JavaScript is disabled in your browser. Please enable JavaScript to view this website.
AB7360

Anti-ABCA1 antibody

3

(6 Reviews)

|

(72 Publications)

Rabbit Polyclonal ABCA1 antibody. Suitable for WB, IHC-P and reacts with Mouse, Human samples. Cited in 72 publications. Immunogen corresponding to Synthetic Peptide within Human ABCA1.

View Alternative Names

ABC1, CERP, ABCA1, Phospholipid-transporting ATPase ABCA1, ATP-binding cassette sub-family A member 1, ATP-binding cassette transporter 1, Cholesterol efflux regulatory protein, ABC-1, ATP-binding cassette 1

4 Images
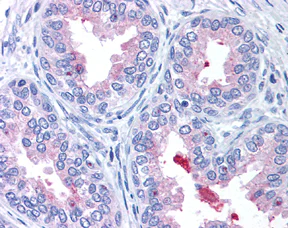
Immunohistochemistry (Formalin/PFA-fixed paraffin-embedded sections) - Anti-ABCA1 antibody (AB7360)
  • IHC-P

Supplier Data

Immunohistochemistry (Formalin/PFA-fixed paraffin-embedded sections) - Anti-ABCA1 antibody (AB7360)

ab7360, staining ABCA1 in human prostate epithelium showing luminal and membrane staining by Immunohistochemistry (Formalin/PFA-fixed paraffin-embedded sections).

Western blot - Anti-ABCA1 antibody (AB7360)
  • WB

Unknown

Western blot - Anti-ABCA1 antibody (AB7360)

The experiment was performed by treating RAW macrophages with 9-cis-retinoic acid and 22R-hydroxycholesterol, known inducers of ABCA1expression in macrophages. Then total cell post-nuclear lysate (40ug protein) was separated by SDS-PAGE and detected using a 1 : 1000 dilution of ab7360 affinity purified Lot G incubated for 1 hour at room temperature (Lane A). Although there are lower molecular weight bands on the blot, the ABCA1 signal is excellent and gives the expected 3 bands. It is not known why ABCA1 runs as three bands, but it has been found to do so by many researchers. It is probably due to protein modifications such as glycosylation. The antibody was also tested against ABCA1 transiently expressed in 293 cells as an independent test with excellent results.

The experiment was performed by treating RAW macrophages with 9-cis-retinoic acid and 22R-hydroxycholesterol, known inducers of ABCA1expression in macrophages. Then total cell post-nuclear lysate (40ug protein) was separ

All lanes:

Western blot - Anti-ABCA1 antibody (ab7360)

Predicted band size: 254 kDa

false

Western blot - Anti-ABCA1 antibody (AB7360)
  • WB

Unknown

Western blot - Anti-ABCA1 antibody (AB7360)

Detection of ABCA1 in mouse peritoneal macrophages using ab7360. ECL exposure, 1 min.
Lane 4 : T09 uninduced lysate
Lane 5 : T09 induced lysate Detection of ABCA1 in mouse peritoneal macrophages using ab7360. ECL exposure, 1 min.
Lane 4 : T09 uninduced lysate
Lane 5 : T09 induced lysate

All lanes:

Western blot - Anti-ABCA1 antibody (ab7360)

Predicted band size: 254 kDa

false

Western blot - Anti-ABCA1 antibody (AB7360)
  • WB

Unknown

Western blot - Anti-ABCA1 antibody (AB7360)

All lanes:

Western blot - Anti-ABCA1 antibody (ab7360)

Lane 1:

RAW 264.7 whole cell lysate treated with T0901317 at 25 µg

Lane 2:

RAW 264.7 whole cell lysate untreated at 25 µg

Predicted band size: 254 kDa

false

Key facts

Host species

Rabbit

Clonality

Polyclonal

Isotype

IgG

Carrier free

No

Reacts with

Mouse, Human

Applications

IHC-P, WB

applications

Immunogen

Synthetic Peptide within Human ABCA1. The exact immunogen used to generate this antibody is proprietary information.

O95477

Specificity

ab7360 has previously been shown to work well in ICC/IF on HeLa cells. However recent batches of this antibody, do not work in this application. We would recommend ab18180 for researchers wanting to detect ABCA1 in ICC/IF. For further information, please contact our Scientific Support Team.

Reactivity data

{ "title": "Reactivity Data", "filters": { "stats": ["", "Species", "Dilution Info", "Notes"], "tabs": { "all-applications": {"fullname" : "All Applications", "shortname": "All Applications"}, "WB" : {"fullname" : "Western blot", "shortname":"WB"}, "IHCP" : {"fullname" : "Immunohistochemistry (Formalin/PFA-fixed paraffin-embedded sections)", "shortname":"IHC-P"} }, "product-promise": { "all": "all", "testedAndGuaranteed": "tested", "guaranteed": "expected", "predicted": "predicted", "notRecommended": "not-recommended" } }, "values": { "Human": { "WB-species-checked": "testedAndGuaranteed", "WB-species-dilution-info": "1/500 - 1/1000", "WB-species-notes": "<p>Additional non-specific bands are seen at lower molecular weights, but do not interfere with the ABC1 signal. It is important not to boil the sample before loading onto the gel. Boiling can cause aggregation in large proteins, resulting in the proteins inability to enter into the gel.</p>", "IHCP-species-checked": "testedAndGuaranteed", "IHCP-species-dilution-info": "1/500", "IHCP-species-notes": "<p></p>" }, "Mouse": { "WB-species-checked": "testedAndGuaranteed", "WB-species-dilution-info": "1/500 - 1/1000", "WB-species-notes": "<p>Additional non-specific bands are seen at lower molecular weights, but do not interfere with the ABC1 signal. It is important not to boil the sample before loading onto the gel. Boiling can cause aggregation in large proteins, resulting in the proteins inability to enter into the gel.</p>", "IHCP-species-checked": "guaranteed", "IHCP-species-dilution-info": "", "IHCP-species-notes": "" } } }

Properties and storage information

Form
Liquid
Purification technique
Affinity purification Immunogen
Storage buffer
pH: 7.4 Preservative: 0.02% Sodium azide Constituents: PBS
Shipped at conditions
Blue Ice
Appropriate short-term storage duration
1-2 weeks
Appropriate short-term storage conditions
+4°C
Appropriate long-term storage conditions
-20°C
Storage information
Avoid freeze / thaw cycle

Supplementary information

This supplementary information is collated from multiple sources and compiled automatically.

The ABCA1 protein also known as ATP-binding cassette transporter A1 plays an important role in lipid transport processes. It helps in the export of cholesterol and phospholipids to apolipoprotein A-I which is essential for high-density lipoprotein (HDL) formation. The ABCA1 molecular weight is approximately 220 kDa. This protein is widely expressed in various tissues including the liver lungs and intestines indicating its systemic role in lipid metabolism. Researchers often study ABCA1 using techniques like ABCA1 ELISA and H10 flow cytometry.
Biological function summary

ABCA1 functions as a cholesterol efflux pump in the cellular membrane. It facilitates the transfer of cholesterol to lipid-poor apolipoproteins such as apoA-I which then forms HDL particles. This active process helps maintain cellular cholesterol homeostasis and reduces cholesterol accumulation. ABCA1 is a critical component of the HDL synthesis pathway and does not form part of a larger protein complex acting more as an individual unit in this function.

Pathways

Many regulatory mechanisms control the activity of ABCA1. It plays a significant role in the reverse cholesterol transport pathway thereby promoting the movement of cholesterol away from peripheral tissues back to the liver for excretion. This pathway helps maintain systemic lipid balance. The LXR/RXR pathway regulates ABCA1 expression aligning it closely with other proteins such as LXR and ABCG1 which also deal with cholesterol metabolism.

ABCA1 is intimately connected with atherosclerosis and Tangier disease. Dysfunction or mutations in the ABCA1 gene lead to impaired cholesterol efflux contributing to cholesterol build-up and atherosclerotic plaque formation. Tangier disease a rare genetic disorder arises from severe mutations in ABCA1 resulting in very low levels of HDL cholesterol. This protein's role in disease is often studied alongside proteins such as apoA-I and LDL receptors which influence cholesterol transportation and storage.

Product protocols

For this product, it's our understanding that no specific protocols are required. You can visit:

Target data

Catalyzes the translocation of specific phospholipids from the cytoplasmic to the extracellular/lumenal leaflet of membrane coupled to the hydrolysis of ATP (PubMed : 24097981, PubMed : 35974019). Thereby, participates in phospholipid transfer to apolipoproteins to form nascent high density lipoproteins/HDLs (PubMed : 14754908). Transports preferentially phosphatidylcholine over phosphatidylserine (PubMed : 24097981). May play a similar role in the efflux of intracellular cholesterol to apolipoproteins and the formation of nascent high density lipoproteins/HDLs (PubMed : 10533863, PubMed : 14754908, PubMed : 24097981, PubMed : 35974019). Translocates phospholipids from the outer face of the plasma membrane and forces it through its gateway and annulus into an elongated hydrophobic tunnel in its extracellular domain (PubMed : 35974019).
See full target information ABCA1

Publications (72)

Recent publications for all applications. Explore the full list and refine your search

iScience 28:113405 PubMed40978144

2025

Histone demethylase LSD1 regulates lipid homeostasis during infection.

Applications

Unspecified application

Species

Unspecified reactive species

Gaurav Kumar Lohia,Awantika Shah,Kithiganahalli Narayanaswamy Balaji

Amino acids 57:42 PubMed40844715

2025

IGF2BP1-mediated methylation of ABCA1 facilitates tumor progression by affecting cholesterol metabolism in lung adenocarcinoma.

Applications

Unspecified application

Species

Unspecified reactive species

Shaohua Xu,Kai Liu,Zhao Chen,Weijian Tang,Zhoumiao Chen

Scientific reports 15:15051 PubMed40301465

2025

ApoE4 requires lipidation enhancement to resolve cellular lipid and protein abnormalities following NPC1 inhibition.

Applications

Unspecified application

Species

Unspecified reactive species

Erika Di Biase,Kyle J Connolly,Ingrid Crumpton,Oliver Cooper,Penelope J Hallett,Ole Isacson

iScience 27:109849 PubMed38784008

2024

TUDCA alleviates atherosclerosis by inhibiting AIM2 inflammasome and enhancing cholesterol efflux capacity in macrophage.

Applications

Unspecified application

Species

Unspecified reactive species

Xuyang Wang,Yuesheng Zhang,Luping Du,Zhengchen Jiang,Yan Guo,Kai Wang,Yijiang Zhou,Xiang Yin,Xiaogang Guo

Cells 12: PubMed37947642

2023

Loss of Lipid Carrier ApoE Exacerbates Brain Glial and Inflammatory Responses after Lysosomal GBA1 Inhibition.

Applications

Unspecified application

Species

Unspecified reactive species

Kyle J Connolly,Juliette Margaria,Erika Di Biase,Oliver Cooper,Penelope J Hallett,Ole Isacson

Biomedicines 11: PubMed38001931

2023

Atheroprotective Effect of Fucoidan in THP-1 Macrophages by Potential Upregulation of ABCA1.

Applications

Unspecified application

Species

Unspecified reactive species

Zeenat Mirza,Dalal A Al-Saedi,Salma Saddeek,Sanaa Almowallad,Rehab F AlMassabi,Etimad Huwait

Journal of clinical periodontology 50:1553-1567 PubMed37621247

2023

Oral Porphyromonas gingivalis infection affects intestinal microbiota and promotes atherosclerosis.

Applications

Unspecified application

Species

Unspecified reactive species

Sowon Park,Inyoung Kim,Soo Jung Han,Soyeon Kwon,Eun-Ji Min,Wonkyoung Cho,Hong Koh,Bon-Nyeo Koo,Jung Seok Lee,Jae-Sung Kwon,Kyoung Yul Seo,Jong-Won Ha,Young Mi Park

Antioxidants (Basel, Switzerland) 12: PubMed37507992

2023

Interactions between Angiotensin Type-1 Antagonists, Statins, and ROCK Inhibitors in a Rat Model of L-DOPA-Induced Dyskinesia.

Applications

Unspecified application

Species

Unspecified reactive species

Andrea Lopez-Lopez,Rita Valenzuela,Ana Isabel Rodriguez-Perez,María J Guerra,Jose Luis Labandeira-Garcia,Ana Muñoz

Animals : an open access journal from MDPI 13: PubMed37174472

2023

Initial Characterization of 3D Culture of Yolk Sac Tissue.

Applications

Unspecified application

Species

Unspecified reactive species

Vitória Mattos Pereira,Priscila Avelino Ferreira Pinto,Lina Castelo Branco Motta,Matheus F Almeida,André Furugen Cesar de Andrade,Ana Paula Pinoti Pavaneli,Carlos Eduardo Ambrósio

Frontiers in immunology 13:999871 PubMed36172348

2022

Manipulation of tissue factor-mediated basal PAR-2 signalling on macrophages determines sensitivity for IFNγ responsiveness and significantly modifies the phenotype of murine DTH.

Applications

Unspecified application

Species

Unspecified reactive species

Hannah Wilkinson,Hugh Leonard,Michael G Robson,Richard Smith,ElLi Tam,John H McVey,Daniel Kirckhofer,Daxin Chen,Anthony Dorling
View all publications

Product promise

We are committed to supporting your work with high-quality reagents, and we're here for you every step of the way. In the unlikely event that one of our products does not perform as expected, you're protected by our Product Promise.
For full details, please see our Terms & Conditions

Please note: All products are 'FOR RESEARCH USE ONLY. NOT FOR USE IN DIAGNOSTIC OR THERAPEUTIC PROCEDURES'.

For licensing inquiries, please contact partnerships@abcam.com