JavaScript is disabled in your browser. Please enable JavaScript to view this website.
AB227991

Anti-5 Lipoxygenase/5-LO antibody [EP6072(2)] - BSA and Azide free

Be the first to review this product! Submit a review

|

(1 Publication)

Rabbit Recombinant Monoclonal 5 Lipoxygenase/5-LO antibody. Carrier free. Suitable for Flow Cyt (Intra), ICC/IF, IHC-P, WB and reacts with Human, Rat samples. Cited in 1 publication.

View Alternative Names

LOG5, ALOX5, Polyunsaturated fatty acid 5-lipoxygenase, Arachidonate 5-lipoxygenase, 5-LO, 5-lipoxygenase

5 Images
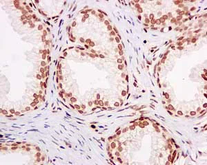
Immunohistochemistry (Formalin/PFA-fixed paraffin-embedded sections) - Anti-5 Lipoxygenase/5-LO antibody [EP6072(2)] - BSA and Azide free (AB227991)
  • IHC-P

Unknown

Immunohistochemistry (Formalin/PFA-fixed paraffin-embedded sections) - Anti-5 Lipoxygenase/5-LO antibody [EP6072(2)] - BSA and Azide free (AB227991)

Immunohistochemical analysis of paraffin-embedded Human prostate tissue labeling 5 Lipoxygenase/5-LO with ab169755, unpurified, at 1/100 dilution.

This data was developed using the same antibody clone in a different buffer formulation containing PBS, BSA, glycerol, and sodium azide (ab169755).

Perform heat mediated antigen retrieval with Tris/EDTA buffer pH 9.0 before commencing with IHC staining protocol.

Flow Cytometry (Intracellular) - Anti-5 Lipoxygenase/5-LO antibody [EP6072(2)] - BSA and Azide free (AB227991)
  • Flow Cyt (Intra)

Lab

Flow Cytometry (Intracellular) - Anti-5 Lipoxygenase/5-LO antibody [EP6072(2)] - BSA and Azide free (AB227991)

ab169755 staining 5 Lipoxygenase/5-LO in HUVEC (human umbilical vein/vascular endothelium) by intracellular flow cytometry. Cells were fixed with 4% paraformaldehyde, permabilised with 90% methanol and the sample was incubated with the primary antibody at a dilution of 1/130. A goat anti rabbit IgG (Alexa Fluor® 488) at a dilution of 1/2000 was used as the secondary antibody.

Isoytype control : Rabbit monoclonal IgG (black).

Unlabelled control : Cell without incubation with primary antibody and secondary antibody (blue).

This data was developed using the same antibody clone in a different buffer formulation containing PBS, BSA, glycerol, and sodium azide (ab169755).

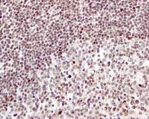
Immunohistochemistry (Formalin/PFA-fixed paraffin-embedded sections) - Anti-5 Lipoxygenase/5-LO antibody [EP6072(2)] - BSA and Azide free (AB227991)
  • IHC-P

Unknown

Immunohistochemistry (Formalin/PFA-fixed paraffin-embedded sections) - Anti-5 Lipoxygenase/5-LO antibody [EP6072(2)] - BSA and Azide free (AB227991)

Immunohistochemical analysis of paraffin-embedded Human tonsil tissue labeling 5 Lipoxygenase/5-LO with ab169755, unpurified, at 1/100 dilution.

This data was developed using the same antibody clone in a different buffer formulation containing PBS, BSA, glycerol, and sodium azide (ab169755).

Perform heat mediated antigen retrieval with Tris/EDTA buffer pH 9.0 before commencing with IHC staining protocol.

Immunohistochemistry (Formalin/PFA-fixed paraffin-embedded sections) - Anti-5 Lipoxygenase/5-LO antibody [EP6072(2)] - BSA and Azide free (AB227991)
  • IHC-P

Supplier Data

Immunohistochemistry (Formalin/PFA-fixed paraffin-embedded sections) - Anti-5 Lipoxygenase/5-LO antibody [EP6072(2)] - BSA and Azide free (AB227991)

This IHC data was generated using the same anti-5 Lipoxygenase/5-LO antibody clone, EP6072(2), in a different buffer formulation (ab169755).

ab169755 staining 5 Lipoxygenase/5-LO in Human tonsil tissue sections by Immunohistochemistry (IHC-P - paraformaldehyde-fixed, paraffin-embedded sections). Tissue was fixed and paraffin-embedded, antigen retrieval was by heat mediation in Tris/EDTA buffer pH9. Samples were incubated with primary antibody (1/100). An undiluted HRP-conjugated mouse anti-rabbit IgG was used as the secondary antibody. Tissue counterstained with Hematoxylin. PBS was used in the negative control rather than the Primary antibody.

Immunocytochemistry/ Immunofluorescence - Anti-5 Lipoxygenase/5-LO antibody [EP6072(2)] - BSA and Azide free (AB227991)
  • ICC/IF

Unknown

Immunocytochemistry/ Immunofluorescence - Anti-5 Lipoxygenase/5-LO antibody [EP6072(2)] - BSA and Azide free (AB227991)

Immunofluorescent analysis of HUVEC cells labeling 5 Lipoxygenase/5-LO with ab169755, unpurified, at 1/100 dilution.

This data was developed using the same antibody clone in a different buffer formulation containing PBS, BSA, glycerol, and sodium azide (ab169755).

  • Unconjugated

    Anti-5 Lipoxygenase/5-LO antibody [EP6072(2)]

  • 565 Alexa Fluor® 555

    Alexa Fluor® 555 Anti-5 Lipoxygenase / 5-LOantibody [EP6072(2)]

  • 617 Alexa Fluor® 594

    Alexa Fluor® 594 Anti-5 Lipoxygenase / 5-LO antibody [EP6072(2)]

  • 660 APC

    APC Anti-5 Lipoxygenase / 5-LO antibody [EP6072(2)]

  • 603 Alexa Fluor® 568

    Alexa Fluor® 568 Anti-5 Lipoxygenase / 5-LO antibody [EP6072(2)]

  • 775 Alexa Fluor® 750

    Alexa Fluor® 750 Anti-5 Lipoxygenase/5-LO antibody [EP6072(2)]

  • 578 PE

    PE Anti-5 Lipoxygenase / 5-LO antibody [EP6072(2)]

Key facts

Host species

Rabbit

Clonality

Monoclonal

Clone number

EP6072(2)

Isotype

IgG

Carrier free

Yes

Reacts with

Rat, Human

Applications

IHC-P, WB, ICC/IF, Flow Cyt (Intra)

applications

Immunogen

The exact immunogen used to generate this antibody is proprietary information.

Reactivity data

{ "title": "Reactivity Data", "filters": { "stats": ["", "Species", "Dilution Info", "Notes"], "tabs": { "all-applications": {"fullname" : "All Applications", "shortname": "All Applications"}, "FlowCytIntra" : {"fullname" : "Flow Cytometry (Intracellular)", "shortname":"Flow Cyt (Intra)"}, "ICCIF" : {"fullname" : "Immunocytochemistry/ Immunofluorescence", "shortname":"ICC/IF"}, "IHCP" : {"fullname" : "Immunohistochemistry (Formalin/PFA-fixed paraffin-embedded sections)", "shortname":"IHC-P"}, "WB" : {"fullname" : "Western blot", "shortname":"WB"} }, "product-promise": { "all": "all", "testedAndGuaranteed": "tested", "guaranteed": "expected", "predicted": "predicted", "notRecommended": "not-recommended" } }, "values": { "Human": { "FlowCytIntra-species-checked": "testedAndGuaranteed", "FlowCytIntra-species-dilution-info": "", "FlowCytIntra-species-notes": "<p><a href='/en-us/products/primary-antibodies/rabbit-igg-monoclonal-epr25a-isotype-control-low-endotoxin-azide-free-ab199376'>ab199376</a> - Rabbit monoclonal IgG (Low endotoxin, Azide free), is suitable for use as an isotype control with this antibody.</p>", "ICCIF-species-checked": "testedAndGuaranteed", "ICCIF-species-dilution-info": "", "ICCIF-species-notes": "<p></p>", "IHCP-species-checked": "testedAndGuaranteed", "IHCP-species-dilution-info": "", "IHCP-species-notes": "<p></p>", "WB-species-checked": "testedAndGuaranteed", "WB-species-dilution-info": "", "WB-species-notes": "<p></p>" }, "Mouse": { "FlowCytIntra-species-checked": "notRecommended", "FlowCytIntra-species-dilution-info": "", "FlowCytIntra-species-notes": "<p><a href='/en-us/products/primary-antibodies/rabbit-igg-monoclonal-epr25a-isotype-control-low-endotoxin-azide-free-ab199376'>ab199376</a> - Rabbit monoclonal IgG (Low endotoxin, Azide free), is suitable for use as an isotype control with this antibody.</p>", "ICCIF-species-checked": "notRecommended", "ICCIF-species-dilution-info": "", "ICCIF-species-notes": "<p></p>", "IHCP-species-checked": "notRecommended", "IHCP-species-dilution-info": "", "IHCP-species-notes": "<p></p>", "WB-species-checked": "notRecommended", "WB-species-dilution-info": "", "WB-species-notes": "<p></p>" }, "Rat": { "FlowCytIntra-species-checked": "guaranteed", "FlowCytIntra-species-dilution-info": "", "FlowCytIntra-species-notes": "", "ICCIF-species-checked": "guaranteed", "ICCIF-species-dilution-info": "", "ICCIF-species-notes": "", "IHCP-species-checked": "guaranteed", "IHCP-species-dilution-info": "", "IHCP-species-notes": "", "WB-species-checked": "testedAndGuaranteed", "WB-species-dilution-info": "", "WB-species-notes": "<p></p>" }, "Dog": { "FlowCytIntra-species-checked": "notRecommended", "FlowCytIntra-species-dilution-info": "", "FlowCytIntra-species-notes": "", "ICCIF-species-checked": "notRecommended", "ICCIF-species-dilution-info": "", "ICCIF-species-notes": "", "IHCP-species-checked": "notRecommended", "IHCP-species-dilution-info": "", "IHCP-species-notes": "", "WB-species-checked": "notRecommended", "WB-species-dilution-info": "", "WB-species-notes": "" } } }

Product details

ab227991 is the carrier-free version of ab169755.

Conjugation ready
Our carrier-free antibodies are typically supplied in a PBS-only formulation, purified and free of BSA, sodium azide and glycerol. This conjugation-ready format is designed for use with fluorochromes, metal isotopes, oligonucleotides, and enzymes, which makes them ideal for antibody labelling, functional and cell-based assays, flow-based assays (e.g. mass cytometry) and Multiplex Imaging applications.

Use our conjugation kits for antibody conjugates that are ready-to-use in as little as 20 minutes with 1 minute hands-on-time and 100% antibody recovery: available for fluorescent dyes, HRP, biotin and gold.

Compatibility
This product is compatible with the Maxpar® Antibody Labeling Kit from Fluidigm, without the need for antibody preparation. Maxpar® is a trademark of Fluidigm Canada Inc.

Properties and storage information

Form
Liquid
Purification technique
Affinity purification Protein A
Storage buffer
pH: 7.2 - 7.4 Constituents: PBS
Shipped at conditions
Blue Ice
Appropriate short-term storage conditions
+4°C
Appropriate long-term storage conditions
+4°C
Storage information
Do Not Freeze

Supplementary information

This supplementary information is collated from multiple sources and compiled automatically.

5-Lipoxygenase also known as 5-LO or 5-LOX is an enzyme that catalyzes the oxidation of arachidonic acid to produce leukotrienes which are signaling molecules in the body. 5-LOX has a molecular weight of approximately 78 kDa. It is mainly expressed in leukocytes like macrophages neutrophils and mast cells. This enzyme plays an important role in the inflammatory response and the regulation of immune functions in these cells.
Biological function summary

The activity of 5-Lipoxygenase contributes to the production of leukotrienes which are pivotal in mediating inflammatory and allergic responses. This enzyme operates alone but it often interacts with 5-LOX-activating protein (FLAP) to facilitate the synthesis of leukotrienes efficiently. These interactions suggest that 5-LOX has a significant role in cellular processes related to inflammation and immune reactions.

Pathways

5-Lipoxygenase is integral to the arachidonic acid metabolic pathway initiating the biosynthesis of leukotrienes from arachidonic acid. This pathway also involves other enzymes like phospholipase A2 which releases arachidonic acid from membrane phospholipids and cyclooxygenase enzymes (COX) which convert arachidonic acid into prostaglandins. The end products of this pathway including leukotrienes manage and resolve inflammation and immune responses illustrating the collaborative effort between these enzymes.

5-Lipoxygenase is significantly linked to inflammatory diseases such as asthma and atherosclerosis. In asthma the overproduction of leukotrienes due to enhanced 5-LOX activity results in bronchoconstriction and inflammation of the airways. In atherosclerosis leukotrienes contribute to the development and progression of plaques driving chronic inflammation in the vascular system. Additionally through its pathway its activity relates closely to cyclooxygenase enzymes showing its importance in disease mechanisms targeted by anti-inflammatory therapies.

Product protocols

For this product, it's our understanding that no specific protocols are required. You can visit:

Target data

Catalyzes the oxygenation of arachidonate ((5Z,8Z,11Z,14Z)-eicosatetraenoate) to 5-hydroperoxyeicosatetraenoate (5-HPETE) followed by the dehydration to 5,6- epoxyeicosatetraenoate (Leukotriene A4/LTA4), the first two steps in the biosynthesis of leukotrienes, which are potent mediators of inflammation (PubMed : 19022417, PubMed : 21233389, PubMed : 22516296, PubMed : 23246375, PubMed : 24282679, PubMed : 24893149, PubMed : 31664810, PubMed : 8615788, PubMed : 8631361). Also catalyzes the oxygenation of arachidonate into 8-hydroperoxyicosatetraenoate (8-HPETE) and 12-hydroperoxyicosatetraenoate (12-HPETE) (PubMed : 23246375). Displays lipoxin synthase activity being able to convert (15S)-HETE into a conjugate tetraene (PubMed : 31664810). Although arachidonate is the preferred substrate, this enzyme can also metabolize oxidized fatty acids derived from arachidonate such as (15S)-HETE, eicosapentaenoate (EPA) such as (18R)- and (18S)-HEPE or docosahexaenoate (DHA) which lead to the formation of specialized pro-resolving mediators (SPM) lipoxin and resolvins E and D respectively, therefore it participates in anti-inflammatory responses (PubMed : 17114001, PubMed : 21206090, PubMed : 31664810, PubMed : 32404334, PubMed : 8615788). Oxidation of DHA directly inhibits endothelial cell proliferation and sprouting angiogenesis via peroxisome proliferator-activated receptor gamma (PPARgamma) (By similarity). It does not catalyze the oxygenation of linoleic acid and does not convert (5S)-HETE to lipoxin isomers (PubMed : 31664810). In addition to inflammatory processes, it participates in dendritic cell migration, wound healing through an antioxidant mechanism based on heme oxygenase-1 (HO-1) regulation expression, monocyte adhesion to the endothelium via ITGAM expression on monocytes (By similarity). Moreover, it helps establish an adaptive humoral immunity by regulating primary resting B cells and follicular helper T cells and participates in the CD40-induced production of reactive oxygen species (ROS) after CD40 ligation in B cells through interaction with PIK3R1 that bridges ALOX5 with CD40 (PubMed : 21200133). May also play a role in glucose homeostasis, regulation of insulin secretion and palmitic acid-induced insulin resistance via AMPK (By similarity). Can regulate bone mineralization and fat cell differentiation increases in induced pluripotent stem cells (By similarity).
See full target information ALOX5

Publications (1)

Recent publications for all applications. Explore the full list and refine your search

Scientific reports 6:36949 PubMed27833128

2016

Qishen granules inhibit myocardial inflammation injury through regulating arachidonic acid metabolism.

Applications

WB

Species

Unspecified reactive species

Chun Li,Jing Wang,Qiyan Wang,Yi Zhang,Na Zhang,Linghui Lu,Yan Wu,Qian Zhang,Wei Wang,Yong Wang,Pengfei Tu
View all publications

Product promise

We are committed to supporting your work with high-quality reagents, and we're here for you every step of the way. In the unlikely event that one of our products does not perform as expected, you're protected by our Product Promise.
For full details, please see our Terms & Conditions

Please note: All products are 'FOR RESEARCH USE ONLY. NOT FOR USE IN DIAGNOSTIC OR THERAPEUTIC PROCEDURES'.

For licensing inquiries, please contact partnerships@abcam.com