JavaScript is disabled in your browser. Please enable JavaScript to view this website.
AB66217

Anti-ABCA1 antibody [HJ1]

3

(3 Reviews)

|

(35 Publications)

Mouse Monoclonal ABCA1 antibody. Suitable for IHC-P, Flow Cyt, WB and reacts with Human, Mouse, Rat samples. Cited in 35 publications.

View Alternative Names

ABC1, CERP, ABCA1, Phospholipid-transporting ATPase ABCA1, ATP-binding cassette sub-family A member 1, ATP-binding cassette transporter 1, Cholesterol efflux regulatory protein, ABC-1, ATP-binding cassette 1

7 Images
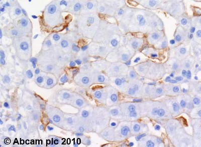
Immunohistochemistry (Formalin/PFA-fixed paraffin-embedded sections) - Anti-ABCA1 antibody [HJ1] (AB66217)
  • IHC-P

Supplier Data

Immunohistochemistry (Formalin/PFA-fixed paraffin-embedded sections) - Anti-ABCA1 antibody [HJ1] (AB66217)

ab66217 (4µg/ml) staining ABCA1 in human liver using an automated system (DAKO Autostainer Plus). Using this protocol there is moderate cell membrane staining throughout the liver parenchyma.

Sections were rehydrated and antigen retrieved with the Dako 3 in 1 AR buffer EDTA pH 9.0 in a DAKO PT link. Slides were peroxidase blocked in 3% H2O2 in methanol for 10 mins. They were then blocked with Dako Protein block for 10 minutes (containing casein 0.25% in PBS) then incubated with primary antibody for 20 min and detected with Dako Envision Flex amplification kit for 30 minutes. Colorimetric detection was completed with Diaminobenzidine for 5 minutes. Slides were counterstained with Haematoxylin and coverslipped under DePeX. Please note that, for manual staining, optimization of primary antibody concentration and incubation time is recommended. Signal amplification may be required.

Immunohistochemistry (Formalin/PFA-fixed paraffin-embedded sections) - Anti-ABCA1 antibody [HJ1] (AB66217)
  • IHC-P

Supplier Data

Immunohistochemistry (Formalin/PFA-fixed paraffin-embedded sections) - Anti-ABCA1 antibody [HJ1] (AB66217)

IHC image of ABCA1 staining in human liver formalin fixed paraffin embedded tissue section, performed on a Leica BondTM system using the standard protocol F. The section was pre-treated using heat mediated antigen retrieval with sodium citrate buffer (pH6, epitope retrieval solution 1) for 20 mins. The section was then incubated with ab66217, 0.2µg/ml, for 15 mins at room temperature and detected using an HRP conjugated compact polymer system. DAB was used as the chromogen. The section was then counterstained with haematoxylin and mounted with DPX.

For other IHC staining systems (automated and non-automated) customers should optimize variable parameters such as antigen retrieval conditions, primary antibody concentration and antibody incubation times.

Flow Cytometry (Intracellular) - Anti-ABCA1 antibody [HJ1] (AB66217)
  • Flow Cyt (Intra)

Lab

Flow Cytometry (Intracellular) - Anti-ABCA1 antibody [HJ1] (AB66217)

Flow cytometry overlay histogram showing Hep G2 cells stained with ab66217 (red line). The cells were fixed with 80% methanol (5 min) and then permeabilised with 0.1% PBS-Triton X-100 for 15 min. The cells were incubated in 1x PBS containing 10%; normal goat serum to block non-specific protein-protein interaction followed by the antibody (ab66217) (1x 106 in 100 μl at 5.0 μg/ml (1/0)) for 30 min at 22°C.

The secondary antibody Goat Anti-Mouse IgG H&L (Alexa Fluor® 488) preadsorbed was incubated at 1/4000 for 30min at 22°C

Isotype control antibody (black line) was Mouse IgG2b, kappa monoclonal [7E10G10] - Isotype Control used at the same concentration and conditions as the primary antibody. Unlabelled sample (blue line) was also used as a control.

Acquisition of >5000 events were collected using a 50 mW Blue laser (488nm) and 525/40 bandpass filter.

Western blot - Anti-ABCA1 antibody [HJ1] (AB66217)
  • WB

Supplier Data

Western blot - Anti-ABCA1 antibody [HJ1] (AB66217)

Blocking and diluting buffer : 5% NFDM/TBST.

ab129002 was used as a loading control at 1/10000 dilution, followed by a secondary antibody ab97051 at 1/20000 dilution.

Negative control : 293T (PMID : 11896206), SH-SY5Y (PMID : 23600914).

Samples are non-boiled as boiling may cause protein aggregates.

All lanes:

Western blot - Anti-ABCA1 antibody [HJ1] (ab66217) at 1/1000 dilution

Lane 1:

U-87 MG (human glioblastoma-astrocytoma epithelial cell) whole cell lysate at 20 µg

Lane 2:

293T (human embryonic kidney epithelial cell) whole cell lysate at 20 µg

Lane 3:

SH-SY5Y (human neuroblastoma epithelial cell) whole cell lysate at 20 µg

Secondary

Lanes 1 - 3:

Western blot - Goat Anti-Rabbit IgG H&L (HRP) (<a href='/en-us/products/secondary-antibodies/goat-rabbit-igg-h-l-hrp-ab97051'>ab97051</a>) at 1/20000 dilution

Lanes 1 - 3:

Peroxidase-Conjugated Goat anti-Mouse IgG (H+L) at 1/5000 dilution

Predicted band size: 254 kDa

Observed band size: 254 kDa

false

Exposure time: 10s

Western blot - Anti-ABCA1 antibody [HJ1] (AB66217)
  • WB

Supplier Data

Western blot - Anti-ABCA1 antibody [HJ1] (AB66217)

Lane 1 : Wild type HAP1 whole cell lysate (20 μg)
Lane 2 : Empty
Lane 3 : ABCA1 knockout (KO) HAP1 whole cell lysate (20 μg)

Lanes 1 - 3 : Merged signal (red and green). Green - ab66217 observed at 240 kDa. Red - loading control, ab176560, observed at 50 kDa.

ab66217 detected the expected band for ABCA1 in wild type HAP1 cells and the band was not seen in ABCA1 knockout HAP1 cells, although additional non-specific bands were also seen. Wild-type and ABCA1 knockout samples were subjected to SDS-PAGE. ab66217 and ab176560 (Rabbit anti alpha Tubulin loading control) were incubated overnight at 4°C at 1 μg/ml and 1/10000 dilution respectively. Blots were developed with Goat anti-Mouse IgG H&L (IRDye® 800CW) preabsorbed ab216772 and Goat anti-Rabbit IgG H&L (IRDye® 680RD) preabsorbed ab216777 secondary antibodies at 1/10000 dilution for 1 hour at room temperature before imaging.

All lanes:

Western blot - Anti-ABCA1 antibody [HJ1] (ab66217)

Predicted band size: 254 kDa

false

Western blot - Anti-ABCA1 antibody [HJ1] (AB66217)
  • WB

Supplier Data

Western blot - Anti-ABCA1 antibody [HJ1] (AB66217)

Blocking and diluting buffer : 5% NFDM/TBST.

ab129002 was used as a loading control at 1/10000 dilution, followed by a secondary antibody ab97051 at 1/20000 dilution.

The higher band is probably glycosylated form (PMID : 16873719).

All lanes:

Western blot - Anti-ABCA1 antibody [HJ1] (ab66217) at 1/1000 dilution

Lane 1:

Untreated THP-1 (Human monocytic leukemia monocyte) whole cell lysate at 20 µg

Lane 2:

THP-1 treated first with 100ng/ml PAM for 72 hours and then replaced with 100ng/ml LPS for 5 hours, 300ng/ml BFA was then added for additional 3 hours whole cell lysate at 20 µg

Lane 3:

Untreated HepG2 (Human hepatocellular carcinoma epithelial cell) whole cell lysate at 20 µg

Lane 4:

HepG2 treated with 20uM T0901317 for 16 hours whole cell lysate at 20 µg

Secondary

Lanes 1 - 3:

Western blot - Goat Anti-Rabbit IgG H&L (HRP) (<a href='/en-us/products/secondary-antibodies/goat-rabbit-igg-h-l-hrp-ab97051'>ab97051</a>) at 1/20000 dilution

Lanes 1 - 3:

Peroxidase-Conjugated Goat anti-Mouse IgG (H+L) at 1/5000 dilution

Predicted band size: 254 kDa

Observed band size: 254 kDa,400 kDa

false

Exposure time: 20s

Western blot - Anti-ABCA1 antibody [HJ1] (AB66217)
  • WB

Project

Western blot - Anti-ABCA1 antibody [HJ1] (AB66217)

Abcam recommends using milk as the blocking agent. This blot was produced using a 3-8% Tris Acetate gel under the TA buffer system. The gel was run at 150V for 60 minutes before being transferred onto a Nitrocellulose membrane at 30V for 70 minutes. The membrane was then blocked for an hour using 3% Milk before being incubated with ab66217 overnight at 4°C. Antibody binding was detected using an anti-mouse antibody conjugated to HRP, and visualised using ECL development solution.

All lanes:

Western blot - Anti-ABCA1 antibody [HJ1] (ab66217) at 1 µg/mL

Lane 1:

Brain (Mouse) Tissue Lysate at 20 µg

Lane 2:

Brain (Rat) Tissue Lysate at 20 µg

Lane 3:

HepG2 (Human hepatocellular liver carcinoma cell line) Whole Cell Lysate at 20 µg

Lane 4:

Liver (Mouse) Tissue Lysate at 20 µg

Lane 5:

Liver (Rat) Tissue Lysate at 20 µg

Secondary

All lanes:

Goat polyclonal Secondary Antibody to Mouse IgG - H&L (HRP), pre-adsorbed at 1/5000 dilution

Predicted band size: 254 kDa

Observed band size: 254 kDa,70 kDa

false

Exposure time: 4min

Key facts

Host species

Mouse

Clonality

Monoclonal

Clone number

HJ1

Isotype

IgG2b

Light chain type

kappa

Carrier free

No

Reacts with

Mouse, Rat, Human

Applications

WB, Flow Cyt, IHC-P

applications

Immunogen

The exact immunogen used to generate this antibody is proprietary information.

Reactivity data

{ "title": "Reactivity Data", "filters": { "stats": ["", "Species", "Dilution Info", "Notes"], "tabs": { "all-applications": {"fullname" : "All Applications", "shortname": "All Applications"}, "IHCP" : {"fullname" : "Immunohistochemistry (Formalin/PFA-fixed paraffin-embedded sections)", "shortname":"IHC-P"}, "FlowCyt" : {"fullname" : "Flow Cytometry", "shortname":"Flow Cyt"}, "WB" : {"fullname" : "Western blot", "shortname":"WB"} }, "product-promise": { "all": "all", "testedAndGuaranteed": "tested", "guaranteed": "expected", "predicted": "predicted", "notRecommended": "not-recommended" } }, "values": { "Human": { "IHCP-species-checked": "testedAndGuaranteed", "IHCP-species-dilution-info": "0.2 µg/mL", "IHCP-species-notes": "<p></p> Perform heat-mediated antigen retrieval with citrate buffer pH 6 before commencing with IHC staining protocol.", "FlowCyt-species-checked": "testedAndGuaranteed", "FlowCyt-species-dilution-info": "2 µg for 10^6 Cells", "FlowCyt-species-notes": "<p>(methanol fixed cells)</p><p><a href='/en-us/products/primary-antibodies/mouse-igg2b-kappa-monoclonal-7e10g10-isotype-control-ab170192'>ab170192</a> - Mouse monoclonal IgG2b, is suitable for use as an isotype control with this antibody.</p>", "WB-species-checked": "testedAndGuaranteed", "WB-species-dilution-info": "1/999", "WB-species-notes": "<p></p>" }, "Mouse": { "IHCP-species-checked": "guaranteed", "IHCP-species-dilution-info": "", "IHCP-species-notes": "", "FlowCyt-species-checked": "guaranteed", "FlowCyt-species-dilution-info": "", "FlowCyt-species-notes": "", "WB-species-checked": "testedAndGuaranteed", "WB-species-dilution-info": "1 µg/mL", "WB-species-notes": "<p>Abcam recommends using 3% Milk as the blocking agent.</p>" }, "Rat": { "IHCP-species-checked": "guaranteed", "IHCP-species-dilution-info": "", "IHCP-species-notes": "", "FlowCyt-species-checked": "guaranteed", "FlowCyt-species-dilution-info": "", "FlowCyt-species-notes": "", "WB-species-checked": "testedAndGuaranteed", "WB-species-dilution-info": "1 µg/mL", "WB-species-notes": "<p>Abcam recommends using 3% Milk as the blocking agent.</p>" } } }

Product details

This monoclonal antibody to ABCA1 has been knockout validated in Western blot. The expected band for ABCA1 was observed in wild type cells and the band was not seen in knockout cells, although other non-specific bands were also seen. The data are shown on this datasheet.

Want a custom formulation?
This antibody clone is manufactured by Abcam. If you require a custom buffer formulation or conjugation for your experiments, please contact orders@abcam.com

Properties and storage information

Form
Liquid
Purification technique
Affinity purification
Storage buffer
pH: 7.4 Preservative: 0.02% Sodium azide Constituents: PBS, 6.97% L-Arginine
Shipped at conditions
Blue Ice
Appropriate short-term storage duration
1-2 weeks
Appropriate short-term storage conditions
+4°C
Appropriate long-term storage conditions
-20°C
Aliquoting information
Upon delivery aliquot
Storage information
Avoid freeze / thaw cycle

Supplementary information

This supplementary information is collated from multiple sources and compiled automatically.

The ABCA1 protein also known as ATP-binding cassette transporter A1 plays an important role in lipid transport processes. It helps in the export of cholesterol and phospholipids to apolipoprotein A-I which is essential for high-density lipoprotein (HDL) formation. The ABCA1 molecular weight is approximately 220 kDa. This protein is widely expressed in various tissues including the liver lungs and intestines indicating its systemic role in lipid metabolism. Researchers often study ABCA1 using techniques like ABCA1 ELISA and H10 flow cytometry.
Biological function summary

ABCA1 functions as a cholesterol efflux pump in the cellular membrane. It facilitates the transfer of cholesterol to lipid-poor apolipoproteins such as apoA-I which then forms HDL particles. This active process helps maintain cellular cholesterol homeostasis and reduces cholesterol accumulation. ABCA1 is a critical component of the HDL synthesis pathway and does not form part of a larger protein complex acting more as an individual unit in this function.

Pathways

Many regulatory mechanisms control the activity of ABCA1. It plays a significant role in the reverse cholesterol transport pathway thereby promoting the movement of cholesterol away from peripheral tissues back to the liver for excretion. This pathway helps maintain systemic lipid balance. The LXR/RXR pathway regulates ABCA1 expression aligning it closely with other proteins such as LXR and ABCG1 which also deal with cholesterol metabolism.

ABCA1 is intimately connected with atherosclerosis and Tangier disease. Dysfunction or mutations in the ABCA1 gene lead to impaired cholesterol efflux contributing to cholesterol build-up and atherosclerotic plaque formation. Tangier disease a rare genetic disorder arises from severe mutations in ABCA1 resulting in very low levels of HDL cholesterol. This protein's role in disease is often studied alongside proteins such as apoA-I and LDL receptors which influence cholesterol transportation and storage.

Product protocols

For this product, it's our understanding that no specific protocols are required. You can visit:

Target data

Catalyzes the translocation of specific phospholipids from the cytoplasmic to the extracellular/lumenal leaflet of membrane coupled to the hydrolysis of ATP (PubMed : 24097981, PubMed : 35974019). Thereby, participates in phospholipid transfer to apolipoproteins to form nascent high density lipoproteins/HDLs (PubMed : 14754908). Transports preferentially phosphatidylcholine over phosphatidylserine (PubMed : 24097981). May play a similar role in the efflux of intracellular cholesterol to apolipoproteins and the formation of nascent high density lipoproteins/HDLs (PubMed : 10533863, PubMed : 14754908, PubMed : 24097981, PubMed : 35974019). Translocates phospholipids from the outer face of the plasma membrane and forces it through its gateway and annulus into an elongated hydrophobic tunnel in its extracellular domain (PubMed : 35974019).
See full target information ABCA1

Publications (35)

Recent publications for all applications. Explore the full list and refine your search

Biomolecules 15: PubMed40867523

2025

Artesunate Ameliorates SLE Atherosclerosis Through PPARγ-Driven Cholesterol Efflux Restoration and Disruption of Lipid Raft-Organized TLR9/MyD88 Signaling Pathway.

Applications

Unspecified application

Species

Unspecified reactive species

Miao Zhang,Xinyu Pan,Yuanfang He,Kairong Sun,Zhiyu Wang,Weiyu Tian,Haonan Qiu,Yiqi Wang,Chengping Wen,Juan Chen

Molecular medicine (Cambridge, Mass.) 31:243 PubMed40537740

2025

Dehydrocostus lactone attenuates atherogenesis by promoting cholesterol efflux and inhibiting inflammation via TLR2/PPAR-γ/NF-κB signaling pathway.

Applications

Unspecified application

Species

Unspecified reactive species

Weitao Hong,Xiaojia Chen,Jiahai Xiao,Gengji Chen,Jiali Yang,Pengfei Zhang,Zhizhen Zhang

Molecular medicine (Cambridge, Mass.) 31:99 PubMed40087552

2025

LXRα agonists ameliorates acute rejection after liver transplantation via ABCA1/MAPK and PI3K/AKT/mTOR signaling axis in macrophages.

Applications

Unspecified application

Species

Unspecified reactive species

Xiaoyan Qin,Dingheng Hu,Qi Li,Shiyi Zhang,Zheng Qin,Liangxu Wang,Rui Liao,Zhongjun Wu,Yanyao Liu

Translational neurodegeneration 13:52 PubMed39468688

2024

TRPV1 alleviates APOE4-dependent microglial antigen presentation and T cell infiltration in Alzheimer's disease.

Applications

Unspecified application

Species

Unspecified reactive species

Jia Lu,Kexin Wu,Xudong Sha,Jiayuan Lin,Hongzhuan Chen,Zhihua Yu

Bioactive materials 36:508-523 PubMed39072285

2024

Macrophage-derived extracellular vesicles regulate skeletal stem/progenitor Cell lineage fate and bone deterioration in obesity.

Applications

Unspecified application

Species

Unspecified reactive species

Chen He,Chen Hu,Wen-Zhen He,Yu-Chen Sun,Yangzi Jiang,Ling Liu,Jing Hou,Kai-Xuan Chen,Yu-Rui Jiao,Mei Huang,Min Huang,Mi Yang,Qiong Lu,Jie Wei,Chao Zeng,Guang-Hua Lei,Chang-Jun Li

Journal of ophthalmology 2024:7195550 PubMed39049847

2024

ABCA1 Deletion Does Not Affect Aqueous Humor Outflow Function in Mice.

Applications

Unspecified application

Species

Unspecified reactive species

Bo Qin,Chunchun Hu,Youjia Zhang,Yuhong Chen,Yuan Lei

Journal of ovarian research 17:124 PubMed38851728

2024

HOXB2 promotes cisplatin resistance by upregulating lncRNA DANCR in ovarian cancer.

Applications

Unspecified application

Species

Unspecified reactive species

Xiao Li,Zhen Zheng,Wanzhen Zhou,Huixian Huang,Yang Zhou,Qinyang Xu,Xiaolu Zhu,Yincheng Teng

General physiology and biophysics 43:139-152 PubMed38477604

2024

Network pharmacology and pharmacological evaluation of Wenzheng Jiedu Powder Modified Formula for neuropathic pain relief.

Applications

Unspecified application

Species

Unspecified reactive species

Yanping Li,Feng Yang,Wanying Lang,Qi An,Zhi Pan,Wenyu Shi,Xiaowei Shi

International journal of molecular sciences 24: PubMed37629027

2023

Aerobic Exercise Facilitates the Nuclear Translocation of SREBP2 by Activating AKT/SEC24D to Contribute Cholesterol Homeostasis for Improving Cognition in APP/PS1 Mice.

Applications

Unspecified application

Species

Unspecified reactive species

Zelin Hu,Yangqi Yuan,Zhen Tong,Meiqing Liao,Shunling Yuan,Weijia Wu,Yingzhe Tang,Yirong Wang,Changfa Tang,Wenfeng Liu

Heliyon 9:e17366 PubMed37426804

2023

circSnd1 promotes atherosclerosis progression through the miR-485-3p/Olr1 signaling pathway.

Applications

Unspecified application

Species

Unspecified reactive species

Lin Yang,Yuhao Lin,Chao Wang,Pengcheng Fan
View all publications

Product promise

We are committed to supporting your work with high-quality reagents, and we're here for you every step of the way. In the unlikely event that one of our products does not perform as expected, you're protected by our Product Promise.
For full details, please see our Terms & Conditions

Please note: All products are 'FOR RESEARCH USE ONLY. NOT FOR USE IN DIAGNOSTIC OR THERAPEUTIC PROCEDURES'.

For licensing inquiries, please contact partnerships@abcam.com