JavaScript is disabled in your browser. Please enable JavaScript to view this website.
AB243868

Anti-53BP1 antibody [BL-250-1H11]

Be the first to review this product! Submit a review

|

(0 Publication)

Rabbit Recombinant Monoclonal 53BP1 antibody. Suitable for IP, WB, IHC-P, Flow Cyt and reacts with Human, Mouse samples. Immunogen corresponding to Synthetic Peptide within Human TP53BP1 aa 350-400.

View Alternative Names

TP53-binding protein 1, 53BP1, p53-binding protein 1, p53BP1, TP53BP1

7 Images
Flow Cytometry - Anti-53BP1 antibody [BL-250-1H11] (AB243868)
  • Flow Cyt

Supplier Data

Flow Cytometry - Anti-53BP1 antibody [BL-250-1H11] (AB243868)

Flow cytometry overlay histogram of 4% formaldehyde fixed HDLM-2 cells permeabilized with 90% methanol labeling human 53BP1 with ab243868 at 1 µl per 1 x 10^6 cells. (shaded) compared with a Isotype control (unshaded). Secondary antibody details, Goat Anti-Rabbit IgG H&L (DyLight® 650) (ab96886)

Flow Cytometry - Anti-53BP1 antibody [BL-250-1H11] (AB243868)
  • Flow Cyt

Supplier Data

Flow Cytometry - Anti-53BP1 antibody [BL-250-1H11] (AB243868)

Flow cytometry overlay histogram of 4% formaldehyde fixed mIMCD-3 cells permeabilized with 90% methanol labeling human 53BP1 with ab243868 at 1 µl per 1 x 10^6 cells. (shaded) compared with a Isotype control (unshaded). Secondary antibody details, Goat Anti-Rabbit IgG H&L (DyLight® 650) (ab96886).

Western blot - Anti-53BP1 antibody [BL-250-1H11] (AB243868)
  • WB

Supplier Data

Western blot - Anti-53BP1 antibody [BL-250-1H11] (AB243868)

All lanes:

Western blot - Anti-53BP1 antibody [BL-250-1H11] (ab243868) at 1/1000 dilution

Lane 1:

HeLa whole cell lysate at 15 µg

Lane 2:

HEK293T whole cell lysate at 15 µg

Lane 3:

MCF-7 whole cell lysate at 15 µg

Lane 4:

Hep-G2 whole cell lysate at 15 µg

Lane 5:

A-549 whole cell lysate at 15 µg

Lane 6:

SW620 whole cell lysate at 15 µg

Lane 7:

SK-MEL-28 whole cell lysate at 15 µg

Lane 8:

Jurkat whole cell lysate at 15 µg

Secondary

All lanes:

Western blot - Goat Anti-Rabbit IgG H&L (HRP) (<a href='/en-us/products/secondary-antibodies/goat-rabbit-igg-h-l-hrp-ab97051'>ab97051</a>)

Predicted band size: 213 kDa

Observed band size: 350 kDa

true

Exposure time: 10s

Immunoprecipitation - Anti-53BP1 antibody [BL-250-1H11] (AB243868)
  • IP

Unknown

Immunoprecipitation - Anti-53BP1 antibody [BL-250-1H11] (AB243868)

53BP1 was immunoprecipitated from 1 mg HEK-293T whole cell lysate with ab243868 at 20 µl per reaction Western blot was performed on the immunoprecipitate using ab243868 at 1/1000 dilution. Lane 1 : ab243868 IP in HEK-293T cell lysate.

Lane 2 : Contol IgG in HEK-293T cell lysate.

Detection : Chemiluminescence with an exposure time of 10 seconds.

All lanes:

Immunoprecipitation - Anti-53BP1 antibody [BL-250-1H11] (ab243868)

Predicted band size: 214 kDa

false

Western blot - Anti-53BP1 antibody [BL-250-1H11] (AB243868)
  • WB

Unknown

Western blot - Anti-53BP1 antibody [BL-250-1H11] (AB243868)

Western blot analysis using ab243868 at 1/1000 dilution.

Lane 1 : HeLa whole cell lysate (15 µg).

Lane 2 : HEK-293T whole cell lysate (15 µg).

Lane3 : MCF7 whole cell lysate (15 µg).

Lane 4 : HepG2 whole cell lysate (15 µg).

Lane 5 : A549 whole cell lysate (15 µg).

Lane 6 : SW620 whole cell lysate (15 µg).

Lane 7 : SK whole cell lysate (15 µg).

Lane 8 : Jurkat whole cell lysate (15 µg).

A HRP-conjugated goat anti-rabbit IgG antibody was used as the secondary. Detection : chemiluminescence with an exposure time of 10 seconds

All lanes:

Western blot - Anti-53BP1 antibody [BL-250-1H11] (ab243868)

Predicted band size: 214 kDa

false

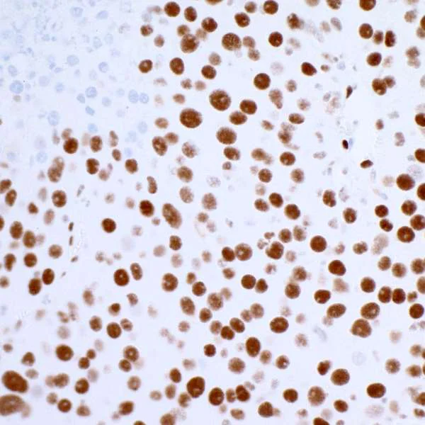
Immunohistochemistry (Formalin/PFA-fixed paraffin-embedded sections) - Anti-53BP1 antibody [BL-250-1H11] (AB243868)
  • IHC-P

Supplier Data

Immunohistochemistry (Formalin/PFA-fixed paraffin-embedded sections) - Anti-53BP1 antibody [BL-250-1H11] (AB243868)

Formalin-fixed, paraffin-embedded mouse renal cell carcinoma stained using ab243868 at 1/250 dilution in immunohistochemical analysis. A HRP-conjugated goat anti-rabbit IgG was used as the secondary. DAB staining.

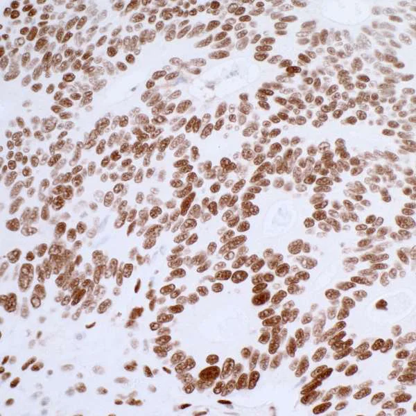
Immunohistochemistry (Formalin/PFA-fixed paraffin-embedded sections) - Anti-53BP1 antibody [BL-250-1H11] (AB243868)
  • IHC-P

Supplier Data

Immunohistochemistry (Formalin/PFA-fixed paraffin-embedded sections) - Anti-53BP1 antibody [BL-250-1H11] (AB243868)

Formalin-fixed, paraffin-embedded human colon carcinoma tissue stained using ab243868 at 1/250 dilution in immunohistochemical analysis. A HRP-conjugated goat anti-rabbit IgG was used as the secondary. DAB staining.

Key facts

Host species

Rabbit

Clonality

Monoclonal

Clone number

BL-250-1H11

Isotype

IgG

Carrier free

No

Reacts with

Mouse, Human

Applications

Flow Cyt, WB, IP, IHC-P

applications

Immunogen

Synthetic Peptide within Human TP53BP1 aa 350-400. The exact immunogen used to generate this antibody is proprietary information.

Q12888

Reactivity data

{ "title": "Reactivity Data", "filters": { "stats": ["", "Species", "Dilution Info", "Notes"], "tabs": { "all-applications": {"fullname" : "All Applications", "shortname": "All Applications"}, "IP" : {"fullname" : "Immunoprecipitation", "shortname":"IP"}, "WB" : {"fullname" : "Western blot", "shortname":"WB"}, "IHCP" : {"fullname" : "Immunohistochemistry (Formalin/PFA-fixed paraffin-embedded sections)", "shortname":"IHC-P"}, "FlowCyt" : {"fullname" : "Flow Cytometry", "shortname":"Flow Cyt"} }, "product-promise": { "all": "all", "testedAndGuaranteed": "tested", "guaranteed": "expected", "predicted": "predicted", "notRecommended": "not-recommended" } }, "values": { "Human": { "IP-species-checked": "testedAndGuaranteed", "IP-species-dilution-info": "", "IP-species-notes": "<p>Use 20μl/mg lysate.</p>", "WB-species-checked": "testedAndGuaranteed", "WB-species-dilution-info": "1/1000", "WB-species-notes": "<p></p>", "IHCP-species-checked": "guaranteed", "IHCP-species-dilution-info": "", "IHCP-species-notes": "", "FlowCyt-species-checked": "testedAndGuaranteed", "FlowCyt-species-dilution-info": "1 µL for 10^6 Cells", "FlowCyt-species-notes": "<p></p>" }, "Mouse": { "IP-species-checked": "guaranteed", "IP-species-dilution-info": "", "IP-species-notes": "", "WB-species-checked": "guaranteed", "WB-species-dilution-info": "", "WB-species-notes": "", "IHCP-species-checked": "testedAndGuaranteed", "IHCP-species-dilution-info": "1/100 - 1/500", "IHCP-species-notes": "<p>Epitope retrieval with citrate buffer pH6.0 is recommended for Formalin-fixed, paraffin-embedded tissue sections</p>", "FlowCyt-species-checked": "testedAndGuaranteed", "FlowCyt-species-dilution-info": "1 µL for 10^6 Cells", "FlowCyt-species-notes": "<p></p>" } } }

Product details

This product is sold under License from Bethyl Laboratories, Inc.

Properties and storage information

Form
Liquid
Purification notes
Recombinant antibody was purified from cell culture supernatant.
Storage buffer
pH: 7.8 - 8.6 Preservative: 0.09% Sodium azide Constituents: 98% Borate buffered saline, 0.1% BSA
Shipped at conditions
Blue Ice
Appropriate short-term storage duration
1-2 weeks
Appropriate short-term storage conditions
+4°C
Appropriate long-term storage conditions
-20°C
Aliquoting information
Upon delivery aliquot
Storage information
Avoid freeze / thaw cycle

Supplementary information

This supplementary information is collated from multiple sources and compiled automatically.

53BP1 also known as p53-binding protein 1 is a protein that plays an important role in DNA damage response. The 53BP1 protein has a molecular weight of approximately 213 kDa. It is a nuclear protein and it mainly expresses in cells during the DNA damage repair processes. Researchers commonly utilize immunofluorescence and anti-53BP1 antibodies to detect its presence especially for studying DNA repair mechanisms. 53BP1 proves important for maintenance of genomic stability.
Biological function summary

As a DNA damage response mediator 53BP1 functions to recognize and bind to sites of double-strand breaks in DNA promoting non-homologous end joining (NHEJ). This protein is a component of a larger protein complex that recruits factors necessary for DNA repair. Its interaction with DNA lesions also involves chromatin remodeling aiming to facilitate successful repair of the DNA. 53BP1 works in concert with other proteins such as H2AX and MDC1.

Pathways

Researchers observe 53BP1 in processes such as the DNA damage checkpoint and repair pathways. This protein significantly contributes to the pathways involved in maintaining cell cycle checkpoints. It interacts with proteins like ATM and BRCA1 coordinating the cellular response to DNA damage and ensuring that genomic integrity checks occur properly before cell cycle progression continues. These interactions place 53BP1 at a pivotal position in decision-making between repair pathways.

Researchers often focus on 53BP1's involvement in cancer development and therapy resistance due to its role in DNA repair. Alterations or deficiencies in 53BP1 levels can contribute to increased susceptibility to tumor development affecting processes like breast cancer and ovarian cancer through its relationship with BRCA1. The improper function of 53BP1 in DNA repair pathways may lead to an accumulation of genetic mutations driving tumorigenesis and impacting the efficacy of certain cancer treatments.

Product protocols

For this product, it's our understanding that no specific protocols are required. You can visit:

Target data

Double-strand break (DSB) repair protein involved in response to DNA damage, telomere dynamics and class-switch recombination (CSR) during antibody genesis (PubMed : 12364621, PubMed : 17190600, PubMed : 21144835, PubMed : 22553214, PubMed : 23333306, PubMed : 27153538, PubMed : 28241136, PubMed : 31135337, PubMed : 37696958). Plays a key role in the repair of double-strand DNA breaks (DSBs) in response to DNA damage by promoting non-homologous end joining (NHEJ)-mediated repair of DSBs and specifically counteracting the function of the homologous recombination (HR) repair protein BRCA1 (PubMed : 22553214, PubMed : 23333306, PubMed : 23727112, PubMed : 27153538, PubMed : 31135337). In response to DSBs, phosphorylation by ATM promotes interaction with RIF1 and dissociation from NUDT16L1/TIRR, leading to recruitment to DSBs sites (PubMed : 28241136). Recruited to DSBs sites by recognizing and binding histone H2A monoubiquitinated at 'Lys-15' (H2AK15Ub) and histone H4 dimethylated at 'Lys-20' (H4K20me2), two histone marks that are present at DSBs sites (PubMed : 17190600, PubMed : 23760478, PubMed : 27153538, PubMed : 28241136). Required for immunoglobulin class-switch recombination (CSR) during antibody genesis, a process that involves the generation of DNA DSBs (PubMed : 23345425). Participates in the repair and the orientation of the broken DNA ends during CSR (By similarity). In contrast, it is not required for classic NHEJ and V(D)J recombination (By similarity). Promotes NHEJ of dysfunctional telomeres via interaction with PAXIP1 (PubMed : 23727112).
See full target information TP53BP1

Product promise

We are committed to supporting your work with high-quality reagents, and we're here for you every step of the way. In the unlikely event that one of our products does not perform as expected, you're protected by our Product Promise.
For full details, please see our Terms & Conditions

Associated Products

Select an associated product type
Alternative Product
Primary Antibodies

AB172580

Anti-53BP1 antibody

primary-antibodies

53bp1-antibody-ab172580

0

(0 reviews)

Alternative Product
Primary Antibodies

AB36823

Anti-53BP1 antibody

primary-antibodies

53bp1-antibody-ab36823

4

(12 reviews)

Alternative Product
Primary Antibodies

AB70323

Anti-53BP1 (phospho S25) antibody

primary-antibodies

53bp1-phospho-s25-antibody-ab70323

2

(3 reviews)

Alternative Product
Primary Antibodies

AB175933

Anti-53BP1 antibody [EPR2172(2)]

primary-antibodies

53bp1-antibody-epr21722-ab175933

5

(3 reviews)

Alternative Product
Primary Antibodies

AB175188

Anti-53BP1 antibody [EPR2173(2)]

primary-antibodies

53bp1-antibody-epr21732-ab175188

5

(1 reviews)

Alternative Product
Primary Antibodies

AB237174

Alexa Fluor® 488 Anti-53BP1 antibody [EPR2172(2)]

primary-antibodies

alexa-fluor-488-53bp1-antibody-epr21722-ab237174

0

(0 reviews)

Alternative Product
Primary Antibodies

AB21083

Anti-53BP1 antibody

primary-antibodies

53bp1-antibody-ab21083

5

(5 reviews)

Alternative Product
Primary Antibodies

AB222232

Anti-53BP1 antibody [EPR2172(2)] - BSA and Azide free

primary-antibodies

53bp1-antibody-epr21722-bsa-and-azide-free-ab222232

0

(0 reviews)

Please note: All products are 'FOR RESEARCH USE ONLY. NOT FOR USE IN DIAGNOSTIC OR THERAPEUTIC PROCEDURES'.

For licensing inquiries, please contact partnerships@abcam.com