JavaScript is disabled in your browser. Please enable JavaScript to view this website.
AB315381

Anti-5HT6 Receptor antibody [EPR26400-50] - BSA and Azide free

  • BOND RX™ Validated
  • Recombinant
  • Advanced Validation
  • RabMAb
  • What is this?

Be the first to review this product! Submit a review

|

(0 Publication)

Rabbit Recombinant Monoclonal 5HT6 Receptor antibody. Carrier free. Suitable for mIHC, IHC-P, IHC-Fr and reacts with Rat, Mouse, Transfected cell line - Mouse samples.

View Alternative Names

5-hydroxytryptamine receptor 6, 5-HT-6, 5-HT6, Serotonin receptor 6, Htr6

15 Images
Immunohistochemistry (Formalin/PFA-fixed paraffin-embedded sections) - Anti-5HT6 Receptor antibody [EPR26400-50] - BSA and Azide free (AB315381)
  • IHC-P

Supplier Data

Immunohistochemistry (Formalin/PFA-fixed paraffin-embedded sections) - Anti-5HT6 Receptor antibody [EPR26400-50] - BSA and Azide free (AB315381)

This data was developed using ab315380, the same antibody clone in a different buffer formulation.

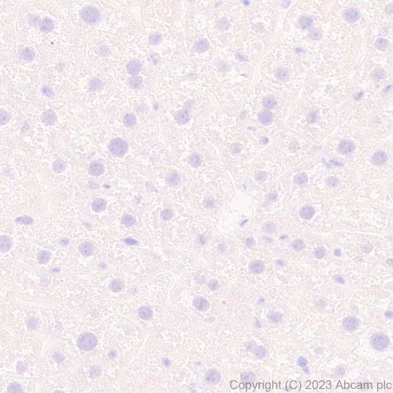
Immunohistochemical analysis of paraffin-embedded Mouse liver tissue labeling 5HT6 Receptor with ab315380 at 1/1000 (0.504 ug/ml) dilution, followed by a ready to use LeicaDS9800 (Bond™ Polymer Refine Detection).

Negative control : no staining in mouse liver. The section was incubated with ab315380 for 30 mins at room temperature. The immunostaining was performed on a Leica Biosystems BOND® RX instrument. Counterstained with Hematoxylin.

Secondary antibody only control : Secondary antibody is a ready to use LeicaDS9800 (Bond™ Polymer Refine Detection).

Heat mediated antigen retrieval was performed with Tris-EDTA buffer (pH 9.0, Epitope Retrieval Solution2) for 20 mins.

Immunohistochemistry (Formalin/PFA-fixed paraffin-embedded sections) - Anti-5HT6 Receptor antibody [EPR26400-50] - BSA and Azide free (AB315381)
  • IHC-P

Supplier Data

Immunohistochemistry (Formalin/PFA-fixed paraffin-embedded sections) - Anti-5HT6 Receptor antibody [EPR26400-50] - BSA and Azide free (AB315381)

This data was developed using ab315380, the same antibody clone in a different buffer formulation.

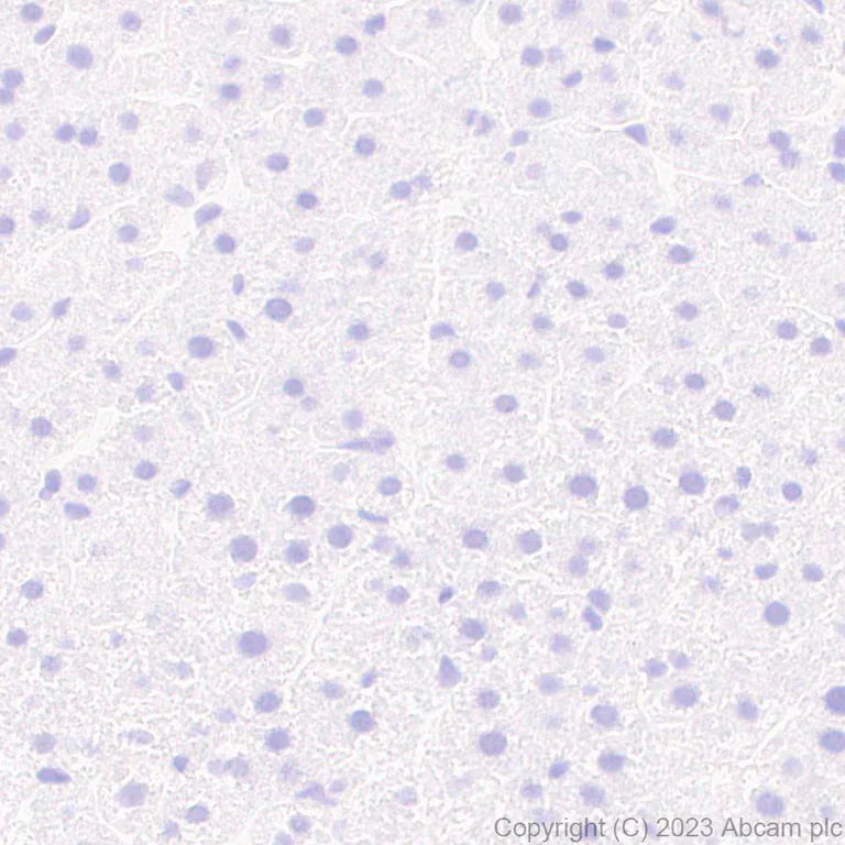
Immunohistochemical analysis of paraffin-embedded Rat liver tissue labeling 5HT6 Receptor with ab315380 at 1/1000 (0.504 ug/ml) dilution, followed by a ready to use LeicaDS9800 (Bond™ Polymer Refine Detection).

Negative control : no staining in rat liver. The section was incubated with ab315380 for 30 mins at room temperature. The immunostaining was performed on a Leica Biosystems BOND® RX instrument. Counterstained with Hematoxylin.

Secondary antibody only control : Secondary antibody is a ready to use LeicaDS9800 (Bond™ Polymer Refine Detection).

Heat mediated antigen retrieval was performed with Tris-EDTA buffer (pH 9.0, Epitope Retrieval Solution2) for 20 mins.

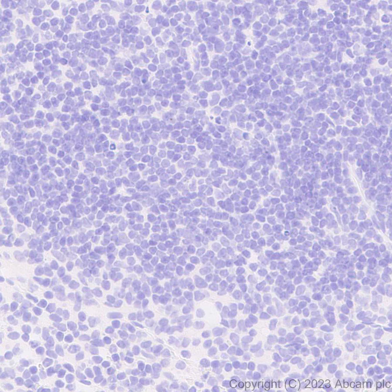
Immunohistochemistry (Formalin/PFA-fixed paraffin-embedded sections) - Anti-5HT6 Receptor antibody [EPR26400-50] - BSA and Azide free (AB315381)
  • IHC-P

Supplier Data

Immunohistochemistry (Formalin/PFA-fixed paraffin-embedded sections) - Anti-5HT6 Receptor antibody [EPR26400-50] - BSA and Azide free (AB315381)

This data was developed using ab315380, the same antibody clone in a different buffer formulation.

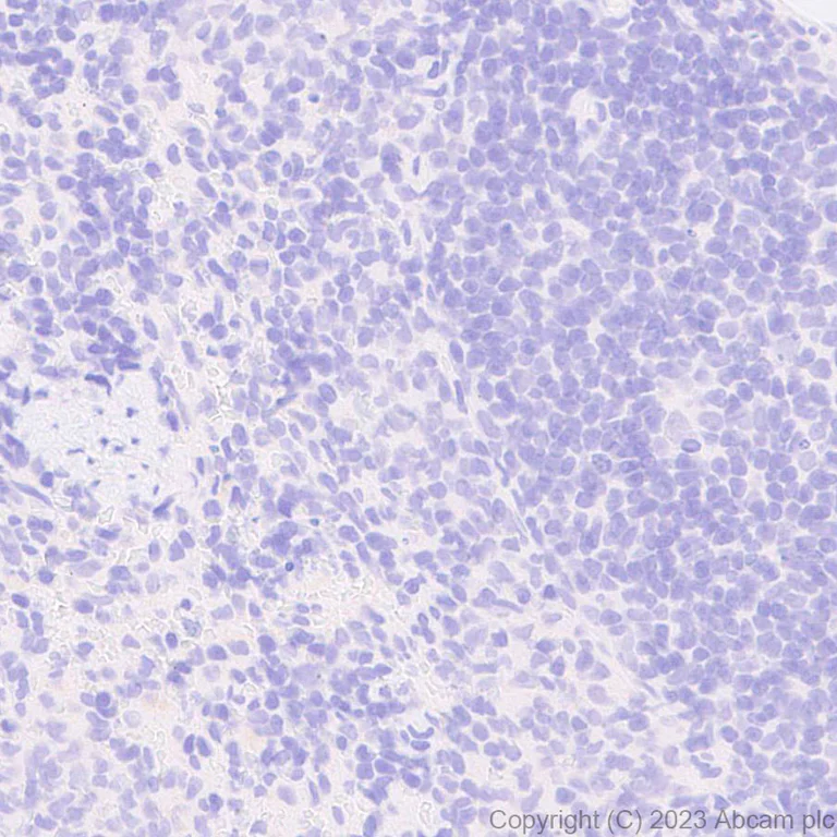
Immunohistochemical analysis of paraffin-embedded Rat spleen tissue labeling 5HT6 Receptor with ab315380 at 1/1000 (0.504 ug/ml) dilution, followed by a ready to use LeicaDS9800 (Bond™ Polymer Refine Detection).

Negative control : no staining in rat spleen. The section was incubated with ab315380 for 30 mins at room temperature. The immunostaining was performed on a Leica Biosystems BOND® RX instrument. Counterstained with Hematoxylin.

Secondary antibody only control : Secondary antibody is a ready to use LeicaDS9800 (Bond™ Polymer Refine Detection).

Heat mediated antigen retrieval was performed with Tris-EDTA buffer (pH 9.0, Epitope Retrieval Solution2) for 20 mins.

Immunohistochemistry (Formalin/PFA-fixed paraffin-embedded sections) - Anti-5HT6 Receptor antibody [EPR26400-50] - BSA and Azide free (AB315381)
  • IHC-P

Supplier Data

Immunohistochemistry (Formalin/PFA-fixed paraffin-embedded sections) - Anti-5HT6 Receptor antibody [EPR26400-50] - BSA and Azide free (AB315381)

This data was developed using ab315380, the same antibody clone in a different buffer formulation.

Immunohistochemical analysis of paraffin-embedded Mouse spleen tissue labeling 5HT6 Receptor with ab315380 at 1/1000 (0.504 ug/ml) dilution, followed by a ready to use LeicaDS9800 (Bond™ Polymer Refine Detection).

Negative control : no staining in mouse spleen. The section was incubated with ab315380 for 30 mins at room temperature. The immunostaining was performed on a Leica Biosystems BOND® RX instrument. Counterstained with Hematoxylin.

Secondary antibody only control : Secondary antibody is a ready to use LeicaDS9800 (Bond™ Polymer Refine Detection).

Heat mediated antigen retrieval was performed with Tris-EDTA buffer (pH 9.0, Epitope Retrieval Solution2) for 20 mins.

Immunohistochemistry (Frozen sections) - Anti-5HT6 Receptor antibody [EPR26400-50] - BSA and Azide free (AB315381)
  • IHC-Fr

Supplier Data

Immunohistochemistry (Frozen sections) - Anti-5HT6 Receptor antibody [EPR26400-50] - BSA and Azide free (AB315381)

This data was developed using ab315380, the same antibody clone in a different buffer formulation.

Immunohistochemical analysis of 4% PFA-fixed, 0.2% Triton X-100 permeabilized frozen Mouse liver (fresh frozen) tissue labeling 5HT6 Receptor with ab315380 at 1/50 (10.08 ug/ml) dilution followed by ab150081 Goat Anti-Rabbit IgG H&L (Alexa Fluor® 488) preadsorbed at 1/1000 2 ug/mL dilution (Green).

Negative control : confocal image showing no staining on mouse liver. The nuclear counterstain was DAPI (Blue). The section was incubated with ab315380 for 60 mins at room temperature. The section was then mounted using Fluoromount®. The immunostaining was performed on a Leica Biosystems BOND® RX instrument. Image was taken with a confocal microscope (Leica-Microsystems, TCS SP8). The nuclear counterstain was DAPI (Blue).

Secondary antibody control : Secondary antibody is ab150081 Goat Anti-Rabbit IgG H&L (Alexa Fluor® 488) preadsorbed at 1/1000 2 ug/mL dilution.

Immunohistochemistry (Frozen sections) - Anti-5HT6 Receptor antibody [EPR26400-50] - BSA and Azide free (AB315381)
  • IHC-Fr

Supplier Data

Immunohistochemistry (Frozen sections) - Anti-5HT6 Receptor antibody [EPR26400-50] - BSA and Azide free (AB315381)

This data was developed using ab315380, the same antibody clone in a different buffer formulation.

Immunohistochemical analysis of 4% PFA-fixed, 0.2% Triton X-100 permeabilized frozen Rat liver (fresh frozen) tissue labeling 5HT6 Receptor with ab315380 at 1/50 (10.08 ug/ml) dilution followed by ab150081 Goat Anti-Rabbit IgG H&L (Alexa Fluor® 488) preadsorbed at 1/1000 2 ug/mL dilution (Green).

Negative control : confocal image showing no staining on rat liver. The nuclear counterstain was DAPI (Blue). The section was incubated with ab315380 for 60 mins at room temperature. The section was then mounted using Fluoromount®. The immunostaining was performed on a Leica Biosystems BOND® RX instrument. Image was taken with a confocal microscope (Leica-Microsystems, TCS SP8). The nuclear counterstain was DAPI (Blue).

Secondary antibody control : Secondary antibody is ab150081 Goat Anti-Rabbit IgG H&L (Alexa Fluor® 488) preadsorbed at 1/1000 2 ug/mL dilution.

Immunohistochemistry (Formalin/PFA-fixed paraffin-embedded sections) - Anti-5HT6 Receptor antibody [EPR26400-50] - BSA and Azide free (AB315381)
  • IHC-P

Supplier Data

Immunohistochemistry (Formalin/PFA-fixed paraffin-embedded sections) - Anti-5HT6 Receptor antibody [EPR26400-50] - BSA and Azide free (AB315381)

This data was developed using ab315380, the same antibody clone in a different buffer formulation.

Immunohistochemical analysis of paraffin-embedded Mouse hippocampus tissue labeling 5HT6 Receptor with ab315380 at 1/1000 (0.504 ug/ml) dilution, followed by a ready to use LeicaDS9800 (Bond™ Polymer Refine Detection).

Positive staining in mouse hippocampus. The section was incubated with ab315380 for 30 mins at room temperature. The immunostaining was performed on a Leica Biosystems BOND® RX instrument. Counterstained with Hematoxylin.

Secondary antibody only control : Secondary antibody is a ready to use LeicaDS9800 (Bond™ Polymer Refine Detection).

Heat mediated antigen retrieval was performed with Tris-EDTA buffer (pH 9.0, Epitope Retrieval Solution2) for 20 mins.

Immunohistochemistry (Formalin/PFA-fixed paraffin-embedded sections) - Anti-5HT6 Receptor antibody [EPR26400-50] - BSA and Azide free (AB315381)
  • IHC-P

Supplier Data

Immunohistochemistry (Formalin/PFA-fixed paraffin-embedded sections) - Anti-5HT6 Receptor antibody [EPR26400-50] - BSA and Azide free (AB315381)

This data was developed using ab315380, the same antibody clone in a different buffer formulation.

Immunohistochemical analysis of paraffin-embedded Mouse cerebrum tissue labeling 5HT6 Receptor with ab315380 at 1/1000 (0.504 ug/ml) dilution, followed by a ready to use LeicaDS9800 (Bond™ Polymer Refine Detection).

Positive staining in mouse cerebrum, highly expressed in striatum. The section was incubated with ab315380 for 30 mins at room temperature. The immunostaining was performed on a Leica Biosystems BOND® RX instrument. Counterstained with Hematoxylin.

Secondary antibody only control : Secondary antibody is a ready to use LeicaDS9800 (Bond™ Polymer Refine Detection).

Heat mediated antigen retrieval was performed with Tris-EDTA buffer (pH 9.0, Epitope Retrieval Solution2) for 20 mins.

Immunohistochemistry (Formalin/PFA-fixed paraffin-embedded sections) - Anti-5HT6 Receptor antibody [EPR26400-50] - BSA and Azide free (AB315381)
  • IHC-P

Supplier Data

Immunohistochemistry (Formalin/PFA-fixed paraffin-embedded sections) - Anti-5HT6 Receptor antibody [EPR26400-50] - BSA and Azide free (AB315381)

This data was developed using ab315380, the same antibody clone in a different buffer formulation.

Immunohistochemical analysis of paraffin-embedded Rat hippocampus tissue labeling 5HT6 Receptor with ab315380 at 1/1000 (0.504 ug/ml) dilution, followed by a ready to use LeicaDS9800 (Bond™ Polymer Refine Detection).

Positive staining in rat hippocampus. The section was incubated with ab315380 for 30 mins at room temperature. The immunostaining was performed on a Leica Biosystems BOND® RX instrument. Counterstained with Hematoxylin.

Secondary antibody only control : Secondary antibody is a ready to use LeicaDS9800 (Bond™ Polymer Refine Detection).

Heat mediated antigen retrieval was performed with Tris-EDTA buffer (pH 9.0, Epitope Retrieval Solution2) for 20 mins.

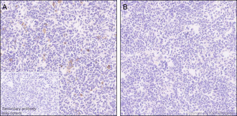
Immunohistochemistry (Formalin/PFA-fixed paraffin-embedded sections) - Anti-5HT6 Receptor antibody [EPR26400-50] - BSA and Azide free (AB315381)
  • IHC-P

Supplier Data

Immunohistochemistry (Formalin/PFA-fixed paraffin-embedded sections) - Anti-5HT6 Receptor antibody [EPR26400-50] - BSA and Azide free (AB315381)

This data was developed using ab315380, the same antibody clone in a different buffer formulation.

Immunohistochemical analysis of paraffin-embedded (A) HEK-293T (human embryonic kidney epithelial cell) transfected with a mouse HTR6 expression vector containing a his tag; (B) HEK-293T transfected with empty vector containing a his tag. tissue labeling 5HT6 Receptor with ab315380 at 1/1000 (0.504 ug/ml) dilution, followed by a ready to use LeicaDS9800 (Bond™ Polymer Refine Detection).

Positive staining in (A) HEK-293T transfected with a mouse HTR6 expression vector containing a his tag; No staining in (B) HEK-293T transfected with empty vector containing a his tag. The section was incubated with ab315380 for 30 mins at room temperature. The immunostaining was performed on a Leica Biosystems BOND® RX instrument. Counterstained with Hematoxylin.

Secondary antibody only control : Secondary antibody is a ready to use LeicaDS9800 (Bond™ Polymer Refine Detection).

Heat mediated antigen retrieval was performed with Tris-EDTA buffer (pH 9.0, Epitope Retrieval Solution2) for 20 mins.

Immunohistochemistry (Frozen sections) - Anti-5HT6 Receptor antibody [EPR26400-50] - BSA and Azide free (AB315381)
  • IHC-Fr

Supplier Data

Immunohistochemistry (Frozen sections) - Anti-5HT6 Receptor antibody [EPR26400-50] - BSA and Azide free (AB315381)

This data was developed using ab315380, the same antibody clone in a different buffer formulation.

Immunohistochemical analysis of 4% PFA-fixed, 0.2% Triton X-100 permeabilized frozen Mouse hippocampus (fresh frozen) tissue labeling 5HT6 Receptor with ab315380 at 1/50 (10.08 ug/ml) dilution followed by ab150081 Goat Anti-Rabbit IgG H&L (Alexa Fluor® 488) preadsorbed at 1/1000 2 ug/mL dilution (Green).

Panel A : merged staining of anti-5HT6 Receptor (ab315380, green), anti-NeuN (ab190565, grey) and anti-GFAP (ab201732, red) on mouse hippocampus. Panel B : anti-5HT6 Receptor stained on mouse hippocampus. Panel C : anti-NeuN stained in neurons of mouse hippocampus. Panel D : anti-GFAP stained in astrocytes of mouse hippocampus. The nuclear counterstain was DAPI (Blue). The section was incubated with ab315380 for 60 mins at room temperature. The section was then mounted using Fluoromount®. The immunostaining was performed on a Leica Biosystems BOND® RX instrument. Image was taken with a confocal microscope (Leica-Microsystems, TCS SP8). The nuclear counterstain was DAPI (Blue).

Secondary antibody control : Secondary antibody is ab150081 Goat Anti-Rabbit IgG H&L (Alexa Fluor® 488) preadsorbed at 1/1000 2 ug/mL dilution.

Immunohistochemistry (Frozen sections) - Anti-5HT6 Receptor antibody [EPR26400-50] - BSA and Azide free (AB315381)
  • IHC-Fr

Supplier Data

Immunohistochemistry (Frozen sections) - Anti-5HT6 Receptor antibody [EPR26400-50] - BSA and Azide free (AB315381)

This data was developed using ab315380, the same antibody clone in a different buffer formulation.

Immunohistochemical analysis of 4% PFA-fixed, 0.2% Triton X-100 permeabilized frozen Rat hippocampus (fresh frozen) tissue labeling 5HT6 Receptor with ab315380 at 1/50 (10.08 ug/ml) dilution followed by ab150081 Goat Anti-Rabbit IgG H&L (Alexa Fluor® 488) preadsorbed at 1/1000 2 ug/mL dilution (Green).

Panel A : merged staining of anti-5HT6 Receptor (ab315380, green), anti-NeuN (ab190565, grey) and anti-GFAP (ab201732, red) on rat hippocampus. Panel B : anti-5HT6 Receptor stained on rat hippocampus. Panel C : anti-NeuN stained in neurons of rat hippocampus. Panel D : anti-GFAP stained in astrocytes of rat hippocampus. The nuclear counterstain was DAPI (Blue). The section was incubated with ab315380 for 60 mins at room temperature. The section was then mounted using Fluoromount®. The immunostaining was performed on a Leica Biosystems BOND® RX instrument. Image was taken with a confocal microscope (Leica-Microsystems, TCS SP8). The nuclear counterstain was DAPI (Blue).

Secondary antibody control : Secondary antibody is ab150081 Goat Anti-Rabbit IgG H&L (Alexa Fluor® 488) preadsorbed at 1/1000 2 ug/mL dilution.

Multiplex immunohistochemistry - Anti-5HT6 Receptor antibody [EPR26400-50] - BSA and Azide free (AB315381)
  • mIHC

Lab

Multiplex immunohistochemistry - Anti-5HT6 Receptor antibody [EPR26400-50] - BSA and Azide free (AB315381)

This data was developed using ab315380, the same antibody clone in a different buffer formulation.

Multiplex immunohistochemistry analysis of formalin/PFA-fixed paraffin-embedded Rat hippocampus tissue staining SYNPR with ab314136 at a 1 : 8000 (0.06 ug/ml) dilution, BACE1 with ab263901 at 1 : 4000 (0.193 ug/ml) dilution and 5HT6 Receptor with ab315380 at a 1 : 1000 (0.504 ug/ml) dilution followed by secondary antibody Opal Polymer HRP Ms + Rb.

Panel A : merged staining of anti-SYNPR (green; Opal™520), anti-BACE1 (magenta;Opal™570) and anti-5HT6 Receptor (yellow;Opal™690) on rat hippocampus.
Panel B : anti-SYNPR staining the mossy fibers in rat hippocampus.
Panel C : anti-BACE1 staining the mossy fibers in rat hippocampus.
Panel D : anti-5HT6 Receptor staining the pyramidal neurons in rat hippocampus.
Nuclear DNA was labeled with DAPI (shown in blue).

The section was incubated in three rounds of staining : in the order of ab314136, ab263901 and ab315380 for 30 mins at room temperature. Each round was followed by a separate fluorescent tyramide signal amplification system.

The immunostaining was performed on a Leica Biosystems BOND® RX instrument with an Opal 4-color kit. Image acquisition was performed with Leica SP8 confocal microscope.

Heat mediated antigen retrieval with Tris-EDTA buffer (pH 9.0, epitope retrieval solution2) for 20 mins.

Multiplex immunohistochemistry - Anti-5HT6 Receptor antibody [EPR26400-50] - BSA and Azide free (AB315381)
  • mIHC

Lab

Multiplex immunohistochemistry - Anti-5HT6 Receptor antibody [EPR26400-50] - BSA and Azide free (AB315381)

This data was developed using ab315380, the same antibody clone in a different buffer formulation.

Multiplex immunohistochemistry analysis of formalin/PFA-fixed paraffin-embedded Mouse hippocampus tissue staining SYNPR with ab314136 at a 1 : 8000 (0.06 ug/ml) dilution, BACE1 with ab263901 at 1 : 4000 (0.193 ug/ml) dilution and 5HT6 Receptor with ab315380 at a 1 : 1000 (0.504 ug/ml) dilution followed by secondary antibody Opal Polymer HRP Ms + Rb.

Panel A : merged staining of anti-SYNPR (green; Opal™520), anti-BACE1 (magenta;Opal™570) and anti-5HT6 Receptor (yellow;Opal™690) on mouse hippocampus.
Panel B : anti-SYNPR staining the mossy fibers in mouse hippocampus.
Panel C : anti-BACE1 staining the mossy fibers in mouse hippocampus.
Panel D : anti-5HT6 Receptor staining the pyramidal neurons in mouse hippocampus.
Nuclear DNA was labeled with DAPI (shown in blue).

The section was incubated in three rounds of staining : in the order of ab314136, ab263901 and ab315380 for 30 mins at room temperature. Each round was followed by a separate fluorescent tyramide signal amplification system.

The immunostaining was performed on a Leica Biosystems BOND® RX instrument with an Opal 4-color kit. Image acquisition was performed with Leica SP8 confocal microscope.

Heat mediated antigen retrieval with Tris-EDTA buffer (pH 9.0, epitope retrieval solution2) for 20 mins.

Multiplex immunohistochemistry - Anti-5HT6 Receptor antibody [EPR26400-50] - BSA and Azide free (AB315381)
  • mIHC

Lab

Multiplex immunohistochemistry - Anti-5HT6 Receptor antibody [EPR26400-50] - BSA and Azide free (AB315381)

This data was developed using ab315380, the same antibody clone in a different buffer formulation.

Multiplex immunohistochemistry analysis of formalin/PFA-fixed paraffin-embedded Mouse hippocampus tissue staining SYNPR with ab314136 at a 1 : 8000 (0.06 ug/ml) dilution, WFS1 with ab259362 at 1 : 5000 (0.091 ug/ml) dilution and 5HT6 Receptor with ab315380 at a 1 : 1000 (0.504 ug/ml) dilution followed by secondary antibody Opal Polymer HRP Ms + Rb.

Panel A : merged staining of anti-SYNPR (yellow; Opal™520), anti-WFS1 (green;Opal™570) and anti-5HT6 Receptor (magenta;Opal™690) on mouse hippocampus.
Panel B : anti-SYNPR staining the mossy fibers in mouse hippocampus.
Panel C : anti-WFS1 staining the pyramidal neurons of CA1 in mouse hippocampus.
Panel D : anti-5HT6 Receptor staining the pyramidal neurons in mouse hippocampus.
Nuclear DNA was labeled with DAPI (shown in blue).

The section was incubated in three rounds of staining : in the order of ab314136, ab259362 and ab315380 for 30 mins at room temperature. Each round was followed by a separate fluorescent tyramide signal amplification system.

The immunostaining was performed on a Leica Biosystems BOND® RX instrument with an Opal 4-color kit. Image acquisition was performed with Leica SP8 confocal microscope.

Heat mediated antigen retrieval with Tris-EDTA buffer (pH 9.0, epitope retrieval solution2) for 20 mins.

Key facts

Host species

Rabbit

Clonality

Monoclonal

Clone number

EPR26400-50

Isotype

IgG

Carrier free

Yes

Reacts with

Mouse, Rat

Applications

mIHC, IHC-P, IHC-Fr

applications

Immunogen

The exact immunogen used to generate this antibody is proprietary information.

Reactivity data

{ "title": "Reactivity Data", "filters": { "stats": ["", "Species", "Dilution Info", "Notes"], "tabs": { "all-applications": {"fullname" : "All Applications", "shortname": "All Applications"}, "mIHC" : {"fullname" : "Multiplex immunohistochemistry", "shortname":"mIHC"}, "IHCP" : {"fullname" : "Immunohistochemistry (Formalin/PFA-fixed paraffin-embedded sections)", "shortname":"IHC-P"}, "IHCFr" : {"fullname" : "Immunohistochemistry (Frozen sections)", "shortname":"IHC-Fr"}, "WB" : {"fullname" : "Western blot", "shortname":"WB"}, "IP" : {"fullname" : "Immunoprecipitation", "shortname":"IP"}, "ICCIF" : {"fullname" : "Immunocytochemistry/ Immunofluorescence", "shortname":"ICC/IF"}, "FlowCytIntra" : {"fullname" : "Flow Cytometry (Intracellular)", "shortname":"Flow Cyt (Intra)"} }, "product-promise": { "all": "all", "testedAndGuaranteed": "tested", "guaranteed": "expected", "predicted": "predicted", "notRecommended": "not-recommended" } }, "values": { "Human": { "mIHC-species-checked": "notRecommended", "mIHC-species-dilution-info": "", "mIHC-species-notes": "", "IHCP-species-checked": "notRecommended", "IHCP-species-dilution-info": "", "IHCP-species-notes": "<p></p>", "IHCFr-species-checked": "notRecommended", "IHCFr-species-dilution-info": "", "IHCFr-species-notes": "", "WB-species-checked": "notRecommended", "WB-species-dilution-info": "", "WB-species-notes": "<p></p>", "IP-species-checked": "notRecommended", "IP-species-dilution-info": "", "IP-species-notes": "", "ICCIF-species-checked": "notRecommended", "ICCIF-species-dilution-info": "", "ICCIF-species-notes": "", "FlowCytIntra-species-checked": "notRecommended", "FlowCytIntra-species-dilution-info": "", "FlowCytIntra-species-notes": "" }, "Mouse": { "mIHC-species-checked": "testedAndGuaranteed", "mIHC-species-dilution-info": "", "mIHC-species-notes": "<p></p>", "IHCP-species-checked": "testedAndGuaranteed", "IHCP-species-dilution-info": "", "IHCP-species-notes": "<p></p>", "IHCFr-species-checked": "testedAndGuaranteed", "IHCFr-species-dilution-info": "", "IHCFr-species-notes": "<p></p>", "WB-species-checked": "notRecommended", "WB-species-dilution-info": "", "WB-species-notes": "<p></p>", "IP-species-checked": "notRecommended", "IP-species-dilution-info": "", "IP-species-notes": "<p></p>", "ICCIF-species-checked": "notRecommended", "ICCIF-species-dilution-info": "", "ICCIF-species-notes": "<p></p>", "FlowCytIntra-species-checked": "notRecommended", "FlowCytIntra-species-dilution-info": "", "FlowCytIntra-species-notes": "<p></p>" }, "Rat": { "mIHC-species-checked": "testedAndGuaranteed", "mIHC-species-dilution-info": "", "mIHC-species-notes": "<p></p>", "IHCP-species-checked": "testedAndGuaranteed", "IHCP-species-dilution-info": "", "IHCP-species-notes": "<p></p>", "IHCFr-species-checked": "testedAndGuaranteed", "IHCFr-species-dilution-info": "", "IHCFr-species-notes": "<p></p>", "WB-species-checked": "notRecommended", "WB-species-dilution-info": "", "WB-species-notes": "<p></p>", "IP-species-checked": "notRecommended", "IP-species-dilution-info": "", "IP-species-notes": "", "ICCIF-species-checked": "notRecommended", "ICCIF-species-dilution-info": "", "ICCIF-species-notes": "<p></p>", "FlowCytIntra-species-checked": "notRecommended", "FlowCytIntra-species-dilution-info": "", "FlowCytIntra-species-notes": "<p></p>" }, "Transfected cell line - Mouse": { "mIHC-species-checked": "notRecommended", "mIHC-species-dilution-info": "", "mIHC-species-notes": "", "IHCP-species-checked": "testedAndGuaranteed", "IHCP-species-dilution-info": "", "IHCP-species-notes": "<p></p>", "IHCFr-species-checked": "notRecommended", "IHCFr-species-dilution-info": "", "IHCFr-species-notes": "", "WB-species-checked": "notRecommended", "WB-species-dilution-info": "", "WB-species-notes": "", "IP-species-checked": "notRecommended", "IP-species-dilution-info": "", "IP-species-notes": "", "ICCIF-species-checked": "notRecommended", "ICCIF-species-dilution-info": "", "ICCIF-species-notes": "", "FlowCytIntra-species-checked": "notRecommended", "FlowCytIntra-species-dilution-info": "", "FlowCytIntra-species-notes": "" } } }

Product details

ab315381 is the carrier-free version of ab315380.

Patented technology
Our RabMAb® technology is a patented hybridoma-based technology for making rabbit monoclonal antibodies. For details on our patents, please refer to RabMAb® patents.

What are the advantages of a recombinant monoclonal antibody?
This product is a recombinant monoclonal antibody, which offers several advantages including:

  • - High batch-to-batch consistency and reproducibility
  • - Improved sensitivity and specificity
  • - Long-term security of supply
  • - Animal-free batch production

For more information, read more on recombinant antibodies.

Conjugation ready
Our carrier-free antibodies are typically supplied in a PBS-only formulation, purified and free of BSA, sodium azide and glycerol. This conjugation-ready format is designed for use with fluorochromes, metal isotopes, oligonucleotides, and enzymes, which makes them ideal for antibody labelling, functional and cell-based assays, flow-based assays (e.g. mass cytometry) and Multiplex Imaging applications.

Use our conjugation kits for antibody conjugates that are ready-to-use in as little as 20 minutes with 1 minute hands-on-time and 100% antibody recovery: available for fluorescent dyes, HRP, biotin and gold.

Compatibility
This product is compatible with the Maxpar® Antibody Labeling Kit from Fluidigm, without the need for antibody preparation. Maxpar® is a trademark of Fluidigm Canada Inc.

Properties and storage information

Form
Liquid
Purification technique
Affinity purification Protein A
Storage buffer
pH: 7.2 - 7.4 Constituents: PBS
Shipped at conditions
Blue Ice
Appropriate short-term storage conditions
+4°C
Appropriate long-term storage conditions
+4°C

Supplementary information

This supplementary information is collated from multiple sources and compiled automatically.

The 5HT6 receptor also known as 5-hydroxytryptamine receptor 6 is a protein with a molecular mass of approximately 45 kDa. It is a G protein-coupled receptor (GPCR) that primarily binds serotonin and is expressed in the brain mainly in regions like the striatum olfactory tubercle and hippocampus. The receptor's mechanical role involves modulating neurotransmitter release and neuronal excitability which influences cognitive processes such as learning and memory.
Biological function summary

The 5HT6 receptor plays an integral role in modulating serotonergic transmission in the central nervous system. While it does not form a complex with other proteins its activity influences several neurotransmitter systems including dopamine and glutamate. By regulating these systems the receptor supports cognitive functions and affects mood regulation highlighting its significance in neuropsychological processes.

Pathways

The 5HT6 receptor holds a role in the serotonergic neurotransmission pathway and the receptor-mediated phosphoinositide pathway. It interacts with key proteins such as the adenylyl cyclase influencing cAMP accumulation and downstream signaling processes that impact synaptic plasticity and neurodevelopment. Its interaction with other receptors such as dopamine D2 receptors further defines its involvement in complex neuromodulatory networks.

The 5HT6 receptor links to neurological and psychiatric conditions like Alzheimer's disease and schizophrenia. Dysregulation of 5HT6 activity is associated with cognitive deficits and an altered mood where it also interacts with amyloid precursor protein (APP) and histamine H3 receptors respectively. Therapeutics targeting 5HT6 are under investigation for their potential to alleviate symptoms or modify disease progression in these disorders.

Product protocols

For this product, it's our understanding that no specific protocols are required. You can visit:

Target data

G-protein coupled receptor for 5-hydroxytryptamine (serotonin), a biogenic hormone that functions as a neurotransmitter, a hormone and a mitogen (PubMed : 11406289). Also has a high affinity for tricyclic psychotropic drugs (By similarity). Ligand binding causes a conformation change that triggers signaling via guanine nucleotide-binding proteins (G proteins) and modulates the activity of downstream effectors. HTR6 is coupled to G(s) G alpha proteins and mediates activation of adenylate cyclase activity (By similarity). Controls pyramidal neurons migration during corticogenesis, through the regulation of CDK5 activity (PubMed : 25078650). Is an activator of mTOR signaling (PubMed : 23027611).
See full target information Htr6

Product promise

We are committed to supporting your work with high-quality reagents, and we're here for you every step of the way. In the unlikely event that one of our products does not perform as expected, you're protected by our Product Promise.
For full details, please see our Terms & Conditions

Please note: All products are 'FOR RESEARCH USE ONLY. NOT FOR USE IN DIAGNOSTIC OR THERAPEUTIC PROCEDURES'.

For licensing inquiries, please contact partnerships@abcam.com