JavaScript is disabled in your browser. Please enable JavaScript to view this website.
AB238420

Anti-68kDa Neurofilament/NF-L antibody [EPR22035-112] - BSA and Azide free

Be the first to review this product! Submit a review

|

(1 Publication)

Rabbit Recombinant Monoclonal 68kDa Neurofilament/NF-L antibody. Carrier free. Suitable for I-ELISA, IP, WB, ICC/IF, IHC-Fr, IHC-P and reacts with Human, Mouse, Rat samples. Cited in 1 publication.

View Alternative Names

NF68, NFL, NEFL, Neurofilament light polypeptide, NF-L, 68 kDa neurofilament protein, Neurofilament triplet L protein

10 Images
Indirect ELISA - Anti-68kDa Neurofilament/NF-L antibody [EPR22035-112] - BSA and Azide free (AB238420)
  • I-ELISA

Lab

Indirect ELISA - Anti-68kDa Neurofilament/NF-L antibody [EPR22035-112] - BSA and Azide free (AB238420)

This data was developed using the same antibody clone in a different buffer formulation containing PBS, BSA, glycerol, and sodium azide (ab223343). ELISA using ab223343 at 1000-0 ng/mL antibody concentrations and antigen human Neurofilament light polypeptide at 1000 ng/mL. An Alkaline Phosphatase-conjugated AffiniPure Goat Anti-Rabbit IgG (H+L) (1/2500) was used as the secondary antibody.

Immunohistochemistry (Frozen sections) - Anti-68kDa Neurofilament/NF-L antibody [EPR22035-112] - BSA and Azide free (AB238420)
  • IHC-Fr

Unknown

Immunohistochemistry (Frozen sections) - Anti-68kDa Neurofilament/NF-L antibody [EPR22035-112] - BSA and Azide free (AB238420)

Immunohistochemical analysis of 4% PFA-fixed, 0.2% Triton X-100 permeabilized frozen sectioned mouse liver tissue labeling 68kDa Neurofilament/NF-L with ab223343 at 1/500 dilution, followed by Goat Anti-Rabbit IgG H&L (Alexa Fluor® 488) (ab150077) at 1/1000 dilution. No staining observed in mouse liver. The nuclear counter stain is DAPI (blue).

Secondary antibody only control : Used PBS instead of primary antibody, secondary antibody is Goat Anti-Rabbit IgG H&L (Alexa Fluor® 488) (ab150077) at 1/1000 dilution.

Heat mediated antigen retrieval using sodium citrate buffer (10 mM citrate pH 6.0 + 0.05% Tween-20).

Negative control : mouse liver (PMID : 2120242).

This data was developed using the same antibody clone in a different buffer formulation containing PBS, BSA, glycerol, and sodium azide (ab223343).

Immunohistochemistry (Frozen sections) - Anti-68kDa Neurofilament/NF-L antibody [EPR22035-112] - BSA and Azide free (AB238420)
  • IHC-Fr

Unknown

Immunohistochemistry (Frozen sections) - Anti-68kDa Neurofilament/NF-L antibody [EPR22035-112] - BSA and Azide free (AB238420)

Immunohistochemical analysis of 4% PFA-fixed, 0.2% Triton X-100 permeabilized frozen sectioned rat cerebellum tissue labeling 68kDa Neurofilament/NF-L with ab223343 at 1/500 dilution, followed by Goat Anti-Rabbit IgG H&L (Alexa Fluor® 488) (ab150077) at 1/1000 dilution (green). Positive staining in rat cerebellum is observed. The nuclear counter stain is DAPI (blue).

Secondary antibody only control : Used PBS instead of primary antibody, secondary antibody is Goat Anti-Rabbit IgG H&L (Alexa Fluor® 488) (ab150077) at 1/1000 dilution.

Heat mediated antigen retrieval using sodium citrate buffer (10 mM citrate pH 6.0 + 0.05% Tween-20).

This data was developed using the same antibody clone in a different buffer formulation containing PBS, BSA, glycerol, and sodium azide (ab223343).

Immunohistochemistry (Frozen sections) - Anti-68kDa Neurofilament/NF-L antibody [EPR22035-112] - BSA and Azide free (AB238420)
  • IHC-Fr

Unknown

Immunohistochemistry (Frozen sections) - Anti-68kDa Neurofilament/NF-L antibody [EPR22035-112] - BSA and Azide free (AB238420)

Immunohistochemical analysis of 4% PFA-fixed, 0.2% Triton X-100 permeabilized frozen sectioned rat liver tissue labeling 68kDa Neurofilament/NF-L with ab223343 at 1/500 dilution, followed by Goat Anti-Rabbit IgG H&L (Alexa Fluor® 488) (ab150077) at 1/1000 dilution. No staining in rat liver is observed. The nuclear counter stain is DAPI (blue).

Secondary antibody only control : Used PBS instead of primary antibody, secondary antibody is Goat Anti-Rabbit IgG H&L (Alexa Fluor® 488) (ab150077) at 1/1000 dilution.

Heat mediated antigen retrieval using sodium citrate buffer (10 mM citrate pH 6.0 + 0.05% Tween-20).

Negative control : Rat liver (PMID : 2120242).

This data was developed using the same antibody clone in a different buffer formulation containing PBS, BSA, glycerol, and sodium azide (ab223343).

Immunohistochemistry (Formalin/PFA-fixed paraffin-embedded sections) - Anti-68kDa Neurofilament/NF-L antibody [EPR22035-112] - BSA and Azide free (AB238420)
  • IHC-P

Lab

Immunohistochemistry (Formalin/PFA-fixed paraffin-embedded sections) - Anti-68kDa Neurofilament/NF-L antibody [EPR22035-112] - BSA and Azide free (AB238420)

Immunohistochemical analysis of paraffin-embedded rat cerebellum tissue labeling 68kDa Neurofilament / NF-L with ab223343 at 1/4000 dilution, followed by Goat Anti-Rabbit IgG H&L (HRP) ready to use. Positive staining of nerve fibers in rat cerebellum (PMID : 28190929) is observed. Counter stained with Hematoxylin.

Secondary antibody only control : Used PBS instead of primary antibody, secondary antibody is Goat Anti-Rabbit IgG H&L (HRP) ready to use.

Heat-mediated antigen retrieval using ab93684 (Tris/EDTA buffer, pH 9.0).

This data was developed using the same antibody clone in a different buffer formulation containing PBS, BSA, glycerol, and sodium azide (ab223343).

Immunocytochemistry/ Immunofluorescence - Anti-68kDa Neurofilament/NF-L antibody [EPR22035-112] - BSA and Azide free (AB238420)
  • ICC/IF

Lab

Immunocytochemistry/ Immunofluorescence - Anti-68kDa Neurofilament/NF-L antibody [EPR22035-112] - BSA and Azide free (AB238420)

Immunocytochemistry/ Immunofluorescence analysis of mouse primary neuron cells labeling 68kDa Neurofilament/NF-L with purified ab223343 at 1/50 (9.4μg/mL). Cells were fixed in 4% paraformaldehyde and permeabilized with 0.1% Triton X-100. Cells were counterstained with ab11267 Anti-MAP2 antibody [HM-2]; ab150120 Goat Anti-Mouse IgG H&L (Alexa Fluor® 594). Goat anti rabbit IgG (Alexa Fluor® 488, ab150077) was used as the secondary antibody at 1/1000 (2 μg/mL) dilution. DAPI (blue) was used as nuclear counterstain. PBS instead of the primary antibody was used as the secondary antibody only control.
Confocal scanning Z step was set as 0.3 μm followed by image processing with maximum Z projection.
This data was developed using the same antibody clone in a different buffer formulation containing PBS, BSA, glycerol, and sodium azide (ab223343).

Immunohistochemistry (Frozen sections) - Anti-68kDa Neurofilament/NF-L antibody [EPR22035-112] - BSA and Azide free (AB238420)
  • IHC-Fr

Lab

Immunohistochemistry (Frozen sections) - Anti-68kDa Neurofilament/NF-L antibody [EPR22035-112] - BSA and Azide free (AB238420)

Immunohistochemical analysis of 4% PFA-fixed, 0.2% Triton X-100 permeabilized frozen sectioned mouse cerebellum tissue labeling 68kDa Neurofilament/NF-L with ab223343 at 1/500 dilution, followed by Goat Anti-Rabbit IgG H&L (Alexa Fluor® 488) (ab150077) at 1/1000 dilution (green). Positive staining in mouse cerebellum (PMID : 17598884) is observed. The nuclear counter stain is DAPI (blue).

Secondary antibody only control : Used PBS instead of primary antibody, secondary antibody is Goat Anti-Rabbit IgG H&L (Alexa Fluor® 488) (ab150077) at 1/1000 dilution.

Heat mediated antigen retrieval using sodium citrate buffer (10 mM citrate pH 6.0 + 0.05% Tween-20).

This data was developed using the same antibody clone in a different buffer formulation containing PBS, BSA, glycerol, and sodium azide (ab223343).

Immunohistochemistry (Formalin/PFA-fixed paraffin-embedded sections) - Anti-68kDa Neurofilament/NF-L antibody [EPR22035-112] - BSA and Azide free (AB238420)
  • IHC-P

Unknown

Immunohistochemistry (Formalin/PFA-fixed paraffin-embedded sections) - Anti-68kDa Neurofilament/NF-L antibody [EPR22035-112] - BSA and Azide free (AB238420)

Immunohistochemical analysis of paraffin-embedded mouse cerebellum tissue labeling 68kDa Neurofilament/NF-L with ab223343 at 1/4000 dilution, followed by Goat Anti-Rabbit IgG H&L (HRP) ready to use. Positive staining of nerve fibers in mouse cerebellum (PMID : 28190929) is observed. Counter stained with Hematoxylin.

Secondary antibody only control : Used PBS instead of primary antibody, secondary antibody is Goat Anti-Rabbit IgG H&L (HRP) ready to use.

Heat-mediated antigen retrieval using ab93684 (Tris/EDTA buffer, pH 9.0).

This data was developed using the same antibody clone in a different buffer formulation containing PBS, BSA, glycerol, and sodium azide (ab223343).

Immunohistochemistry (Formalin/PFA-fixed paraffin-embedded sections) - Anti-68kDa Neurofilament/NF-L antibody [EPR22035-112] - BSA and Azide free (AB238420)
  • IHC-P

Unknown

Immunohistochemistry (Formalin/PFA-fixed paraffin-embedded sections) - Anti-68kDa Neurofilament/NF-L antibody [EPR22035-112] - BSA and Azide free (AB238420)

Immunohistochemical analysis of paraffin-embedded human cerebellum tissue labeling 68kDa Neurofilament/NF-L with ab223343 at 1/4000 dilution, followed by Goat Anti-Rabbit IgG H&L (HRP) ready to use. Positive staining of nerve fibers in human cerebellum (PMID : 28190929) is observed. Counter stained with Hematoxylin.

Secondary antibody only control : Used PBS instead of primary antibody, secondary antibody is Goat Anti-Rabbit IgG H&L (HRP) ready to use.

Heat-mediated antigen retrieval using ab93684 (Tris/EDTA buffer, pH 9.0).

This data was developed using the same antibody clone in a different buffer formulation containing PBS, BSA, glycerol, and sodium azide (ab223343).

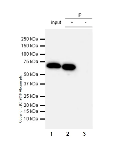
Immunoprecipitation - Anti-68kDa Neurofilament/NF-L antibody [EPR22035-112] - BSA and Azide free (AB238420)
  • IP

Unknown

Immunoprecipitation - Anti-68kDa Neurofilament/NF-L antibody [EPR22035-112] - BSA and Azide free (AB238420)

68kDa Neurofilament/NF-L was immunoprecipitated from 0.35 mg of mouse brain lysate with ab223343 at 1/30 dilution. Western blot was performed from the immunoprecipitate using ab223343 at 1/500 dilution. VeriBlot for IP Detection Reagent (HRP) (ab131366), was used for detection at 1/1000 dilution.

Lane 1 : Mouse brain lysate 10 μg (Input).
Lane 2 : ab223343 IP in mouse brain lysate.
Lane 3 : Rabbit monoclonal IgG (ab172730) instead of ab223343 in mouse brain lysate.

Blocking and dilution buffer and concentration : 5% NFDM/TBST.
Exposure time : 10 seconds.

This data was developed using the same antibody clone in a different buffer formulation containing PBS, BSA, glycerol, and sodium azide (ab223343).

All lanes:

Immunoprecipitation - Anti-68kDa Neurofilament/NF-L antibody [EPR22035-112] (<a href='/en-us/products/primary-antibodies/68kda-neurofilament-nf-l-antibody-epr22035-112-ab223343'>ab223343</a>)

Predicted band size: 62 kDa

Observed band size: 68 kDa

false

  • Unconjugated

    Anti-68kDa Neurofilament/NF-L antibody [EPR22035-112]

  • 665 Alexa Fluor® 647

    Alexa Fluor® 647 Anti-68kDa Neurofilament/NF-L antibody [EPR22035-112]

  • 565 Alexa Fluor® 555

    Alexa Fluor® 555 Anti-68kDa Neurofilament/NF-L antibody [EPR22035-112]

  • 519 Alexa Fluor® 488

    Alexa Fluor® 488 Anti-68kDa Neurofilament/NF-L antibody [EPR22035-112]

Key facts

Host species

Rabbit

Clonality

Monoclonal

Clone number

EPR22035-112

Isotype

IgG

Carrier free

Yes

Reacts with

Mouse, Rat, Human

Applications

I-ELISA, IP, IHC-P, IHC-Fr, WB, ICC/IF

applications

Immunogen

The exact immunogen used to generate this antibody is proprietary information.

Reactivity data

{ "title": "Reactivity Data", "filters": { "stats": ["", "Species", "Dilution Info", "Notes"], "tabs": { "all-applications": {"fullname" : "All Applications", "shortname": "All Applications"}, "IELISA" : {"fullname" : "Indirect ELISA", "shortname":"I-ELISA"}, "IP" : {"fullname" : "Immunoprecipitation", "shortname":"IP"}, "WB" : {"fullname" : "Western blot", "shortname":"WB"}, "ICCIF" : {"fullname" : "Immunocytochemistry/ Immunofluorescence", "shortname":"ICC/IF"}, "IHCFr" : {"fullname" : "Immunohistochemistry (Frozen sections)", "shortname":"IHC-Fr"}, "IHCP" : {"fullname" : "Immunohistochemistry (Formalin/PFA-fixed paraffin-embedded sections)", "shortname":"IHC-P"} }, "product-promise": { "all": "all", "testedAndGuaranteed": "tested", "guaranteed": "expected", "predicted": "predicted", "notRecommended": "not-recommended" } }, "values": { "Human": { "IELISA-species-checked": "testedAndGuaranteed", "IELISA-species-dilution-info": "", "IELISA-species-notes": "<p></p>", "IP-species-checked": "guaranteed", "IP-species-dilution-info": "", "IP-species-notes": "", "WB-species-checked": "guaranteed", "WB-species-dilution-info": "", "WB-species-notes": "<p></p>", "ICCIF-species-checked": "guaranteed", "ICCIF-species-dilution-info": "", "ICCIF-species-notes": "", "IHCFr-species-checked": "guaranteed", "IHCFr-species-dilution-info": "", "IHCFr-species-notes": "", "IHCP-species-checked": "guaranteed", "IHCP-species-dilution-info": "", "IHCP-species-notes": "" }, "Mouse": { "IELISA-species-checked": "guaranteed", "IELISA-species-dilution-info": "", "IELISA-species-notes": "", "IP-species-checked": "testedAndGuaranteed", "IP-species-dilution-info": "", "IP-species-notes": "<p></p>", "WB-species-checked": "guaranteed", "WB-species-dilution-info": "", "WB-species-notes": "<p></p>", "ICCIF-species-checked": "testedAndGuaranteed", "ICCIF-species-dilution-info": "", "ICCIF-species-notes": "<p></p>", "IHCFr-species-checked": "testedAndGuaranteed", "IHCFr-species-dilution-info": "", "IHCFr-species-notes": "<p></p>", "IHCP-species-checked": "testedAndGuaranteed", "IHCP-species-dilution-info": "", "IHCP-species-notes": "<p></p>" }, "Rat": { "IELISA-species-checked": "predicted", "IELISA-species-dilution-info": "", "IELISA-species-notes": "", "IP-species-checked": "predicted", "IP-species-dilution-info": "", "IP-species-notes": "", "WB-species-checked": "guaranteed", "WB-species-dilution-info": "", "WB-species-notes": "<p></p>", "ICCIF-species-checked": "predicted", "ICCIF-species-dilution-info": "", "ICCIF-species-notes": "", "IHCFr-species-checked": "predicted", "IHCFr-species-dilution-info": "", "IHCFr-species-notes": "", "IHCP-species-checked": "predicted", "IHCP-species-dilution-info": "", "IHCP-species-notes": "" } } }

You may be interested in:

AB288171

Human NEFL ELISA Kit

5

1 Reviews

View product

We recommend this product because it’s often used in the same experiment or related research.

We advise that you always check the datasheet to ensure it fits your experiments, or contact ourtechnical teamfor help.

Product details

Properties and storage information

Form
Liquid
Purification technique
Affinity purification Protein A
Storage buffer
pH: 7.2 - 7.4 Constituents: PBS
Shipped at conditions
Blue Ice
Appropriate short-term storage conditions
+4°C
Appropriate long-term storage conditions
+4°C
Storage information
Do Not Freeze

Supplementary information

This supplementary information is collated from multiple sources and compiled automatically.

The 68kDa Neurofilament also known as NF-L or neurofilament light plays a mechanical role in maintaining the structural integrity of neurons. This protein is characterized by its mass of 68 kilodaltons. It expresses specifically in the cytoplasm of neurons where it forms a critical part of the neurofilament protein triplet along with NF-M and NF-H. These components collectively form the intermediate filaments found in the neuron axons providing essential structural support.
Biological function summary

The neurofilament protein functions to stabilize the axonal diameter thereby affecting neuronal conductivity. It integrates into a complex with other neurofilament proteins and related molecules forming cross-bridges that aid in strengthening the cellular structure. This protein-protein interaction is vital for normal neuronal function and efficient nerve signal transmission.

Pathways

Neurofilament proteins contribute to cellular processes within the nervous system. It participates in the axonal transport pathway which includes the transport of synaptic vesicles and organelles along axons. This movement is facilitated by interactions with motor proteins like kinesin and dynein which help in moving these materials to their destinations. Additionally NF-L connects to actin filaments collaborating to sustain neuronal shape and function.

Neurofilament proteins have links to conditions such as amyotrophic lateral sclerosis (ALS) and Alzheimer's disease. Elevated levels of NF-L are often observed in ALS suggesting neuronal damage as axonal injury raises the protein's presence in the cerebrospinal fluid. Similarly in Alzheimer's disease aberrant interaction of tau protein with neurofilament proteins disrupts neuronal function. These connections highlight NF-L's potential as a biomarker for neural injury and neurodegenerative diseases.

Product protocols

For this product, it's our understanding that no specific protocols are required. You can visit:

Target data

Neurofilaments usually contain three intermediate filament proteins : NEFL, NEFM, and NEFH which are involved in the maintenance of neuronal caliber. May additionally cooperate with the neuronal intermediate filament proteins PRPH and INA to form neuronal filamentous networks (By similarity).
See full target information NEFL

Publications (1)

Recent publications for all applications. Explore the full list and refine your search

Odontology 111:630-639 PubMed36460825

2022

Regeneration of sensory nerve branches in extraction socket and surrounding alveolar bone in rat: immunohistochemical observation of the axon and myelin sheath changes.

Applications

Unspecified application

Species

Unspecified reactive species

Wataru Kakuta,Satoru Matsunaga,Yuto Otsu,Kei Kitamura,Shinichi Abe,Yasutomo Yajima,Hideshi Sekine
View all publications

Product promise

We are committed to supporting your work with high-quality reagents, and we're here for you every step of the way. In the unlikely event that one of our products does not perform as expected, you're protected by our Product Promise.
For full details, please see our Terms & Conditions

Associated Products

Select an associated product type
Alternative Product
Primary Antibodies

AB7255

Anti-68kDa Neurofilament/NF-L antibody [DA2]

primary-antibodies

68kda-neurofilament-nf-l-antibody-da2-ab7255

2

(1 reviews)

Alternative Product
Primary Antibodies

AB24520

Anti-68kDa Neurofilament/NF-L antibody

primary-antibodies

68kda-neurofilament-nf-l-antibody-ab24520

5

(1 reviews)

Alternative Product
Primary Antibodies

AB52989

Anti-68kDa Neurofilament/NF-L antibody [EP675Y]

primary-antibodies

68kda-neurofilament-nf-l-antibody-ep675y-ab52989

0

(0 reviews)

Alternative Product
Primary Antibodies

AB9035

Anti-68kDa Neurofilament/NF-L antibody

primary-antibodies

68kda-neurofilament-nf-l-antibody-ab9035

3

(2 reviews)

Alternative Product
Primary Antibodies

AB72997

Anti-68kDa Neurofilament/NF-L antibody

primary-antibodies

68kda-neurofilament-nf-l-antibody-ab72997

4

(11 reviews)

Alternative Product
Primary Antibodies

AB216029

Anti-68kDa Neurofilament/NF-L antibody [NFL/736] - BSA and Azide free

primary-antibodies

68kda-neurofilament-nf-l-antibody-nfl-736-bsa-and-azide-free-ab216029

0

(0 reviews)

Alternative Product
Primary Antibodies

AB134460

Anti-68kDa Neurofilament/NF-L antibody

primary-antibodies

68kda-neurofilament-nf-l-antibody-ab134460

3

(1 reviews)

Alternative Product
Primary Antibodies

AB236122

Anti-68kDa Neurofilament/NF-L antibody [EP675Y] - BSA and Azide free

primary-antibodies

68kda-neurofilament-nf-l-antibody-ep675y-bsa-and-azide-free-ab236122

0

(0 reviews)

Alternative Version
Primary Antibodies

AB307613

Alexa Fluor® 647 Anti-68kDa Neurofilament/NF-L antibody [EPR22035-112]

primary-antibodies

alexa-fluor-647-68kda-neurofilament-nf-l-antibody-epr22035-112-ab307613

0

(0 reviews)

Alternative Version
Primary Antibodies

AB307379

Alexa Fluor® 555 Anti-68kDa Neurofilament/NF-L antibody [EPR22035-112]

primary-antibodies

alexa-fluor-555-68kda-neurofilament-nf-l-antibody-epr22035-112-ab307379

0

(0 reviews)

Alternative Version
Primary Antibodies

AB307394

Alexa Fluor® 488 Anti-68kDa Neurofilament/NF-L antibody [EPR22035-112]

primary-antibodies

alexa-fluor-488-68kda-neurofilament-nf-l-antibody-epr22035-112-ab307394

0

(0 reviews)

Please note: All products are 'FOR RESEARCH USE ONLY. NOT FOR USE IN DIAGNOSTIC OR THERAPEUTIC PROCEDURES'.

For licensing inquiries, please contact partnerships@abcam.com