JavaScript is disabled in your browser. Please enable JavaScript to view this website.
AB314539

Anti-A-Raf antibody [EPR25405-17]

Be the first to review this product! Submit a review

|

(0 Publication)

Rabbit Recombinant Monoclonal A RAF antibody. Suitable for Flow Cyt (Intra), WB, ICC/IF and reacts with Mouse, Human, Rat, Transfected cell lysate - Mouse samples.

View Alternative Names

A-raf, Araf1, Araf, Serine/threonine-protein kinase A-Raf, Proto-oncogene A-Raf

8 Images
Immunocytochemistry/ Immunofluorescence - Anti-A-Raf antibody [EPR25405-17] (AB314539)
  • ICC/IF

Supplier Data

Immunocytochemistry/ Immunofluorescence - Anti-A-Raf antibody [EPR25405-17] (AB314539)

Immunofluorescent analysis of 4% Paraformaldehyde-fixed, 0.1% TritonX-100 permeabilized MEF (mouse embryo fibroblast) cells labelling A-Raf with ab314539 at 1/100 (5.35 ug/ml) dilution, followed by ab150081 Goat Anti-Rabbit IgG H&L (Alexa Fluor® 488) preadsorbed antibody at 1/1006 (2ug/ml) dilution (Green). Confocal image showing mitochondrial staining in MEF cells. Image was taken with a confocal microscope (Leica-Microsystems, TCS SP8). Anti-COX IV mouse monoclonal antibody - Mitochondrial Marker was used to counterstain at 1/200 (2.5ug/ml) dilution (Red). The Nuclear counterstain was DAPI (Blue). Secondary antibody only control : Secondary antibody is ab150081 Goat Anti-Rabbit IgG H&L (Alexa Fluor® 488) preadsorbed at 1/1006 (2ug/ml) dilution.

Immunocytochemistry/ Immunofluorescence - Anti-A-Raf antibody [EPR25405-17] (AB314539)
  • ICC/IF

Supplier Data

Immunocytochemistry/ Immunofluorescence - Anti-A-Raf antibody [EPR25405-17] (AB314539)

Immunofluorescent analysis of 4% Paraformaldehyde-fixed, 0.1% TritonX-100 permeabilized NIH/3T3 (mouse embryonic fibroblast) cells labelling A-Raf with ab314539 at 1/100 (5.35 ug/ml) dilution, followed by ab150081 Goat Anti-Rabbit IgG H&L (Alexa Fluor® 488) preadsorbed antibody at 1/1007 (2ug/ml) dilution (Green). Confocal image showing mitochondrial staining in NIH/3T3 cells. Image was taken with a confocal microscope (Leica-Microsystems, TCS SP8). Anti-COX IV mouse monoclonal antibody - Mitochondrial Marker was used to counterstain at 1/200 (2.5ug/ml) dilution (Red). The Nuclear counterstain was DAPI (Blue). Secondary antibody only control : Secondary antibody is ab150081 Goat Anti-Rabbit IgG H&L (Alexa Fluor® 488) preadsorbed at 1/1007 (2ug/ml) dilution.

Flow Cytometry (Intracellular) - Anti-A-Raf antibody [EPR25405-17] (AB314539)
  • Flow Cyt (Intra)

Supplier Data

Flow Cytometry (Intracellular) - Anti-A-Raf antibody [EPR25405-17] (AB314539)

Flow cytometric analysis of 4% paraformaldehyde fixed 90% methanol permeabilized NIH/3T3 (mouse embryonic fibroblast) cells labelling A-Raf with ab314539 at 1/50 dilution (1 ug, Red) compared with a Rabbit monoclonal IgG (ab172730) (Black) isotype control and an unlabelled control (cells without incubation with primary antibody and secondary antibody) (Blue). A Goat Anti-Rabbit IgG (Alexa Fluor® 488, ab150081) at 1/5000 dilution was used as the secondary antibody.

Flow Cytometry (Intracellular) - Anti-A-Raf antibody [EPR25405-17] (AB314539)
  • Flow Cyt (Intra)

Supplier Data

Flow Cytometry (Intracellular) - Anti-A-Raf antibody [EPR25405-17] (AB314539)

Flow cytometric analysis of 4% paraformaldehyde fixed 90% methanol permeabilized MEF (mouse embryo fibroblast) cells labelling A-Raf with ab314539 at 1/50 dilution (1 ug, Red) compared with a Rabbit monoclonal IgG (ab172730) (Black) isotype control and an unlabelled control (cells without incubation with primary antibody and secondary antibody) (Blue). A Goat Anti-Rabbit IgG (Alexa Fluor® 488, ab150081) at 1/5000 dilution was used as the secondary antibody.

Western blot - Anti-A-Raf antibody [EPR25405-17] (AB314539)
  • WB

Supplier Data

Western blot - Anti-A-Raf antibody [EPR25405-17] (AB314539)

Blocking and diluting buffer and concentration : 5% NFDM/TBST Lysates were freshly made and used for Western blotting immediately to minimize protein degradation.

All lanes:

Western blot - Anti-A-Raf antibody [EPR25405-17] (ab314539) at 1/1000 dilution

Lane 1:

HeLa (human cervical adenocarcinoma epithelial cell) whole cell lysate at 20 µg

Lane 2:

293T (human embryonic kidney epithelial cell) whole cell lysate at 20 µg

Lane 3:

NIH/3T3 (mouse embryonic fibroblast) whole cell lysate at 20 µg

Lane 4:

PC-12 (rat adrenal gland pheochromocytoma cell) whole cell lysate at 20 µg

Secondary

All lanes:

Western blot - Goat Anti-Rabbit IgG H&L (HRP) (<a href='/en-us/products/secondary-antibodies/goat-rabbit-igg-h-l-hrp-ab97051'>ab97051</a>) at 1/20000 dilution

Observed band size: 68 kDa

false

Exposure time: 92s

Western blot - Anti-A-Raf antibody [EPR25405-17] (AB314539)
  • WB

Supplier Data

Western blot - Anti-A-Raf antibody [EPR25405-17] (AB314539)

Blocking and diluting buffer and concentration : 5% NFDM/TBST The identity of the lower MW band at approximately 42 kDa (in lane 3) is unknown. In Western blot, Anti-GAPDH antibody [EPR16891] - Loading Control (ab181602) staining at 1/200000 dilution.

All lanes:

Western blot - Anti-A-Raf antibody [EPR25405-17] (ab314539) at 1/1000 dilution

Lane 1:

NIH/3T3 (mouse embryonic fibroblast) transfected with scrambled siRNA control whole cell lysate at 20 µg

Lane 2:

NIH/3T3 transfected with siRNA specifically targeti A-Raf whole cell lysate at 20 µg

Lane 3:

MEF (mouse embryo fibroblast) whole cell lysate at 20 µg

Secondary

All lanes:

Western blot - Goat Anti-Rabbit IgG H&L (HRP) (<a href='/en-us/products/secondary-antibodies/goat-rabbit-igg-h-l-hrp-ab97051'>ab97051</a>) at 1/20000 dilution

Observed band size: 68 kDa

false

Exposure time: 180s

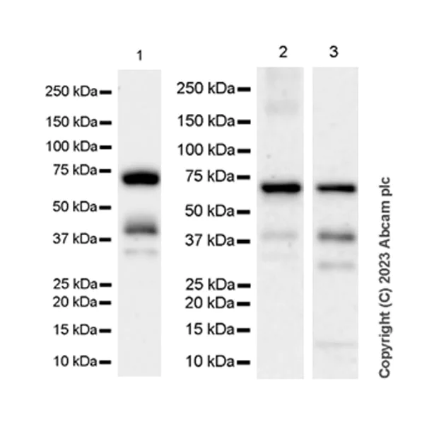
Western blot - Anti-A-Raf antibody [EPR25405-17] (AB314539)
  • WB

Supplier Data

Western blot - Anti-A-Raf antibody [EPR25405-17] (AB314539)

Blocking and diluting buffer and concentration : 5% NFDM/TBST The identity of the bands between 10 kDa and 68 kDa are unknown. Exposure time : Lane 1 : 26 seconds; Lanes 2-3 : 180 seconds.

All lanes:

Western blot - Anti-A-Raf antibody [EPR25405-17] (ab314539) at 1/1000 dilution

Lane 1:

Mouse epididymis tissue lysate at 20 µg

Lane 2:

Mouse prostate tissue lysate at 20 µg

Lane 3:

C2C12 (mouse myoblast) whole cell lysate at 20 µg

Secondary

All lanes:

Western blot - Goat Anti-Rabbit IgG H&L (HRP) (<a href='/en-us/products/secondary-antibodies/goat-rabbit-igg-h-l-hrp-ab97051'>ab97051</a>) at 1/20000 dilution

Observed band size: 68 kDa

false

Western blot - Anti-A-Raf antibody [EPR25405-17] (AB314539)
  • WB

Supplier Data

Western blot - Anti-A-Raf antibody [EPR25405-17] (AB314539)

Blocking and diluting buffer and concentration : 5% NFDM/TBST This antibody does not cross-react with mouse B-Raf and c-Raf. In Western blot, Anti-GAPDH antibody [EPR16891] - Loading Control (ab181602) staining at 1/200000 dilution. In Western blot, Anti-6X His tag® antibody [EPR20547] - ChIP Grade (ab213204) staining at 1/5000 dilution.

All lanes:

Western blot - Anti-A-Raf antibody [EPR25405-17] (ab314539) at 1/1000 dilution

Lane 1:

293T (human embryonic kidney epithelial cell) cells transfected with an empty vector containing a His-tag, whole cell lysate at 5 µg

Lane 2:

293T cells transfected with a mouse A-Raf expression vector containing a His-tag, whole cell lysate at 5 µg

Lane 3:

293T cells transfected with a mouse c-Raf expression vector containing a His-tag, whole cell lysate at 5 µg

Lane 4:

293T cells transfected with a mouse B-Raf expression vector containing a His-tag, whole cell lysate at 5 µg

Secondary

All lanes:

Western blot - Goat Anti-Rabbit IgG H&L (HRP) (<a href='/en-us/products/secondary-antibodies/goat-rabbit-igg-h-l-hrp-ab97051'>ab97051</a>) at 1/100000 dilution

Observed band size: 68 kDa

false

Exposure time: 3s

  • Carrier free

    Anti-A-Raf antibody [EPR25405-17] - BSA and Azide free

Key facts

Host species

Rabbit

Clonality

Monoclonal

Clone number

EPR25405-17

Isotype

IgG

Carrier free

No

Reacts with

Mouse, Human, Rat

Applications

ICC/IF, Flow Cyt (Intra), WB

applications

Immunogen

The exact immunogen used to generate this antibody is proprietary information.

Reactivity data

{ "title": "Reactivity Data", "filters": { "stats": ["", "Species", "Dilution Info", "Notes"], "tabs": { "all-applications": {"fullname" : "All Applications", "shortname": "All Applications"}, "FlowCytIntra" : {"fullname" : "Flow Cytometry (Intracellular)", "shortname":"Flow Cyt (Intra)"}, "WB" : {"fullname" : "Western blot", "shortname":"WB"}, "ICCIF" : {"fullname" : "Immunocytochemistry/ Immunofluorescence", "shortname":"ICC/IF"}, "IHCP" : {"fullname" : "Immunohistochemistry (Formalin/PFA-fixed paraffin-embedded sections)", "shortname":"IHC-P"}, "IP" : {"fullname" : "Immunoprecipitation", "shortname":"IP"} }, "product-promise": { "all": "all", "testedAndGuaranteed": "tested", "guaranteed": "expected", "predicted": "predicted", "notRecommended": "not-recommended" } }, "values": { "Human": { "FlowCytIntra-species-checked": "guaranteed", "FlowCytIntra-species-dilution-info": "", "FlowCytIntra-species-notes": "", "WB-species-checked": "testedAndGuaranteed", "WB-species-dilution-info": "1/1000", "WB-species-notes": "<p></p>", "ICCIF-species-checked": "guaranteed", "ICCIF-species-dilution-info": "", "ICCIF-species-notes": "", "IHCP-species-checked": "notRecommended", "IHCP-species-dilution-info": "", "IHCP-species-notes": "<p></p>", "IP-species-checked": "notRecommended", "IP-species-dilution-info": "", "IP-species-notes": "" }, "Mouse": { "FlowCytIntra-species-checked": "testedAndGuaranteed", "FlowCytIntra-species-dilution-info": "1/50", "FlowCytIntra-species-notes": "<p></p>", "WB-species-checked": "testedAndGuaranteed", "WB-species-dilution-info": "1/1000", "WB-species-notes": "<p></p>", "ICCIF-species-checked": "testedAndGuaranteed", "ICCIF-species-dilution-info": "1/100", "ICCIF-species-notes": "<p></p>", "IHCP-species-checked": "notRecommended", "IHCP-species-dilution-info": "", "IHCP-species-notes": "<p></p>", "IP-species-checked": "notRecommended", "IP-species-dilution-info": "", "IP-species-notes": "<p></p>" }, "Rat": { "FlowCytIntra-species-checked": "guaranteed", "FlowCytIntra-species-dilution-info": "", "FlowCytIntra-species-notes": "", "WB-species-checked": "testedAndGuaranteed", "WB-species-dilution-info": "1/1000", "WB-species-notes": "<p></p>", "ICCIF-species-checked": "guaranteed", "ICCIF-species-dilution-info": "", "ICCIF-species-notes": "", "IHCP-species-checked": "notRecommended", "IHCP-species-dilution-info": "", "IHCP-species-notes": "<p></p>", "IP-species-checked": "notRecommended", "IP-species-dilution-info": "", "IP-species-notes": "" }, "Transfected cell lysate - Mouse": { "FlowCytIntra-species-checked": "notRecommended", "FlowCytIntra-species-dilution-info": "", "FlowCytIntra-species-notes": "", "WB-species-checked": "testedAndGuaranteed", "WB-species-dilution-info": "1/1000", "WB-species-notes": "<p></p>", "ICCIF-species-checked": "notRecommended", "ICCIF-species-dilution-info": "", "ICCIF-species-notes": "", "IHCP-species-checked": "notRecommended", "IHCP-species-dilution-info": "", "IHCP-species-notes": "", "IP-species-checked": "notRecommended", "IP-species-dilution-info": "", "IP-species-notes": "" } } }

Product details

Patented technology
Our RabMAb® technology is a patented hybridoma-based technology for making rabbit monoclonal antibodies. For details on our patents, please refer to RabMAb® patents.

What are the advantages of a recombinant monoclonal antibody?
This product is a recombinant monoclonal antibody, which offers several advantages including:

  • - High batch-to-batch consistency and reproducibility
  • - Improved sensitivity and specificity
  • - Long-term security of supply
  • - Animal-free batch production

For more information, read more on recombinant antibodies.

Properties and storage information

Form
Liquid
Purification technique
Affinity purification Protein A
Storage buffer
pH: 7.2 - 7.4 Preservative: 0.01% Sodium azide Constituents: PBS, 40% Glycerol (glycerin, glycerine), 0.05% BSA
Shipped at conditions
Blue Ice
Appropriate short-term storage duration
1-2 weeks
Appropriate short-term storage conditions
+4°C
Appropriate long-term storage conditions
-20°C
Aliquoting information
Upon delivery aliquot
Storage information
Avoid freeze / thaw cycle

Supplementary information

This supplementary information is collated from multiple sources and compiled automatically.

The A-Raf protein also called ARAF is a serine/threonine-protein kinase with a molecular mass of about 68 kDa. Scientists frequently refer to it with names like A-Raf or anti A-Raf when discussing its function. A-Raf is expressed in various tissues with higher levels found in the urogenital system and the central nervous system. This protein plays an important role in cellular signal transduction processes influencing cell proliferation and differentiation through phosphorylation activity.
Biological function summary

The A-Raf protein participates in the regulation of cell growth and survival. It forms part of the MAPK/ERK signaling cascade which is essential for transmitting mitogenic signals from the cell surface to the nucleus. A-Raf acts as a modulator within this complex impacting the overall signaling output. The protein is intimately involved in the regulation of the developmental processes influencing cell fate and function.

Pathways

The A-Raf protein is central to the MAPK/ERK pathway a critical signaling pathway involved in the regulation of cellular responses to growth signals. This pathway includes key components like the proteins B-Raf and C-Raf with A-Raf playing specific roles in the modulation and fine-tuning of this signal transmission. It helps mediate signals that control cell division differentiation and secretion ensuring appropriate cellular responses to external stimuli.

Aberrations in A-Raf functions have been linked to cancers particularly urogenital cancers due to its role in uncontrolled cell proliferation. Faulty A-Raf activity can also contribute to neurological disorders because of its expression in the central nervous system and involvement in neuronal signaling pathways. In these contexts it can interact with proteins like B-Raf which are important for maintaining normal cellular signaling and preventing tumorigenesis and neurodegenerative disorders.

Product protocols

For this product, it's our understanding that no specific protocols are required. You can visit:

Target data

Involved in the transduction of mitogenic signals from the cell membrane to the nucleus. May also regulate the TOR signaling cascade (By similarity). Phosphorylates PFKFB2 (By similarity).
See full target information Araf

Product promise

We are committed to supporting your work with high-quality reagents, and we're here for you every step of the way. In the unlikely event that one of our products does not perform as expected, you're protected by our Product Promise.
For full details, please see our Terms & Conditions

Please note: All products are 'FOR RESEARCH USE ONLY. NOT FOR USE IN DIAGNOSTIC OR THERAPEUTIC PROCEDURES'.

For licensing inquiries, please contact partnerships@abcam.com