JavaScript is disabled in your browser. Please enable JavaScript to view this website.
AB242333

Anti-4R Tau antibody [EPR21725] - BSA and Azide free

Be the first to review this product! Submit a review

|

(1 Publication)

Anti-4R Tau antibody [EPR21725] - BSA and Azide free (ab242333) is a rabbit recombinant monoclonal antibody provided in a PBS only buffer for easy conjugation detecting 4R Tau in Western Blot, IP, IHC-P. Suitable for Human, Mouse, Rat.

- BSA, sodium azide, and glycerol-free for easy conjugation
- Biophysical QC for unrivalled batch-batch consistency

View Alternative Names

MAPTL, MTBT1, TAU, MAPT, Microtubule-associated protein tau, Neurofibrillary tangle protein, Paired helical filament-tau, PHF-tau

7 Images
Immunohistochemistry (Formalin/PFA-fixed paraffin-embedded sections) - Anti-4R Tau antibody [EPR21725] - BSA and Azide free (AB242333)
  • IHC-P

Supplier Data

Immunohistochemistry (Formalin/PFA-fixed paraffin-embedded sections) - Anti-4R Tau antibody [EPR21725] - BSA and Azide free (AB242333)

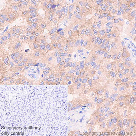
Immunohistochemical analysis of paraffin-embedded human breast carcinoma tissue labeling 4R Tau with ab218314 at 1/500 dilution, followed by a ready to use Goat Anti-Rabbit IgG H&L (HRP). Cytoplasmic staining on human breast carcinoma (PMID : 15914550) is observed. Counterstained with hematoxylin.
Secondary antibody only control : Used PBS instead of primary antibody, secondary antibody is a ready to use Goat Anti-Rabbit IgG H&L (HRP).
Perform heat mediated antigen retrieval using ab93684 (Tris/EDTA buffer, pH 9.0).

This data was developed using the same antibody clone in a different buffer formulation containing PBS, BSA, glycerol, and sodium azide.

Immunohistochemistry (Formalin/PFA-fixed paraffin-embedded sections) - Anti-4R Tau antibody [EPR21725] - BSA and Azide free (AB242333)
  • IHC-P

Supplier Data

Immunohistochemistry (Formalin/PFA-fixed paraffin-embedded sections) - Anti-4R Tau antibody [EPR21725] - BSA and Azide free (AB242333)

Immunohistochemical analysis of paraffin-embedded human cerebrum tissue labeling 4R Tau with ab218314 at 1/500 dilution, followed by a ready to use Goat Anti-Rabbit IgG H&L (HRP). Cytoplasmic staining in human cerebrum is observed. Counterstained with hematoxylin.
Secondary antibody only control : Used PBS instead of primary antibody, secondary antibody is a ready to use Goat Anti-Rabbit IgG H&L (HRP).
Perform heat mediated antigen retrieval using ab93684 (Tris/EDTA buffer, pH 9.0).

This data was developed using the same antibody clone in a different buffer formulation containing PBS, BSA, glycerol, and sodium azide.

Immunohistochemistry (Formalin/PFA-fixed paraffin-embedded sections) - Anti-4R Tau antibody [EPR21725] - BSA and Azide free (AB242333)
  • IHC-P

Supplier Data

Immunohistochemistry (Formalin/PFA-fixed paraffin-embedded sections) - Anti-4R Tau antibody [EPR21725] - BSA and Azide free (AB242333)

Immunohistochemical analysis of paraffin-embedded mouse cerebrum tissue labeling 4R Tau with ab218314 at 1/500 dilution, followed by a ready to use Goat Anti-Rabbit IgG H&L (HRP). Cytoplasmic staining on mouse cerebrum (PMID : 18925637) is observed. Counterstained with hematoxylin.
Secondary antibody only control : Used PBS instead of primary antibody, secondary antibody is a ready to use Goat Anti-Rabbit IgG H&L (HRP).
Perform heat mediated antigen retrieval using ab93684 (Tris/EDTA buffer, pH 9.0).

This data was developed using the same antibody clone in a different buffer formulation containing PBS, BSA, glycerol, and sodium azide.

Immunohistochemistry (Formalin/PFA-fixed paraffin-embedded sections) - Anti-4R Tau antibody [EPR21725] - BSA and Azide free (AB242333)
  • IHC-P

Supplier Data

Immunohistochemistry (Formalin/PFA-fixed paraffin-embedded sections) - Anti-4R Tau antibody [EPR21725] - BSA and Azide free (AB242333)

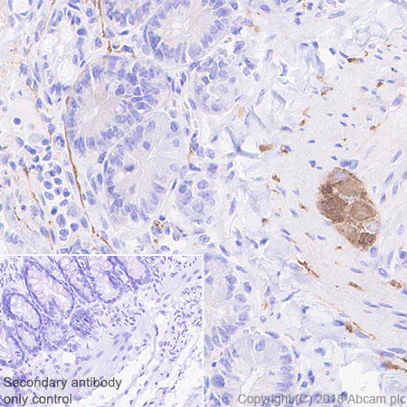
Immunohistochemical analysis of paraffin-embedded rat colon tissue labeling 4R Tau with ab218314 at 1/500 dilution, followed by a ready to use Goat Anti-Rabbit IgG H&L (HRP). Cytoplasmic staining on myenteric plexus of rat colon is observed. Counterstained with hematoxylin.
Secondary antibody only control : Used PBS instead of primary antibody, secondary antibody is a ready to use Goat Anti-Rabbit IgG H&L (HRP).
Perform heat mediated antigen retrieval using ab93684 (Tris/EDTA buffer, pH 9.0).

This data was developed using the same antibody clone in a different buffer formulation containing PBS, BSA, glycerol, and sodium azide.

Immunohistochemistry (Formalin/PFA-fixed paraffin-embedded sections) - Anti-4R Tau antibody [EPR21725] - BSA and Azide free (AB242333)
  • IHC-P

Supplier Data

Immunohistochemistry (Formalin/PFA-fixed paraffin-embedded sections) - Anti-4R Tau antibody [EPR21725] - BSA and Azide free (AB242333)

Immunohistochemical analysis of paraffin-embedded mouse colon tissue labeling 4R Tau with ab218314 at 1/500 dilution, followed by a ready to use Goat Anti-Rabbit IgG H&L (HRP). Cytoplasmic staining on myenteric plexus of mouse colon is observed. Counterstained with hematoxylin.
Secondary antibody only control : Used PBS instead of primary antibody, secondary antibody is a ready to use Goat Anti-Rabbit IgG H&L (HRP).
Perform heat mediated antigen retrieval using ab93684 (Tris/EDTA buffer, pH 9.0).

This data was developed using the same antibody clone in a different buffer formulation containing PBS, BSA, glycerol, and sodium azide.

Immunohistochemistry (Formalin/PFA-fixed paraffin-embedded sections) - Anti-4R Tau antibody [EPR21725] - BSA and Azide free (AB242333)
  • IHC-P

Supplier Data

Immunohistochemistry (Formalin/PFA-fixed paraffin-embedded sections) - Anti-4R Tau antibody [EPR21725] - BSA and Azide free (AB242333)

Immunohistochemical analysis of paraffin-embedded rat cerebral cortex tissue labeling 4R Tau with ab218314 at 1/500 dilution, followed by a ready to use Goat Anti-Rabbit IgG H&L (HRP). Cytoplasmic staining on rat cerebral cortex is observed. Counterstained with hematoxylin.
Secondary antibody only control : Used PBS instead of primary antibody, secondary antibody is a ready to use Goat Anti-Rabbit IgG H&L (HRP).
Perform heat mediated antigen retrieval using ab93684 (Tris/EDTA buffer, pH 9.0).

This data was developed using the same antibody clone in a different buffer formulation containing PBS, BSA, glycerol, and sodium azide.

Immunoprecipitation - Anti-4R Tau antibody [EPR21725] - BSA and Azide free (AB242333)
  • IP

Unknown

Immunoprecipitation - Anti-4R Tau antibody [EPR21725] - BSA and Azide free (AB242333)

4R Tau was immunoprecipitated from 0.35 mg rat hippocampus lysate 10 μg with ab218314 at 1/30 dilution (2μg in 0.35mg lysates). Western blot was performed on the immunoprecipitate using ab218314 at 1/1000 dilution. VeriBlot for IP Detection Reagent (HRP)(ab131366) was used at 1/5000 dilution.

Lane 1 : rat hippocampus lysate 10 μg

Lane 2 : ab218314 IP in rat hippocampus lysate

Lane 3 : Rabbit monoclonal IgG (ab172730) instead of ab218314 in rat hippocampus lysate

Blocking and dilution buffer and concentration : 5% NFDM/TBST.

Exposure time : 8s

This data was developed using the same antibody clone in a different buffer formuation containing PBS, BSA, glycerol, and sodium azide (ab218314).

All lanes:

Immunoprecipitation - Anti-4R Tau antibody [EPR21725] (<a href='/en-us/products/primary-antibodies/4r-tau-antibody-epr21725-ab218314'>ab218314</a>)

false

Key facts

Host species

Rabbit

Clonality

Monoclonal

Clone number

EPR21725

Isotype

IgG

Carrier free

Yes

Reacts with

Mouse, Rat, Human

Applications

WB, IP, IHC-P

applications

Immunogen

The exact immunogen used to generate this antibody is proprietary information.

Reactivity data

{ "title": "Reactivity Data", "filters": { "stats": ["", "Species", "Dilution Info", "Notes"], "tabs": { "all-applications": {"fullname" : "All Applications", "shortname": "All Applications"}, "IP" : {"fullname" : "Immunoprecipitation", "shortname":"IP"}, "IHCP" : {"fullname" : "Immunohistochemistry (Formalin/PFA-fixed paraffin-embedded sections)", "shortname":"IHC-P"}, "WB" : {"fullname" : "Western blot", "shortname":"WB"}, "IHCFr" : {"fullname" : "Immunohistochemistry (Frozen sections)", "shortname":"IHC-Fr"} }, "product-promise": { "all": "all", "testedAndGuaranteed": "tested", "guaranteed": "expected", "predicted": "predicted", "notRecommended": "not-recommended" } }, "values": { "Human": { "IP-species-checked": "guaranteed", "IP-species-dilution-info": "", "IP-species-notes": "", "IHCP-species-checked": "testedAndGuaranteed", "IHCP-species-dilution-info": "", "IHCP-species-notes": "<p></p>", "WB-species-checked": "testedAndGuaranteed", "WB-species-dilution-info": "", "WB-species-notes": "<p></p>", "IHCFr-species-checked": "notRecommended", "IHCFr-species-dilution-info": "", "IHCFr-species-notes": "<p></p>" }, "Mouse": { "IP-species-checked": "guaranteed", "IP-species-dilution-info": "", "IP-species-notes": "", "IHCP-species-checked": "testedAndGuaranteed", "IHCP-species-dilution-info": "", "IHCP-species-notes": "<p></p>", "WB-species-checked": "testedAndGuaranteed", "WB-species-dilution-info": "", "WB-species-notes": "<p></p>", "IHCFr-species-checked": "notRecommended", "IHCFr-species-dilution-info": "", "IHCFr-species-notes": "<p></p>" }, "Rat": { "IP-species-checked": "testedAndGuaranteed", "IP-species-dilution-info": "", "IP-species-notes": "<p></p>", "IHCP-species-checked": "testedAndGuaranteed", "IHCP-species-dilution-info": "", "IHCP-species-notes": "<p></p>", "WB-species-checked": "testedAndGuaranteed", "WB-species-dilution-info": "", "WB-species-notes": "<p></p>", "IHCFr-species-checked": "notRecommended", "IHCFr-species-dilution-info": "", "IHCFr-species-notes": "<p></p>" }, "Recombinant fragment - Human": { "IP-species-checked": "notRecommended", "IP-species-dilution-info": "", "IP-species-notes": "", "IHCP-species-checked": "notRecommended", "IHCP-species-dilution-info": "", "IHCP-species-notes": "", "WB-species-checked": "testedAndGuaranteed", "WB-species-dilution-info": "", "WB-species-notes": "<p></p>", "IHCFr-species-checked": "notRecommended", "IHCFr-species-dilution-info": "", "IHCFr-species-notes": "" } } }

Product details

What is this antibody validated in?
Anti-4R Tau antibody [EPR21725] - BSA and Azide free (ab242333) is a rabbit recombinant monoclonal antibody and is validated for use in Western Blot (WB), Immunoprecipitation (IP), Immunohistochemistry (IHC-P) in Human, Mouse, Rat samples.

Other related products
We have a range of other formats of antibody clone [EPR21725] also available for your convenience: ab218314, Carrier free - ab242333, APC - ab319233, PE - ab319381, Alexa Fluor® 488 - ab319515, Alexa Fluor® 647 - ab319628, Alexa Fluor® 594 - ab319732, Alexa Fluor® 555 - ab319874, Alexa Fluor® 750 - ab321398

Patented technology
Our RabMAb® technology is a patented hybridoma-based technology for making rabbit monoclonal antibodies. For details on our patents, please refer to RabMAb® patents.

What are the advantages of a recombinant monoclonal antibody?
This product is a recombinant monoclonal antibody, which offers several advantages including:

  • - High batch-to-batch consistency and reproducibility
  • - Improved sensitivity and specificity
  • - Long-term security of supply
  • - Animal-free batch production

For more information, read more on recombinant antibodies.

Conjugation ready
Our carrier-free antibodies are typically supplied in a PBS-only formulation, purified and free of BSA, sodium azide and glycerol. This conjugation-ready format is designed for use with fluorochromes, metal isotopes, oligonucleotides, and enzymes, which makes them ideal for antibody labelling, functional and cell-based assays, flow-based assays (e.g. mass cytometry) and Multiplex Imaging applications.

Use our conjugation kits for antibody conjugates that are ready-to-use in as little as 20 minutes with 1 minute hands-on-time and 100% antibody recovery: available for fluorescent dyes, HRP, biotin and gold.

Compatibility
This product is compatible with the Maxpar® Antibody Labeling Kit from Fluidigm, without the need for antibody preparation. Maxpar® is a trademark of Fluidigm Canada Inc.

Properties and storage information

Form
Liquid
Purification technique
Affinity purification Protein A
Storage buffer
pH: 7.2 - 7.4 Constituents: PBS
Shipped at conditions
Blue Ice
Appropriate short-term storage conditions
+4°C
Appropriate long-term storage conditions
+4°C
Storage information
Do Not Freeze

Supplementary information

This supplementary information is collated from multiple sources and compiled automatically.

4R Tau also known as the 4-repeat tau protein plays a significant role in the stabilization of microtubules in neurons. This protein appears mainly in the human central nervous system where it assists in axonal structure and transport. 4R Tau has a molecular weight of approximately 65 kDa. The expression of 4R Tau occurs mostly in neurons although its presence can also be detected in other cell types within the brain.
Biological function summary

4R Tau is a component essential for the assembly and maintenance of neuronal microtubules. It regulates microtubule dynamics by binding and enhancing their stability important for maintaining cellular and axonal integrity. In mature neurons 4R Tau exists as part of a complex with tubulin forming an important element for axonal morphology. Its function extends further into modulating neuronal growth and signal transmission which directly impacts neural connectivity.

Pathways

4R Tau is integral within the microtubule-associated protein tau (MAPT) signaling pathways. It interacts with other proteins that influence microtubule assembly and stability such as tubulin and MAP2 playing a significant role in cytoskeletal development. Additionally 4R Tau is involved in the protein folding pathways regulated by chaperones like Heat Shock Protein 70 (Hsp70) which affect its aggregation and function within neural cells.

4R Tau is closely associated with neurodegenerative conditions such as Alzheimer's disease and frontotemporal dementia. Aberrant phosphorylation and aggregation of 4R Tau drive pathological tau tangles which disrupt neural networks and lead to cognitive decline. In Alzheimer’s the protein's dysfunction is linked with amyloid-beta peptide which accelerates tau pathology progression. Similarly in frontotemporal dementia 4R Tau's abnormal activity is influenced by interactions with proteins such as TDP-43 highlighting its central role in these neurodegenerative disorders.

Product protocols

For this product, it's our understanding that no specific protocols are required. You can visit:

Target data

Promotes microtubule assembly and stability, and might be involved in the establishment and maintenance of neuronal polarity (PubMed : 21985311). The C-terminus binds axonal microtubules while the N-terminus binds neural plasma membrane components, suggesting that tau functions as a linker protein between both (PubMed : 21985311, PubMed : 32961270). Axonal polarity is predetermined by TAU/MAPT localization (in the neuronal cell) in the domain of the cell body defined by the centrosome. The short isoforms allow plasticity of the cytoskeleton whereas the longer isoforms may preferentially play a role in its stabilization.
See full target information MAPT

Publications (1)

Recent publications for all applications. Explore the full list and refine your search

Cell proliferation 55:e13190 PubMed35102634

2022

Functional differentiation and scalable production of renal proximal tubular epithelial cells from human pluripotent stem cells in a dynamic culture system.

Applications

Unspecified application

Species

Unspecified reactive species

Thao Thi Thanh Ngo,Bella Rossbach,Isabelle Sébastien,Julia C Neubauer,Andreas Kurtz,Krithika Hariharan
View all publications

Product promise

We are committed to supporting your work with high-quality reagents, and we're here for you every step of the way. In the unlikely event that one of our products does not perform as expected, you're protected by our Product Promise.
For full details, please see our Terms & Conditions

Please note: All products are 'FOR RESEARCH USE ONLY. NOT FOR USE IN DIAGNOSTIC OR THERAPEUTIC PROCEDURES'.

For licensing inquiries, please contact partnerships@abcam.com