JavaScript is disabled in your browser. Please enable JavaScript to view this website.
AB254413

Anti-A2BP1/Fox1/RBFOX1 antibody [EPR23656-5]

  • BOND RX™ Validated
  • 20ul selling size
  • Recombinant
  • Advanced Validation
  • RabMAb
  • What is this?

5

(3 Reviews)

|

(3 Publications)

Rabbit Recombinant Monoclonal A2BP1/Fox1/RBFOX1 antibody. Suitable for mIHC, ICC/IF, WB, IHC-Fr, IHC-P and reacts with Mouse, Human, Rat samples. Cited in 3 publications.

View Alternative Names

A2BP, A2BP1, FOX1, HRNBP1, RBFOX1, RNA binding protein fox-1 homolog 1, Ataxin-2-binding protein 1, Fox-1 homolog A, Hexaribonucleotide-binding protein 1

21 Images
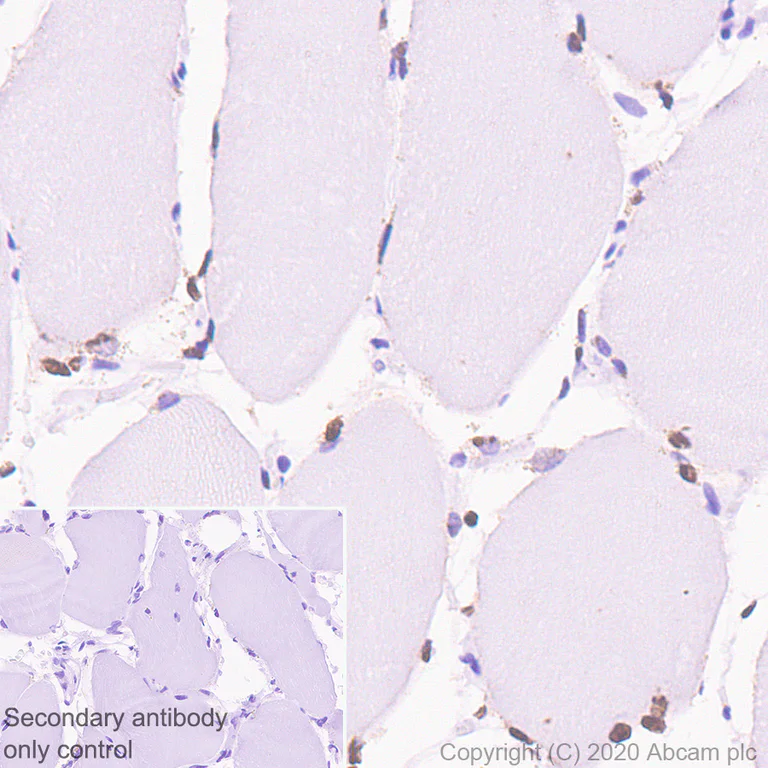
Immunohistochemistry (Formalin/PFA-fixed paraffin-embedded sections) - Anti-A2BP1/Fox1/RBFOX1 antibody [EPR23656-5] (AB254413)
  • IHC-P

Lab

Immunohistochemistry (Formalin/PFA-fixed paraffin-embedded sections) - Anti-A2BP1/Fox1/RBFOX1 antibody [EPR23656-5] (AB254413)

Immunohistochemical analysis of paraffin-embedded Human skeletal muscle tissue labeling A2BP1/Fox1/RBFOX1 with ab254413 at 1/2000 (0.239 ug/ml) dilution followed by a ready to use Rabbit specific IHC polymer detection kit HRP/DAB (ab209101). Positive staining on human skeletal muscle. The section was incubated with ab254413 for 30 mins at room temperature. The immunostaining was performed on a Leica Biosystems BOND® RX instrument Counterstained with Hematoxylin.

Secondary antibody only control : Secondary antibody is a ready to use Rabbit specific IHC polymer detection kit HRP/DAB (ab209101).

Heat mediated antigen retrieval with Tris-EDTA buffer (pH 9.0, epitope retrieval solution2) for 20 mins

Immunohistochemistry (Formalin/PFA-fixed paraffin-embedded sections) - Anti-A2BP1/Fox1/RBFOX1 antibody [EPR23656-5] (AB254413)
  • IHC-P

Lab

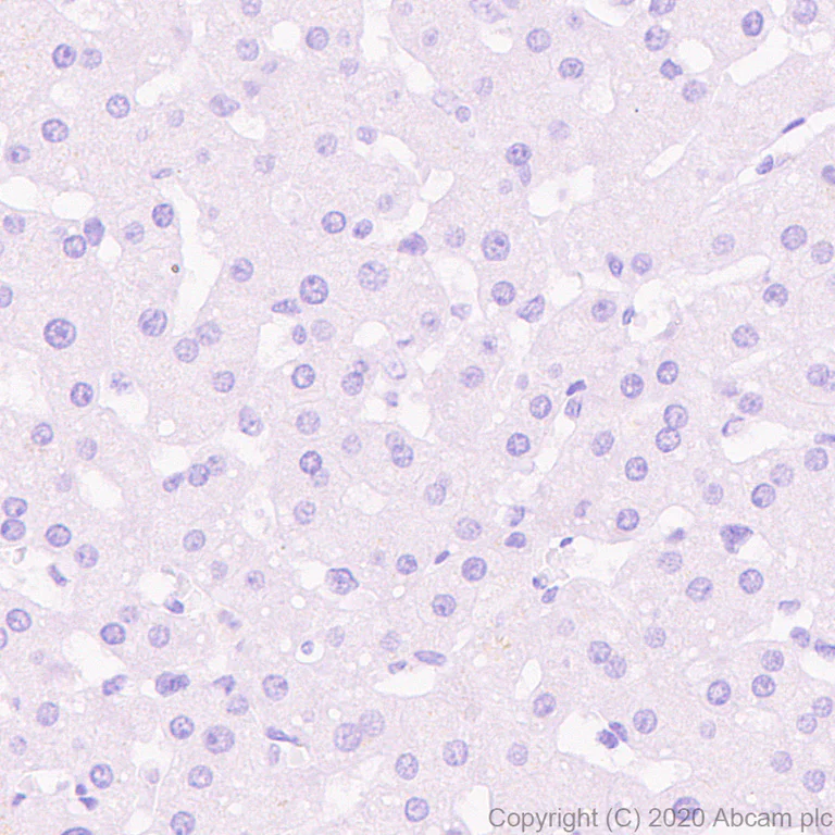
Immunohistochemistry (Formalin/PFA-fixed paraffin-embedded sections) - Anti-A2BP1/Fox1/RBFOX1 antibody [EPR23656-5] (AB254413)

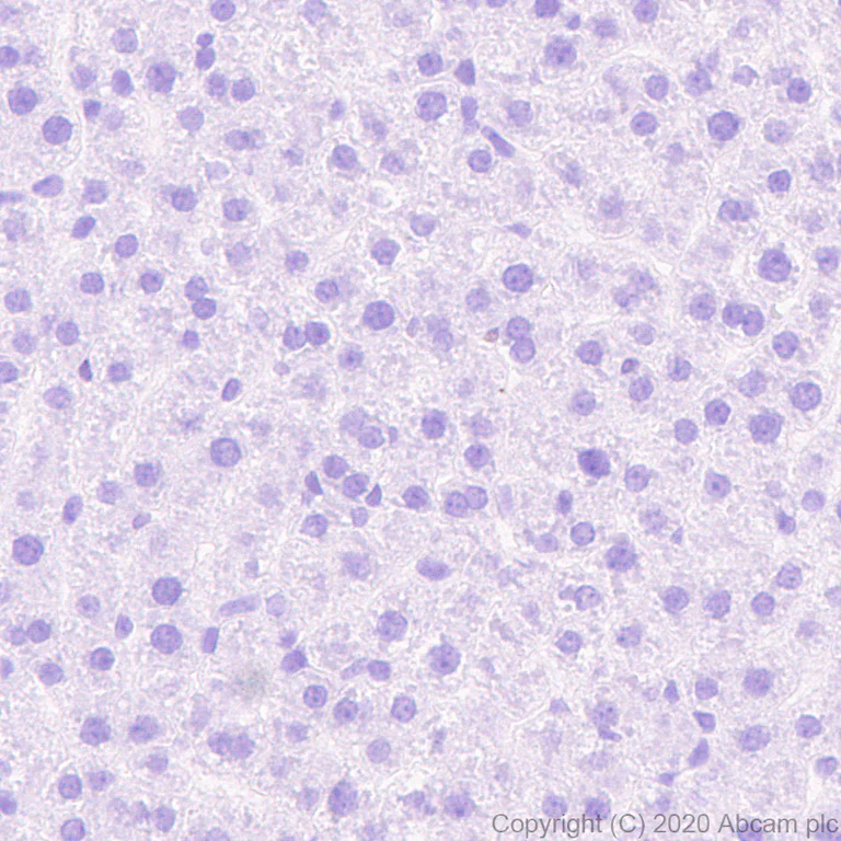
Immunohistochemical analysis of paraffin-embedded Human liver tissue labeling A2BP1/Fox1/RBFOX1 with ab254413 at 1/2000 (0.239 ug/ml) dilution followed by a ready to use Rabbit specific IHC polymer detection kit HRP/DAB (ab209101). Negative control : No staining on human liver (PMID : 10814712). The section was incubated with ab254413 for 30 mins at room temperature. The immunostaining was performed on a Leica Biosystems BOND® RX instrument Counterstained with Hematoxylin.

Secondary antibody only control : Secondary antibody is a ready to use Rabbit specific IHC polymer detection kit HRP/DAB (ab209101).

Heat mediated antigen retrieval with Tris-EDTA buffer (pH 9.0, epitope retrieval solution2) for 20 mins

Immunohistochemistry (Formalin/PFA-fixed paraffin-embedded sections) - Anti-A2BP1/Fox1/RBFOX1 antibody [EPR23656-5] (AB254413)
  • IHC-P

Lab

Immunohistochemistry (Formalin/PFA-fixed paraffin-embedded sections) - Anti-A2BP1/Fox1/RBFOX1 antibody [EPR23656-5] (AB254413)

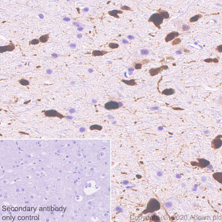
Immunohistochemical analysis of paraffin-embedded Human cerebrum tissue labeling A2BP1/Fox1/RBFOX1 with ab254413 at 1/2000 (0.239 ug/ml) dilution followed by a ready to use Rabbit specific IHC polymer detection kit HRP/DAB (ab209101). Positive staining on human brain. The section was incubated with ab254413 for 30 mins at room temperature.The immunostaining was performed on a Leica Biosystems BOND® RX instrument Counterstained with Hematoxylin.

Secondary antibody only control : Secondary antibody is a ready to use Rabbit specific IHC polymer detection kit HRP/DAB (ab209101).

Heat mediated antigen retrieval with Tris-EDTA buffer (pH 9.0, epitope retrieval solution2) for 20 mins

Multiplex immunohistochemistry - Anti-A2BP1/Fox1/RBFOX1 antibody [EPR23656-5] (AB254413)
  • mIHC

Supplier Data

Multiplex immunohistochemistry - Anti-A2BP1/Fox1/RBFOX1 antibody [EPR23656-5] (AB254413)

Fluorescence multiplex immunohistochemical analysis of the human skeletal muscle (Formalin/PFA-fixed paraffin-embedded sections). Panel A : merged staining of anti-Dystrophin (ab275391, red; Opal™690), anti-A2BP1/Fox1/RBFOX1 (ab254413, green; Opal™520) and anti-Creatine Kinase MM (ab283683, magenta; Opal™570) on human skeletal muscle. Panel B : anti-A2BP1/Fox1/RBFOX1 stained on nucleus of skeletal muscle. Panel C : anti-Creatine Kinase MM stained on cytoplasm of skeletal muscle. Panel D : anti-Dystrophin stained on membrane of skeletal muscle. Opal Polymer HRP Ms + Rb was used as a secondary antibody. The section was incubated in three rounds of staining : in the order of ab275391 at 1/500 (2.08 μg/ml) dilution, ab254413 at 1/2000 (0.239 μg/ml) dilution, and ab283683 at 1/3000 (0.18 μg/ml) dilution for 30 mins at room temperature. Each round was followed by a separate fluorescent tyramide signal amplification system. DAPI (blue) was used as a nuclear counter stain. The immunostaining was performed on a Leica Biosystems BOND® RX instrument with an Opal™ 4-color kit. Image acquisition was performed with Leica SP8 confocal microscope. Heat mediated antigen retrieval with Tris-EDTA buffer (pH 9.0, epitope retrieval solution2) for 20 mins.

Immunocytochemistry/ Immunofluorescence - Anti-A2BP1/Fox1/RBFOX1 antibody [EPR23656-5] (AB254413)
  • ICC/IF

Lab

Immunocytochemistry/ Immunofluorescence - Anti-A2BP1/Fox1/RBFOX1 antibody [EPR23656-5] (AB254413)

Immunofluorescent analysis of 4% Paraformaldehyde-fixed, 0.1% TritonX-100 permeabilized rat primary neural/glia cell cells labelling A2BP1/Fox1/RBFOX1 with ab254413 at 1/50 (9.56 ug/ml) dilution, followed by ab150077 Goat Anti-Rabbit IgG H&L (Alexa Fluor® 488) antibody at 1/1000 dilution (Green). Confocal image showing nuclear and cytoplasmic staining in rat primary neuron. Confocal scanning Z step was set as 0.3 μm followed by image processing with maximum Z projection is observed. ab11267 Anti-MAP2 mouse monoclonal antibody was used to counterstain tubulin at 1/200 2.5 dilution (Red). The Nuclear counterstain was DAPI (Blue).

Secondary antibody only control : Secondary antibody is ab150077 Goat Anti-Rabbit IgG H&L (Alexa Fluor® 488) at 1/1000 dilution.

Immunohistochemistry (Frozen sections) - Anti-A2BP1/Fox1/RBFOX1 antibody [EPR23656-5] (AB254413)
  • IHC-Fr

Lab

Immunohistochemistry (Frozen sections) - Anti-A2BP1/Fox1/RBFOX1 antibody [EPR23656-5] (AB254413)

Immunohistochemical analysis of 4% PFA-fixed, 0.2% Triton X-100 permeabilized frozen Rat liver tissue labeling A2BP1/Fox1/RBFOX1 with ab254413 at 1/100 (4.78 ug/ml) dilution followed by ab150077 Goat Anti-Rabbit IgG H&L (Alexa Fluor® 488) at 1/1000 (2 ug/ml) dilution (Green). Negative control : no staining on rat liver (PMID : 16260614) is observed. The nuclear counterstain was DAPI (Blue).

Secondary antibody control : Secondary antibody is ab150077 Goat Anti-Rabbit IgG H&L (Alexa Fluor® 488)at 1/1000 (2 ug/ml) dilution.

Heat mediated antigen retrieval using sodium citrate buffer (10mM citrate pH 6.0 + 0.05% Tween-20).

Immunohistochemistry (Formalin/PFA-fixed paraffin-embedded sections) - Anti-A2BP1/Fox1/RBFOX1 antibody [EPR23656-5] (AB254413)
  • IHC-P

Lab

Immunohistochemistry (Formalin/PFA-fixed paraffin-embedded sections) - Anti-A2BP1/Fox1/RBFOX1 antibody [EPR23656-5] (AB254413)

Immunohistochemical analysis of paraffin-embedded Mouse liver tissue labeling A2BP1/Fox1/RBFOX1 with ab254413 at 1/2000 (0.239 ug/ml) dilution followed by a ready to use Rabbit specific IHC polymer detection kit HRP/DAB (ab209101). Negative control : No staining on mouse liver. The section was incubated with ab254413 for 30 mins at room temperature.The immunostaining was performed on a Leica Biosystems BOND® RX instrument Counterstained with Hematoxylin.

Secondary antibody only control : Secondary antibody is a ready to use Rabbit specific IHC polymer detection kit HRP/DAB (ab209101).

Heat mediated antigen retrieval with Tris-EDTA buffer (pH 9.0, epitope retrieval solution2) for 20 mins

Immunocytochemistry/ Immunofluorescence - Anti-A2BP1/Fox1/RBFOX1 antibody [EPR23656-5] (AB254413)
  • ICC/IF

Lab

Immunocytochemistry/ Immunofluorescence - Anti-A2BP1/Fox1/RBFOX1 antibody [EPR23656-5] (AB254413)

Immunofluorescent analysis of 4% Paraformaldehyde-fixed, 0.1% TritonX-100 permeabilized mouse primary neural/glia cell cells labelling A2BP1/Fox1/RBFOX1 with ab254413 at 1/50 (9.56 ug/ml) dilution, followed by ab150077 Goat Anti-Rabbit IgG H&L (Alexa Fluor® 488) antibody at 1/1000 2 ug/ml dilution (Green). Confocal image showing nuclear and cytoplasmic staining in mouse primary neuron. Confocal scanning Z step was set as 0.3 μm followed by image processing with maximum Z projection is observed. ab11267 Anti-MAP2 mouse monoclonal antibody was used to counterstain tubulin at 1/200 2.5 dilution (Red). The Nuclear counterstain was DAPI (Blue).

Secondary antibody only control : Secondary antibody is ab150077 Goat Anti-Rabbit IgG H&L (Alexa Fluor® 488) at 1/1000 dilution.

Immunohistochemistry (Formalin/PFA-fixed paraffin-embedded sections) - Anti-A2BP1/Fox1/RBFOX1 antibody [EPR23656-5] (AB254413)
  • IHC-P

Lab

Immunohistochemistry (Formalin/PFA-fixed paraffin-embedded sections) - Anti-A2BP1/Fox1/RBFOX1 antibody [EPR23656-5] (AB254413)

Immunohistochemical analysis of paraffin-embedded Rat cerebrum tissue labeling A2BP1/Fox1/RBFOX1 with ab254413 at 1/2000 (0.239 ug/ml) dilution followed by a ready to use Rabbit specific IHC polymer detection kit HRP/DAB (ab209101). Positive staining on rat cerebrum. The section was incubated with ab254413 for 30 mins at room temperature.The immunostaining was performed on a Leica Biosystems BOND® RX instrument Counterstained with Hematoxylin.

Secondary antibody only control : Secondary antibody is a ready to use Rabbit specific IHC polymer detection kit HRP/DAB (ab209101).

Heat mediated antigen retrieval with Tris-EDTA buffer (pH 9.0, epitope retrieval solution2) for 20 mins

Flow Cytometry (Intracellular) - Anti-A2BP1/Fox1/RBFOX1 antibody [EPR23656-5] (AB254413)
  • Flow Cyt (Intra)

Lab

Flow Cytometry (Intracellular) - Anti-A2BP1/Fox1/RBFOX1 antibody [EPR23656-5] (AB254413)

Flow cytometric analysis of 4% paraformaldehyde fixed 90% methanol permeabilized Mouse primary neuron cells cells labelling A2BP1/Fox1/RBFOX1 with ab254413 at 1/1000 dilution (Red) compared with a Rabbit monoclonal IgG (ab172730) (Black) isotype control and an unlabelled control (cells without incubation with primary antibody and secondary antibody) (Blue). A Goat anti rabbit IgG (Alexa Fluor® 488, ab150077) at 1/2000 dilution was used as the secondary antibody.

Immunohistochemistry (Frozen sections) - Anti-A2BP1/Fox1/RBFOX1 antibody [EPR23656-5] (AB254413)
  • IHC-Fr

Lab

Immunohistochemistry (Frozen sections) - Anti-A2BP1/Fox1/RBFOX1 antibody [EPR23656-5] (AB254413)

Immunohistochemical analysis of 4% PFA-fixed, 0.2% Triton X-100 permeabilized frozen Rat cerebrum tissue labeling A2BP1/Fox1/RBFOX1 with ab254413 at 1/100 (4.78 ug/ml) dilution followed by ab150077 Goat Anti-Rabbit IgG H&L (Alexa Fluor® 488) at 1/1000 (2 ug/ml) dilution (Green). Positive staining on rat cerebrum is observed. The nuclear counterstain was DAPI (Blue).

Secondary antibody control : Secondary antibody is ab150077 Goat Anti-Rabbit IgG H&L (Alexa Fluor® 488)at 1/1000 dilution.

Heat mediated antigen retrieval using sodium citrate buffer (10mM citrate pH 6.0 + 0.05% Tween-20).

Immunohistochemistry (Frozen sections) - Anti-A2BP1/Fox1/RBFOX1 antibody [EPR23656-5] (AB254413)
  • IHC-Fr

Lab

Immunohistochemistry (Frozen sections) - Anti-A2BP1/Fox1/RBFOX1 antibody [EPR23656-5] (AB254413)

Immunohistochemical analysis of 4% PFA-fixed, 0.2% Triton X-100 permeabilized frozen Mouse liver tissue labeling A2BP1/Fox1/RBFOX1 with ab254413 at 1/100 (4.78 ug/ml) dilution followed by ab150077 Goat Anti-Rabbit IgG H&L (Alexa Fluor® 488) at 1/1000 (2 ug/ml) dilution (Green). Negative control : no staining on mouse liver (PMID : 16260614) is observed. The nuclear counterstain was DAPI (Blue).

Secondary antibody control : Secondary antibody is ab150077 Goat Anti-Rabbit IgG H&L (Alexa Fluor® 488)at 1/1000) dilution.

Heat mediated antigen retrieval using sodium citrate buffer (10mM citrate pH 6.0 + 0.05% Tween-20).

Multiplex immunohistochemistry - Anti-A2BP1/Fox1/RBFOX1 antibody [EPR23656-5] (AB254413)
  • mIHC

Lab

Multiplex immunohistochemistry - Anti-A2BP1/Fox1/RBFOX1 antibody [EPR23656-5] (AB254413)

Multiplex immunohistochemistry analysis of formalin/PFA-fixed paraffin-embedded Mouse skeletal muscle tissue staining Slow Skeletal Myosin Heavy chain with ab234431 at a 1/2500 dilution, A2BP1 with ab254413 at 1/2000 (0.26 µg/ml) dilution and Dystrophin with ab218198 at 1/5000 ( 0.110 µg/ml) dilution.

Panel A : merged staining of anti-Slow Skeletal Myosin Heavy chain (green; Opal™520), anti-A2BP1 (gray; Opal™570) and anti-Dystrophin (magenta; Opal™690) on mouse skeletal muscle.
Panel B : anti-Slow Skeletal Myosin Heavy chain staining slow type fibers in mouse skeletal muscle.
Panel C : anti-A2BP1 staining nucleus in mouse skeletal muscle.
Panel D : anti-Dystrophin staining membrane in mouse skeletal muscle.
Nuclear DNA was labeled with DAPI (shown in blue).

The section was incubated in three rounds of staining : in the order of ab234431, ab254413 and ab218198 for 30 mins at room temperature. Each round was followed by a separate fluorescent tyramide signal amplification system.

The immunostaining was performed on a Leica Biosystems BOND® RX instrument with an Opal™ 4-color kit. Image acquisition was performed with Leica SP8 confocal microscope.

Heat mediated antigen retrieval with Tris-EDTA buffer (pH 9.0 epitope retrieval solution2) for 20 mins.

Immunocytochemistry/ Immunofluorescence - Anti-A2BP1/Fox1/RBFOX1 antibody [EPR23656-5] (AB254413)
  • ICC/IF

Lab

Immunocytochemistry/ Immunofluorescence - Anti-A2BP1/Fox1/RBFOX1 antibody [EPR23656-5] (AB254413)

Immunofluorescent analysis of 4% Paraformaldehyde-fixed, 0.1% TritonX-100 permeabilized Neuro-2a cells labelling A2BP1/Fox1/RBFOX1 with ab254413 at 1/50 (9.56 ug/ml) dilution, followed by ab150077 Goat Anti-Rabbit IgG H&L (Alexa Fluor® 488) antibody at 1/1000 2 ug/ml dilution (Green). Confocal image showing nuclear and weakly cytoplasmic staining in Neuro-2a cell line is observed. ab195889 Anti-alpha Tubulin mouse monoclonal antibody - Microtubule Marker (Alexa Fluor® 594) was used to counterstain tubulin at 1/200 dilution (Red). The Nuclear counterstain was DAPI (Blue).

Secondary antibody only control : Secondary antibody is ab150077 Goat Anti-Rabbit IgG H&L (Alexa Fluor® 488) at 1/1000 dilution.

Immunohistochemistry (Formalin/PFA-fixed paraffin-embedded sections) - Anti-A2BP1/Fox1/RBFOX1 antibody [EPR23656-5] (AB254413)
  • IHC-P

Lab

Immunohistochemistry (Formalin/PFA-fixed paraffin-embedded sections) - Anti-A2BP1/Fox1/RBFOX1 antibody [EPR23656-5] (AB254413)

Immunohistochemical analysis of paraffin-embedded Mouse cerebrum tissue labeling A2BP1/Fox1/RBFOX1 with ab254413 at 1/2000 (0.239 ug/ml) dilution followed by a ready to use Rabbit specific IHC polymer detection kit HRP/DAB (ab209101). Positive staining on mouse cerebrum. The section was incubated with ab254413 for 30 mins at room temperature. The immunostaining was performed on a Leica Biosystems BOND® RX instrument Counterstained with Hematoxylin.

Secondary antibody only control : Secondary antibody is a ready to use Rabbit specific IHC polymer detection kit HRP/DAB (ab209101).

Heat mediated antigen retrieval with Tris-EDTA buffer (pH 9.0, epitope retrieval solution2) for 20 mins

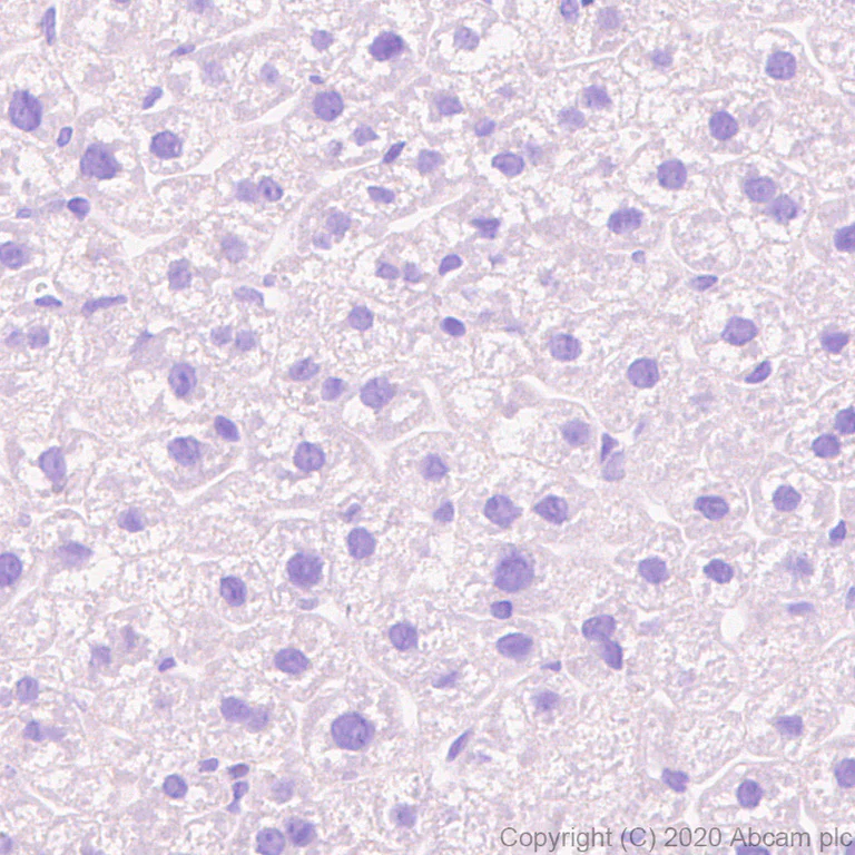
Immunohistochemistry (Formalin/PFA-fixed paraffin-embedded sections) - Anti-A2BP1/Fox1/RBFOX1 antibody [EPR23656-5] (AB254413)
  • IHC-P

Lab

Immunohistochemistry (Formalin/PFA-fixed paraffin-embedded sections) - Anti-A2BP1/Fox1/RBFOX1 antibody [EPR23656-5] (AB254413)

Immunohistochemical analysis of paraffin-embedded Rat liver tissue labeling A2BP1/Fox1/RBFOX1 with ab254413 at 1/2000 (0.239 ug/ml) dilution followed by a ready to use Rabbit specific IHC polymer detection kit HRP/DAB (ab209101). Negative control : No staining on rat liver. The section was incubated with ab254413 for 30 mins at room temperature. The immunostaining was performed on a Leica Biosystems BOND® RX instrument Counterstained with Hematoxylin.

Secondary antibody only control : Secondary antibody is a ready to use Rabbit specific IHC polymer detection kit HRP/DAB (ab209101).

Heat mediated antigen retrieval with Tris-EDTA buffer (pH 9.0, epitope retrieval solution2) for 20 mins

Immunohistochemistry (Frozen sections) - Anti-A2BP1/Fox1/RBFOX1 antibody [EPR23656-5] (AB254413)
  • IHC-Fr

Lab

Immunohistochemistry (Frozen sections) - Anti-A2BP1/Fox1/RBFOX1 antibody [EPR23656-5] (AB254413)

Immunohistochemical analysis of 4% PFA-fixed, 0.2% Triton X-100 permeabilized frozen Mouse cerebrum tissue labeling A2BP1/Fox1/RBFOX1 with ab254413 at 1/100 (4.78 ug/ml) dilution followed by ab150077 Goat Anti-Rabbit IgG H&L (Alexa Fluor® 488) at 1/1000 (2 ug/ml) dilution (Green). Positive staining on mouse cerebrum is observed. The nuclear counterstain was DAPI (Blue).

Secondary antibody control : Secondary antibody is ab150077 Goat Anti-Rabbit IgG H&L (Alexa Fluor® 488)at 1/1000 dilution.

Heat mediated antigen retrieval using sodium citrate buffer (10mM citrate pH 6.0 + 0.05% Tween-20).

Multiplex immunohistochemistry - Anti-A2BP1/Fox1/RBFOX1 antibody [EPR23656-5] (AB254413)
  • mIHC

Lab

Multiplex immunohistochemistry - Anti-A2BP1/Fox1/RBFOX1 antibody [EPR23656-5] (AB254413)

Multiplex immunohistochemistry analysis of formalin/PFA-fixed paraffin-embedded Mouse cardiac muscle tissue staining Nav1.5 with ab300048 at a 1/1000 (5.12 µg/ml) dilution, A2BP1 with ab254413 at 1/2000 (0.26 µg/ml) dilution and Dystrophin with ab218198 at 1/5000 ( 0.110 µg/ml) dilution.

Panel A : merged staining of anti-Nav1.5 (green; Opal™520), anti-A2BP1 (gray; Opal™570) and anti-Dystrophin (magenta; Opal™690) on mouse cardiac muscle.
Panel B : anti-Nav1.5 staining cytoplasm in mouse cardiac muscle.
Panel C : anti-A2BP1 staining nucleus in mouse cardiac muscle.
Panel D : anti-Dystrophin staining membrane in mouse cardiac muscle.
Nuclear DNA was labeled with DAPI (shown in blue).

The section was incubated in three rounds of staining : in the order of ab300048, ab254413 and ab218198 for 30 mins at room temperature. Each round was followed by a separate fluorescent tyramide signal amplification system.

The immunostaining was performed on a Leica Biosystems BOND® RX instrument with an Opal™ 4-color kit. Image acquisition was performed with Leica SP8 confocal microscope.

Heat mediated antigen retrieval with Tris-EDTA buffer (pH 9.0 epitope retrieval solution2) for 20 mins.

Multiplex immunohistochemistry - Anti-A2BP1/Fox1/RBFOX1 antibody [EPR23656-5] (AB254413)
  • mIHC

Lab

Multiplex immunohistochemistry - Anti-A2BP1/Fox1/RBFOX1 antibody [EPR23656-5] (AB254413)

Multiplex immunohistochemistry analysis of formalin/PFA-fixed paraffin-embedded Mouse skeletal muscle tissue staining SERCA1 ATPase with ab314660 at a 1/5000 (0.103 ug/ml) dilution, A2BP1 with ab254413 at 1/2000 (0.26 ug/ml) dilution and Dystrophin with ab218198 at 1/5000 ( 0.110 ug/ml) dilution.

Panel A : merged staining of anti-SERCA1 ATPase (green; Opal™520), anti-A2BP1 (gray; Opal™570) and anti-Dystrophin (magenta; Opal™690) on mouse skeletal muscle.
Panel B : anti-SERCA1 ATPase staining cytoplasm in mouse skeletal muscle.
Panel C : anti-A2BP1 staining nucleus in mouse skeletal muscle.
Panel D : anti-Dystrophin staining membrane in mouse skeletal muscle.
Nuclear DNA was labeled with DAPI (shown in blue).

The section was incubated in three rounds of staining : in the order of ab314660, ab254413 and ab218198 for 30 mins at room temperature. Each round was followed by a separate fluorescent tyramide signal amplification system.

The immunostaining was performed on a Leica Biosystems BOND® RX instrument with an Opal™ 4-color kit. Image acquisition was performed with Leica SP8 confocal microscope.

Heat mediated antigen retrieval with Tris-EDTA buffer (pH 9.0, epitope retrieval solution2) for 20 mins.

Multiplex immunohistochemistry - Anti-A2BP1/Fox1/RBFOX1 antibody [EPR23656-5] (AB254413)
  • mIHC

Lab

Multiplex immunohistochemistry - Anti-A2BP1/Fox1/RBFOX1 antibody [EPR23656-5] (AB254413)

Multiplex immunohistochemistry analysis of formalin/PFA-fixed paraffin-embedded Mouse skeletal muscle tissue staining Nav1.5 with ab300048 at a 1/1000 (5.12 µg/ml) dilution, A2BP1 with ab254413 at 1/2000 (0.26 µg/ml) dilution and Dystrophin with ab218198 at 1/5000 ( 0.110 µg/ml) dilution.

Panel A : merged staining of anti-Nav1.5 (green; Opal™520), anti-A2BP1 (gray; Opal™570) and anti-Dystrophin (magenta; Opal™690) on mouse skeletal muscle.
Panel B : anti-Nav1.5 staining cytoplasm in mouse skeletal muscle.
Panel C : anti-A2BP1 staining nucleus in mouse skeletal muscle.
Panel D : anti-Dystrophin staining membrane in mouse skeletal muscle.
Nuclear DNA was labeled with DAPI (shown in blue).

The section was incubated in three rounds of staining : in the order of ab300048, ab254413 and ab218198 for 30 mins at room temperature. Each round was followed by a separate fluorescent tyramide signal amplification system.

The immunostaining was performed on a Leica Biosystems BOND® RX instrument with an Opal™ 4-color kit. Image acquisition was performed with Leica SP8 confocal microscope.

Heat mediated antigen retrieval with Tris-EDTA buffer (pH 9.0 epitope retrieval solution2) for 20 mins.

Western blot - Anti-A2BP1/Fox1/RBFOX1 antibody [EPR23656-5] (AB254413)
  • WB

Lab

Western blot - Anti-A2BP1/Fox1/RBFOX1 antibody [EPR23656-5] (AB254413)

Blocking and diluting buffer and concentration : 5% NFDM/TBST

Negative control : liver (PMID : 12574126, PMID : 16260614, PMID : 20724578, PMID : 20724578, PMID : 10814712).

Exposure time : 37 seconds.

All lanes:

Western blot - Anti-A2BP1/Fox1/RBFOX1 antibody [EPR23656-5] (ab254413) at 1/1000 dilution

Lane 1:

Mouse brain cortex tissue lysate at 20 µg

Lane 2:

Mouse brain tissue lysate at 20 µg

Lane 3:

Mouse skeletal muscle tissue lysate at 20 µg

Lane 4:

Mouse liver tissue lysate at 20 µg

Lane 5:

Rat brain tissue lysate at 20 µg

Lane 6:

Rat brain cortex tissue lysate at 20 µg

Lane 7:

Rat liver tissue lysate at 20 µg

Secondary

All lanes:

Western blot - Goat Anti-Rabbit IgG H&L (HRP) (<a href='/en-us/products/secondary-antibodies/goat-rabbit-igg-h-l-hrp-ab97051'>ab97051</a>) at 1/20000 dilution

Predicted band size: 42 kDa

Observed band size: 43 kDa

false

  • Carrier free

    Anti-A2BP1/Fox1/RBFOX1 antibody [EPR23656-5] - BSA and Azide free

Key facts

Host species

Rabbit

Clonality

Monoclonal

Clone number

EPR23656-5

Isotype

IgG

Carrier free

No

Reacts with

Mouse, Rat, Human

Applications

mIHC, WB, IHC-Fr, ICC/IF, IHC-P

applications

Immunogen

The exact immunogen used to generate this antibody is proprietary information.

Reactivity data

{ "title": "Reactivity Data", "filters": { "stats": ["", "Species", "Dilution Info", "Notes"], "tabs": { "all-applications": {"fullname" : "All Applications", "shortname": "All Applications"}, "mIHC" : {"fullname" : "Multiplex immunohistochemistry", "shortname":"mIHC"}, "ICCIF" : {"fullname" : "Immunocytochemistry/ Immunofluorescence", "shortname":"ICC/IF"}, "IP" : {"fullname" : "Immunoprecipitation", "shortname":"IP"}, "WB" : {"fullname" : "Western blot", "shortname":"WB"}, "IHCFr" : {"fullname" : "Immunohistochemistry (Frozen sections)", "shortname":"IHC-Fr"}, "IHCP" : {"fullname" : "Immunohistochemistry (Formalin/PFA-fixed paraffin-embedded sections)", "shortname":"IHC-P"}, "FlowCytIntra" : {"fullname" : "Flow Cytometry (Intracellular)", "shortname":"Flow Cyt (Intra)"} }, "product-promise": { "all": "all", "testedAndGuaranteed": "tested", "guaranteed": "expected", "predicted": "predicted", "notRecommended": "not-recommended" } }, "values": { "Human": { "mIHC-species-checked": "testedAndGuaranteed", "mIHC-species-dilution-info": "1/2000", "mIHC-species-notes": "<p></p>", "ICCIF-species-checked": "notRecommended", "ICCIF-species-dilution-info": "1/50", "ICCIF-species-notes": "<p></p>", "IP-species-checked": "notRecommended", "IP-species-dilution-info": "", "IP-species-notes": "<p></p>", "WB-species-checked": "notRecommended", "WB-species-dilution-info": "1/1000", "WB-species-notes": "<p></p>", "IHCFr-species-checked": "guaranteed", "IHCFr-species-dilution-info": "", "IHCFr-species-notes": "", "IHCP-species-checked": "testedAndGuaranteed", "IHCP-species-dilution-info": "1/2000", "IHCP-species-notes": "<p></p>", "FlowCytIntra-species-checked": "notRecommended", "FlowCytIntra-species-dilution-info": "1/1000", "FlowCytIntra-species-notes": "<p></p>" }, "Mouse": { "mIHC-species-checked": "testedAndGuaranteed", "mIHC-species-dilution-info": "1/2000", "mIHC-species-notes": "<p></p>", "ICCIF-species-checked": "testedAndGuaranteed", "ICCIF-species-dilution-info": "1/50", "ICCIF-species-notes": "<p></p>", "IP-species-checked": "notRecommended", "IP-species-dilution-info": "", "IP-species-notes": "<p></p>", "WB-species-checked": "testedAndGuaranteed", "WB-species-dilution-info": "1/1000", "WB-species-notes": "<p></p>", "IHCFr-species-checked": "testedAndGuaranteed", "IHCFr-species-dilution-info": "1/100", "IHCFr-species-notes": "<p>Heat mediated antigen retrieval using sodium citrate buffer (10mM citrate pH 6.0 + 0.05% Tween-20)</p>", "IHCP-species-checked": "testedAndGuaranteed", "IHCP-species-dilution-info": "1/2000", "IHCP-species-notes": "<p></p>", "FlowCytIntra-species-checked": "notRecommended", "FlowCytIntra-species-dilution-info": "", "FlowCytIntra-species-notes": "" }, "Rat": { "mIHC-species-checked": "guaranteed", "mIHC-species-dilution-info": "", "mIHC-species-notes": "", "ICCIF-species-checked": "testedAndGuaranteed", "ICCIF-species-dilution-info": "1/50", "ICCIF-species-notes": "<p></p>", "IP-species-checked": "notRecommended", "IP-species-dilution-info": "", "IP-species-notes": "<p></p>", "WB-species-checked": "testedAndGuaranteed", "WB-species-dilution-info": "1/1000", "WB-species-notes": "<p></p>", "IHCFr-species-checked": "testedAndGuaranteed", "IHCFr-species-dilution-info": "1/100", "IHCFr-species-notes": "<p>Heat mediated antigen retrieval using sodium citrate buffer (10mM citrate pH 6.0 + 0.05% Tween-20)</p>", "IHCP-species-checked": "testedAndGuaranteed", "IHCP-species-dilution-info": "1/2000", "IHCP-species-notes": "<p></p>", "FlowCytIntra-species-checked": "notRecommended", "FlowCytIntra-species-dilution-info": "", "FlowCytIntra-species-notes": "" }, "Common marmoset": { "mIHC-species-checked": "predicted", "mIHC-species-dilution-info": "", "mIHC-species-notes": "", "ICCIF-species-checked": "notRecommended", "ICCIF-species-dilution-info": "", "ICCIF-species-notes": "", "IP-species-checked": "notRecommended", "IP-species-dilution-info": "", "IP-species-notes": "", "WB-species-checked": "notRecommended", "WB-species-dilution-info": "", "WB-species-notes": "", "IHCFr-species-checked": "predicted", "IHCFr-species-dilution-info": "", "IHCFr-species-notes": "", "IHCP-species-checked": "predicted", "IHCP-species-dilution-info": "", "IHCP-species-notes": "", "FlowCytIntra-species-checked": "notRecommended", "FlowCytIntra-species-dilution-info": "", "FlowCytIntra-species-notes": "" } } }

Product details

Patented technology
Our RabMAb® technology is a patented hybridoma-based technology for making rabbit monoclonal antibodies. For details on our patents, please refer to RabMAb® patents.

What are the advantages of a recombinant monoclonal antibody?
This product is a recombinant monoclonal antibody, which offers several advantages including:

  • - High batch-to-batch consistency and reproducibility
  • - Improved sensitivity and specificity
  • - Long-term security of supply
  • - Animal-free batch production

For more information, read more on recombinant antibodies.

Properties and storage information

Form
Liquid
Purification technique
Affinity purification Protein A
Storage buffer
Preservative: 0.01% Sodium azide Constituents: PBS, 40% Glycerol (glycerin, glycerine), 0.05% BSA
Shipped at conditions
Blue Ice
Appropriate short-term storage duration
1-2 weeks
Appropriate short-term storage conditions
+4°C
Appropriate long-term storage conditions
-20°C
Aliquoting information
Upon delivery aliquot
Storage information
Avoid freeze / thaw cycle

Supplementary information

This supplementary information is collated from multiple sources and compiled automatically.

The A2BP1 protein also known as Fox1 or RBFOX1 is a splicing factor that serves an important role in alternative RNA splicing. The protein has a mass of approximately 43 kDa and prominently expresses in the brain muscle and heart. A2BP1/Fox1 is recognized for its RNA-binding capabilities specifically targeting the (U)GCAUG sequence which facilitates the regulation of exon inclusion or skipping during mRNA processing.
Biological function summary

A2BP1/Fox1 influences neuronal and muscle development by managing the splicing of important pre-mRNAs. It operates as part of a larger splicing complex collaborating with other RNA-binding proteins to ensure the proper expression of gene transcripts. This control is vital for neuron-specific and muscle-specific exon recognition affecting the functional states of cells in these tissues.

Pathways

A2BP1/Fox1 activity is integral to the nervous system and muscle development pathways. In the nervous system it links closely with proteins like CELF and PTBP1 modulating the splicing of transcripts involved in synaptic functions. Similarly in muscle development A2BP1/Fox1 works with splicing factors within the pathways that direct muscle differentiation and function such as those involving the protein myogenin.

A2BP1/Fox1 has connections to neurological conditions like autism spectrum disorders (ASD) and epilepsy. Altered expression or mutations in the RBFOX1 gene have associations with these conditions impacting neural connectivity and function. In epilepsy A2BP1/Fox1 appears linked with synaptic proteins which when improperly spliced can disrupt normal neuronal signaling contributing to the disorder's pathogenesis.

Product protocols

For this product, it's our understanding that no specific protocols are required. You can visit:

Target data

RNA-binding protein that regulates alternative splicing events by binding to 5'-UGCAUGU-3' elements. Regulates alternative splicing of tissue-specific exons and of differentially spliced exons during erythropoiesis.
See full target information RBFOX1

Publications (3)

Recent publications for all applications. Explore the full list and refine your search

Molecular neurodegeneration 20:103 PubMed41035073

2025

Molecular hallmarks of excitatory and inhibitory neuronal resilience to Alzheimer's disease.

Applications

Unspecified application

Species

Unspecified reactive species

Isabel Castanho,Pourya Naderi Yeganeh,Carles A Boix,Sarah L Morgan,Hansruedi Mathys,Dmitry Prokopenko,Bartholomew White,Larisa M Soto,Giulia Pegoraro,Saloni Shah,Athanasios Ploumakis,Nikolas Kalavros,David A Bennett,Christoph Lange,Doo Yeon Kim,Lars Bertram,Li-Huei Tsai,Manolis Kellis,Rudolph E Tanzi,Winston Hide

Exploration (Beijing, China) 5:e20230178 PubMed40873646

2025

Enhanced Blood-Brain Barrier Penetrability of BACE1 SiRNA-Loaded Prussian Blue Nanocomplexes for Alzheimer's Disease Synergy Therapy.

Applications

Unspecified application

Species

Unspecified reactive species

Xiaoyuan Ding,Yanyu Hu,Xiaotong Feng,Zekun Wang,Qile Song,Chunxue Dai,Bangjia Yang,Xiaoyan Fu,Dongdong Sun,Cundong Fan

International journal of molecular medicine 49: PubMed35059728

2022

Identification of inflammatory response and alternative splicing in acute kidney injury and experimental verification of the involvement of RNA‑binding protein RBFOX1 in this disease.

Applications

Unspecified application

Species

Unspecified reactive species

Fangyou Lin,Lei Xu,Run Yuan,Shangting Han,Jinna Xie,Kun Jiang,Bojun Li,Weimin Yu,Ting Rao,Xiangjun Zhou,Fan Cheng
View all publications

Product promise

We are committed to supporting your work with high-quality reagents, and we're here for you every step of the way. In the unlikely event that one of our products does not perform as expected, you're protected by our Product Promise.
For full details, please see our Terms & Conditions

Please note: All products are 'FOR RESEARCH USE ONLY. NOT FOR USE IN DIAGNOSTIC OR THERAPEUTIC PROCEDURES'.

For licensing inquiries, please contact partnerships@abcam.com