JavaScript is disabled in your browser. Please enable JavaScript to view this website.
AB315288

Anti-AAV2 Capsid protein VP1 antibody [EPR28595-59] - BSA and Azide free

Be the first to review this product! Submit a review

|

(0 Publication)

Rabbit Recombinant Monoclonal CAPSD antibody. Carrier free. Suitable for IHC-P, ICC/IF, WB, Flow Cyt (Intra), IP and reacts with Transfected cell line - Adeno-associated virus 2 (isolate Srivastava/1982), Transfected cell lysate - Adeno-associated virus 2 (isolate Srivastava/1982) samples.

View Alternative Names

Capsid protein VP1, VP1

8 Images
Immunohistochemistry (Formalin/PFA-fixed paraffin-embedded sections) - Anti-AAV2 Capsid protein VP1 antibody [EPR28595-59] - BSA and Azide free (AB315288)
  • IHC-P

Supplier Data

Immunohistochemistry (Formalin/PFA-fixed paraffin-embedded sections) - Anti-AAV2 Capsid protein VP1 antibody [EPR28595-59] - BSA and Azide free (AB315288)

This data was developed using ab315287, the same antibody clone in a different buffer formulation.

Immunohistochemical analysis of paraffin-embedded Human cerebrum tissue labeling AAV2 Capsid protein VP1 with ab315287 at 1/5000 (0.106 ug/ml) dilution, followed by a ready to use LeicaDS9800 (Bond™ Polymer Refine Detection).

Negative control : No staining on human cerebrum.

The section was incubated with ab315287 for 30 mins at room temperature.

The immunostaining was performed on a Leica Biosystems BOND® RX instrument Counterstained with Hematoxylin.

Secondary antibody only control : Secondary antibody is a ready to use LeicaDS9800 (Bond™ Polymer Refine Detection).

Heat mediated antigen retrieval was performed with Tris-EDTA buffer (pH 9.0, Epitope Retrieval Solution2) for 20 mins.

Immunohistochemistry (Formalin/PFA-fixed paraffin-embedded sections) - Anti-AAV2 Capsid protein VP1 antibody [EPR28595-59] - BSA and Azide free (AB315288)
  • IHC-P

Supplier Data

Immunohistochemistry (Formalin/PFA-fixed paraffin-embedded sections) - Anti-AAV2 Capsid protein VP1 antibody [EPR28595-59] - BSA and Azide free (AB315288)

This data was developed using ab315287, the same antibody clone in a different buffer formulation.

Immunohistochemical analysis of paraffin-embedded Mouse cerebrum tissue labeling AAV2 Capsid protein VP1 with ab315287 at 1/5000 (0.106 ug/ml) dilution, followed by a ready to use LeicaDS9800 (Bond™ Polymer Refine Detection).

Negative control : No staining on mouse cerebrum.

The section was incubated with ab315287 for 30 mins at room temperature.

The immunostaining was performed on a Leica Biosystems BOND® RX instrument.

Counterstained with Hematoxylin.

Secondary antibody only control : Secondary antibody is a ready to use LeicaDS9800 (Bond™ Polymer Refine Detection).

Heat mediated antigen retrieval was performed with Tris-EDTA buffer (pH 9.0, Epitope Retrieval Solution2) for 20 mins.

Immunohistochemistry (Formalin/PFA-fixed paraffin-embedded sections) - Anti-AAV2 Capsid protein VP1 antibody [EPR28595-59] - BSA and Azide free (AB315288)
  • IHC-P

Supplier Data

Immunohistochemistry (Formalin/PFA-fixed paraffin-embedded sections) - Anti-AAV2 Capsid protein VP1 antibody [EPR28595-59] - BSA and Azide free (AB315288)

This data was developed using ab315287, the same antibody clone in a different buffer formulation.

Immunohistochemical analysis of paraffin-embedded Rat cerebrum tissue labeling AAV2 Capsid protein VP1 with ab315287 at 1/5000 (0.106 ug/ml) dilution, followed by a ready to use LeicaDS9800 (Bond™ Polymer Refine Detection).

Negative control : No staining on rat cerebrum.

The section was incubated with ab315287 for 30 mins at room temperature.

The immunostaining was performed on a Leica Biosystems BOND® RX instrument.

Counterstained with Hematoxylin.

Secondary antibody only control : Secondary antibody is a ready to use LeicaDS9800 (Bond™ Polymer Refine Detection).

Heat mediated antigen retrieval was performed with Tris-EDTA buffer (pH 9.0, Epitope Retrieval Solution2) for 20 mins.

Immunocytochemistry/ Immunofluorescence - Anti-AAV2 Capsid protein VP1 antibody [EPR28595-59] - BSA and Azide free (AB315288)
  • ICC/IF

Supplier Data

Immunocytochemistry/ Immunofluorescence - Anti-AAV2 Capsid protein VP1 antibody [EPR28595-59] - BSA and Azide free (AB315288)

This data was developed using ab315287, the same antibody clone in a different buffer formulation.

Immunofluorescent analysis of 4% Paraformaldehyde-fixed, 0.1% TritonX-100 permeabilized 293T (Human embryonic kidney epithelial cell) transfected with a VVA2-VP1 expression vector containing a myc tag cells labelling AAV2 Capsid protein VP1 with ab315287 at 1/50 (10.6 ug/ml) dilution, followed by ab150081 Goat Anti-Rabbit IgG H&L (Alexa Fluor® 488) preadsorbed antibody at 1/1000 2ug/ml dilution (Green).

Confocal image showing nuclear staining in 293T transfected with a VVA2-VP1 expression vector containing a myc tag.Image was taken with a confocal microscope (Leica-Microsystems, TCS SP8).

Myc-Tag Mouse mAb (Alexa Fluor® 647) was used to counterstain tubulin at 1/100 0.38ug/ml dilution (Red). The Nuclear counterstain was DAPI (Blue).

Secondary antibody only control : Secondary antibody is ab150081 Goat Anti-Rabbit IgG H&L (Alexa Fluor® 488) preadsorbed at 1/1000 2ug/ml dilution.

Immunohistochemistry (Formalin/PFA-fixed paraffin-embedded sections) - Anti-AAV2 Capsid protein VP1 antibody [EPR28595-59] - BSA and Azide free (AB315288)
  • IHC-P

Supplier Data

Immunohistochemistry (Formalin/PFA-fixed paraffin-embedded sections) - Anti-AAV2 Capsid protein VP1 antibody [EPR28595-59] - BSA and Azide free (AB315288)

This data was developed using ab315287, the same antibody clone in a different buffer formulation.

Immunohistochemical analysis of paraffin-embedded (A)HEK-293T (human embryonic kidney epithelial cell) transfected with a VVA2-VP1 expression vector containing a myc tag. (B) HEK-293T transfected with an empty vector. tissue labeling AAV2 Capsid protein VP1 with ab315287 at 1/5000 (0.106 ug/ml) dilution, followed by a ready to use LeicaDS9800 (Bond™ Polymer Refine Detection).

Positive staining on (A) HEK-293T transfected with a VVA2-VP1 expression vector containing a myc tag, no staining on (B) HEK-293T transfected with an empty vector.

The section was incubated with ab315287 for 30 mins at room temperature.

The immunostaining was performed on a Leica Biosystems BOND® RX instrument.

Counterstained with Hematoxylin.

Secondary antibody only control : Secondary antibody is a ready to use LeicaDS9800 (Bond™ Polymer Refine Detection).

Heat mediated antigen retrieval was performed with Tris-EDTA buffer (pH 9.0, Epitope Retrieval Solution2) for 20 mins.

Flow Cytometry (Intracellular) - Anti-AAV2 Capsid protein VP1 antibody [EPR28595-59] - BSA and Azide free (AB315288)
  • Flow Cyt (Intra)

Supplier Data

Flow Cytometry (Intracellular) - Anti-AAV2 Capsid protein VP1 antibody [EPR28595-59] - BSA and Azide free (AB315288)

This data was developed using ab315287, the same antibody clone in a different buffer formulation.

Flow cytometric analysis of 4% paraformaldehyde fixed 90% methanol permeabilized Isotype (Left) / 293T transfected with a VVA2-VP1 expression vector containing a myc tag (Middle) / 293T transfected with an empty expression vector containing a myc tag (Right) cells labelling AAV2 Capsid protein VP1 with ab315287 at 1/50 dilution (1 ug)/Right (Red) compared with a Rabbit monoclonal IgG (ab172730) / Left isotype control and an unlabelled control (cells without incubation with primary antibody and secondary antibody) (Blue).

Goat Anti-Rabbit IgG (Alexa Fluor® 488, ab150081) at 1/5000 dilution was used as the secondary antibody.

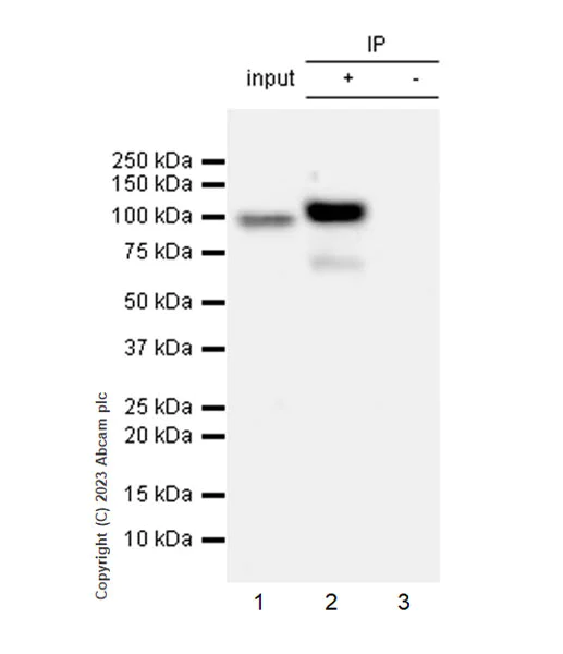
Immunoprecipitation - Anti-AAV2 Capsid protein VP1 antibody [EPR28595-59] - BSA and Azide free (AB315288)
  • IP

Supplier Data

Immunoprecipitation - Anti-AAV2 Capsid protein VP1 antibody [EPR28595-59] - BSA and Azide free (AB315288)

This data was developed using ab315287, the same antibody clone in a different buffer formulation.

AAV2 Capsid protein VP1 was immunoprecipitated from 0.35 mg 293T (human embryonic kidney epithelial cell) cells transfected with a AAV-2 VP1 expression vector containing a myc-His-tag®, whole cell lysate with ab315287 at 1/30 dilution (2ug in 0.35mg lysates). Western blot was performed on the immunoprecipitate using ab315287 at 1/1000 dilution. VeriBlot for IP secondary antibody(HRP)(ab131366) was used at 1/5000 dilution.

Lane 1 : 293T (human embryonic kidney epithelial cell) cells transfected with a AAV-2 VP1 expression vector containing a myc-His-tag®, whole cell lysate

Lane 2 : ab315287 IP in 293T (human embryonic kidney epithelial cell) cells transfected with a AAV-2 VP1 expression vector containing a myc-His-tag®, whole cell lysate

Lane 3 : Rabbit monoclonal IgG (ab172730) instead of ab315287 in 293T cells transfected with a AAV-2 VP1 expression vector containing a myc-His-tag®, whole cell lysate

Blocking and dilution buffer and concentration : 5% NFDM/TBST.

All lanes:

Immunoprecipitation - Anti-AAV2 Capsid protein VP1 antibody [EPR28595-59] (<a href='/en-us/products/primary-antibodies/aav2-capsid-protein-vp1-antibody-epr28595-59-ab315287'>ab315287</a>) at 1/30 dilution

All lanes:

293T (human embryonic kidney epithelial cell) cells transfected with a AAV-2 VP1 expression vector containing a myc-His-tag®, whole cell lysate

Secondary

All lanes:

Immunoprecipitation - VeriBlot for IP Detection Reagent (HRP) (<a href='/en-us/products/reagents/veriblot-for-ip-detection-reagent-hrp-ab131366'>ab131366</a>) at 1/5000 dilution

false

Exposure time: 8s

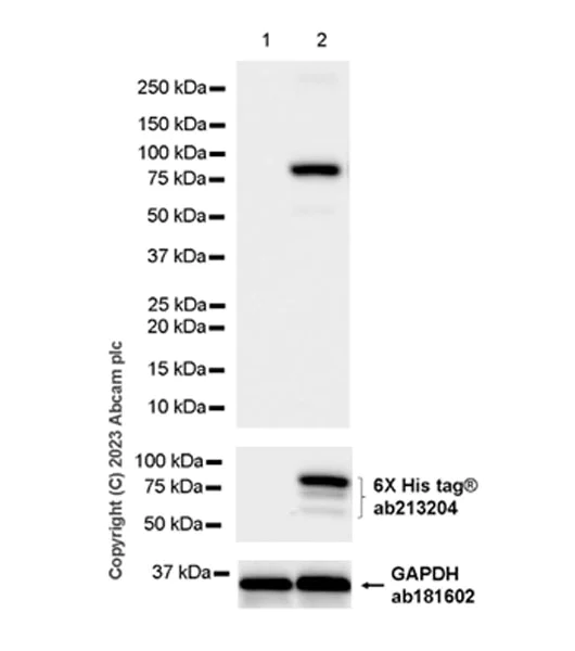
Western blot - Anti-AAV2 Capsid protein VP1 antibody [EPR28595-59] - BSA and Azide free (AB315288)
  • WB

Supplier Data

Western blot - Anti-AAV2 Capsid protein VP1 antibody [EPR28595-59] - BSA and Azide free (AB315288)

This data was developed using ab315287, the same antibody clone in a different buffer formulation.

Blocking and diluting buffer and concentration : 5% NFDM/TBST.

In Western blot, Anti-GAPDH antibody [EPR16891] - Loading Control (ab181602) staining at 1/200000 dilution.

In Western blot, Anti-6X His tag® antibody [EPR20547] - ChIP Grade (ab213204) staining at 1/5000 dilution.

All lanes:

Western blot - Anti-AAV2 Capsid protein VP1 antibody [EPR28595-59] (<a href='/en-us/products/primary-antibodies/aav2-capsid-protein-vp1-antibody-epr28595-59-ab315287'>ab315287</a>) at 1/1000 dilution

Lane 1:

293T (human embryonic kidney epithelial cell) cells transfected with an empty vector containi a myc-His-tag®, whole cell lysate at 5 µg

Lane 2:

293T cells transfected with a AAV-2 VP1 expression vector containi a myc-His-tag®, whole cell lysate at 5 µg

Secondary

All lanes:

Western blot - Goat Anti-Rabbit IgG H&L (HRP) (<a href='/en-us/products/secondary-antibodies/goat-rabbit-igg-h-l-hrp-ab97051'>ab97051</a>) at 1/100000 dilution

Observed band size: 81 kDa,36 kDa

false

Exposure time: 10s

  • Unconjugated

    Anti-AAV2 Capsid protein VP1 antibody [EPR28595-59]

Key facts

Host species

Rabbit

Clonality

Monoclonal

Clone number

EPR28595-59

Isotype

IgG

Carrier free

Yes

Reacts with

Adeno-associated virus 2 (isolate Srivastava/1982)

Applications

IHC-P, WB, IP, ICC/IF, Flow Cyt (Intra)

applications

Immunogen

The exact immunogen used to generate this antibody is proprietary information.

Specificity

This antibody cross-react with VP1 from AAV1, AAV3, AAV4, AAV5, AAV6, AAV7, AAV8 and AAV9 strains.

Reactivity data

{ "title": "Reactivity Data", "filters": { "stats": ["", "Species", "Dilution Info", "Notes"], "tabs": { "all-applications": {"fullname" : "All Applications", "shortname": "All Applications"}, "IHCP" : {"fullname" : "Immunohistochemistry (Formalin/PFA-fixed paraffin-embedded sections)", "shortname":"IHC-P"}, "ICCIF" : {"fullname" : "Immunocytochemistry/ Immunofluorescence", "shortname":"ICC/IF"}, "WB" : {"fullname" : "Western blot", "shortname":"WB"}, "FlowCytIntra" : {"fullname" : "Flow Cytometry (Intracellular)", "shortname":"Flow Cyt (Intra)"}, "IP" : {"fullname" : "Immunoprecipitation", "shortname":"IP"} }, "product-promise": { "all": "all", "testedAndGuaranteed": "tested", "guaranteed": "expected", "predicted": "predicted", "notRecommended": "not-recommended" } }, "values": { "Adeno-associated virus 2 (isolate Srivastava/1982)": { "IHCP-species-checked": "predicted", "IHCP-species-dilution-info": "", "IHCP-species-notes": "", "ICCIF-species-checked": "predicted", "ICCIF-species-dilution-info": "", "ICCIF-species-notes": "", "WB-species-checked": "predicted", "WB-species-dilution-info": "", "WB-species-notes": "", "FlowCytIntra-species-checked": "predicted", "FlowCytIntra-species-dilution-info": "", "FlowCytIntra-species-notes": "", "IP-species-checked": "predicted", "IP-species-dilution-info": "", "IP-species-notes": "" }, "Transfected cell line - Adeno-associated virus 2 (isolate Srivastava/1982)": { "IHCP-species-checked": "testedAndGuaranteed", "IHCP-species-dilution-info": "", "IHCP-species-notes": "<p></p>", "ICCIF-species-checked": "testedAndGuaranteed", "ICCIF-species-dilution-info": "", "ICCIF-species-notes": "<p></p>", "WB-species-checked": "notRecommended", "WB-species-dilution-info": "", "WB-species-notes": "", "FlowCytIntra-species-checked": "testedAndGuaranteed", "FlowCytIntra-species-dilution-info": "", "FlowCytIntra-species-notes": "<p></p>", "IP-species-checked": "notRecommended", "IP-species-dilution-info": "", "IP-species-notes": "" }, "Transfected cell lysate - Adeno-associated virus 2 (isolate Srivastava/1982)": { "IHCP-species-checked": "notRecommended", "IHCP-species-dilution-info": "", "IHCP-species-notes": "", "ICCIF-species-checked": "notRecommended", "ICCIF-species-dilution-info": "", "ICCIF-species-notes": "", "WB-species-checked": "testedAndGuaranteed", "WB-species-dilution-info": "", "WB-species-notes": "<p></p>", "FlowCytIntra-species-checked": "notRecommended", "FlowCytIntra-species-dilution-info": "", "FlowCytIntra-species-notes": "", "IP-species-checked": "testedAndGuaranteed", "IP-species-dilution-info": "", "IP-species-notes": "<p></p>" } } }

Product details

ab315288 is the carrier-free version of ab315287.

Patented technology
Our RabMAb® technology is a patented hybridoma-based technology for making rabbit monoclonal antibodies. For details on our patents, please refer to RabMAb® patents.

What are the advantages of a recombinant monoclonal antibody?
This product is a recombinant monoclonal antibody, which offers several advantages including:

  • - High batch-to-batch consistency and reproducibility
  • - Improved sensitivity and specificity
  • - Long-term security of supply
  • - Animal-free batch production

For more information, read more on recombinant antibodies.

Conjugation ready
Our carrier-free antibodies are typically supplied in a PBS-only formulation, purified and free of BSA, sodium azide and glycerol. This conjugation-ready format is designed for use with fluorochromes, metal isotopes, oligonucleotides, and enzymes, which makes them ideal for antibody labelling, functional and cell-based assays, flow-based assays (e.g. mass cytometry) and Multiplex Imaging applications.

Use our conjugation kits for antibody conjugates that are ready-to-use in as little as 20 minutes with 1 minute hands-on-time and 100% antibody recovery: available for fluorescent dyes, HRP, biotin and gold.

Compatibility
This product is compatible with the Maxpar® Antibody Labeling Kit from Fluidigm, without the need for antibody preparation. Maxpar® is a trademark of Fluidigm Canada Inc.

Properties and storage information

Form
Liquid
Purification technique
Affinity purification Protein A
Storage buffer
pH: 7.2 - 7.4 Constituents: PBS
Shipped at conditions
Blue Ice
Appropriate short-term storage conditions
+4°C
Appropriate long-term storage conditions
+4°C

Supplementary information

This supplementary information is collated from multiple sources and compiled automatically.

The AAV2 Capsid protein VP1 is a structural component of the adeno-associated virus serotype 2 (AAV2) capsid. It is sometimes called AAV2 VP1 and is one of the three viral proteins with a molecular mass of approximately 87 kDa. This protein is synthesized in host cells during viral replication and is expressed as part of the viral capsid the protein shell that encases and protects the viral genome. The capsid forms through the assembly of 60 viral proteins including VP1 each contributing to the structural integrity necessary for infectivity.
Biological function summary

AAV2 Capsid protein VP1 plays an important role in viral infectivity by mediating the virus's ability to enter host cells. The capsid consisting of VP1 VP2 and VP3 proteins facilitates binding to the receptor on the host cell surface initiating the infection process. VP1 specifically contains phospholipase A2 activity which becomes essential during the entry and uncoating of the virus once inside the host cell. This functional aspect of VP1 is vital for the successful translocation of the viral DNA into the host nucleus.

Pathways

The AAV2 Capsid protein VP1 involves itself in the endocytosis pathway as the virus enters the host cell. It is important in the trafficking process from the endosome to the nucleus. During this journey VP1 interacts with other viral proteins including VP2 and VP3 to form the complete capsid. Furthermore it might partake in cellular stress response pathways due to its influence on host cell structures although this warrants more exploration.

AAV2 Capsid protein VP1 finds relevance in gene therapy approaches. AAV2 vectors incorporating VP1 are employed to deliver genetic material for therapeutic purposes addressing conditions like hemophilia and cystic fibrosis. The protein's interaction with target cells and its capacity to mediate gene delivery make it central in these therapeutic strategies. VP1 together with VP2 and VP3 forms an integral part of the recombinant AAV used in these treatments exemplifying its importance in emerging medical therapies.

Product protocols

For this product, it's our understanding that no specific protocols are required. You can visit:

Target data

Capsid protein self-assembles to form an icosahedral capsid with a T=1 symmetry, about 22 nm in diameter, and consisting of 60 copies of three size variants of the capsid protein VP1, VP2 and VP3 which differ in their N-terminus. The capsid encapsulates the genomic ssDNA. Binds to host cell heparan sulfate and uses host ITGA5-ITGB1 as coreceptor on the cell surface to provide virion attachment to target cell. This attachment induces virion internalization predominantly through clathrin-dependent endocytosis. Binding to the host receptor also induces capsid rearrangements leading to surface exposure of VP1 N-terminus, specifically its phospholipase A2-like region and putative nuclear localization signal(s). VP1 N-terminus might serve as a lipolytic enzyme to breach the endosomal membrane during entry into host cell and might contribute to virus transport to the nucleus.
See full target information VP1

Product promise

We are committed to supporting your work with high-quality reagents, and we're here for you every step of the way. In the unlikely event that one of our products does not perform as expected, you're protected by our Product Promise.
For full details, please see our Terms & Conditions

Please note: All products are 'FOR RESEARCH USE ONLY. NOT FOR USE IN DIAGNOSTIC OR THERAPEUTIC PROCEDURES'.

For licensing inquiries, please contact partnerships@abcam.com