JavaScript is disabled in your browser. Please enable JavaScript to view this website.
AB214184

Anti-AADAC/DAC antibody

Be the first to review this product! Submit a review

|

(0 Publication)

Rabbit Polyclonal AADAC/DAC antibody. Suitable for IHC-P and reacts with Human samples. Immunogen corresponding to Synthetic Peptide within Human AADAC aa 200-300 conjugated to Keyhole Limpet Haemocyanin.

View Alternative Names

DAC, AADAC, Arylacetamide deacetylase

1 Images
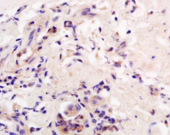
Immunohistochemistry (Formalin/PFA-fixed paraffin-embedded sections) - Anti-AADAC/DAC antibody (AB214184)
  • IHC-P

Supplier Data

Immunohistochemistry (Formalin/PFA-fixed paraffin-embedded sections) - Anti-AADAC/DAC antibody (AB214184)

Immunohistochemical analysis of formalin/PFA-fixed paraffin-embedded human colon carcinoma tissue sections labeling AADAC/DAC using ab214184 at a 1/200 dilution. DAB staining.

Key facts

Host species

Rabbit

Clonality

Polyclonal

Isotype

IgG

Carrier free

No

Reacts with

Human

Applications

IHC-P

applications

Immunogen

Synthetic Peptide within Human AADAC aa 200-300 conjugated to Keyhole Limpet Haemocyanin. The exact immunogen used to generate this antibody is proprietary information.

P22760

Reactivity data

{ "title": "Reactivity Data", "filters": { "stats": ["", "Species", "Dilution Info", "Notes"], "tabs": { "all-applications": {"fullname" : "All Applications", "shortname": "All Applications"}, "IHCP" : {"fullname" : "Immunohistochemistry (Formalin/PFA-fixed paraffin-embedded sections)", "shortname":"IHC-P"} }, "product-promise": { "all": "all", "testedAndGuaranteed": "tested", "guaranteed": "expected", "predicted": "predicted", "notRecommended": "not-recommended" } }, "values": { "Human": { "IHCP-species-checked": "testedAndGuaranteed", "IHCP-species-dilution-info": "1/100 - 1/500", "IHCP-species-notes": "<p></p> Perform heat-mediated antigen retrieval with citrate buffer pH 6 before commencing with IHC staining protocol." }, "Mouse": { "IHCP-species-checked": "predicted", "IHCP-species-dilution-info": "", "IHCP-species-notes": "" }, "Rat": { "IHCP-species-checked": "predicted", "IHCP-species-dilution-info": "", "IHCP-species-notes": "" } } }

Properties and storage information

Form
Liquid
Purification technique
Affinity purification Protein A
Storage buffer
pH: 7.4 Preservative: 0.02% Proclin 300 Constituents: 50% Glycerol (glycerin, glycerine), 48.98% TBS, 1X, 1% BSA
Shipped at conditions
Blue Ice
Appropriate short-term storage duration
1-2 weeks
Appropriate short-term storage conditions
+4°C
Appropriate long-term storage conditions
-20°C
Aliquoting information
Upon delivery aliquot
Storage information
Avoid freeze / thaw cycle

Supplementary information

This supplementary information is collated from multiple sources and compiled automatically.

AADAC also known as arylacetamide deacetylase or DAC is an enzyme involved in the hydrolysis of ester and amide bonds. It has a molecular weight of approximately 45 kDa. This enzyme expresses largely in liver tissues and is localized in the endoplasmic reticulum membrane. AADAC catalyzes the conversion of substrates by cleaving acyl groups which is an important function for metabolic processes.
Biological function summary

AADAC plays a critical role in the metabolism of drugs and endogenous lipids. It does not form part of larger complexes but acts independently to facilitate the processing of compounds within cells. This enzymatic activity contributes to detoxification processes by altering the chemical structure of various compounds which are then excreted from the body. AADAC also influences lipid metabolism by hydrolyzing triacylglycerols which affects energy storage and utilization.

Pathways

The activity of AADAC is important in the drug metabolism pathway specifically the phase I metabolism where it interacts with different prodrugs and xenobiotics. This enzyme works closely with cytochrome P450 enzymes which are involved in further modifications of chemical substrates during metabolism. AADAC also participates in lipid metabolic pathways influencing lipid and cholesterol absorption and conversion thereby modulating energy balance.

AADAC has associations with liver diseases and drug-induced toxicities. Dysfunction or altered expression of AADAC can lead to improper drug metabolism resulting in adverse drug reactions. This enzyme is linked to liver disorders through its interaction with the cytochrome P450 family affecting the liver's capacity to process therapeutic agents. These associations make AADAC an important focus for studies on pharmacokinetics and liver health.

Product protocols

For this product, it's our understanding that no specific protocols are required. You can visit:

Target data

Displays cellular triglyceride lipase activity in liver, increases the levels of intracellular fatty acids derived from the hydrolysis of newly formed triglyceride stores and plays a role in very low-density lipoprotein assembly. Displays serine esterase activity in liver. Deacetylates a variety of arylacetamide substrates, including xenobiotic compounds and procarcinogens, converting them to the primary arylamide compounds and increasing their toxicity.
See full target information AADAC

Product promise

We are committed to supporting your work with high-quality reagents, and we're here for you every step of the way. In the unlikely event that one of our products does not perform as expected, you're protected by our Product Promise.
For full details, please see our Terms & Conditions

Please note: All products are 'FOR RESEARCH USE ONLY. NOT FOR USE IN DIAGNOSTIC OR THERAPEUTIC PROCEDURES'.

For licensing inquiries, please contact partnerships@abcam.com