JavaScript is disabled in your browser. Please enable JavaScript to view this website.
AB112053

Anti-A-Raf (phospho S299) antibody

Be the first to review this product! Submit a review

|

(3 Publications)

Rabbit Polyclonal A RAF phospho S299 antibody. Suitable for IHC-P and reacts with Human samples. Cited in 3 publications. Immunogen corresponding to Synthetic Peptide within Human ARAF phospho S299.

View Alternative Names

ARAF1, PKS, PKS2, ARAF, Serine/threonine-protein kinase A-Raf, Proto-oncogene A-Raf, Proto-oncogene A-Raf-1, Proto-oncogene Pks

1 Images
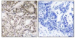
Immunohistochemistry (Formalin/PFA-fixed paraffin-embedded sections) - Anti-A-Raf (phospho S299) antibody (AB112053)
  • IHC-P

Unknown

Immunohistochemistry (Formalin/PFA-fixed paraffin-embedded sections) - Anti-A-Raf (phospho S299) antibody (AB112053)

ab112053 at 1/50 dilution staining A-Raf in Paraffin-embedded Human colon carcinoma tissue by Immunohistochemistry. The image on the right is treated with the synthesized phospho peptide.

Key facts

Host species

Rabbit

Clonality

Polyclonal

Isotype

IgG

Carrier free

No

Reacts with

Human

Applications

IHC-P

applications

Immunogen

Synthetic Peptide within Human ARAF phospho S299. The exact immunogen used to generate this antibody is proprietary information.

P10398

Reactivity data

{ "title": "Reactivity Data", "filters": { "stats": ["", "Species", "Dilution Info", "Notes"], "tabs": { "all-applications": {"fullname" : "All Applications", "shortname": "All Applications"}, "IHCP" : {"fullname" : "Immunohistochemistry (Formalin/PFA-fixed paraffin-embedded sections)", "shortname":"IHC-P"} }, "product-promise": { "all": "all", "testedAndGuaranteed": "tested", "guaranteed": "expected", "predicted": "predicted", "notRecommended": "not-recommended" } }, "values": { "Human": { "IHCP-species-checked": "testedAndGuaranteed", "IHCP-species-dilution-info": "1/50 - 1/100", "IHCP-species-notes": "<p></p> Perform heat-mediated antigen retrieval with citrate buffer pH 6 before commencing with IHC staining protocol." }, "Mouse": { "IHCP-species-checked": "predicted", "IHCP-species-dilution-info": "", "IHCP-species-notes": "" }, "Rat": { "IHCP-species-checked": "predicted", "IHCP-species-dilution-info": "", "IHCP-species-notes": "" } } }

Properties and storage information

Form
Liquid
Purification technique
Affinity purification Immunogen
Purification notes
ab112053 was affinity-purified from Rabbit antiserum by affinity-chromatography using epitope-specific phosphopeptide. The antibody against non-phosphopeptide was removed by chromatography using non-phosphopeptide corresponding to the phosphorylation site.
Storage buffer
pH: 7.4 Preservative: 0.02% Sodium azide Constituents: PBS, 50% Glycerol (glycerin, glycerine), 0.88% Sodium chloride
Shipped at conditions
Blue Ice
Appropriate short-term storage conditions
+4°C
Appropriate long-term storage conditions
-20°C
Storage information
Stable for 12 months at -20°C

Supplementary information

This supplementary information is collated from multiple sources and compiled automatically.

The A-Raf protein also called ARAF is a serine/threonine-protein kinase with a molecular mass of about 68 kDa. Scientists frequently refer to it with names like A-Raf or anti A-Raf when discussing its function. A-Raf is expressed in various tissues with higher levels found in the urogenital system and the central nervous system. This protein plays an important role in cellular signal transduction processes influencing cell proliferation and differentiation through phosphorylation activity.
Biological function summary

The A-Raf protein participates in the regulation of cell growth and survival. It forms part of the MAPK/ERK signaling cascade which is essential for transmitting mitogenic signals from the cell surface to the nucleus. A-Raf acts as a modulator within this complex impacting the overall signaling output. The protein is intimately involved in the regulation of the developmental processes influencing cell fate and function.

Pathways

The A-Raf protein is central to the MAPK/ERK pathway a critical signaling pathway involved in the regulation of cellular responses to growth signals. This pathway includes key components like the proteins B-Raf and C-Raf with A-Raf playing specific roles in the modulation and fine-tuning of this signal transmission. It helps mediate signals that control cell division differentiation and secretion ensuring appropriate cellular responses to external stimuli.

Aberrations in A-Raf functions have been linked to cancers particularly urogenital cancers due to its role in uncontrolled cell proliferation. Faulty A-Raf activity can also contribute to neurological disorders because of its expression in the central nervous system and involvement in neuronal signaling pathways. In these contexts it can interact with proteins like B-Raf which are important for maintaining normal cellular signaling and preventing tumorigenesis and neurodegenerative disorders.

Product protocols

For this product, it's our understanding that no specific protocols are required. You can visit:

Target data

Involved in the transduction of mitogenic signals from the cell membrane to the nucleus. May also regulate the TOR signaling cascade. Phosphorylates PFKFB2 (PubMed : 36402789).. Isoform 2. Serves as a positive regulator of myogenic differentiation by inducing cell cycle arrest, the expression of myogenin and other muscle-specific proteins, and myotube formation.
See full target information ARAF phospho S299

Publications (3)

Recent publications for all applications. Explore the full list and refine your search

Molecular medicine reports 30: PubMed39364751

2024

Downregulation of microRNA‑221‑3p promotes angiogenesis of lipoprotein(a)‑injured endothelial progenitor cells by targeting silent information regulator 1 to activate the RAF/MEK/ERK signaling pathway.

Applications

Unspecified application

Species

Unspecified reactive species

Xiaolei Zhang,Shizhen Wang,Yongting Qin,Hang Guo

Heliyon 10:e23167 PubMed38169774

2024

Inhibition of TAF1B impairs ribosome biosynthesis and suppresses cell proliferation in stomach adenocarcinoma through promoting c-MYC mRNA degradation.

Applications

Unspecified application

Species

Unspecified reactive species

Hang-Fei Chen,Zhang-Ping Li,Qi Wu,Chun Yu,Jing-Yi Yan,Yong-Feng Bai,Sheng-Mei Zhu,Mao-Xiang Qian,Ming Liu,Li-Feng Xu,Zheng Peng,Feng Zhang

Pharmaceutical biology 60:764-773 PubMed35387566

2022

Caudatin blocks the proliferation, stemness and glycolysis of non-small cell lung cancer cells through the Raf/MEK/ERK pathway.

Applications

Unspecified application

Species

Unspecified reactive species

Juan Hou,Qing Chen,Yufeng Huang,Zhiwei Wu,De Ma
View all publications

Product promise

We are committed to supporting your work with high-quality reagents, and we're here for you every step of the way. In the unlikely event that one of our products does not perform as expected, you're protected by our Product Promise.
For full details, please see our Terms & Conditions

Please note: All products are 'FOR RESEARCH USE ONLY. NOT FOR USE IN DIAGNOSTIC OR THERAPEUTIC PROCEDURES'.

For licensing inquiries, please contact partnerships@abcam.com