend ab48506 for Western blot of 4-HNE. First, samples were run on an SDS-PAGE gel then transferred onto a nitrocellulose membrane. Membranes were blocked in 3% milk in TBS-0.1% Tween® 20 (TBS-T) before incubation with primary antibodies overnight at 4°C. Blots were washed four times in TBS-T, incubated with secondary antibodies for 1 h at room temperature, washed again four times before development with a high-sensitivity ECL substrate kit and imaged with 3 minutes exposure time. Secondary antibodies used were HRP conjugated Goat anti-Rabbit (H+L) at 1/50000 dilution.

Lanes 1 - 4:

Western blot - Anti-4 Hydroxynonenal antibody (<a href='/en-us/products/primary-antibodies/4-hydroxynonenal-antibody-ab46545'>ab46545</a>) at 1/1000 dilution

Lanes 1 - 4:

Western blot - Anti-4 Hydroxynonenal antibody [HNEJ-2] (ab48506) at 1/1000 dilution

Lane 1:

BSA cell lysate at 0.5 µg

Lane 2:

BSA cell lysate at 1 µg

Lane 3:

4-Hydroxynonenal (BSA) cell lysate at 0.5 µg

Lane 4:

4-Hydroxynonenal (BSA) cell lysate at 1 µg

Observed band size: 66 kDa

true

Key facts

Host species

Mouse

Clonality

Monoclonal

Clone number

HNEJ-2

Isotype

IgG1

Light chain type

kappa

Carrier free

No

Applications

IHC-FoFr, WB, IHC-P

applications

Reactivity data

{ "title": "Reactivity Data", "filters": { "stats": ["", "Species", "Dilution Info", "Notes"], "tabs": { "all-applications": {"fullname" : "All Applications", "shortname": "All Applications"}, "WB" : {"fullname" : "Western blot", "shortname":"WB"}, "IHCFoFr" : {"fullname" : "Immunohistochemistry (PFA perfusion fixed frozen sections)", "shortname":"IHC-FoFr"}, "IHCP" : {"fullname" : "Immunohistochemistry (Formalin/PFA-fixed paraffin-embedded sections)", "shortname":"IHC-P"} }, "product-promise": { "all": "all", "testedAndGuaranteed": "tested", "guaranteed": "expected", "predicted": "predicted", "notRecommended": "not-recommended" } }, "values": { "Chemical": { "WB-species-checked": "testedAndGuaranteed", "WB-species-dilution-info": "1/1000", "WB-species-notes": "<p></p>", "IHCFoFr-species-checked": "testedAndGuaranteed", "IHCFoFr-species-dilution-info": "1/25", "IHCFoFr-species-notes": "<p></p>", "IHCP-species-checked": "testedAndGuaranteed", "IHCP-species-dilution-info": "1/25", "IHCP-species-notes": "<p></p>" } } }

Product details

Anti-4 Hydroxynonenal antibody [HNEJ-2] (ab48506) is a mouse monoclonal antibody and is validated for use in IHC-FoFr, IHC-P and WB.

Anti-4 Hydroxynonenal antibody [HNEJ-2] (ab48506) was first used in a scientific publication in 1995 and has been cited over 203 times in peer reviewed journals. It's performance in Western blot and IHC in human, mouse and rat samples is trusted by the scientific community.

Abcam's high quality validation processes ensure Anti-4 Hydroxynonenal antibody [HNEJ-2] (ab48506) has high sensitivity and specificity.

Anti-4 Hydroxynonenal antibody [HNEJ-2] (ab48506) has 9 independent reviews from customers.

Anti-4 Hydroxynonenal antibody [HNEJ-2] (ab48506) specifically detects 4 Hydroxynonenal (UniProt ID: N/A; Molecular weight: 0.1kDa) and is sold in 50 µg selling sizes.

Top cited antibody on the market with >302 citations and >10 reviews. 4-Hydroxynonenal is essential for detecting oxidative stress markers in cells, aiding research on diseases related to oxidative damage

Properties and storage information

Form
Liquid
Purification technique
Affinity purification Protein A
Purification notes
Purified from serum-free cell culture medium by ammonium sulfate purification followed by protein A purification.
Storage buffer
pH: 7.4 Constituents: 0.115% Disodium hydrogenorthophosphate, 0.02% Potassium phosphate monobasic, 0.02% Potassium chloride, 0.0125% Sodium chloride
Shipped at conditions
Blue Ice
Appropriate short-term storage duration
1-2 weeks
Appropriate short-term storage conditions
+4°C
Appropriate long-term storage conditions
-20°C
Aliquoting information
Upon delivery aliquot
Storage information
Avoid freeze / thaw cycle

Supplementary information

This supplementary information is collated from multiple sources and compiled automatically.

4-Hydroxynonenal (4-HNE) often referred to as HNE is a highly reactive aldehyde with a molar mass of approximately 156.19 g/mol. It plays a significant role in lipid peroxidation processes. 4-HNE forms during the oxidative degradation of polyunsaturated fatty acids and is present mostly in tissues with high metabolic activity. It is frequently expressed in the liver brain and heart where oxidative stress is elevated. Researchers commonly use techniques like 4-HNE staining and 4-HNE Western blot to study its presence and implications in various tissues and cells.
Biological function summary

4-HNE serves as a signaling molecule influencing many cellular pathways. It is not just a byproduct of oxidative stress but actively modifies proteins through covalent binding. These modifications often lead to changes in protein function and structure affecting cellular processes such as proliferation apoptosis and differentiation. 4-HNE also interacts with other reactive molecules and antioxidants forming a complex network of cellular responses. This aldehyde regulates gene expression influencing how cells respond to oxidative stress and inflammation.

Pathways

4-HNE interacts with pathways involved in oxidative stress and detoxification. In the oxidative stress pathway it reacts with glutathione to form glutathione conjugates which are part of the cell's detoxifying responses. The aldehyde thereby affects the Keap1-Nrf2-ARE pathway which modulates antioxidant responses and cellular protection against oxidative damage. Proteins like glutathione peroxidase and glutathione-S-transferase play key roles in these pathways illustrating the interconnectedness of 4-HNE with cellular defense mechanisms.

4-HNE has associations with conditions such as Alzheimer's disease and cardiovascular diseases. In Alzheimer's the aldehyde contributes to neuroinflammation and protein modification impacting neuronal function and survival. It interacts with proteins like tau and amyloid-beta which are critical in the pathology of Alzheimer's. In cardiovascular diseases 4-HNE mediates cellular damage and inflammation linking it to the progression of atherosclerosis. This reactive aldehyde interacts with proteins such as apolipoprotein B highlighting its significant role in disease pathways linked to oxidative stress.

Product protocols

For this product, it's our understanding that no specific protocols are required. You can visit:

Publications (321)

Recent publications for all applications. Explore the full list and refine your search

International journal of biological sciences 21:5476-5495 PubMed40959275

2025

Increased CAPG inhibits ferroptosis to drive tumor proliferation and sorafenib resistance in hepatocellular carcinoma via the WDR74-p53-SLC7A11 pathway.

Applications

Unspecified application

Species

Unspecified reactive species

Bing Quan,Fan Yao,Wenfeng Liu,Bei Tang,Miao Li,Shenxin Lu,Jinghuan Li,Rongxin Chen,Zhenggang Ren,Xin Yin

Frontiers in pharmacology 16:1617185 PubMed40926987

2025

Renoprotective effects of GHRH agonist MR409 is associated with reduced oxidative stress and ferroptosis in diabetic mice.

Applications

Unspecified application

Species

Unspecified reactive species

Yueyang Liu,Rong Fu,Qi Tang,Yaoxia Zhang,Ruiping Cai,Limin Liu,Hui Jia,Junjia Gao,Ming-Sheng Zhou

Cell death & disease 16:668 PubMed40897687

2025

Tissue-specific iron levels modulate lipid peroxidation and the FLASH radiotherapy effect.

Applications

Unspecified application

Species

Unspecified reactive species

Nuria Vilaplana-Lopera,Jiyoung Kim,Gilyeong Nam,Iain D C Tullis,Salome Paillas,Jia-Ling Ruan,Pei Ju Lee,Yanyan Jiang,Sohee Park,Tianxu Hou,Ayesha Nasir,Eve Charlesworth,Ellie Walker,Ammar Abu-Halawa,Mark A Hill,Changhoon Choi,Ik Jae Lee,Youngtae Jeong,Samira Lakhal-Littleton,Chee Kin Then,Shing-Chuan Shen,Amato J Giaccia,Kristoffer Petersson,Eui Jung Moon

Animals : an open access journal from MDPI 15: PubMed40867769

2025

Novel Insight into Dugong Mortality: First Report of Systemic Infection, Disseminated Intravascular Coagulation, and Associated Pathogenesis.

Applications

Unspecified application

Species

Unspecified reactive species

Piyaporn Eiamcharoen,Piyarat Khumraksa,Santi Ninwat,Tatsawan Suttiboon,Narissara Keawchana,Peerapon Sornying,Watcharapol Suyapoh

International journal of molecular sciences 26: PubMed40868990

2025

Co-Supplementation of Policosanol and Banaba Leaf Extract Exhibited a Cooperative Effect Against Hyperglycemia and Dyslipidemia in Zebrafish: Highlighting Vital Organ Protection Against High-Cholesterol and High-Galactose Diet.

Applications

Unspecified application

Species

Unspecified reactive species

Kyung-Hyun Cho,Sang Hyuk Lee,Yunki Lee,Ashutosh Bahuguna,Ji-Eun Kim,Cheolmin Jeon

Cancer cell international 25:310 PubMed40841645

2025

The endoplasmic reticulum stress-ferroptosis reciprocal signaling orchestrates anti-tumor effect of anlotinib in anaplastic thyroid cancer.

Applications

Unspecified application

Species

Unspecified reactive species

Yehao Guo,Juyong Liang,Lingling Ding,Jiajun Wu,Weidong Teng,Jiafeng Wang,Liehao Jiang,Zhuo Tan

International journal of nanomedicine 20:9753-9770 PubMed40791776

2025

Inhibition of Ferroptosis by Adipose Stem Cell-Derived Apoptotic Vesicles Enhances Angiogenesis and Accelerates Diabetic Wound Healing.

Applications

Unspecified application

Species

Unspecified reactive species

Jingyi Zhang,Jinxin Kuang,Shengkai Gong,Hanzhe Wang,Feng Ding,Lu Zhao,Lele Shi,Shiyu Liu,Yimin Zhao,Jiani Liu,Geng Dou

Cell death & disease 16:542 PubMed40691131

2025

HIF-1α alleviates ferroptosis in ulcerative colitis by regulation of GPX4.

Applications

Unspecified application

Species

Unspecified reactive species

Weitao Hu,Yanliang Cai,Daxing Cai,Zongchi Chen,Siying Huang,Su Zhang,Huie Zhuang,Taiyong Fang,Xiaoqing Chen

Molecular metabolism 99:102211 PubMed40681103

2025

Mitochondrial-targeted plastoquinone therapy prevents early onset muscle weakness that occurs before atrophy during ovarian cancer.

Applications

Unspecified application

Species

Unspecified reactive species

Luca J Delfinis,Shahrzad Khajehzadehshoushtar,Luke D Flewwelling,Nathaniel J Andrews,Madison C Garibotti,Shivam Gandhi,Aditya N Brahmbhatt,Brooke A Morris,Bianca Garlisi,Sylvia Lauks,Caroline Aitken,Leslie Ogilvie,Stavroula Tsitkanou,Jeremy A Simpson,Nicholas P Greene,Arthur J Cheng,Jim Petrik,Christopher G R Perry

Redox report : communications in free radical research 30:2529618 PubMed40669859

2025

ACSF2-PGK1 interaction promotes ferroptosis in renal tubular epithelial cells of diabetic nephropathy by regulating Keap1/Nrf2 signaling.

Applications

Unspecified application

Species

Unspecified reactive species

Xinran Liu,Chaoyi Chen,Sai Zhu,Xiaomei Luo,Li Gao,Ziyun Hu,Yu Ma,Ling Jiang,Yonggui Wu
View all publications

Product promise

We are committed to supporting your work with high-quality reagents, and we're here for you every step of the way. In the unlikely event that one of our products does not perform as expected, you're protected by our Product Promise.
For full details, please see our Terms & Conditions

Please note: All products are 'FOR RESEARCH USE ONLY. NOT FOR USE IN DIAGNOSTIC OR THERAPEUTIC PROCEDURES'.

For licensing inquiries, please contact partnerships@abcam.com