JavaScript is disabled in your browser. Please enable JavaScript to view this website.
AB36823

Anti-53BP1 antibody

4

(12 Reviews)

|

(188 Publications)

Anti-53BP1 antibody (ab36823) is a rabbit polyclonal antibody detecting 53BP1 in Western Blot, IP, IHC-P. Suitable for Human, Mouse.

- Over 140 publications
- Trusted since 2006

View Alternative Names

TP53-binding protein 1, 53BP1, p53-binding protein 1, p53BP1, TP53BP1

5 Images
Immunoprecipitation - Anti-53BP1 antibody (AB36823)
  • IP

Supplier Data

Immunoprecipitation - Anti-53BP1 antibody (AB36823)

53BP1 was immunoprecipitated from 1 mg HEK293T whole cell lysate with ab36823 at 6 μg per reaction. Western blot was performed on the immunoprecipitate using ab243868 at a 1/1000 dilution.

Lane 1 : ab36823 IP in HEK293T whole cell lysate.

Lane 2 : Contol IgG in HEK293T whole cell lysate.

Detection : Chemiluminescence.

Exposure time : 10 seconds.

All lanes:

Immunoprecipitation - Anti-53BP1 antibody (ab36823)

Predicted band size: 214 kDa

false

Immunohistochemistry (Formalin/PFA-fixed paraffin-embedded sections) - Anti-53BP1 antibody (AB36823)
  • IHC-P

Supplier Data

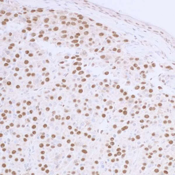
Immunohistochemistry (Formalin/PFA-fixed paraffin-embedded sections) - Anti-53BP1 antibody (AB36823)

Immunohistochemical analysis of formalin-fixed, paraffin-embedded human prostate cancer tissue, labeling CTCF with ab36823 at a 1/5000 dilution. Detection : DAB.

Immunohistochemistry (Formalin/PFA-fixed paraffin-embedded sections) - Anti-53BP1 antibody (AB36823)
  • IHC-P

Supplier Data

Immunohistochemistry (Formalin/PFA-fixed paraffin-embedded sections) - Anti-53BP1 antibody (AB36823)

Immunohistochemical analysis of formalin-fixed, paraffin-embedded mouse renal cancer tissue, labeling CTCF with ab36823 at a 1/1000 dilution. Detection : DAB.

Western blot - Anti-53BP1 antibody (AB36823)
  • WB

Supplier Data

Western blot - Anti-53BP1 antibody (AB36823)

Detection : Chemiluminescence.

All lanes:

Western blot - Anti-53BP1 antibody (ab36823) at 0.04 µg/mL

Lane 1:

HeLa cell nuclear extract at 50 µg

Lane 2:

HeLa cell nuclear extract at 5 µg

Lane 3:

TCMK1 mouse cell nuclear extract at 15 µg

Predicted band size: 214 kDa

false

Exposure time: 30s

Western blot - Anti-53BP1 antibody (AB36823)
  • WB

CiteAb

Western blot - Anti-53BP1 antibody (AB36823)

53BP1 western blot using anti-53BP1 antibody ab36823. Publication image and figure legend from Onyango, D. O., Lee, G., et al., 2017, Oncotarget, PubMed 29212152.

ab36823 was used in this publication in western blot. This may not be the same as the application(s) guaranteed by Abcam. For a full list of applications guaranteed by Abcam for ab36823 please see the product overview.

Effects of PRPF8 and PlaB on BRCA1 levels and SSA in 53BP1-deficient cellsA. PlaB treatment causes a marked reduction in both BRCA1 protein and RNA. Cells were transfected with siRNA and cultured 3 days, and PlaB and DRB treatments were for 16 hr, prior to protein or RNA extraction, which were probed for BRCA1 and Actin by immunoblot and qRT-PCR, respectively. B. Loss of 53BP1 partially suppresses the SSA defect caused by PRPF8 depletion, but not PlaB treatment. Using Cas9, a derivative of the SA-GFP cell line with loss of 53BP1 (53BP1KO line) was generated, and reporter assays were performed as in Figure 1B and 1D. Shown are GFP+ frequencies normalized to parallel siCTRL or siCTRL/DMSO treated wells. Also shown is immunoblot confirmation of depletion of BRCA1 and PRPF8 by the respective siRNAs, and loss of 53BP1 in the 53BP1KO line. siPRPF8-2 graph, *p < 0.0001, parental line N = 15, 53BP1KON = 12. siPRPF8-4 graph *P = 0.001, N = 6. PlaB graph, parental line N = 12, 53BP1KON = 9.

false

Key facts

Host species

Rabbit

Clonality

Polyclonal

Isotype

IgG

Carrier free

No

Reacts with

Mouse, Human

Applications

IP, WB, IHC-P

applications

Immunogen

Synthetic Peptide within Human TP53BP1 aa 350-400. The exact immunogen used to generate this antibody is proprietary information.

Q12888

Reactivity data

{ "title": "Reactivity Data", "filters": { "stats": ["", "Species", "Dilution Info", "Notes"], "tabs": { "all-applications": {"fullname" : "All Applications", "shortname": "All Applications"}, "IHCP" : {"fullname" : "Immunohistochemistry (Formalin/PFA-fixed paraffin-embedded sections)", "shortname":"IHC-P"}, "IP" : {"fullname" : "Immunoprecipitation", "shortname":"IP"}, "WB" : {"fullname" : "Western blot", "shortname":"WB"} }, "product-promise": { "all": "all", "testedAndGuaranteed": "tested", "guaranteed": "expected", "predicted": "predicted", "notRecommended": "not-recommended" } }, "values": { "Human": { "IHCP-species-checked": "guaranteed", "IHCP-species-dilution-info": "", "IHCP-species-notes": "", "IP-species-checked": "testedAndGuaranteed", "IP-species-dilution-info": "", "IP-species-notes": "<p></p>", "WB-species-checked": "testedAndGuaranteed", "WB-species-dilution-info": "1/10000 - 1/25000", "WB-species-notes": "<p></p>" }, "Mouse": { "IHCP-species-checked": "testedAndGuaranteed", "IHCP-species-dilution-info": "1/1000 - 1/5000", "IHCP-species-notes": "<p></p> Perform heat-mediated antigen retrieval with citrate buffer pH 6 before commencing with IHC staining protocol.", "IP-species-checked": "guaranteed", "IP-species-dilution-info": "", "IP-species-notes": "", "WB-species-checked": "guaranteed", "WB-species-dilution-info": "", "WB-species-notes": "" } } }

Product details

What is this antibody validated in?
Anti-53BP1 antibody (ab36823) is a rabbit polyclonal antibody and is validated for use in Western Blot (WB), Immunoprecipitation (IP), Immunohistochemistry (IHC-P) in Human, Mouse samples.

What is the molecular weight of 53BP1?
Anti-53BP1 (ab36823) specifically detects a band for 53BP1 (UniProt: Q12888) at a molecular weight of 214kDa.

Trusted by the scientific community
Anti-53BP1 (ab36823) was first used in a scientific publication in 2006 and has been cited over 140 times in peer-reviewed journals.

Reviewed by scientists
Anti-53BP1 (ab36823) has over 10 independent reviews from customers.

Properties and storage information

Form
Liquid
Purification technique
Affinity purification Immunogen
Storage buffer
pH: 7 - 8 Preservative: 0.09% Sodium azide Constituents: Tris citrate/phosphate
Shipped at conditions
Blue Ice
Appropriate short-term storage conditions
+4°C
Appropriate long-term storage conditions
+4°C
Aliquoting information
Upon delivery aliquot
Storage information
Avoid freeze / thaw cycle|Do Not Freeze

Supplementary information

This supplementary information is collated from multiple sources and compiled automatically.

53BP1 also known as p53-binding protein 1 is a protein that plays an important role in DNA damage response. The 53BP1 protein has a molecular weight of approximately 213 kDa. It is a nuclear protein and it mainly expresses in cells during the DNA damage repair processes. Researchers commonly utilize immunofluorescence and anti-53BP1 antibodies to detect its presence especially for studying DNA repair mechanisms. 53BP1 proves important for maintenance of genomic stability.
Biological function summary

As a DNA damage response mediator 53BP1 functions to recognize and bind to sites of double-strand breaks in DNA promoting non-homologous end joining (NHEJ). This protein is a component of a larger protein complex that recruits factors necessary for DNA repair. Its interaction with DNA lesions also involves chromatin remodeling aiming to facilitate successful repair of the DNA. 53BP1 works in concert with other proteins such as H2AX and MDC1.

Pathways

Researchers observe 53BP1 in processes such as the DNA damage checkpoint and repair pathways. This protein significantly contributes to the pathways involved in maintaining cell cycle checkpoints. It interacts with proteins like ATM and BRCA1 coordinating the cellular response to DNA damage and ensuring that genomic integrity checks occur properly before cell cycle progression continues. These interactions place 53BP1 at a pivotal position in decision-making between repair pathways.

Researchers often focus on 53BP1's involvement in cancer development and therapy resistance due to its role in DNA repair. Alterations or deficiencies in 53BP1 levels can contribute to increased susceptibility to tumor development affecting processes like breast cancer and ovarian cancer through its relationship with BRCA1. The improper function of 53BP1 in DNA repair pathways may lead to an accumulation of genetic mutations driving tumorigenesis and impacting the efficacy of certain cancer treatments.

Product protocols

For this product, it's our understanding that no specific protocols are required. You can visit:

Target data

Double-strand break (DSB) repair protein involved in response to DNA damage, telomere dynamics and class-switch recombination (CSR) during antibody genesis (PubMed : 12364621, PubMed : 17190600, PubMed : 21144835, PubMed : 22553214, PubMed : 23333306, PubMed : 27153538, PubMed : 28241136, PubMed : 31135337, PubMed : 37696958). Plays a key role in the repair of double-strand DNA breaks (DSBs) in response to DNA damage by promoting non-homologous end joining (NHEJ)-mediated repair of DSBs and specifically counteracting the function of the homologous recombination (HR) repair protein BRCA1 (PubMed : 22553214, PubMed : 23333306, PubMed : 23727112, PubMed : 27153538, PubMed : 31135337). In response to DSBs, phosphorylation by ATM promotes interaction with RIF1 and dissociation from NUDT16L1/TIRR, leading to recruitment to DSBs sites (PubMed : 28241136). Recruited to DSBs sites by recognizing and binding histone H2A monoubiquitinated at 'Lys-15' (H2AK15Ub) and histone H4 dimethylated at 'Lys-20' (H4K20me2), two histone marks that are present at DSBs sites (PubMed : 17190600, PubMed : 23760478, PubMed : 27153538, PubMed : 28241136). Required for immunoglobulin class-switch recombination (CSR) during antibody genesis, a process that involves the generation of DNA DSBs (PubMed : 23345425). Participates in the repair and the orientation of the broken DNA ends during CSR (By similarity). In contrast, it is not required for classic NHEJ and V(D)J recombination (By similarity). Promotes NHEJ of dysfunctional telomeres via interaction with PAXIP1 (PubMed : 23727112).
See full target information TP53BP1

Publications (188)

Recent publications for all applications. Explore the full list and refine your search

Epigenetics & chromatin 18:58 PubMed40855509

2025

The isoflavone genistein selectively stimulates major satellite repeat transcription in mouse heterochromatin.

Applications

Unspecified application

Species

Unspecified reactive species

Thomas Fuhrmann,Nicholas Shukeir,Reagan W Ching,Galina Erikson,Yuan Dou,Zoe Sawitzki,Megumi Onishi-Seebacher,Carmen Galan,Thomas Jenuwein

Nature aging 5:1739-1749 PubMed40836125

2025

Induced somatic mutation accumulation during skeletal muscle regeneration reduces muscle strength.

Applications

Unspecified application

Species

Unspecified reactive species

Peter Vrtačnik,Lara G Merino,Santhilal Subhash,Hafdís T Helgadóttir,Matthieu Bardin,Fabiana Stefani,Depin Wang,Ping Chen,Irene Franco,Gwladys Revêchon,Maria Eriksson

Nature aging 5:1046-1062 PubMed40495018

2025

Recurrent somatic mutation and progerin expression in early vascular aging of chronic kidney disease.

Applications

Unspecified application

Species

Unspecified reactive species

Gwladys Revêchon,Anna Witasp,Nikenza Viceconte,Hafdis T Helgadottir,Piotr Machtel,Fabiana Stefani,Daniel Whisenant,Agustin Sola-Carvajal,Dagmara McGuinness,Nadia O Abutaleb,Gonzalo Artiach,Emelie Wallén Arzt,Inga Soveri,Anne Babler,Susanne Ziegler,Rafael Kramann,Magnus Bäck,Anders Thorell,George A Truskey,Lars Wennberg,Paul G Shiels,Annika Wernerson,Peter Stenvinkel,Maria Eriksson

Cell death & disease 16:320 PubMed40254670

2025

CITK modulates BRCA1 recruitment at DNA double strand breaks sites through HDAC6.

Applications

Unspecified application

Species

Unspecified reactive species

Giorgia Iegiani,Gianmarco Pallavicini,Alex Pezzotta,Alessia Brix,Alessia Ferraro,Marta Gai,Enrica Boda,Stephanie L Bielas,Anna Pistocchi,Ferdinando Di Cunto

Frontiers in oncology 15:1451156 PubMed39949745

2025

Enhancing glioblastoma therapy: unveiling synergistic anticancer effects of Onalespib - radiotherapy combination therapy.

Applications

Unspecified application

Species

Unspecified reactive species

Julia Uffenorde,Mehran Hariri,Eleftherios Papalanis,Annika Staffas,Josefine Berg,Bo Stenerlöw,Hanna Berglund,Christer Malmberg,Diana Spiegelberg

Aging and disease : PubMed39908265

2025

Age-Associated Activation of the cGAS-STING Pathway and Impairment of DNA Damage Repair in Human Primary Alveolar Type II Cells.

Applications

Unspecified application

Species

Unspecified reactive species

Chih-Ru Lin,Hassan Hayek,Hannah Simborio,Loukmane Karim,Karim Bahmed,Sudhir Bolla,Nathaniel Marchetti,Gerard J Criner,Ying Tian,Beata Kosmider

Breast cancer research : BCR 27:11 PubMed39838489

2025

Obesity increases DNA damage in the breast epithelium.

Applications

Unspecified application

Species

Unspecified reactive species

Mohamed Gaber,Arnaud Quentel,Julia Holmes,Cassandra Lepetit,Hana Triki,Adam Wilson,Valerie Payne,Iliana Tenvooren,Cloé Dehours,Abigail Peoples,Mary L Duet,Adam J Katz,Thierry Pécot,Gwenola Bougras-Cartron,Pierre-François Cartron,Katherine L Cook,Pierre-Alexandre Vidi

The FEBS journal 292:1602-1632 PubMed39756023

2025

A non-canonical role for the tyrosyl tRNA synthetase: YARS regulates senescence induction and escape and controls the transcription of LIN9.

Applications

Unspecified application

Species

Unspecified reactive species

Hugo Coquelet,Geraldine Leman,Amine Maarouf,Coralie Petit,Bertrand Toutain,Cécile Henry,Alice Boissard,Catherine Guette,Eric Lelièvre,Pierre-Alexandre Vidi,Jordan Guillon,Olivier Coqueret

Nucleic acids research 53: PubMed39704103

2024

The interplay of the translocase activity and protein recruitment function of PICH in ultrafine anaphase bridge resolution and genomic stability.

Applications

Unspecified application

Species

Unspecified reactive species

Nannan Kong,Kun Chen,Primrose Chanboonyasitt,Huadong Jiang,Ka Yan Wong,Hoi Tang Ma,Ying Wai Chan

Nature communications 15:10596 PubMed39632881

2024

DTX3L-mediated TIRR nuclear export and degradation regulates DNA repair pathway choice and PARP inhibitor sensitivity.

Applications

Unspecified application

Species

Unspecified reactive species

Qi Ye,Jian Ma,Zixi Wang,Lei Li,Tianjie Liu,Bin Wang,Lizhe Zhu,Yuzeshi Lei,Shan Xu,Ke Wang,Yanlin Jian,Bohan Ma,Yizeng Fan,Jing Liu,Yang Gao,Haojie Huang,Lei Li
View all publications

Product promise

We are committed to supporting your work with high-quality reagents, and we're here for you every step of the way. In the unlikely event that one of our products does not perform as expected, you're protected by our Product Promise.
For full details, please see our Terms & Conditions

Please note: All products are 'FOR RESEARCH USE ONLY. NOT FOR USE IN DIAGNOSTIC OR THERAPEUTIC PROCEDURES'.

For licensing inquiries, please contact partnerships@abcam.com