JavaScript is disabled in your browser. Please enable JavaScript to view this website.
AB270297

Anti-68kDa Neurofilament/NF-L antibody [NEFL/2983R] - BSA and Azide free

Be the first to review this product! Submit a review

|

(1 Publication)

Rabbit Recombinant Monoclonal 68kDa Neurofilament/NF-L antibody. Carrier free. Suitable for IHC-P and reacts with Human samples. Cited in 1 publication. Immunogen corresponding to Recombinant Full Length Protein corresponding to Human NEFL.

View Alternative Names

NF68, NFL, NEFL, Neurofilament light polypeptide, NF-L, 68 kDa neurofilament protein, Neurofilament triplet L protein

1 Images
Immunohistochemistry (Formalin/PFA-fixed paraffin-embedded sections) - Anti-68kDa Neurofilament/NF-L antibody [NEFL/2983R] - BSA and Azide free (AB270297)
  • IHC-P

Supplier Data

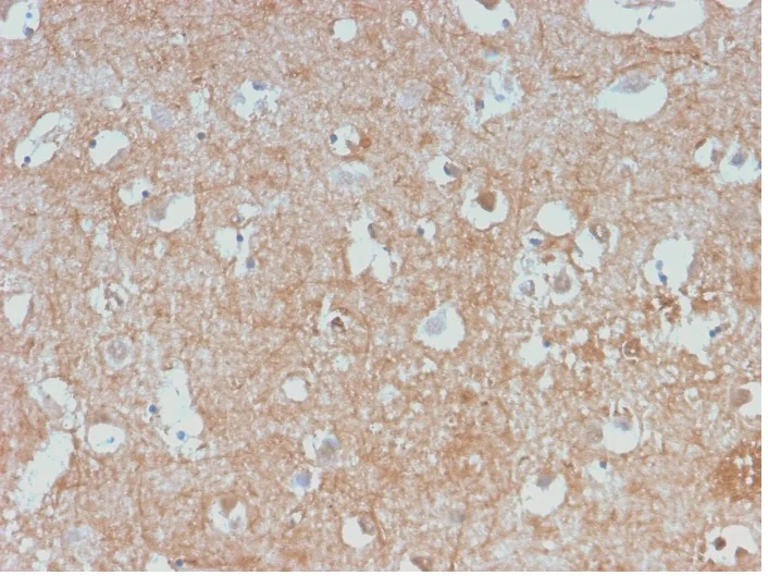
Immunohistochemistry (Formalin/PFA-fixed paraffin-embedded sections) - Anti-68kDa Neurofilament/NF-L antibody [NEFL/2983R] - BSA and Azide free (AB270297)

Formalin-fixed, paraffin-embedded human cerebellum tissue stained for Neurofilament using ab270265 at 0.5 μg/ml in immunohistochemical analysis.

This data was developed using the same antibody clone in a different buffer formulation containing PBS, BSA and sodium azide (ab270265).

  • Unconjugated

    Anti-68kDa Neurofilament/NF-L antibody [NEFL/2983R]

Key facts

Host species

Rabbit

Clonality

Monoclonal

Clone number

NEFL/2983R

Isotype

IgG

Carrier free

Yes

Reacts with

Human

Applications

IHC-P

applications

Immunogen

Recombinant Full Length Protein corresponding to Human NEFL.

P07196

Reactivity data

{ "title": "Reactivity Data", "filters": { "stats": ["", "Species", "Dilution Info", "Notes"], "tabs": { "all-applications": {"fullname" : "All Applications", "shortname": "All Applications"}, "IHCP" : {"fullname" : "Immunohistochemistry (Formalin/PFA-fixed paraffin-embedded sections)", "shortname":"IHC-P"} }, "product-promise": { "all": "all", "testedAndGuaranteed": "tested", "guaranteed": "expected", "predicted": "predicted", "notRecommended": "not-recommended" } }, "values": { "Human": { "IHCP-species-checked": "testedAndGuaranteed", "IHCP-species-dilution-info": "0.25-0.5 µg/mL", "IHCP-species-notes": "<p></p> Perform heat-mediated antigen retrieval with Tris/EDTA buffer pH 9.0 before commencing with IHC staining protocol." } } }

Product details

ab270297 is a carrier free version of ab270266.

Conjugation ready
Our carrier-free antibodies are typically supplied in a PBS-only formulation, purified and free of BSA, sodium azide and glycerol. This conjugation-ready format is designed for use with fluorochromes, metal isotopes, oligonucleotides, and enzymes, which makes them ideal for antibody labelling, functional and cell-based assays, flow-based assays (e.g. mass cytometry) and Multiplex Imaging applications.

Use our conjugation kits for antibody conjugates that are ready-to-use in as little as 20 minutes with 1 minute hands-on-time and 100% antibody recovery: available for fluorescent dyes, HRP, biotin and gold.

Properties and storage information

Form
Liquid
Purification technique
Affinity purification Protein A/G
Purification notes
Purified from bioreactor concentrate.
Storage buffer
pH: 7.2 - 7.4 Constituents: PBS
Shipped at conditions
Blue Ice
Appropriate short-term storage duration
1-2 weeks
Appropriate short-term storage conditions
+4°C
Appropriate long-term storage conditions
-20°C
Aliquoting information
Upon delivery aliquot
Storage information
Avoid freeze / thaw cycle

Supplementary information

This supplementary information is collated from multiple sources and compiled automatically.

The 68kDa Neurofilament also known as NF-L or neurofilament light plays a mechanical role in maintaining the structural integrity of neurons. This protein is characterized by its mass of 68 kilodaltons. It expresses specifically in the cytoplasm of neurons where it forms a critical part of the neurofilament protein triplet along with NF-M and NF-H. These components collectively form the intermediate filaments found in the neuron axons providing essential structural support.
Biological function summary

The neurofilament protein functions to stabilize the axonal diameter thereby affecting neuronal conductivity. It integrates into a complex with other neurofilament proteins and related molecules forming cross-bridges that aid in strengthening the cellular structure. This protein-protein interaction is vital for normal neuronal function and efficient nerve signal transmission.

Pathways

Neurofilament proteins contribute to cellular processes within the nervous system. It participates in the axonal transport pathway which includes the transport of synaptic vesicles and organelles along axons. This movement is facilitated by interactions with motor proteins like kinesin and dynein which help in moving these materials to their destinations. Additionally NF-L connects to actin filaments collaborating to sustain neuronal shape and function.

Neurofilament proteins have links to conditions such as amyotrophic lateral sclerosis (ALS) and Alzheimer's disease. Elevated levels of NF-L are often observed in ALS suggesting neuronal damage as axonal injury raises the protein's presence in the cerebrospinal fluid. Similarly in Alzheimer's disease aberrant interaction of tau protein with neurofilament proteins disrupts neuronal function. These connections highlight NF-L's potential as a biomarker for neural injury and neurodegenerative diseases.

Product protocols

For this product, it's our understanding that no specific protocols are required. You can visit:

Target data

Neurofilaments usually contain three intermediate filament proteins : NEFL, NEFM, and NEFH which are involved in the maintenance of neuronal caliber. May additionally cooperate with the neuronal intermediate filament proteins PRPH and INA to form neuronal filamentous networks (By similarity).
See full target information NEFL

Publications (1)

Recent publications for all applications. Explore the full list and refine your search

Cell biology international 45:927-935 PubMed33377575

2021

Metformin attenuates lipopolysaccharide-induced epithelial cell senescence by activating autophagy.

Applications

Unspecified application

Species

Unspecified reactive species

Yiping Wang,Huiqiao Chen,Chenliang Sun,Haoliang Shen,Xiaoli Cui
View all publications

Product promise

We are committed to supporting your work with high-quality reagents, and we're here for you every step of the way. In the unlikely event that one of our products does not perform as expected, you're protected by our Product Promise.
For full details, please see our Terms & Conditions

Please note: All products are 'FOR RESEARCH USE ONLY. NOT FOR USE IN DIAGNOSTIC OR THERAPEUTIC PROCEDURES'.

For licensing inquiries, please contact partnerships@abcam.com