JavaScript is disabled in your browser. Please enable JavaScript to view this website.
AB108249

Anti-ABAT/GABA-T antibody [EPR4433]

5

(2 Reviews)

|

(11 Publications)

Rabbit Recombinant Monoclonal ABAT/GABA-T antibody. Suitable for IP, WB, IHC-P and reacts with Human, Mouse, Rat samples. Cited in 11 publications.

View Alternative Names

GABAT, ABAT, (S)-3-amino-2-methylpropionate transaminase, GABA aminotransferase, Gamma-amino-N-butyrate transaminase, L-AIBAT, GABA-AT, GABA transaminase, GABA-T

7 Images
Immunohistochemistry (Formalin/PFA-fixed paraffin-embedded sections) - Anti-ABAT/GABA-T antibody [EPR4433] (AB108249)
  • IHC-P

Unknown

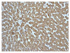
Immunohistochemistry (Formalin/PFA-fixed paraffin-embedded sections) - Anti-ABAT/GABA-T antibody [EPR4433] (AB108249)

Unpurified ab108249, at 1/250 dilution, staining ABAT/GABA-T in Human liver tissue by immunohistochemistry.

Immunohistochemistry (Formalin/PFA-fixed paraffin-embedded sections) - Anti-ABAT/GABA-T antibody [EPR4433] (AB108249)
  • IHC-P

Unknown

Immunohistochemistry (Formalin/PFA-fixed paraffin-embedded sections) - Anti-ABAT/GABA-T antibody [EPR4433] (AB108249)

Immunohistochemistry (Formalin/PFA-fixed paraffin-embedded sections) analysis of Human liver tissue sections labeling ABAT/GABA-T with Purified ab108249 at 1 : 1000 dilution (0.9 μg/ml). Heat mediated antigen retrieval was performed using ab93684 (Tris/EDTA buffer, pH 9.0)

Immunoprecipitation - Anti-ABAT/GABA-T antibody [EPR4433] (AB108249)
  • IP

Lab

Immunoprecipitation - Anti-ABAT/GABA-T antibody [EPR4433] (AB108249)

ab108249 (purified) at 1 : 40 dilution (2μg) immunoprecipitating ABAT/GABA-T in HepG2 whole cell lysate.
Lane 1 (input) : HepG2 (Human hepatocellular carcinoma epithelial cell) whole cell lysate 10μg
Lane 2 (+) : ab108249 & HepG2 whole cell lysate
Lane 3 (-) : Rabbit monoclonal IgG (ab172730) instead of ab108249 in HepG2 whole cell lysate
For western blotting, VeriBlot for IP Detection Reagent (HRP) (ab131366) was used for detection at 1 : 1000 dilution.
Blocking and diluting buffer : 5% NFDM/TBST.

All lanes:

Immunoprecipitation - Anti-ABAT/GABA-T antibody [EPR4433] (ab108249)

Predicted band size: 56 kDa

Observed band size: 50 kDa

false

Immunohistochemistry (Formalin/PFA-fixed paraffin-embedded sections) - Anti-ABAT/GABA-T antibody [EPR4433] (AB108249)
  • IHC-P

Unknown

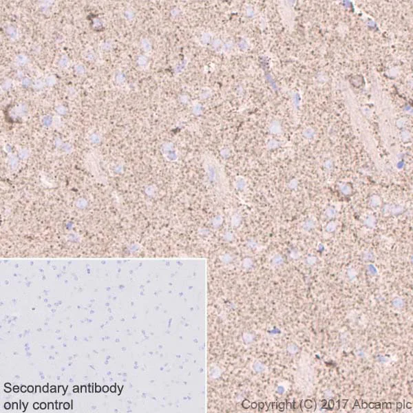
Immunohistochemistry (Formalin/PFA-fixed paraffin-embedded sections) - Anti-ABAT/GABA-T antibody [EPR4433] (AB108249)

Immunohistochemistry (Formalin/PFA-fixed paraffin-embedded sections) analysis of Mouse cerebrum tissue sections labeling ABAT/GABA-T with Purified ab108249 at 1 : 1000 dilution (0.9 μg/ml). Heat mediated antigen retrieval was performed using ab93684 (Tris/EDTA buffer, pH 9.0)

Immunohistochemistry (Formalin/PFA-fixed paraffin-embedded sections) - Anti-ABAT/GABA-T antibody [EPR4433] (AB108249)
  • IHC-P

Unknown

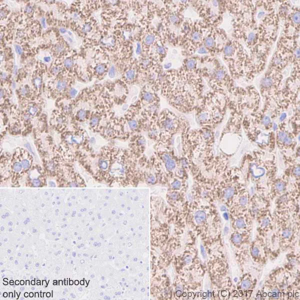
Immunohistochemistry (Formalin/PFA-fixed paraffin-embedded sections) - Anti-ABAT/GABA-T antibody [EPR4433] (AB108249)

Immunohistochemistry (Formalin/PFA-fixed paraffin-embedded sections) analysis of Rat liver tissue sections labeling ABAT/GABA-T with Purified ab108249 at 1 : 1000 dilution (0.9 μg/ml). Heat mediated antigen retrieval was performed using ab93684 (Tris/EDTA buffer, pH 9.0)

Western blot - Anti-ABAT/GABA-T antibody [EPR4433] (AB108249)
  • WB

Lab

Western blot - Anti-ABAT/GABA-T antibody [EPR4433] (AB108249)

All lanes:

Western blot - Anti-ABAT/GABA-T antibody [EPR4433] (ab108249) at 1/10000 dilution

Lane 1:

HepG2 (Human hepatocellular carcinoma epithelial cell) whole cell lysates at 15 µg

Lane 2:

SH-SY5Y (Human neuroblastoma epithelial cell) whole cell lysates at 15 µg

Lane 3:

Mouse brain lysates at 15 µg

Lane 4:

Rat brain lysates at 15 µg

Secondary

All lanes:

Western blot - Goat Anti-Rabbit IgG H&L (HRP) (<a href='/en-us/products/secondary-antibodies/goat-rabbit-igg-h-l-hrp-ab97051'>ab97051</a>) at 1/20000 dilution

Predicted band size: 56 kDa

Observed band size: 50 kDa

false

Western blot - Anti-ABAT/GABA-T antibody [EPR4433] (AB108249)
  • WB

Unknown

Western blot - Anti-ABAT/GABA-T antibody [EPR4433] (AB108249)

All lanes:

Western blot - Anti-ABAT/GABA-T antibody [EPR4433] (ab108249)

Lane 1:

HepG2 cell lysate

Lane 2:

SH-SY5Y cell lysate

Lane 3:

Human fetal liver tissue lysate

Lane 4:

rat brain tissue lysate

Lane 5:

rat kidney tissue lysate

Lane 6:

mouse brain tissue lysate

Predicted band size: 56 kDa

false

  • Carrier free

    Anti-ABAT/GABA-T antibody [EPR4433] - BSA and Azide free

Key facts

Host species

Rabbit

Clonality

Monoclonal

Clone number

EPR4433

Isotype

IgG

Carrier free

No

Reacts with

Mouse, Rat, Human

Applications

WB, IP, IHC-P

applications

Immunogen

The exact immunogen used to generate this antibody is proprietary information.

Specificity

Mouse cross reactivity tested by western blot and IHC. Rat cross reactivity tested by western blot only.

Reactivity data

{ "title": "Reactivity Data", "filters": { "stats": ["", "Species", "Dilution Info", "Notes"], "tabs": { "all-applications": {"fullname" : "All Applications", "shortname": "All Applications"}, "IP" : {"fullname" : "Immunoprecipitation", "shortname":"IP"}, "FlowCyt" : {"fullname" : "Flow Cytometry", "shortname":"Flow Cyt"}, "WB" : {"fullname" : "Western blot", "shortname":"WB"}, "ICCIF" : {"fullname" : "Immunocytochemistry/ Immunofluorescence", "shortname":"ICC/IF"}, "IHCP" : {"fullname" : "Immunohistochemistry (Formalin/PFA-fixed paraffin-embedded sections)", "shortname":"IHC-P"} }, "product-promise": { "all": "all", "testedAndGuaranteed": "tested", "guaranteed": "expected", "predicted": "predicted", "notRecommended": "not-recommended" } }, "values": { "Human": { "IP-species-checked": "testedAndGuaranteed", "IP-species-dilution-info": "1/10 - 1/100", "IP-species-notes": "<p></p>", "FlowCyt-species-checked": "notRecommended", "FlowCyt-species-dilution-info": "", "FlowCyt-species-notes": "<p></p>", "WB-species-checked": "testedAndGuaranteed", "WB-species-dilution-info": "1/10000 - 1/50000", "WB-species-notes": "<p></p>", "ICCIF-species-checked": "notRecommended", "ICCIF-species-dilution-info": "", "ICCIF-species-notes": "<p></p>", "IHCP-species-checked": "testedAndGuaranteed", "IHCP-species-dilution-info": "1/1000", "IHCP-species-notes": "<p>Antigen retrieval is recommended. <strong>For unpurified use at 1/250 - 1/500 dilution. </strong></p> Perform heat-mediated antigen retrieval with Tris/EDTA buffer pH 9.0 before commencing with IHC staining protocol." }, "Mouse": { "IP-species-checked": "guaranteed", "IP-species-dilution-info": "", "IP-species-notes": "", "FlowCyt-species-checked": "notRecommended", "FlowCyt-species-dilution-info": "", "FlowCyt-species-notes": "<p></p>", "WB-species-checked": "guaranteed", "WB-species-dilution-info": "", "WB-species-notes": "", "ICCIF-species-checked": "notRecommended", "ICCIF-species-dilution-info": "", "ICCIF-species-notes": "<p></p>", "IHCP-species-checked": "testedAndGuaranteed", "IHCP-species-dilution-info": "1/1000", "IHCP-species-notes": "<p>Antigen retrieval is recommended. <strong>For unpurified use at 1/250 - 1/500 dilution. </strong></p> Perform heat-mediated antigen retrieval with Tris/EDTA buffer pH 9.0 before commencing with IHC staining protocol." }, "Rat": { "IP-species-checked": "guaranteed", "IP-species-dilution-info": "", "IP-species-notes": "", "FlowCyt-species-checked": "notRecommended", "FlowCyt-species-dilution-info": "", "FlowCyt-species-notes": "<p></p>", "WB-species-checked": "guaranteed", "WB-species-dilution-info": "", "WB-species-notes": "", "ICCIF-species-checked": "notRecommended", "ICCIF-species-dilution-info": "", "ICCIF-species-notes": "<p></p>", "IHCP-species-checked": "testedAndGuaranteed", "IHCP-species-dilution-info": "1/1000", "IHCP-species-notes": "<p>Antigen retrieval is recommended. <strong>For unpurified use at 1/250 - 1/500 dilution. </strong></p> Perform heat-mediated antigen retrieval with Tris/EDTA buffer pH 9.0 before commencing with IHC staining protocol." } } }

Product details

Patented technology
Our RabMAb® technology is a patented hybridoma-based technology for making rabbit monoclonal antibodies. For details on our patents, please refer to RabMAb® patents.

What are the advantages of a recombinant monoclonal antibody?
This product is a recombinant monoclonal antibody, which offers several advantages including:

  • - High batch-to-batch consistency and reproducibility
  • - Improved sensitivity and specificity
  • - Long-term security of supply
  • - Animal-free batch production

For more information, read more on recombinant antibodies.

Properties and storage information

Form
Liquid
Purification technique
Affinity purification Protein A
Storage buffer
pH: 7.2 - 7.4 Preservative: 0.01% Sodium azide Constituents: PBS, 40% Glycerol (glycerin, glycerine), 0.05% BSA
Shipped at conditions
Blue Ice
Appropriate short-term storage duration
1-2 weeks
Appropriate short-term storage conditions
+4°C
Appropriate long-term storage conditions
-20°C
Aliquoting information
Upon delivery aliquot
Storage information
Avoid freeze / thaw cycle

Supplementary information

This supplementary information is collated from multiple sources and compiled automatically.

ABAT also known as GABA transaminase (GABA-T) is an enzyme involved in the catabolism of the neurotransmitter gamma-aminobutyric acid (GABA). This enzyme catalyzes the conversion of GABA to succinic semialdehyde an important step in the GABA degradation pathway. GABA-T has a molecular mass of approximately 56 kDa. Its expression primarily occurs in the brain kidney and liver where it regulates GABA levels influencing neurological functions.
Biological function summary

ABAT plays a critical role in maintaining GABA homeostasis in the central nervous system. The protein functions as a homodimer forming a complex that effectively binds to its substrate. It modulates the inhibitory effects mediated by GABA in neuronal signaling. This regulation is essential for processes such as synaptic transmission and plasticity impacting a range of neurological activities.

Pathways

ABAT is integral to the GABAergic neurotransmission pathway which balances excitatory and inhibitory signals in the brain. It operates in conjunction with glutamate decarboxylase another enzyme playing an important role in GABA synthesis. Together they maintain the dynamic equilibrium between GABA production and breakdown. Additionally the enzyme interacts with proteins that contribute to the tricarboxylic acid cycle linking neurotransmitter metabolism to energy production.

ABAT is associated with several neurological conditions including epilepsy and schizophrenia. Impaired function or expression of ABAT can lead to altered GABA levels contributing to the pathophysiology of these disorders. The enzyme also connects with GABA receptor subtypes which are targets for therapeutic interventions aimed at modulating GABAergic activity to address these conditions.

Product protocols

For this product, it's our understanding that no specific protocols are required. You can visit:

Target data

Catalyzes the conversion of gamma-aminobutyrate and L-beta-aminoisobutyrate to succinate semialdehyde and methylmalonate semialdehyde, respectively (PubMed : 10407778, PubMed : 15528998). Can also convert delta-aminovalerate and beta-alanine (By similarity).
See full target information ABAT

Publications (11)

Recent publications for all applications. Explore the full list and refine your search

Signal transduction and targeted therapy 10:240 PubMed40717119

2025

Astrocytic gamma-aminobutyric acid dysregulation as a therapeutic target for posttraumatic stress disorder.

Applications

Unspecified application

Species

Unspecified reactive species

Sujung Yoon,Woojin Won,Suji Lee,Kayoung Han,Eunji Ha,Juheon Lee,Seung Jae Hyeon,Yoonji Joo,Haejin Hong,Hyangwon Lee,Yumi Song,Ki Duk Park,Bertrand R Huber,Junghee Lee,Richard A E Edden,Minah Suh,Hoon Ryu,C Justin Lee,In Kyoon Lyoo

Experimental & molecular medicine 57:379-389 PubMed39894826

2025

Suppressing astrocytic GABA transaminase enhances tonic inhibition and weakens hippocampal spatial memory.

Applications

Unspecified application

Species

Unspecified reactive species

Mingu Gordon Park,Jiwoon Lim,Daeun Kim,Won-Seok Lee,Bo-Eun Yoon,C Justin Lee

iScience 27:110415 PubMed39100925

2024

Decoding sunitinib resistance in ccRCC: Metabolic-reprogramming-induced ABAT and GABAergic system shifts.

Applications

Unspecified application

Species

Unspecified reactive species

Qian Zhang,Lei Ding,Ye Yan,Qidi Zhai,Zhisheng Guo,Yibo Li,Zhentao Tang,Pan Zang,Chenbo Ni,Shaobo Zhang,Jian Qian,Peng Han,Pu Li,Pengfei Shao,Chao Liang,Jie Li

iScience 25:104184 PubMed35494220

2022

Combined metabolomic and transcriptomic profiling approaches reveal the cardiac response to high-fat diet.

Applications

Unspecified application

Species

Unspecified reactive species

Leroy C Joseph,Jianting Shi,Quynh N Nguyen,Victoria Pensiero,Chris Goulbourne,Robert C Bauer,Hanrui Zhang,John P Morrow

International journal of molecular sciences 23: PubMed35216295

2022

Gamma-Aminobutyrate Transaminase Protects against Lipid Overload-Triggered Cardiac Injury in Mice.

Applications

Unspecified application

Species

Unspecified reactive species

Mengxiao Zhang,Huiting Zhong,Ting Cao,Yifan Huang,Xiaoyun Ji,Guo-Chang Fan,Tianqing Peng

Journal of enzyme inhibition and medicinal chemistry 36:2016-2024 PubMed34514924

2021

High-yield synthesis and purification of recombinant human GABA transaminase for high-throughput screening assays.

Applications

Unspecified application

Species

Unspecified reactive species

Mingu Gordon Park,Ah-Reum Han,Su Yeon Kim,Tai Young Kim,Ho Min Kim,C Justin Lee

Animals : an open access journal from MDPI 10: PubMed32230949

2020

Effect of GABA-T on Reproductive Function in Female Rats.

Applications

Unspecified application

Species

Unspecified reactive species

Wenyu Si,Hailing Li,Tiezhu Kang,Jing Ye,Zhiqiu Yao,Ya Liu,Tong Yu,Yunhai Zhang,Yinghui Ling,Hongguo Cao,Juhua Wang,Yunsheng Li,Fugui Fang

Cell metabolism 30:352-363.e8 PubMed31130465

2019

Polyamines and eIF5A Hypusination Modulate Mitochondrial Respiration and Macrophage Activation.

Applications

Unspecified application

Species

Unspecified reactive species

Daniel J Puleston,Michael D Buck,Ramon I Klein Geltink,Ryan L Kyle,George Caputa,David O'Sullivan,Alanna M Cameron,Angela Castoldi,Yaarub Musa,Agnieszka M Kabat,Ying Zhang,Lea J Flachsmann,Cameron S Field,Annette E Patterson,Stefanie Scherer,Francesca Alfei,Francesc Baixauli,S Kyle Austin,Beth Kelly,Mai Matsushita,Jonathan D Curtis,Katarzyna M Grzes,Matteo Villa,Mauro Corrado,David E Sanin,Jing Qiu,Nora Pällman,Katelyn Paz,Maria Elena Maccari,Bruce R Blazar,Gerhard Mittler,Joerg M Buescher,Dietmar Zehn,Sabine Rospert,Edward J Pearce,Stefan Balabanov,Erika L Pearce

Neuropsychiatric disease and treatment 12:1731-7 PubMed27471387

2016

Involvement of upregulation of miR-210 in a rat epilepsy model.

Applications

WB

Species

Unspecified reactive species

Licheng Chen,Hao Zheng,Shimeng Zhang

Nature medicine 20:886-96 PubMed24973918

2014

GABA from reactive astrocytes impairs memory in mouse models of Alzheimer's disease.

Applications

Unspecified application

Species

Mouse

Seonmi Jo,Oleg Yarishkin,Yu Jin Hwang,Ye Eun Chun,Mijeong Park,Dong Ho Woo,Jin Young Bae,Taekeun Kim,Jaekwang Lee,Heejung Chun,Hyun Jung Park,Da Yong Lee,Jinpyo Hong,Hye Yun Kim,Soo-Jin Oh,Seung Ju Park,Hyo Lee,Bo-Eun Yoon,YoungSoo Kim,Yong Jeong,Insop Shim,Yong Chul Bae,Jeiwon Cho,Neil W Kowall,Hoon Ryu,Eunmi Hwang,Daesoo Kim,C Justin Lee
View all publications

Product promise

We are committed to supporting your work with high-quality reagents, and we're here for you every step of the way. In the unlikely event that one of our products does not perform as expected, you're protected by our Product Promise.
For full details, please see our Terms & Conditions

Please note: All products are 'FOR RESEARCH USE ONLY. NOT FOR USE IN DIAGNOSTIC OR THERAPEUTIC PROCEDURES'.

For licensing inquiries, please contact partnerships@abcam.com