JavaScript is disabled in your browser. Please enable JavaScript to view this website.
AB245114

Anti-6X His tag® antibody [JPAR-2]

Be the first to review this product! Submit a review

|

(4 Publications)

Anti-6X His tag® antibody [JPAR-2] (ab245114) is a rabbit monoclonal antibody detecting 6X His tag® in Western Blot, Flow Cytometry, IP, IHC-P.

- Biophysical QC for unrivalled batch-batch consistency

View Alternative Names

6 His epitope tag, HHHHHH epitope tag, HHHHHH tag, Hexa His tag, Polyhistidine Tag, 6x his, 6x-HIS

4 Images
Flow Cytometry - Anti-6X His tag® antibody [JPAR-2] (AB245114)
  • Flow Cyt

Unknown

Flow Cytometry - Anti-6X His tag® antibody [JPAR-2] (AB245114)

Flow cytometric analysis of 4% paraformaldehyde-fixed, 90% methanol-permeabilized HEK-293T (human epithelial cell line from embryonic kidney transformed with large T antigen) transfected with a His-tagged Staphylococcus aureus cas9 (J7RUA5) construct labeling 6X His tag® with ab245114 at 1/500 (Right) compared with a Rabbit monoclonal IgG isotype control (ab172730) (Left). Goat Anti-Rabbit IgG H&L (Alexa Fluor® 647) (ab150079), at 1/2000 dilution was used as the secondary antibody.

Immunohistochemistry (Formalin/PFA-fixed paraffin-embedded sections) - Anti-6X His tag® antibody [JPAR-2] (AB245114)
  • IHC-P

Unknown

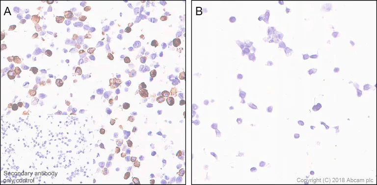
Immunohistochemistry (Formalin/PFA-fixed paraffin-embedded sections) - Anti-6X His tag® antibody [JPAR-2] (AB245114)

Immunohistochemical analysis of paraffin-embedded HEK-293T (human epithelial cell line from embryonic kidney transformed with large T antigen) labeling 6X His tag® with ab245114 at 1/500 dilution, followed by Goat Anti-Rabbit IgG H&L (HRP) ready to use. Positive staining on (A) HEK-293T transfected with a 6× His tag construct is observed. No staining on (B) HEK-293T transfected with an empty plasmid is observed. Counterstained with hematoxylin.
Secondary antibody only control : Used PBS instead of primary antibody, secondary antibody is Goat Anti-Rabbit IgG H&L (HRP) ready to use.

Heat mediated antigen retrieval using ab93684 (Tris/EDTA buffer, pH 9.0).

Immunoprecipitation - Anti-6X His tag® antibody [JPAR-2] (AB245114)
  • IP

Unknown

Immunoprecipitation - Anti-6X His tag® antibody [JPAR-2] (AB245114)

His-tagged Staphylococcus aureus cas9 (J7RUA5; aa 1-1053; 125kDa) was immunoprecipitated from 0.35 mg of HEK-293T (human epithelial cell line from embryonic kidney transformed with large T antigen) (transfected with Staphylococcus aureus cas9 (J7RUA5; aa 1-1053; 125kDa)) whole cell lysate with ab245114 at 1/30 dilution. Western blot was performed from the immunoprecipitate using ab245114 at 1/1000 dilution. VeriBlot for IP Detection Reagent (HRP) (ab131366), was used for detection at 1/5000 dilution.

Lane 1 : HEK-293T transfected with a His-tagged Staphylococcus aureus cas9 whole cell lysate 10 μg (Input).
Lane 2 : ab245114 IP in HEK-293T transfected with a His-tagged Staphylococcus aureus cas9 whole cell lysate.
Lane 3 : Rabbit monoclonal IgG (ab172730) instead of ab245114 in HEK-293T transfected with a His-tagged Staphylococcus aureus cas9 whole cell lysate.

Blocking and dilution buffer and concentration : 5% NFDM/TBST.
Exposure time : 30 seconds.

All lanes:

Immunoprecipitation - Anti-6X His tag® antibody [JPAR-2] (ab245114)

Observed band size: 125 kDa

false

Western blot - Anti-6X His tag® antibody [JPAR-2] (AB245114)
  • WB

Supplier Data

Western blot - Anti-6X His tag® antibody [JPAR-2] (AB245114)

Blocking and dilution buffer : 5% NFDM/TBST.

All lanes:

Western blot - Anti-6X His tag® antibody [JPAR-2] (ab245114) at 1/1000 dilution

Lane 1:

HEK-293T (human epithelial cell line from embryonic kidney transformed with large T antigen) transfected with an empty plasmid, whole cell lysate at 20 µg

Lane 2:

HEK-293T transfected with a His-tagged Staphylococcus aureus cas9 (J7RUA5; aa 1-1053; 125kDa) construct, whole cell lysate at 20 µg

Secondary

All lanes:

Western blot - Goat Anti-Rabbit IgG H&L (HRP) (<a href='/en-us/products/secondary-antibodies/goat-rabbit-igg-h-l-hrp-ab97051'>ab97051</a>) at 1/100000 dilution

Observed band size: 125 kDa

false

Exposure time: 15s

  • Carrier free

    Anti-6X His tag® antibody [JPAR-2] - BSA and Azide free

Key facts

Host species

Rabbit

Clonality

Monoclonal

Clone number

JPAR-2

Isotype

IgG

Carrier free

No

Applications

IP, WB, IHC-P, Flow Cyt

applications

Immunogen

The exact immunogen used to generate this antibody is proprietary information.

Reactivity data

{ "title": "Reactivity Data", "filters": { "stats": ["", "Species", "Dilution Info", "Notes"], "tabs": { "all-applications": {"fullname" : "All Applications", "shortname": "All Applications"}, "IP" : {"fullname" : "Immunoprecipitation", "shortname":"IP"}, "IHCP" : {"fullname" : "Immunohistochemistry (Formalin/PFA-fixed paraffin-embedded sections)", "shortname":"IHC-P"}, "FlowCyt" : {"fullname" : "Flow Cytometry", "shortname":"Flow Cyt"}, "WB" : {"fullname" : "Western blot", "shortname":"WB"}, "ICCIF" : {"fullname" : "Immunocytochemistry/ Immunofluorescence", "shortname":"ICC/IF"} }, "product-promise": { "all": "all", "testedAndGuaranteed": "tested", "guaranteed": "expected", "predicted": "predicted", "notRecommended": "not-recommended" } }, "values": { "Synthetic peptide": { "IP-species-checked": "notRecommended", "IP-species-dilution-info": "", "IP-species-notes": "", "IHCP-species-checked": "notRecommended", "IHCP-species-dilution-info": "", "IHCP-species-notes": "", "FlowCyt-species-checked": "notRecommended", "FlowCyt-species-dilution-info": "", "FlowCyt-species-notes": "", "WB-species-checked": "notRecommended", "WB-species-dilution-info": "", "WB-species-notes": "", "ICCIF-species-checked": "notRecommended", "ICCIF-species-dilution-info": "", "ICCIF-species-notes": "<p></p>" }, "Tag": { "IP-species-checked": "testedAndGuaranteed", "IP-species-dilution-info": "1/30", "IP-species-notes": "<p></p>", "IHCP-species-checked": "testedAndGuaranteed", "IHCP-species-dilution-info": "1/500", "IHCP-species-notes": "<p></p> Perform heat-mediated antigen retrieval with Tris/EDTA buffer pH 9.0 before commencing with IHC staining protocol.", "FlowCyt-species-checked": "testedAndGuaranteed", "FlowCyt-species-dilution-info": "1/500", "FlowCyt-species-notes": "<p></p>", "WB-species-checked": "testedAndGuaranteed", "WB-species-dilution-info": "1/1000", "WB-species-notes": "<p></p>", "ICCIF-species-checked": "notRecommended", "ICCIF-species-dilution-info": "", "ICCIF-species-notes": "" } } }

Product details

What is this antibody validated in?
Anti-6X His tag® antibody [JPAR-2] (ab245114) is a rabbit recombinant monoclonal antibody and is validated for use in Western Blot (WB), Flow Cytometry (Flow Cyt), Immunoprecipitation (IP), Immunohistochemistry (IHC-P). Tagged protein detection
6X His tag® antibodies are used to visualize proteins labelled with this tag in a variety of applications.

Trial sizes available!
Test your antibody or perform pre-screening before committing to a larger quantity. Sold in 10µl. Discover our selection of trial-size antibodies.

Other related products
We have a range of other formats of antibody clone [JPAR-2] also available for your convenience: ab245114, Carrier free - ab245203

Patented technology
Our RabMAb® technology is a patented hybridoma-based technology for making rabbit monoclonal antibodies. For details on our patents, please refer to RabMAb® patents.

What are the advantages of a recombinant monoclonal antibody?
This product is a recombinant monoclonal antibody, which offers several advantages including:

  • - High batch-to-batch consistency and reproducibility
  • - Improved sensitivity and specificity
  • - Long-term security of supply
  • - Animal-free batch production

For more information, read more on recombinant antibodies.

Properties and storage information

Form
Liquid
Purification technique
Affinity purification Protein A
Storage buffer
pH: 7.2 - 7.4 Preservative: 0.01% Sodium azide Constituents: PBS, 40% Glycerol (glycerin, glycerine), 0.05% BSA
Shipped at conditions
Blue Ice
Appropriate short-term storage duration
1-2 weeks
Appropriate short-term storage conditions
+4°C
Appropriate long-term storage conditions
-20°C
Aliquoting information
Upon delivery aliquot
Storage information
Avoid freeze / thaw cycle

Supplementary information

This supplementary information is collated from multiple sources and compiled automatically.

The 6X His tag is a sequence commonly used for protein purification detection and immobilization. It consists of six histidine residues that bind to metal ions like nickel or cobalt. This makes it a highly efficient tag for affinity chromatography. His tag antibodies such as anti-His HRP facilitate the detection of His-tagged proteins in various assays. Being a small tag with a typical molecular weight of about 0.84 kDa it minimally interferes with protein function. Many proteins expressed in E. coli and other expression systems carry the 6X His tag for ease of purification and analysis.
Biological function summary

Proteins tagged with the 6X His tag often play roles in studies involving recombinant proteins. The tag itself does not alter the biological function of the target protein. It is not part of any natural protein complex but aids in the study of such complexes. Researchers use His tag antibodies like anti-His to specifically target and study these tagged proteins without cross-reactivity to other proteins.

Pathways

The incorporation of the 6X His tag into proteins allows them to be studied more efficiently in various biological pathways. It can be part of pathways like signal transduction or metabolic pathways. When tagged proteins interact with other molecules such as kinases or receptors researchers can track these interactions using the tag and anti-Histidine antibodies. This technique informs on proteins that are hard to purify due to low abundance or instability.

The 6X His tag itself does not have direct implications. However proteins of interest in disease models often carry the tag which allows researchers to purify and study them in detail. For example cancer-related proteins may be expressed with a His tag to understand their role in tumorigenesis. Similarly proteins involved in metabolic disorders could be tagged which helps in analyzing specific interactions or functions disrupted in diseases.

Product protocols

For this product, it's our understanding that no specific protocols are required. You can visit:

Publications (4)

Recent publications for all applications. Explore the full list and refine your search

Journal of cellular and molecular medicine 29:e70800 PubMed40845179

2025

Decoy Receptor 2 as a Cell Cycle Arrest Biomarker for Predicting Renal Recovery Following Acute Kidney Injury.

Applications

Unspecified application

Species

Unspecified reactive species

Xiangling Yi,Liming Wang,Xiao-Yue Wang,Yu Fang,Jiarui Liu,Kehong Chen,Ya-Ni He,Jia Chen

Scientific reports 15:327 PubMed39747903

2025

FN1 shapes the behavior of papillary thyroid carcinoma through alternative splicing of EDB region.

Applications

Unspecified application

Species

Unspecified reactive species

Mian Liu,Pei Chen,Bo Wei,Hai-Long Tan,Ya-Xin Zhao,Lei Ai,Ning Li,Ying-Ke Jiang,Jing Lin,Shi-Jin Li,Shi Chang

Scientific reports 13:21086 PubMed38030755

2023

Advancing breast cancer diagnosis with a near-infrared fluorescence imaging smart sensor for estrogen/progesterone receptor detection.

Applications

Unspecified application

Species

Unspecified reactive species

Gong Zhang,Min Dong,Xiulei Yao,Yuke Xia,Han Yu,Yu Zhou,Chao Lian,Yunlei Zhang,Yiyao Cui

JCI insight 8: PubMed36480289

2023

ABT1 modifies SMARD1 pathology via interactions with IGHMBP2 and stimulation of ATPase and helicase activity.

Applications

Unspecified application

Species

Unspecified reactive species

Gangadhar P Vadla,Sara M Ricardez Hernandez,Jiude Mao,Mona O Garro-Kacher,Zachary C Lorson,Ronin P Rice,Sarah A Hansen,Christian L Lorson,Kamal Singh,Monique A Lorson
View all publications

Product promise

We are committed to supporting your work with high-quality reagents, and we're here for you every step of the way. In the unlikely event that one of our products does not perform as expected, you're protected by our Product Promise.
For full details, please see our Terms & Conditions

Please note: All products are 'FOR RESEARCH USE ONLY. NOT FOR USE IN DIAGNOSTIC OR THERAPEUTIC PROCEDURES'.

For licensing inquiries, please contact partnerships@abcam.com