JavaScript is disabled in your browser. Please enable JavaScript to view this website.
AB249052

Anti-AASS antibody [EPR9144] - BSA and Azide free

Be the first to review this product! Submit a review

|

(0 Publication)

Rabbit Recombinant Monoclonal AASS antibody. Carrier free. Suitable for IHC-P, WB and reacts with Human samples.

View Alternative Names

LKR/SDH, AASS

2 Images
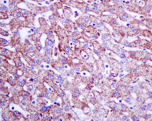
Immunohistochemistry (Formalin/PFA-fixed paraffin-embedded sections) - Anti-AASS antibody [EPR9144] - BSA and Azide free (AB249052)
  • IHC-P

Unknown

Immunohistochemistry (Formalin/PFA-fixed paraffin-embedded sections) - Anti-AASS antibody [EPR9144] - BSA and Azide free (AB249052)

This data was developed using ab151737, the same antibody clone in a different buffer formulation.

Immunohistochemical analysis of paraffin-embedded Human liver tissue labeling AASS with ab151737 at 1/50 dilution.

Perform heat mediated antigen retrieval before commencing with IHC staining protocol.

Western blot - Anti-AASS antibody [EPR9144] - BSA and Azide free (AB249052)
  • WB

Unknown

Western blot - Anti-AASS antibody [EPR9144] - BSA and Azide free (AB249052)

This data was developed using ab151737, the same antibody clone in a different buffer formulation.

All lanes:

Western blot - Anti-AASS antibody [EPR9144] (<a href='/en-us/products/primary-antibodies/aass-antibody-epr9144-ab151737'>ab151737</a>) at 1/1000 dilution

Lane 1:

293T cell lysate at 10 µg

Lane 2:

HepG2 cell lysate at 10 µg

Lane 3:

HUVEC cell lysate at 10 µg

Secondary

All lanes:

Goat anti-rabbit HRP at 1/2000 dilution

Predicted band size: 102 kDa

false

Key facts

Host species

Rabbit

Clonality

Monoclonal

Clone number

EPR9144

Isotype

IgG

Carrier free

Yes

Reacts with

Human

Applications

IHC-P, WB

applications

Immunogen

The exact immunogen used to generate this antibody is proprietary information.

Reactivity data

{ "title": "Reactivity Data", "filters": { "stats": ["", "Species", "Dilution Info", "Notes"], "tabs": { "all-applications": {"fullname" : "All Applications", "shortname": "All Applications"}, "IHCP" : {"fullname" : "Immunohistochemistry (Formalin/PFA-fixed paraffin-embedded sections)", "shortname":"IHC-P"}, "IP" : {"fullname" : "Immunoprecipitation", "shortname":"IP"}, "FlowCyt" : {"fullname" : "Flow Cytometry", "shortname":"Flow Cyt"}, "WB" : {"fullname" : "Western blot", "shortname":"WB"}, "ICCIF" : {"fullname" : "Immunocytochemistry/ Immunofluorescence", "shortname":"ICC/IF"} }, "product-promise": { "all": "all", "testedAndGuaranteed": "tested", "guaranteed": "expected", "predicted": "predicted", "notRecommended": "not-recommended" } }, "values": { "Human": { "IHCP-species-checked": "testedAndGuaranteed", "IHCP-species-dilution-info": "", "IHCP-species-notes": "<p></p>", "IP-species-checked": "notRecommended", "IP-species-dilution-info": "", "IP-species-notes": "<p></p>", "FlowCyt-species-checked": "notRecommended", "FlowCyt-species-dilution-info": "", "FlowCyt-species-notes": "<p></p>", "WB-species-checked": "testedAndGuaranteed", "WB-species-dilution-info": "", "WB-species-notes": "<p></p>", "ICCIF-species-checked": "notRecommended", "ICCIF-species-dilution-info": "", "ICCIF-species-notes": "<p></p>" } } }

Product details

ab249052 is the carrier-free version of ab151737.

Patented technology
Our RabMAb® technology is a patented hybridoma-based technology for making rabbit monoclonal antibodies. For details on our patents, please refer to RabMAb® patents.

What are the advantages of a recombinant monoclonal antibody?
This product is a recombinant monoclonal antibody, which offers several advantages including:

  • - High batch-to-batch consistency and reproducibility
  • - Improved sensitivity and specificity
  • - Long-term security of supply
  • - Animal-free batch production

For more information, read more on recombinant antibodies.

Conjugation ready
Our carrier-free antibodies are typically supplied in a PBS-only formulation, purified and free of BSA, sodium azide and glycerol. This conjugation-ready format is designed for use with fluorochromes, metal isotopes, oligonucleotides, and enzymes, which makes them ideal for antibody labelling, functional and cell-based assays, flow-based assays (e.g. mass cytometry) and Multiplex Imaging applications.

Use our conjugation kits for antibody conjugates that are ready-to-use in as little as 20 minutes with 1 minute hands-on-time and 100% antibody recovery: available for fluorescent dyes, HRP, biotin and gold.

Compatibility
This product is compatible with the Maxpar® Antibody Labeling Kit from Fluidigm, without the need for antibody preparation. Maxpar® is a trademark of Fluidigm Canada Inc.

Properties and storage information

Form
Liquid
Purification technique
Affinity purification Protein A
Storage buffer
pH: 7.2 - 7.4 Constituents: PBS
Shipped at conditions
Blue Ice
Appropriate short-term storage conditions
+4°C
Appropriate long-term storage conditions
+4°C
Storage information
Do Not Freeze

Supplementary information

This supplementary information is collated from multiple sources and compiled automatically.

The AASS also known as Aminoadipate-semialdehyde Synthase is a mitochondrial enzyme that plays a role in lysine degradation. It has alternative names like LKRSDH or Lysine Ketoglutarate Reductase/Saccharopine Dehydrogenase. AASS is a bifunctional enzyme that catalyzes two sequential reactions in lysine catabolism. The first reaction converts lysine into saccharopine and the second converts saccharopine to aminoadipate semialdehyde. The protein possesses an approximate mass of 125 kDa. The expression of AASS occurs mainly in liver and kidney tissues although it can be detected at lower levels in other organs.
Biological function summary

Enzymes like AASS are critical in the metabolism of amino acids particularly within the lysine degradation pathway. The AASS enzyme does not form a larger complex but its function is essential for preventing lysine accumulation in cells. When lysine gets degraded it assists in maintaining cellular homeostasis by producing metabolites necessary for energy production and other metabolic processes. AASS functions independently without forming catalytic subunits with other proteins.

Pathways

Lysine degradation involves AASS as a significant player. This pathway leads to the production of acetyl-CoA an essential molecule in the citric acid cycle and energy production. Another important pathway involving AASS is the production of glutaryl-CoA. During these pathways AASS-related proteins include other enzymes like saccharopine reductase and dehydrogenase which participate sequentially to manage amino acid breakdown.

Abnormal AASS function is associated with hyperlysinemia and saccharopinuria. Hyperlysinemia results from disrupted lysine degradation leading to excess lysine in the blood. Researchers have noted that AASS mutations may impact lysine metabolism causing these conditions. In comparison saccharopinuria characterized by excess saccharopine in urine directly connects to inadequate AASS activity. These conditions highlight how changes in AASS function can cause metabolic imbalances leading to disease.

Product protocols

For this product, it's our understanding that no specific protocols are required. You can visit:

Target data

Bifunctional enzyme that catalyzes the first two steps in lysine degradation.
See full target information AASS

Product promise

We are committed to supporting your work with high-quality reagents, and we're here for you every step of the way. In the unlikely event that one of our products does not perform as expected, you're protected by our Product Promise.
For full details, please see our Terms & Conditions

Please note: All products are 'FOR RESEARCH USE ONLY. NOT FOR USE IN DIAGNOSTIC OR THERAPEUTIC PROCEDURES'.

For licensing inquiries, please contact partnerships@abcam.com