JavaScript is disabled in your browser. Please enable JavaScript to view this website.
AB111309

Anti-4E-BP2 antibody

Be the first to review this product! Submit a review

|

(1 Publication)

Rabbit Polyclonal 4E-BP2 antibody. Suitable for IHC-P and reacts with Human samples. Cited in 1 publication. Immunogen corresponding to Synthetic Peptide within Human Eukaryotic translation initiation factor 4E-binding protein 2 aa 50 to C-terminus conjugated to Keyhole Limpet Haemocyanin.

View Alternative Names

Eukaryotic translation initiation factor 4E-binding protein 2, 4E-BP2, eIF4E-binding protein 2, EIF4EBP2

1 Images
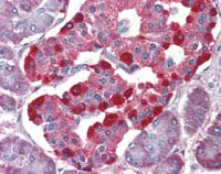
Immunohistochemistry (Formalin/PFA-fixed paraffin-embedded sections) - Anti-4E-BP2 antibody (AB111309)
  • IHC-P

Unknown

Immunohistochemistry (Formalin/PFA-fixed paraffin-embedded sections) - Anti-4E-BP2 antibody (AB111309)

Immunohistochemistry Image of Human Pancreas Formalin Fixed and Paraffin Embedded (FFPE) and stained with ab111309 at 10μg/ml. After incubation with the primary antibody, slides were incubated with biotinylated Goat anti Rabbit secondary antibody, followed by alkaline phosphatase streptavidin and chromogen. The stained slides were evaluated by a pathologist to confirm staining specificity.

Key facts

Host species

Rabbit

Clonality

Polyclonal

Isotype

IgG

Carrier free

No

Reacts with

Human

Applications

IHC-P

applications

Immunogen

Synthetic Peptide within Human Eukaryotic translation initiation factor 4E-binding protein 2 aa 50 to C-terminus conjugated to Keyhole Limpet Haemocyanin. The exact immunogen used to generate this antibody is proprietary information.

Q13542

Specificity

Detects 17 and 20 kD proteins, corresponding to the apparent molecular mass of PHAS II and its phosphorylated state on SDS-PAGE immunoblots.

Reactivity data

{ "title": "Reactivity Data", "filters": { "stats": ["", "Species", "Dilution Info", "Notes"], "tabs": { "all-applications": {"fullname" : "All Applications", "shortname": "All Applications"}, "IHCP" : {"fullname" : "Immunohistochemistry (Formalin/PFA-fixed paraffin-embedded sections)", "shortname":"IHC-P"} }, "product-promise": { "all": "all", "testedAndGuaranteed": "tested", "guaranteed": "expected", "predicted": "predicted", "notRecommended": "not-recommended" } }, "values": { "Human": { "IHCP-species-checked": "testedAndGuaranteed", "IHCP-species-dilution-info": "10 µg/mL", "IHCP-species-notes": "<p></p> Perform heat-mediated antigen retrieval with citrate buffer pH 6 before commencing with IHC staining protocol." }, "Mouse": { "IHCP-species-checked": "predicted", "IHCP-species-dilution-info": "", "IHCP-species-notes": "" }, "Rat": { "IHCP-species-checked": "predicted", "IHCP-species-dilution-info": "", "IHCP-species-notes": "" }, "Cow": { "IHCP-species-checked": "predicted", "IHCP-species-dilution-info": "", "IHCP-species-notes": "" }, "Dog": { "IHCP-species-checked": "predicted", "IHCP-species-dilution-info": "", "IHCP-species-notes": "" }, "Pig": { "IHCP-species-checked": "predicted", "IHCP-species-dilution-info": "", "IHCP-species-notes": "" } } }

Properties and storage information

Form
Liquid
Purification technique
Affinity purification Immunogen
Storage buffer
pH: 8.4 Constituents: 0.44% Sodium chloride, 0.15% EDTA
Shipped at conditions
Blue Ice
Appropriate short-term storage duration
1-2 weeks
Appropriate short-term storage conditions
+4°C
Appropriate long-term storage conditions
-20°C
Aliquoting information
Upon delivery aliquot

Supplementary information

This supplementary information is collated from multiple sources and compiled automatically.

The 4E-BP2 protein also known as eukaryotic translation initiation factor 4E-binding protein 2 is an important regulator of translation initiation. It is a small protein with a molecular weight of approximately 14 kDa. 4E-BP2 is expressed in various tissues with a prominent presence in the brain. This protein binds to eukaryotic initiation factor 4E (eIF4E) inhibiting the initiation of cap-dependent translation by preventing eIF4E from assembling into the larger eIF4F complex.
Biological function summary

The 4E-BP2 protein inhibits the initiation of protein synthesis regulating gene expression at a translational level. 4E-BP2 does not form part of a stable complex but transiently interacts with eIF4E in response to different cellular signals. When 4E-BP2 is phosphorylated by mammalian target of rapamycin (mTOR) it undergoes a conformational change that weakens its binding to eIF4E allowing protein synthesis to proceed. This regulation exhibits tissue specificity and involves responses to growth factors nutrients and cellular stress.

Pathways

The involvement of 4E-BP2 is important in the mTOR signaling pathway a central pathway regulating cell growth and metabolism in response to environmental cues. The mTOR pathway includes other proteins like eIF4E which 4E-BP2 interacts with directly and mTOR itself which phosphorylates 4E-BP2. Additionally 4E-BP2 also participates in the insulin signaling pathway influencing how cells respond to insulin and other growth factors by regulating protein translation.

Altered 4E-BP2 function has implications in neurological disorders and cancer. In the brain dysregulation of 4E-BP2 is associated with autism spectrum disorders as its role in neural development and plasticity is important. In cancer aberrant activity of 4E-BP2 can lead to unchecked cellular proliferation due to disrupted control of protein synthesis. The protein's regulation by mTOR links it to various cancers as increased mTOR activity can result in decreased 4E-BP2 activity facilitating tumorigenesis.

Product protocols

For this product, it's our understanding that no specific protocols are required. You can visit:

Target data

Repressor of translation initiation involved in synaptic plasticity, learning and memory formation (PubMed : 30765518). Regulates EIF4E activity by preventing its assembly into the eIF4F complex : hypophosphorylated form of EIF4EBP2 competes with EIF4G1/EIF4G3 and strongly binds to EIF4E, leading to repress translation. In contrast, hyperphosphorylated form dissociates from EIF4E, allowing interaction between EIF4G1/EIF4G3 and EIF4E, leading to initiation of translation (PubMed : 25533957, PubMed : 30765518). EIF4EBP2 is enriched in brain and acts as a regulator of synapse activity and neuronal stem cell renewal via its ability to repress translation initiation (By similarity). Mediates the regulation of protein translation by hormones, growth factors and other stimuli that signal through the MAP kinase and mTORC1 pathways (By similarity).
See full target information Eukaryotic translation initiation factor 4E-binding protein 2

Publications (1)

Recent publications for all applications. Explore the full list and refine your search

Oncotarget 7:1421-38 PubMed26623558

2015

Integration of tissue metabolomics, transcriptomics and immunohistochemistry reveals ERG- and gleason score-specific metabolomic alterations in prostate cancer.

Applications

Unspecified application

Species

Unspecified reactive species

Sebastian Meller,Hellmuth-A Meyer,Bianca Bethan,Dimo Dietrich,Sandra González Maldonado,Michael Lein,Matteo Montani,Regina Reszka,Philipp Schatz,Erik Peter,Carsten Stephan,Klaus Jung,Beate Kamlage,Glen Kristiansen
View all publications

Product promise

We are committed to supporting your work with high-quality reagents, and we're here for you every step of the way. In the unlikely event that one of our products does not perform as expected, you're protected by our Product Promise.
For full details, please see our Terms & Conditions

Please note: All products are 'FOR RESEARCH USE ONLY. NOT FOR USE IN DIAGNOSTIC OR THERAPEUTIC PROCEDURES'.

For licensing inquiries, please contact partnerships@abcam.com