JavaScript is disabled in your browser. Please enable JavaScript to view this website.
AB205198

Anti-AACT antibody [EPR17088-68]

Be the first to review this product! Submit a review

|

(9 Publications)

Rabbit Recombinant Monoclonal AACT antibody. Suitable for IP, WB, ICC/IF, IHC-P and reacts with Human samples. Cited in 9 publications.

View Alternative Names

AACT, GIG24, GIG25, SERPINA3, Alpha-1-antichymotrypsin, ACT, Cell growth-inhibiting gene 24/25 protein, Serpin A3

8 Images
Immunocytochemistry/ Immunofluorescence - Anti-AACT antibody [EPR17088-68] (AB205198)
  • ICC/IF

Supplier Data

Immunocytochemistry/ Immunofluorescence - Anti-AACT antibody [EPR17088-68] (AB205198)

Immunofluorescent analysis of 4% paraformaldehyde-fixed, 0.1% Triton X-100 permeabilized Raji (Human Burkitt's lymphoma cell line) cells labeling AACT with ab205198 at 1/50 dilution, followed by Goat anti-rabbit IgG (Alexa Fluor® 488) (ab150077) secondary antibody at 1/1000 dilution (green). Confocal image showing cytoplasmic and weak nuclear staining on Raji cell line.

The nuclear counter stain is DAPI (blue). Tubulin is detected with ab7291 (anti-Tubulin mouse mAb) at 1/1000 dilution and ab150120 (Alexa Fluor® 594 Goat anti-Mouse secondary) at 1/1000 dilution (red).

The negative controls are as follows :
-ve control 1 : ab205198 at 1/50 dilution followed by ab150120 (Alexa Fluor® 594 Goat anti-Mouse secondary) at 1/1000 dilution.
-ve control 2 : ab7291 (anti-Tubulin mouse mAb) at 1/1000 dilution followed by ab150077 (Alexa Fluor® 488 Goat Anti-Rabbit IgG H&L) at 1/1000 dilution.

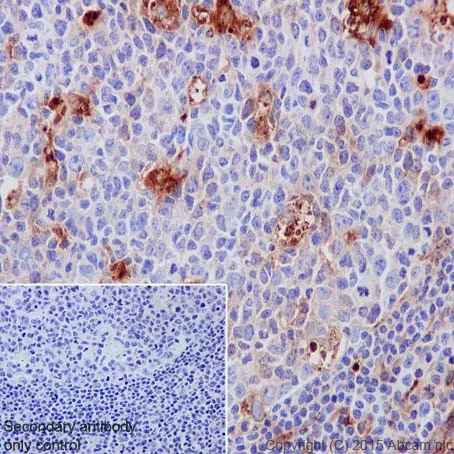
Immunohistochemistry (Formalin/PFA-fixed paraffin-embedded sections) - Anti-AACT antibody [EPR17088-68] (AB205198)
  • IHC-P

Supplier Data

Immunohistochemistry (Formalin/PFA-fixed paraffin-embedded sections) - Anti-AACT antibody [EPR17088-68] (AB205198)

Immunohistochemical analysis of paraffin-embedded human tonsil tissue labeling AACT with ab205198 at 1/2000 dilution, followed by Goat Anti-Rabbit IgG H&L (HRP) (ab205198) at 1/500 dilution. Cytoplasmic staining on human tonsil tissue is observed. Counter stained with Hematoxylin.

Secondary antibody only control : Used PBS instead of primary antibody, secondary antibody is Goat Anti-Rabbit IgG H&L (HRP) (ab97051) at 1/500 dilution.

Perform heat mediated antigen retrieval with Tris/EDTA buffer pH 9.0 before commencing with IHC staining protocol.

Immunoprecipitation - Anti-AACT antibody [EPR17088-68] (AB205198)
  • IP

Supplier Data

Immunoprecipitation - Anti-AACT antibody [EPR17088-68] (AB205198)

AACT was immunoprecipitated from 1 mg of Human plasma lysate with ab205198 at 1/40 dilution. Western blot was performed from the immunoprecipitate using ab205198 at 1/1000 dilution. Anti-Rabbit IgG (HRP), specific to the non-reduced form of IgG was used as secondary antibody at 1/1500 dilution.

Lane 1 : Human plasma lysate, 10 μg (Input).

Lane 2 : ab205198 IP in Human plasma lysate.

Lane 3 : Rabbit monoclonal IgG (ab172730) instead of ab205198 in Human plasma lysate.

Blocking and dilution buffer and concentration : 5% NFDM/TBST.

Exposure time : 30 seconds.

All lanes:

Immunoprecipitation - Anti-AACT antibody [EPR17088-68] (ab205198)

Predicted band size: 47 kDa

false

Western blot - Anti-AACT antibody [EPR17088-68] (AB205198)
  • WB

Supplier Data

Western blot - Anti-AACT antibody [EPR17088-68] (AB205198)

Blocking/Dilution buffer : 5% NFDM/TBST.

All lanes:

Western blot - Anti-AACT antibody [EPR17088-68] (ab205198) at 1/1000 dilution

All lanes:

Human fetal spleen lysate at 10 µg

Secondary

All lanes:

Anti-Rabbit IgG (HRP), specific to the non-reduced form of IgG at 1/10000 dilution

Predicted band size: 47 kDa

Observed band size: 50-70 kDa

false

Exposure time: 30s

Western blot - Anti-AACT antibody [EPR17088-68] (AB205198)
  • WB

Supplier Data

Western blot - Anti-AACT antibody [EPR17088-68] (AB205198)

Blocking/Dilution buffer : 5% NFDM/TBST.

All lanes:

Western blot - Anti-AACT antibody [EPR17088-68] (ab205198) at 1/1000 dilution

All lanes:

Human blood at 10 µg

Secondary

All lanes:

Western blot - Goat Anti-Rabbit IgG H&L (HRP) (<a href='/en-us/products/secondary-antibodies/goat-rabbit-igg-h-l-hrp-ab97051'>ab97051</a>) at 1/50000 dilution

Predicted band size: 47 kDa

Observed band size: 50-70 kDa

false

Exposure time: 30s

Western blot - Anti-AACT antibody [EPR17088-68] (AB205198)
  • WB

Supplier Data

Western blot - Anti-AACT antibody [EPR17088-68] (AB205198)

Blocking/Dilution buffer : 5% NFDM/TBST.

The expression profile observed is consistent with what has been described in the literature (PMID : 9880565).

All lanes:

Western blot - Anti-AACT antibody [EPR17088-68] (ab205198) at 1/2000 dilution

All lanes:

Human plasma at 10 µg

Secondary

All lanes:

Anti-Rabbit IgG (HRP), specific to the non-reduced form of IgG at 1/10000 dilution

Predicted band size: 47 kDa

Observed band size: 50-70 kDa

false

Exposure time: 3min

Western blot - Anti-AACT antibody [EPR17088-68] (AB205198)
  • WB

Supplier Data

Western blot - Anti-AACT antibody [EPR17088-68] (AB205198)

Blocking/Dilution buffer : 5% NFDM/TBST.

De-glycosylation treatment with PNGase, demonstrates a molecular weight shift from 50-70kDa to 46kDa. This result is consistent with what has been described in literature the literature (PMID : ) 9880565.

All lanes:

Western blot - Anti-AACT antibody [EPR17088-68] (ab205198) at 1/2000 dilution

Lane 1:

Untreated Human plasma at 10 µg

Lane 2:

Human plasma treated with PNGase F at 10 µg

Secondary

All lanes:

Anti-Rabbit IgG (HRP), specific to the non-reduced form of IgG at 1/100000 dilution

Predicted band size: 47 kDa

Observed band size: 50-70 kDa

false

Exposure time: 4s

Western blot - Anti-AACT antibody [EPR17088-68] (AB205198)
  • WB

Lab

Western blot - Anti-AACT antibody [EPR17088-68] (AB205198)

Blocking/Diluting buffer and concentration 5% NFDM/TBST

All lanes:

Western blot - Anti-AACT antibody [EPR17088-68] (ab205198) at 1/1000 dilution

All lanes:

His-Tagged Human SERPINA3 (aa 24 to 324) recombinant protein 100ng

Secondary

All lanes:

Western blot - Goat Anti-Rabbit IgG H&L (HRP) (<a href='/en-us/products/secondary-antibodies/goat-rabbit-igg-h-l-hrp-ab97051'>ab97051</a>) at 1/20000 dilution

Predicted band size: 47 kDa

Observed band size: 33 kDa

false

Exposure time: 3min

  • Carrier free

    Anti-AACT antibody [EPR17088-68] - BSA and Azide free

Key facts

Host species

Rabbit

Clonality

Monoclonal

Clone number

EPR17088-68

Isotype

IgG

Carrier free

No

Reacts with

Human

Applications

IHC-P, IP, WB, ICC/IF

applications

Immunogen

The exact immunogen used to generate this antibody is proprietary information.

Reactivity data

{ "title": "Reactivity Data", "filters": { "stats": ["", "Species", "Dilution Info", "Notes"], "tabs": { "all-applications": {"fullname" : "All Applications", "shortname": "All Applications"}, "IP" : {"fullname" : "Immunoprecipitation", "shortname":"IP"}, "WB" : {"fullname" : "Western blot", "shortname":"WB"}, "ICCIF" : {"fullname" : "Immunocytochemistry/ Immunofluorescence", "shortname":"ICC/IF"}, "IHCP" : {"fullname" : "Immunohistochemistry (Formalin/PFA-fixed paraffin-embedded sections)", "shortname":"IHC-P"} }, "product-promise": { "all": "all", "testedAndGuaranteed": "tested", "guaranteed": "expected", "predicted": "predicted", "notRecommended": "not-recommended" } }, "values": { "Human": { "IP-species-checked": "testedAndGuaranteed", "IP-species-dilution-info": "1/40", "IP-species-notes": "<p></p>", "WB-species-checked": "testedAndGuaranteed", "WB-species-dilution-info": "1/1000", "WB-species-notes": "<p></p>", "ICCIF-species-checked": "testedAndGuaranteed", "ICCIF-species-dilution-info": "1/50", "ICCIF-species-notes": "<p></p>", "IHCP-species-checked": "testedAndGuaranteed", "IHCP-species-dilution-info": "1/2000", "IHCP-species-notes": "<p></p>" } } }

Product details

Patented technology
Our RabMAb® technology is a patented hybridoma-based technology for making rabbit monoclonal antibodies. For details on our patents, please refer to RabMAb® patents.

What are the advantages of a recombinant monoclonal antibody?
This product is a recombinant monoclonal antibody, which offers several advantages including:

  • - High batch-to-batch consistency and reproducibility
  • - Improved sensitivity and specificity
  • - Long-term security of supply
  • - Animal-free batch production

For more information, read more on recombinant antibodies.

Properties and storage information

Form
Liquid
Purification technique
Affinity purification Protein A
Storage buffer
pH: 7.2 - 7.4 Preservative: 0.01% Sodium azide Constituents: PBS, 40% Glycerol (glycerin, glycerine), 0.05% BSA
Shipped at conditions
Blue Ice
Appropriate short-term storage duration
1-2 weeks
Appropriate short-term storage conditions
+4°C
Appropriate long-term storage conditions
-20°C
Aliquoting information
Upon delivery aliquot
Storage information
Avoid freeze / thaw cycle

Supplementary information

This supplementary information is collated from multiple sources and compiled automatically.

The target protein Alpha-1-antichymotrypsin (AACT) also known as ACT is a serpin family member with a mass of approximately 68 kDa. This protein functions as an inhibitor of serine proteases particularly targeting chymotrypsin-like enzymes. AACT is expressed in the liver and secreted into the plasma where it carries out its inhibitory role. It is a significant component of the antiprotease shield in human physiology guarding tissues against proteolytic damage.
Biological function summary

Alpha-1-antichymotrypsin plays a role in regulating protease activity to maintain tissue integrity. AACT forms part of a complex that involves other protease inhibitors and enzymes contributing to the balance of protein breakdown and regeneration. Its presence in the extracellular matrix highlights its structural and protective functions supporting cells against enzyme-mediated degradation.

Pathways

Alpha-1-antichymotrypsin takes part in inflammatory and immune response pathways. It interacts within the acute phase response pathway a system activated during inflammatory events. This protein's relationship with other protease inhibitors such as alpha-1-antitrypsin accentuates its role in controlling proteolytic enzymes that could otherwise propagate unchecked inflammation and tissue damage.

Alpha-1-antichymotrypsin associates with neurodegenerative diseases such as Alzheimer's disease and pulmonary disorders. Its elevated levels have been observed in Alzheimer's disease cases where it might participate alongside amyloid-beta precursor protein influencing amyloid plaque formation. In lung-related disorders its collaboration with proteins like elastase can affect tissue breakdown emphasizing its role in maintaining pulmonary health.

Product protocols

For this product, it's our understanding that no specific protocols are required. You can visit:

Target data

Although its physiological function is unclear, it can inhibit neutrophil cathepsin G and mast cell chymase, both of which can convert angiotensin-1 to the active angiotensin-2.
See full target information SERPINA3

Publications (9)

Recent publications for all applications. Explore the full list and refine your search

Brazilian journal of medical and biological research = Revista brasileira de pesquisas medicas e biologicas 58:e14445 PubMed40367014

2025

Overexpression of SERPINA3 inhibits castration-resistant prostate cancer progression by enhancing M1 macrophage recruitment via CXCL2 upregulation.

Applications

Unspecified application

Species

Unspecified reactive species

Jianbing Xie,Qiren Chen,Lixian Li,Jinyu Liu

Frontiers in pharmacology 16:1527481 PubMed40191433

2025

Crocin promotes ferroptosis in gastric cancer via the Nrf2/GGTLC2 pathway.

Applications

Unspecified application

Species

Unspecified reactive species

Nan Yan,Gaofu Li,Linglin Zhao,Qijing Guo,Jie Yang,Jianhong Liu,Wei Zhou,Yue Gao,Yushuang Luo

Nature communications 16:1012 PubMed39856050

2025

Serpina3k lactylation protects from cardiac ischemia reperfusion injury.

Applications

Unspecified application

Species

Unspecified reactive species

Le Wang,Dandan Li,Fang Yao,Shanshan Feng,Chao Tong,Rongjia Rao,Meiyan Zhong,Xianqiang Wang,Wei Feng,Zhan Hu,Bo Jin,Li Wang,Shengshou Hu,Bingying Zhou

Alzheimer's & dementia : the journal of the Alzheimer's Association 20:5861-5888 PubMed39090679

2024

Primate cerebrospinal fluid CHI3L1 reflects brain TREM2 agonism.

Applications

Unspecified application

Species

Unspecified reactive species

Stephen P Schauer,Chang Hoon Cho,Gloriia Novikova,Gillie A Roth,Julie Lee,Anup D Sharma,Alejandro R Foley,Carl Ng,Philip Shen,Meena Choi,Taylur P Ma,Lilian Phu,Hanna G Budayeva,Tommy K Cheung,Guita Lalehzadeh,Jose Imperio,Hai Ngu,Ainhoa Etxeberria,Yuxin Liang,Mitchell G Rezzonico,Michelle Dourado,Kevin Huang,Zijuan Lai,Martha Hokom,Nikhil J Pandya,Dwight Newton,Alyaa M Abdel-Haleem,Pamela Chan,Donna Lee,Nardos G Tassew,Dewakar Sangaraju,Deborah O'Connor,Isidro Hötzel,Kimberly L Stark,Carolina Chou,Oded Foreman,Amy Easton,Kristin R Wildsmith,Gizette Sperinde,Christopher M Rose,Brad A Friedman,Reina N Fuji,Robby M Weimer,William J Meilandt,Shraddha Sadekar,Alicia A Nugent,Anne Biever

The Journal of clinical investigation 133: PubMed37712419

2023

PJA1 mediates the effects of astrocytic GPR30 on learning and memory in female mice.

Applications

Unspecified application

Species

Unspecified reactive species

Xinshang Wang,Yongli Jiang,Ban Feng,Xue Ma,Kun Zhang,Fan Yang,Zhenguo Liu,Le Yang,Jiao Yue,Liang Lu,Dake Song,Qingjuan Guo,Jingyu Qi,Xubo Li,Min Wang,Huinan Zhang,Jing Huang,Minggao Zhao,Shuibing Liu

Frontiers in immunology 14:1126217 PubMed37313408

2023

Construction of a fecal immune-related protein-based biomarker panel for colorectal cancer diagnosis: a multicenter study.

Applications

Unspecified application

Species

Unspecified reactive species

Hao Zhang,Lugen Zuo,Jing Li,Zhijun Geng,Sitang Ge,Xue Song,Yueyue Wang,Xiaofeng Zhang,Lian Wang,Tianhao Zhao,Min Deng,Damin Chai,Qiusheng Wang,Zi Yang,Quanli Liu,Quanwei Qiu,Xuxu He,Yiqun Yang,Yuanyuan Ge,Rong Wu,Lin Zheng,Jianjun Li,Runkai Chen,Jialiang Sun,Jianguo Hu

Frontiers in immunology 13:979995 PubMed36304455

2022

Immune-related SERPINA3 as a biomarker involved in diabetic nephropathy renal tubular injury.

Applications

Unspecified application

Species

Unspecified reactive species

Zuyan Fan,Yan Gao,Nan Jiang,Fengxia Zhang,Shuangxin Liu,Quhuan Li

Frontiers in neurology 13:902402 PubMed35968275

2022

Construction and validation of a glioblastoma prognostic model based on immune-related genes.

Applications

Unspecified application

Species

Unspecified reactive species

Kate Huang,Changjun Rao,Qun Li,Jianglong Lu,Zhangzhang Zhu,Chengde Wang,Ming Tu,Chaodong Shen,Shuizhi Zheng,Xiaofang Chen,Fangfang Lv

Nature neuroscience 25:876-886 PubMed35760863

2022

A shared disease-associated oligodendrocyte signature among multiple CNS pathologies.

Applications

Unspecified application

Species

Unspecified reactive species

Mor Kenigsbuch,Pierre Bost,Shahar Halevi,Yuzhou Chang,Shuo Chen,Qin Ma,Renana Hajbi,Benno Schwikowski,Bernd Bodenmiller,Hongjun Fu,Michal Schwartz,Ido Amit
View all publications

Product promise

We are committed to supporting your work with high-quality reagents, and we're here for you every step of the way. In the unlikely event that one of our products does not perform as expected, you're protected by our Product Promise.
For full details, please see our Terms & Conditions

Please note: All products are 'FOR RESEARCH USE ONLY. NOT FOR USE IN DIAGNOSTIC OR THERAPEUTIC PROCEDURES'.

For licensing inquiries, please contact partnerships@abcam.com