JavaScript is disabled in your browser. Please enable JavaScript to view this website.
AB200537

Anti-6X His tag® antibody [RM146]

Be the first to review this product! Submit a review

|

(5 Publications)

Anti-6X His tag® antibody [RM146] (ab200537) is a rabbit monoclonal antibody detecting 6X His tag® in Western Blot, Flow Cytometry, IP.

- Recombinant format for unrivalled batch-batch consistency

View Alternative Names

6 His epitope tag, HHHHHH epitope tag, HHHHHH tag, Hexa His tag, Polyhistidine Tag, 6x his, 6x-HIS

3 Images
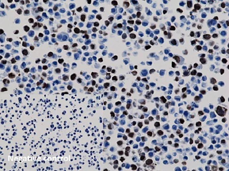
Immunocytochemistry - Anti-6X His tag® antibody [RM146] (AB200537)
  • ICC

Supplier Data

Immunocytochemistry - Anti-6X His tag® antibody [RM146] (AB200537)

Immunohistochemical analysis of 293T cells expressing His-Tag nuclear protein X with ab200537 at 0.1 - 1 μg/mL. The negative control in the inset shows immunohistochemical staining of untransfected HepG2 cells with ab200537 at 0.1 - 1 μg/mL.

Immunoprecipitation - Anti-6X His tag® antibody [RM146] (AB200537)
  • IP

Supplier Data

Immunoprecipitation - Anti-6X His tag® antibody [RM146] (AB200537)

ab200537 at 0.5 - 2 μg/mL immunoprecipitating 6X His tag® in 293T whole cell lysate.

Lane 1 (input) : 293T whole lysate control

Lane 2 (+) : Rabbit monoclonal IgG instead of ab200537 in 293T whole cell lysate

Lane 3 (-) : ab200537 + 293T whole cell lysate

All lanes:

Immunoprecipitation - Anti-6X His tag® antibody [RM146] (ab200537)

false

Western blot - Anti-6X His tag® antibody [RM146] (AB200537)
  • WB

Supplier Data

Western blot - Anti-6X His tag® antibody [RM146] (AB200537)

The diluent was 5% milk/TBST.

All lanes:

Western blot - Anti-6X His tag® antibody [RM146] (ab200537) at 0.2 µg/mL

Lane 1:

Untransfected 293T cells

Lane 2:

Transfected with His-Tag fusion protein X 293T cells

Lane 3:

E. coli lysate without His-Tag Protein Y

Lane 4:

E. coli lysate with His-Tag Protein Y

false

Key facts

Host species

Rabbit

Clonality

Monoclonal

Clone number

RM146

Isotype

IgG

Carrier free

No

Applications

IP, ICC, Flow Cyt, WB

applications

Specificity

ab200537 reacts to recombinant proteins containing the 6X His tag® or 10X His tag® fused to either the amino or carboxy terminus. No cross reactivity with other endogenous protein in mammalian or bacteria cells.

Reactivity data

{ "title": "Reactivity Data", "filters": { "stats": ["", "Species", "Dilution Info", "Notes"], "tabs": { "all-applications": {"fullname" : "All Applications", "shortname": "All Applications"}, "ICC" : {"fullname" : "Immunocytochemistry", "shortname":"ICC"}, "IP" : {"fullname" : "Immunoprecipitation", "shortname":"IP"}, "FlowCyt" : {"fullname" : "Flow Cytometry", "shortname":"Flow Cyt"}, "WB" : {"fullname" : "Western blot", "shortname":"WB"} }, "product-promise": { "all": "all", "testedAndGuaranteed": "tested", "guaranteed": "expected", "predicted": "predicted", "notRecommended": "not-recommended" } }, "values": { "Tag": { "ICC-species-checked": "testedAndGuaranteed", "ICC-species-dilution-info": "0.5-2 µg/mL", "ICC-species-notes": "<p></p>", "IP-species-checked": "testedAndGuaranteed", "IP-species-dilution-info": "0.5-2 µg/mL", "IP-species-notes": "<p></p>", "FlowCyt-species-checked": "guaranteed", "FlowCyt-species-dilution-info": "0.5-2 µg/mL", "FlowCyt-species-notes": "<p><a href='/en-us/products/primary-antibodies/rabbit-igg-monoclonal-epr25a-isotype-control-ab172730'>ab172730</a> - Rabbit monoclonal IgG, is suitable for use as an isotype control with this antibody.</p>", "WB-species-checked": "testedAndGuaranteed", "WB-species-dilution-info": "0.1-1 µg/mL", "WB-species-notes": "<p></p>" } } }

Product details

What is this antibody validated in?
Anti-6X His tag® antibody [RM146] (ab200537) is a rabbit recombinant monoclonal antibody and is validated for use in Western Blot (WB), Flow Cytometry (Flow Cyt), Immunoprecipitation (IP). Tagged protein detection
6X His tag® antibodies are used to visualize proteins labelled with this tag in a variety of applications.

Properties and storage information

Form
Liquid
Purification technique
Affinity purification Protein A
Purification notes
Purified from an animal origin–free culture supernatant.
Storage buffer
Preservative: 0.09% Sodium azide Constituents: 50% Glycerol (glycerin, glycerine), 48% PBS, 1% BSA
Shipped at conditions
Blue Ice
Appropriate short-term storage duration
1-2 weeks
Appropriate short-term storage conditions
+4°C
Appropriate long-term storage conditions
-20°C
Aliquoting information
Upon delivery aliquot
Storage information
Avoid freeze / thaw cycle

Supplementary information

This supplementary information is collated from multiple sources and compiled automatically.

The 6X His tag is a sequence commonly used for protein purification detection and immobilization. It consists of six histidine residues that bind to metal ions like nickel or cobalt. This makes it a highly efficient tag for affinity chromatography. His tag antibodies such as anti-His HRP facilitate the detection of His-tagged proteins in various assays. Being a small tag with a typical molecular weight of about 0.84 kDa it minimally interferes with protein function. Many proteins expressed in E. coli and other expression systems carry the 6X His tag for ease of purification and analysis.
Biological function summary

Proteins tagged with the 6X His tag often play roles in studies involving recombinant proteins. The tag itself does not alter the biological function of the target protein. It is not part of any natural protein complex but aids in the study of such complexes. Researchers use His tag antibodies like anti-His to specifically target and study these tagged proteins without cross-reactivity to other proteins.

Pathways

The incorporation of the 6X His tag into proteins allows them to be studied more efficiently in various biological pathways. It can be part of pathways like signal transduction or metabolic pathways. When tagged proteins interact with other molecules such as kinases or receptors researchers can track these interactions using the tag and anti-Histidine antibodies. This technique informs on proteins that are hard to purify due to low abundance or instability.

The 6X His tag itself does not have direct implications. However proteins of interest in disease models often carry the tag which allows researchers to purify and study them in detail. For example cancer-related proteins may be expressed with a His tag to understand their role in tumorigenesis. Similarly proteins involved in metabolic disorders could be tagged which helps in analyzing specific interactions or functions disrupted in diseases.

Product protocols

For this product, it's our understanding that no specific protocols are required. You can visit:

Publications (5)

Recent publications for all applications. Explore the full list and refine your search

Cell death & disease 14:555 PubMed37620300

2023

Vemurafenib inhibits necroptosis in normal and pathological conditions as a RIPK1 antagonist.

Applications

Unspecified application

Species

Unspecified reactive species

Mayu Sun,Xueqi Ma,Wei Mu,Haonan Li,Xiaoming Zhao,Tengfei Zhu,Jingquan Li,Yongliang Yang,Haibing Zhang,Qian Ba,Hui Wang

eLife 11: PubMed35924892

2022

The evolution of a counter-defense mechanism in a virus constrains its host range.

Applications

Unspecified application

Species

Unspecified reactive species

Sriram Srikant,Chantal K Guegler,Michael T Laub

The EMBO journal 40:e108542 PubMed34612526

2021

A dual-function RNA balances carbon uptake and central metabolism in Vibrio cholerae.

Applications

Unspecified application

Species

Unspecified reactive species

Kavyaa Venkat,Mona Hoyos,James Rj Haycocks,Liam Cassidy,Beatrice Engelmann,Ulrike Rolle-Kampczyk,Martin von Bergen,Andreas Tholey,David C Grainger,Kai Papenfort

Molecular microbiology 116:154-167 PubMed33567150

2021

Characterization of DtrJ as an IncC plasmid conjugative DNA transfer component.

Applications

Unspecified application

Species

Unspecified reactive species

Steven J Hancock,Minh-Duy Phan,Leah W Roberts,Thu Ngoc Minh Vu,Patrick N A Harris,Scott A Beatson,Mark A Schembri

mBio 11: PubMed32788377

2020

Structure and Multitasking of the c-di-GMP-Sensing Cellulose Secretion Regulator BcsE.

Applications

Unspecified application

Species

Unspecified reactive species

Samira Zouhir,Wiem Abidi,Meryem Caleechurn,Petya Violinova Krasteva
View all publications

Product promise

We are committed to supporting your work with high-quality reagents, and we're here for you every step of the way. In the unlikely event that one of our products does not perform as expected, you're protected by our Product Promise.
For full details, please see our Terms & Conditions

Please note: All products are 'FOR RESEARCH USE ONLY. NOT FOR USE IN DIAGNOSTIC OR THERAPEUTIC PROCEDURES'.

For licensing inquiries, please contact partnerships@abcam.com