JavaScript is disabled in your browser. Please enable JavaScript to view this website.
AB245203

Anti-6X His tag® antibody [JPAR-2] - BSA and Azide free

Be the first to review this product! Submit a review

|

(1 Publication)

Rabbit Recombinant Monoclonal 6X His tag® antibody. Carrier free. Suitable for IP, IHC-P, Flow Cyt, WB and reacts with Tag samples. Cited in 1 publication.

View Alternative Names

6 His epitope tag, HHHHHH epitope tag, HHHHHH tag, Hexa His tag, Polyhistidine Tag, 6x his, 6x-HIS

3 Images
Flow Cytometry - Anti-6X His tag® antibody [JPAR-2] - BSA and Azide free (AB245203)
  • Flow Cyt

Unknown

Flow Cytometry - Anti-6X His tag® antibody [JPAR-2] - BSA and Azide free (AB245203)

Flow cytometric analysis of 4% paraformaldehyde-fixed, 90% methanol-permeabilized HEK-293T (human epithelial cell line from embryonic kidney transformed with large T antigen) transfected with a His-tagged Staphylococcus aureus cas9 (J7RUA5) construct labeling 6X His tag® with ab245114 at 1/500 (Right) compared with a Rabbit monoclonal IgG isotype control (ab172730) (Left). Goat Anti-Rabbit IgG H&L (Alexa Fluor® 647) (ab150079), at 1/2000 dilution was used as the secondary antibody.

This data was developed using the same antibody clone in a different buffer formulation containing PBS, BSA, glycerol, and sodium azide (ab245114).

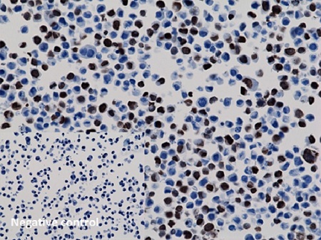
Immunohistochemistry (Formalin/PFA-fixed paraffin-embedded sections) - Anti-6X His tag® antibody [JPAR-2] - BSA and Azide free (AB245203)
  • IHC-P

Unknown

Immunohistochemistry (Formalin/PFA-fixed paraffin-embedded sections) - Anti-6X His tag® antibody [JPAR-2] - BSA and Azide free (AB245203)

Immunohistochemical analysis of paraffin-embedded HEK-293T (human epithelial cell line from embryonic kidney transformed with large T antigen) labeling 6X His tag® with ab245114 at 1/500 dilution, followed by Goat Anti-Rabbit IgG H&L (HRP) ready to use. Positive staining on (A) HEK-293T transfected with a 6× His tag construct is observed. No staining on (B) HEK-293T transfected with an empty plasmid is observed. Counter stained with hematoxylin.
Secondary antibody only control : Used PBS instead of primary antibody, secondary antibody is Goat Anti-Rabbit IgG H&L (HRP) ready to use.

Heat mediated antigen retrieval using ab93684 (Tris/EDTA buffer, pH 9.0).

This data was developed using the same antibody clone in a different buffer formulation containing PBS, BSA, glycerol, and sodium azide (ab245114).

Immunoprecipitation - Anti-6X His tag® antibody [JPAR-2] - BSA and Azide free (AB245203)
  • IP

Unknown

Immunoprecipitation - Anti-6X His tag® antibody [JPAR-2] - BSA and Azide free (AB245203)

His-tagged Staphylococcus aureus cas9 (J7RUA5; aa 1-1053; 125kDa) was immunoprecipitated from 0.35 mg of HEK-293T (human epithelial cell line from embryonic kidney transformed with large T antigen) (transfected with Staphylococcus aureus cas9 (J7RUA5; aa 1-1053; 125kDa)) whole cell lysate with ab245114 at 1/30 dilution. Western blot was performed from the immunoprecipitate using ab245114 at 1/1000 dilution. VeriBlot for IP Detection Reagent (HRP) (ab131366), was used for detection at 1/5000 dilution.

Lane 1 : HEK-293T transfected with a His-tagged Staphylococcus aureus cas9 whole cell lysate 10 μg (Input).
Lane 2 : ab245114 IP in HEK-293T transfected with a His-tagged Staphylococcus aureus cas9 whole cell lysate.
Lane 3 : Rabbit monoclonal IgG (ab172730) instead of ab245114 in HEK-293T transfected with a His-tagged Staphylococcus aureus cas9 whole cell lysate.

Blocking and dilution buffer and concentration : 5% NFDM/TBST.
Exposure time : 30 seconds.

This data was developed using the same antibody clone in a different buffer formulation containing PBS, BSA, glycerol, and sodium azide (ab245114).

All lanes:

Immunoprecipitation - Anti-6X His tag® antibody [JPAR-2] (<a href='/en-us/products/primary-antibodies/6x-his-tag-antibody-jpar-2-ab245114'>ab245114</a>)

Observed band size: 125 kDa

false

Key facts

Host species

Rabbit

Clonality

Monoclonal

Clone number

JPAR-2

Isotype

IgG

Carrier free

Yes

Applications

WB, IHC-P, Flow Cyt, IP

applications

Immunogen

The exact immunogen used to generate this antibody is proprietary information.

Reactivity data

{ "title": "Reactivity Data", "filters": { "stats": ["", "Species", "Dilution Info", "Notes"], "tabs": { "all-applications": {"fullname" : "All Applications", "shortname": "All Applications"}, "IP" : {"fullname" : "Immunoprecipitation", "shortname":"IP"}, "IHCP" : {"fullname" : "Immunohistochemistry (Formalin/PFA-fixed paraffin-embedded sections)", "shortname":"IHC-P"}, "FlowCyt" : {"fullname" : "Flow Cytometry", "shortname":"Flow Cyt"}, "WB" : {"fullname" : "Western blot", "shortname":"WB"}, "ICCIF" : {"fullname" : "Immunocytochemistry/ Immunofluorescence", "shortname":"ICC/IF"} }, "product-promise": { "all": "all", "testedAndGuaranteed": "tested", "guaranteed": "expected", "predicted": "predicted", "notRecommended": "not-recommended" } }, "values": { "Tag": { "IP-species-checked": "testedAndGuaranteed", "IP-species-dilution-info": "", "IP-species-notes": "<p></p>", "IHCP-species-checked": "testedAndGuaranteed", "IHCP-species-dilution-info": "", "IHCP-species-notes": "<p></p> Perform heat-mediated antigen retrieval with Tris/EDTA buffer pH 9.0 before commencing with IHC staining protocol.", "FlowCyt-species-checked": "testedAndGuaranteed", "FlowCyt-species-dilution-info": "", "FlowCyt-species-notes": "<p></p>", "WB-species-checked": "testedAndGuaranteed", "WB-species-dilution-info": "", "WB-species-notes": "<p></p>", "ICCIF-species-checked": "notRecommended", "ICCIF-species-dilution-info": "", "ICCIF-species-notes": "<p></p>" } } }

Product details

ab245203 is the carrier-free version of ab245114.

Patented technology
Our RabMAb® technology is a patented hybridoma-based technology for making rabbit monoclonal antibodies. For details on our patents, please refer to RabMAb® patents.

What are the advantages of a recombinant monoclonal antibody?
This product is a recombinant monoclonal antibody, which offers several advantages including:

  • - High batch-to-batch consistency and reproducibility
  • - Improved sensitivity and specificity
  • - Long-term security of supply
  • - Animal-free batch production

For more information, read more on recombinant antibodies.

Conjugation ready
Our carrier-free antibodies are typically supplied in a PBS-only formulation, purified and free of BSA, sodium azide and glycerol. This conjugation-ready format is designed for use with fluorochromes, metal isotopes, oligonucleotides, and enzymes, which makes them ideal for antibody labelling, functional and cell-based assays, flow-based assays (e.g. mass cytometry) and Multiplex Imaging applications.

Use our conjugation kits for antibody conjugates that are ready-to-use in as little as 20 minutes with 1 minute hands-on-time and 100% antibody recovery: available for fluorescent dyes, HRP, biotin and gold.

Compatibility
This product is compatible with the Maxpar® Antibody Labeling Kit from Fluidigm, without the need for antibody preparation. Maxpar® is a trademark of Fluidigm Canada Inc.

Properties and storage information

Form
Liquid
Purification technique
Affinity purification Protein A
Storage buffer
pH: 7.2 - 7.4 Constituents: PBS
Shipped at conditions
Blue Ice
Appropriate short-term storage conditions
+4°C
Appropriate long-term storage conditions
+4°C
Storage information
Do Not Freeze

Supplementary information

This supplementary information is collated from multiple sources and compiled automatically.

The 6X His tag is a sequence commonly used for protein purification detection and immobilization. It consists of six histidine residues that bind to metal ions like nickel or cobalt. This makes it a highly efficient tag for affinity chromatography. His tag antibodies such as anti-His HRP facilitate the detection of His-tagged proteins in various assays. Being a small tag with a typical molecular weight of about 0.84 kDa it minimally interferes with protein function. Many proteins expressed in E. coli and other expression systems carry the 6X His tag for ease of purification and analysis.
Biological function summary

Proteins tagged with the 6X His tag often play roles in studies involving recombinant proteins. The tag itself does not alter the biological function of the target protein. It is not part of any natural protein complex but aids in the study of such complexes. Researchers use His tag antibodies like anti-His to specifically target and study these tagged proteins without cross-reactivity to other proteins.

Pathways

The incorporation of the 6X His tag into proteins allows them to be studied more efficiently in various biological pathways. It can be part of pathways like signal transduction or metabolic pathways. When tagged proteins interact with other molecules such as kinases or receptors researchers can track these interactions using the tag and anti-Histidine antibodies. This technique informs on proteins that are hard to purify due to low abundance or instability.

The 6X His tag itself does not have direct implications. However proteins of interest in disease models often carry the tag which allows researchers to purify and study them in detail. For example cancer-related proteins may be expressed with a His tag to understand their role in tumorigenesis. Similarly proteins involved in metabolic disorders could be tagged which helps in analyzing specific interactions or functions disrupted in diseases.

Product protocols

For this product, it's our understanding that no specific protocols are required. You can visit:

Publications (1)

Recent publications for all applications. Explore the full list and refine your search

ESC heart failure 11:1205-1217 PubMed38288506

2024

CircRbms1 fosters MST1 mRNA and protein levels to motivate myocardial ischaemia-reperfusion injury via autophagic status.

Applications

Unspecified application

Species

Unspecified reactive species

Qin Liu,Guorong Lai,Yanhui Hu,Fan Yang,Chao Zhang,Dongsheng Le,Fumou Deng,Xianliang Xing,Binquan Tang,Huanhuan Jie,Yingping Liang,Enjun Lei
View all publications

Product promise

We are committed to supporting your work with high-quality reagents, and we're here for you every step of the way. In the unlikely event that one of our products does not perform as expected, you're protected by our Product Promise.
For full details, please see our Terms & Conditions

Please note: All products are 'FOR RESEARCH USE ONLY. NOT FOR USE IN DIAGNOSTIC OR THERAPEUTIC PROCEDURES'.

For licensing inquiries, please contact partnerships@abcam.com