JavaScript is disabled in your browser. Please enable JavaScript to view this website.
AB317500

Anti-5HT4 Receptor antibody [EPR28675-19]

Be the first to review this product! Submit a review

|

(0 Publication)

Rabbit Recombinant Monoclonal 5HT4 Receptor antibody. Suitable for WB and reacts with Human, Mouse, Rat samples.

View Alternative Names

5-hydroxytryptamine receptor 4, 5-HT-4, 5-HT4, Serotonin receptor 4, HTR4

4 Images
Western blot - Anti-5HT4 Receptor antibody [EPR28675-19] (AB317500)
  • WB

Supplier Data

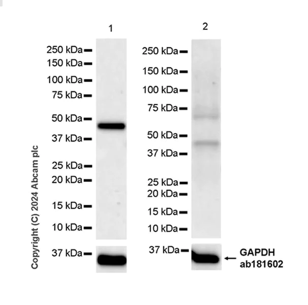
Western blot - Anti-5HT4 Receptor antibody [EPR28675-19] (AB317500)

Low expression tissue : liver (PMID : 15118808).

The identity of the band higher than 50 kDa is unknown.

In Western blot, Anti-GAPDH antibody [EPR16891] - Loading Control (ab181602) staining at 1/200000 dilution.

All lanes:

Western blot - Anti-5HT4 Receptor antibody [EPR28675-19] (ab317500) at 1/1000 dilution

Lane 1:

Human brain tissue lysate at 20 µg with NFDM/TBST

Lane 2:

Human liver tissue lysate at 20 µg with NFDM/TBST

Secondary

All lanes:

Goat Anti-Rabbit IgG (HRP) with minimal cross-reactivity with human IgG at 1/2000 dilution

Observed band size: 43 kDa,36 kDa

false

Exposure time: 180s

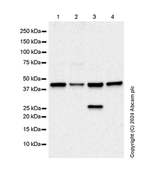
Western blot - Anti-5HT4 Receptor antibody [EPR28675-19] (AB317500)
  • WB

Supplier Data

Western blot - Anti-5HT4 Receptor antibody [EPR28675-19] (AB317500)

The identity of the lower MW band at approximately 28 kDa (in lane 3) is unknown.

All lanes:

Western blot - Anti-5HT4 Receptor antibody [EPR28675-19] (ab317500) at 1/1000 dilution

Lane 1:

HeLa (human cervical adenocarcinoma epithelial cell) whole cell lysate at 20 µg with NFDM/TBST

Lane 2:

293T (human embryonic kidney epithelial cell) whole cell lysate at 20 µg with NFDM/TBST

Lane 3:

NIH/3T3 (mouse embryonic fibroblast) whole cell lysate at 20 µg with NFDM/TBST

Lane 4:

PC-12 (rat adrenal gland pheochromocytoma cell) whole cell lysate at 20 µg with NFDM/TBST

Secondary

All lanes:

Western blot - Goat Anti-Rabbit IgG H&L (HRP) (<a href='/en-us/products/secondary-antibodies/goat-rabbit-igg-h-l-hrp-ab97051'>ab97051</a>) at 1/20000 dilution

Observed band size: 43 kDa

false

Exposure time: 180s

Western blot - Anti-5HT4 Receptor antibody [EPR28675-19] (AB317500)
  • WB

Supplier Data

Western blot - Anti-5HT4 Receptor antibody [EPR28675-19] (AB317500)

Low expression tissue : skeletal muscle (PMID : 15118808).

The identity of the bands higher than 50 kDa and lower than 37 kDa are unknown.

In Western blot, Anti-GAPDH antibody [EPR16891] - Loading Control (ab181602) staining at 1/200000 dilution.

Exposure time : Lanes 1-4 : 59 seconds; Lanes 5-6 : 180 seconds.

All lanes:

Western blot - Anti-5HT4 Receptor antibody [EPR28675-19] (ab317500) at 1/1000 dilution

Lane 1:

Human testis tissue lysate at 20 µg with NFDM/TBST

Lane 2:

Human placenta tissue lysate at 20 µg with NFDM/TBST

Lane 3:

Human striatum tissue lysate at 20 µg with NFDM/TBST

Lane 4:

Human skeletal muscle tissue lysate at 20 µg with NFDM/TBST

Lane 5:

Human tonsil tissue lysate at 20 µg with NFDM/TBST

Lane 6:

IMR-90 (human lung fibroblast) whole cell lysate at 20 µg with NFDM/TBST

Secondary

All lanes:

Goat Anti-Rabbit IgG (HRP) with minimal cross-reactivity with human IgG at 1/2000 dilution

Observed band size: 43 kDa,36 kDa

false

Western blot - Anti-5HT4 Receptor antibody [EPR28675-19] (AB317500)
  • WB

Supplier Data

Western blot - Anti-5HT4 Receptor antibody [EPR28675-19] (AB317500)

Low expression tissue : Skeletal muscle, liver (PMID : 15118808).

In Western blot, Anti-GAPDH antibody [EPR16891] - Loading Control (ab181602) staining at 1/200000 dilution.

All lanes:

Western blot - Anti-5HT4 Receptor antibody [EPR28675-19] (ab317500) at 1/1000 dilution

Lane 1:

Mouse placenta tissue lysate at 20 µg with NFDM/TBST

Lane 2:

Mouse striatum tissue lysate at 20 µg with NFDM/TBST

Lane 3:

Mouse skeletal muscle tissue lysate at 20 µg with NFDM/TBST

Lane 4:

Rat placenta tissue lysate at 20 µg with NFDM/TBST

Lane 5:

Rat striatum tissue lysate at 20 µg with NFDM/TBST

Lane 6:

Rat skeletal muscle tissue lysate at 20 µg with NFDM/TBST

Lane 7:

Rat liver tissue lysate at 20 µg with NFDM/TBST

Secondary

All lanes:

Western blot - Goat Anti-Rabbit IgG H&L (HRP) (<a href='/en-us/products/secondary-antibodies/goat-rabbit-igg-h-l-hrp-ab97051'>ab97051</a>) at 1/20000 dilution

Observed band size: 43 kDa,36 kDa

false

Exposure time: 180s

  • Carrier free

    Anti-5HT4 Receptor antibody [EPR28675-19] - BSA and Azide free

Key facts

Host species

Rabbit

Clonality

Monoclonal

Clone number

EPR28675-19

Isotype

IgG

Carrier free

No

Reacts with

Human, Mouse, Rat

Applications

WB

applications

Immunogen

The exact immunogen used to generate this antibody is proprietary information.

Reactivity data

{ "title": "Reactivity Data", "filters": { "stats": ["", "Species", "Dilution Info", "Notes"], "tabs": { "all-applications": {"fullname" : "All Applications", "shortname": "All Applications"}, "WB" : {"fullname" : "Western blot", "shortname":"WB"}, "IHCFr" : {"fullname" : "Immunohistochemistry (Frozen sections)", "shortname":"IHC-Fr"}, "FlowCytIntra" : {"fullname" : "Flow Cytometry (Intracellular)", "shortname":"Flow Cyt (Intra)"}, "IHCP" : {"fullname" : "Immunohistochemistry (Formalin/PFA-fixed paraffin-embedded sections)", "shortname":"IHC-P"}, "ICCIF" : {"fullname" : "Immunocytochemistry/ Immunofluorescence", "shortname":"ICC/IF"}, "IP" : {"fullname" : "Immunoprecipitation", "shortname":"IP"} }, "product-promise": { "all": "all", "testedAndGuaranteed": "tested", "guaranteed": "expected", "predicted": "predicted", "notRecommended": "not-recommended" } }, "values": { "Human": { "WB-species-checked": "testedAndGuaranteed", "WB-species-dilution-info": "1/1000", "WB-species-notes": "<p></p>", "IHCFr-species-checked": "notRecommended", "IHCFr-species-dilution-info": "", "IHCFr-species-notes": "", "FlowCytIntra-species-checked": "notRecommended", "FlowCytIntra-species-dilution-info": "", "FlowCytIntra-species-notes": "<p></p>", "IHCP-species-checked": "notRecommended", "IHCP-species-dilution-info": "", "IHCP-species-notes": "<p></p>", "ICCIF-species-checked": "notRecommended", "ICCIF-species-dilution-info": "", "ICCIF-species-notes": "<p></p>", "IP-species-checked": "notRecommended", "IP-species-dilution-info": "", "IP-species-notes": "<p></p>" }, "Mouse": { "WB-species-checked": "testedAndGuaranteed", "WB-species-dilution-info": "1/1000", "WB-species-notes": "<p></p>", "IHCFr-species-checked": "notRecommended", "IHCFr-species-dilution-info": "", "IHCFr-species-notes": "<p></p>", "FlowCytIntra-species-checked": "notRecommended", "FlowCytIntra-species-dilution-info": "", "FlowCytIntra-species-notes": "", "IHCP-species-checked": "notRecommended", "IHCP-species-dilution-info": "", "IHCP-species-notes": "<p></p>", "ICCIF-species-checked": "notRecommended", "ICCIF-species-dilution-info": "", "ICCIF-species-notes": "", "IP-species-checked": "notRecommended", "IP-species-dilution-info": "", "IP-species-notes": "" }, "Rat": { "WB-species-checked": "testedAndGuaranteed", "WB-species-dilution-info": "1/1000", "WB-species-notes": "<p></p>", "IHCFr-species-checked": "notRecommended", "IHCFr-species-dilution-info": "", "IHCFr-species-notes": "<p></p>", "FlowCytIntra-species-checked": "notRecommended", "FlowCytIntra-species-dilution-info": "", "FlowCytIntra-species-notes": "", "IHCP-species-checked": "notRecommended", "IHCP-species-dilution-info": "", "IHCP-species-notes": "<p></p>", "ICCIF-species-checked": "notRecommended", "ICCIF-species-dilution-info": "", "ICCIF-species-notes": "", "IP-species-checked": "notRecommended", "IP-species-dilution-info": "", "IP-species-notes": "" } } }

Product details

Patented technology
Our RabMAb® technology is a patented hybridoma-based technology for making rabbit monoclonal antibodies. For details on our patents, please refer to RabMAb® patents.

What are the advantages of a recombinant monoclonal antibody?
This product is a recombinant monoclonal antibody, which offers several advantages including:

  • - High batch-to-batch consistency and reproducibility
  • - Improved sensitivity and specificity
  • - Long-term security of supply
  • - Animal-free batch production

For more information, read more on recombinant antibodies.

Properties and storage information

Form
Liquid
Purification technique
Affinity purification Protein A
Storage buffer
pH: 7.2 - 7.4 Preservative: 0.01% Sodium azide Constituents: PBS, 40% Glycerol (glycerin, glycerine), 0.05% BSA
Shipped at conditions
Blue Ice
Appropriate short-term storage duration
1-2 weeks
Appropriate short-term storage conditions
+4°C
Appropriate long-term storage conditions
-20°C
Aliquoting information
Upon delivery aliquot
Storage information
Avoid freeze / thaw cycle

Supplementary information

This supplementary information is collated from multiple sources and compiled automatically.

The 5-HT4 receptor also known as 5-hydroxytryptamine receptor 4 is a G protein-coupled receptor (GPCR) that largely facilitates neurotransmission. Mechanically 5-HT4 receptors bind serotonin leading to the activation of adenylate cyclase which increases cellular levels of cyclic AMP. The 5-HT4 receptor has a molecular mass of approximately 40 kDa. It is widely expressed in the central nervous system such as in the brain as well as in peripheral tissues including the gastrointestinal tract and heart.
Biological function summary

The 5-HT4 receptor plays key roles in modulating brain processes related to memory and cognition and regulates gut motility. While the receptor acts independently it does not form part of larger receptor complexes. Its ability to influence neurotransmitter release makes it important for synaptic plasticity and smooth muscle contraction in the gastrointestinal tract.

Pathways

The 5-HT4 receptor is integral in the serotonergic signaling pathway which governs mood cognition and gastrointestinal function. Additionally the receptor interacts with downstream elements of the cyclic AMP signaling pathway linking to proteins such as protein kinase A that subsequently affect gene expression and modulation of ion channels.

The 5-HT4 receptor has connections with neurodegenerative diseases like Alzheimer’s disease and gastrointestinal disorders such as irritable bowel syndrome. Dysregulation of the receptor's signaling may lead to these conditions through interactions with proteins like tau in Alzheimer's disease or other neurotransmitter systems impacting gut motility disorders.

Product protocols

For this product, it's our understanding that no specific protocols are required. You can visit:

Target data

G-protein coupled receptor for 5-hydroxytryptamine (serotonin), a biogenic hormone that functions as a neurotransmitter, a hormone and a mitogen (PubMed : 10821780, PubMed : 16102731, PubMed : 35714614, PubMed : 9603189). Ligand binding causes a conformation change that triggers signaling via guanine nucleotide-binding proteins (G proteins) and modulates the activity of downstream effectors (PubMed : 16102731, PubMed : 35714614). HTR4 is coupled to G(s) G alpha proteins and mediates activation of adenylate cyclase activity (PubMed : 16102731, PubMed : 35714614).
See full target information HTR4

Product promise

We are committed to supporting your work with high-quality reagents, and we're here for you every step of the way. In the unlikely event that one of our products does not perform as expected, you're protected by our Product Promise.
For full details, please see our Terms & Conditions

Please note: All products are 'FOR RESEARCH USE ONLY. NOT FOR USE IN DIAGNOSTIC OR THERAPEUTIC PROCEDURES'.

For licensing inquiries, please contact partnerships@abcam.com