JavaScript is disabled in your browser. Please enable JavaScript to view this website.
AB222232

Anti-53BP1 antibody [EPR2172(2)] - BSA and Azide free

Be the first to review this product! Submit a review

|

(1 Publication)

Rabbit Recombinant Monoclonal 53BP1 antibody. Carrier free. Suitable for IHC-P, WB, ICC/IF, Flow Cyt (Intra) and reacts with Human, Mouse, Rat samples. Cited in 1 publication.

View Alternative Names

TP53-binding protein 1, 53BP1, p53-binding protein 1, p53BP1, TP53BP1

10 Images
Immunohistochemistry (Formalin/PFA-fixed paraffin-embedded sections) - Anti-53BP1 antibody [EPR2172(2)] - BSA and Azide free (AB222232)
  • IHC-P

Supplier Data

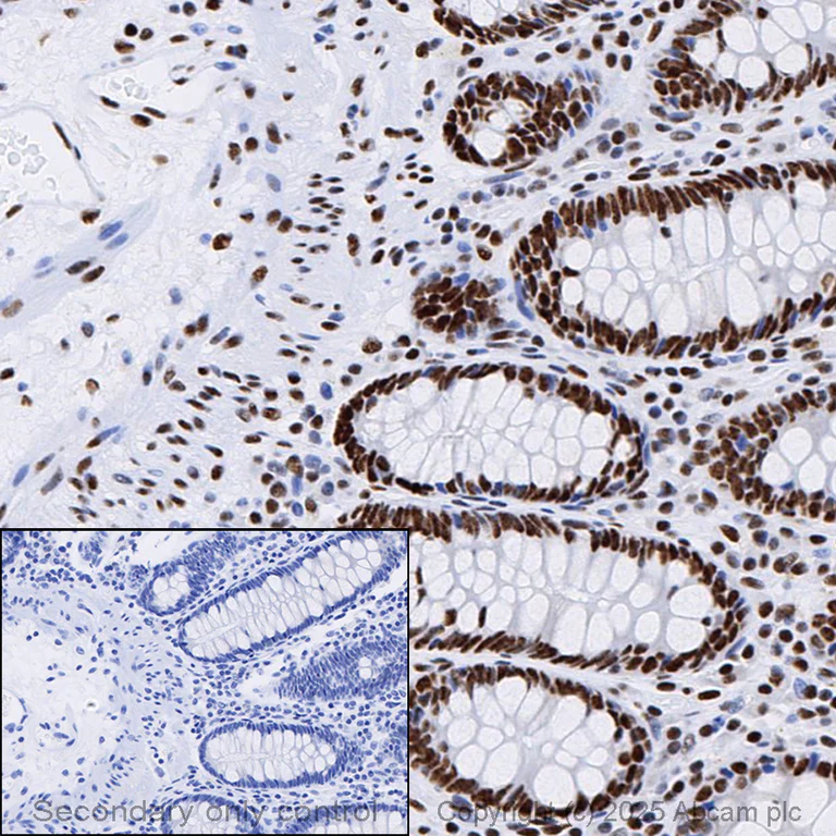
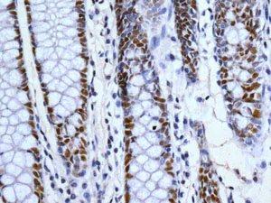
Immunohistochemistry (Formalin/PFA-fixed paraffin-embedded sections) - Anti-53BP1 antibody [EPR2172(2)] - BSA and Azide free (AB222232)

Immunohistochemistry (Formalin/PFA-fixed paraffin-embedded sections) analysis of human colon tissue labelling 53BP1 with unpurified ab175933 at a dilution of 1/100.

This data was developed using the same antibody clone in a different buffer formulation containing PBS, BSA, glycerol, and sodium azide (ab175933).

Perform heat mediated antigen retrieval before commencing with IHC staining protocol.

Immunohistochemistry (Formalin/PFA-fixed paraffin-embedded sections) - Anti-53BP1 antibody [EPR2172(2)] - BSA and Azide free (AB222232)
  • IHC-P

Lab

Immunohistochemistry (Formalin/PFA-fixed paraffin-embedded sections) - Anti-53BP1 antibody [EPR2172(2)] - BSA and Azide free (AB222232)

This data was developed using ab175933, the same antibody clone in a different buffer formulation.

Immunohistochemical analysis of formalin fixed paraffin embedded human colon labelling 53BP1 with ab175933 at a concentration of 0.05µg/ml. The immunostaining was performed on a Ventana DISCOVERY ULTRA (Roche Tissue Diagnostics) instrument with a OptiView DAB IHC Detection Kit. Heat mediated antigen retrieval was performed with DISCOVERY cell conditioning solution (CC1) 100°C, pH8.5 for 32mins.

ab175933 Anti-53BP1 antibody [EPR2172(2)] was incubated for 16mins at 37°C. Sections were counterstained with Hematoxylin II. Image inset shows absence of staining in secondary antibody only control.

Customers are encouraged to optimise antigen retrieval conditions, antibody concentration, incubation times and temperature for best results in their own IHC assay workflow (automated and manual)

Immunocytochemistry/ Immunofluorescence - Anti-53BP1 antibody [EPR2172(2)] - BSA and Azide free (AB222232)
  • ICC/IF

Lab

Immunocytochemistry/ Immunofluorescence - Anti-53BP1 antibody [EPR2172(2)] - BSA and Azide free (AB222232)

Immunocytochemistry/Immunofluorescence analysis of HepG2 cells labelling 53BP1 with purified ab175933 at 1/200. Cells were fixed with 4% paraformaldehyde and permeabilized with 0.1% Triton X-100. ab150077, an Alexa Fluor® 488-conjugated goat anti-rabbit IgG (1/1000) was used as the secondary antibody. DAPI (blue) was used as the nuclear counterstain. ab7291, a mouse anti-tubulin (1/1000) and ab150120, an Alexa Fluor® 594-conjugated goat anti-mouse IgG (1/1000) were also used.

Control 1 : primary antibody (1/200) and secondary antibody, ab150120, an Alexa Fluor® 594-conjugated goat anti-mouse IgG (1/1000).

Control 2 : ab7291 (1/1000) and secondary antibody, ab150077, an Alexa Fluor® 488-conjugated goat anti-rabbit IgG (1/1000).

This data was developed using the same antibody clone in a different buffer formulation containing PBS, BSA, glycerol, and sodium azide (ab175933).

Flow Cytometry (Intracellular) - Anti-53BP1 antibody [EPR2172(2)] - BSA and Azide free (AB222232)
  • Flow Cyt (Intra)

Lab

Flow Cytometry (Intracellular) - Anti-53BP1 antibody [EPR2172(2)] - BSA and Azide free (AB222232)

ab175933 staining 53BP1 in the human cell line HepG2 (human hepatocellular carcinoma) by intracellular flow cytometry. Cells were fixed with 4% paraformaldehyde and the sample was incubated with the primary antibody at a dilution of 1/30. A goat anti rabbit IgG (Alexa Fluor® 488) at a dilution of 1/2000 was used as the secondary antibody.

Isoytype control : Rabbit monoclonal IgG (Black)

Unlabelled control : Cell without incubation with primary antibody and secondary antibody (Blue)

This data was developed using the same antibody clone in a different buffer formulation containing PBS, BSA, glycerol, and sodium azide (ab175933).

Immunohistochemistry (Formalin/PFA-fixed paraffin-embedded sections) - Anti-53BP1 antibody [EPR2172(2)] - BSA and Azide free (AB222232)
  • IHC-P

Lab

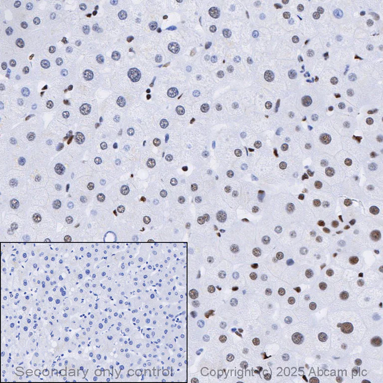
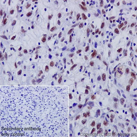
Immunohistochemistry (Formalin/PFA-fixed paraffin-embedded sections) - Anti-53BP1 antibody [EPR2172(2)] - BSA and Azide free (AB222232)

Immunohistochemistry (Formalin/PFA-fixed paraffin-embedded sections) analysis of human liver carcinoma tissue labelling 53BP1 with purified ab175933 at a dilution of 1/60. Heat mediated antigen retrieval was performed using Tris/EDTA buffer pH 9. ab97051, a HRP-conjugated goat anti-rabbit IgG (H+L) was used as the secondary antibody (1/500). Negative control using PBS instead of primary antibody. Counterstained with hematoxylin.

This data was developed using the same antibody clone in a different buffer formulation containing PBS, BSA, glycerol, and sodium azide (ab175933).

Immunocytochemistry/ Immunofluorescence - Anti-53BP1 antibody [EPR2172(2)] - BSA and Azide free (AB222232)
  • ICC/IF

Supplier Data

Immunocytochemistry/ Immunofluorescence - Anti-53BP1 antibody [EPR2172(2)] - BSA and Azide free (AB222232)

Immunocytochemistry/Immunofluorescence analysis of HepG2 cells labelling 53BP1 with unpurified ab175933 at a dilution of 1/100.

This data was developed using the same antibody clone in a different buffer formulation containing PBS, BSA, glycerol, and sodium azide (ab175933).

Immunohistochemistry (Formalin/PFA-fixed paraffin-embedded sections) - Anti-53BP1 antibody [EPR2172(2)] - BSA and Azide free (AB222232)
  • IHC-P

Supplier Data

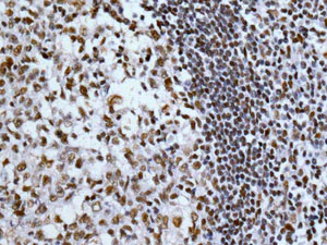
Immunohistochemistry (Formalin/PFA-fixed paraffin-embedded sections) - Anti-53BP1 antibody [EPR2172(2)] - BSA and Azide free (AB222232)

Immunohistochemistry (Formalin/PFA-fixed paraffin-embedded sections) analysis of human tonsil tissue labelling 53BP1 with unpurified ab175933 at a dilution of 1/100.

This data was developed using the same antibody clone in a different buffer formulation containing PBS, BSA, glycerol, and sodium azide (ab175933).

Perform heat mediated antigen retrieval before commencing with IHC staining protocol.

Immunohistochemistry (Formalin/PFA-fixed paraffin-embedded sections) - Anti-53BP1 antibody [EPR2172(2)] - BSA and Azide free (AB222232)
  • IHC-P

Supplier Data

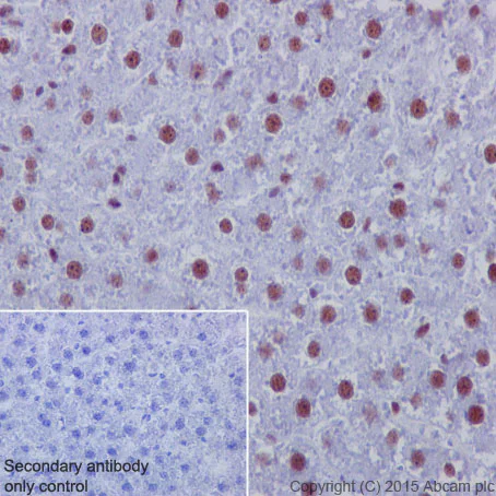
Immunohistochemistry (Formalin/PFA-fixed paraffin-embedded sections) - Anti-53BP1 antibody [EPR2172(2)] - BSA and Azide free (AB222232)

This data was developed using ab175933, the same antibody clone in a different buffer formulation.

Immunohistochemical analysis of formalin fixed paraffin embedded human liver labelling 53BP1 with ab175933 at a concentration of 0.05µg/ml. The immunostaining was performed on a Ventana DISCOVERY ULTRA (Roche Tissue Diagnostics) instrument with a OptiView DAB IHC Detection Kit. Heat mediated antigen retrieval was performed with DISCOVERY cell conditioning solution (CC1) 100°C, pH8.5 for 32mins.

ab175933 Anti-53BP1 antibody [EPR2172(2)] was incubated for 16mins at 37°C. Sections were counterstained with Hematoxylin II. Image inset shows absence of staining in secondary antibody only control.

Customers are encouraged to optimise antigen retrieval conditions, antibody concentration, incubation times and temperature for best results in their own IHC assay workflow (automated and manual).

Immunohistochemistry (Formalin/PFA-fixed paraffin-embedded sections) - Anti-53BP1 antibody [EPR2172(2)] - BSA and Azide free (AB222232)
  • IHC-P

Lab

Immunohistochemistry (Formalin/PFA-fixed paraffin-embedded sections) - Anti-53BP1 antibody [EPR2172(2)] - BSA and Azide free (AB222232)

Immunohistochemistry (Formalin/PFA-fixed paraffin-embedded sections) analysis of rat liver tissue labelling 53BP1 with purified ab175933 at a dilution of 1/60. Heat mediated antigen retrieval was performed using Tris/EDTA buffer pH 9. ab97051, a HRP-conjugated goat anti-rabbit IgG (H+L) was used as the secondary antibody (1/500). Negative control using PBS instead of primary antibody. Counterstained with hematoxylin.

This data was developed using the same antibody clone in a different buffer formulation containing PBS, BSA, glycerol, and sodium azide (ab175933).

Immunohistochemistry (Formalin/PFA-fixed paraffin-embedded sections) - Anti-53BP1 antibody [EPR2172(2)] - BSA and Azide free (AB222232)
  • IHC-P

Lab

Immunohistochemistry (Formalin/PFA-fixed paraffin-embedded sections) - Anti-53BP1 antibody [EPR2172(2)] - BSA and Azide free (AB222232)

Immunohistochemistry (Formalin/PFA-fixed paraffin-embedded sections) analysis of mouse liver tissue labelling 53BP1 with purified ab175933 at a dilution of 1/60. Heat mediated antigen retrieval was performed using Tris/EDTA buffer pH 9. ab97051, a HRP-conjugated goat anti-rabbit IgG (H+L) was used as the secondary antibody (1/500). Negative control using PBS instead of primary antibody. Counterstained with hematoxylin.

This data was developed using the same antibody clone in a different buffer formulation containing PBS, BSA, glycerol, and sodium azide (ab175933).

Key facts

Host species

Rabbit

Clonality

Monoclonal

Clone number

EPR2172(2)

Isotype

IgG

Carrier free

Yes

Reacts with

Mouse, Rat, Human

Applications

Flow Cyt (Intra), IHC-P, WB, ICC/IF

applications

Immunogen

The exact immunogen used to generate this antibody is proprietary information.

Reactivity data

{ "title": "Reactivity Data", "filters": { "stats": ["", "Species", "Dilution Info", "Notes"], "tabs": { "all-applications": {"fullname" : "All Applications", "shortname": "All Applications"}, "IHCP" : {"fullname" : "Immunohistochemistry (Formalin/PFA-fixed paraffin-embedded sections)", "shortname":"IHC-P"}, "WB" : {"fullname" : "Western blot", "shortname":"WB"}, "ICCIF" : {"fullname" : "Immunocytochemistry/ Immunofluorescence", "shortname":"ICC/IF"}, "FlowCytIntra" : {"fullname" : "Flow Cytometry (Intracellular)", "shortname":"Flow Cyt (Intra)"} }, "product-promise": { "all": "all", "testedAndGuaranteed": "tested", "guaranteed": "expected", "predicted": "predicted", "notRecommended": "not-recommended" } }, "values": { "Human": { "IHCP-species-checked": "testedAndGuaranteed", "IHCP-species-dilution-info": "", "IHCP-species-notes": "<p></p>", "WB-species-checked": "guaranteed", "WB-species-dilution-info": "", "WB-species-notes": "<p></p>", "ICCIF-species-checked": "testedAndGuaranteed", "ICCIF-species-dilution-info": "", "ICCIF-species-notes": "<p></p>", "FlowCytIntra-species-checked": "testedAndGuaranteed", "FlowCytIntra-species-dilution-info": "", "FlowCytIntra-species-notes": "<p></p>" }, "Mouse": { "IHCP-species-checked": "predicted", "IHCP-species-dilution-info": "", "IHCP-species-notes": "", "WB-species-checked": "guaranteed", "WB-species-dilution-info": "", "WB-species-notes": "<p></p>", "ICCIF-species-checked": "predicted", "ICCIF-species-dilution-info": "", "ICCIF-species-notes": "", "FlowCytIntra-species-checked": "predicted", "FlowCytIntra-species-dilution-info": "", "FlowCytIntra-species-notes": "" }, "Rat": { "IHCP-species-checked": "predicted", "IHCP-species-dilution-info": "", "IHCP-species-notes": "", "WB-species-checked": "guaranteed", "WB-species-dilution-info": "", "WB-species-notes": "<p></p>", "ICCIF-species-checked": "predicted", "ICCIF-species-dilution-info": "", "ICCIF-species-notes": "", "FlowCytIntra-species-checked": "predicted", "FlowCytIntra-species-dilution-info": "", "FlowCytIntra-species-notes": "" } } }

Product details

ab222232 is the carrier-free version of ab175933.

Patented technology
Our RabMAb® technology is a patented hybridoma-based technology for making rabbit monoclonal antibodies. For details on our patents, please refer to RabMAb® patents.

What are the advantages of a recombinant monoclonal antibody?
This product is a recombinant monoclonal antibody, which offers several advantages including:

  • - High batch-to-batch consistency and reproducibility
  • - Improved sensitivity and specificity
  • - Long-term security of supply
  • - Animal-free batch production

For more information, read more on recombinant antibodies.

Conjugation ready
Our carrier-free antibodies are typically supplied in a PBS-only formulation, purified and free of BSA, sodium azide and glycerol. This conjugation-ready format is designed for use with fluorochromes, metal isotopes, oligonucleotides, and enzymes, which makes them ideal for antibody labelling, functional and cell-based assays, flow-based assays (e.g. mass cytometry) and Multiplex Imaging applications.

Use our conjugation kits for antibody conjugates that are ready-to-use in as little as 20 minutes with 1 minute hands-on-time and 100% antibody recovery: available for fluorescent dyes, HRP, biotin and gold.

Compatibility
This product is compatible with the Maxpar® Antibody Labeling Kit from Fluidigm, without the need for antibody preparation. Maxpar® is a trademark of Fluidigm Canada Inc.

Properties and storage information

Form
Liquid
Purification technique
Affinity purification Protein A
Storage buffer
pH: 7.2 - 7.4 Constituents: PBS
Shipped at conditions
Blue Ice
Appropriate short-term storage conditions
+4°C
Appropriate long-term storage conditions
+4°C
Storage information
Do Not Freeze

Supplementary information

This supplementary information is collated from multiple sources and compiled automatically.

53BP1 also known as p53-binding protein 1 is a protein that plays an important role in DNA damage response. The 53BP1 protein has a molecular weight of approximately 213 kDa. It is a nuclear protein and it mainly expresses in cells during the DNA damage repair processes. Researchers commonly utilize immunofluorescence and anti-53BP1 antibodies to detect its presence especially for studying DNA repair mechanisms. 53BP1 proves important for maintenance of genomic stability.
Biological function summary

As a DNA damage response mediator 53BP1 functions to recognize and bind to sites of double-strand breaks in DNA promoting non-homologous end joining (NHEJ). This protein is a component of a larger protein complex that recruits factors necessary for DNA repair. Its interaction with DNA lesions also involves chromatin remodeling aiming to facilitate successful repair of the DNA. 53BP1 works in concert with other proteins such as H2AX and MDC1.

Pathways

Researchers observe 53BP1 in processes such as the DNA damage checkpoint and repair pathways. This protein significantly contributes to the pathways involved in maintaining cell cycle checkpoints. It interacts with proteins like ATM and BRCA1 coordinating the cellular response to DNA damage and ensuring that genomic integrity checks occur properly before cell cycle progression continues. These interactions place 53BP1 at a pivotal position in decision-making between repair pathways.

Researchers often focus on 53BP1's involvement in cancer development and therapy resistance due to its role in DNA repair. Alterations or deficiencies in 53BP1 levels can contribute to increased susceptibility to tumor development affecting processes like breast cancer and ovarian cancer through its relationship with BRCA1. The improper function of 53BP1 in DNA repair pathways may lead to an accumulation of genetic mutations driving tumorigenesis and impacting the efficacy of certain cancer treatments.

Product protocols

For this product, it's our understanding that no specific protocols are required. You can visit:

Target data

Double-strand break (DSB) repair protein involved in response to DNA damage, telomere dynamics and class-switch recombination (CSR) during antibody genesis (PubMed : 12364621, PubMed : 17190600, PubMed : 21144835, PubMed : 22553214, PubMed : 23333306, PubMed : 27153538, PubMed : 28241136, PubMed : 31135337, PubMed : 37696958). Plays a key role in the repair of double-strand DNA breaks (DSBs) in response to DNA damage by promoting non-homologous end joining (NHEJ)-mediated repair of DSBs and specifically counteracting the function of the homologous recombination (HR) repair protein BRCA1 (PubMed : 22553214, PubMed : 23333306, PubMed : 23727112, PubMed : 27153538, PubMed : 31135337). In response to DSBs, phosphorylation by ATM promotes interaction with RIF1 and dissociation from NUDT16L1/TIRR, leading to recruitment to DSBs sites (PubMed : 28241136). Recruited to DSBs sites by recognizing and binding histone H2A monoubiquitinated at 'Lys-15' (H2AK15Ub) and histone H4 dimethylated at 'Lys-20' (H4K20me2), two histone marks that are present at DSBs sites (PubMed : 17190600, PubMed : 23760478, PubMed : 27153538, PubMed : 28241136). Required for immunoglobulin class-switch recombination (CSR) during antibody genesis, a process that involves the generation of DNA DSBs (PubMed : 23345425). Participates in the repair and the orientation of the broken DNA ends during CSR (By similarity). In contrast, it is not required for classic NHEJ and V(D)J recombination (By similarity). Promotes NHEJ of dysfunctional telomeres via interaction with PAXIP1 (PubMed : 23727112).
See full target information TP53BP1

Publications (1)

Recent publications for all applications. Explore the full list and refine your search

Forensic science, medicine, and pathology 20:149-165 PubMed37490201

2023

Immunohistochemical expression of HMGB1 and related proteins in the skin as a possible tool for determining post-mortem interval: a preclinical study.

Applications

Unspecified application

Species

Unspecified reactive species

Fabio De-Giorgio,Eva Bergamin,Alfonso Baldi,Roberto Gatta,Vincenzo L Pascali
View all publications

Product promise

We are committed to supporting your work with high-quality reagents, and we're here for you every step of the way. In the unlikely event that one of our products does not perform as expected, you're protected by our Product Promise.
For full details, please see our Terms & Conditions

Please note: All products are 'FOR RESEARCH USE ONLY. NOT FOR USE IN DIAGNOSTIC OR THERAPEUTIC PROCEDURES'.

For licensing inquiries, please contact partnerships@abcam.com