JavaScript is disabled in your browser. Please enable JavaScript to view this website.
AB180492

Anti-AACT antibody [EPR14117(B)]

Be the first to review this product! Submit a review

|

(3 Publications)

Rabbit Recombinant Monoclonal AACT antibody. Suitable for IP, WB, IHC-P and reacts with Human samples. Cited in 3 publications.

View Alternative Names

AACT, GIG24, GIG25, SERPINA3, Alpha-1-antichymotrypsin, ACT, Cell growth-inhibiting gene 24/25 protein, Serpin A3

5 Images
Immunohistochemistry (Formalin/PFA-fixed paraffin-embedded sections) - Anti-AACT antibody [EPR14117(B)] (AB180492)
  • IHC-P

Supplier Data

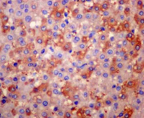
Immunohistochemistry (Formalin/PFA-fixed paraffin-embedded sections) - Anti-AACT antibody [EPR14117(B)] (AB180492)

Immunohistochemical analysis of paraffin-embedded Human liver tissue labeling AACT with ab180492 at 1/500 dilution followed by prediluted ImmunoHistoprobe (Ready to use) HRP Polymer for Rabbit IgG. Counter stained with Hematoxylin.

Perform heat mediated antigen retrieval with EDTA buffer pH 9 before commencing with IHC staining protocol.

Immunohistochemistry (Formalin/PFA-fixed paraffin-embedded sections) - Anti-AACT antibody [EPR14117(B)] (AB180492)
  • IHC-P

Supplier Data

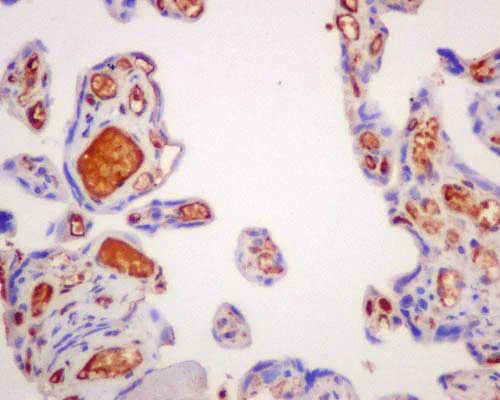
Immunohistochemistry (Formalin/PFA-fixed paraffin-embedded sections) - Anti-AACT antibody [EPR14117(B)] (AB180492)

Immunohistochemical analysis of paraffin-embedded Human placenta tissue labeling AACT with ab180492 at 1/500 dilution followed by prediluted ImmunoHistoprobe (Ready to use) HRP Polymer for Rabbit IgG. Counter stained with Hematoxylin.

Perform heat mediated antigen retrieval with EDTA buffer pH 9 before commencing with IHC staining protocol.

Immunoprecipitation - Anti-AACT antibody [EPR14117(B)] (AB180492)
  • IP

Supplier Data

Immunoprecipitation - Anti-AACT antibody [EPR14117(B)] (AB180492)

Western blot analysis of Human plasma immunoprecipitated using ab180492 at 1/70 dilution. Goat Anti-Rabbit IgG, (H+L), Peroxidase conjugate was used as secondary antibody, at 1/1000 dilution.

All lanes:

Immunoprecipitation - Anti-AACT antibody [EPR14117(B)] (ab180492)

Predicted band size: 47 kDa

false

Western blot - Anti-AACT antibody [EPR14117(B)] (AB180492)
  • WB

Supplier Data

Western blot - Anti-AACT antibody [EPR14117(B)] (AB180492)

All lanes:

Western blot - Anti-AACT antibody [EPR14117(B)] (ab180492) at 1/2000 dilution

All lanes:

Human colon cancer tissue lysate at 20 µg

Secondary

All lanes:

Rabbit TrueBlot®:Anti-Rabbit IgG HRP at 1/1000 dilution

Predicted band size: 47 kDa

Observed band size: 70 kDa

false

Western blot - Anti-AACT antibody [EPR14117(B)] (AB180492)
  • WB

Supplier Data

Western blot - Anti-AACT antibody [EPR14117(B)] (AB180492)

All lanes:

Western blot - Anti-AACT antibody [EPR14117(B)] (ab180492) at 1/10000 dilution

All lanes:

Human plasma lysate at 20 µg

Secondary

All lanes:

Rabbit TrueBlot®:Anti-Rabbit IgG HRP at 1/1000 dilution

Predicted band size: 47 kDa

Observed band size: 70 kDa

false

  • Carrier free

    Anti-AACT antibody [EPR14117(B)] - BSA and Azide free

Key facts

Host species

Rabbit

Clonality

Monoclonal

Clone number

EPR14117(B)

Isotype

IgG

Carrier free

No

Reacts with

Human

Applications

IHC-P, IP, WB

applications

Immunogen

The exact immunogen used to generate this antibody is proprietary information.

Reactivity data

{ "title": "Reactivity Data", "filters": { "stats": ["", "Species", "Dilution Info", "Notes"], "tabs": { "all-applications": {"fullname" : "All Applications", "shortname": "All Applications"}, "IP" : {"fullname" : "Immunoprecipitation", "shortname":"IP"}, "WB" : {"fullname" : "Western blot", "shortname":"WB"}, "IHCP" : {"fullname" : "Immunohistochemistry (Formalin/PFA-fixed paraffin-embedded sections)", "shortname":"IHC-P"} }, "product-promise": { "all": "all", "testedAndGuaranteed": "tested", "guaranteed": "expected", "predicted": "predicted", "notRecommended": "not-recommended" } }, "values": { "Human": { "IP-species-checked": "testedAndGuaranteed", "IP-species-dilution-info": "1/70", "IP-species-notes": "<p></p>", "WB-species-checked": "testedAndGuaranteed", "WB-species-dilution-info": "1/1000 - 1/10000", "WB-species-notes": "<p></p>", "IHCP-species-checked": "testedAndGuaranteed", "IHCP-species-dilution-info": "1/500 - 1/1000", "IHCP-species-notes": "<p></p>" } } }

Product details

Patented technology
Our RabMAb® technology is a patented hybridoma-based technology for making rabbit monoclonal antibodies. For details on our patents, please refer to RabMAb® patents.

What are the advantages of a recombinant monoclonal antibody?
This product is a recombinant monoclonal antibody, which offers several advantages including:

  • - High batch-to-batch consistency and reproducibility
  • - Improved sensitivity and specificity
  • - Long-term security of supply
  • - Animal-free batch production

For more information, read more on recombinant antibodies.

Properties and storage information

Form
Liquid
Purification technique
Affinity purification Protein A
Storage buffer
Preservative: 0.01% Sodium azide Constituents: PBS, 40% Glycerol (glycerin, glycerine), 0.05% BSA
Shipped at conditions
Blue Ice
Appropriate short-term storage duration
1-2 weeks
Appropriate short-term storage conditions
+4°C
Appropriate long-term storage conditions
-20°C
Aliquoting information
Upon delivery aliquot
Storage information
Avoid freeze / thaw cycle

Supplementary information

This supplementary information is collated from multiple sources and compiled automatically.

The target protein Alpha-1-antichymotrypsin (AACT) also known as ACT is a serpin family member with a mass of approximately 68 kDa. This protein functions as an inhibitor of serine proteases particularly targeting chymotrypsin-like enzymes. AACT is expressed in the liver and secreted into the plasma where it carries out its inhibitory role. It is a significant component of the antiprotease shield in human physiology guarding tissues against proteolytic damage.
Biological function summary

Alpha-1-antichymotrypsin plays a role in regulating protease activity to maintain tissue integrity. AACT forms part of a complex that involves other protease inhibitors and enzymes contributing to the balance of protein breakdown and regeneration. Its presence in the extracellular matrix highlights its structural and protective functions supporting cells against enzyme-mediated degradation.

Pathways

Alpha-1-antichymotrypsin takes part in inflammatory and immune response pathways. It interacts within the acute phase response pathway a system activated during inflammatory events. This protein's relationship with other protease inhibitors such as alpha-1-antitrypsin accentuates its role in controlling proteolytic enzymes that could otherwise propagate unchecked inflammation and tissue damage.

Alpha-1-antichymotrypsin associates with neurodegenerative diseases such as Alzheimer's disease and pulmonary disorders. Its elevated levels have been observed in Alzheimer's disease cases where it might participate alongside amyloid-beta precursor protein influencing amyloid plaque formation. In lung-related disorders its collaboration with proteins like elastase can affect tissue breakdown emphasizing its role in maintaining pulmonary health.

Product protocols

For this product, it's our understanding that no specific protocols are required. You can visit:

Target data

Although its physiological function is unclear, it can inhibit neutrophil cathepsin G and mast cell chymase, both of which can convert angiotensin-1 to the active angiotensin-2.
See full target information SERPINA3

Publications (3)

Recent publications for all applications. Explore the full list and refine your search

International urology and nephrology 55:3065-3075 PubMed37594700

2023

Serpina3n/serpina3 alleviates cyclophosphamide-induced interstitial cystitis by activating the Wnt/β-catenin signal.

Applications

Unspecified application

Species

Unspecified reactive species

Weilin Fang,Qixiang Song,Tingting Lv,Jianwei Lv,Zhikang Cai,Zhong Wang,Xin Song,Xiang Ji,Jin Huang

Nature communications 14:4796 PubMed37558705

2023

Single-cell analysis reveals region-heterogeneous responses in rhesus monkey spinal cord with complete injury.

Applications

Unspecified application

Species

Unspecified reactive species

Yongheng Fan,Xianming Wu,Sufang Han,Qi Zhang,Zheng Sun,Bing Chen,Xiaoyu Xue,Haipeng Zhang,Zhenni Chen,Man Yin,Zhifeng Xiao,Yannan Zhao,Jianwu Dai

Oncology letters 15:285-291 PubMed29399139

2018

SERPINA3 induced by astroglia/microglia co-culture facilitates glioblastoma stem-like cell invasion.

Applications

Unspecified application

Species

Unspecified reactive species

Yang Li,Xingli Dong,Jinquan Cai,Shi Yin,Ying Sun,Dongbo Yang,Chuanlu Jiang
View all publications

Product promise

We are committed to supporting your work with high-quality reagents, and we're here for you every step of the way. In the unlikely event that one of our products does not perform as expected, you're protected by our Product Promise.
For full details, please see our Terms & Conditions

Please note: All products are 'FOR RESEARCH USE ONLY. NOT FOR USE IN DIAGNOSTIC OR THERAPEUTIC PROCEDURES'.

For licensing inquiries, please contact partnerships@abcam.com