JavaScript is disabled in your browser. Please enable JavaScript to view this website.
AB240075

Anti-67kDa Laminin Receptor antibody [EPR8469] - BSA and Azide free

Be the first to review this product! Submit a review

|

(1 Publication)

Rabbit Recombinant Monoclonal 67kDa Laminin Receptor antibody. Carrier free. Suitable for IHC-P, IP, WB, ICC/IF, Flow Cyt (Intra) and reacts with Human, Mouse, Rat samples. Cited in 1 publication.

View Alternative Names

LAMBR, LAMR1, RPSA, Small ribosomal subunit protein uS2, 37 kDa laminin receptor precursor, 37/67 kDa laminin receptor, 40S ribosomal protein SA, 67 kDa laminin receptor, Colon carcinoma laminin-binding protein, Laminin receptor 1, Laminin-binding protein precursor p40, Multidrug resistance-associated protein MGr1-Ag, NEM/1CHD4, 37LRP, LRP/LR, 67LR, LamR, LBP/p40

10 Images
Immunohistochemistry (Formalin/PFA-fixed paraffin-embedded sections) - Anti-67kDa Laminin Receptor antibody [EPR8469] - BSA and Azide free (AB240075)
  • IHC-P

Unknown

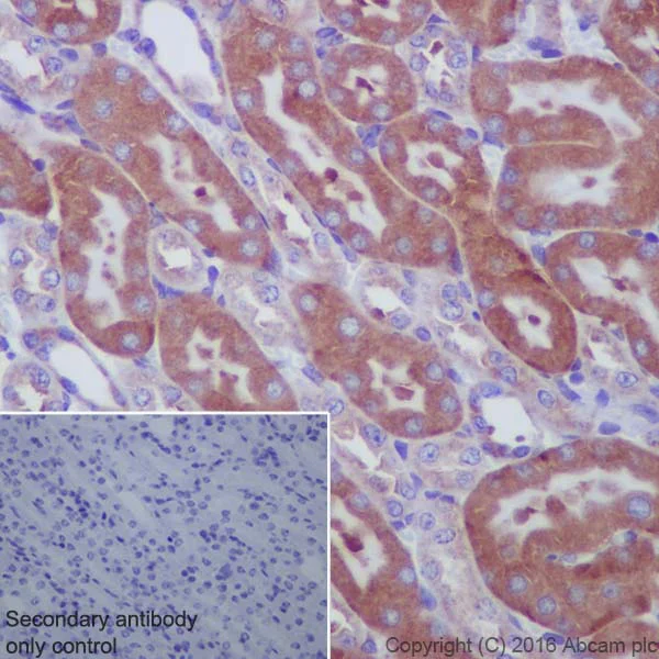
Immunohistochemistry (Formalin/PFA-fixed paraffin-embedded sections) - Anti-67kDa Laminin Receptor antibody [EPR8469] - BSA and Azide free (AB240075)

Immunohistochemical analysis of paraffin-embedded Human kidney tissue labellig 67kDa Laminin Receptor with ab133645 at 1/100 dilution.

This data was developed using the same antibody clone in a different buffer formulation containing PBS, BSA, glycerol, and sodium azide (ab133645).

Perform heat mediated antigen retrieval with citrate buffer pH 6 before commencing with IHC staining protocol.

Immunohistochemistry (Formalin/PFA-fixed paraffin-embedded sections) - Anti-67kDa Laminin Receptor antibody [EPR8469] - BSA and Azide free (AB240075)
  • IHC-P

Lab

Immunohistochemistry (Formalin/PFA-fixed paraffin-embedded sections) - Anti-67kDa Laminin Receptor antibody [EPR8469] - BSA and Azide free (AB240075)

ab133645 staining 67kDa Laminin Receptor in human gastric carcinoma tissue sections by Immunohistochemistry (IHC-P - paraformaldehyde-fixed, paraffin-embedded sections). Tissue was fixed with paraformaldehyde and antigen retrieval was by heat mediation in a EDTA buffer. Samples were incubated with primary antibody at a dilution of 1/100. A goat anti-rabbit IgG H&L (HRP) ab97051 was used as the secondary antibody at a dilution of 1/500.

Negative control 1 : PBS in place of primary antibody.

This data was developed using the same antibody clone in a different buffer formulation containing PBS, BSA, glycerol, and sodium azide (ab133645).

Immunohistochemistry (Formalin/PFA-fixed paraffin-embedded sections) - Anti-67kDa Laminin Receptor antibody [EPR8469] - BSA and Azide free (AB240075)
  • IHC-P

Unknown

Immunohistochemistry (Formalin/PFA-fixed paraffin-embedded sections) - Anti-67kDa Laminin Receptor antibody [EPR8469] - BSA and Azide free (AB240075)

Immunohistochemical analysis of paraffin-embedded Human breast tissue labelling 67kDa Laminin Receptor with ab133645 at 1/100 dilution.

This data was developed using the same antibody clone in a different buffer formulation containing PBS, BSA, glycerol, and sodium azide (ab133645).

Perform heat mediated antigen retrieval with citrate buffer pH 6 before commencing with IHC staining protocol.

Flow Cytometry (Intracellular) - Anti-67kDa Laminin Receptor antibody [EPR8469] - BSA and Azide free (AB240075)
  • Flow Cyt (Intra)

Lab

Flow Cytometry (Intracellular) - Anti-67kDa Laminin Receptor antibody [EPR8469] - BSA and Azide free (AB240075)

ab133645 staining 67kDa Laminin Receptor in the human cell line MCF7 (Human breast adenocarcinoma cell line) by intracellular flow cytometry. Cells were fixed with 4% paraformaldehyde and the sample was incubated with the primary antibody at a dilution of 1/20. A goat anti rabbit IgG (Alexa Fluor® 488) at a dilution of 1/2000 was used as the secondary antibody.

Isoytype control : Rabbit monoclonal IgG (Black)

Unlabelled control : Cell without incubation with primary antibody and secondary antibody (Blue)

This data was developed using the same antibody clone in a different buffer formulation containing PBS, BSA, glycerol, and sodium azide (ab133645).

Immunocytochemistry/ Immunofluorescence - Anti-67kDa Laminin Receptor antibody [EPR8469] - BSA and Azide free (AB240075)
  • ICC/IF

Lab

Immunocytochemistry/ Immunofluorescence - Anti-67kDa Laminin Receptor antibody [EPR8469] - BSA and Azide free (AB240075)

ab133645 staining 67kDa Laminin Receptor in HeLa (human cervix adenocarcinoma) cells by ICC/IF (Immunocytochemistry/immunofluorescence). Cells were fixed with 4% Paraformaldehyde and permeabilized with 0.1% Triton X-100. Samples were incubated with primary antibody at a dilution of 1/250. A goat anti rabbit IgG (Alexa Fluor® 488) (ab150077) was used as the secondary antibody at a dilution of 1/1000. ab195889 was used as a counterstain for primary antibody ab133645 at 1/2000. DAPI was used as a nuclear counterstain and PBS as a negative control.

This data was developed using the same antibody clone in a different buffer formulation containing PBS, BSA, glycerol, and sodium azide (ab133645).

Flow Cytometry (Intracellular) - Anti-67kDa Laminin Receptor antibody [EPR8469] - BSA and Azide free (AB240075)
  • Flow Cyt (Intra)

Unknown

Flow Cytometry (Intracellular) - Anti-67kDa Laminin Receptor antibody [EPR8469] - BSA and Azide free (AB240075)

Overlay histogram showing MCF7 cells stained with ab133645 (red line). The cells were fixed with 4% paraformaldehyde (10 min) and then permeabilized with 0.1% PBS-Tween for 20 min. The cells were then incubated in 1x PBS / 10% normal goat serum / 0.3M glycine to block non-specific protein-protein interactions followed by the antibody (ab133645, 1/1000 dilution) for 30 min at 22°C. The secondary antibody used was Alexa Fluor® 488 goat anti-rabbit IgG (H&L) (ab150077) at 1/2000 dilution for 30 min at 22°C. Isotype control antibody (black line) was rabbit IgG (monoclonal) (0.1μg/1x106 cells) used under the same conditions. Unlabelled sample (blue line) was also used as a control. Acquisition of >5,000 events were collected using a 20mW Argon ion laser (488nm) and 525/30 bandpass filter. This antibody gave a positive signal in MCF7 cells fixed with 80% methanol (5 min)/permeabilized with 0.1% PBS-Tween for 20 min used under the same conditions. This data was developed using the same antibody clone in a different buffer formulation containing PBS, BSA, glycerol, and sodium azide (ab133645).

Immunohistochemistry (Formalin/PFA-fixed paraffin-embedded sections) - Anti-67kDa Laminin Receptor antibody [EPR8469] - BSA and Azide free (AB240075)
  • IHC-P

Lab

Immunohistochemistry (Formalin/PFA-fixed paraffin-embedded sections) - Anti-67kDa Laminin Receptor antibody [EPR8469] - BSA and Azide free (AB240075)

ab133645 staining Prohibitin in mouse kidney tissue sections by Immunohistochemistry (IHC-P - paraformaldehyde-fixed, paraffin-embedded sections). Tissue was fixed with paraformaldehyde and antigen retrieval was by heat mediation in a EDTA buffer. Samples were incubated with primary antibody at a dilution of 1/100. A goat anti-rabbit IgG H&L (HRP) ab97051 was used as the secondary antibody at a dilution of 1/500.

Negative control 1 : PBS in place of primary antibody.

This data was developed using the same antibody clone in a different buffer formulation containing PBS, BSA, glycerol, and sodium azide (ab133645).

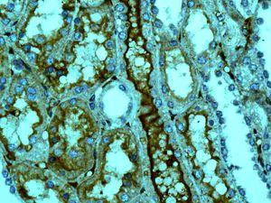
Immunohistochemistry (Formalin/PFA-fixed paraffin-embedded sections) - Anti-67kDa Laminin Receptor antibody [EPR8469] - BSA and Azide free (AB240075)
  • IHC-P

Lab

Immunohistochemistry (Formalin/PFA-fixed paraffin-embedded sections) - Anti-67kDa Laminin Receptor antibody [EPR8469] - BSA and Azide free (AB240075)

ab133645 staining 67kDa Laminin Receptor in rat kidney tissue sections by Immunohistochemistry (IHC-P - paraformaldehyde-fixed, paraffin-embedded sections). Tissue was fixed with paraformaldehyde and antigen retrieval was by heat mediation in a EDTA buffer. Samples were incubated with primary antibody at a dilution of 1/100. A goat anti-rabbit IgG H&L (HRP) ab97051 was used as the secondary antibody at a dilution of 1/500.

Negative control 1 : PBS in place of primary antibody.

This data was developed using the same antibody clone in a different buffer formulation containing PBS, BSA, glycerol, and sodium azide (ab133645).

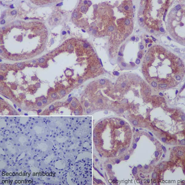
Immunohistochemistry (Formalin/PFA-fixed paraffin-embedded sections) - Anti-67kDa Laminin Receptor antibody [EPR8469] - BSA and Azide free (AB240075)
  • IHC-P

Lab

Immunohistochemistry (Formalin/PFA-fixed paraffin-embedded sections) - Anti-67kDa Laminin Receptor antibody [EPR8469] - BSA and Azide free (AB240075)

ab133645 staining 67kDa Laminin Receptor in mouse kidney tissue sections by Immunohistochemistry (IHC-P - paraformaldehyde-fixed, paraffin-embedded sections). Tissue was fixed with paraformaldehyde and antigen retrieval was by heat mediation in a EDTA buffer. Samples were incubated with primary antibody at a dilution of 1/100. A goat anti-rabbit IgG H&L (HRP) ab97051 was used as the secondary antibody at a dilution of 1/500.

Negative control 1 : PBS in place of primary antibody.

This data was developed using the same antibody clone in a different buffer formulation containing PBS, BSA, glycerol, and sodium azide (ab133645).

Immunoprecipitation - Anti-67kDa Laminin Receptor antibody [EPR8469] - BSA and Azide free (AB240075)
  • IP

Lab

Immunoprecipitation - Anti-67kDa Laminin Receptor antibody [EPR8469] - BSA and Azide free (AB240075)

ab133645 immunoprecipitating 67kDa Laminin Receptor. 10μg of cell lysate was incubated with primary antibody at a dilution of 1/20 and VeriBlot for IP Detection Reagent (HRP) (ab131366) at a dilution of 1/1000.

Lane 1 : K562 (Human chronic myelogenous leukemia cell line from bone marrow) whole cell lysate (10ug)
Lane 2 : K562 (Human chronic myelogenous leukemia cell line from bone marrow) whole cell lysate
Lane 3 : Rabbit monoclonal IgG (ab172730) instead of ab133645 in K562(Human chronic myelogenous leukemia cell line from bone marrow) whole cell lysate

This data was developed using the same antibody clone in a different buffer formulation containing PBS, BSA, glycerol, and sodium azide (ab133645).

All lanes:

Immunoprecipitation - Anti-67kDa Laminin Receptor antibody [EPR8469] (<a href='/en-us/products/primary-antibodies/67kda-laminin-receptor-antibody-epr8469-ab133645'>ab133645</a>)

Predicted band size: 33 kDa

false

Key facts

Host species

Rabbit

Clonality

Monoclonal

Clone number

EPR8469

Isotype

IgG

Carrier free

Yes

Reacts with

Mouse, Rat, Human

Applications

IHC-P, WB, IP, Flow Cyt (Intra), ICC/IF

applications

Immunogen

The exact immunogen used to generate this antibody is proprietary information.

Reactivity data

{ "title": "Reactivity Data", "filters": { "stats": ["", "Species", "Dilution Info", "Notes"], "tabs": { "all-applications": {"fullname" : "All Applications", "shortname": "All Applications"}, "IHCP" : {"fullname" : "Immunohistochemistry (Formalin/PFA-fixed paraffin-embedded sections)", "shortname":"IHC-P"}, "IP" : {"fullname" : "Immunoprecipitation", "shortname":"IP"}, "WB" : {"fullname" : "Western blot", "shortname":"WB"}, "ICCIF" : {"fullname" : "Immunocytochemistry/ Immunofluorescence", "shortname":"ICC/IF"}, "FlowCytIntra" : {"fullname" : "Flow Cytometry (Intracellular)", "shortname":"Flow Cyt (Intra)"} }, "product-promise": { "all": "all", "testedAndGuaranteed": "tested", "guaranteed": "expected", "predicted": "predicted", "notRecommended": "not-recommended" } }, "values": { "Human": { "IHCP-species-checked": "testedAndGuaranteed", "IHCP-species-dilution-info": "", "IHCP-species-notes": "<p></p>", "IP-species-checked": "testedAndGuaranteed", "IP-species-dilution-info": "", "IP-species-notes": "<p></p>", "WB-species-checked": "guaranteed", "WB-species-dilution-info": "", "WB-species-notes": "<p></p>", "ICCIF-species-checked": "testedAndGuaranteed", "ICCIF-species-dilution-info": "", "ICCIF-species-notes": "<p></p>", "FlowCytIntra-species-checked": "testedAndGuaranteed", "FlowCytIntra-species-dilution-info": "", "FlowCytIntra-species-notes": "<p><a href='/en-us/products/primary-antibodies/rabbit-igg-monoclonal-epr25a-isotype-control-low-endotoxin-azide-free-ab199376'>ab199376</a> - Rabbit monoclonal IgG, is suitable for use as an isotype control with this antibody.</p>" }, "Mouse": { "IHCP-species-checked": "predicted", "IHCP-species-dilution-info": "", "IHCP-species-notes": "", "IP-species-checked": "predicted", "IP-species-dilution-info": "", "IP-species-notes": "", "WB-species-checked": "guaranteed", "WB-species-dilution-info": "", "WB-species-notes": "<p></p>", "ICCIF-species-checked": "predicted", "ICCIF-species-dilution-info": "", "ICCIF-species-notes": "", "FlowCytIntra-species-checked": "predicted", "FlowCytIntra-species-dilution-info": "", "FlowCytIntra-species-notes": "" }, "Rat": { "IHCP-species-checked": "predicted", "IHCP-species-dilution-info": "", "IHCP-species-notes": "", "IP-species-checked": "predicted", "IP-species-dilution-info": "", "IP-species-notes": "", "WB-species-checked": "guaranteed", "WB-species-dilution-info": "", "WB-species-notes": "<p></p>", "ICCIF-species-checked": "predicted", "ICCIF-species-dilution-info": "", "ICCIF-species-notes": "", "FlowCytIntra-species-checked": "predicted", "FlowCytIntra-species-dilution-info": "", "FlowCytIntra-species-notes": "" } } }

Product details

ab240075 is the carrier-free version of ab133645.

Patented technology
Our RabMAb® technology is a patented hybridoma-based technology for making rabbit monoclonal antibodies. For details on our patents, please refer to RabMAb® patents.

What are the advantages of a recombinant monoclonal antibody?
This product is a recombinant monoclonal antibody, which offers several advantages including:

  • - High batch-to-batch consistency and reproducibility
  • - Improved sensitivity and specificity
  • - Long-term security of supply
  • - Animal-free batch production

For more information, read more on recombinant antibodies.

Conjugation ready
Our carrier-free antibodies are typically supplied in a PBS-only formulation, purified and free of BSA, sodium azide and glycerol. This conjugation-ready format is designed for use with fluorochromes, metal isotopes, oligonucleotides, and enzymes, which makes them ideal for antibody labelling, functional and cell-based assays, flow-based assays (e.g. mass cytometry) and Multiplex Imaging applications.

Use our conjugation kits for antibody conjugates that are ready-to-use in as little as 20 minutes with 1 minute hands-on-time and 100% antibody recovery: available for fluorescent dyes, HRP, biotin and gold.

Compatibility
This product is compatible with the Maxpar® Antibody Labeling Kit from Fluidigm, without the need for antibody preparation. Maxpar® is a trademark of Fluidigm Canada Inc.

Properties and storage information

Form
Liquid
Purification technique
Affinity purification Protein A
Storage buffer
pH: 7.2 - 7.4 Constituents: PBS
Shipped at conditions
Blue Ice
Appropriate short-term storage conditions
+4°C
Appropriate long-term storage conditions
+4°C
Storage information
Do Not Freeze

Supplementary information

This supplementary information is collated from multiple sources and compiled automatically.

The 67kDa Laminin Receptor also known as the laminin binding protein or protein laminin functions as a receptor for laminin an important component of the extracellular matrix. This receptor is expressed in many tissue types serving an important mechanical role by mediating the adhesion and migration of cells. The receptor anchors cells to laminin molecules thereby influencing cell differentiation and proliferation. The molecular weight of the laminin receptor is approximately 67 kilodaltons which signifies it as a critical player in various cellular processes.
Biological function summary

This receptor engages in cellular interactions that are essential for maintaining the integrity and architecture of tissues. It often associates with other proteins to form complexes which further strengthen its functional capabilities. By anchoring laminin to the cell surface it regulates cell signaling pathways that influence cell motility invasion and survival. These interactions suggest that the 67kDa Laminin Receptor's function goes beyond simple adhesion impacting cellular responsiveness to external matrix cues.

Pathways

The receptor influences the MAPK and PI3K/Akt signaling pathways which are significant in cell survival and proliferation. Through such pathways it interacts with numerous proteins including integrins and fibronectin receptors facilitating orchestrated cell signaling. This connectivity highlights the receptor's role in cellular communication networks contributing to dynamic processes like wound healing and angiogenesis.

Aberrant expression of the 67kDa Laminin Receptor relates to conditions such as cancer and Alzheimer's disease. In cancer its overexpression links to increased tumor invasiveness likely due to enhanced cell motility mediated through integrin interactions. In Alzheimer's disease its relationship with amyloid precursor protein influences plaque formation exacerbating disease progression. Understanding these connections highlights potential therapeutic targets for disease intervention.

Product protocols

For this product, it's our understanding that no specific protocols are required. You can visit:

Target data

Required for the assembly and/or stability of the 40S ribosomal subunit. Required for the processing of the 20S rRNA-precursor to mature 18S rRNA in a late step of the maturation of 40S ribosomal subunits. Also functions as a cell surface receptor for laminin. Plays a role in cell adhesion to the basement membrane and in the consequent activation of signaling transduction pathways. May play a role in cell fate determination and tissue morphogenesis. Acts as a PPP1R16B-dependent substrate of PPP1CA.. (Microbial infection) Acts as a receptor for the Adeno-associated viruses 2,3,8 and 9.. (Microbial infection) Acts as a receptor for the Dengue virus.. (Microbial infection) Acts as a receptor for the Sindbis virus.. (Microbial infection) Acts as a receptor for the Venezuelan equine encephalitis virus.. (Microbial infection) Acts as a receptor for the pathogenic prion protein.. (Microbial infection) Acts as a receptor for bacteria.
See full target information RPSA

Publications (1)

Recent publications for all applications. Explore the full list and refine your search

NPJ precision oncology 7:95 PubMed37723227

2023

Targeted single-cell proteomic analysis identifies new liquid biopsy biomarkers associated with multiple myeloma.

Applications

Unspecified application

Species

Unspecified reactive species

Sonia M Setayesh,Libere J Ndacayisaba,Kate E Rappard,Valerie Hennes,Luz Yurany Moreno Rueda,Guilin Tang,Pei Lin,Robert Z Orlowski,David E Symer,Elisabet E Manasanch,Stephanie N Shishido,Peter Kuhn
View all publications

Product promise

We are committed to supporting your work with high-quality reagents, and we're here for you every step of the way. In the unlikely event that one of our products does not perform as expected, you're protected by our Product Promise.
For full details, please see our Terms & Conditions

Please note: All products are 'FOR RESEARCH USE ONLY. NOT FOR USE IN DIAGNOSTIC OR THERAPEUTIC PROCEDURES'.

For licensing inquiries, please contact partnerships@abcam.com