JavaScript is disabled in your browser. Please enable JavaScript to view this website.
AB273441

Anti-68kDa Neurofilament/NF-L antibody [Nfl21]

Be the first to review this product! Submit a review

|

(2 Publications)

Mouse Recombinant Monoclonal 68kDa Neurofilament/NF-L antibody. Suitable for WB, IHC-P and reacts with Mouse, Rat, Human samples. Cited in 2 publications.

View Alternative Names

NF68, NFL, NEFL, Neurofilament light polypeptide, NF-L, 68 kDa neurofilament protein, Neurofilament triplet L protein

5 Images
Immunohistochemistry (Formalin/PFA-fixed paraffin-embedded sections) - Anti-68kDa Neurofilament/NF-L antibody [Nfl21] (AB273441)
  • IHC-P

Unknown

Immunohistochemistry (Formalin/PFA-fixed paraffin-embedded sections) - Anti-68kDa Neurofilament/NF-L antibody [Nfl21] (AB273441)

Immunohistochemical analysis of paraffin-embedded human cerebrum tissue labeling Neurofilament light with ab273441 at 1/500 (2.116 μg/ml) dilution followed by a ready to use LeicaDS9800 (Bond® Polymer Refine Detection) was used. Positive staining on human cerebrum is observed. The section was incubated with ab273441 for 30 mins at room temperature and blocked mouse IgG with specific antibody ab125913 for 8min. The immunostaining was performed on a Leica Biosystems BOND® RX instrument. Counterstained with Hematoxylin.

Secondary antibody only control : Secondary antibody is a ready to use LeicaDS9800 (Bond® Polymer Refine Detection).

Heat mediated antigen retrieval with Tris-EDTA buffer (pH 9.0, epitope retrieval solution2) for 20 mins.

Immunohistochemistry (Formalin/PFA-fixed paraffin-embedded sections) - Anti-68kDa Neurofilament/NF-L antibody [Nfl21] (AB273441)
  • IHC-P

Unknown

Immunohistochemistry (Formalin/PFA-fixed paraffin-embedded sections) - Anti-68kDa Neurofilament/NF-L antibody [Nfl21] (AB273441)

Immunohistochemical analysis of paraffin-embedded mouse cerebrum tissue labeling Neurofilament light with ab273441 at 1/500 (2.116 μg/ml) dilution followed by a ready to use LeicaDS9800 (Bond® Polymer Refine Detection). Positive staining on mouse cerebrum is observed. The section was incubated with ab273441 for 30 mins at room temperature and blocked mouse IgG with specific antibody ab125913 for 8min. The immunostaining was performed on a Leica Biosystems BOND® RX instrument. Counterstained with Hematoxylin.

Secondary antibody only control : Secondary antibody is a ready to use LeicaDS9800 (Bond® Polymer Refine Detection).

Heat mediated antigen retrieval with Tris-EDTA buffer (pH 9.0, epitope retrieval solution2) for 20 mins.

Immunohistochemistry (Formalin/PFA-fixed paraffin-embedded sections) - Anti-68kDa Neurofilament/NF-L antibody [Nfl21] (AB273441)
  • IHC-P

Unknown

Immunohistochemistry (Formalin/PFA-fixed paraffin-embedded sections) - Anti-68kDa Neurofilament/NF-L antibody [Nfl21] (AB273441)

Immunohistochemical analysis of paraffin-embedded rat cerebrum tissue labeling Neurofilament light with ab273441 at 1/500 (2.116 μg/ml) dilution followed by a ready to use LeicaDS9800 (Bond® Polymer Refine Detection). Positive staining on rat cerebrum is observed. The section was incubated with ab273441 for 30 mins at room temperature and blocked mouse IgG with specific antibody ab125913 for 8min. The immunostaining was performed on a Leica Biosystems BOND® RX instrument. Counterstained with Hematoxylin.

Secondary antibody only control : Secondary antibody is a ready to use LeicaDS9800 (Bond® Polymer Refine Detection).

Heat mediated antigen retrieval with Tris-EDTA buffer (pH 9.0, epitope retrieval solution2) for 20 mins.

Western blot - Anti-68kDa Neurofilament/NF-L antibody [Nfl21] (AB273441)
  • WB

Supplier Data

Western blot - Anti-68kDa Neurofilament/NF-L antibody [Nfl21] (AB273441)

This blot was developed using a higher sensitivity ECL substrate.

Blocking/Dilution buffer : 5% NFDM/TBST.

Exposure times : Lane 1 : 37 seconds; Lane 2 : 3 minutes.

All lanes:

Western blot - Anti-68kDa Neurofilament/NF-L antibody [Nfl21] (ab273441) at 1/1000 dilution

Lane 1:

SK-N-BE(2) (human neuroblastoma neuroblast), whole cell lysate at 20 µg

Lane 2:

Human cerebrospinal fluid at 40 µL

Secondary

All lanes:

Peroxidase-Conjugated Goat anti-Mouse IgG (H+L) at 1/5000 dilution

Predicted band size: 62 kDa

false

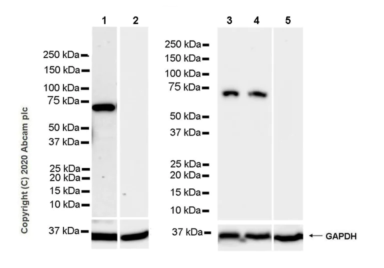
Western blot - Anti-68kDa Neurofilament/NF-L antibody [Nfl21] (AB273441)
  • WB

Supplier Data

Western blot - Anti-68kDa Neurofilament/NF-L antibody [Nfl21] (AB273441)

Negative control : liver (PMID : 2120242).

Blocking/Dilution buffer : 5% NFDM/TBST.

Exposure times : Lane 1-2 : 10 seconds; Lane 3-5 : 37 seconds.

All lanes:

Western blot - Anti-68kDa Neurofilament/NF-L antibody [Nfl21] (ab273441) at 1/1000 dilution

Lane 1:

Mouse hippocampus tissue lysate at 20 µg

Lane 2:

Mouse liver tissue lysate at 20 µg

Lane 3:

Rat brain tissue lysate at 20 µg

Lane 4:

Rat hippocampus tissue lysate at 20 µg

Lane 5:

Rat liver tissue lysate at 20 µg

Secondary

All lanes:

Western blot - Anti-mouse IgG for IP (HRP) (<a href='/en-us/products/secondary-antibodies/mouse-igg-for-ip-hrp-ab131368'>ab131368</a>) at 1/1000 dilution

Predicted band size: 62 kDa

false

  • Carrier free

    Anti-68kDa Neurofilament/NF-L antibody [Nfl21] - BSA and Azide free

Key facts

Host species

Mouse

Clonality

Monoclonal

Clone number

Nfl21

Isotype

IgG1

Carrier free

No

Reacts with

Mouse, Rat, Human

Applications

WB, IHC-P

applications

Immunogen

The exact immunogen used to generate this antibody is proprietary information.

Reactivity data

{ "title": "Reactivity Data", "filters": { "stats": ["", "Species", "Dilution Info", "Notes"], "tabs": { "all-applications": {"fullname" : "All Applications", "shortname": "All Applications"}, "ICCIF" : {"fullname" : "Immunocytochemistry/ Immunofluorescence", "shortname":"ICC/IF"}, "WB" : {"fullname" : "Western blot", "shortname":"WB"}, "IHCFr" : {"fullname" : "Immunohistochemistry (Frozen sections)", "shortname":"IHC-Fr"}, "IHCP" : {"fullname" : "Immunohistochemistry (Formalin/PFA-fixed paraffin-embedded sections)", "shortname":"IHC-P"} }, "product-promise": { "all": "all", "testedAndGuaranteed": "tested", "guaranteed": "expected", "predicted": "predicted", "notRecommended": "not-recommended" } }, "values": { "Human": { "ICCIF-species-checked": "notRecommended", "ICCIF-species-dilution-info": "", "ICCIF-species-notes": "<p></p>", "WB-species-checked": "testedAndGuaranteed", "WB-species-dilution-info": "1/1000", "WB-species-notes": "<p></p>", "IHCFr-species-checked": "notRecommended", "IHCFr-species-dilution-info": "", "IHCFr-species-notes": "<p></p>", "IHCP-species-checked": "testedAndGuaranteed", "IHCP-species-dilution-info": "1/500", "IHCP-species-notes": "<p></p> Perform heat-mediated antigen retrieval with Tris/EDTA buffer pH 9.0 before commencing with IHC staining protocol." }, "Mouse": { "ICCIF-species-checked": "notRecommended", "ICCIF-species-dilution-info": "", "ICCIF-species-notes": "<p></p>", "WB-species-checked": "testedAndGuaranteed", "WB-species-dilution-info": "1/1000", "WB-species-notes": "<p></p>", "IHCFr-species-checked": "notRecommended", "IHCFr-species-dilution-info": "", "IHCFr-species-notes": "<p></p>", "IHCP-species-checked": "testedAndGuaranteed", "IHCP-species-dilution-info": "1/500", "IHCP-species-notes": "<p></p> Perform heat-mediated antigen retrieval with Tris/EDTA buffer pH 9.0 before commencing with IHC staining protocol." }, "Rat": { "ICCIF-species-checked": "notRecommended", "ICCIF-species-dilution-info": "", "ICCIF-species-notes": "<p></p>", "WB-species-checked": "testedAndGuaranteed", "WB-species-dilution-info": "1/1000", "WB-species-notes": "<p></p>", "IHCFr-species-checked": "notRecommended", "IHCFr-species-dilution-info": "", "IHCFr-species-notes": "<p></p>", "IHCP-species-checked": "testedAndGuaranteed", "IHCP-species-dilution-info": "1/500", "IHCP-species-notes": "<p></p> Perform heat-mediated antigen retrieval with Tris/EDTA buffer pH 9.0 before commencing with IHC staining protocol." } } }

Product details

What are the advantages of a recombinant monoclonal antibody?
This product is a recombinant monoclonal antibody, which offers several advantages including:

  • - High batch-to-batch consistency and reproducibility
  • - Improved sensitivity and specificity
  • - Long-term security of supply
  • - Animal-free batch production

For more information, read more on recombinant antibodies.

Want a custom formulation?
This antibody clone is manufactured by Abcam. If you require a custom buffer formulation or conjugation for your experiments, please contact orders@abcam.com

Properties and storage information

Form
Liquid
Purification technique
Affinity purification Protein A
Storage buffer
pH: 7.2 - 7.4 Preservative: 0.01% Sodium azide Constituents: PBS, 40% Glycerol (glycerin, glycerine), 0.05% BSA
Shipped at conditions
Blue Ice
Appropriate short-term storage duration
1-2 weeks
Appropriate short-term storage conditions
+4°C
Appropriate long-term storage conditions
-20°C
Aliquoting information
Upon delivery aliquot
Storage information
Avoid freeze / thaw cycle

Supplementary information

This supplementary information is collated from multiple sources and compiled automatically.

The 68kDa Neurofilament also known as NF-L or neurofilament light plays a mechanical role in maintaining the structural integrity of neurons. This protein is characterized by its mass of 68 kilodaltons. It expresses specifically in the cytoplasm of neurons where it forms a critical part of the neurofilament protein triplet along with NF-M and NF-H. These components collectively form the intermediate filaments found in the neuron axons providing essential structural support.
Biological function summary

The neurofilament protein functions to stabilize the axonal diameter thereby affecting neuronal conductivity. It integrates into a complex with other neurofilament proteins and related molecules forming cross-bridges that aid in strengthening the cellular structure. This protein-protein interaction is vital for normal neuronal function and efficient nerve signal transmission.

Pathways

Neurofilament proteins contribute to cellular processes within the nervous system. It participates in the axonal transport pathway which includes the transport of synaptic vesicles and organelles along axons. This movement is facilitated by interactions with motor proteins like kinesin and dynein which help in moving these materials to their destinations. Additionally NF-L connects to actin filaments collaborating to sustain neuronal shape and function.

Neurofilament proteins have links to conditions such as amyotrophic lateral sclerosis (ALS) and Alzheimer's disease. Elevated levels of NF-L are often observed in ALS suggesting neuronal damage as axonal injury raises the protein's presence in the cerebrospinal fluid. Similarly in Alzheimer's disease aberrant interaction of tau protein with neurofilament proteins disrupts neuronal function. These connections highlight NF-L's potential as a biomarker for neural injury and neurodegenerative diseases.

Product protocols

For this product, it's our understanding that no specific protocols are required. You can visit:

Target data

Neurofilaments usually contain three intermediate filament proteins : NEFL, NEFM, and NEFH which are involved in the maintenance of neuronal caliber. May additionally cooperate with the neuronal intermediate filament proteins PRPH and INA to form neuronal filamentous networks (By similarity).
See full target information NEFL

Publications (2)

Recent publications for all applications. Explore the full list and refine your search

Journal of nanobiotechnology 23:406 PubMed40457432

2025

Gastrointestinal exposure to silica nanoparticles induced Alzheimer's disease-like neurotoxicity in mice relying on gut microbiota and modulation through TLR4/NF-κB and HDAC.

Applications

Unspecified application

Species

Unspecified reactive species

Lisha Du,Benjie Wang,Xinyi Wang,Longxing Wang,Renjun Wang,Yuanyuan Zhang,Zemei Hong,Xiaofei Han,Yadong Wang

International endodontic journal 57:37-49 PubMed37874659

2023

Sensory nerves, but not sympathetic nerves, promote reparative dentine formation after dentine injury via CGRP-mediated angiogenesis: An in vivo study.

Applications

Unspecified application

Species

Unspecified reactive species

Chaoning Zhan,Minchun Huang,Junyang Chen,Yanli Lu,Xiaojun Yang,Jin Hou
View all publications

Product promise

We are committed to supporting your work with high-quality reagents, and we're here for you every step of the way. In the unlikely event that one of our products does not perform as expected, you're protected by our Product Promise.
For full details, please see our Terms & Conditions

Please note: All products are 'FOR RESEARCH USE ONLY. NOT FOR USE IN DIAGNOSTIC OR THERAPEUTIC PROCEDURES'.

For licensing inquiries, please contact partnerships@abcam.com