JavaScript is disabled in your browser. Please enable JavaScript to view this website.
AB307536

Anti-ABCA1 antibody [EPR27494-57]

Be the first to review this product! Submit a review

|

(2 Publications)

Rabbit Recombinant Monoclonal ABCA1 antibody. Suitable for WB and reacts with Human, Mouse samples. Cited in 2 publications.

View Alternative Names

ABC1, CERP, ABCA1, Phospholipid-transporting ATPase ABCA1, ATP-binding cassette sub-family A member 1, ATP-binding cassette transporter 1, Cholesterol efflux regulatory protein, ABC-1, ATP-binding cassette 1

4 Images
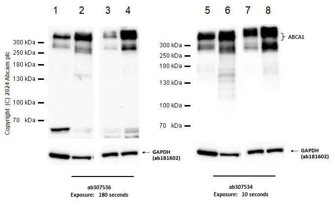
Western blot - Anti-ABCA1 antibody [EPR27494-57] (AB307536)
  • WB

Lab

Western blot - Anti-ABCA1 antibody [EPR27494-57] (AB307536)

Blocking and dilution buffer : 5% NFDM/TBST.

Exposure : lanes 1-4 : 180 seconds; lanes : 5-8; 10 seconds

The higher band is probably glycosylated form (PMID : 16873719).

Compared with ab307536, ab307534 has higher sensitivity.

We recommend ab307534 as an alternative in testing human lysate, or optimize experimental protocols (increasing lysate amount, using lower dilution or higher sensitivity ECL substrate) to get visible band.

Lanes 1 - 4:

Western blot - Anti-ABCA1 antibody [EPR27494-57] (ab307536) at 1/1000 dilution

Lanes 5 - 8:

Western blot - Anti-ABCA1 antibody [EPR27494-51] (<a href='/en-us/products/primary-antibodies/abca1-antibody-epr27494-51-ab307534'>ab307534</a>) at 1/1000 dilution

Lane 6:

THP-1 treated first with 100ng/ml PAM for 72 hours and then replaced with 100ng/ml LPS for 5 hours, 300ng/ml BFA was then added for additional 3 hours whole cell lysate at 20 µg

Lane 7:

Untreated HepG2 (Human hepatocellular carcinoma epithelial cell) whole cell lysate at 20 µg

Lanes 1 and 5:

Untreated THP-1 (Human monocytic leukemia monocyte) whole cell lysate at 20 µg

Lane 2:

THP-1 treated first with 100ng/ml PAM for 72 hours and then replaced with 100ng/ml LPS for 5 hours, 300ng/ml BFA was then added for additional 3 hours whole cell lysate at 20 µg

Lane 3:

Untreated HepG2 (Human hepatocellular carcinoma epithelial cell) whole cell lysate at 20 µg

Lanes 4 and 8:

HepG2 treated with 20uM T0901317 for 16 hours whole cell lysate at 20 µg

Secondary

All lanes:

Western blot - Goat Anti-Rabbit IgG H&L (HRP) (<a href='/en-us/products/secondary-antibodies/goat-rabbit-igg-h-l-hrp-ab97051'>ab97051</a>) at 1/20000 dilution

Predicted band size: 254 kDa

Observed band size: 254 kDa,400 kDa

false

Western blot - Anti-ABCA1 antibody [EPR27494-57] (AB307536)
  • WB

Supplier Data

Western blot - Anti-ABCA1 antibody [EPR27494-57] (AB307536)

Blocking and diluting buffer and concentration : 5% NFDM/TBSTNegative control : 293T(PMID : 11896206), SH-SY5Y(PMID : 23600914) Bands around 500 kDa may due to aggregation (PMID : 31641056, PMID : 29103206). Bands below 260 kDa may due to degradation. Samples are non-boiled as boiling may cause protein aggregates. Exposure time : 48 seconds

All lanes:

Western blot - Anti-ABCA1 antibody [EPR27494-57] (ab307536) at 1/1000 dilution

Lane 1:

HepG2 (human hepatocellar carcinoma epithelial cell) whole cell lysate 40 μg

Lane 2:

U-87 MG (human glioblastoma-astrocytoma epithelial cell) whole cell lysate 40 μg

Lane 3:

293T (human embryonic kidney epithelial cell) whole cell lysate 40 μg

Lane 4:

SH-SY5Y (human neuroblastoma epithelial cell) whole cell lysate 40 μg

Secondary

All lanes:

Western blot - Goat Anti-Rabbit IgG H&L (HRP) (<a href='/en-us/products/secondary-antibodies/goat-rabbit-igg-h-l-hrp-ab97051'>ab97051</a>) at 1/100000 dilution

Observed band size: 260 kDa

false

Exposure time: 48s

Western blot - Anti-ABCA1 antibody [EPR27494-57] (AB307536)
  • WB

Supplier Data

Western blot - Anti-ABCA1 antibody [EPR27494-57] (AB307536)

Blocking and diluting buffer and concentration : 5% NFDM/TBSTABCA1 expression was increased after treatment with the nonsteroidal LXR agonist T0901317 (PMID : 12384498). Bands around 500 kDa may due to aggregation (PMID : 31641056, PMID : 29103206). Samples are non-boiled as boiling may cause protein aggregates. Exposure time : Lanes 1 : 37 seconds, Lane 2 and 3 : 103 seconds.

All lanes:

Western blot - Anti-ABCA1 antibody [EPR27494-57] (ab307536) at 1/1000 dilution

Lane 1:

Mouse liver tissue lysate 50 μg

Lane 2:

Untreated Neuro-2a (mouse neuroblastoma neuroblast) whole cell lysate 40 μg

Lane 3:

Neuro-2a treated with 1uM T0901317 for 24 hours whole cell lysate 40 μg

Secondary

All lanes:

Western blot - Goat Anti-Rabbit IgG H&L (HRP) (<a href='/en-us/products/secondary-antibodies/goat-rabbit-igg-h-l-hrp-ab97051'>ab97051</a>) at 1/100000 dilution

Observed band size: 260 kDa

false

Exposure time: 37s

Western blot - Anti-ABCA1 antibody [EPR27494-57] (AB307536)
  • WB

Supplier Data

Western blot - Anti-ABCA1 antibody [EPR27494-57] (AB307536)

Blocking and diluting buffer and concentration : 5% NFDM/TBSTThis antibody does not cross-react with human ABCA3, ABCA4 and ABCA7. Samples are non-boiled as boiling may cause protein aggregates. Exposure time : 15 seconds

All lanes:

Western blot - Anti-ABCA1 antibody [EPR27494-57] (ab307536) at 1/1000 dilution

Lane 1:

293T (human embryonic kidney epithelial cell) whole cell lysate 20 μg

Lane 2:

293T cells transfected with an empty vector containi a myc-his tag whole cell lysate 20 μg

Lane 3:

293T cells transfected with a human CA1 expression vector containi a myc-his tag whole cell lysate 10 μg

Lane 4:

293T cells transfected with a human CA3 expression vector containi a myc-his tag whole cell lysate 36 μg

Lane 5:

293T cells transfected with a human CA4 expression vector containi a myc-his tag whole cell lysate 4 μg

Lane 6:

293T cells transfected with a human CA7 expression vector containi a myc-his tag whole cell lysate 4 μg

Secondary

All lanes:

Western blot - Goat Anti-Rabbit IgG H&L (HRP) (<a href='/en-us/products/secondary-antibodies/goat-rabbit-igg-h-l-hrp-ab97051'>ab97051</a>) at 1/100000 dilution

Observed band size: 260 kDa

false

Exposure time: 15s

  • Carrier free

    Anti-ABCA1 antibody [EPR27494-57] - BSA and Azide free

Key facts

Host species

Rabbit

Clonality

Monoclonal

Clone number

EPR27494-57

Isotype

IgG

Carrier free

No

Reacts with

Mouse, Human

Applications

WB

applications

Immunogen

The exact immunogen used to generate this antibody is proprietary information.

Reactivity data

{ "title": "Reactivity Data", "filters": { "stats": ["", "Species", "Dilution Info", "Notes"], "tabs": { "all-applications": {"fullname" : "All Applications", "shortname": "All Applications"}, "IP" : {"fullname" : "Immunoprecipitation", "shortname":"IP"}, "FlowCyt" : {"fullname" : "Flow Cytometry", "shortname":"Flow Cyt"}, "ICCIF" : {"fullname" : "Immunocytochemistry/ Immunofluorescence", "shortname":"ICC/IF"}, "IHCFr" : {"fullname" : "Immunohistochemistry (Frozen sections)", "shortname":"IHC-Fr"}, "IHCP" : {"fullname" : "Immunohistochemistry (Formalin/PFA-fixed paraffin-embedded sections)", "shortname":"IHC-P"}, "WB" : {"fullname" : "Western blot", "shortname":"WB"} }, "product-promise": { "all": "all", "testedAndGuaranteed": "tested", "guaranteed": "expected", "predicted": "predicted", "notRecommended": "not-recommended" } }, "values": { "Human": { "IP-species-checked": "notRecommended", "IP-species-dilution-info": "", "IP-species-notes": "<p></p>", "FlowCyt-species-checked": "notRecommended", "FlowCyt-species-dilution-info": "", "FlowCyt-species-notes": "<p></p>", "ICCIF-species-checked": "notRecommended", "ICCIF-species-dilution-info": "", "ICCIF-species-notes": "<p></p>", "IHCFr-species-checked": "notRecommended", "IHCFr-species-dilution-info": "", "IHCFr-species-notes": "", "IHCP-species-checked": "notRecommended", "IHCP-species-dilution-info": "", "IHCP-species-notes": "<p></p>", "WB-species-checked": "testedAndGuaranteed", "WB-species-dilution-info": "1/1000", "WB-species-notes": "<p>We recommend not to boil your lysates before loading to gel when preparing membrane used for western blot. Boiling leads to the formation of aggregates of membrane proteins, leading to unsuccessful migration in gel. Please do not boil your lysate when testing membrane protein.</p>" }, "Mouse": { "IP-species-checked": "notRecommended", "IP-species-dilution-info": "", "IP-species-notes": "<p></p>", "FlowCyt-species-checked": "notRecommended", "FlowCyt-species-dilution-info": "", "FlowCyt-species-notes": "<p></p>", "ICCIF-species-checked": "notRecommended", "ICCIF-species-dilution-info": "", "ICCIF-species-notes": "<p></p>", "IHCFr-species-checked": "notRecommended", "IHCFr-species-dilution-info": "", "IHCFr-species-notes": "<p></p>", "IHCP-species-checked": "notRecommended", "IHCP-species-dilution-info": "", "IHCP-species-notes": "<p></p>", "WB-species-checked": "testedAndGuaranteed", "WB-species-dilution-info": "1/1000", "WB-species-notes": "<p>We recommend not to boil your lysates before loading to gel when preparing membrane used for western blot. Boiling leads to the formation of aggregates of membrane proteins, leading to unsuccessful migration in gel. Please do not boil your lysate when testing membrane protein.</p>" }, "Rat": { "IP-species-checked": "notRecommended", "IP-species-dilution-info": "", "IP-species-notes": "", "FlowCyt-species-checked": "notRecommended", "FlowCyt-species-dilution-info": "", "FlowCyt-species-notes": "", "ICCIF-species-checked": "notRecommended", "ICCIF-species-dilution-info": "", "ICCIF-species-notes": "", "IHCFr-species-checked": "notRecommended", "IHCFr-species-dilution-info": "", "IHCFr-species-notes": "<p></p>", "IHCP-species-checked": "notRecommended", "IHCP-species-dilution-info": "", "IHCP-species-notes": "<p></p>", "WB-species-checked": "notRecommended", "WB-species-dilution-info": "1/1000", "WB-species-notes": "<p>We recommend not to boil your lysates before loading to gel when preparing membrane used for western blot. Boiling leads to the formation of aggregates of membrane proteins, leading to unsuccessful migration in gel. Please do not boil your lysate when testing membrane protein.</p>" } } }

Product details

Patented technology
Our RabMAb® technology is a patented hybridoma-based technology for making rabbit monoclonal antibodies. For details on our patents, please refer to RabMAb® patents.

What are the advantages of a recombinant monoclonal antibody?
This product is a recombinant monoclonal antibody, which offers several advantages including:

  • - High batch-to-batch consistency and reproducibility
  • - Improved sensitivity and specificity
  • - Long-term security of supply
  • - Animal-free batch production

For more information, read more on recombinant antibodies.

Properties and storage information

Form
Liquid
Purification technique
Affinity purification Protein A
Storage buffer
pH: 7.2 - 7.4 Preservative: 0.01% Sodium azide Constituents: PBS, 40% Glycerol (glycerin, glycerine), 0.05% BSA
Shipped at conditions
Blue Ice
Appropriate short-term storage duration
1-2 weeks
Appropriate short-term storage conditions
+4°C
Appropriate long-term storage conditions
-20°C
Aliquoting information
Upon delivery aliquot
Storage information
Avoid freeze / thaw cycle

Supplementary information

This supplementary information is collated from multiple sources and compiled automatically.

The ABCA1 protein also known as ATP-binding cassette transporter A1 plays an important role in lipid transport processes. It helps in the export of cholesterol and phospholipids to apolipoprotein A-I which is essential for high-density lipoprotein (HDL) formation. The ABCA1 molecular weight is approximately 220 kDa. This protein is widely expressed in various tissues including the liver lungs and intestines indicating its systemic role in lipid metabolism. Researchers often study ABCA1 using techniques like ABCA1 ELISA and H10 flow cytometry.
Biological function summary

ABCA1 functions as a cholesterol efflux pump in the cellular membrane. It facilitates the transfer of cholesterol to lipid-poor apolipoproteins such as apoA-I which then forms HDL particles. This active process helps maintain cellular cholesterol homeostasis and reduces cholesterol accumulation. ABCA1 is a critical component of the HDL synthesis pathway and does not form part of a larger protein complex acting more as an individual unit in this function.

Pathways

Many regulatory mechanisms control the activity of ABCA1. It plays a significant role in the reverse cholesterol transport pathway thereby promoting the movement of cholesterol away from peripheral tissues back to the liver for excretion. This pathway helps maintain systemic lipid balance. The LXR/RXR pathway regulates ABCA1 expression aligning it closely with other proteins such as LXR and ABCG1 which also deal with cholesterol metabolism.

ABCA1 is intimately connected with atherosclerosis and Tangier disease. Dysfunction or mutations in the ABCA1 gene lead to impaired cholesterol efflux contributing to cholesterol build-up and atherosclerotic plaque formation. Tangier disease a rare genetic disorder arises from severe mutations in ABCA1 resulting in very low levels of HDL cholesterol. This protein's role in disease is often studied alongside proteins such as apoA-I and LDL receptors which influence cholesterol transportation and storage.

Product protocols

For this product, it's our understanding that no specific protocols are required. You can visit:

Target data

Catalyzes the translocation of specific phospholipids from the cytoplasmic to the extracellular/lumenal leaflet of membrane coupled to the hydrolysis of ATP (PubMed : 24097981, PubMed : 35974019). Thereby, participates in phospholipid transfer to apolipoproteins to form nascent high density lipoproteins/HDLs (PubMed : 14754908). Transports preferentially phosphatidylcholine over phosphatidylserine (PubMed : 24097981). May play a similar role in the efflux of intracellular cholesterol to apolipoproteins and the formation of nascent high density lipoproteins/HDLs (PubMed : 10533863, PubMed : 14754908, PubMed : 24097981, PubMed : 35974019). Translocates phospholipids from the outer face of the plasma membrane and forces it through its gateway and annulus into an elongated hydrophobic tunnel in its extracellular domain (PubMed : 35974019).
See full target information ABCA1

Publications (2)

Recent publications for all applications. Explore the full list and refine your search

Journal of neuroinflammation 22:197 PubMed40750890

2025

Dihydroartemisinin enhances remyelination by switching microglia to the reparative phenotype.

Applications

Unspecified application

Species

Unspecified reactive species

Li Liu,Lina Yang,Xinke Du,Xiaoxi Kan,Qingsen Ran,Yang Zhang,Manjing Li,Qingwu Liu,Yujie Li,Qing Yang,Ying Chen,Keshan Dong,Xiaoxin Zhu,Qi Li

Aging and disease 16:1769-1784 PubMed39012677

2024

Dysregulation of Lipid Metabolism Serves as A Link Between Alzheimer's and Cardiovascular Disease, As Witnessed in A Cross-Sectional Study.

Applications

Unspecified application

Species

Unspecified reactive species

Laura Mourino-Alvarez,Cristina Juarez-Alia,Tamara Sastre-Oliva,Inés Perales-Sánchez,German Hernandez-Fernandez,Eduardo Chicano-Galvez,Ángela Peralbo-Molina,Felipe Madruga,Emilio Blanco-Lopez,Teresa Tejerina,María G Barderas
View all publications

Product promise

We are committed to supporting your work with high-quality reagents, and we're here for you every step of the way. In the unlikely event that one of our products does not perform as expected, you're protected by our Product Promise.
For full details, please see our Terms & Conditions

Please note: All products are 'FOR RESEARCH USE ONLY. NOT FOR USE IN DIAGNOSTIC OR THERAPEUTIC PROCEDURES'.

For licensing inquiries, please contact partnerships@abcam.com