JavaScript is disabled in your browser. Please enable JavaScript to view this website.
AB219116

Anti-5HT4 Receptor antibody

Be the first to review this product! Submit a review

|

(1 Publication)

Rabbit Polyclonal 5HT4 Receptor antibody. Suitable for IHC-P and reacts with Human samples. Cited in 1 publication. Immunogen corresponding to Synthetic Peptide within Human HTR4.

View Alternative Names

5-hydroxytryptamine receptor 4, 5-HT-4, 5-HT4, Serotonin receptor 4, HTR4

5 Images
Immunohistochemistry (Formalin/PFA-fixed paraffin-embedded sections) - Anti-5HT4 Receptor antibody (AB219116)
  • IHC-P

Supplier Data

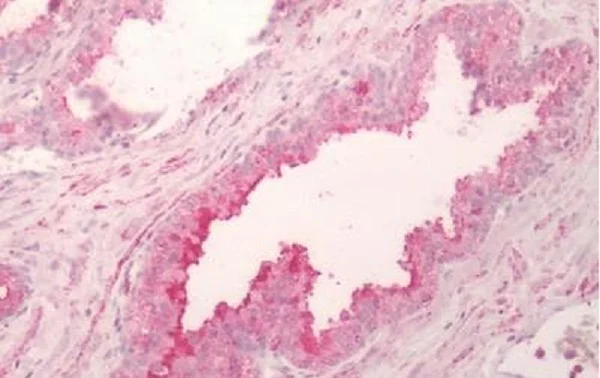
Immunohistochemistry (Formalin/PFA-fixed paraffin-embedded sections) - Anti-5HT4 Receptor antibody (AB219116)

Immunohistochemical analysis of formalin fixed, paraffin embedded Human kidney tissue labeling 5HT4 with ab219116 at 20 μg/ml.

Immunohistochemistry (Formalin/PFA-fixed paraffin-embedded sections) - Anti-5HT4 Receptor antibody (AB219116)
  • IHC-P

Supplier Data

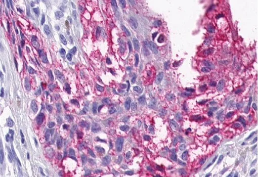
Immunohistochemistry (Formalin/PFA-fixed paraffin-embedded sections) - Anti-5HT4 Receptor antibody (AB219116)

Immunohistochemical analysis of formalin fixed, paraffin embedded Human prostate tissue labeling 5HT4 with ab219116 at 20 μg/ml.

Immunohistochemistry (Formalin/PFA-fixed paraffin-embedded sections) - Anti-5HT4 Receptor antibody (AB219116)
  • IHC-P

Supplier Data

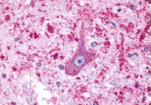
Immunohistochemistry (Formalin/PFA-fixed paraffin-embedded sections) - Anti-5HT4 Receptor antibody (AB219116)

Immunohistochemical analysis of formalin fixed, paraffin embedded Human brain (glioblastoma) tissue labeling 5HT4 with ab219116 at 20 μg/ml.

Immunohistochemistry (Formalin/PFA-fixed paraffin-embedded sections) - Anti-5HT4 Receptor antibody (AB219116)
  • IHC-P

Supplier Data

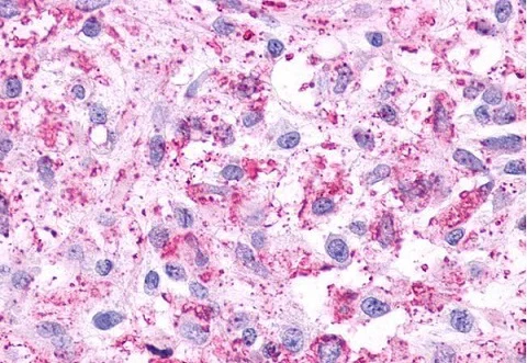
Immunohistochemistry (Formalin/PFA-fixed paraffin-embedded sections) - Anti-5HT4 Receptor antibody (AB219116)

Immunohistochemical analysis of formalin fixed, paraffin embedded Human skin (melonoma) tissue labeling 5HT4 with ab219116 at 20 μg/ml.

Immunohistochemistry (Formalin/PFA-fixed paraffin-embedded sections) - Anti-5HT4 Receptor antibody (AB219116)
  • IHC-P

Supplier Data

Immunohistochemistry (Formalin/PFA-fixed paraffin-embedded sections) - Anti-5HT4 Receptor antibody (AB219116)

Immunohistochemical analysis of formalin fixed, paraffin embedded Human brain (medulla) tissue labeling 5HT4 with ab219116 at 20 μg/ml.

Key facts

Host species

Rabbit

Clonality

Polyclonal

Isotype

IgG

Carrier free

No

Reacts with

Human

Applications

IHC-P

applications

Immunogen

Synthetic Peptide within Human HTR4. The exact immunogen used to generate this antibody is proprietary information.

Q13639

Reactivity data

{ "title": "Reactivity Data", "filters": { "stats": ["", "Species", "Dilution Info", "Notes"], "tabs": { "all-applications": {"fullname" : "All Applications", "shortname": "All Applications"}, "IHCP" : {"fullname" : "Immunohistochemistry (Formalin/PFA-fixed paraffin-embedded sections)", "shortname":"IHC-P"} }, "product-promise": { "all": "all", "testedAndGuaranteed": "tested", "guaranteed": "expected", "predicted": "predicted", "notRecommended": "not-recommended" } }, "values": { "Human": { "IHCP-species-checked": "testedAndGuaranteed", "IHCP-species-dilution-info": "15-20 µg/mL", "IHCP-species-notes": "<p></p> Perform heat-mediated antigen retrieval before commencing with IHC staining protocol." }, "Mouse": { "IHCP-species-checked": "predicted", "IHCP-species-dilution-info": "", "IHCP-species-notes": "" }, "Rat": { "IHCP-species-checked": "predicted", "IHCP-species-dilution-info": "", "IHCP-species-notes": "" }, "Cow": { "IHCP-species-checked": "predicted", "IHCP-species-dilution-info": "", "IHCP-species-notes": "" }, "Dog": { "IHCP-species-checked": "predicted", "IHCP-species-dilution-info": "", "IHCP-species-notes": "" }, "Gorilla": { "IHCP-species-checked": "predicted", "IHCP-species-dilution-info": "", "IHCP-species-notes": "" }, "Hamster": { "IHCP-species-checked": "predicted", "IHCP-species-dilution-info": "", "IHCP-species-notes": "" }, "Horse": { "IHCP-species-checked": "predicted", "IHCP-species-dilution-info": "", "IHCP-species-notes": "" }, "Pig": { "IHCP-species-checked": "predicted", "IHCP-species-dilution-info": "", "IHCP-species-notes": "" }, "Rabbit": { "IHCP-species-checked": "predicted", "IHCP-species-dilution-info": "", "IHCP-species-notes": "" } } }

Properties and storage information

Form
Liquid
Purification technique
Affinity purification Immunogen
Storage buffer
pH: 7.4 Preservative: 0.099% Sodium azide Constituents: PBS
Shipped at conditions
Blue Ice
Appropriate short-term storage duration
1-2 weeks
Appropriate short-term storage conditions
+4°C
Appropriate long-term storage conditions
-20°C
Aliquoting information
Upon delivery aliquot
Storage information
Avoid freeze / thaw cycle

Supplementary information

This supplementary information is collated from multiple sources and compiled automatically.

The 5-HT4 receptor also known as 5-hydroxytryptamine receptor 4 is a G protein-coupled receptor (GPCR) that largely facilitates neurotransmission. Mechanically 5-HT4 receptors bind serotonin leading to the activation of adenylate cyclase which increases cellular levels of cyclic AMP. The 5-HT4 receptor has a molecular mass of approximately 40 kDa. It is widely expressed in the central nervous system such as in the brain as well as in peripheral tissues including the gastrointestinal tract and heart.
Biological function summary

The 5-HT4 receptor plays key roles in modulating brain processes related to memory and cognition and regulates gut motility. While the receptor acts independently it does not form part of larger receptor complexes. Its ability to influence neurotransmitter release makes it important for synaptic plasticity and smooth muscle contraction in the gastrointestinal tract.

Pathways

The 5-HT4 receptor is integral in the serotonergic signaling pathway which governs mood cognition and gastrointestinal function. Additionally the receptor interacts with downstream elements of the cyclic AMP signaling pathway linking to proteins such as protein kinase A that subsequently affect gene expression and modulation of ion channels.

The 5-HT4 receptor has connections with neurodegenerative diseases like Alzheimer’s disease and gastrointestinal disorders such as irritable bowel syndrome. Dysregulation of the receptor's signaling may lead to these conditions through interactions with proteins like tau in Alzheimer's disease or other neurotransmitter systems impacting gut motility disorders.

Product protocols

For this product, it's our understanding that no specific protocols are required. You can visit:

Target data

G-protein coupled receptor for 5-hydroxytryptamine (serotonin), a biogenic hormone that functions as a neurotransmitter, a hormone and a mitogen (PubMed : 10821780, PubMed : 16102731, PubMed : 35714614, PubMed : 9603189). Ligand binding causes a conformation change that triggers signaling via guanine nucleotide-binding proteins (G proteins) and modulates the activity of downstream effectors (PubMed : 16102731, PubMed : 35714614). HTR4 is coupled to G(s) G alpha proteins and mediates activation of adenylate cyclase activity (PubMed : 16102731, PubMed : 35714614).
See full target information HTR4

Publications (1)

Recent publications for all applications. Explore the full list and refine your search

British journal of cancer 123:591-603 PubMed32439936

2020

Defining COMMD4 as an anti-cancer therapeutic target and prognostic factor in non-small cell lung cancer.

Applications

Unspecified application

Species

Unspecified reactive species

Amila Suraweera,Alex Duff,Mark N Adams,Christian Jekimovs,Pascal H G Duijf,Cheng Liu,Matthew McTaggart,Sam Beard,Kenneth J O' Byrne,Derek J Richard
View all publications

Product promise

We are committed to supporting your work with high-quality reagents, and we're here for you every step of the way. In the unlikely event that one of our products does not perform as expected, you're protected by our Product Promise.
For full details, please see our Terms & Conditions

Please note: All products are 'FOR RESEARCH USE ONLY. NOT FOR USE IN DIAGNOSTIC OR THERAPEUTIC PROCEDURES'.

For licensing inquiries, please contact partnerships@abcam.com