JavaScript is disabled in your browser. Please enable JavaScript to view this website.
AB320755

Anti-53BP1 antibody [RM1222]

  • BOND RX™ Validated
  • 20ul selling size
  • Recombinant
  • RabMAb
  • KO Validated
  • What is this?

Be the first to review this product! Submit a review

|

(0 Publication)

Knockout Tested Rabbit Recombinant Multiclonal 53BP1 antibody. Suitable for IHC-Fr, WB, IHC-P and reacts with Mouse, Rat, Human samples.

View Alternative Names

TP53-binding protein 1, 53BP1, p53-binding protein 1, p53BP1, TP53BP1

15 Images
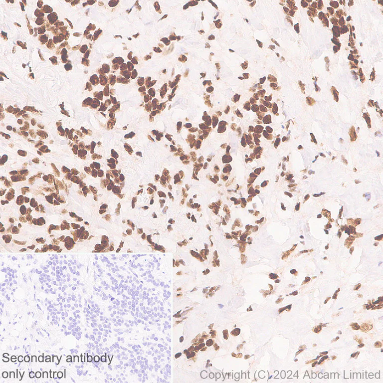
Immunohistochemistry (Formalin/PFA-fixed paraffin-embedded sections) - Anti-53BP1 antibody [RM1222] (AB320755)
  • IHC-P

Supplier Data

Immunohistochemistry (Formalin/PFA-fixed paraffin-embedded sections) - Anti-53BP1 antibody [RM1222] (AB320755)

Immunohistochemical analysis of paraffin-embedded Human colon carcinoma tissue labeling 53BP1 with ab320755 at 1/2000 (0.244 ug/ml) dilution, followed by a ready to use LeicaDS9800 (Bond™ Polymer Refine Detection).

Positive staining on human colon carcinoma. The section was incubated with ab320755 for 30 mins at room temperature.
The immunostaining was performed on a Leica Biosystems BOND® RX instrument

Counterstained with Hematoxylin.

Secondary antibody only control : Secondary antibody is a ready to use LeicaDS9800 (Bond™ Polymer Refine Detection).

Heat mediated antigen retrieval was performed with Tris-EDTA buffer (pH 9.0, Epitope Retrieval Solution2) for 20 mins

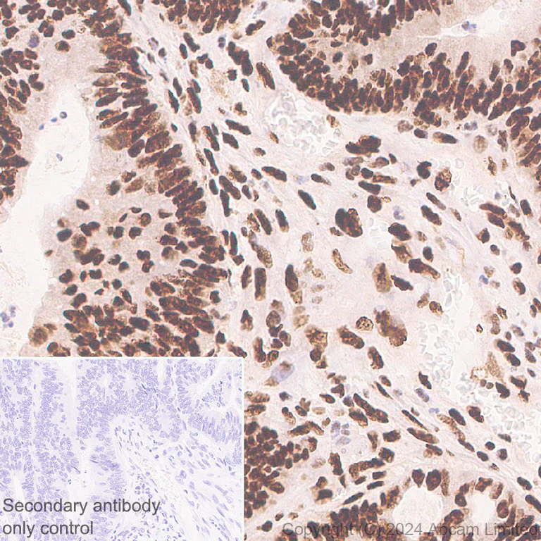
Immunohistochemistry (Formalin/PFA-fixed paraffin-embedded sections) - Anti-53BP1 antibody [RM1222] (AB320755)
  • IHC-P

Supplier Data

Immunohistochemistry (Formalin/PFA-fixed paraffin-embedded sections) - Anti-53BP1 antibody [RM1222] (AB320755)

Immunohistochemical analysis of paraffin-embedded Human breast carcinoma tissue labeling 53BP1 with ab320755 at 1/2000 (0.244 ug/ml) dilution, followed by a ready to use LeicaDS9800 (Bond™ Polymer Refine Detection).

Positive staining on human breast carcinoma. The section was incubated with ab320755 for 30 mins at room temperature.
The immunostaining was performed on a Leica Biosystems BOND® RX instrument

Counterstained with Hematoxylin.

Secondary antibody only control : Secondary antibody is a ready to use LeicaDS9800 (Bond™ Polymer Refine Detection).

Heat mediated antigen retrieval was performed with Tris-EDTA buffer (pH 9.0, Epitope Retrieval Solution2) for 20 mins

Immunohistochemistry (Formalin/PFA-fixed paraffin-embedded sections) - Anti-53BP1 antibody [RM1222] (AB320755)
  • IHC-P

Supplier Data

Immunohistochemistry (Formalin/PFA-fixed paraffin-embedded sections) - Anti-53BP1 antibody [RM1222] (AB320755)

Immunohistochemical analysis of paraffin-embedded Human placenta tissue labeling 53BP1 with ab320755 at 1/2000 (0.244 ug/ml) dilution, followed by a ready to use LeicaDS9800 (Bond™ Polymer Refine Detection).

Positive staining on human placenta. The section was incubated with ab320755 for 30 mins at room temperature.
The immunostaining was performed on a Leica Biosystems BOND® RX instrument

Counterstained with Hematoxylin.

Secondary antibody only control : Secondary antibody is a ready to use LeicaDS9800 (Bond™ Polymer Refine Detection).

Heat mediated antigen retrieval was performed with Tris-EDTA buffer (pH 9.0, Epitope Retrieval Solution2) for 20 mins

Immunohistochemistry (Formalin/PFA-fixed paraffin-embedded sections) - Anti-53BP1 antibody [RM1222] (AB320755)
  • IHC-P

Supplier Data

Immunohistochemistry (Formalin/PFA-fixed paraffin-embedded sections) - Anti-53BP1 antibody [RM1222] (AB320755)

Immunohistochemical analysis of paraffin-embedded Human cerebrum tissue labeling 53BP1 with ab320755 at 1/2000 (0.244 ug/ml) dilution, followed by a ready to use LeicaDS9800 (Bond™ Polymer Refine Detection).

Positive staining on human cerebrum. The section was incubated with ab320755 for 30 mins at room temperature.
The immunostaining was performed on a Leica Biosystems BOND® RX instrument

Counterstained with Hematoxylin.

Secondary antibody only control : Secondary antibody is a ready to use LeicaDS9800 (Bond™ Polymer Refine Detection).

Heat mediated antigen retrieval was performed with Tris-EDTA buffer (pH 9.0, Epitope Retrieval Solution2) for 20 mins

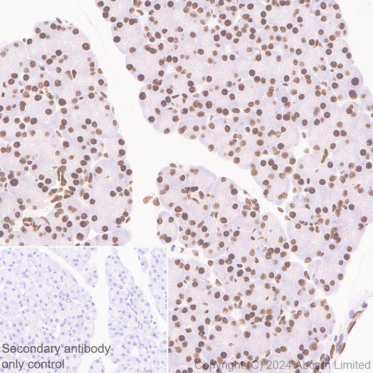
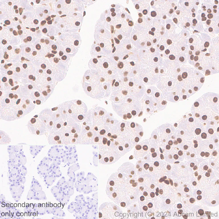
Immunohistochemistry (Formalin/PFA-fixed paraffin-embedded sections) - Anti-53BP1 antibody [RM1222] (AB320755)
  • IHC-P

Supplier Data

Immunohistochemistry (Formalin/PFA-fixed paraffin-embedded sections) - Anti-53BP1 antibody [RM1222] (AB320755)

Immunohistochemical analysis of paraffin-embedded Mouse pancreas tissue labeling 53BP1 with ab320755 at 1/4000 (0.122 ug/ml) dilution, followed by a ready to use LeicaDS9800 (Bond™ Polymer Refine Detection).

Positive staining on mouse pancreas. The section was incubated with ab320755 for 30 mins at room temperature.
The immunostaining was performed on a Leica Biosystems BOND® RX instrument. Incubate slides with 3% Hydrogen Peroxide for 10 mins at room temperature after secondary antibody incubation to reduce the background

Counterstained with Hematoxylin.

Secondary antibody only control : Secondary antibody is a ready to use LeicaDS9800 (Bond™ Polymer Refine Detection).

Heat mediated antigen retrieval was performed with Tris-EDTA buffer (pH 9.0, Epitope Retrieval Solution2) for 20 mins

Immunohistochemistry (Frozen sections) - Anti-53BP1 antibody [RM1222] (AB320755)
  • IHC-Fr

Supplier Data

Immunohistochemistry (Frozen sections) - Anti-53BP1 antibody [RM1222] (AB320755)

Immunohistochemical analysis of 4% PFA-fixed, 0.2% Triton X-100 permeabilized frozen Mouse cerebrum (fresh frozen) tissue labeling 53BP1 with ab320755 at 1/100 (4.88 ug/ml) dilution followed by ab150081 Goat Anti-Rabbit IgG H&L (Alexa Fluor® 488) preadsorbed at 1/1000 2 ug/mL dilution (Green).

Confocal image showing positive staining on mouse cerebrum. The nuclear counterstain was DAPI (Blue). The section was incubated with ab320755 for 60 mins at room temperature. The section was then mounted using Fluoromount®.The immunostaining was performed on a Leica Biosystems BOND® RX instrument. Image was taken with a confocal microscope (Leica-Microsystems, TCS SP8).

Secondary antibody control : Secondary antibody is ab150081 Goat Anti-Rabbit IgG H&L (Alexa Fluor® 488) preadsorbedat 1/1000 2 ug/mL dilution.

Immunohistochemistry (Formalin/PFA-fixed paraffin-embedded sections) - Anti-53BP1 antibody [RM1222] (AB320755)
  • IHC-P

Supplier Data

Immunohistochemistry (Formalin/PFA-fixed paraffin-embedded sections) - Anti-53BP1 antibody [RM1222] (AB320755)

Immunohistochemical analysis of paraffin-embedded Rat pancreas tissue labeling 53BP1 with ab320755 at 1/4000 (0.122 ug/ml) dilution, followed by a ready to use LeicaDS9800 (Bond™ Polymer Refine Detection).

Positive staining on rat pancreas. The section was incubated with ab320755 for 30 mins at room temperature.
The immunostaining was performed on a Leica Biosystems BOND® RX instrument. Incubate slides with 3% Hydrogen Peroxide for 10 mins at room temperature after secondary antibody incubation to reduce the background

Counterstained with Hematoxylin.

Secondary antibody only control : Secondary antibody is a ready to use LeicaDS9800 (Bond™ Polymer Refine Detection).

Heat mediated antigen retrieval was performed with Tris-EDTA buffer (pH 9.0, Epitope Retrieval Solution2) for 20 mins

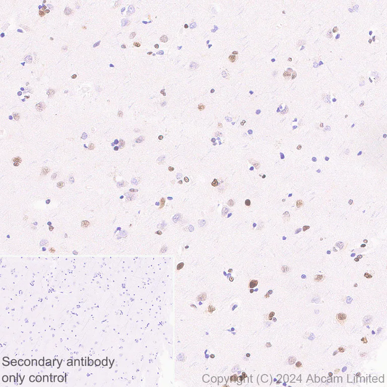
Immunohistochemistry (Formalin/PFA-fixed paraffin-embedded sections) - Anti-53BP1 antibody [RM1222] (AB320755)
  • IHC-P

Supplier Data

Immunohistochemistry (Formalin/PFA-fixed paraffin-embedded sections) - Anti-53BP1 antibody [RM1222] (AB320755)

Immunohistochemical analysis of paraffin-embedded Rat cerebrum tissue labeling 53BP1 with ab320755 at 1/4000 (0.122 ug/ml) dilution, followed by a ready to use LeicaDS9800 (Bond™ Polymer Refine Detection).

Positive staining on rat cerebrum. The section was incubated with ab320755 for 30 mins at room temperature.
The immunostaining was performed on a Leica Biosystems BOND® RX instrument. Incubate slides with 3% Hydrogen Peroxide for 10 mins at room temperature after secondary antibody incubation to reduce the background

Counterstained with Hematoxylin.

Secondary antibody only control : Secondary antibody is a ready to use LeicaDS9800 (Bond™ Polymer Refine Detection).

Heat mediated antigen retrieval was performed with Tris-EDTA buffer (pH 9.0, Epitope Retrieval Solution2) for 20 mins

Immunohistochemistry (Frozen sections) - Anti-53BP1 antibody [RM1222] (AB320755)
  • IHC-Fr

Supplier Data

Immunohistochemistry (Frozen sections) - Anti-53BP1 antibody [RM1222] (AB320755)

Immunohistochemical analysis of 4% PFA-fixed, 0.2% Triton X-100 permeabilized frozen Rat cerebrum (fresh frozen) tissue labeling 53BP1 with ab320755 at 1/100 (4.88 ug/ml) dilution followed by ab150081 Goat Anti-Rabbit IgG H&L (Alexa Fluor® 488) preadsorbed at 1/1000 2 ug/mL dilution (Green).

Confocal image showing positive staining on rat cerebrum. The nuclear counterstain was DAPI (Blue). The section was incubated with ab320755 for 60 mins at room temperature. The section was then mounted using Fluoromount®.The immunostaining was performed on a Leica Biosystems BOND® RX instrument. Image was taken with a confocal microscope (Leica-Microsystems, TCS SP8).

Secondary antibody control : Secondary antibody is ab150081 Goat Anti-Rabbit IgG H&L (Alexa Fluor® 488) preadsorbedat 1/1000 2 ug/mL dilution.

Immunohistochemistry (Formalin/PFA-fixed paraffin-embedded sections) - Anti-53BP1 antibody [RM1222] (AB320755)
  • IHC-P

Supplier Data

Immunohistochemistry (Formalin/PFA-fixed paraffin-embedded sections) - Anti-53BP1 antibody [RM1222] (AB320755)

Immunohistochemical analysis of paraffin-embedded Mouse cerebrum tissue labeling 53BP1 with ab320755 at 1/4000 (0.122 ug/ml) dilution, followed by a ready to use LeicaDS9800 (Bond™ Polymer Refine Detection).

Positive staining on mouse cerebrum. The section was incubated with ab320755 for 30 mins at room temperature.
The immunostaining was performed on a Leica Biosystems BOND® RX instrument. Incubate slides with 3% Hydrogen Peroxide for 10 mins at room temperature after secondary antibody incubation to reduce the background

Counterstained with Hematoxylin.

Secondary antibody only control : Secondary antibody is a ready to use LeicaDS9800 (Bond™ Polymer Refine Detection).

Heat mediated antigen retrieval was performed with Tris-EDTA buffer (pH 9.0, Epitope Retrieval Solution2) for 20 mins

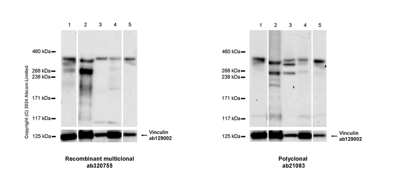
Western blot - Anti-53BP1 antibody [RM1222] (AB320755)
  • WB

Supplier Data

Western blot - Anti-53BP1 antibody [RM1222] (AB320755)

Blocking and diluting buffer and concentration : 5% NFDM/TBST.

The molecular weight observed is consistent with what has been described in the literature (PMID : 15840649).

In Western blot, anti-53BP1 antibody (ab320755, left) and (ab21083, right) were used at 1/1000. A band was observed at 350 kDa in wild-type HAP1 cell lysates whereas no signal was observed at this size in the 53BP1 knockout cell line.

In Western blot, Anti-Vinculin antibody [EPR8185] (ab129002) staining at 1/10000 dilution.

All lanes:

Western blot - Anti-53BP1 antibody [RM1222] (ab320755) at 1/1000 dilution

Lane 1:

Wild-type HAP1 (human chronic myelogenous leukemia near-haploid cell) whole cell lysate at 20 µg

Lane 2:

53BP1 knockout HAP1 whole cell lysate at 20 µg

Secondary

All lanes:

Western blot - Goat Anti-Rabbit IgG H&L (HRP) (<a href='/en-us/products/secondary-antibodies/goat-rabbit-igg-h-l-hrp-ab97051'>ab97051</a>) at 1/100000 dilution

Observed band size: 350 kDa,124 kDa

false

Exposure time: 26s

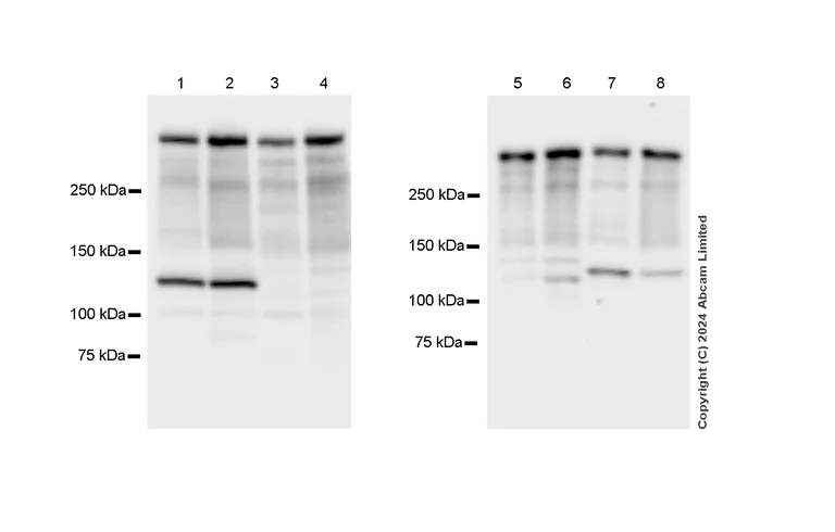
Western blot - Anti-53BP1 antibody [RM1222] (AB320755)
  • WB

Supplier Data

Western blot - Anti-53BP1 antibody [RM1222] (AB320755)

Blocking and diluting buffer and concentration : 5% NFDM/TBST.

The molecular weight observed is consistent with what has been described in the literature (PMID : 15840649).

The identity of the band between 100-150 kDa is unknown.

In Western blot, Anti-Vinculin antibody [EPR8185] (ab129002) staining at 1/10000 dilution.

All lanes:

Western blot - Anti-53BP1 antibody [RM1222] (ab320755) at 1/1000 dilution

Lane 1:

HeLa (human cervical adenocarcinoma epithelial cell) whole cell lysate at 20 µg

Lane 2:

K-562 (human chronic myelogenous leukemia lymphoblast) whole cell lysate at 20 µg

Lane 3:

NIH/3T3 (mouse embryonic fibroblast) whole cell lysate at 20 µg

Lane 4:

Neuro-2a (mouse neuroblastoma neuroblast) whole cell lysate at 20 µg

Secondary

All lanes:

Western blot - Goat Anti-Rabbit IgG H&L (HRP) (<a href='/en-us/products/secondary-antibodies/goat-rabbit-igg-h-l-hrp-ab97051'>ab97051</a>) at 1/100000 dilution

Observed band size: 124 kDa,350 kDa

false

Exposure time: 37s

Western blot - Anti-53BP1 antibody [RM1222] (AB320755)
  • WB

Supplier Data

Western blot - Anti-53BP1 antibody [RM1222] (AB320755)

Blocking and diluting buffer and concentration : 5% NFDM/TBST.

The molecular weight observed is consistent with what has been described in the literature (PMID : 15840649).

The identity of the band between 100-150 kDa is unknown.

The lysates were freshly made and used for Western Blotting immediately to minimize protein degradation.

All lanes:

Western blot - Anti-53BP1 antibody [RM1222] (ab320755) at 1/1000 dilution

Lane 1:

HeLa (human cervical adenocarcinoma epithelial cell) whole cell lysate at 20 µg

Lane 2:

293T (human embryonic kidney epithelial cell) whole cell lysate at 20 µg

Lane 3:

NIH/3T3 (mouse embryonic fibroblast) whole cell lysate at 20 µg

Lane 4:

PC-12 (rat adrenal gland pheochromocytoma cell) whole cell lysate at 20 µg

Lane 5:

C6 (rat glial tumor glial cell) whole cell lysate at 20 µg

Lane 6:

Neuro-2a (mouse neuroblastoma neuroblast) whole cell lysate at 20 µg

Lane 7:

U-87 MG (human glioblastoma-astrocytoma epithelial cell) whole cell lysate at 20 µg

Lane 8:

SH-SY5Y (human neuroblastoma epithelial cell) whole cell lysate at 20 µg

Secondary

All lanes:

Western blot - Goat Anti-Rabbit IgG H&L (HRP) (<a href='/en-us/products/secondary-antibodies/goat-rabbit-igg-h-l-hrp-ab97051'>ab97051</a>) at 1/100000 dilution

Observed band size: 350 kDa

false

Exposure time: 15s

Western blot - Anti-53BP1 antibody [RM1222] (AB320755)
  • WB

Supplier Data

Western blot - Anti-53BP1 antibody [RM1222] (AB320755)

Blocking and diluting buffer and concentration : 5% NFDM/TBST.

The molecular weight observed is consistent with what has been described in the literature (PMID : 15840649).

In Western blot, Anti-Vinculin antibody [EPR8185] (ab129002) staining at 1/10000 dilution.

All lanes:

Western blot - Anti-53BP1 antibody [RM1222] (ab320755) at 1/1000 dilution

Lane 1:

Human placenta tissue lysate at 20 µg

Lane 2:

Mouse heart tissue lysate at 20 µg

Lane 3:

Mouse brain tissue lysate at 20 µg

Lane 4:

Mouse pancreas tissue lysate at 20 µg

Secondary

All lanes:

Western blot - Goat Anti-Rabbit IgG H&L (HRP) (<a href='/en-us/products/secondary-antibodies/goat-rabbit-igg-h-l-hrp-ab97051'>ab97051</a>) at 1/100000 dilution

Observed band size: 124 kDa,350 kDa

false

Exposure time: 180s

Western blot - Anti-53BP1 antibody [RM1222] (AB320755)
  • WB

Supplier Data

Western blot - Anti-53BP1 antibody [RM1222] (AB320755)

Blocking and diluting buffer and concentration : 5% NFDM/TBST.

The molecular weight observed is consistent with what has been described in the literature (PMID : 15840649).

In Western blot, anti-53BP1 antibody (ab320755, left) and (ab21083, right) were used at 1/1000.

In Western blot, Anti-Vinculin antibody [EPR8185] (ab129002) staining at 1/10000 dilution.

All lanes:

Western blot - Anti-53BP1 antibody [RM1222] (ab320755) at 1/1000 dilution

Lane 1:

Human placenta tissue lysate at 40 µg

Lane 2:

Human testis tissue lysate at 40 µg

Lane 3:

Mouse liver tissue lysate at 20 µg

Lane 4:

Mouse placenta tissue lysate at 20 µg

Lane 5:

Rat brain tissue lysate at 20 µg

Secondary

All lanes:

Western blot - Goat Anti-Rabbit IgG H&L (HRP) (<a href='/en-us/products/secondary-antibodies/goat-rabbit-igg-h-l-hrp-ab97051'>ab97051</a>) at 1/100000 dilution

Observed band size: 350 kDa,124 kDa

false

Exposure time: 180s

Key facts

Host species

Rabbit

Clonality

Multiclonal

Clone number

RM1222

Isotype

IgG

Carrier free

No

Reacts with

Mouse, Human, Rat

Applications

IHC-P, IHC-Fr, WB

applications

Immunogen

The exact immunogen used to generate this antibody is proprietary information.

Reactivity data

{ "title": "Reactivity Data", "filters": { "stats": ["", "Species", "Dilution Info", "Notes"], "tabs": { "all-applications": {"fullname" : "All Applications", "shortname": "All Applications"}, "IHCFr" : {"fullname" : "Immunohistochemistry (Frozen sections)", "shortname":"IHC-Fr"}, "WB" : {"fullname" : "Western blot", "shortname":"WB"}, "IHCP" : {"fullname" : "Immunohistochemistry (Formalin/PFA-fixed paraffin-embedded sections)", "shortname":"IHC-P"}, "ICCIF" : {"fullname" : "Immunocytochemistry/ Immunofluorescence", "shortname":"ICC/IF"}, "FlowCytIntra" : {"fullname" : "Flow Cytometry (Intracellular)", "shortname":"Flow Cyt (Intra)"} }, "product-promise": { "all": "all", "testedAndGuaranteed": "tested", "guaranteed": "expected", "predicted": "predicted", "notRecommended": "not-recommended" } }, "values": { "Human": { "IHCFr-species-checked": "guaranteed", "IHCFr-species-dilution-info": "", "IHCFr-species-notes": "", "WB-species-checked": "testedAndGuaranteed", "WB-species-dilution-info": "1/1000", "WB-species-notes": "<p></p>", "IHCP-species-checked": "testedAndGuaranteed", "IHCP-species-dilution-info": "1/2000", "IHCP-species-notes": "<p></p> Perform heat-mediated antigen retrieval with Tris/EDTA buffer pH 9.0 before commencing with IHC staining protocol.", "ICCIF-species-checked": "notRecommended", "ICCIF-species-dilution-info": "", "ICCIF-species-notes": "<p></p>", "FlowCytIntra-species-checked": "notRecommended", "FlowCytIntra-species-dilution-info": "", "FlowCytIntra-species-notes": "<p></p>" }, "Mouse": { "IHCFr-species-checked": "testedAndGuaranteed", "IHCFr-species-dilution-info": "1/100", "IHCFr-species-notes": "<p></p>", "WB-species-checked": "testedAndGuaranteed", "WB-species-dilution-info": "1/1000", "WB-species-notes": "<p></p>", "IHCP-species-checked": "testedAndGuaranteed", "IHCP-species-dilution-info": "1/2000", "IHCP-species-notes": "<p></p> Perform heat-mediated antigen retrieval with Tris/EDTA buffer pH 9.0 before commencing with IHC staining protocol.", "ICCIF-species-checked": "notRecommended", "ICCIF-species-dilution-info": "", "ICCIF-species-notes": "", "FlowCytIntra-species-checked": "notRecommended", "FlowCytIntra-species-dilution-info": "", "FlowCytIntra-species-notes": "" }, "Rat": { "IHCFr-species-checked": "testedAndGuaranteed", "IHCFr-species-dilution-info": "1/100", "IHCFr-species-notes": "<p></p>", "WB-species-checked": "testedAndGuaranteed", "WB-species-dilution-info": "1/1000", "WB-species-notes": "<p></p>", "IHCP-species-checked": "testedAndGuaranteed", "IHCP-species-dilution-info": "1/2000", "IHCP-species-notes": "<p></p> Perform heat-mediated antigen retrieval with Tris/EDTA buffer pH 9.0 before commencing with IHC staining protocol.", "ICCIF-species-checked": "notRecommended", "ICCIF-species-dilution-info": "", "ICCIF-species-notes": "", "FlowCytIntra-species-checked": "notRecommended", "FlowCytIntra-species-dilution-info": "", "FlowCytIntra-species-notes": "" } } }

Product details

What are recombinant multiclonals?
Recombinant multiclonals are a mixture of recombinant antibodies co-expressed from a library of heavy and light chains. They offer several advantages including:

  • - The sensitivity of polyclonal antibodies by recognising multiple epitopes
  • - High batch-to-batch consistency and reproducibility
  • - Improved sensitivity and specificity
  • - Long-term security of supply
  • - Animal-free batch production

View our range of recombinant multiclonal antibodies.

Patented technology
Our RabMAb® technology is a patented hybridoma-based technology for making rabbit monoclonal antibodies. For details on our patents, please refer to RabMAb® patents.

Properties and storage information

Form
Liquid
Purification technique
Affinity purification Protein A
Storage buffer
pH: 7.2 - 7.4 Preservative: 0.01% Sodium azide Constituents: PBS, 40% Glycerol (glycerin, glycerine), 0.05% BSA
Shipped at conditions
Blue Ice
Appropriate short-term storage duration
1-2 weeks
Appropriate short-term storage conditions
+4°C
Appropriate long-term storage conditions
-20°C
Aliquoting information
Upon delivery aliquot
Storage information
Avoid freeze / thaw cycle

Supplementary information

This supplementary information is collated from multiple sources and compiled automatically.

53BP1 also known as p53-binding protein 1 is a protein that plays an important role in DNA damage response. The 53BP1 protein has a molecular weight of approximately 213 kDa. It is a nuclear protein and it mainly expresses in cells during the DNA damage repair processes. Researchers commonly utilize immunofluorescence and anti-53BP1 antibodies to detect its presence especially for studying DNA repair mechanisms. 53BP1 proves important for maintenance of genomic stability.
Biological function summary

As a DNA damage response mediator 53BP1 functions to recognize and bind to sites of double-strand breaks in DNA promoting non-homologous end joining (NHEJ). This protein is a component of a larger protein complex that recruits factors necessary for DNA repair. Its interaction with DNA lesions also involves chromatin remodeling aiming to facilitate successful repair of the DNA. 53BP1 works in concert with other proteins such as H2AX and MDC1.

Pathways

Researchers observe 53BP1 in processes such as the DNA damage checkpoint and repair pathways. This protein significantly contributes to the pathways involved in maintaining cell cycle checkpoints. It interacts with proteins like ATM and BRCA1 coordinating the cellular response to DNA damage and ensuring that genomic integrity checks occur properly before cell cycle progression continues. These interactions place 53BP1 at a pivotal position in decision-making between repair pathways.

Researchers often focus on 53BP1's involvement in cancer development and therapy resistance due to its role in DNA repair. Alterations or deficiencies in 53BP1 levels can contribute to increased susceptibility to tumor development affecting processes like breast cancer and ovarian cancer through its relationship with BRCA1. The improper function of 53BP1 in DNA repair pathways may lead to an accumulation of genetic mutations driving tumorigenesis and impacting the efficacy of certain cancer treatments.

Product protocols

For this product, it's our understanding that no specific protocols are required. You can visit:

Target data

Double-strand break (DSB) repair protein involved in response to DNA damage, telomere dynamics and class-switch recombination (CSR) during antibody genesis (PubMed : 12364621, PubMed : 17190600, PubMed : 21144835, PubMed : 22553214, PubMed : 23333306, PubMed : 27153538, PubMed : 28241136, PubMed : 31135337, PubMed : 37696958). Plays a key role in the repair of double-strand DNA breaks (DSBs) in response to DNA damage by promoting non-homologous end joining (NHEJ)-mediated repair of DSBs and specifically counteracting the function of the homologous recombination (HR) repair protein BRCA1 (PubMed : 22553214, PubMed : 23333306, PubMed : 23727112, PubMed : 27153538, PubMed : 31135337). In response to DSBs, phosphorylation by ATM promotes interaction with RIF1 and dissociation from NUDT16L1/TIRR, leading to recruitment to DSBs sites (PubMed : 28241136). Recruited to DSBs sites by recognizing and binding histone H2A monoubiquitinated at 'Lys-15' (H2AK15Ub) and histone H4 dimethylated at 'Lys-20' (H4K20me2), two histone marks that are present at DSBs sites (PubMed : 17190600, PubMed : 23760478, PubMed : 27153538, PubMed : 28241136). Required for immunoglobulin class-switch recombination (CSR) during antibody genesis, a process that involves the generation of DNA DSBs (PubMed : 23345425). Participates in the repair and the orientation of the broken DNA ends during CSR (By similarity). In contrast, it is not required for classic NHEJ and V(D)J recombination (By similarity). Promotes NHEJ of dysfunctional telomeres via interaction with PAXIP1 (PubMed : 23727112).
See full target information TP53BP1

Product promise

We are committed to supporting your work with high-quality reagents, and we're here for you every step of the way. In the unlikely event that one of our products does not perform as expected, you're protected by our Product Promise.
For full details, please see our Terms & Conditions

Please note: All products are 'FOR RESEARCH USE ONLY. NOT FOR USE IN DIAGNOSTIC OR THERAPEUTIC PROCEDURES'.

For licensing inquiries, please contact partnerships@abcam.com