JavaScript is disabled in your browser. Please enable JavaScript to view this website.
AB239588

Anti-A1BG antibody [D6]

Be the first to review this product! Submit a review

|

(0 Publication)

Mouse Monoclonal A1BG antibody. Suitable for WB, IHC-P and reacts with Human samples. Immunogen corresponding to Recombinant Fragment Protein within Human A1BG aa 1-250.

View Alternative Names

Alpha-1B-glycoprotein, Alpha-1-B glycoprotein, A1BG

4 Images
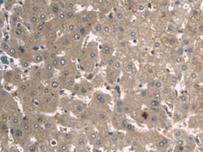
Immunohistochemistry (Formalin/PFA-fixed paraffin-embedded sections) - Anti-A1BG antibody [D6] (AB239588)
  • IHC-P

Supplier Data

Immunohistochemistry (Formalin/PFA-fixed paraffin-embedded sections) - Anti-A1BG antibody [D6] (AB239588)

Paraffin-embedded human liver tissue stained for A1BG using ab239588 at 30 μg/ml in immunohistochemical analysis. DAB staining. HRP-linked Goat anti-Mouse polyclonal IgG was used as secondary antibody at 2 μg/ml.

Immunohistochemistry (Formalin/PFA-fixed paraffin-embedded sections) - Anti-A1BG antibody [D6] (AB239588)
  • IHC-P

Supplier Data

Immunohistochemistry (Formalin/PFA-fixed paraffin-embedded sections) - Anti-A1BG antibody [D6] (AB239588)

Paraffin-embedded human stomach tissue stained for A1BG using ab239588 at 30 μg/ml in immunohistochemical analysis. DAB staining. HRP-linked Goat anti-Mouse polyclonal IgG was used as secondary antibody at 2 μg/ml.

Western blot - Anti-A1BG antibody [D6] (AB239588)
  • WB

Supplier Data

Western blot - Anti-A1BG antibody [D6] (AB239588)

All lanes:

Western blot - Anti-A1BG antibody [D6] (ab239588) at 2 µg/mL

All lanes:

Human serum

Secondary

All lanes:

HRP-linked Rabbit anti-Mouse IgG at 1/5000 dilution

Predicted band size: 54 kDa

false

Western blot - Anti-A1BG antibody [D6] (AB239588)
  • WB

Supplier Data

Western blot - Anti-A1BG antibody [D6] (AB239588)

All lanes:

Western blot - Anti-A1BG antibody [D6] (ab239588) at 5 µg/mL

All lanes:

Recombinant human A1BG protein

Predicted band size: 54 kDa

false

Key facts

Host species

Mouse

Clonality

Monoclonal

Clone number

D6

Isotype

IgG1

Light chain type

kappa

Carrier free

No

Reacts with

Human

Applications

WB, IHC-P

applications

Immunogen

Recombinant Fragment Protein within Human A1BG aa 1-250. The exact immunogen used to generate this antibody is proprietary information.

P04217

Reactivity data

{ "title": "Reactivity Data", "filters": { "stats": ["", "Species", "Dilution Info", "Notes"], "tabs": { "all-applications": {"fullname" : "All Applications", "shortname": "All Applications"}, "WB" : {"fullname" : "Western blot", "shortname":"WB"}, "IHCP" : {"fullname" : "Immunohistochemistry (Formalin/PFA-fixed paraffin-embedded sections)", "shortname":"IHC-P"} }, "product-promise": { "all": "all", "testedAndGuaranteed": "tested", "guaranteed": "expected", "predicted": "predicted", "notRecommended": "not-recommended" } }, "values": { "Human": { "WB-species-checked": "testedAndGuaranteed", "WB-species-dilution-info": "0.5-5 µg/mL", "WB-species-notes": "<p></p>", "IHCP-species-checked": "testedAndGuaranteed", "IHCP-species-dilution-info": "5-30 µg/mL", "IHCP-species-notes": "<p></p>" } } }

Properties and storage information

Form
Liquid
Purification technique
Affinity purification Protein A/G
Purification notes
Purified from TCS.
Storage buffer
pH: 7.4 Preservative: 0.011% Proclin 300 Constituents: 55.77% Glycerol (glycerin, glycerine), 44.219% PBS
Shipped at conditions
Blue Ice
Appropriate short-term storage duration
1-2 weeks
Appropriate short-term storage conditions
+4°C
Appropriate long-term storage conditions
-20°C
Aliquoting information
Upon delivery aliquot
Storage information
Avoid freeze / thaw cycle

Supplementary information

This supplementary information is collated from multiple sources and compiled automatically.

A1BG also known as alpha-1-B glycoprotein is a plasma protein with a mass of approximately 63 kDa. It demonstrates expression prominently in the liver and circulates in the bloodstream. The gene coding for A1BG is located on chromosome 19. A1BG does not seem to have enzymatic activity but instead acts as a carrier protein interacting with other molecules to modulate their stability and availability in plasma.
Biological function summary

The function of A1BG involves interaction with cysteine proteinase inhibitors though it is not part of any known large protein complex. It participates in the regulation of protease activity by sequestering inhibitors from the active site of proteases. This regulation plays a role in maintaining balanced proteolytic activity in tissues which is important for processes such as inflammation and tissue remodeling.

Pathways

A1BG is involved in metabolic processes of extracellular proteins. The protein does not interact directly with major signaling pathways but it influences them indirectly by modulating enzymatic activity. A1BG interacts with alpha-2-macroglobulin which is part of the protease inhibitor category and is also involved in the immune response. This relationship impacts the bioavailability and activity of various cytokines and growth factors affecting pathways like inflammation control and extracellular matrix organization.

A1BG levels show association with conditions like cancer and neurodegenerative diseases. Observed in certain cancers altered A1BG expression might influence tumor growth and metastasis. In neurodegenerative disorders such as Alzheimer's disease the protein's interaction with protease inhibitors could potentially affect amyloid-beta processing. The interaction between A1BG and alpha-2-macroglobulin is significant as dysregulation in this association may contribute to the disease pathogenesis.

Product protocols

For this product, it's our understanding that no specific protocols are required. You can visit:

Product promise

We are committed to supporting your work with high-quality reagents, and we're here for you every step of the way. In the unlikely event that one of our products does not perform as expected, you're protected by our Product Promise.
For full details, please see our Terms & Conditions

Please note: All products are 'FOR RESEARCH USE ONLY. NOT FOR USE IN DIAGNOSTIC OR THERAPEUTIC PROCEDURES'.

For licensing inquiries, please contact partnerships@abcam.com