JavaScript is disabled in your browser. Please enable JavaScript to view this website.
AB201711

Anti-5T4 antibody [EPR5529] - BSA and Azide free

Be the first to review this product! Submit a review

|

(1 Publication)

Rabbit Recombinant Monoclonal 5T4 antibody. Carrier free. Suitable for WB, IHC-P and reacts with Human samples. Cited in 1 publication.

View Alternative Names

5T4, TPBG, Trophoblast glycoprotein, 5T4 oncofetal antigen, 5T4 oncofetal trophoblast glycoprotein, M6P1, Wnt-activated inhibitory factor 1, 5T4 oncotrophoblast glycoprotein, WAIF1

9 Images
Immunohistochemistry (Formalin/PFA-fixed paraffin-embedded sections) - Anti-5T4 antibody [EPR5529] - BSA and Azide free (AB201711)
  • IHC-P

Lab

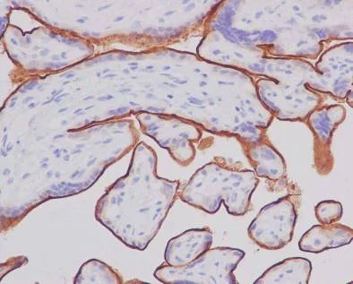
Immunohistochemistry (Formalin/PFA-fixed paraffin-embedded sections) - Anti-5T4 antibody [EPR5529] - BSA and Azide free (AB201711)

Immunohistochemistry (Formalin/PFA-fixed paraffin-embedded sections) analysis of human placenta tissue labelling 5T4 with purified ab134162 at 1/1000. Heat mediated antigen retrieval was performed using Tris/EDTA buffer pH 9. A prediluted HRP-polymer conjugated anti-rabbit IgG was used as the secondary antibody. Negative control using PBS instead of primary antibody. Counterstained with hematoxylin.

This data was developed using the same antibody clone in a different buffer formulation containing PBS, BSA, glycerol, and sodium azide (ab134162).

Immunohistochemistry (Formalin/PFA-fixed paraffin-embedded sections) - Anti-5T4 antibody [EPR5529] - BSA and Azide free (AB201711)
  • IHC-P

Lab

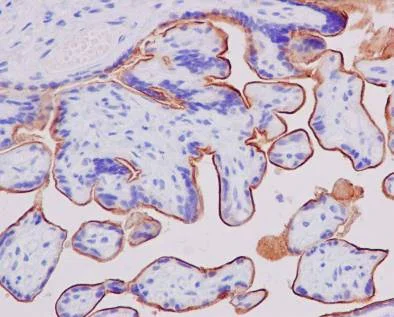
Immunohistochemistry (Formalin/PFA-fixed paraffin-embedded sections) - Anti-5T4 antibody [EPR5529] - BSA and Azide free (AB201711)

Immunohistochemical staining using ab134162 on paraffin embedded human placenta tissue.

This data was developed using the same antibody clone in a different buffer formulation containing PBS, BSA, glycerol, and sodium azide (ab134162).

Immunohistochemistry (Formalin/PFA-fixed paraffin-embedded sections) - Anti-5T4 antibody [EPR5529] - BSA and Azide free (AB201711)
  • IHC-P

Lab

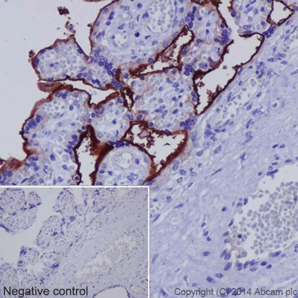
Immunohistochemistry (Formalin/PFA-fixed paraffin-embedded sections) - Anti-5T4 antibody [EPR5529] - BSA and Azide free (AB201711)

Immunohistochemistry (Formalin/PFA-fixed paraffin-embedded sections) analysis of human placenta tissue labelling 5T4 with unpurified ab134162 at 1/100. Heat mediated antigen retrieval was performed using Tris/EDTA buffer pH 9. A prediluted HRP-polymer conjugated anti-rabbit IgG was used as the secondary antibody. Negative control using PBS instead of primary antibody. Counterstained with hematoxylin.

This data was developed using the same antibody clone in a different buffer formulation containing PBS, BSA, glycerol, and sodium azide (ab134162).

Immunohistochemistry (Formalin/PFA-fixed paraffin-embedded sections) - Anti-5T4 antibody [EPR5529] - BSA and Azide free (AB201711)
  • IHC-P

Lab

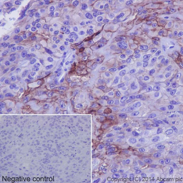
Immunohistochemistry (Formalin/PFA-fixed paraffin-embedded sections) - Anti-5T4 antibody [EPR5529] - BSA and Azide free (AB201711)

Immunohistochemical staining using ab134162 on paraffin embedded human endometrial cancer.

This data was developed using the same antibody clone in a different buffer formulation containing PBS, BSA, glycerol, and sodium azide (ab134162).

Western blot - Anti-5T4 antibody [EPR5529] - BSA and Azide free (AB201711)
  • WB

Unknown

Western blot - Anti-5T4 antibody [EPR5529] - BSA and Azide free (AB201711)

This data was developed using ab134162, the same antibody clone in a different buffer formulation :

Blocking buffer and concentration : 5% NFDM/TBST.

Diluting buffer and concentration : 5% NFDM /TBST.

All lanes:

Western blot - Anti-5T4 antibody [EPR5529] - BSA and Azide free (ab201711) at 1/5000 dilution

All lanes:

HT-29 cell lysate at 20 µg

Secondary

All lanes:

Peroxidase conjugated goat anti-rabbit IgG (H+L) at 1/1000 dilution

Predicted band size: 46 kDa

Observed band size: 72-80 kDa

false

Western blot - Anti-5T4 antibody [EPR5529] - BSA and Azide free (AB201711)
  • WB

Unknown

Western blot - Anti-5T4 antibody [EPR5529] - BSA and Azide free (AB201711)

This data was developed using ab134162, the same antibody clone in a different buffer formulation.

All lanes:

Western blot - Anti-5T4 antibody [EPR5529] - BSA and Azide free (ab201711) at 1/500 dilution

All lanes:

HT-29 cell lysate at 20 µg

Secondary

All lanes:

Peroxidase conjugated goat anti-rabbit IgG (H+L) at 1/1000 dilution

Predicted band size: 46 kDa

Observed band size: 72-80 kDa

false

Western blot - Anti-5T4 antibody [EPR5529] - BSA and Azide free (AB201711)
  • WB

Lab

Western blot - Anti-5T4 antibody [EPR5529] - BSA and Azide free (AB201711)

This data was developed using the same antibody clone in a different buffer formulation (ab134162).

Lanes 1 - 4 : Merged signal (red and green). Green - ab134162 observed at 85 kDa. Red - loading control ab8245 (Mouse anti-GAPDH antibody [6C5]) observed at 37 kDa.

ab134162 was shown to react with 5T4 in wild-type MCF7 cells in Western blot with loss of signal observed in TPBG knockout cell line ab269499 (knockout cell lysate ab269661). Wild-type MCF7 and TPBG knockout cell lysates were subjected to SDS-PAGE. Membranes were blocked in before incubation with ab134162 and ab8245 (Mouse anti-GAPDH antibody [6C5]) overnight at 4 °C at a 1 in 1000 dilution and a 1 in 20000 dilution respectively. Blots were incubated with Goat anti-Rabbit IgG H&L (IRDye® 800CW) preabsorbed (ab216773) and Goat anti-Mouse IgG H&L (IRDye® 680RD) preabsorbed (ab216776) secondary antibodies at 1 in 20000 dilution for 1 h at room temperature before imaging.

All lanes:

Western blot - Anti-5T4 antibody [EPR5529] (<a href='/en-us/products/primary-antibodies/5t4-antibody-epr5529-ab134162'>ab134162</a>) at 1/1000 dilution

Lane 1:

Wild-type MCF7 (Human breast adenocarcinoma cell line) whole cell lysate at 20 µg

Lane 2:

TPBG knockout MCF7 (Human breast adenocarcinoma cell line) whole cell lysate at 20 µg

Lane 2:

Western blot - Human TPBG knockout MCF7 cell line (<a href='/en-us/products/cell-lines/human-tpbg-knockout-mcf7-cell-line-ab269499'>ab269499</a>)

Lane 3:

HeLa (Human epithelial cell line from cervix adenocarcinoma) whole cell lysate at 20 µg

Lane 4:

HEK-293T (Human epithelial cell line from embryonic kidney transformed with large T antigen) whole cell lysate at 20 µg

Predicted band size: 46 kDa

Observed band size: 85 kDa

false

Western blot - Anti-5T4 antibody [EPR5529] - BSA and Azide free (AB201711)
  • WB

Unknown

Western blot - Anti-5T4 antibody [EPR5529] - BSA and Azide free (AB201711)

This data was developed using ab134162, the same antibody clone in a different buffer formulation

All lanes:

Western blot - Anti-5T4 antibody [EPR5529] (<a href='/en-us/products/primary-antibodies/5t4-antibody-epr5529-ab134162'>ab134162</a>) at 1/1000 dilution

Lane 1:

HT-29 cell lysates at 10 µg

Lane 2:

HT-1376 cell lysates at 10 µg

Lane 3:

Caco-2 cell lysates at 10 µg

Secondary

All lanes:

HRP labelled goat anti-rabbit at 1/2000 dilution

Predicted band size: 46 kDa

false

OI-RD Scanning - Anti-5T4 antibody [EPR5529] - BSA and Azide free (AB201711)
  • OI-RD Scanning

Unknown

OI-RD Scanning - Anti-5T4 antibody [EPR5529] - BSA and Azide free (AB201711)

We have systematically measured KD (the equilibrium dissociation constant between the antibody and its antigen), of more than 840 recombinant antibodies to assess not only their individual KD values but also to see the average affinity of antibody. Based on the comparison with published literature values for mouse monoclonal antibodies, Recombinant antibodies appear to be on average 1-2 order of magnitude higher affinity.

Key facts

Host species

Rabbit

Clonality

Monoclonal

Clone number

EPR5529

Isotype

IgG

Carrier free

Yes

Reacts with

Human

Applications

IHC-P, WB

applications

Immunogen

The exact immunogen used to generate this antibody is proprietary information.

Reactivity data

{ "title": "Reactivity Data", "filters": { "stats": ["", "Species", "Dilution Info", "Notes"], "tabs": { "all-applications": {"fullname" : "All Applications", "shortname": "All Applications"}, "IP" : {"fullname" : "Immunoprecipitation", "shortname":"IP"}, "FlowCyt" : {"fullname" : "Flow Cytometry", "shortname":"Flow Cyt"}, "WB" : {"fullname" : "Western blot", "shortname":"WB"}, "ICCIF" : {"fullname" : "Immunocytochemistry/ Immunofluorescence", "shortname":"ICC/IF"}, "IHCP" : {"fullname" : "Immunohistochemistry (Formalin/PFA-fixed paraffin-embedded sections)", "shortname":"IHC-P"} }, "product-promise": { "all": "all", "testedAndGuaranteed": "tested", "guaranteed": "expected", "predicted": "predicted", "notRecommended": "not-recommended" } }, "values": { "Human": { "IP-species-checked": "notRecommended", "IP-species-dilution-info": "", "IP-species-notes": "<p></p>", "FlowCyt-species-checked": "notRecommended", "FlowCyt-species-dilution-info": "", "FlowCyt-species-notes": "<p><a href='/en-us/products/primary-antibodies/rabbit-igg-monoclonal-epr25a-isotype-control-low-endotoxin-azide-free-ab199376'>ab199376</a> - Rabbit monoclonal IgG, is suitable for use as an isotype control with this antibody.</p>", "WB-species-checked": "testedAndGuaranteed", "WB-species-dilution-info": "", "WB-species-notes": "<p></p>", "ICCIF-species-checked": "notRecommended", "ICCIF-species-dilution-info": "", "ICCIF-species-notes": "<p></p>", "IHCP-species-checked": "testedAndGuaranteed", "IHCP-species-dilution-info": "", "IHCP-species-notes": "<p></p>" } } }

Product details

ab201711 is the carrier-free version of ab134162.

Species reactivity
Mouse, Rat: We have preliminary internal testing data to indicate this antibody may not react with these species.
Please contact us for more information.

Patented technology
Our RabMAb® technology is a patented hybridoma-based technology for making rabbit monoclonal antibodies. For details on our patents, please refer to RabMAb® patents.

What are the advantages of a recombinant monoclonal antibody?
This product is a recombinant monoclonal antibody, which offers several advantages including:

  • - High batch-to-batch consistency and reproducibility
  • - Improved sensitivity and specificity
  • - Long-term security of supply
  • - Animal-free batch production

For more information, read more on recombinant antibodies.

Conjugation ready
Our carrier-free antibodies are typically supplied in a PBS-only formulation, purified and free of BSA, sodium azide and glycerol. This conjugation-ready format is designed for use with fluorochromes, metal isotopes, oligonucleotides, and enzymes, which makes them ideal for antibody labelling, functional and cell-based assays, flow-based assays (e.g. mass cytometry) and Multiplex Imaging applications.

Use our conjugation kits for antibody conjugates that are ready-to-use in as little as 20 minutes with 1 minute hands-on-time and 100% antibody recovery: available for fluorescent dyes, HRP, biotin and gold.

Compatibility
This product is compatible with the Maxpar® Antibody Labeling Kit from Fluidigm, without the need for antibody preparation. Maxpar® is a trademark of Fluidigm Canada Inc.

Properties and storage information

Form
Liquid
Purification technique
Affinity purification Protein A
Storage buffer
pH: 7.2 - 7.4 Constituents: PBS
Shipped at conditions
Blue Ice
Appropriate short-term storage conditions
+4°C
Appropriate long-term storage conditions
+4°C
Storage information
Do Not Freeze

Supplementary information

This supplementary information is collated from multiple sources and compiled automatically.

The 5T4 protein also known as trophoblast glycoprotein or B3F1 is a cell surface antigen with a mass of approximately 72 kDa. It is encoded by the TPBG gene and expresses mainly in embryonic tissues and various cancers with limited expression in normal adult tissues. The 5T4 protein is characterized by a densely glycosylated structure contributing to its role in cellular processes like adhesion and migration.
Biological function summary

5T4 is involved in processes associated with embryonic development and cellular mobility. It contributes to the epithelial-to-mesenchymal transition (EMT) which is a critical process in both normal development and cancer metastasis. Although 5T4 is not part of a known specific complex its glycoprotein nature allows interaction with the extracellular matrix and other cell surface proteins influencing cell behavior and morphology.

Pathways

5T4 plays a part in signaling pathways involved in cell migration and invasion such as the Wnt/β-catenin pathway and TGF-β signaling. In the context of the Wnt/β-catenin pathway 5T4 interacts with proteins like β-catenin influencing cell proliferation and survival. Through its involvement in TGF-β signaling 5T4 can impact cell differentiation processes and regulatory mechanisms often linking to other proteins such as SMAD family members within these pathways.

5T4 is associated with cancer particularly in its role in promoting metastasis. Its expression is notably increased in several carcinomas including breast and colorectal cancers. The elevated levels of 5T4 in tumors correlate with poorer prognosis making it a potential target for cancer therapies. Additionally 5T4 has connections to proteins such as MMPs (matrix metalloproteinases) which facilitate tissue remodeling and metastatic spread highlighting its significance in cancer progression.

Product protocols

For this product, it's our understanding that no specific protocols are required. You can visit:

Target data

May function as an inhibitor of Wnt/beta-catenin signaling by indirectly interacting with LRP6 and blocking Wnt3a-dependent LRP6 internalization.
See full target information TPBG

Publications (1)

Recent publications for all applications. Explore the full list and refine your search

Advanced science (Weinheim, Baden-Wurttemberg, Germany) 12:e02838 PubMed40548932

2025

CD74 Blockade Disrupts Endothelial Migrasome Signaling to Prevent Inflammatory Macrophage Differentiation and Inhibit Atherosclerotic Progression.

Applications

Unspecified application

Species

Unspecified reactive species

Kangnan Zhang,Jiong Chen,Zhenhua Zhu,Hong Hu,Qinghui Zhang,Rongrong Jia,Na Wang,Shihao Xiang,Yong Zhou,Yuehong Wang,Ling Xu
View all publications

Product promise

We are committed to supporting your work with high-quality reagents, and we're here for you every step of the way. In the unlikely event that one of our products does not perform as expected, you're protected by our Product Promise.
For full details, please see our Terms & Conditions

Please note: All products are 'FOR RESEARCH USE ONLY. NOT FOR USE IN DIAGNOSTIC OR THERAPEUTIC PROCEDURES'.

For licensing inquiries, please contact partnerships@abcam.com