JavaScript is disabled in your browser. Please enable JavaScript to view this website.
AB169755

Anti-5 Lipoxygenase/5-LO antibody [EP6072(2)]

5

(1 Review)

|

(55 Publications)

Anti-5 Lipoxygenase/5-LO antibody [EP6072(2)] (ab169755) is a rabbit monoclonal antibody detecting 5 Lipoxygenase/5-LO in Western Blot, Flow Cytometry (Intra), Flow Cytometry, IHC-P, ICC/IF. Suitable for Human, Rat.

- Biophysical QC for unrivalled batch-batch consistency
- Over 40 publications

View Alternative Names

LOG5, ALOX5, Polyunsaturated fatty acid 5-lipoxygenase, Arachidonate 5-lipoxygenase, 5-LO, 5-lipoxygenase

9 Images
Immunohistochemistry (Formalin/PFA-fixed paraffin-embedded sections) - Anti-5 Lipoxygenase/5-LO antibody [EP6072(2)] (AB169755)
  • IHC-P

Unknown

Immunohistochemistry (Formalin/PFA-fixed paraffin-embedded sections) - Anti-5 Lipoxygenase/5-LO antibody [EP6072(2)] (AB169755)

Immunohistochemical analysis of paraffin-embedded Human tonsil tissue labeling 5 Lipoxygenase/5-LO with ab169755, unpurified, at 1/100 dilution.

Perform heat mediated antigen retrieval with Tris/EDTA buffer pH 9.0 before commencing with IHC staining protocol.

Immunohistochemistry (Formalin/PFA-fixed paraffin-embedded sections) - Anti-5 Lipoxygenase/5-LO antibody [EP6072(2)] (AB169755)
  • IHC-P

Supplier Data

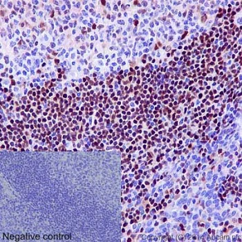
Immunohistochemistry (Formalin/PFA-fixed paraffin-embedded sections) - Anti-5 Lipoxygenase/5-LO antibody [EP6072(2)] (AB169755)

ab169755 staining 5 Lipoxygenase/5-LO in Human tonsil tissue sections by Immunohistochemistry (IHC-P - paraformaldehyde-fixed, paraffin-embedded sections). Tissue was fixed and paraffin-embedded, antigen retrieval was by heat mediation in Tris/EDTA buffer pH9. Samples were incubated with primary antibody (1/100). An undiluted HRP-conjugated mouse anti-rabbit IgG was used as the secondary antibody. Tissue counterstained with Hematoxylin. PBS was used in the negative control rather than the Primary antibody.

Immunocytochemistry/ Immunofluorescence - Anti-5 Lipoxygenase/5-LO antibody [EP6072(2)] (AB169755)
  • ICC/IF

Unknown

Immunocytochemistry/ Immunofluorescence - Anti-5 Lipoxygenase/5-LO antibody [EP6072(2)] (AB169755)

Immunofluorescent analysis of HUVEC cells labeling 5 Lipoxygenase/5-LO with ab169755, unpurified, at 1/100 dilution.

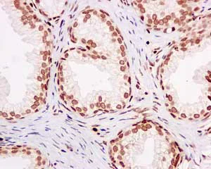
Immunohistochemistry (Formalin/PFA-fixed paraffin-embedded sections) - Anti-5 Lipoxygenase/5-LO antibody [EP6072(2)] (AB169755)
  • IHC-P

Unknown

Immunohistochemistry (Formalin/PFA-fixed paraffin-embedded sections) - Anti-5 Lipoxygenase/5-LO antibody [EP6072(2)] (AB169755)

Immunohistochemical analysis of paraffin-embedded Human prostate tissue labeling 5 Lipoxygenase/5-LO with ab169755, unpurified, at 1/100 dilution.

Perform heat mediated antigen retrieval with Tris/EDTA buffer pH 9.0 before commencing with IHC staining protocol.

Flow Cytometry (Intracellular) - Anti-5 Lipoxygenase/5-LO antibody [EP6072(2)] (AB169755)
  • Flow Cyt (Intra)

Lab

Flow Cytometry (Intracellular) - Anti-5 Lipoxygenase/5-LO antibody [EP6072(2)] (AB169755)

ab169755 staining 5 Lipoxygenase/5-LO in HUVEC (human umbilical vein/vascular endothelium) by intracellular flow cytometry. Cells were fixed with 4% paraformaldehyde, permabilised with 90% methanol and the sample was incubated with the primary antibody at a dilution of 1/130. A goat anti rabbit IgG (Alexa Fluor® 488) at a dilution of 1/2000 was used as the secondary antibody.

Isoytype control : Rabbit monoclonal IgG (black).

Unlabelled control : Cell without incubation with primary antibody and secondary antibody (blue).

Western blot - Anti-5 Lipoxygenase/5-LO antibody [EP6072(2)] (AB169755)
  • WB

Supplier Data

Western blot - Anti-5 Lipoxygenase/5-LO antibody [EP6072(2)] (AB169755)

Blocking buffer and concentration : 5% NFDM/TBST.

Diluting buffer and concentration : 5% NFDM /TBST.

All lanes:

Western blot - Anti-5 Lipoxygenase/5-LO antibody [EP6072(2)] (ab169755) at 1/1000 dilution

All lanes:

Human fetal thymus at 10 µg

Secondary

All lanes:

Anti-Rabbit IgG (HRP), specific to the non-reduced form of IgG at 1/1000 dilution

Predicted band size: 78 kDa

false

Western blot - Anti-5 Lipoxygenase/5-LO antibody [EP6072(2)] (AB169755)
  • WB

Supplier Data

Western blot - Anti-5 Lipoxygenase/5-LO antibody [EP6072(2)] (AB169755)

Blocking buffer and concentration : 5% NFDM/TBST.

Diluting buffer and concentration : 5% NFDM /TBST.

All lanes:

Western blot - Anti-5 Lipoxygenase/5-LO antibody [EP6072(2)] (ab169755) at 1/1000 dilution

All lanes:

K562 cell Lysate at 10 µg

Secondary

All lanes:

Goat Anti-Rabbit IgG, (H+L), HRP-conjugated at 1/1000 dilution

Predicted band size: 78 kDa

false

Western blot - Anti-5 Lipoxygenase/5-LO antibody [EP6072(2)] (AB169755)
  • WB

Supplier Data

Western blot - Anti-5 Lipoxygenase/5-LO antibody [EP6072(2)] (AB169755)

Blocking buffer and concentration : 5% NFDM/TBST.

Diluting buffer and concentration : 5% NFDM /TBST.

All lanes:

Western blot - Anti-5 Lipoxygenase/5-LO antibody [EP6072(2)] (ab169755) at 1/1000 dilution

Lane 1:

Rat heart lysate at 20 µg

Lane 2:

Rat kidney lysate at 20 µg

Lane 3:

Rat spleen lysate at 20 µg

Secondary

All lanes:

Goat Anti-Rabbit IgG, (H+L), HRP-conjugated at 1/1000 dilution

Predicted band size: 78 kDa

false

Western blot - Anti-5 Lipoxygenase/5-LO antibody [EP6072(2)] (AB169755)
  • WB

Unknown

Western blot - Anti-5 Lipoxygenase/5-LO antibody [EP6072(2)] (AB169755)

All lanes:

Western blot - Anti-5 Lipoxygenase/5-LO antibody [EP6072(2)] (ab169755) at 1/1000 dilution

Lane 1:

Fetal thymus lysate at 10 µg

Lane 2:

K562 lysate at 10 µg

Lane 3:

HUVEC lysate at 10 µg

Predicted band size: 78 kDa

false

  • 565 Alexa Fluor® 555

    Alexa Fluor® 555 Anti-5 Lipoxygenase / 5-LOantibody [EP6072(2)]

  • 617 Alexa Fluor® 594

    Alexa Fluor® 594 Anti-5 Lipoxygenase / 5-LO antibody [EP6072(2)]

  • 660 APC

    APC Anti-5 Lipoxygenase / 5-LO antibody [EP6072(2)]

  • 578 PE

    PE Anti-5 Lipoxygenase / 5-LO antibody [EP6072(2)]

  • 603 Alexa Fluor® 568

    Alexa Fluor® 568 Anti-5 Lipoxygenase / 5-LO antibody [EP6072(2)]

  • Carrier free

    Anti-5 Lipoxygenase/5-LO antibody [EP6072(2)] - BSA and Azide free

  • 775 Alexa Fluor® 750

    Alexa Fluor® 750 Anti-5 Lipoxygenase/5-LO antibody [EP6072(2)]

Key facts

Host species

Rabbit

Clonality

Monoclonal

Clone number

EP6072(2)

Isotype

IgG

Carrier free

No

Reacts with

Rat, Human

Applications

WB, IHC-P, Flow Cyt (Intra), ICC/IF

applications

Immunogen

The exact immunogen used to generate this antibody is proprietary information.

Reactivity data

{ "title": "Reactivity Data", "filters": { "stats": ["", "Species", "Dilution Info", "Notes"], "tabs": { "all-applications": {"fullname" : "All Applications", "shortname": "All Applications"}, "WB" : {"fullname" : "Western blot", "shortname":"WB"}, "ICCIF" : {"fullname" : "Immunocytochemistry/ Immunofluorescence", "shortname":"ICC/IF"}, "FlowCytIntra" : {"fullname" : "Flow Cytometry (Intracellular)", "shortname":"Flow Cyt (Intra)"}, "IHCP" : {"fullname" : "Immunohistochemistry (Formalin/PFA-fixed paraffin-embedded sections)", "shortname":"IHC-P"} }, "product-promise": { "all": "all", "testedAndGuaranteed": "tested", "guaranteed": "expected", "predicted": "predicted", "notRecommended": "not-recommended" } }, "values": { "Human": { "WB-species-checked": "testedAndGuaranteed", "WB-species-dilution-info": "1/1000 - 1/2000", "WB-species-notes": "<p></p>", "ICCIF-species-checked": "testedAndGuaranteed", "ICCIF-species-dilution-info": "1/100", "ICCIF-species-notes": "<p></p>", "FlowCytIntra-species-checked": "testedAndGuaranteed", "FlowCytIntra-species-dilution-info": "", "FlowCytIntra-species-notes": "<p><a href='/en-us/products/primary-antibodies/rabbit-igg-monoclonal-epr25a-isotype-control-ab172730'>ab172730</a> - Rabbit monoclonal IgG, is suitable for use as an isotype control with this antibody.</p>", "IHCP-species-checked": "testedAndGuaranteed", "IHCP-species-dilution-info": "1/100", "IHCP-species-notes": "<p><strong>For unpurified use at 1/100 - 1/250.</strong></p> Perform heat-mediated antigen retrieval with Tris/EDTA buffer pH 9.0 before commencing with IHC staining protocol." }, "Mouse": { "WB-species-checked": "notRecommended", "WB-species-dilution-info": "", "WB-species-notes": "", "ICCIF-species-checked": "notRecommended", "ICCIF-species-dilution-info": "1/100", "ICCIF-species-notes": "<p></p>", "FlowCytIntra-species-checked": "notRecommended", "FlowCytIntra-species-dilution-info": "", "FlowCytIntra-species-notes": "", "IHCP-species-checked": "notRecommended", "IHCP-species-dilution-info": "", "IHCP-species-notes": "" }, "Rat": { "WB-species-checked": "testedAndGuaranteed", "WB-species-dilution-info": "1/1000 - 1/2000", "WB-species-notes": "<p></p>", "ICCIF-species-checked": "guaranteed", "ICCIF-species-dilution-info": "", "ICCIF-species-notes": "", "FlowCytIntra-species-checked": "guaranteed", "FlowCytIntra-species-dilution-info": "", "FlowCytIntra-species-notes": "", "IHCP-species-checked": "guaranteed", "IHCP-species-dilution-info": "", "IHCP-species-notes": "" }, "Dog": { "WB-species-checked": "predicted", "WB-species-dilution-info": "", "WB-species-notes": "", "ICCIF-species-checked": "notRecommended", "ICCIF-species-dilution-info": "", "ICCIF-species-notes": "", "FlowCytIntra-species-checked": "predicted", "FlowCytIntra-species-dilution-info": "", "FlowCytIntra-species-notes": "", "IHCP-species-checked": "predicted", "IHCP-species-dilution-info": "", "IHCP-species-notes": "" } } }

Product details

What is this antibody validated in?
Anti-5 Lipoxygenase/5-LO antibody [EP6072(2)] (ab169755) is a rabbit recombinant monoclonal antibody and is validated for use in Western Blot (WB), Flow Cytometry (Intra), Flow Cytometry (Flow Cyt), Immunohistochemistry (IHC-P), Immunocytochemistry/immunofluorescence (ICC/IF) in Human, Rat samples.

What is the molecular weight of 5 Lipoxygenase/5-LO?
Anti-5 Lipoxygenase/5-LO [EP6072(2)] (ab169755) specifically detects a band for 5 Lipoxygenase/5-LO (UniProt: P09917) at a molecular weight of 78kDa.

Trusted by the scientific community
Anti-5 Lipoxygenase/5-LO [EP6072(2)] (ab169755) was first used in a scientific publication in 2013 and has been cited over 40 times in peer-reviewed journals.

Trial sizes available!
Test your antibody or perform pre-screening before committing to a larger quantity. Sold in 10µl. Discover our selection of trial-size antibodies.

Other related products
We have a range of other formats of antibody clone [EP6072(2)] also available for your convenience: ab169755, Carrier free - ab227991, APC - ab310831, PE - ab310907, Alexa Fluor® 594 - ab311696, Alexa Fluor® 568 - ab312971, Alexa Fluor® 555 - ab313180, Alexa Fluor® 750 - ab321163

Patented technology
Our RabMAb® technology is a patented hybridoma-based technology for making rabbit monoclonal antibodies. For details on our patents, please refer to RabMAb® patents.

What are the advantages of a recombinant monoclonal antibody?
This product is a recombinant monoclonal antibody, which offers several advantages including:

  • - High batch-to-batch consistency and reproducibility
  • - Improved sensitivity and specificity
  • - Long-term security of supply
  • - Animal-free batch production

For more information, read more on recombinant antibodies.

Properties and storage information

Form
Liquid
Purification technique
Affinity purification Protein A
Storage buffer
Preservative: 0.01% Sodium azide Constituents: PBS, 40% Glycerol (glycerin, glycerine), 0.05% BSA
Shipped at conditions
Blue Ice
Appropriate short-term storage duration
1-2 weeks
Appropriate short-term storage conditions
+4°C
Appropriate long-term storage conditions
-20°C
Aliquoting information
Upon delivery aliquot

Supplementary information

This supplementary information is collated from multiple sources and compiled automatically.

5-Lipoxygenase also known as 5-LO or 5-LOX is an enzyme that catalyzes the oxidation of arachidonic acid to produce leukotrienes which are signaling molecules in the body. 5-LOX has a molecular weight of approximately 78 kDa. It is mainly expressed in leukocytes like macrophages neutrophils and mast cells. This enzyme plays an important role in the inflammatory response and the regulation of immune functions in these cells.
Biological function summary

The activity of 5-Lipoxygenase contributes to the production of leukotrienes which are pivotal in mediating inflammatory and allergic responses. This enzyme operates alone but it often interacts with 5-LOX-activating protein (FLAP) to facilitate the synthesis of leukotrienes efficiently. These interactions suggest that 5-LOX has a significant role in cellular processes related to inflammation and immune reactions.

Pathways

5-Lipoxygenase is integral to the arachidonic acid metabolic pathway initiating the biosynthesis of leukotrienes from arachidonic acid. This pathway also involves other enzymes like phospholipase A2 which releases arachidonic acid from membrane phospholipids and cyclooxygenase enzymes (COX) which convert arachidonic acid into prostaglandins. The end products of this pathway including leukotrienes manage and resolve inflammation and immune responses illustrating the collaborative effort between these enzymes.

5-Lipoxygenase is significantly linked to inflammatory diseases such as asthma and atherosclerosis. In asthma the overproduction of leukotrienes due to enhanced 5-LOX activity results in bronchoconstriction and inflammation of the airways. In atherosclerosis leukotrienes contribute to the development and progression of plaques driving chronic inflammation in the vascular system. Additionally through its pathway its activity relates closely to cyclooxygenase enzymes showing its importance in disease mechanisms targeted by anti-inflammatory therapies.

Product protocols

For this product, it's our understanding that no specific protocols are required. You can visit:

Target data

Catalyzes the oxygenation of arachidonate ((5Z,8Z,11Z,14Z)-eicosatetraenoate) to 5-hydroperoxyeicosatetraenoate (5-HPETE) followed by the dehydration to 5,6- epoxyeicosatetraenoate (Leukotriene A4/LTA4), the first two steps in the biosynthesis of leukotrienes, which are potent mediators of inflammation (PubMed : 19022417, PubMed : 21233389, PubMed : 22516296, PubMed : 23246375, PubMed : 24282679, PubMed : 24893149, PubMed : 31664810, PubMed : 8615788, PubMed : 8631361). Also catalyzes the oxygenation of arachidonate into 8-hydroperoxyicosatetraenoate (8-HPETE) and 12-hydroperoxyicosatetraenoate (12-HPETE) (PubMed : 23246375). Displays lipoxin synthase activity being able to convert (15S)-HETE into a conjugate tetraene (PubMed : 31664810). Although arachidonate is the preferred substrate, this enzyme can also metabolize oxidized fatty acids derived from arachidonate such as (15S)-HETE, eicosapentaenoate (EPA) such as (18R)- and (18S)-HEPE or docosahexaenoate (DHA) which lead to the formation of specialized pro-resolving mediators (SPM) lipoxin and resolvins E and D respectively, therefore it participates in anti-inflammatory responses (PubMed : 17114001, PubMed : 21206090, PubMed : 31664810, PubMed : 32404334, PubMed : 8615788). Oxidation of DHA directly inhibits endothelial cell proliferation and sprouting angiogenesis via peroxisome proliferator-activated receptor gamma (PPARgamma) (By similarity). It does not catalyze the oxygenation of linoleic acid and does not convert (5S)-HETE to lipoxin isomers (PubMed : 31664810). In addition to inflammatory processes, it participates in dendritic cell migration, wound healing through an antioxidant mechanism based on heme oxygenase-1 (HO-1) regulation expression, monocyte adhesion to the endothelium via ITGAM expression on monocytes (By similarity). Moreover, it helps establish an adaptive humoral immunity by regulating primary resting B cells and follicular helper T cells and participates in the CD40-induced production of reactive oxygen species (ROS) after CD40 ligation in B cells through interaction with PIK3R1 that bridges ALOX5 with CD40 (PubMed : 21200133). May also play a role in glucose homeostasis, regulation of insulin secretion and palmitic acid-induced insulin resistance via AMPK (By similarity). Can regulate bone mineralization and fat cell differentiation increases in induced pluripotent stem cells (By similarity).
See full target information ALOX5

Publications (55)

Recent publications for all applications. Explore the full list and refine your search

Communications biology 8:1403 PubMed41028852

2025

Targeting ALOX5 ameliorates renal tubular injury in ischemia-reperfusion-induced acute kidney injury via inhibition of ferroptosis.

Applications

Unspecified application

Species

Unspecified reactive species

Liming Huang,Qiao Tang,Guoli Li,Yanpei Hou,Sipei Chen,Qi Yao,Yanwen Luo,Lin Xiong,Yaling Zhang,Hongsha Yang,Li Wang,Guisen Li,Yi Li,Yunlin Feng

Cells 14: PubMed40643519

2025

Short-Term Incubation of H9c2 Cardiomyocytes with Cannabigerol Attenuates Diacylglycerol Accumulation in Lipid Overload Conditions.

Applications

Unspecified application

Species

Unspecified reactive species

Sylwia Dziemitko,Adrian Chabowski,Ewa Harasim-Symbor

Frontiers in pharmacology 16:1516836 PubMed40538546

2025

Zileuton protects against arachidonic acid/5-lipoxygenase/leukotriene axis-mediated neuroinflammation in experimental traumatic brain injury.

Applications

Unspecified application

Species

Unspecified reactive species

Xiaofeng Xu,Yan Wang,Xiaomei Li,Yang Yang,Dianxu Yang,Wenqi Tang,Jin Lu,Fang Yuan

Chinese herbal medicines 17:148-155 PubMed39949807

2025

Sini decoction alleviates inflammation injury after myocardial infarction through regulating arachidonic acid metabolism.

Applications

Unspecified application

Species

Unspecified reactive species

Cuiping Long,Qian Zhou,Min Xu,Xin Ding,Xingxing Zhang,Ya Zhang,Yuping Tang,Guangguo Tan

Archives of toxicology 99:597-610 PubMed39688681

2024

The ETS domain-containing hematopoietic transcription factor PU.1 mediates the induction of arachidonate 5-lipoxygenase by multi-walled carbon nanotubes in macrophages in vitro.

Applications

Unspecified application

Species

Unspecified reactive species

Chol Seung Lim,Ja Kook Gu,Qiang Ma

Frontiers in immunology 15:1458684 PubMed39380984

2024

Activation of pro-resolving pathways mediate the therapeutic effects of thymosin beta-4 during -induced keratitis.

Applications

Unspecified application

Species

Unspecified reactive species

Yuxin Wang,Loveleen Banga,Abdul Shukkur Ebrahim,Thomas W Carion,Gabriel Sosne,Elizabeth A Berger

Antioxidants (Basel, Switzerland) 13: PubMed38790696

2024

Oxidative Stress, Lipid Peroxidation and Ferroptosis Are Major Pathophysiological Signatures in the Placental Tissue of Women with Late-Onset Preeclampsia.

Applications

Unspecified application

Species

Unspecified reactive species

Miguel A Ortega,Luis M Garcia-Puente,Oscar Fraile-Martinez,Tatiana Pekarek,Cielo García-Montero,Julia Bujan,Leonel Pekarek,Silvestra Barrena-Blázquez,Raquel Gragera,Inmaculada C Rodríguez-Rojo,Patrocinio Rodríguez-Benitez,Laura López-González,Raul Díaz-Pedrero,Melchor Álvarez-Mon,Natalio García-Honduvilla,Juan A De León-Luis,Coral Bravo,Miguel A Saez

Scientific reports 14:4178 PubMed38378892

2024

Stress-induced stenotic vascular remodeling via reduction of plasma omega-3 fatty acid metabolite 4-oxoDHA by noradrenaline.

Applications

Unspecified application

Species

Unspecified reactive species

Makoto Nishimori,Naomi Hayasaka,Kazunori Otsui,Nobutaka Inoue,Junko Asakura,Manabu Nagao,Ryuji Toh,Tatsuro Ishida,Ken-Ichi Hirata,Tomoyuki Furuyashiki,Masakazu Shinohara

BMC gastroenterology 23:415 PubMed38017374

2023

Association between high expression of intratumoral fibroblast activation protein and survival in patients with intrahepatic cholangiocarcinoma.

Applications

Unspecified application

Species

Unspecified reactive species

Yuhei Waki,Yuji Morine,Takayuki Noma,Chie Takasu,Hiroki Teraoku,Shinichiro Yamada,Yu Saito,Tetsuya Ikemoto,Mitsuo Shimada

Frontiers in immunology 14:1324205 PubMed38090559

2023

Lipid metabolism-related gene expression in the immune microenvironment predicts prognostic outcomes in renal cell carcinoma.

Applications

Unspecified application

Species

Unspecified reactive species

Qian Zhang,Bingbiao Lin,Huikun Chen,Yinyan Ye,Yijie Huang,Zhen Chen,Jun Li
View all publications

Product promise

We are committed to supporting your work with high-quality reagents, and we're here for you every step of the way. In the unlikely event that one of our products does not perform as expected, you're protected by our Product Promise.
For full details, please see our Terms & Conditions

Please note: All products are 'FOR RESEARCH USE ONLY. NOT FOR USE IN DIAGNOSTIC OR THERAPEUTIC PROCEDURES'.

For licensing inquiries, please contact partnerships@abcam.com