JavaScript is disabled in your browser. Please enable JavaScript to view this website.
AB325352

Anti-AATF/DED antibody [EPR30220-88] - BSA and Azide free

Be the first to review this product! Submit a review

|

(0 Publication)

Rabbit Recombinant Monoclonal AATF/DED antibody. Carrier free. Suitable for ICC/IF, IHC-P, WB and reacts with Human samples.

View Alternative Names

CHE1, DED, HSPC277, AATF, Protein AATF, Apoptosis-antagonizing transcription factor, Rb-binding protein Che-1

8 Images
Immunohistochemistry (Formalin/PFA-fixed paraffin-embedded sections) - Anti-AATF/DED antibody [EPR30220-88] - BSA and Azide free (AB325352)
  • IHC-P

Lab

Immunohistochemistry (Formalin/PFA-fixed paraffin-embedded sections) - Anti-AATF/DED antibody [EPR30220-88] - BSA and Azide free (AB325352)

This data was developed using ab325343, the same antibody clone in a different buffer formulation.

Immunohistochemical analysis of paraffin-embedded Human liver carcinoma tissue labeling AATF/DED with ab325343 at 1/100 (5.13 µg/ml) dilution, followed by a ready to use Goat Anti-Rabbit IgG H&L (HRP polymer) (ab214880).

Nucleolus staining on human liver carcinoma. The primary antibody was incubated overnight at 4°C.

Counterstained with Hematoxylin.

Secondary antibody only control : Secondary antibody is a ready to use Goat Anti-Rabbit IgG H&L (HRP polymer) (ab214880).

Heat mediated antigen retrieval was performed with Tris-EDTA buffer (pH 9.0, Epitope Retrieval Solution2) for 20 mins

Immunocytochemistry/ Immunofluorescence - Anti-AATF/DED antibody [EPR30220-88] - BSA and Azide free (AB325352)
  • ICC/IF

Lab

Immunocytochemistry/ Immunofluorescence - Anti-AATF/DED antibody [EPR30220-88] - BSA and Azide free (AB325352)

This data was developed using ab325343, the same antibody clone in a different buffer formulation.

Immunofluorescent analysis of 4% Paraformaldehyde-fixed, 0.1% TritonX-100 permeabilized 293T (human embryonic kidney epithelial cell) and THP-1 (human monocytic leukemia monocyte) cells labelling AATF/DED with ab325343 at 1/500 (1.026 µg/ml) dilution, followed by ab150081 Goat Anti-Rabbit IgG H&L (Alexa Fluor® 488) preadsorbed antibody at 1/1000 dilution (Green).

Confocal image showing nucleoli staining in 293T cells and weak nucleoli staining in THP-1 cells (shown in green). The counterstain was observed in magenta. Nuclear DNA was labelled with DAPI (shown in blue). Image was taken with a confocal microscope (Leica-Microsystems, TCS SP8).

Low expression : THP-1.

ab7291 Anti-alpha Tubulin mouse monoclonal antibody was used to counterstain tubulin at 1/1000 (1 ug/ml) dilution, followed by ab150120 Goat Anti-Mouse IgG H&L (Alexa Fluor® 594) at 1/1000 (2 ug/ml) dilution (Magenta).

-ve control 1 : ab325343 at a 1/500 dilution followed by ab150120 at a 1/1000 dilution.

-ve control 2 : ab7291 at a 1/1000 dilution followed by ab150081 at a 1/1000 dilution.

Immunohistochemistry (Formalin/PFA-fixed paraffin-embedded sections) - Anti-AATF/DED antibody [EPR30220-88] - BSA and Azide free (AB325352)
  • IHC-P

Lab

Immunohistochemistry (Formalin/PFA-fixed paraffin-embedded sections) - Anti-AATF/DED antibody [EPR30220-88] - BSA and Azide free (AB325352)

This data was developed using ab325343, the same antibody clone in a different buffer formulation.

Immunohistochemical analysis of paraffin-embedded Human tonsil tissue labeling AATF/DED with ab325343 at 1/100 (5.13 µg/ml) dilution, followed by a ready to use Goat Anti-Rabbit IgG H&L (HRP polymer) (ab214880).

Nucleolus staining on human tonsil. The primary antibody was incubated overnight at 4°C.

Counterstained with Hematoxylin.

Secondary antibody only control : Secondary antibody is a ready to use Goat Anti-Rabbit IgG H&L (HRP polymer) (ab214880).

Heat mediated antigen retrieval was performed with Tris-EDTA buffer (pH 9.0, Epitope Retrieval Solution2) for 20 mins

Immunohistochemistry (Formalin/PFA-fixed paraffin-embedded sections) - Anti-AATF/DED antibody [EPR30220-88] - BSA and Azide free (AB325352)
  • IHC-P

Lab

Immunohistochemistry (Formalin/PFA-fixed paraffin-embedded sections) - Anti-AATF/DED antibody [EPR30220-88] - BSA and Azide free (AB325352)

This data was developed using ab325343, the same antibody clone in a different buffer formulation.

Immunohistochemical analysis of paraffin-embedded Human colon tissue labeling AATF/DED with ab325343 at 1/100 (5.13 µg/ml) dilution, followed by a ready to use Goat Anti-Rabbit IgG H&L (HRP polymer) (ab214880).

Nucleolus staining on human colon. The primary antibody was incubated overnight at 4°C.

Counterstained with Hematoxylin.

Secondary antibody only control : Secondary antibody is a ready to use Goat Anti-Rabbit IgG H&L (HRP polymer) (ab214880).

Heat mediated antigen retrieval was performed with Tris-EDTA buffer (pH 9.0, Epitope Retrieval Solution2) for 20 mins

Immunohistochemistry (Formalin/PFA-fixed paraffin-embedded sections) - Anti-AATF/DED antibody [EPR30220-88] - BSA and Azide free (AB325352)
  • IHC-P

Lab

Immunohistochemistry (Formalin/PFA-fixed paraffin-embedded sections) - Anti-AATF/DED antibody [EPR30220-88] - BSA and Azide free (AB325352)

This data was developed using ab325343, the same antibody clone in a different buffer formulation.

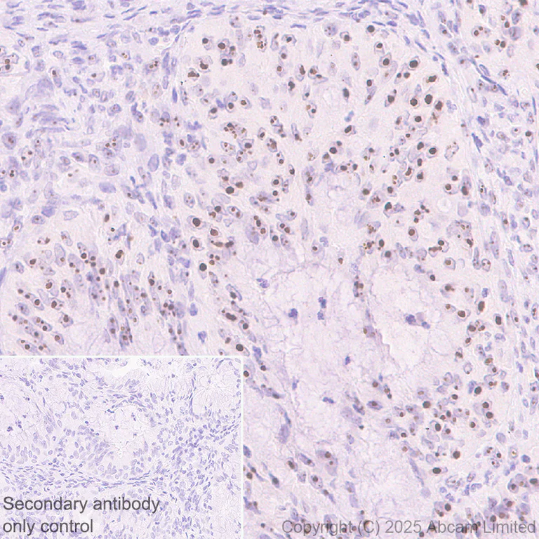
Immunohistochemical analysis of paraffin-embedded Human colon carcinoma tissue labeling AATF/DED with ab325343 at 1/100 (5.13 µg/ml) dilution, followed by a ready to use Goat Anti-Rabbit IgG H&L (HRP polymer) (ab214880).

Nucleolus staining on human colon carcinoma. The primary antibody was incubated overnight at 4°C.

Counterstained with Hematoxylin.

Secondary antibody only control : Secondary antibody is a ready to use Goat Anti-Rabbit IgG H&L (HRP polymer) (ab214880).

Heat mediated antigen retrieval was performed with Tris-EDTA buffer (pH 9.0, Epitope Retrieval Solution2) for 20 mins

Immunohistochemistry (Formalin/PFA-fixed paraffin-embedded sections) - Anti-AATF/DED antibody [EPR30220-88] - BSA and Azide free (AB325352)
  • IHC-P

Lab

Immunohistochemistry (Formalin/PFA-fixed paraffin-embedded sections) - Anti-AATF/DED antibody [EPR30220-88] - BSA and Azide free (AB325352)

This data was developed using ab325343, the same antibody clone in a different buffer formulation.

Immunohistochemical analysis of paraffin-embedded Human endometrial carcinoma tissue labeling AATF/DED with ab325343 at 1/100 (5.13 µg/ml) dilution, followed by a ready to use Goat Anti-Rabbit IgG H&L (HRP polymer) (ab214880).

Nucleolus staining on human endometrial carcinoma. The primary antibody was incubated overnight at 4°C.

Counterstained with Hematoxylin.

Secondary antibody only control : Secondary antibody is a ready to use Goat Anti-Rabbit IgG H&L (HRP polymer) (ab214880).

Heat mediated antigen retrieval was performed with Tris-EDTA buffer (pH 9.0, Epitope Retrieval Solution2) for 20 mins

Western blot - Anti-AATF/DED antibody [EPR30220-88] - BSA and Azide free (AB325352)
  • WB

Lab

Western blot - Anti-AATF/DED antibody [EPR30220-88] - BSA and Azide free (AB325352)

This data was developed using ab325343, the same antibody clone in a different buffer formulation.

Blocking and diluting buffer and concentration : 5% NFDM/TBST.

Low expression : THP-1

The identity of the lower band in lane 3 and lane 6 at approximately 50 kDa is unknown.

Lanes 1-5 are incubated with Goat Anti-Rabbit IgG, (H+L), Peroxidase conjugated (ab97051) at 1/20000 and lane 6 is incubated with Goat Anti-Rabbit IgG (HRP) with minimal cross-reactivity with human IgG at 1/2000.

In Western blot, Anti-GAPDH antibody [EPR16891] - Loading Control (ab181602) (1 : 200000) (36KDa).

Exposure time : Lanes 1-5 : 5 seconds; Lane 6 : 180 seconds

All lanes:

Western blot - Anti-AATF/DED antibody [EPR30220-88] (<a href='/en-us/products/primary-antibodies/aatf-ded-antibody-epr30220-88-ab325343'>ab325343</a>) at 1/1000 dilution

Lane 1:

293T (human embryonic kidney epithelial cell) whole cell lysate at 20 µg

Lane 2:

SW480 (human colorectal adenocarcinoma epithelial cell) whole cell lysate at 20 µg

Lane 3:

THP-1 (human monocytic leukemia monocyte) whole cell lysate at 20 µg

Lane 4:

MOLT-4 (human lymphoblastic leukemia T lymphoblast) whole cell lysate at 20 µg

Lane 5:

HeLa (human cervical adenocarcinoma epithelial cell) whole cell lysate at 20 µg

Lane 6:

Human tonsil tissue lysate at 20 µg

Secondary

Lanes 1 - 5:

Western blot - Goat Anti-Rabbit IgG H&L (HRP) (<a href='/en-us/products/secondary-antibodies/goat-rabbit-igg-h-l-hrp-ab97051'>ab97051</a>) at 1/20000 dilution

Lane 6:

Goat Anti-Rabbit IgG (HRP) with minimal cross-reactivity with human IgG at 1/2000 dilution

Observed band size: 80 kDa,36 kDa

false

Western blot - Anti-AATF/DED antibody [EPR30220-88] - BSA and Azide free (AB325352)
  • WB

Lab

Western blot - Anti-AATF/DED antibody [EPR30220-88] - BSA and Azide free (AB325352)

This data was developed using ab325343, the same antibody clone in a different buffer formulation.

Blocking and diluting buffer and concentration : 5% NFDM/TBST.

In Western blot, Anti-GAPDH antibody [EPR16891] - Loading Control (ab181602) (1 : 200000) (36KDa).

All lanes:

Western blot - Anti-AATF/DED antibody [EPR30220-88] (<a href='/en-us/products/primary-antibodies/aatf-ded-antibody-epr30220-88-ab325343'>ab325343</a>) at 1/1000 dilution

Lane 1:

293T (human embryonic kidney epithelial cell) transfected with scrambled siRNA control whole cell lysate at 20 µg

Lane 2:

293T transfected with siRNA specifically targeting AATF/DED whole cell lysate at 20 µg

Secondary

All lanes:

Western blot - Goat Anti-Rabbit IgG H&L (HRP) (<a href='/en-us/products/secondary-antibodies/goat-rabbit-igg-h-l-hrp-ab97051'>ab97051</a>) at 1/20000 dilution

Observed band size: 80 kDa,36 kDa

false

Exposure time: 5s

Key facts

Host species

Rabbit

Clonality

Monoclonal

Clone number

EPR30220-88

Isotype

IgG

Carrier free

Yes

Reacts with

Human

Applications

IHC-P, ICC/IF, WB

applications

Immunogen

The exact immunogen used to generate this antibody is proprietary information.

Reactivity data

{ "title": "Reactivity Data", "filters": { "stats": ["", "Species", "Dilution Info", "Notes"], "tabs": { "all-applications": {"fullname" : "All Applications", "shortname": "All Applications"}, "ICCIF" : {"fullname" : "Immunocytochemistry/ Immunofluorescence", "shortname":"ICC/IF"}, "IHCP" : {"fullname" : "Immunohistochemistry (Formalin/PFA-fixed paraffin-embedded sections)", "shortname":"IHC-P"}, "WB" : {"fullname" : "Western blot", "shortname":"WB"}, "FlowCyt" : {"fullname" : "Flow Cytometry", "shortname":"Flow Cyt"} }, "product-promise": { "all": "all", "testedAndGuaranteed": "tested", "guaranteed": "expected", "predicted": "predicted", "notRecommended": "not-recommended" } }, "values": { "Human": { "ICCIF-species-checked": "testedAndGuaranteed", "ICCIF-species-dilution-info": "", "ICCIF-species-notes": "<p></p>", "IHCP-species-checked": "testedAndGuaranteed", "IHCP-species-dilution-info": "", "IHCP-species-notes": "<p></p> Perform heat-mediated antigen retrieval with Tris/EDTA buffer pH 9.0 before commencing with IHC staining protocol.", "WB-species-checked": "testedAndGuaranteed", "WB-species-dilution-info": "", "WB-species-notes": "<p></p>", "FlowCyt-species-checked": "notRecommended", "FlowCyt-species-dilution-info": "", "FlowCyt-species-notes": "<p></p>" } } }

Product details

ab325352 is the carrier-free version of ab325343.

Patented technology
Our RabMAb® technology is a patented hybridoma-based technology for making rabbit monoclonal antibodies. For details on our patents, please refer to RabMAb® patents.

What are the advantages of a recombinant monoclonal antibody?
This product is a recombinant monoclonal antibody, which offers several advantages including:

  • - High batch-to-batch consistency and reproducibility
  • - Improved sensitivity and specificity
  • - Long-term security of supply
  • - Animal-free batch production

For more information, read more on recombinant antibodies.

Conjugation ready
Our carrier-free antibodies are typically supplied in a PBS-only formulation, purified and free of BSA, sodium azide and glycerol. This conjugation-ready format is designed for use with fluorochromes, metal isotopes, oligonucleotides, and enzymes, which makes them ideal for antibody labelling, functional and cell-based assays, flow-based assays (e.g. mass cytometry) and Multiplex Imaging applications.

Use our conjugation kits for antibody conjugates that are ready-to-use in as little as 20 minutes with 1 minute hands-on-time and 100% antibody recovery: available for fluorescent dyes, HRP, biotin and gold.

Compatibility
This product is compatible with the Maxpar® Antibody Labeling Kit from Fluidigm, without the need for antibody preparation. Maxpar® is a trademark of Fluidigm Canada Inc.

Properties and storage information

Form
Liquid
Purification technique
Affinity purification Protein A
Storage buffer
pH: 7.2 - 7.4 Constituents: PBS
Shipped at conditions
Blue Ice
Appropriate short-term storage conditions
+4°C
Appropriate long-term storage conditions
+4°C

Product protocols

For this product, it's our understanding that no specific protocols are required. You can visit:

Target data

Part of the small subunit (SSU) processome, first precursor of the small eukaryotic ribosomal subunit. During the assembly of the SSU processome in the nucleolus, many ribosome biogenesis factors, an RNA chaperone and ribosomal proteins associate with the nascent pre-rRNA and work in concert to generate RNA folding, modifications, rearrangements and cleavage as well as targeted degradation of pre-ribosomal RNA by the RNA exosome (PubMed : 34516797). May function as a general inhibitor of the histone deacetylase HDAC1. Binding to the pocket region of RB1 may displace HDAC1 from RB1/E2F complexes, leading to activation of E2F target genes and cell cycle progression. Conversely, displacement of HDAC1 from SP1 bound to the CDKN1A promoter leads to increased expression of this CDK inhibitor and blocks cell cycle progression. Also antagonizes PAWR mediated induction of aberrant amyloid peptide production in Alzheimer disease (presenile and senile dementia), although the molecular basis for this phenomenon has not been described to date.
See full target information AATF

Product promise

We are committed to supporting your work with high-quality reagents, and we're here for you every step of the way. In the unlikely event that one of our products does not perform as expected, you're protected by our Product Promise.
For full details, please see our Terms & Conditions

Please note: All products are 'FOR RESEARCH USE ONLY. NOT FOR USE IN DIAGNOSTIC OR THERAPEUTIC PROCEDURES'.

For licensing inquiries, please contact partnerships@abcam.com