JavaScript is disabled in your browser. Please enable JavaScript to view this website.
AB268200

Anti-67kDa Laminin Receptor antibody [RPSA/2699] - BSA and Azide free

Be the first to review this product! Submit a review

|

(1 Publication)

Mouse Monoclonal 67kDa Laminin Receptor antibody. Carrier free. Suitable for ICC/IF, Flow Cyt, WB, Protein Array, IHC-P and reacts with Human, Recombinant full length protein - Human samples. Cited in 1 publication. Immunogen corresponding to Recombinant Full Length Protein corresponding to Human RPSA.

View Alternative Names

LAMBR, LAMR1, RPSA, Small ribosomal subunit protein uS2, 37 kDa laminin receptor precursor, 37/67 kDa laminin receptor, 40S ribosomal protein SA, 67 kDa laminin receptor, Colon carcinoma laminin-binding protein, Laminin receptor 1, Laminin-binding protein precursor p40, Multidrug resistance-associated protein MGr1-Ag, NEM/1CHD4, 37LRP, LRP/LR, 67LR, LamR, LBP/p40

10 Images
Immunohistochemistry (Formalin/PFA-fixed paraffin-embedded sections) - Anti-67kDa Laminin Receptor antibody [RPSA/2699] - BSA and Azide free (AB268200)
  • IHC-P

Unknown

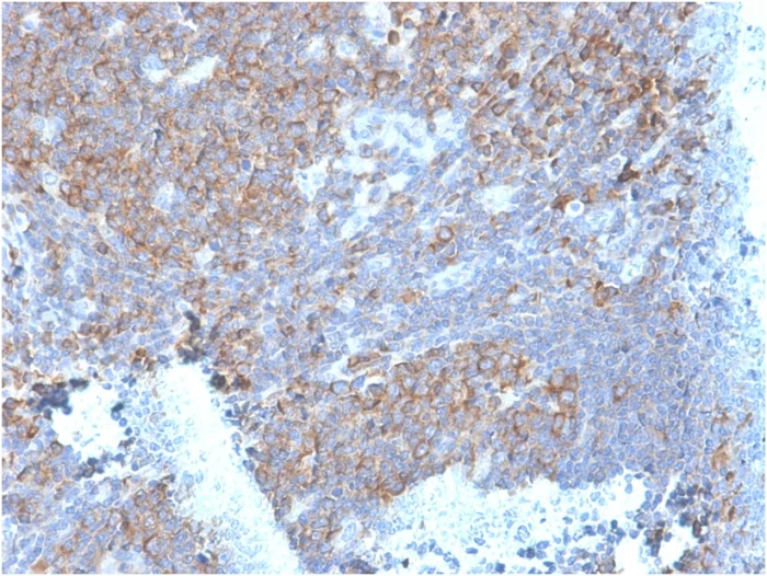
Immunohistochemistry (Formalin/PFA-fixed paraffin-embedded sections) - Anti-67kDa Laminin Receptor antibody [RPSA/2699] - BSA and Azide free (AB268200)

Formalin-fixed, paraffin-embedded human tonsil tissue stained for 67kDa Laminin Receptor using ab268079 at 2 μg/ml in immunohistochemical analysis.

This data was developed using the same antibody clone in a different buffer formulation containing PBS, BSA and Sodium azide (ab268079)

Flow Cytometry - Anti-67kDa Laminin Receptor antibody [RPSA/2699] - BSA and Azide free (AB268200)
  • Flow Cyt

Unknown

Flow Cytometry - Anti-67kDa Laminin Receptor antibody [RPSA/2699] - BSA and Azide free (AB268200)

Flow Cytometric analysis of paraformaldehyde-fixed Raji (Human Burkitt's lymphoma cell line) cells labelling 67kDa Laminin Receptor using ab268079 at at 2 μg/ml followed by goat anti-Mouse IgG-CF488 (blue) and Isotype Control (Red).

This data was developed using the same antibody clone in a different buffer formulation containing PBS, BSA and Sodium azide (ab268079)

Immunohistochemistry (Formalin/PFA-fixed paraffin-embedded sections) - Anti-67kDa Laminin Receptor antibody [RPSA/2699] - BSA and Azide free (AB268200)
  • IHC-P

Unknown

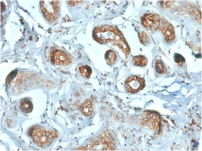
Immunohistochemistry (Formalin/PFA-fixed paraffin-embedded sections) - Anti-67kDa Laminin Receptor antibody [RPSA/2699] - BSA and Azide free (AB268200)

Formalin-fixed, paraffin-embedded human cervix carcinoma tissue stained for 67kDa Laminin Receptor using ab268079 at 2 μg/ml in immunohistochemical analysis.

This data was developed using the same antibody clone in a different buffer formulation containing PBS, BSA and Sodium azide (ab268079)

Immunohistochemistry (Formalin/PFA-fixed paraffin-embedded sections) - Anti-67kDa Laminin Receptor antibody [RPSA/2699] - BSA and Azide free (AB268200)
  • IHC-P

Unknown

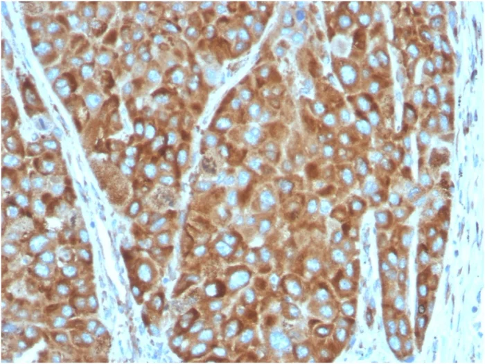
Immunohistochemistry (Formalin/PFA-fixed paraffin-embedded sections) - Anti-67kDa Laminin Receptor antibody [RPSA/2699] - BSA and Azide free (AB268200)

Formalin-fixed, paraffin-embedded human breast carcinoma tissue stained for 67kDa Laminin Receptor using ab268079 at 2 μg/ml in immunohistochemical analysis.

This data was developed using the same antibody clone in a different buffer formulation containing PBS, BSA and Sodium azide (ab268079)

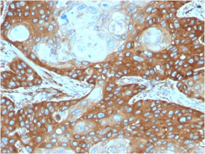
Immunohistochemistry (Formalin/PFA-fixed paraffin-embedded sections) - Anti-67kDa Laminin Receptor antibody [RPSA/2699] - BSA and Azide free (AB268200)
  • IHC-P

Unknown

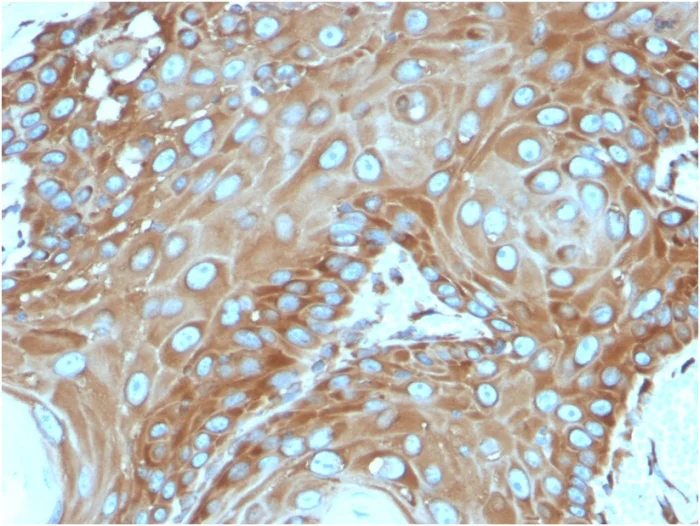
Immunohistochemistry (Formalin/PFA-fixed paraffin-embedded sections) - Anti-67kDa Laminin Receptor antibody [RPSA/2699] - BSA and Azide free (AB268200)

Formalin-fixed, paraffin-embedded human basal cell carcinoma tissue stained for 67kDa Laminin Receptor using ab268079 at 2 μg/ml in immunohistochemical analysis.

This data was developed using the same antibody clone in a different buffer formulation containing PBS, BSA and Sodium azide (ab268079)

Immunocytochemistry/ Immunofluorescence - Anti-67kDa Laminin Receptor antibody [RPSA/2699] - BSA and Azide free (AB268200)
  • ICC/IF

Unknown

Immunocytochemistry/ Immunofluorescence - Anti-67kDa Laminin Receptor antibody [RPSA/2699] - BSA and Azide free (AB268200)

Immunofluorescent staining of HeLa (Human epithelial cell line from cervix adenocarcinoma) cells stained for 67kDa Laminin Receptor using ab268079 at 2 μg/ml followed by goat anti-Mouse IgG conjugated to CF488 (green). Nuclei are labeled with RedDot (red).

This data was developed using the same antibody clone in a different buffer formulation containing PBS, BSA and Sodium azide (ab268079)

Immunocytochemistry/ Immunofluorescence - Anti-67kDa Laminin Receptor antibody [RPSA/2699] - BSA and Azide free (AB268200)
  • ICC/IF

Unknown

Immunocytochemistry/ Immunofluorescence - Anti-67kDa Laminin Receptor antibody [RPSA/2699] - BSA and Azide free (AB268200)

Immunofluorescent staining of paraformaldehyde-fixed Raji (Human Burkitt's lymphoma cell line) cells stained for 67kDa Laminin Receptor using ab268079 at 2 μg/ml followed by goat anti-Mouse IgG conjugated to CF488 (green). Nuclei are labeled with RedDot (red).

This data was developed using the same antibody clone in a different buffer formulation containing PBS, BSA and Sodium azide (ab268079)

Immunohistochemistry (Formalin/PFA-fixed paraffin-embedded sections) - Anti-67kDa Laminin Receptor antibody [RPSA/2699] - BSA and Azide free (AB268200)
  • IHC-P

Unknown

Immunohistochemistry (Formalin/PFA-fixed paraffin-embedded sections) - Anti-67kDa Laminin Receptor antibody [RPSA/2699] - BSA and Azide free (AB268200)

Formalin-fixed, paraffin-embedded human colon carcinoma tissue stained for 67kDa Laminin Receptor using ab268079 at 2 μg/ml in immunohistochemical analysis.

This data was developed using the same antibody clone in a different buffer formulation containing PBS, BSA and Sodium azide (ab268079)

Western blot - Anti-67kDa Laminin Receptor antibody [RPSA/2699] - BSA and Azide free (AB268200)
  • WB

Unknown

Western blot - Anti-67kDa Laminin Receptor antibody [RPSA/2699] - BSA and Azide free (AB268200)

This data was developed using the same antibody clone in a different buffer formulation containing PBS, BSA and Sodium azide (ab268079)

All lanes:

Western blot - Anti-67kDa Laminin Receptor antibody [RPSA/2699] (<a href='/en-us/products/primary-antibodies/67kda-laminin-receptor-antibody-rpsa-2699-ab268079'>ab268079</a>) at 2 µg/mL

Lane 1:

THP-1 (Human monocytic leukemia cell line) cell lysate

Lane 2:

U937 (Human histiocytic lymphoma cell line) cell lysate

Lane 3:

SK-BR-3 (Human mammary gland adenocarcinoma cell line) cell lysate

Lane 4:

A431 (Human epidermoid carcinoma cell line) cell lysate

Predicted band size: 33 kDa

false

Protein Array - Anti-67kDa Laminin Receptor antibody [RPSA/2699] - BSA and Azide free (AB268200)
  • Protein Array

Unknown

Protein Array - Anti-67kDa Laminin Receptor antibody [RPSA/2699] - BSA and Azide free (AB268200)

Protein Array containing more than 19,000 full-length human proteins using ab268079.

Z- and S- Score : The Z-score represents the strength of a signal that a monoclonal antibody (MAb) (in combination with a fluorescently-tagged anti-IgG secondary antibody) produces when binding to a particular protein on the HuProtTM array. Z-scores are described in units of standard deviations (SD's) above the mean value of all signals generated on that array. If targets on HuProtTM are arranged in descending order of the Z-score, the S-score is the difference (also in units of SD's) between the Z-score. S-score therefore represents the relative target specificity of a MAb to its intended target. A MAb is considered to specific to its intended target, if the MAb has an S-score of at least 2.5. For example, if a MAb binds to protein X with a Z-score of 43 and to protein Y with a Z-score of 14, then the S-score for the binding of that MAb to protein X is equal to 29.

This data was developed using the same antibody clone in a different buffer formulation containing PBS, BSA and Sodium azide (ab268079).

Key facts

Host species

Mouse

Clonality

Monoclonal

Clone number

RPSA/2699

Isotype

IgG1

Light chain type

kappa

Carrier free

Yes

Reacts with

Human

Applications

Protein Array, Flow Cyt, ICC/IF, IHC-P, WB

applications

Immunogen

Recombinant Full Length Protein corresponding to Human RPSA.

P08865

Reactivity data

{ "title": "Reactivity Data", "filters": { "stats": ["", "Species", "Dilution Info", "Notes"], "tabs": { "all-applications": {"fullname" : "All Applications", "shortname": "All Applications"}, "ICCIF" : {"fullname" : "Immunocytochemistry/ Immunofluorescence", "shortname":"ICC/IF"}, "FlowCyt" : {"fullname" : "Flow Cytometry", "shortname":"Flow Cyt"}, "WB" : {"fullname" : "Western blot", "shortname":"WB"}, "ProteinArray" : {"fullname" : "Protein Array", "shortname":"Protein Array"}, "IHCP" : {"fullname" : "Immunohistochemistry (Formalin/PFA-fixed paraffin-embedded sections)", "shortname":"IHC-P"} }, "product-promise": { "all": "all", "testedAndGuaranteed": "tested", "guaranteed": "expected", "predicted": "predicted", "notRecommended": "not-recommended" } }, "values": { "Human": { "ICCIF-species-checked": "testedAndGuaranteed", "ICCIF-species-dilution-info": "1-2 µg/mL", "ICCIF-species-notes": "<p></p>", "FlowCyt-species-checked": "testedAndGuaranteed", "FlowCyt-species-dilution-info": "1-2 µg/mL", "FlowCyt-species-notes": "<p></p>", "WB-species-checked": "testedAndGuaranteed", "WB-species-dilution-info": "1-2 µg/mL", "WB-species-notes": "<p></p>", "ProteinArray-species-checked": "guaranteed", "ProteinArray-species-dilution-info": "", "ProteinArray-species-notes": "", "IHCP-species-checked": "testedAndGuaranteed", "IHCP-species-dilution-info": "1-2 µg/mL", "IHCP-species-notes": "<p></p>" }, "Recombinant full length protein - Human": { "ICCIF-species-checked": "notRecommended", "ICCIF-species-dilution-info": "", "ICCIF-species-notes": "", "FlowCyt-species-checked": "notRecommended", "FlowCyt-species-dilution-info": "", "FlowCyt-species-notes": "", "WB-species-checked": "notRecommended", "WB-species-dilution-info": "", "WB-species-notes": "", "ProteinArray-species-checked": "testedAndGuaranteed", "ProteinArray-species-dilution-info": "", "ProteinArray-species-notes": "<p></p>", "IHCP-species-checked": "notRecommended", "IHCP-species-dilution-info": "", "IHCP-species-notes": "" } } }

Product details

ab268200 is the carrier-free version of ab268079.

Conjugation ready
Our carrier-free antibodies are typically supplied in a PBS-only formulation, purified and free of BSA, sodium azide and glycerol. This conjugation-ready format is designed for use with fluorochromes, metal isotopes, oligonucleotides, and enzymes, which makes them ideal for antibody labelling, functional and cell-based assays, flow-based assays (e.g. mass cytometry) and Multiplex Imaging applications.

Use our conjugation kits for antibody conjugates that are ready-to-use in as little as 20 minutes with 1 minute hands-on-time and 100% antibody recovery: available for fluorescent dyes, HRP, biotin and gold.

Properties and storage information

Form
Liquid
Purification technique
Affinity purification Protein A/G
Purification notes
Purified from bioreactor concentrate.
Storage buffer
pH: 7.2 - 7.4 Constituents: PBS
Shipped at conditions
Blue Ice
Appropriate short-term storage duration
1-2 weeks
Appropriate short-term storage conditions
+4°C
Appropriate long-term storage conditions
-20°C
Aliquoting information
Upon delivery aliquot
Storage information
Avoid freeze / thaw cycle

Supplementary information

This supplementary information is collated from multiple sources and compiled automatically.

The 67kDa Laminin Receptor also known as the laminin binding protein or protein laminin functions as a receptor for laminin an important component of the extracellular matrix. This receptor is expressed in many tissue types serving an important mechanical role by mediating the adhesion and migration of cells. The receptor anchors cells to laminin molecules thereby influencing cell differentiation and proliferation. The molecular weight of the laminin receptor is approximately 67 kilodaltons which signifies it as a critical player in various cellular processes.
Biological function summary

This receptor engages in cellular interactions that are essential for maintaining the integrity and architecture of tissues. It often associates with other proteins to form complexes which further strengthen its functional capabilities. By anchoring laminin to the cell surface it regulates cell signaling pathways that influence cell motility invasion and survival. These interactions suggest that the 67kDa Laminin Receptor's function goes beyond simple adhesion impacting cellular responsiveness to external matrix cues.

Pathways

The receptor influences the MAPK and PI3K/Akt signaling pathways which are significant in cell survival and proliferation. Through such pathways it interacts with numerous proteins including integrins and fibronectin receptors facilitating orchestrated cell signaling. This connectivity highlights the receptor's role in cellular communication networks contributing to dynamic processes like wound healing and angiogenesis.

Aberrant expression of the 67kDa Laminin Receptor relates to conditions such as cancer and Alzheimer's disease. In cancer its overexpression links to increased tumor invasiveness likely due to enhanced cell motility mediated through integrin interactions. In Alzheimer's disease its relationship with amyloid precursor protein influences plaque formation exacerbating disease progression. Understanding these connections highlights potential therapeutic targets for disease intervention.

Product protocols

For this product, it's our understanding that no specific protocols are required. You can visit:

Target data

Required for the assembly and/or stability of the 40S ribosomal subunit. Required for the processing of the 20S rRNA-precursor to mature 18S rRNA in a late step of the maturation of 40S ribosomal subunits. Also functions as a cell surface receptor for laminin. Plays a role in cell adhesion to the basement membrane and in the consequent activation of signaling transduction pathways. May play a role in cell fate determination and tissue morphogenesis. Acts as a PPP1R16B-dependent substrate of PPP1CA.. (Microbial infection) Acts as a receptor for the Adeno-associated viruses 2,3,8 and 9.. (Microbial infection) Acts as a receptor for the Dengue virus.. (Microbial infection) Acts as a receptor for the Sindbis virus.. (Microbial infection) Acts as a receptor for the Venezuelan equine encephalitis virus.. (Microbial infection) Acts as a receptor for the pathogenic prion protein.. (Microbial infection) Acts as a receptor for bacteria.
See full target information RPSA

Publications (1)

Recent publications for all applications. Explore the full list and refine your search

Journal for immunotherapy of cancer 11: PubMed37072348

2023

Intratumoral tertiary lymphoid structure (TLS) maturation is influenced by draining lymph nodes of lung cancer.

Applications

Unspecified application

Species

Unspecified reactive species

Miao He,Qihua He,Xiuyu Cai,Jun Liu,Hongshen Deng,Feng Li,Ran Zhong,Yi Lu,Haoxin Peng,Xiangrong Wu,Zisheng Chen,Shen Lao,Caichen Li,Jianfu Li,Jianxing He,Wenhua Liang
View all publications

Product promise

We are committed to supporting your work with high-quality reagents, and we're here for you every step of the way. In the unlikely event that one of our products does not perform as expected, you're protected by our Product Promise.
For full details, please see our Terms & Conditions

Please note: All products are 'FOR RESEARCH USE ONLY. NOT FOR USE IN DIAGNOSTIC OR THERAPEUTIC PROCEDURES'.

For licensing inquiries, please contact partnerships@abcam.com