JavaScript is disabled in your browser. Please enable JavaScript to view this website.
AB152134

Anti-ABAT/GABA-T antibody

Be the first to review this product! Submit a review

|

(1 Publication)

Rabbit Polyclonal ABAT/GABA-T antibody. Suitable for WB, IHC-P, ICC/IF, IHC-Fr and reacts with Mouse, Rat, Human samples. Cited in 1 publication. Immunogen corresponding to Recombinant Fragment Protein within Human ABAT.

View Alternative Names

GABAT, ABAT, (S)-3-amino-2-methylpropionate transaminase, GABA aminotransferase, Gamma-amino-N-butyrate transaminase, L-AIBAT, GABA-AT, GABA transaminase, GABA-T

6 Images
Immunohistochemistry (Formalin/PFA-fixed paraffin-embedded sections) - Anti-ABAT/GABA-T antibody (AB152134)
  • IHC-P

Unknown

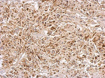
Immunohistochemistry (Formalin/PFA-fixed paraffin-embedded sections) - Anti-ABAT/GABA-T antibody (AB152134)

Immunohistochemical analysis of paraffin-embedded U373 xenograft labeling ABAT/GABA-T with ab152134 at 1/500 dilution.

Immunocytochemistry/ Immunofluorescence - Anti-ABAT/GABA-T antibody (AB152134)
  • ICC/IF

Supplier Data

Immunocytochemistry/ Immunofluorescence - Anti-ABAT/GABA-T antibody (AB152134)

Immunofluorescence analysis of HepG2 cells fixed in ice-cold MeOH for 5 min labelling ABAT protein at mitochondria using ab152134 at a 1/500 dilution (Green). Hoechst 33342 was used for nuclear staining (Blue).

Immunohistochemistry (Frozen sections) - Anti-ABAT/GABA-T antibody (AB152134)
  • IHC-Fr

Supplier Data

Immunohistochemistry (Frozen sections) - Anti-ABAT/GABA-T antibody (AB152134)

Immunohistochemical analysis of frozen sectioned adult mouse retina tissue labeling ABAT with ab152134 at 1/250 dilution.

beta Tubulin 3/ TUJ1, a mature neuron marker, stained by beta Tubulin 3/ TUJ1 antibody at a 1/250 dilution. DAPI was used for nuclear staining.

Immunohistochemistry (Formalin/PFA-fixed paraffin-embedded sections) - Anti-ABAT/GABA-T antibody (AB152134)
  • IHC-P

Supplier Data

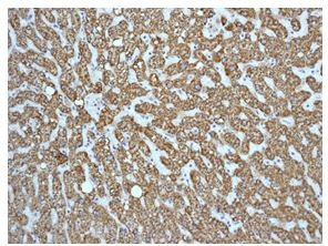
Immunohistochemistry (Formalin/PFA-fixed paraffin-embedded sections) - Anti-ABAT/GABA-T antibody (AB152134)

Immunohistochemical analysis of mouse kidney tissue stained for ABAT protein at mitochondria with ab152134 at a 1/500 dilution.

Antigen retrieval : EDTA based, pH 8.0 buffer, 15min.

Western blot - Anti-ABAT/GABA-T antibody (AB152134)
  • WB

Unknown

Western blot - Anti-ABAT/GABA-T antibody (AB152134)

7.5% SDS PAGE

All lanes:

Western blot - Anti-ABAT/GABA-T antibody (ab152134) at 1/1000 dilution

All lanes:

SK-N-SH whole cell lysate at 30 µg

Predicted band size: 56 kDa

false

Western blot - Anti-ABAT/GABA-T antibody (AB152134)
  • WB

Supplier Data

Western blot - Anti-ABAT/GABA-T antibody (AB152134)

Samples were separated by 10% SDS PAGE.

All lanes:

Western blot - Anti-ABAT/GABA-T antibody (ab152134) at 1/10000 dilution

Lane 1:

Mouse brain tissue extracts at 50 µg

Lane 2:

Rat brain tissue extracts at 50 µg

Secondary

All lanes:

HRP-conjugated anti-rabbit IgG antibody

Predicted band size: 56 kDa

false

Key facts

Host species

Rabbit

Clonality

Polyclonal

Isotype

IgG

Carrier free

No

Reacts with

Mouse, Rat, Human

Applications

IHC-Fr, ICC/IF, IHC-P, WB

applications

Immunogen

Recombinant Fragment Protein within Human ABAT. The exact immunogen used to generate this antibody is proprietary information.

P80404

Reactivity data

{ "title": "Reactivity Data", "filters": { "stats": ["", "Species", "Dilution Info", "Notes"], "tabs": { "all-applications": {"fullname" : "All Applications", "shortname": "All Applications"}, "WB" : {"fullname" : "Western blot", "shortname":"WB"}, "IHCP" : {"fullname" : "Immunohistochemistry (Formalin/PFA-fixed paraffin-embedded sections)", "shortname":"IHC-P"}, "ICCIF" : {"fullname" : "Immunocytochemistry/ Immunofluorescence", "shortname":"ICC/IF"}, "IHCFr" : {"fullname" : "Immunohistochemistry (Frozen sections)", "shortname":"IHC-Fr"} }, "product-promise": { "all": "all", "testedAndGuaranteed": "tested", "guaranteed": "expected", "predicted": "predicted", "notRecommended": "not-recommended" } }, "values": { "Human": { "WB-species-checked": "testedAndGuaranteed", "WB-species-dilution-info": "1/1000 - 1/10000", "WB-species-notes": "<p></p>", "IHCP-species-checked": "testedAndGuaranteed", "IHCP-species-dilution-info": "1/100 - 1/1000", "IHCP-species-notes": "<p></p>", "ICCIF-species-checked": "testedAndGuaranteed", "ICCIF-species-dilution-info": "1/100 - 1/1000", "ICCIF-species-notes": "<p></p>", "IHCFr-species-checked": "guaranteed", "IHCFr-species-dilution-info": "", "IHCFr-species-notes": "" }, "Mouse": { "WB-species-checked": "testedAndGuaranteed", "WB-species-dilution-info": "1/1000 - 1/10000", "WB-species-notes": "<p></p>", "IHCP-species-checked": "testedAndGuaranteed", "IHCP-species-dilution-info": "1/100 - 1/1000", "IHCP-species-notes": "<p></p>", "ICCIF-species-checked": "guaranteed", "ICCIF-species-dilution-info": "", "ICCIF-species-notes": "", "IHCFr-species-checked": "testedAndGuaranteed", "IHCFr-species-dilution-info": "1/100 - 1/1000", "IHCFr-species-notes": "<p></p>" }, "Rat": { "WB-species-checked": "testedAndGuaranteed", "WB-species-dilution-info": "1/1000 - 1/10000", "WB-species-notes": "<p></p>", "IHCP-species-checked": "guaranteed", "IHCP-species-dilution-info": "", "IHCP-species-notes": "", "ICCIF-species-checked": "guaranteed", "ICCIF-species-dilution-info": "", "ICCIF-species-notes": "", "IHCFr-species-checked": "guaranteed", "IHCFr-species-dilution-info": "", "IHCFr-species-notes": "" } } }

Properties and storage information

Form
Liquid
Purification technique
Affinity purification Immunogen
Storage buffer
pH: 7 Preservative: 0.01% Thimerosal (merthiolate) Constituents: PBS, 20% Glycerol (glycerin, glycerine)
Shipped at conditions
Blue Ice
Appropriate short-term storage conditions
+4°C
Appropriate long-term storage conditions
-20°C
Aliquoting information
Upon delivery aliquot
Storage information
Avoid freeze / thaw cycle

Supplementary information

This supplementary information is collated from multiple sources and compiled automatically.

ABAT also known as GABA transaminase (GABA-T) is an enzyme involved in the catabolism of the neurotransmitter gamma-aminobutyric acid (GABA). This enzyme catalyzes the conversion of GABA to succinic semialdehyde an important step in the GABA degradation pathway. GABA-T has a molecular mass of approximately 56 kDa. Its expression primarily occurs in the brain kidney and liver where it regulates GABA levels influencing neurological functions.
Biological function summary

ABAT plays a critical role in maintaining GABA homeostasis in the central nervous system. The protein functions as a homodimer forming a complex that effectively binds to its substrate. It modulates the inhibitory effects mediated by GABA in neuronal signaling. This regulation is essential for processes such as synaptic transmission and plasticity impacting a range of neurological activities.

Pathways

ABAT is integral to the GABAergic neurotransmission pathway which balances excitatory and inhibitory signals in the brain. It operates in conjunction with glutamate decarboxylase another enzyme playing an important role in GABA synthesis. Together they maintain the dynamic equilibrium between GABA production and breakdown. Additionally the enzyme interacts with proteins that contribute to the tricarboxylic acid cycle linking neurotransmitter metabolism to energy production.

ABAT is associated with several neurological conditions including epilepsy and schizophrenia. Impaired function or expression of ABAT can lead to altered GABA levels contributing to the pathophysiology of these disorders. The enzyme also connects with GABA receptor subtypes which are targets for therapeutic interventions aimed at modulating GABAergic activity to address these conditions.

Product protocols

For this product, it's our understanding that no specific protocols are required. You can visit:

Target data

Catalyzes the conversion of gamma-aminobutyrate and L-beta-aminoisobutyrate to succinate semialdehyde and methylmalonate semialdehyde, respectively (PubMed : 10407778, PubMed : 15528998). Can also convert delta-aminovalerate and beta-alanine (By similarity).
See full target information ABAT

Publications (1)

Recent publications for all applications. Explore the full list and refine your search

Cerebral cortex (New York, N.Y. : 1991) 27:4060-4072 PubMed27552836

2016

Prefrontal Cortical GABAergic Dysfunction Contributes to Aberrant UP-State Duration in APP Knockout Mice.

Applications

Unspecified application

Species

Unspecified reactive species

Qingwei Huo,Ming Chen,Quansheng He,Jiajia Zhang,Bo Li,Kai Jin,Xi Chen,Cheng Long,Li Yang
View all publications

Product promise

We are committed to supporting your work with high-quality reagents, and we're here for you every step of the way. In the unlikely event that one of our products does not perform as expected, you're protected by our Product Promise.
For full details, please see our Terms & Conditions

Please note: All products are 'FOR RESEARCH USE ONLY. NOT FOR USE IN DIAGNOSTIC OR THERAPEUTIC PROCEDURES'.

For licensing inquiries, please contact partnerships@abcam.com