JavaScript is disabled in your browser. Please enable JavaScript to view this website.
AB308375

Anti-53BP1 antibody [HL275]

Be the first to review this product! Submit a review

|

(0 Publication)

Rabbit Recombinant Monoclonal 53BP1 antibody. Carrier free. Suitable for IHC-P, ICC/IF, WB and reacts with Human, Mouse, Rat, Cat, Dog samples. Immunogen corresponding to Synthetic Peptide within Human TP53BP1.

View Alternative Names

TP53-binding protein 1, 53BP1, p53-binding protein 1, p53BP1, TP53BP1

9 Images
Immunohistochemistry paraffin embedded sections - Anti-53BP1 antibody [HL275] (AB308375)
  • IHC-P

Supplier Data

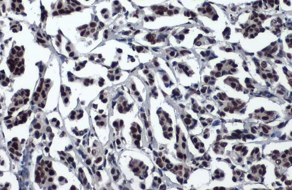
Immunohistochemistry paraffin embedded sections - Anti-53BP1 antibody [HL275] (AB308375)

Immunohistochemical analysis of human breast carcinoma tissue labeling 53BP1 using ab308375 at 1/200 dilution. Antigen retrival was performed using Citrate buffer, pH 6.0, 15 min

Immunocytochemistry/ Immunofluorescence - Anti-53BP1 antibody [HL275] (AB308375)
  • ICC/IF

Supplier Data

Immunocytochemistry/ Immunofluorescence - Anti-53BP1 antibody [HL275] (AB308375)

For immunofluorescence analysis, HeLa cells were fixed in 4% paraformaldehyde at room temperature for 15 minutes and permeabilized for detection of 53BP1 protein using ab308375 at 1/1000 dilution (green). Nuclei (blue) is stained with fluoroshield with DAPI.

Immunohistochemistry paraffin embedded sections - Anti-53BP1 antibody [HL275] (AB308375)
  • IHC-P

Supplier Data

Immunohistochemistry paraffin embedded sections - Anti-53BP1 antibody [HL275] (AB308375)

Immunohistochemical analysis of mouse urinary bladder, cerebellum, thymus gland and mouse brain tissue labeling 53BP1 using ab308375 at 1/100 dilution. Antigen retrival was performed using Citrate buffer, pH 6.0, 15 min

Immunohistochemistry paraffin embedded sections - Anti-53BP1 antibody [HL275] (AB308375)
  • IHC-P

Supplier Data

Immunohistochemistry paraffin embedded sections - Anti-53BP1 antibody [HL275] (AB308375)

Immunohistochemical analysis of rat thymus gland and brain tissue labeling 53BP1 using ab308375 at 1/100 dilution. Antigen retrival was performed using Citrate buffer, pH 6.0, 15 min

Western blot - Anti-53BP1 antibody [HL275] (AB308375)
  • WB

Supplier Data

Western blot - Anti-53BP1 antibody [HL275] (AB308375)

HeLa whole cell and nuclear extracts (30 μg) were separated by 5% SDS-PAGE, and the membrane was blotted with 53BP1 antibody [HL36] (ab308375) diluted at 1/1000. A HRP-conjugated anti-rabbit IgG antibody was used to detect the primary antibody.

All lanes:

Western blot - Anti-53BP1 antibody [HL275] (ab308375) at 1/1000 dilution

Lane 1:

HeLa cell lysate at 30 µg

Lane 2:

HeLa nuclear extract at 30 µg

Secondary

All lanes:

HRP-conjugated anti-rabbit IgG antibody

Predicted band size: 213.6 kDa

false

Western blot - Anti-53BP1 antibody [HL275] (AB308375)
  • WB

Supplier Data

Western blot - Anti-53BP1 antibody [HL275] (AB308375)

Various whole cell extracts (30 μg) were separated by 5% SDS-PAGE, and the membrane was blotted with 53BP1 antibody [HL36] (ab308375) diluted at 1/1000. A HRP-conjugated anti-rabbit IgG antibody was used to detect the primary antibody.

All lanes:

Western blot - Anti-53BP1 antibody [HL275] (ab308375) at 1/1000 dilution

Lane 1:

HEK293T cell lysate at 30 µg

Lane 2:

A431 cell lysate at 30 µg

Lane 3:

HeLa cell lysate at 30 µg

Lane 4:

HepG2 cell lysate at 30 µg

Secondary

All lanes:

HRP-conjugated anti-rabbit IgG antibody

Predicted band size: 213.6 kDa

false

Western blot - Anti-53BP1 antibody [HL275] (AB308375)
  • WB

Supplier Data

Western blot - Anti-53BP1 antibody [HL275] (AB308375)

Various whole cell extracts (30 μg) were separated by 5% SDS-PAGE, and the membrane was blotted with 53BP1 antibody [HL36] (ab308375) diluted at 1/1000. A HRP-conjugated anti-rabbit IgG antibody was used to detect the primary antibody.

All lanes:

Western blot - Anti-53BP1 antibody [HL275] (ab308375) at 1/1000 dilution

Lane 1:

Neuro2A cell lysate at 30 EU/µg/L

Lane 2:

NIH-3T3 cell lysate at 30 µg

Lane 3:

Raw264.7 cell lysate at 30 µg

Lane 4:

C2C12 cell lysate at 30 µg

Secondary

All lanes:

HRP-conjugated anti-rabbit IgG antibody

Predicted band size: 213.6 kDa

false

Western blot - Anti-53BP1 antibody [HL275] (AB308375)
  • WB

Supplier Data

Western blot - Anti-53BP1 antibody [HL275] (AB308375)

Various whole cell extracts (30 μg) were separated by 5% SDS-PAGE, and the membrane was blotted with 53BP1 antibody [HL36] (ab308375) diluted at 1/1000. A HRP-conjugated anti-rabbit IgG antibody was used to detect the primary antibody.

All lanes:

Western blot - Anti-53BP1 antibody [HL275] (ab308375) at 1/1000 dilution

Lane 1:

PC12 cell lysate at 30 µg

Lane 2:

Rat2 cell lysate at 30 µg

Secondary

All lanes:

HRP-conjugated anti-rabbit IgG antibody

Predicted band size: 213.6 kDa

false

Western blot - Anti-53BP1 antibody [HL275] (AB308375)
  • WB

Supplier Data

Western blot - Anti-53BP1 antibody [HL275] (AB308375)

Various whole cell extracts (30 μg) were separated by 5% SDS-PAGE, and the membrane was blotted with 53BP1 antibody [HL36] (ab308375) diluted at 1/1000. A HRP-conjugated anti-rabbit IgG antibody was used to detect the primary antibody.

All lanes:

Western blot - Anti-53BP1 antibody [HL275] (ab308375) at 1/1000 dilution

Lane 1:

MDCK cell lysate at 30 µg

Lane 2:

PG4 cell lysate at 30 µg

Secondary

All lanes:

HRP-conjugated anti-rabbit IgG antibody

Predicted band size: 213.6 kDa

false

Key facts

Host species

Rabbit

Clonality

Monoclonal

Clone number

HL275

Isotype

IgG

Carrier free

Yes

Reacts with

Cat, Dog, Human, Mouse, Rat

Applications

ICC/IF, IHC-P, WB

applications

Immunogen

Synthetic Peptide within Human TP53BP1. The exact immunogen used to generate this antibody is proprietary information.

Q12888

Reactivity data

{ "title": "Reactivity Data", "filters": { "stats": ["", "Species", "Dilution Info", "Notes"], "tabs": { "all-applications": {"fullname" : "All Applications", "shortname": "All Applications"}, "IHCP" : {"fullname" : "Immunohistochemistry (Formalin/PFA-fixed paraffin-embedded sections)", "shortname":"IHC-P"}, "ICCIF" : {"fullname" : "Immunocytochemistry/ Immunofluorescence", "shortname":"ICC/IF"}, "WB" : {"fullname" : "Western blot", "shortname":"WB"} }, "product-promise": { "all": "all", "testedAndGuaranteed": "tested", "guaranteed": "expected", "predicted": "predicted", "notRecommended": "not-recommended" } }, "values": { "Human": { "IHCP-species-checked": "testedAndGuaranteed", "IHCP-species-dilution-info": "1/100 - 1/200", "IHCP-species-notes": "<p></p> Perform heat-mediated antigen retrieval with citrate buffer pH 6 before commencing with IHC staining protocol.", "ICCIF-species-checked": "testedAndGuaranteed", "ICCIF-species-dilution-info": "1/1000", "ICCIF-species-notes": "<p></p>", "WB-species-checked": "testedAndGuaranteed", "WB-species-dilution-info": "1/1000", "WB-species-notes": "<p></p>" }, "Mouse": { "IHCP-species-checked": "testedAndGuaranteed", "IHCP-species-dilution-info": "1/100 - 1/200", "IHCP-species-notes": "<p></p> Perform heat-mediated antigen retrieval with citrate buffer pH 6 before commencing with IHC staining protocol.", "ICCIF-species-checked": "guaranteed", "ICCIF-species-dilution-info": "", "ICCIF-species-notes": "", "WB-species-checked": "testedAndGuaranteed", "WB-species-dilution-info": "1/1000", "WB-species-notes": "<p></p>" }, "Rat": { "IHCP-species-checked": "testedAndGuaranteed", "IHCP-species-dilution-info": "1/100 - 1/200", "IHCP-species-notes": "<p></p> Perform heat-mediated antigen retrieval with citrate buffer pH 6 before commencing with IHC staining protocol.", "ICCIF-species-checked": "guaranteed", "ICCIF-species-dilution-info": "", "ICCIF-species-notes": "", "WB-species-checked": "testedAndGuaranteed", "WB-species-dilution-info": "1/1000", "WB-species-notes": "<p></p>" }, "Cat": { "IHCP-species-checked": "guaranteed", "IHCP-species-dilution-info": "", "IHCP-species-notes": "", "ICCIF-species-checked": "guaranteed", "ICCIF-species-dilution-info": "", "ICCIF-species-notes": "", "WB-species-checked": "testedAndGuaranteed", "WB-species-dilution-info": "1/1000", "WB-species-notes": "<p></p>" }, "Dog": { "IHCP-species-checked": "guaranteed", "IHCP-species-dilution-info": "", "IHCP-species-notes": "", "ICCIF-species-checked": "guaranteed", "ICCIF-species-dilution-info": "", "ICCIF-species-notes": "", "WB-species-checked": "testedAndGuaranteed", "WB-species-dilution-info": "1/1000", "WB-species-notes": "<p></p>" } } }

Product details

What are the advantages of a recombinant monoclonal antibody?
This product is a recombinant monoclonal antibody, which offers several advantages including:

  • - High batch-to-batch consistency and reproducibility
  • - Improved sensitivity and specificity
  • - Long-term security of supply
  • - Animal-free batch production

For more information, read more on recombinant antibodies.

Conjugation ready
Our carrier-free antibodies are typically supplied in a PBS-only formulation, purified and free of BSA, sodium azide and glycerol. This conjugation-ready format is designed for use with fluorochromes, metal isotopes, oligonucleotides, and enzymes, which makes them ideal for antibody labelling, functional and cell-based assays, flow-based assays (e.g. mass cytometry) and Multiplex Imaging applications.

Use our conjugation kits for antibody conjugates that are ready-to-use in as little as 20 minutes with 1 minute hands-on-time and 100% antibody recovery: available for fluorescent dyes, HRP, biotin and gold.

Properties and storage information

Form
Liquid
Purification technique
Affinity purification Protein A
Storage buffer
pH: 7.4 Constituents: 100% PBS
Shipped at conditions
Blue Ice
Appropriate short-term storage duration
1-2 weeks
Appropriate short-term storage conditions
+4°C
Appropriate long-term storage conditions
+4°C
Aliquoting information
Upon delivery aliquot
Storage information
Avoid freeze / thaw cycle

Supplementary information

This supplementary information is collated from multiple sources and compiled automatically.

53BP1 also known as p53-binding protein 1 is a protein that plays an important role in DNA damage response. The 53BP1 protein has a molecular weight of approximately 213 kDa. It is a nuclear protein and it mainly expresses in cells during the DNA damage repair processes. Researchers commonly utilize immunofluorescence and anti-53BP1 antibodies to detect its presence especially for studying DNA repair mechanisms. 53BP1 proves important for maintenance of genomic stability.
Biological function summary

As a DNA damage response mediator 53BP1 functions to recognize and bind to sites of double-strand breaks in DNA promoting non-homologous end joining (NHEJ). This protein is a component of a larger protein complex that recruits factors necessary for DNA repair. Its interaction with DNA lesions also involves chromatin remodeling aiming to facilitate successful repair of the DNA. 53BP1 works in concert with other proteins such as H2AX and MDC1.

Pathways

Researchers observe 53BP1 in processes such as the DNA damage checkpoint and repair pathways. This protein significantly contributes to the pathways involved in maintaining cell cycle checkpoints. It interacts with proteins like ATM and BRCA1 coordinating the cellular response to DNA damage and ensuring that genomic integrity checks occur properly before cell cycle progression continues. These interactions place 53BP1 at a pivotal position in decision-making between repair pathways.

Researchers often focus on 53BP1's involvement in cancer development and therapy resistance due to its role in DNA repair. Alterations or deficiencies in 53BP1 levels can contribute to increased susceptibility to tumor development affecting processes like breast cancer and ovarian cancer through its relationship with BRCA1. The improper function of 53BP1 in DNA repair pathways may lead to an accumulation of genetic mutations driving tumorigenesis and impacting the efficacy of certain cancer treatments.

Product protocols

For this product, it's our understanding that no specific protocols are required. You can visit:

Target data

Double-strand break (DSB) repair protein involved in response to DNA damage, telomere dynamics and class-switch recombination (CSR) during antibody genesis (PubMed : 12364621, PubMed : 17190600, PubMed : 21144835, PubMed : 22553214, PubMed : 23333306, PubMed : 27153538, PubMed : 28241136, PubMed : 31135337, PubMed : 37696958). Plays a key role in the repair of double-strand DNA breaks (DSBs) in response to DNA damage by promoting non-homologous end joining (NHEJ)-mediated repair of DSBs and specifically counteracting the function of the homologous recombination (HR) repair protein BRCA1 (PubMed : 22553214, PubMed : 23333306, PubMed : 23727112, PubMed : 27153538, PubMed : 31135337). In response to DSBs, phosphorylation by ATM promotes interaction with RIF1 and dissociation from NUDT16L1/TIRR, leading to recruitment to DSBs sites (PubMed : 28241136). Recruited to DSBs sites by recognizing and binding histone H2A monoubiquitinated at 'Lys-15' (H2AK15Ub) and histone H4 dimethylated at 'Lys-20' (H4K20me2), two histone marks that are present at DSBs sites (PubMed : 17190600, PubMed : 23760478, PubMed : 27153538, PubMed : 28241136). Required for immunoglobulin class-switch recombination (CSR) during antibody genesis, a process that involves the generation of DNA DSBs (PubMed : 23345425). Participates in the repair and the orientation of the broken DNA ends during CSR (By similarity). In contrast, it is not required for classic NHEJ and V(D)J recombination (By similarity). Promotes NHEJ of dysfunctional telomeres via interaction with PAXIP1 (PubMed : 23727112).
See full target information TP53BP1

Product promise

We are committed to supporting your work with high-quality reagents, and we're here for you every step of the way. In the unlikely event that one of our products does not perform as expected, you're protected by our Product Promise.
For full details, please see our Terms & Conditions

Please note: All products are 'FOR RESEARCH USE ONLY. NOT FOR USE IN DIAGNOSTIC OR THERAPEUTIC PROCEDURES'.

For licensing inquiries, please contact partnerships@abcam.com