JavaScript is disabled in your browser. Please enable JavaScript to view this website.
AB240354

Anti-A-Raf antibody [EPR16208] - BSA and Azide free

Be the first to review this product! Submit a review

|

(1 Publication)

Knockout Tested Rabbit Recombinant Monoclonal A RAF antibody. Carrier free. Suitable for WB, ICC/IF, Flow Cyt (Intra), IHC-P and reacts with Human samples. Cited in 1 publication.

View Alternative Names

ARAF1, PKS, PKS2, ARAF, Serine/threonine-protein kinase A-Raf, Proto-oncogene A-Raf, Proto-oncogene A-Raf-1, Proto-oncogene Pks

7 Images
Immunocytochemistry/ Immunofluorescence - Anti-A-Raf antibody [EPR16208] - BSA and Azide free (AB240354)
  • ICC/IF

Lab

Immunocytochemistry/ Immunofluorescence - Anti-A-Raf antibody [EPR16208] - BSA and Azide free (AB240354)

Immunofluorescent analysis of 4% paraformaldehyde-fixed, 0.1% Triton X-100 permeabilized HeLa (Human epithelial cells from cervix adenocarcinoma) cells labeling A-Raf with ab200653 at 1/250 dilution, followed by Goat anti-rabbit IgG (Alexa Fluor® 488) (ab150077) secondary antibody at 1/500 dilution (green).

Cytoplasm staining on HeLa cell line is observed.

The nuclear counter stain is DAPI (blue). Tubulin is detected with ab7291 (anti-Tubulin mouse mAb) at 1/1000 dilution and ab150120 (AlexaFluor®594 Goat anti-Mouse secondary) at 1/500 dilution (red).
The negative controls are as follows :
-ve control 1 : ab200653 at 1/250 dilution followed by ab150120 (AlexaFluor®594 Goat anti-Mouse secondary) at 1/500 dilution.
-ve control 2 : ab7291 (anti-Tubulin mouse mAb) at 1/1000 dilution followed by ab150077 (Alexa Fluor®488 Goat Anti-Rabbit IgG H&L) at 1/500 dilution.

This data was developed using the same antibody clone in a different buffer formulation containing PBS, BSA, glycerol, and sodium azide (ab200653).

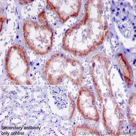
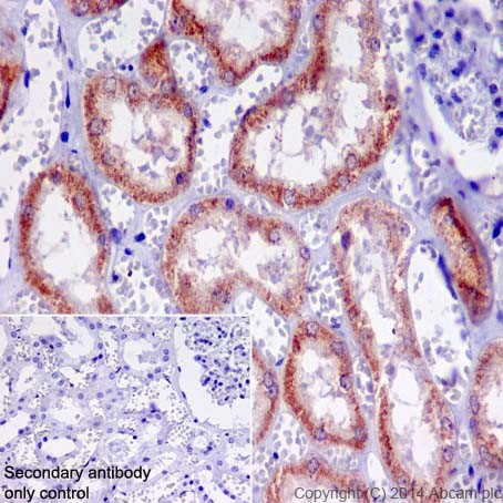
Immunohistochemistry (Formalin/PFA-fixed paraffin-embedded sections) - Anti-A-Raf antibody [EPR16208] - BSA and Azide free (AB240354)
  • IHC-P

Supplier Data

Immunohistochemistry (Formalin/PFA-fixed paraffin-embedded sections) - Anti-A-Raf antibody [EPR16208] - BSA and Azide free (AB240354)

Immunohistochemical analysis of paraffin-embedded Human kidney tissue labeling A-Raf with ab200653 at 1/1000 dilution, followed by Goat Anti-Rabbit IgG H&L (HRP) (ab97051) secondary antibody at 1/500 dilution.

Cytoplasm staining on Human kidney tissue is observed.

Counter stained with Hematoxylin.

Secondary antibody only control : Used PBS instead of primary antibody, secondary antibody is Goat Anti-Rabbit IgG H&L (HRP) (ab97051) at 1/500 dilution.

This data was developed using the same antibody clone in a different buffer formulation containing PBS, BSA, glycerol, and sodium azide (ab200653).

Perform heat mediated antigen retrieval with Tris/EDTA buffer pH 9.0 before commencing with IHC staining protocol.

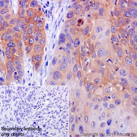
Immunohistochemistry (Formalin/PFA-fixed paraffin-embedded sections) - Anti-A-Raf antibody [EPR16208] - BSA and Azide free (AB240354)
  • IHC-P

Supplier Data

Immunohistochemistry (Formalin/PFA-fixed paraffin-embedded sections) - Anti-A-Raf antibody [EPR16208] - BSA and Azide free (AB240354)

Immunohistochemical analysis of paraffin-embedded Human cervix carcinoma tissue labeling A-Raf with ab200653 at 1/1000 dilution, followed by Goat Anti-Rabbit IgG H&L (HRP) (ab97051) secondary antibody at 1/500 dilution.

Cytoplasm staining on Human cervix carcinoma tissue is observed.

Counter stained with Hematoxylin.

Secondary antibody only control : Used PBS instead of primary antibody, secondary antibody is Goat Anti-Rabbit IgG H&L (HRP) (ab97051) at 1/500 dilution.

This data was developed using the same antibody clone in a different buffer formulation containing PBS, BSA, glycerol, and sodium azide (ab200653).

Perform heat mediated antigen retrieval with Tris/EDTA buffer pH 9.0 before commencing with IHC staining protocol.

Immunocytochemistry/ Immunofluorescence - Anti-A-Raf antibody [EPR16208] - BSA and Azide free (AB240354)
  • ICC/IF

Lab

Immunocytochemistry/ Immunofluorescence - Anti-A-Raf antibody [EPR16208] - BSA and Azide free (AB240354)

Immunofluorescent analysis of 4% paraformaldehyde-fixed, 0.1% Triton X-100 permeabilized HEK293 (Human embryonic kidney) cells labeling A-Raf with ab200653 at 1/250 dilution, followed by Goat anti-rabbit IgG (Alexa Fluor® 488) (ab150077) secondary antibody at 1/500 dilution (green).

Cytoplasm staining on HEK293 cell line is observed.

The nuclear counter stain is DAPI (blue).

Tubulin is detected with ab7291 (anti-Tubulin mouse mAb) at 1/1000 dilution and ab150120 (AlexaFluor®594 Goat anti-Mouse secondary) at 1/500 dilution (red).
The negative controls are as follows :
-ve control 1 : ab200653 at 1/250 dilution followed by ab150120 (AlexaFluor®594 Goat anti-Mouse secondary) at 1/500 dilution.
-ve control 2 : ab7291 (anti-Tubulin mouse mAb) at 1/1000 dilution followed by ab150077 (Alexa Fluor®488 Goat Anti-Rabbit IgG H&L) at 1/500 dilution.

This data was developed using the same antibody clone in a different buffer formulation containing PBS, BSA, glycerol, and sodium azide (ab200653).

Flow Cytometry (Intracellular) - Anti-A-Raf antibody [EPR16208] - BSA and Azide free (AB240354)
  • Flow Cyt (Intra)

Supplier Data

Flow Cytometry (Intracellular) - Anti-A-Raf antibody [EPR16208] - BSA and Azide free (AB240354)

Intracellular flow cytometric analysis of 2% paraformaldehyde-fixed HeLa (Human epithelial cells from cervix adenocarcinoma) cells labeling A-Raf with ab200653 at 1/100 dilution (red) compared with a rabbit monoclonal IgG isotype control (black) and an unlabelled control (cells without incubation with primary antibody and secondary antibody; blue). Goat anti rabbit IgG (FITC) at 1/150 dilution was used as the secondary antibody.

This data was developed using the same antibody clone in a different buffer formulation containing PBS, BSA, glycerol, and sodium azide (ab200653).

Western blot - Anti-A-Raf antibody [EPR16208] - BSA and Azide free (AB240354)
  • WB

Lab

Western blot - Anti-A-Raf antibody [EPR16208] - BSA and Azide free (AB240354)

This data was developed using ab200653, the same antibody clone in a different buffer formulation.

Lanes 1-4 : Merged signal (red and green). Green - ab200653 observed at 68 kDa. Red - loading control ab8245 observed at 36 kDa.

ab200653 Anti-A-Raf antibody [EPR16208] was shown to specifically react with A-Raf in wild-type HEK-293T cells. Loss of signal was observed when knockout cell line ab266351 (knockout cell lysate ab257838) was used. Wild-type and A-Raf knockout samples were subjected to SDS-PAGE. ab200653 and Anti-GAPDH antibody [6C5] - Loading Control (ab8245) were incubated overnight at 4°C at 1 in 1000 dilution and 1 in 20000 dilution respectively. Blots were developed with Goat anti-Rabbit IgG H&L (IRDye® 800CW) preadsorbed (ab216773) and Goat anti-Mouse IgG H&L (IRDye® 680RD) preadsorbed (ab216776) secondary antibodies at 1 in 20000 dilution for 1 hour at room temperature before imaging.

All lanes:

Western blot - Anti-A-Raf antibody [EPR16208] (<a href='/en-us/products/primary-antibodies/a-raf-antibody-epr16208-ab200653'>ab200653</a>) at 1/1000 dilution

Lane 1:

Wild-type HEK-293T (Human epithelial cell line from embryonic kidney transformed with large T antigen) whole cell lysate at 20 µg

Lane 2:

A-Raf knockout HEK-293T (Human epithelial cell line from embryonic kidney transformed with large T antigen) whole cell lysate at 20 µg

Lane 2:

Western blot - Human A-Raf knockout HEK-293T cell line (<a href='/en-us/products/cell-lines/human-a-raf-knockout-hek-293t-cell-line-ab266351'>ab266351</a>)

Lane 3:

HeLa (Human epithelial cell line from cervix adenocarcinoma) whole cell lysate at 20 µg

Lane 4:

Raji (Human Burkitts lymphoma cell line) whole cell lysate at 20 µg

Secondary

All lanes:

Western blot - Goat anti-Rabbit IgG H&L (IRDye® 800CW) preadsorbed (<a href='/en-us/products/secondary-antibodies/goat-rabbit-igg-h-l-irdye-800cw-preadsorbed-ab216773'>ab216773</a>) at 1/10000 dilution

Predicted band size: 68 kDa

Observed band size: 68 kDa

false

Western blot - Anti-A-Raf antibody [EPR16208] - BSA and Azide free (AB240354)
  • WB

Supplier Data

Western blot - Anti-A-Raf antibody [EPR16208] - BSA and Azide free (AB240354)

Anti-A-Raf antibody [EPR16208] staining at 1/1000 dilution, shown in green; Mouse anti-GAPDH antibody [6C5] (ab8245) loading control staining at 1/20000 dilution, shown in red. In Western blot, ab200653 was shown to bind specifically to A-Raf. A band was observed at 67 kDa in wild-type HCT 116 cell lysates with no signal observed at this size in A-Raf knockout cell line ab286752. To generate this image, wild-type and A-Raf knockout HCT 116 cell lysates were analysed. First, samples were run on an SDS-PAGE gel then transferred onto a nitrocellulose membrane. Membranes were blocked in 3 % milk in TBS-0.1 % Tween® 20 (TBS-T) before incubation with primary antibodies overnight at 4 °C. Blots were washed four times in TBS-T, incubated with secondary antibodies for 1 h at room temperature, washed again four times then imaged. Secondary antibodies used were Goat anti-Rabbit IgG H&L 800CW and Goat anti-Mouse IgG H&L 680RD at 1/20000 dilution. This data was developed using ab200653, the same antibody clone in a different buffer formulation.

All lanes:

Western blot - Anti-A-Raf antibody [EPR16208] (<a href='/en-us/products/primary-antibodies/a-raf-antibody-epr16208-ab200653'>ab200653</a>) at 1/1000 dilution

Lane 1:

Wild-type HCT 116 cell lysate at 20 µg

Lane 2:

A-Raf knockout HCT 116 cell lysate at 20 µg

Lane 3:

HEK-293 cell lysate at 20 µg

Lane 4:

Raji cell lysate at 20 µg

Secondary

All lanes:

Goat anti-Rabbit IgG H&L 800CW and Goat anti-Mouse IgG H&L 680RD at 1/20000 dilution

Predicted band size: 68 kDa

Observed band size: 67 kDa

false

Key facts

Host species

Rabbit

Clonality

Monoclonal

Clone number

EPR16208

Isotype

IgG

Carrier free

Yes

Reacts with

Human

Applications

IHC-P, ICC/IF, WB, Flow Cyt (Intra)

applications

Immunogen

The exact immunogen used to generate this antibody is proprietary information.

Reactivity data

{ "title": "Reactivity Data", "filters": { "stats": ["", "Species", "Dilution Info", "Notes"], "tabs": { "all-applications": {"fullname" : "All Applications", "shortname": "All Applications"}, "WB" : {"fullname" : "Western blot", "shortname":"WB"}, "ICCIF" : {"fullname" : "Immunocytochemistry/ Immunofluorescence", "shortname":"ICC/IF"}, "FlowCytIntra" : {"fullname" : "Flow Cytometry (Intracellular)", "shortname":"Flow Cyt (Intra)"}, "IHCP" : {"fullname" : "Immunohistochemistry (Formalin/PFA-fixed paraffin-embedded sections)", "shortname":"IHC-P"} }, "product-promise": { "all": "all", "testedAndGuaranteed": "tested", "guaranteed": "expected", "predicted": "predicted", "notRecommended": "not-recommended" } }, "values": { "Human": { "WB-species-checked": "testedAndGuaranteed", "WB-species-dilution-info": "", "WB-species-notes": "<p></p>", "ICCIF-species-checked": "testedAndGuaranteed", "ICCIF-species-dilution-info": "", "ICCIF-species-notes": "<p></p>", "FlowCytIntra-species-checked": "testedAndGuaranteed", "FlowCytIntra-species-dilution-info": "", "FlowCytIntra-species-notes": "<p><a href='/en-us/products/primary-antibodies/rabbit-igg-monoclonal-epr25a-isotype-control-low-endotoxin-azide-free-ab199376'>ab199376</a> - Rabbit monoclonal IgG, is suitable for use as an isotype control with this antibody.</p>", "IHCP-species-checked": "testedAndGuaranteed", "IHCP-species-dilution-info": "", "IHCP-species-notes": "<p></p>" } } }

Product details

ab240354 is the carrier-free version of ab200653.

Patented technology
Our RabMAb® technology is a patented hybridoma-based technology for making rabbit monoclonal antibodies. For details on our patents, please refer to RabMAb® patents.

What are the advantages of a recombinant monoclonal antibody?
This product is a recombinant monoclonal antibody, which offers several advantages including:

  • - High batch-to-batch consistency and reproducibility
  • - Improved sensitivity and specificity
  • - Long-term security of supply
  • - Animal-free batch production

For more information, read more on recombinant antibodies.

Conjugation ready
Our carrier-free antibodies are typically supplied in a PBS-only formulation, purified and free of BSA, sodium azide and glycerol. This conjugation-ready format is designed for use with fluorochromes, metal isotopes, oligonucleotides, and enzymes, which makes them ideal for antibody labelling, functional and cell-based assays, flow-based assays (e.g. mass cytometry) and Multiplex Imaging applications.

Use our conjugation kits for antibody conjugates that are ready-to-use in as little as 20 minutes with 1 minute hands-on-time and 100% antibody recovery: available for fluorescent dyes, HRP, biotin and gold.

Compatibility
This product is compatible with the Maxpar® Antibody Labeling Kit from Fluidigm, without the need for antibody preparation. Maxpar® is a trademark of Fluidigm Canada Inc.

Properties and storage information

Form
Liquid
Purification technique
Affinity purification Protein A
Storage buffer
pH: 7.2 - 7.4 Constituents: PBS
Shipped at conditions
Blue Ice
Appropriate short-term storage conditions
+4°C
Appropriate long-term storage conditions
+4°C
Storage information
Do Not Freeze

Supplementary information

This supplementary information is collated from multiple sources and compiled automatically.

The A-Raf protein also called ARAF is a serine/threonine-protein kinase with a molecular mass of about 68 kDa. Scientists frequently refer to it with names like A-Raf or anti A-Raf when discussing its function. A-Raf is expressed in various tissues with higher levels found in the urogenital system and the central nervous system. This protein plays an important role in cellular signal transduction processes influencing cell proliferation and differentiation through phosphorylation activity.
Biological function summary

The A-Raf protein participates in the regulation of cell growth and survival. It forms part of the MAPK/ERK signaling cascade which is essential for transmitting mitogenic signals from the cell surface to the nucleus. A-Raf acts as a modulator within this complex impacting the overall signaling output. The protein is intimately involved in the regulation of the developmental processes influencing cell fate and function.

Pathways

The A-Raf protein is central to the MAPK/ERK pathway a critical signaling pathway involved in the regulation of cellular responses to growth signals. This pathway includes key components like the proteins B-Raf and C-Raf with A-Raf playing specific roles in the modulation and fine-tuning of this signal transmission. It helps mediate signals that control cell division differentiation and secretion ensuring appropriate cellular responses to external stimuli.

Aberrations in A-Raf functions have been linked to cancers particularly urogenital cancers due to its role in uncontrolled cell proliferation. Faulty A-Raf activity can also contribute to neurological disorders because of its expression in the central nervous system and involvement in neuronal signaling pathways. In these contexts it can interact with proteins like B-Raf which are important for maintaining normal cellular signaling and preventing tumorigenesis and neurodegenerative disorders.

Product protocols

For this product, it's our understanding that no specific protocols are required. You can visit:

Target data

Involved in the transduction of mitogenic signals from the cell membrane to the nucleus. May also regulate the TOR signaling cascade. Phosphorylates PFKFB2 (PubMed : 36402789).. Isoform 2. Serves as a positive regulator of myogenic differentiation by inducing cell cycle arrest, the expression of myogenin and other muscle-specific proteins, and myotube formation.
See full target information ARAF

Publications (1)

Recent publications for all applications. Explore the full list and refine your search

Experimental dermatology 33:e15009 PubMed38284185

2024

Road-traffic-related air pollution contributes to skin barrier alteration and growth defect of sensory neurons.

Applications

Unspecified application

Species

Unspecified reactive species

Christelle Le Gall-Lanotto,Anthony Verdin,Fabrice Cazier,Adeline Bataille-Savattier,Christelle Guéré,Marie M Dorr,Joachim W Fluhr,Dominique Courcot,Katell Vié,Laurent Misery
View all publications

Product promise

We are committed to supporting your work with high-quality reagents, and we're here for you every step of the way. In the unlikely event that one of our products does not perform as expected, you're protected by our Product Promise.
For full details, please see our Terms & Conditions

Please note: All products are 'FOR RESEARCH USE ONLY. NOT FOR USE IN DIAGNOSTIC OR THERAPEUTIC PROCEDURES'.

For licensing inquiries, please contact partnerships@abcam.com