JavaScript is disabled in your browser. Please enable JavaScript to view this website.
AB315815

Anti-68kDa Neurofilament/NF-L (C-term) antibody [EPR28784-63] - BSA and Azide free

Be the first to review this product! Submit a review

|

(0 Publication)

Rabbit Recombinant Monoclonal 68kDa Neurofilament/NF-L antibody. Carrier free. Suitable for WB, IHC-P, ICC/IF, Flow Cyt (Intra), I-ELISA and reacts with Human, Synthetic peptide - Human samples.

View Alternative Names

NF68, NFL, NEFL, Neurofilament light polypeptide, NF-L, 68 kDa neurofilament protein, Neurofilament triplet L protein

8 Images
Flow Cytometry (Intracellular) - Anti-68kDa Neurofilament/NF-L (C-term) antibody [EPR28784-63] - BSA and Azide free (AB315815)
  • Flow Cyt (Intra)

Supplier Data

Flow Cytometry (Intracellular) - Anti-68kDa Neurofilament/NF-L (C-term) antibody [EPR28784-63] - BSA and Azide free (AB315815)

This data was developed using ab315814, the same antibody clone in a different buffer formulation.

Flow cytometric analysis of 4% paraformaldehyde fixed 90% methanol permeabilized BxPC-3 (human pancreas adenocarcinoma epithelial cell, Left) / SK-N-BE(2) (human neuroblastoma neuroblast, Right) cells labelling 68kDa Neurofilament/NF-L (C-term) with ab315814 at 1/500 dilution (0.1 ug)/Red compared with a Rabbit monoclonal IgG (ab172730) (Black) isotype control and an unlabelled control (cells without incubation with primary antibody and secondary antibody) (Blue).

Goat Anti-Rabbit IgG (Alexa Fluor® 488, ab150081) at 1/5000 dilution was used as the secondary antibody.

Low expression : BxPC-3.

Immunohistochemistry (Formalin/PFA-fixed paraffin-embedded sections) - Anti-68kDa Neurofilament/NF-L (C-term) antibody [EPR28784-63] - BSA and Azide free (AB315815)
  • IHC-P

Supplier Data

Immunohistochemistry (Formalin/PFA-fixed paraffin-embedded sections) - Anti-68kDa Neurofilament/NF-L (C-term) antibody [EPR28784-63] - BSA and Azide free (AB315815)

This data was developed using ab315814, the same antibody clone in a different buffer formulation.

Immunohistochemical analysis of paraffin-embedded Human cerebrum tissue labeling 68kDa Neurofilament/NF-L (C-term) with ab315814 at 1/5000 (0.102 ug/ml) dilution, followed by a ready to use LeicaDS9800 (Bond™ Polymer Refine Detection).

Positive staining on human cerebrum (PMID : 34557955).
The section was incubated with ab315814 for 30 mins at room temperature.
The immunostaining was performed on a Leica Biosystems BOND® RX instrument.

Counterstained with Hematoxylin.

Secondary antibody only control : Secondary antibody is a ready to use LeicaDS9800 (Bond™ Polymer Refine Detection).

Heat mediated antigen retrieval was performed with Tris-EDTA buffer (pH 9.0, Epitope Retrieval Solution2) for 20 mins.

Immunocytochemistry/ Immunofluorescence - Anti-68kDa Neurofilament/NF-L (C-term) antibody [EPR28784-63] - BSA and Azide free (AB315815)
  • ICC/IF

Supplier Data

Immunocytochemistry/ Immunofluorescence - Anti-68kDa Neurofilament/NF-L (C-term) antibody [EPR28784-63] - BSA and Azide free (AB315815)

This data was developed using ab315814, the same antibody clone in a different buffer formulation.

Immunofluorescent analysis of 4% Paraformaldehyde-fixed, 0.1% TritonX-100 permeabilized SK-N-BE(2) (human neuroblastoma neuroblast) cells labelling 68kDa Neurofilament/NF-L (C-term) with ab315814 at 1/500 (2.046 ug/ml) dilution, followed by ab150081 Goat Anti-Rabbit IgG H&L (Alexa Fluor® 488) preadsorbed antibody at 1/1000 (2 ug/mL) dilution (Green).

Confocal image showing cytoplasmic staining in SK-N-BE(2) cell line.
Low expreesion : BxPC-3.
Image was taken with a confocal microscope(Leica-Microsystems, TCS SP8).

ab195889 Anti-alpha Tubulin mouse monoclonal antibody - Microtubule Marker (Alexa Fluor® 594) was used to counterstain tubulin at 1/200 (2.5ug/ml) dilution (Red). The Nuclear counterstain was DAPI (Blue).

Secondary antibody only control : Secondary antibody is ab150081 Goat Anti-Rabbit IgG H&L (Alexa Fluor® 488) preadsorbed at 1/1000 (2 ug/mL) dilution.

Immunohistochemistry (Formalin/PFA-fixed paraffin-embedded sections) - Anti-68kDa Neurofilament/NF-L (C-term) antibody [EPR28784-63] - BSA and Azide free (AB315815)
  • IHC-P

Supplier Data

Immunohistochemistry (Formalin/PFA-fixed paraffin-embedded sections) - Anti-68kDa Neurofilament/NF-L (C-term) antibody [EPR28784-63] - BSA and Azide free (AB315815)

This data was developed using ab315814, the same antibody clone in a different buffer formulation.

Immunohistochemical analysis of paraffin-embedded Human liver tissue labeling 68kDa Neurofilament/NF-L (C-term) with ab315814 at 1/5000 (0.102 ug/ml) dilution, followed by a ready to use LeicaDS9800 (Bond™ Polymer Refine Detection).

Negative control : no staining on human liver (PMID : 2420946).
The section was incubated with ab315814 for 30 mins at room temperature.
The immunostaining was performed on a Leica Biosystems BOND® RX instrument.

Counterstained with Hematoxylin.

Secondary antibody only control : Secondary antibody is a ready to use LeicaDS9800 (Bond™ Polymer Refine Detection).

Heat mediated antigen retrieval was performed with Tris-EDTA buffer (pH 9.0, Epitope Retrieval Solution2) for 20 mins.

Immunohistochemistry (Formalin/PFA-fixed paraffin-embedded sections) - Anti-68kDa Neurofilament/NF-L (C-term) antibody [EPR28784-63] - BSA and Azide free (AB315815)
  • IHC-P

Supplier Data

Immunohistochemistry (Formalin/PFA-fixed paraffin-embedded sections) - Anti-68kDa Neurofilament/NF-L (C-term) antibody [EPR28784-63] - BSA and Azide free (AB315815)

This data was developed using ab315814, the same antibody clone in a different buffer formulation.

Immunohistochemical analysis of paraffin-embedded Human Alzheimer's disease cerebrum tissue labeling 68kDa Neurofilament/NF-L (C-term) with ab315814 at 1/5000 (0.102 ug/ml) dilution, followed by a ready to use LeicaDS9800 (Bond™ Polymer Refine Detection).

Positive staining on cerebrum of human Alzheimer's disease.
The section was incubated with ab315814 for 30 mins at room temperature.
The immunostaining was performed on a Leica Biosystems BOND® RX instrument.

Counterstained with Hematoxylin.

Secondary antibody only control : Secondary antibody is a ready to use LeicaDS9800 (Bond™ Polymer Refine Detection).

Heat mediated antigen retrieval was performed with Tris-EDTA buffer (pH 9.0, Epitope Retrieval Solution2) for 20 mins.

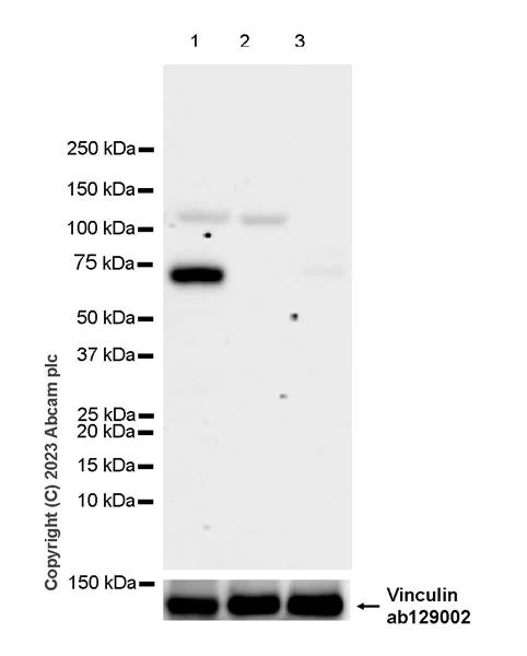
Western blot - Anti-68kDa Neurofilament/NF-L (C-term) antibody [EPR28784-63] - BSA and Azide free (AB315815)
  • WB

Supplier Data

Western blot - Anti-68kDa Neurofilament/NF-L (C-term) antibody [EPR28784-63] - BSA and Azide free (AB315815)

This data was developed using ab315814, the same antibody clone in a different buffer formulation.

Low expression : BxPC-3, ARPE-19.

Blocking and diluting buffer and concentration : 5% NFDM/TBST.

The identity of the higher MW band at approximately 100 kDa is unknown.

In Western blot, Anti-Vinculin antibody [EPR8185] (ab129002) staining at 1/10000 dilution.

All lanes:

Western blot - Anti-68kDa Neurofilament/NF-L (C-term) antibody [EPR28784-63] (<a href='/en-us/products/primary-antibodies/68kda-neurofilament-nf-l-c-term-antibody-epr28784-63-ab315814'>ab315814</a>) at 1/1000 dilution

Lane 1:

SK-N-BE(2) (human neuroblastoma neuroblast) whole cell lysate at 50 µg

Lane 2:

BxPC-3 (human pancreas adenocarcinoma epithelial cell) whole cell lysate at 50 µg

Lane 3:

ARPE-19 (human eye epithelial cell) whole cell lysate at 50 µg

Secondary

All lanes:

Western blot - Goat Anti-Rabbit IgG H&L (HRP) (<a href='/en-us/products/secondary-antibodies/goat-rabbit-igg-h-l-hrp-ab97051'>ab97051</a>) at 1/100000 dilution

Observed band size: 70 kDa,124 kDa

false

Exposure time: 59s

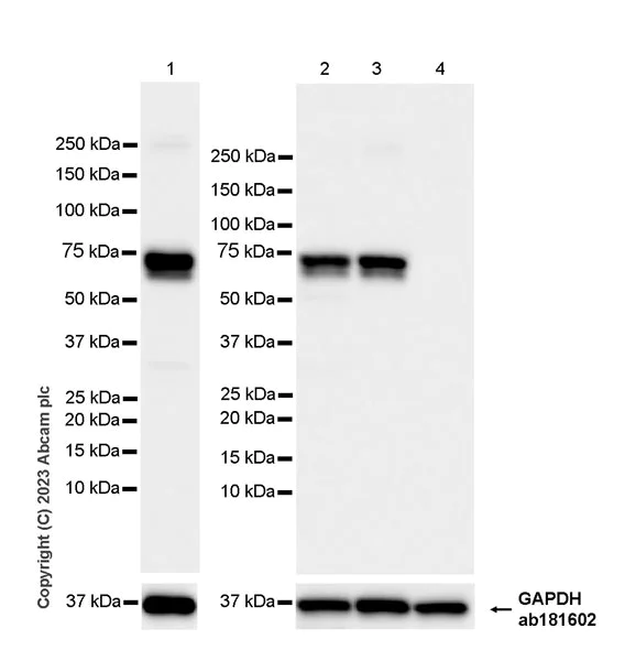
Western blot - Anti-68kDa Neurofilament/NF-L (C-term) antibody [EPR28784-63] - BSA and Azide free (AB315815)
  • WB

Supplier Data

Western blot - Anti-68kDa Neurofilament/NF-L (C-term) antibody [EPR28784-63] - BSA and Azide free (AB315815)

This data was developed using ab315814, the same antibody clone in a different buffer formulation.

Blocking and diluting buffer and concentration : 5% NFDM/TBST.

Negative control : liver (PMID : 2420946).

The expression profile/ molecular weight observed isconsistent with what has been described in the literature (PMID : 33009465).

In Western blot, Anti-GAPDH antibody [EPR16891] - Loading Control (ab181602) staining at 1/200000 dilution.

Exposure time : Lane 1 : 1 second, lanes 2-4 : 3 seconds.

All lanes:

Western blot - Anti-68kDa Neurofilament/NF-L (C-term) antibody [EPR28784-63] (<a href='/en-us/products/primary-antibodies/68kda-neurofilament-nf-l-c-term-antibody-epr28784-63-ab315814'>ab315814</a>) at 1/1000 dilution

Lane 1:

Human brain tissue lysate at 20 µg

Lane 2:

Human spinal cord tissue lysate at 20 µg

Lane 3:

Human alzheimers brain tissue lysate at 20 µg

Lane 4:

Human liver tissue lysate at 20 µg

Secondary

All lanes:

Goat Anti-Rabbit IgG (HRP) with minimal cross-reactivity with human IgG at 1/2000 dilution

Observed band size: 75 kDa,36 kDa

false

Indirect ELISA - Anti-68kDa Neurofilament/NF-L (C-term) antibody [EPR28784-63] - BSA and Azide free (AB315815)
  • I-ELISA

Supplier Data

Indirect ELISA - Anti-68kDa Neurofilament/NF-L (C-term) antibody [EPR28784-63] - BSA and Azide free (AB315815)

This data was developed using ab315814, the same antibody clone in a different buffer formulation.

Indirect ELISA analysis of ab315814 at 1000-0 ng/ml. The Secondary antibody used was Alkaline Phosphatase-conjugated AffiniPure Goat Anti-Rabbit IgG (H+L) at 1 : 2500 dilution.

Antigen : Human Neurofilament light polypeptide 1,Human Neurofilament light polypeptide 2.

Antigen concentration : 1000 ng/ml

  • Unconjugated

    Anti-68kDa Neurofilament/NF-L (C-term) antibody [EPR28784-63]

Key facts

Host species

Rabbit

Clonality

Monoclonal

Clone number

EPR28784-63

Isotype

IgG

Carrier free

Yes

Reacts with

Human

Applications

Flow Cyt (Intra), IHC-P, WB, ICC/IF, I-ELISA

applications

Immunogen

The exact immunogen used to generate this antibody is proprietary information.

Reactivity data

{ "title": "Reactivity Data", "filters": { "stats": ["", "Species", "Dilution Info", "Notes"], "tabs": { "all-applications": {"fullname" : "All Applications", "shortname": "All Applications"}, "WB" : {"fullname" : "Western blot", "shortname":"WB"}, "IHCP" : {"fullname" : "Immunohistochemistry (Formalin/PFA-fixed paraffin-embedded sections)", "shortname":"IHC-P"}, "ICCIF" : {"fullname" : "Immunocytochemistry/ Immunofluorescence", "shortname":"ICC/IF"}, "FlowCytIntra" : {"fullname" : "Flow Cytometry (Intracellular)", "shortname":"Flow Cyt (Intra)"}, "IELISA" : {"fullname" : "Indirect ELISA", "shortname":"I-ELISA"}, "IP" : {"fullname" : "Immunoprecipitation", "shortname":"IP"} }, "product-promise": { "all": "all", "testedAndGuaranteed": "tested", "guaranteed": "expected", "predicted": "predicted", "notRecommended": "not-recommended" } }, "values": { "Human": { "WB-species-checked": "testedAndGuaranteed", "WB-species-dilution-info": "", "WB-species-notes": "<p></p>", "IHCP-species-checked": "testedAndGuaranteed", "IHCP-species-dilution-info": "", "IHCP-species-notes": "<p></p>", "ICCIF-species-checked": "testedAndGuaranteed", "ICCIF-species-dilution-info": "", "ICCIF-species-notes": "<p></p>", "FlowCytIntra-species-checked": "testedAndGuaranteed", "FlowCytIntra-species-dilution-info": "", "FlowCytIntra-species-notes": "<p></p>", "IELISA-species-checked": "guaranteed", "IELISA-species-dilution-info": "", "IELISA-species-notes": "", "IP-species-checked": "notRecommended", "IP-species-dilution-info": "", "IP-species-notes": "<p></p>" }, "Mouse": { "WB-species-checked": "notRecommended", "WB-species-dilution-info": "", "WB-species-notes": "<p></p>", "IHCP-species-checked": "notRecommended", "IHCP-species-dilution-info": "", "IHCP-species-notes": "<p></p>", "ICCIF-species-checked": "notRecommended", "ICCIF-species-dilution-info": "", "ICCIF-species-notes": "", "FlowCytIntra-species-checked": "notRecommended", "FlowCytIntra-species-dilution-info": "", "FlowCytIntra-species-notes": "", "IELISA-species-checked": "notRecommended", "IELISA-species-dilution-info": "", "IELISA-species-notes": "", "IP-species-checked": "notRecommended", "IP-species-dilution-info": "", "IP-species-notes": "" }, "Rat": { "WB-species-checked": "notRecommended", "WB-species-dilution-info": "", "WB-species-notes": "<p></p>", "IHCP-species-checked": "notRecommended", "IHCP-species-dilution-info": "", "IHCP-species-notes": "<p></p>", "ICCIF-species-checked": "notRecommended", "ICCIF-species-dilution-info": "", "ICCIF-species-notes": "", "FlowCytIntra-species-checked": "notRecommended", "FlowCytIntra-species-dilution-info": "", "FlowCytIntra-species-notes": "", "IELISA-species-checked": "notRecommended", "IELISA-species-dilution-info": "", "IELISA-species-notes": "", "IP-species-checked": "notRecommended", "IP-species-dilution-info": "", "IP-species-notes": "" }, "Synthetic peptide - Human": { "WB-species-checked": "notRecommended", "WB-species-dilution-info": "", "WB-species-notes": "", "IHCP-species-checked": "notRecommended", "IHCP-species-dilution-info": "", "IHCP-species-notes": "", "ICCIF-species-checked": "notRecommended", "ICCIF-species-dilution-info": "", "ICCIF-species-notes": "", "FlowCytIntra-species-checked": "notRecommended", "FlowCytIntra-species-dilution-info": "", "FlowCytIntra-species-notes": "", "IELISA-species-checked": "testedAndGuaranteed", "IELISA-species-dilution-info": "", "IELISA-species-notes": "<p></p>", "IP-species-checked": "notRecommended", "IP-species-dilution-info": "", "IP-species-notes": "" } } }

Product details

ab315815 is the carrier-free version of ab315814.

Patented technology
Our RabMAb® technology is a patented hybridoma-based technology for making rabbit monoclonal antibodies. For details on our patents, please refer to RabMAb® patents.

What are the advantages of a recombinant monoclonal antibody?
This product is a recombinant monoclonal antibody, which offers several advantages including:

  • - High batch-to-batch consistency and reproducibility
  • - Improved sensitivity and specificity
  • - Long-term security of supply
  • - Animal-free batch production

For more information, read more on recombinant antibodies.

Conjugation ready
Our carrier-free antibodies are typically supplied in a PBS-only formulation, purified and free of BSA, sodium azide and glycerol. This conjugation-ready format is designed for use with fluorochromes, metal isotopes, oligonucleotides, and enzymes, which makes them ideal for antibody labelling, functional and cell-based assays, flow-based assays (e.g. mass cytometry) and Multiplex Imaging applications.

Use our conjugation kits for antibody conjugates that are ready-to-use in as little as 20 minutes with 1 minute hands-on-time and 100% antibody recovery: available for fluorescent dyes, HRP, biotin and gold.

Compatibility
This product is compatible with the Maxpar® Antibody Labeling Kit from Fluidigm, without the need for antibody preparation. Maxpar® is a trademark of Fluidigm Canada Inc.

Properties and storage information

Form
Liquid
Purification technique
Affinity purification Protein A
Storage buffer
pH: 7.2 - 7.4 Constituents: PBS
Shipped at conditions
Blue Ice
Appropriate short-term storage conditions
+4°C
Appropriate long-term storage conditions
+4°C

Supplementary information

This supplementary information is collated from multiple sources and compiled automatically.

The 68kDa Neurofilament also known as NF-L (C-term) is a critical component of the cytoskeleton in neurons. It has a mass of approximately 68 kilodaltons and is expressed primarily in the central and peripheral nervous systems. As the smallest neurofilament protein NF-L plays a significant role in maintaining neuronal caliber by assembling into intermediate filaments. These networks of filaments provide structural support to neurons which is essential for proper nerve cell function and stability.
Biological function summary

68kDa Neurofilament integrates into a complex with other neurofilament proteins such as NF-M and NF-H to form mature neurofilament structures. These filaments are necessary for axonal transport influencing the distribution of organelles and proteins along the axon. The proper function of these complexes is essential for nerve conduction and integrity impacting axonal geometry directly which is critical for sustaining efficient neuronal signaling and plasticity in the nervous system.

Pathways

The 68kDa Neurofilament is central to the neurofilament signaling and axonal transport pathways. These pathways regulate axonal caliber and contribute to efficient neurotransmission. It interacts closely with other cytoskeletal proteins and motor proteins such as kinesin which supports the movement of cellular components within axons. This transport mechanism is important for normal neuronal function and adaptation to signals affecting the overall communication within neural networks.

Aberrations in the 68kDa Neurofilament are linked to neurodegenerative conditions like Amyotrophic Lateral Sclerosis (ALS) and Charcot-Marie-Tooth disease. In ALS misregulation of neurofilament proteins including NF-L leads to axonal transport disruptions and neuronal death. NF-L abnormalities also are associated with Charcot-Marie-Tooth disease where mutations in the gene encoding this protein disturb normal filament assembly and function contributing to peripheral neuropathy. Changes in neurofilament interactions with proteins like peripherin can exacerbate these disorders highlighting their role in disease progression and serving as potential targets for therapeutic interventions.

Product protocols

For this product, it's our understanding that no specific protocols are required. You can visit:

Target data

Neurofilaments usually contain three intermediate filament proteins : NEFL, NEFM, and NEFH which are involved in the maintenance of neuronal caliber. May additionally cooperate with the neuronal intermediate filament proteins PRPH and INA to form neuronal filamentous networks (By similarity).
See full target information NEFL

Product promise

We are committed to supporting your work with high-quality reagents, and we're here for you every step of the way. In the unlikely event that one of our products does not perform as expected, you're protected by our Product Promise.
For full details, please see our Terms & Conditions

Please note: All products are 'FOR RESEARCH USE ONLY. NOT FOR USE IN DIAGNOSTIC OR THERAPEUTIC PROCEDURES'.

For licensing inquiries, please contact partnerships@abcam.com